Partial Splenic Embolization in a Patient with Hemophilia A and Severe Thrombocytopenia: A Case Report
Abstract
1. Introduction
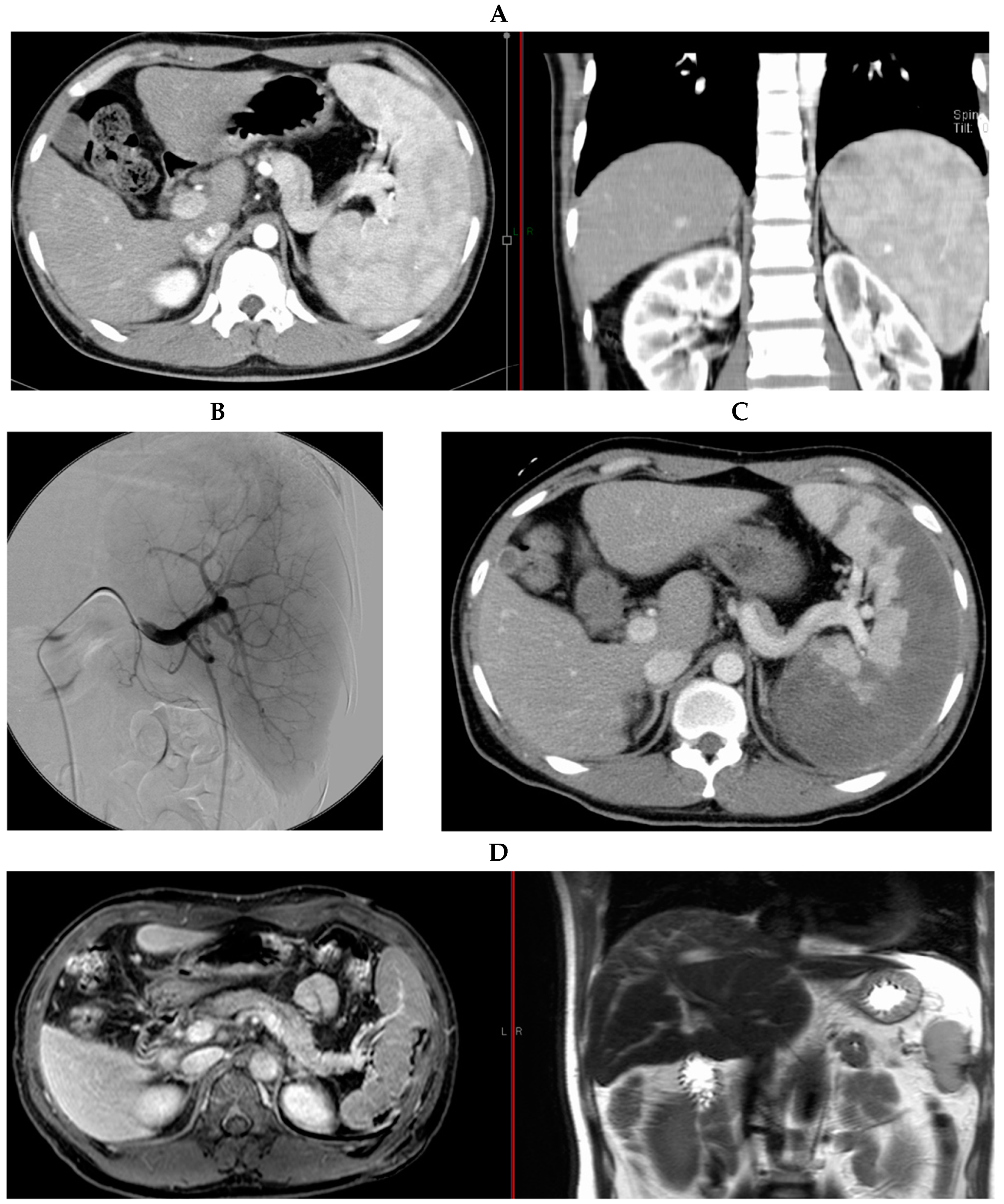
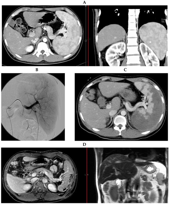
2. Case Report
3. Discussion
4. Conclusions
Author Contributions
Funding
Institutional Review Board Statement
Informed Consent Statement
Data Availability Statement
Conflicts of Interest
References
- Berntorp, E.; Fischer, K.; Hart, D.P.; Mancuso, M.E.; Stephensen, D.; Shapiro, A.D.; Blanchette, V. Haemophilia. Nat. Rev. Dis. Primers 2021, 7, 45. [Google Scholar] [CrossRef] [PubMed]
- Bryant, P.; Boukouvala, A.; McDaniel, J.; Nance, D. Hemophilia A in females: Considerations for clinical management. Acta Haematol. 2020, 143, 289–294. [Google Scholar] [CrossRef] [PubMed]
- Marchesini, E.; Morfini, M.; Valentino, L. Recent advances in the treatment of hemophilia: A review. Biologics 2021, 15, 221–235. [Google Scholar] [CrossRef]
- Mannucci, P.M. Hemophilia therapy: The future has begun. Haematologica 2020, 105, 545–553. [Google Scholar] [CrossRef]
- Hayashi, H.; Beppu, T.; Shirabe, K.; Maehara, Y.; Baba, H. Management of thrombocytopenia due to liver cirrhosis: A review. World J. Gastroenterol. 2014, 20, 2595–2605. [Google Scholar] [CrossRef] [PubMed]
- Ahire, D.S. Partial splenic artery embolization therapy in hemophilia A with decompensated cld causing hypersplenism: Caution to hepatologists-a case report. J. Clin. Exp. Hepatol. 2018, 8, S133–S134. [Google Scholar] [CrossRef]
- Bolton-Maggs, P.H.; Perry, D.J.; Chalmers, E.A.; Parapia, L.A.; Wilde, J.T.; Williams, M.D.; Collins, P.W.; Kitchen, S.; Dolan, G.; Mumford, A.D. The rare coagulation disorders-review with guidelines for management from the United Kingdom Haemophilia Centre Doctors’ Organisation. Haemophilia 2004, 10, 593–628. [Google Scholar] [CrossRef]
- Ginès, P.; Krag, A.; Abraldes, J.G.; Solà, E.; Fabrellas, N.; Kamath, P.S. Liver cirrhosis. Lancet 2021, 398, 1359–1376. [Google Scholar] [CrossRef]
- Maddison, F.E. Embolic therapy for hypersplenism. Investig. Radiol. 1973, 8, 280–281. [Google Scholar] [CrossRef]
- Spigos, D.G.; Jonasson, O.; Mozes, M.; Capek, V. Partial splenic embolization in the treatment of hypersplenism. AJR Am. J. Roentgenol. 1979, 132, 777–782. [Google Scholar] [CrossRef]
- Shimizu, H.; Takatsuka, K.; Yoshida, A.; Yoshimatsu, E.; Matsui, K.; Iwabuchi, S. Partial splenic embolization reverses insulin resistance in patients with liver cirrhosis. Intern. Med. 2009, 48, 747–751. [Google Scholar] [CrossRef]
- Shimizu, H.; Takatsuka, K.; Nakano, H.; Tenjin, T.; Fujikawa, T.; Yoshida, A.; Yoshimatsu, E.; Matsui, K.; Iwabuchi, S. Long-term evaluation of partial splenic embolization followed by interferon therapy in patients with hepatitis C virus (HCV) cirrhosis and thrombocytopenia. Intern. Med. 2014, 53, 925–931. [Google Scholar] [CrossRef]
- Hayashi, H.; Beppu, T.; Okabe, K.; Masuda, T.; Okabe, H.; Ishiko, T.; Baba, H. Therapeutic factors considered according to the preoperative splenic volume for a prolonged increase in platelet count after partial splenic embolization for liver cirrhosis. J. Gastroenterol. 2010, 45, 554–559. [Google Scholar] [CrossRef]
- Foppen, W.; van der Schaaf, I.C.; van Leeuwen, F.H.P.; Verlind, D.H.; van Vulpen, L.F.D.; Vogely, H.C.; Barentsz, M.W. Preoperative synovial hyperaemia in haemophilia patients undergoing total knee replacement and the effects of genicular artery embolization: A retrospective cohort study. Haemophilia 2023, 29, 1351–1358. [Google Scholar] [CrossRef]
- Shanmugasundaram, S.; Chandra, V.; Kolber, M.; Kumar, A.; Contractor, S.; Shukla, P.A. Endovascular Management of Hemarthrosis in Patients with Bleeding Diatheses: Systematic Review. Cardiovasc. Intervent. Radiol. 2020, 43, 362–368. [Google Scholar] [CrossRef]
- Obaji, S.; Jones, C.; Yates, A.; Gordon, A.; Wood, A.; Alikhan, R.; Collins, P. Selective angiographic embolization for recurrent elbow and knee haemarthroses in haemophilia: A retrospective case series. Haemophilia 2015, 21, e226–e228. [Google Scholar] [CrossRef]
- Klamroth, R.; Gottstein, S.; Essers, E.; Landgraf, H.; Wilaschek, M.; Oldenburg, J. Successful angiographic embolization of recurrent elbow and knee joint bleeds in seven patients with severe haemophilia. Haemophilia 2009, 15, 247–252. [Google Scholar] [CrossRef]
- Mauser-Bunschoten, E.P.; Zijl, J.A.; Mali, W.; van Rinsum, A.C.; van den Berg, H.M.; Roosendaal, G. Successful treatment of severe bleeding in hemophilic target joints by selective angiographic embolization. Blood 2005, 105, 2654–2657. [Google Scholar] [CrossRef][Green Version]
- Von Stauffenberg, F.; Hegemann, I.; Schwotzer, R.; Lehmann, K.; Widmer, J. Management of abdominal pseudotumours in haemophilia: A systematic review. Swiss Med. Wkly. 2023, 153, 40094. [Google Scholar] [CrossRef]
- Svarc, P.; Kampmann, P.; Lönn, L.; Røder, M.A. Prostatic artery embolization in men with severe hemophilia a: A case report of two patients. CVIR Endovasc. 2022, 5, 21. [Google Scholar] [CrossRef]
- Kim, M.J.; Oh, J.Y.; Park, Y.S. Availability of angiography and therapeutic embolization for the treatment of acute bleeding in patients with hemophilia. Int. J. Hematol. 2017, 106, 787–793. [Google Scholar] [CrossRef] [PubMed]
- Garge, S.; Keshava, S.N.; Moses, V.; Mammen, S.; Ahmed, M.; Chiramel, G.K.; Cherian, V.; Manasseh, N.; George, B.; Mathews, V.; et al. Role of endovascular embolization in treatment of acute bleeding complications in haemophilia patients. Br. J. Radiol. 2016, 89, 20151064. [Google Scholar] [CrossRef] [PubMed]
- Davies, J.M.; Barnes, R.; Milligan, D. Uptake of guideline for the prevention and treatment of infection in patients with an absent or dysfunctional spleen. Clin. Med. 2002, 2, 440–443. [Google Scholar] [CrossRef] [PubMed]
- Ikeda, N.; Imanishi, H.; Aizawa, N.; Tanaka, H.; Iwata, Y.; Enomoto, H.; Saito, M.; Iijima, H.; Iimuro, Y.; Fujimoto, J.; et al. Nationwide survey in Japan regarding splenectomy/partial splenic embolization or interferon treatment targeting hepatitis C virus-related chronic liver disease in patients with low platelet count. Hepatol. Res. 2014, 44, 829–836. [Google Scholar] [CrossRef]
- Brigden, M. Detection, Education and Management of the Asplenic or Hyposplenic Patient. Am. Fam. Physician 2001, 63, 499–508. [Google Scholar]



| Complete Blood Count | Coagulation | Biochemistry | |||||||||
|---|---|---|---|---|---|---|---|---|---|---|---|
| Pre PSE | Post PSE | Pre PSE | Post PSE | Pre PSE | Post PSE | ||||||
| WBCs | 2600 | 3800 | /μL | PT | 12.7 | 10.9 | sec | TP | 8.5 | 6.8 | g/dL |
| (White Blood Cell Count) | (Prothrombin Time) | (Total Protein) | |||||||||
| Hb | 16.3 | 15.7 | g/dL | PT | 94 | 150 | % | T-Bil | 0.7 | 0.6 | mg/dL |
| (Hemoglobin) | (Total Bilirubin) | ||||||||||
| Plts | 4.1 | 17.7 | × 104/μL | PT-INR | 1.04 | 0.78 | D-Bil | 0.2 | - | mg/dL | |
| (Platelets) | (PT International Normalized Ratio) | (Direct Bilirubin) | |||||||||
| APTT | 60.5 | 41.3 | sec | γ-GTP | 149 | 62 | U/L | ||||
| (Activated Partial Thrombin Time) | (γ-Glutamyltransferase) | ||||||||||
| Special Items | APTT | 36 | 46 | % | AST | 38 | 16 | U/L | |||
| (Aspartateamino Transferase) | |||||||||||
| Pre PSE | Post PSE | D-dimer | 0.5 | < 0.3 | ALT | 51 | 13 | U/L | |||
| (Alanine Aminotransferase) | |||||||||||
| ICG/R15 | 20.4 | - | % | FiB | 197 | - | mg/dL | CHE | 137 | 235 | U/L |
| (Indocyanine Green Retention15) | (Fibrinogen) | (Cholinesterase) | |||||||||
| ICGK | 0.117 | - | HPT | 93 | - | % | ALP | 295 | 230 | U/L | |
| (ICG Krem) | (Hepaplastin Test) | (Alkaline Phosphatase) | |||||||||
| HIV-1 RNA | <50 | N.D. | copy/mL | AT-Ⅲ | 92 | 98 | % | LD | 178 | 139 | U/L |
| (Human Immunodeficiency Virus RNA) | (Antithrombin-III Activity) | (Lactate Dehydrogenase) | |||||||||
| HCV RNA | 85 | N.D. | IU/mL | PLG | 64 | - | % | BUN | 8.9 | 13.2 | mg/dL |
| (Hepatitis C Virus RNA) | (Plasminogen) | (Blood Urea Nitrogen) | |||||||||
| HBsAg | 0 | - | mIU/mL | FDP-E | 0.6 | - | μg/mL | Cre | 0.53 | 0.66 | mg/dL |
| (Hepatitis B Surface Antigen) | (Fibrin Degradation Product E Fraction) | (Creatinine) | |||||||||
| HBsAb | 159.3 | - | mIU/mL | ProC | 90 | 132 | % | UA | 6 | 6.5 | mg/dL |
| (Hepatitis B Surface Antibody) | (Protein C) | (Uric Acid) | |||||||||
| ProS | 90 | 104 | % | CRP | 0.05 | 0.2 | mg/dL | ||||
| (Protein S) | (C-Reactive Protein) | ||||||||||
| TAT | 0.25 | - | ng/mL | NH3 | 128 | - | μg/dL | ||||
| (Thrombin Antithrombin Complex) | (Ammonia) | ||||||||||
| PIC | 0.49 | - | μg/mL | FBS | 98 | 98 | mg/dL | ||||
| (alpha2 Plasmin Inhibitor Plasmin Complex) | (Fasting Blood Sugar) | ||||||||||
| vWF | 90 | 85 | % | Haic | 4.2 | 5.3 | % | ||||
| (von Willebrand Factor) | (Hemoglobin A1c) | ||||||||||
| FⅧ | 22 | 32 | % | PIVKA-Ⅱ (Protein Induced by Vitamin K Absence or Antagonist-II) | 17 | - | mAU/mL | ||||
| (Factor Ⅷ) | |||||||||||
| AFP | 5 | - | ng/mL | ||||||||
| (Alpha Fetoprotein) | |||||||||||
| Group | Type | Year | Patients | Clinical Presentation | Ref. |
|---|---|---|---|---|---|
| Joints | Retrospective study | 2023 | 24 | Synovial hyperemia | [14] |
| Systematic review | 2020 | 15 | Hemarthrosis | [15] | |
| Case series | 2015 | 7 | Hemarthrosis | [16] | |
| Case series | 2009 | 7 | Hemarthrosis | [17] | |
| Case series | 2005 | 23 | Hemarthrosis | [18] | |
| Others (spine, chest, abdomen, pelvis, etc.) | Systematic review | 2023 | 41 | Pseudotumors | [19] |
| Case series | 2023 | 2 | Prostatic hyperplasia | [20] | |
| Case series | 2017 | 5 | Acute bleeding | [21] | |
| Case series | 2016 | 10 | Acute bleeding | [22] |
Disclaimer/Publisher’s Note: The statements, opinions and data contained in all publications are solely those of the individual author(s) and contributor(s) and not of MDPI and/or the editor(s). MDPI and/or the editor(s) disclaim responsibility for any injury to people or property resulting from any ideas, methods, instructions or products referred to in the content. |
© 2024 by the authors. Licensee MDPI, Basel, Switzerland. This article is an open access article distributed under the terms and conditions of the Creative Commons Attribution (CC BY) license (https://creativecommons.org/licenses/by/4.0/).
Share and Cite
Nakamura, T.; Uchiba, M.; Nakata, H.; Mizumoto, T.; Beppu, T.; Matsushita, S. Partial Splenic Embolization in a Patient with Hemophilia A and Severe Thrombocytopenia: A Case Report. Hematol. Rep. 2024, 16, 185-192. https://doi.org/10.3390/hematolrep16020019
Nakamura T, Uchiba M, Nakata H, Mizumoto T, Beppu T, Matsushita S. Partial Splenic Embolization in a Patient with Hemophilia A and Severe Thrombocytopenia: A Case Report. Hematology Reports. 2024; 16(2):185-192. https://doi.org/10.3390/hematolrep16020019
Chicago/Turabian StyleNakamura, Tomofumi, Mitsuhiro Uchiba, Hirotomo Nakata, Takao Mizumoto, Toru Beppu, and Shuzo Matsushita. 2024. "Partial Splenic Embolization in a Patient with Hemophilia A and Severe Thrombocytopenia: A Case Report" Hematology Reports 16, no. 2: 185-192. https://doi.org/10.3390/hematolrep16020019
APA StyleNakamura, T., Uchiba, M., Nakata, H., Mizumoto, T., Beppu, T., & Matsushita, S. (2024). Partial Splenic Embolization in a Patient with Hemophilia A and Severe Thrombocytopenia: A Case Report. Hematology Reports, 16(2), 185-192. https://doi.org/10.3390/hematolrep16020019

