Assessment of Chicken Fecal Contamination Using Microbial Source Tracking (MST) and Environmental DNA (eDNA) Profiling in Silway River, Philippines
Abstract
1. Introduction
2. Materials and Methods
2.1. Site Description
2.2. Water Sampling Materials and Data Collection Equipment
2.3. Preliminary Fieldwork Preparation
2.4. Methods for Water Sampling, Data Gathering, and Laboratory and Data Analysis
2.4.1. Study Area Selection
2.4.2. Water Sample Collection and Data Gathering
2.4.3. Laboratory Analysis
2.5. Data Mapping of Chicken Fecal Contamination and Physicochemical Water Quality Parameters Results
3. Results and Discussion
3.1. Flow Velocity
3.2. Physicochemical Water Quality Parameters and Chicken Fecal Contamination
3.2.1. Dissolved Oxygen (DO)
3.2.2. Total Suspended Solids (TSSs)
3.2.3. Temperature
3.2.4. pH
3.2.5. Turbidity
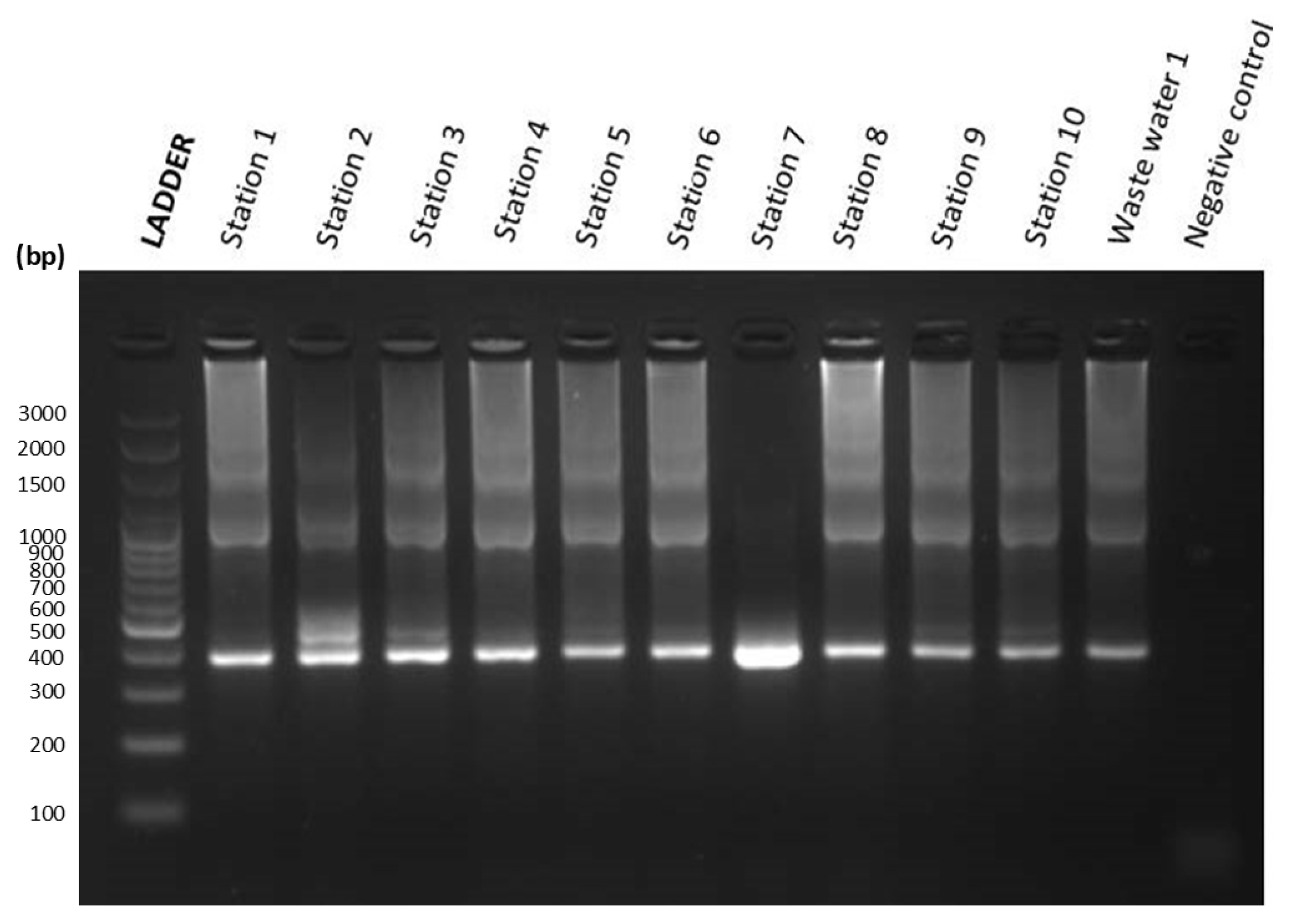
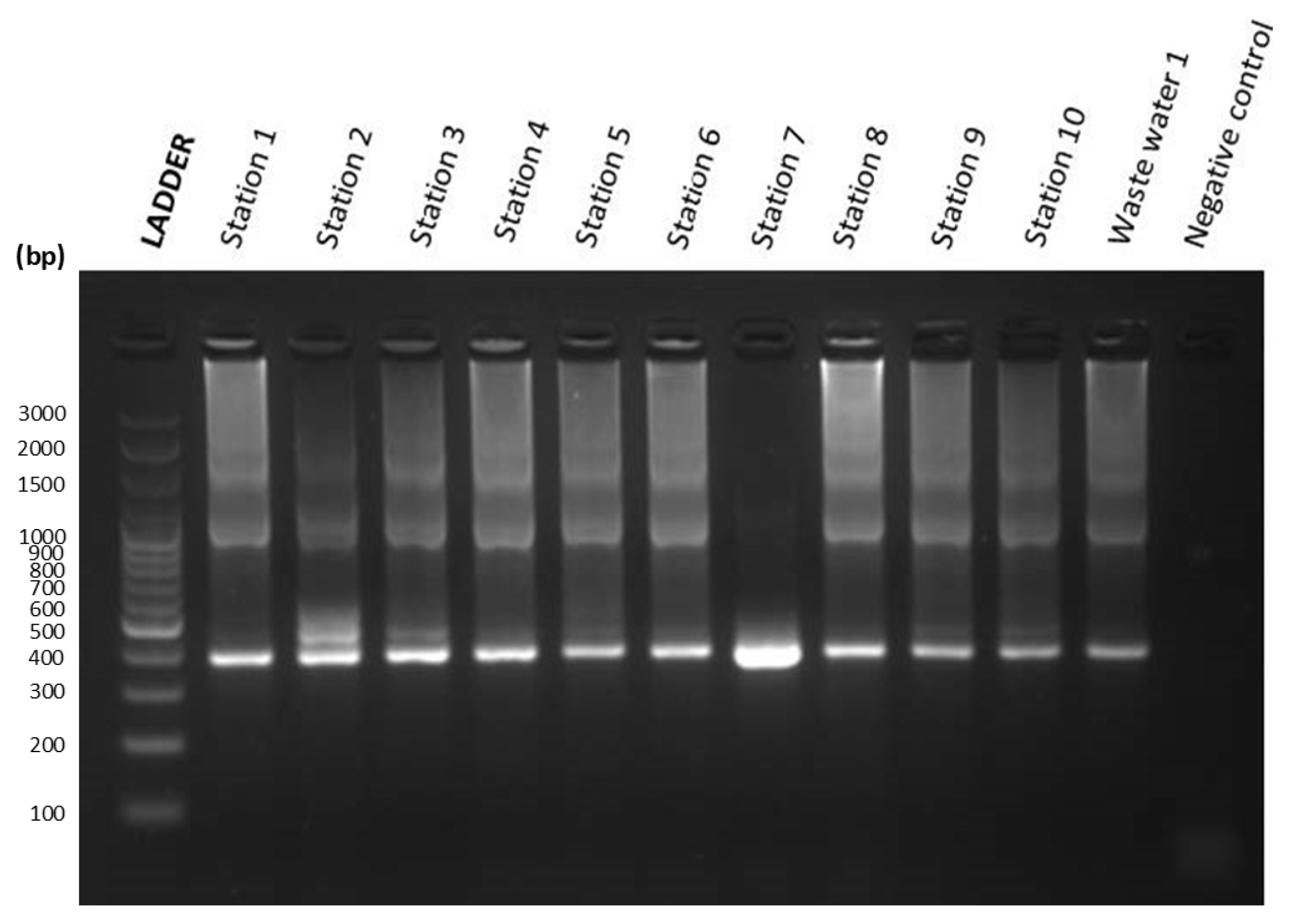
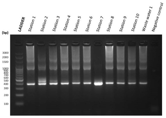
3.2.6. Chicken Fecal Contamination
3.3. Relationship Among Flow Velocity, Physicochemical Water Quality Parameters, and Chicken Fecal Contamination
3.3.1. Chicken Fecal Contamination and Physicochemical Water Quality Parameter Relationship
3.3.2. Multiple Regression Analysis of Chicken Fecal Contamination, DO, and Flow Velocity
3.3.3. Turbidity and TSS Relationship
4. Conclusions
Author Contributions
Funding
Institutional Review Board Statement
Informed Consent Statement
Data Availability Statement
Acknowledgments
Conflicts of Interest
References
- Dili, R.; Kalaw, R.; Miguel, A.; Ting, G. Analysis of Environmental Impact and Waste Management of Egg Poultry Industry in the Philippines: A Case of San Jose, Batangas. J. Sustain. Environ. Manag. 2022, 1, 188–196. [Google Scholar] [CrossRef]
- PSA. Chicken Situation Report April to June 2022; Philippine Statistics Authority: Quezon City, Philippines, 2022.
- Medina, B.O.; De Torres, E.M.; Dela Peña, A.R. Waste Disposal Practices of Backyard Poultry Owners in San Jose, Batangas, Philippines. Int. J. Adv. Res. Publ. 2019, 3, 194–198. [Google Scholar]
- Gržinić, G.; Piotrowicz-Cieślak, A.; Klimkowicz-Pawlas, A.; Górny, R.L.; Olkowska, E.; Potrykus, M.; Tankiewicz, M.; Krupka, M.; Siebielec, G.; Wolska, L. Intensive poultry farming: A review of the impact on the environment and human health. Sci. Total Environ. 2023, 858, 160014. [Google Scholar] [CrossRef]
- Zhuang, F.F.; Li, H.; Zhou, X.Y.; Zhu, Y.G.; Su, J.Q. Quantitative detection of fecal contamination with domestic poultry feces in environments in China. AMB Express 2017, 7, 80. [Google Scholar] [CrossRef] [PubMed]
- WHO. Guidelines for Drinking-Water Quality (Incorporating 1st and 2nd Addenda); WHO: Geneva, Switzerland, 2008. [Google Scholar]
- Smith, V.H.; Schindler, D.W. Eutrophication science: Where do we go from here? Trends Ecol. Evol. 2009, 24, 201–207. [Google Scholar] [CrossRef] [PubMed]
- Escatron, M.E.; Villamor, V.F.; Eviota, M.P.; Escatron, R.A. Water quality assessment of Surigao River, Surigao City, Philippines. J. Entomol. Zool. Stud. 2022, 10, 1–10. [Google Scholar] [CrossRef]
- Paruch, L.; Paruch, A.M. An Overview of Microbial Source Tracking Using Host-Specific Genetic Markers to Identify Origins of Fecal Contamination in DifferentWater Environments. Water 2022, 14, 1809. [Google Scholar] [CrossRef]
- Stoeckel, D.M.; Harwood, V.J. Performance, Design, and Analysis in Microbial Source Tracking Studies. Appl. Environ. Microbiol. 2007, 73, 2405–2415. [Google Scholar] [CrossRef]
- Bautista, J.; Manubag, J.; Sumaya, N.; Martinez, J.; Tabugo, S. Environmental DNA (eDNA) metabarcoding and fish visual census reveals the first record of Doboatherina magnidentata in the Philippines. Biodiversitas J. Biol. Divers. 2023, 24, 3063–3072. [Google Scholar] [CrossRef]
- Dela Peña, L.O.; Labrador, K.L.; Nacario, M.G.; Bolo, N.R.; Rivera, W.L. Microbial source tracking of fecal contamination in Laguna Lake, Philippines using the library-dependent method, rep-PCR. J. Water Health 2021, 19, 762–774. [Google Scholar] [CrossRef]
- Feng, S.; Bootsma, M.; McLellan, S.L. Human-Associated Lachnospiraceae Genetic Markers Improve Detection of Fecal Pollution Sources in Urban Waters. Appl. Environ. Microbiol. 2018, 84, 309–318. [Google Scholar] [CrossRef] [PubMed]
- Hachad, M.; Burnet, J.P.; Sylvestre, E.; Duy, S.V.; Villemur, R.; Sauvé, S.; Prévost, M.; Qiu, J.Y.; Pang, X.; Dorner, S. β-D-glucuronidase activity triggered monitoring of fecal contamination using microbial and chemical source tracking markers at drinking water intakes. Water Res. 2024, 254, 121374. [Google Scholar] [CrossRef] [PubMed]
- Golder, A.R. Quantification of Poultry and Human Fecal Contamination in the Tidal Creeks of the Virginia Eastern Shore Using Multifaceted eDNA Method. Ph.D. Thesis, William & Mary, Williamsburg, VA, USA, 2023. [Google Scholar]
- Lim, J.M.U. Water Pollution Prevention and Control Program: The Polomolok Experience. Department of Environment and Natural Resources (DENR) Philippines, Quezon City. 2010. Available online: https://www.scribd.com/document/535058811/Water-Pollution-and-Prevention-0 (accessed on 17 September 2023).
- Asian Development Bank (ADB). 2022. Available online: https://bimp-eaga.asia/sites/default/files/publications/Reduced%20PRF18-IP%20GCAP%20General%20Santos%20City_WEB_28Nov.pdf (accessed on 1 December 2024).
- Suarez, M.N.S.; Zoleta, J.M.R. Water Quality Assessment of Sarangani Bay: Basis for Sustainable Coastal Management. Am. J. Environ. Clim. 2024, 3, 34–44. [Google Scholar] [CrossRef]
- Barro, R.I.; Puno, G.R. Morphometric Analysis of Silway River Basin in Southern Mindanao, Philippines for Flood Risk Management a Supplementary of Flood Modeling. Asian Assoc. Remote Sens. 2016. Available online: https://www.scribd.com/document/671218201/Ab-0527 (accessed on 17 September 2023).
- Liang, H.; Yu, Z.; Ndayisenga, F.; Liu, R.; Zhang, Y.; Zhang, H.; Wu, G. A combination of mitochondrial DNA markers Ckmito and ND5-CD is recommended as the most reliable indicator for microbial source tracking to identify faecal pollution from poultry in China. Ecol. Indic. 2020, 115, 106334. [Google Scholar] [CrossRef]
- Assar, W. Quantitative study for the effect of water velocity on water quality change. Eur. J. Sci. Technol. 2023, 47, 37–41. [Google Scholar] [CrossRef]
- Casila, J.C.; Azhikodan, G.; Yokoyama, K. Quantifying water quality and flow in multi-branched urban estuaries for a rainfall event with mass balance method. Water Sci. Eng. 2020, 13, 317–328. [Google Scholar] [CrossRef]
- Zhi, W.; Feng, D.; Tsai, W.P.; Sterle, G.; Harpold, A.; Shen, C.; Li, L. From hydrometeorology to river water quality: Can a deep learning 3 model predict dissolved oxygen at the continental scale? Environ. Sci. Technol. 2021, 55, 2357–2368. [Google Scholar] [CrossRef] [PubMed]
- Casila, J.C.; Andres, H.L.; Haddout, S.; Yokoyama, K. Sediment Transport Modeling in the Pasig River, Philippines Post Taal Volcano Eruption. Geosciences 2024, 14, 45. [Google Scholar] [CrossRef]
- Brown, J.; Flint, T.; Lamay, J. The Politics of Pineapple: Examining the Inequitable Impacts of Southern Costa Rica’s Pineapple Industry. J. Public Int. Aff. 2020, 33. Available online: https://jpia.princeton.edu/news/politics-pineapple-examining-inequitable-impacts-southern-costa-ricas-pineapple-industry (accessed on 27 November 2024).
- Richardson, R.B.; Kellon, D.; Leon, R.G.; Arvai, J. Using choice experiments to understand household tradeoffs regarding pineapple production and environmental management in Costa Rica. J. Environ. Manag. 2013, 127, 308–316. [Google Scholar] [CrossRef] [PubMed]
- EPA. United States Environmental Protection Agency. 2021. Available online: https://www.epa.gov/awma/factsheets-water-quality-parameters (accessed on 10 May 2023).
- Public Health Ontario. Ontario Agency for Health Protection and Promotion. Queen’s Printer for Ontario. 2020. Available online: https://www.publichealthontario.ca/-/media/documents/ncov/main/2020/09/cycle-threshold-values-sars-cov2-pcr.pdf?la=en (accessed on 21 October 2023).
- Hong, H.; Qiu, J.; Liang, Y. Environmental factors influencing the distribution of total and fecal coliform bacteria in six water storage reservoirs in the Pearl River Delta Region, China. J Environ. Sci. 2010, 22, 663–668. [Google Scholar] [CrossRef] [PubMed]
- Pearson, H.W.; Mara, D.D.; Mills, S.W.; Smallman, D.J. Physico-Chemical Parameters Influencing Faecal Bacterial Survival in Waste Stabilization Ponds. Water Sci. Technol. 1987, 19, 145–152. [Google Scholar] [CrossRef]
- Casila, J.C.; Ella, V.; Yokoyama, K. Effect of neap-spring hydrodynamics on salt and suspended sediment transport in multi-branched urban estuaries. Sci. Total Environ. 2019, 694, 133653. [Google Scholar] [CrossRef] [PubMed]














| Station | Latitude | Longitude | Station Description | 
|---|---|---|---|
| 1 | 6.1058 | 125.1640 | Approx. 300 m from the Mouth of Silway River GSC | 
| 2 | 6.1154 | 125.1585 | Approx 435 m from Silway Bridge along Digos-Makar Rd. at Purok Palen Brgy. Labangal GSC | 
| 3 | 6.1136 | 125.1462 | Approx. 340 m from Sinawal Bridge along Makar—Gensan Rd. at Purok San Vicente Brgy. Labangal GSC | 
| 4 | 6.1321 | 125.1505 | Foot of bridge along Yumang St. Purok Sta. Teresita Rd. City Heights GSC | 
| 5 | 6.1531 | 125.1420 | Foot of Upper Silway Bridge along GSC Circumferential Rd. at Brgy. San Isidro GSC | 
| 6 | 6.1765 | 125.1190 | Foot of Silway 7 Bridge along Silway 7—Klinan 6 Rd. at Silway 7 Polomolok | 
| 7 | 6.1795 | 125.0966 | Approx. 250 m from Matin-ao Bridge of Purok Riverside Matin-ao Silway 8 Polomolok | 
| 8 | 6.1923 | 125.0730 | Downstream portion of Silway River at Purok Upper Matin-ao Silway 8 Polomolok | 
| 9 | 6.1308 | 125.1103 | Foot of Upper Sinawal Bridge along GSC Circumferential Rd. at Purok Cabuay Brgy. Sinawal GSC | 
| 10 | 6.11913 | 125.06902 | Upstream portion of Silway River at Purok Kintay Brgy. Sinawal GSC | 
| Assay | Primer or Probe | Concentration in Final Reaction Mix | Oligonucleotide Sequence (5′-3′) | Product Size (bp) | Annealing T (°C) | Target Gene | Target Host | 
|---|---|---|---|---|---|---|---|
| ND5-CD (TaqMan) | ND5-F | 900 nM | ACCTCCCCCAACTAGC | 172 | 60 | Mitochondrial genes: NADH dehydrogenase subunit 5 (ND5) | Poultry (Chicken and duck) | 
| ND5-R | 900 nM | TTGCCAATGGTTAGGCAGGAG | |||||
| ND5-P | 250 nM | (6-FAM 1) TCAACCCATGCCTTCTT (NFQ-MGB 2) | |||||
| Ckmito1 (single PCR) | Ckmito1-G | 200 nM | ACCCTATTTGACTCCCTCAA | 565 | 55 | Mitochondrial 16S rRNA gene | Poultry (Chicken) | 
| Ckmito1-D | 200 nM | ATGTCGACCAGGGGTTTATG | |||||
| CkmitoN1 (Nested PCR) | CkmitoN1-G | 200 nM | CCCCCACACTAACAAGCAAT | 381 | 55 | Mitochondrial 16S rRNA gene | Poultry (Chicken) | 
| CkmitoN1-D | 200 nM | GGTTGTAAGGTGGTCGTGAT | 
| Station Number | Velocity (m/s) | Depth (m) | Width (m) | 
|---|---|---|---|
| 1 | 0.69 | 0.55 | 23.5 | 
| 2 | 0.99 | 0.48 | 22.9 | 
| 3 | 0.92 | 0.27 | 6.4 | 
| 4 | 0.87 | 0.54 | 28.3 | 
| 5 | 1.07 | 0.30 | 16.5 | 
| 6 | 1.17 | 0.52 | 24.6 | 
| 7 | 1.27 | 0.35 | 8.4 | 
| 8 | 0.82 | 0.62 | 16.9 | 
| 9 | 0.22 | 0.13 | 12.1 | 
| 10 | 0.47 | 0.35 | 8.0 | 
| Station Number | DO (mg/L) | TSS (mg/L) | Temperature (°C) | pH | Turbidity (FNU) | Fecal Coliform Ckmito PCR Test | Fecal Coliform ND5-CD qPCR Test (Ct Value) | 
|---|---|---|---|---|---|---|---|
| DAO Standard | >5 mg/L | <80 mg/L | 25–31 | 6.5–9.0 | - | - | - | 
| 1 | 7.55 | 181 | 26.11 | 8.48 | 67.947 | Positive | 29.485 | 
| 2 | 8.01 | 118 | 25.67 | 8.20 | 73.029 | Positive | 33.850 | 
| 3 | 6.82 | 81 | 28.06 | 7.97 | 68.375 | Positive | 26.785 | 
| 4 | No data | 68 | 27.52 | 8.31 | 29.487 | Positive | 30.560 | 
| 5 | 7.97 | 186 | 27.53 | 8.60 | 93.532 | Positive | 33.060 | 
| 6 | 7.68 | 197 | 28.72 | 8.54 | 123.575 | Positive | 27.790 | 
| 7 | 7.57 | 631 | 29.39 | 8.53 | 313.084 | Positive | 35.230 | 
| 8 | 7.39 | 53 | 31.19 | 8.30 | 10.599 | Positive | 24.590 | 
| 9 | 7.66 | 60 | 29.06 | 8.15 | 98.666 | Positive | 20.595 | 
| 10 | 7.84 | 1180 | 26.06 | 8.35 | 448.161 | Positive | 27.665 | 
| Station Number | Number of Poultry Farm a, Backyard Poultry b, and Dressing Plants c Within a 1000 m Radius of the Station | Approx. Distance of Structures from the River (m) | 
|---|---|---|
| 1 | 12 b | 10–100 | 
| 2 | 7 b | 10–80 | 
| 3 | 7 b | 10–50 | 
| 4 | 4 b | 10–40 | 
| 5 | 3 b | 10–30 | 
| 6 | 6 b | 10–60 | 
| 7 | 3 a, 1 b | 50–150 | 
| 8 | 5 a | 200–300 | 
| 9 | 1 a, 6 b, 1 c | 10–150 | 
| 10 | 2 a, 2 b | 10–100 | 
| Method | Unit | Price per Unit/Test | 
|---|---|---|
| Traditional Test | ||
| Detection of Fecal Coliform | samples | PHP 350.00 | 
| MST (detection only) | ||
| eDNA Extraction (Water) | samples | PHP 976.60 | 
| Gel Electrophoresis | runs | PHP 158.92 | 
| PCR Amplification | amplicon | PHP 244.25 | 
| PCR Amplification Optimization | amplicon | PHP 244.25 | 
| Total | PHP 1624.12 | |
| MST (detection and quantification) | ||
| eDNA Extraction (Water) | samples | PHP 976.60 | 
| Gel Electrophoresis | runs | PHP 158.92 | 
| PCR Amplification | amplicon | PHP 244.25 | 
| PCR Amplification Optimization | amplicon | PHP 244.25 | 
| qPCR | NC + PC | PHP 112.35 | 
| qPCR Optimization | gDNA + NC + PC + NEC | PHP 112.35 | 
| Total | PHP 3868.82 | 
| Regression Statistics | |||||
|---|---|---|---|---|---|
| Multiple R | 0.799465765 | ||||
| R Square | 0.63914551 | ||||
| Adjusted R Square | 0.536044227 | ||||
| Standard Error | 3.04281321 | ||||
| Observations | 10 | ||||
| ANOVA | |||||
| df | SS | MS | F | Significance F | |
| Regression | 2 | 114.7932244 | 57.3966122 | 6.199200363 | 0.028226849 | 
| Residual | 7 | 64.8109856 | 9.258712228 | ||
| Total | 9 | 179.60421 | |||
| Coefficients | Standard Error | t Stat | p-value | ||
| Intercept | −6.920926245 | 20.75159251 | −0.333513018 | 0.748514646 | |
| DO (mg/L) | 3.571535586 | 2.709846892 | 1.317984273 | 0.229000056 | |
| Velocity | 10.46724234 | 3.173606926 | 3.298216378 | 0.013152948 | |
| Disclaimer/Publisher’s Note: The statements, opinions and data contained in all publications are solely those of the individual author(s) and contributor(s) and not of MDPI and/or the editor(s). MDPI and/or the editor(s) disclaim responsibility for any injury to people or property resulting from any ideas, methods, instructions or products referred to in the content. | 
© 2024 by the authors. Licensee MDPI, Basel, Switzerland. This article is an open access article distributed under the terms and conditions of the Creative Commons Attribution (CC BY) license (https://creativecommons.org/licenses/by/4.0/).
Share and Cite
Opog, L.M.; Casila, J.C.; Lampayan, R.; Sobremisana, M.; Bulasag, A.; Yokoyama, K.; Haddout, S. Assessment of Chicken Fecal Contamination Using Microbial Source Tracking (MST) and Environmental DNA (eDNA) Profiling in Silway River, Philippines. J. Xenobiot. 2024, 14, 1941-1961. https://doi.org/10.3390/jox14040104
Opog LM, Casila JC, Lampayan R, Sobremisana M, Bulasag A, Yokoyama K, Haddout S. Assessment of Chicken Fecal Contamination Using Microbial Source Tracking (MST) and Environmental DNA (eDNA) Profiling in Silway River, Philippines. Journal of Xenobiotics. 2024; 14(4):1941-1961. https://doi.org/10.3390/jox14040104
Chicago/Turabian StyleOpog, Lonny Mar, Joan Cecilia Casila, Rubenito Lampayan, Marisa Sobremisana, Abriel Bulasag, Katsuhide Yokoyama, and Soufiane Haddout. 2024. "Assessment of Chicken Fecal Contamination Using Microbial Source Tracking (MST) and Environmental DNA (eDNA) Profiling in Silway River, Philippines" Journal of Xenobiotics 14, no. 4: 1941-1961. https://doi.org/10.3390/jox14040104
APA StyleOpog, L. M., Casila, J. C., Lampayan, R., Sobremisana, M., Bulasag, A., Yokoyama, K., & Haddout, S. (2024). Assessment of Chicken Fecal Contamination Using Microbial Source Tracking (MST) and Environmental DNA (eDNA) Profiling in Silway River, Philippines. Journal of Xenobiotics, 14(4), 1941-1961. https://doi.org/10.3390/jox14040104
 
        






 
       