The Role of Serial Fetal Echocardiography in Postnatal Surgical Decision-Making for Borderline Left Ventricle: A Case Report
Abstract
1. Introduction
2. Case Presentation
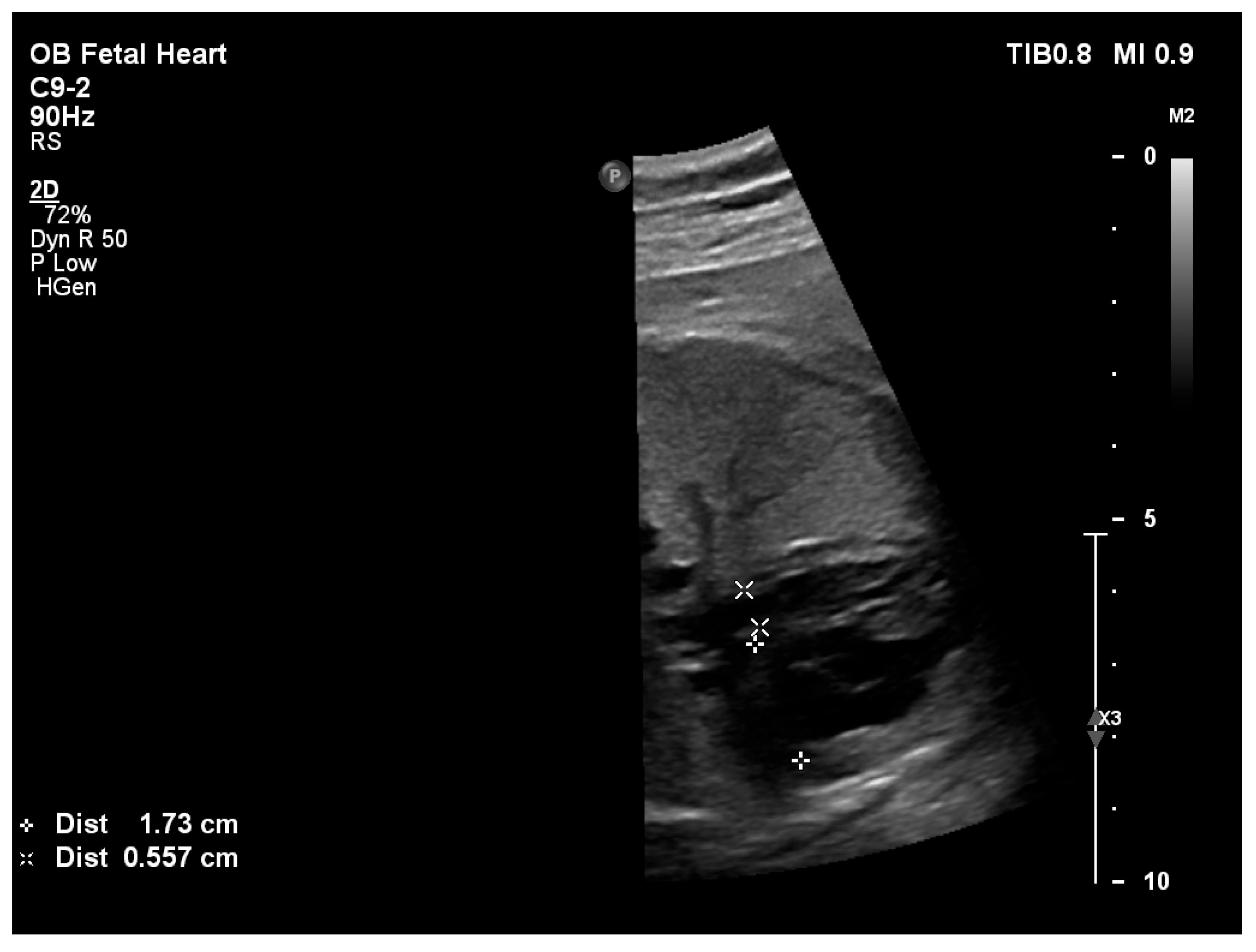
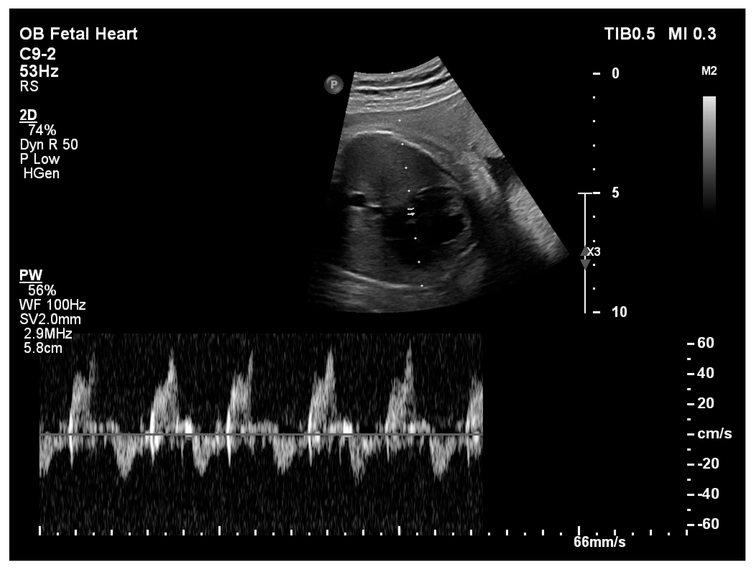
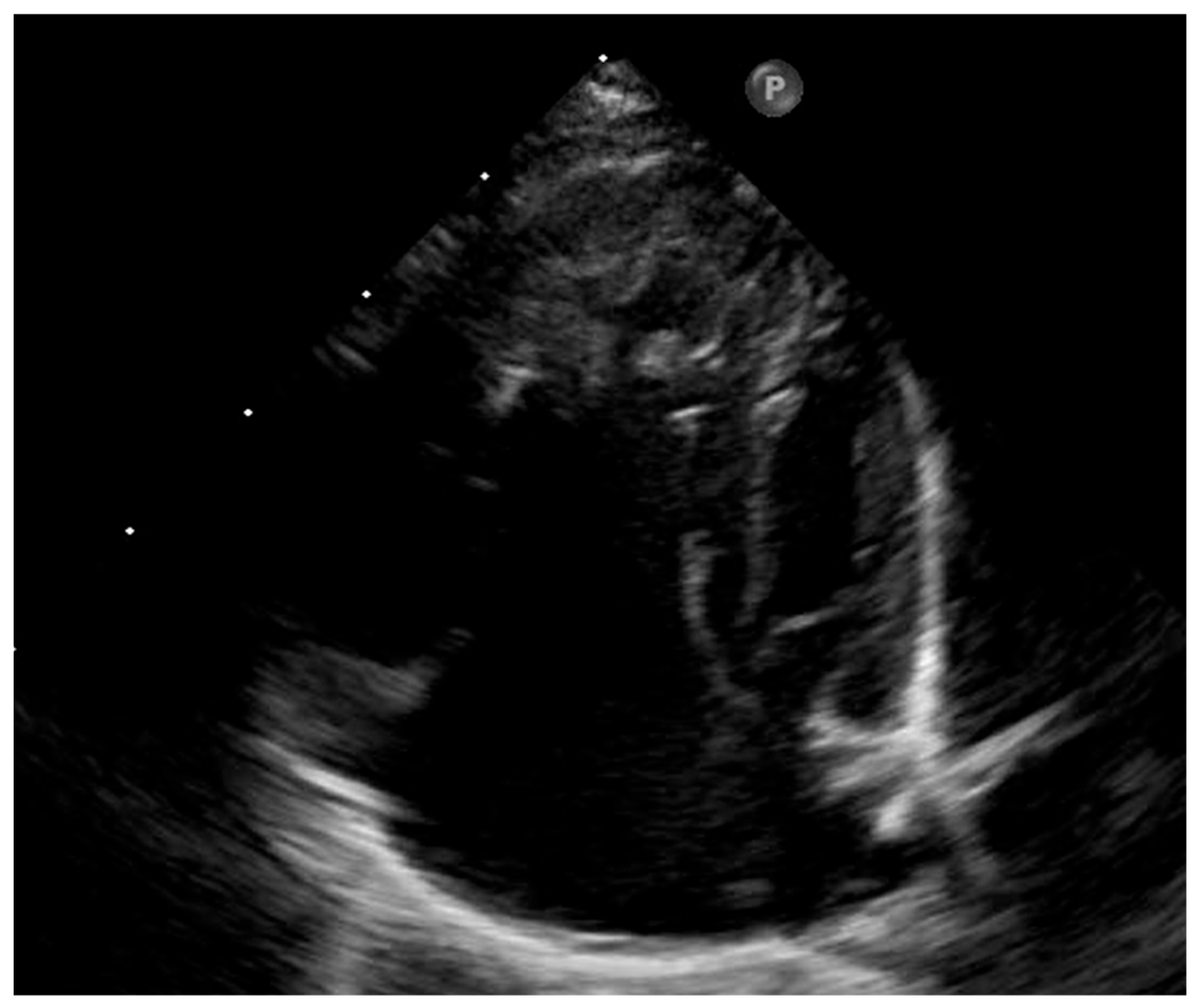
2.1. Prenatal Echocardiographic Findings
2.2. Delivery and Neonatal Course
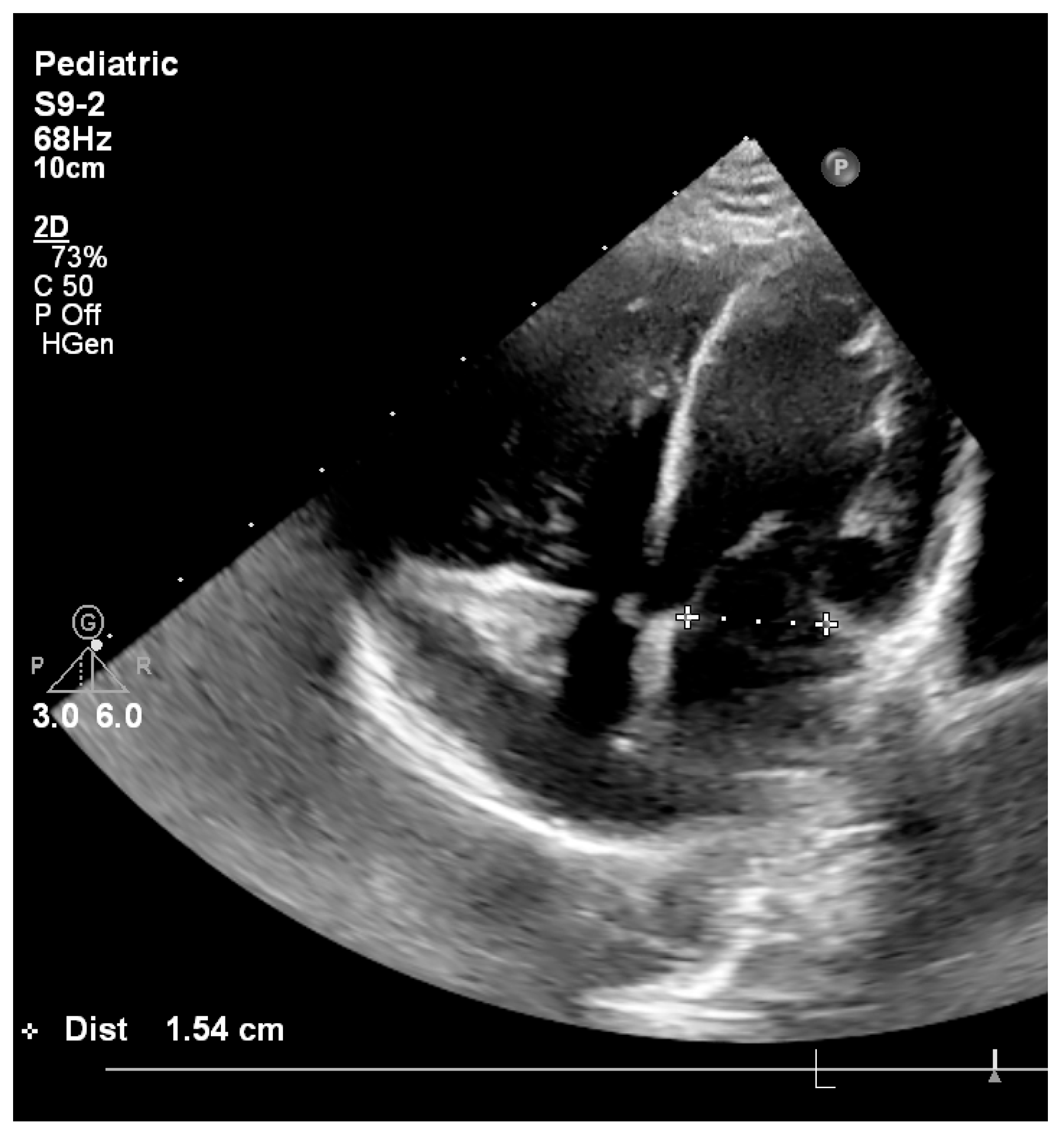
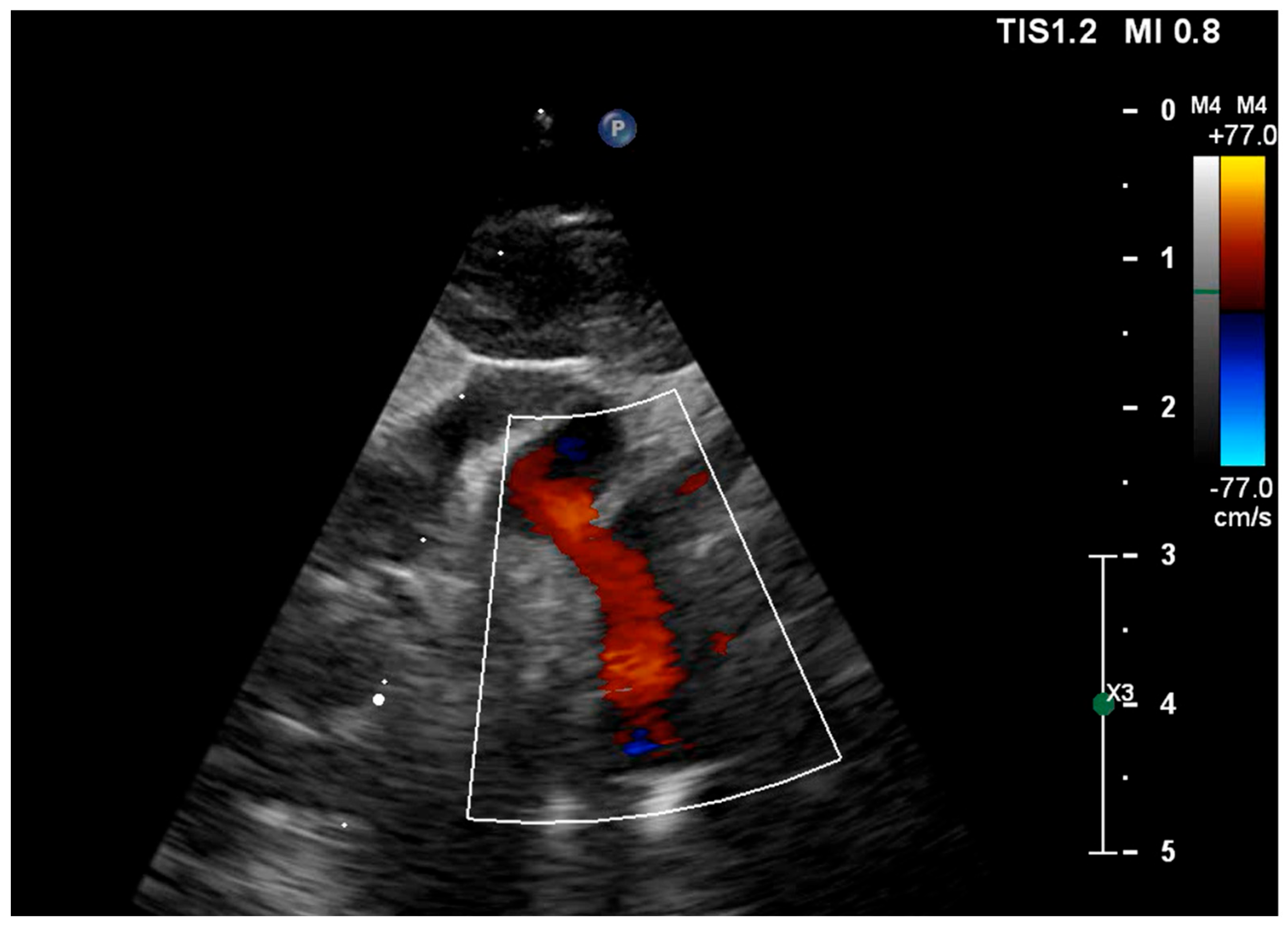
2.3. Surgical Management
2.4. Follow-Up
2.5. Ethics
3. Discussion
Limitations
4. Conclusions
Author Contributions
Funding
Institutional Review Board Statement
Informed Consent Statement
Data Availability Statement
Conflicts of Interest
Abbreviations
| LV | Left ventricle |
| LV pGLS | Left ventricular peak global longitudinal strain |
| ASD | Atrial septal defect |
| GW | Gestational weeks |
| TV | Tricuspid valve |
| MV | Mitral valve |
| EFE | Endomyocardial fibroelastosis. |
| CMR | Cardiac magnetic resonance |
| EF | Ejection fraction |
| LA | Left atrium |
References
- Corno, A.F. Borderline Left Ventricle. Eur. J. Cardio-Thorac. Surg. 2005, 27, 67–73. [Google Scholar] [CrossRef] [PubMed]
- Rhodes, L.A.; Colan, S.D.; Perry, S.B.; Jonas, R.A.; Sanders, S.P. Predictors of Survival in Neonates with Critical Aortic Stenosis. Circulation 1991, 84, 2325–2335. [Google Scholar] [CrossRef] [PubMed]
- Lofland, G.K.; McCrindle, B.W.; Williams, W.G.; Blackstone, E.H.; Tchervenkov, C.I.; Sittiwangkul, R.; Jonas, R.A. Critical Aortic Stenosis in the Neonate: A Multi-Institutional Study of Management, Outcomes, and Risk Factors. Congenital Heart Surgeons Society. J. Thorac. Cardiovasc. Surg. 2001, 121, 10–27. [Google Scholar] [CrossRef]
- Colan, S.D.; McElhinney, D.B.; Crawford, E.C.; Keane, J.F.; Lock, J.E. Validation and Re-Evaluation of a Discriminant Model Predicting Anatomic Suitability for Biventricular Repair in Neonates with Aortic Stenosis. J. Am. Coll. Cardiol. 2006, 47, 1858–1865. [Google Scholar] [CrossRef]
- Haberer, K.; Fruitman, D.; Power, A.; Hornberger, L.K.; Eckersley, L. Fetal Echocardiographic Predictors of Biventricular Circulation in Hypoplastic Left Heart Complex. Ultrasound Obstet. Gynecol. 2021, 58, 405–410. [Google Scholar] [CrossRef]
- Vorisek, C.N.; Bischofsberger, L.; Kurkevych, A.; Yürökür, U.; Wolter, A.; Gembruch, U.; Berg, C.; Hudel, H.; Thul, J.; Jux, C.; et al. Fetal Echocardiography in Predicting Postnatal Outcome in Borderline Left Ventricle. Ultraschall Med. 2023, 44, e62–e71. [Google Scholar] [CrossRef]
- Kwak, J.G.; Del Nido, P.J.; Piekarski, B.; Marx, G.; Emani, S.M. Restriction of Atrial Septal Defect Leads to Growth of Hypoplastic Ventricle in Patients with Borderline Right or Left Heart. Semin. Thorac. Cardiovasc. Surg. 2022, 34, 215–223. [Google Scholar] [CrossRef]
- Cheng, H.; Osawa, T.; Palm, J.; Schaeffer, T.; Heinisch, P.P.; Piber, N.; Röhlig, C.; Meierhofer, C.; Georgiev, S.; Hager, A.; et al. Surgical Outcome of the Borderline Hypoplastic Left Ventricle: Impact of the Left Ventricle Rehabilitation Strategy. Cardiol. Young 2024, 34, 2626–2635. [Google Scholar] [CrossRef] [PubMed]
- Rupp, S.; Thul, J.; Gummel, K.; Khalil, M.; Akintuerk, H.; Schranz, D. Surgical-Interventional Hybrid Concept in a Newborn with Borderline Left Heart. Ann. Thorac. Surg. 2017, 104, e71–e73. [Google Scholar] [CrossRef][Green Version]
- Cassanello, P.; Andreas, E.; Maria, V.S.; Stanimir, G. Converting an Infant with Borderline Left Heart Structures to Biventricular Circulation after an Initial Hybrid Norwood Approach: A Case Report. Eur. Heart J. Case Rep. 2023, 7, ytad133. [Google Scholar] [CrossRef]
- Andersen, N.D.; Overbey, D.M.; Prabhu, N.K.; McCrary, A.W.; Sherwin, J.I.; Allareddy, V.; Turek, J.W. Staged Repair of Borderline Hypoplastic Heart Disease with Early Biventricular Conversion. JTCVS Tech. 2024, 24, 150–163. [Google Scholar] [CrossRef]
- Krishnan, A.; Pike, J.I.; McCarter, R.; Fulgium, A.L.; Wilson, E.; Donofrio, M.T.; Sable, C.A. Predictive Models for Normal Fetal Cardiac Structures. J. Am. Soc. Echocardiogr. 2016, 29, 1197–1206. [Google Scholar] [CrossRef]
- Pettersen, M.D.; Du, W.; Skeens, M.E.; Humes, R.A. Regression Equations for Calculation of z Scores of Cardiac Structures in a Large Cohort of Healthy Infants, Children, and Adolescents: An Echocardiographic Study. J. Am. Soc. Echocardiogr. 2008, 21, 922–934. [Google Scholar] [CrossRef]
- Abuhamad, A.; Chaoui, R. A Practical Guide to Fetal Echocardiography: Normal and Abnormal Hearts; Lippincott Williams & Wilkins: Philadelphia, PA, USA, 2010. [Google Scholar]
- Jantzen, D.W.; Gelehrter, S.K.; Yu, S.; Donohue, J.E.; Fifer, C.G. Echocardiographic Factors Discriminating Biventricular versus Univentricular Approach in the Foetus with Borderline Left Ventricle. Cardiol. Young 2015, 25, 941–950. [Google Scholar] [CrossRef] [PubMed]
- Quartermain, M.D.; Cohen, M.S.; Dominguez, T.E.; Tian, Z.; Donaghue, D.D.; Rychik, J. Left Ventricle to Right Ventricle Size Discrepancy in the Fetus: The Presence of Critical Congenital Heart Disease Can Be Reliably Predicted. J. Am. Soc. Echocardiogr. 2009, 22, 1296–1301. [Google Scholar] [CrossRef] [PubMed]
- Făgărășan, A.; Săsăran, M.O. The Predictive Role of Plasma Biomarkers in the Evolution of Aortopathies Associated with Congenital Heart Malformations. Int. J. Mol. Sci. 2022, 23, 4993. [Google Scholar] [CrossRef] [PubMed]
- Ma, X.-J.; Huang, G.-Y. Prediction of Biventricular Repair by Echocardiography in Borderline Ventricle. Chin. Med. J. 2019, 132, 2105–2108. [Google Scholar] [CrossRef]
- Albrahimi, E.; Korun, O. Contemporary Management of Borderline Left Ventricle. Eur. J. Cardio-Thorac. Surg. 2024, 66, ezae247. [Google Scholar] [CrossRef]
- Nader, Â.R.L.; Zielinsky, P.; Naujorks, A.A.; Nicoloso, L.H.S.; Piccoli Junior, A.L.; Sulis, N.M.; van der Sand, L.F.; Antunes, V.d.B.; Marinho, G.d.S.; dos Santos, F.G.; et al. Behaviour of the Foramen Ovale Flow in Fetuses with Intrauterine Growth Restriction. Obstet. Gynecol. Int. 2018, 2018, 1496903. [Google Scholar] [CrossRef]
- Mallmann, M.R.; Herberg, U.; Gottschalk, I.; Strizek, B.; Hellmund, A.; Geipel, A.; Breuer, J.; Gembruch, U.; Berg, C. Fetal Cardiac Intervention in Critical Aortic Stenosis with Severe Mitral Regurgitation, Severe Left Atrial Enlargement, and Restrictive Foramen Ovale. Fetal Diagn. Ther. 2020, 47, 440–447. [Google Scholar] [CrossRef]
- Hosseinpour, A.-R.; González-Calle, A.; Stümper, O.; Barron, D.J. Is There Any Role for an Atrial Septal Defect in Off-Loading a Borderline Left Ventricle? Interdiscip. Cardiovasc. Thorac. Surg. 2024, 40, ivae216. [Google Scholar] [CrossRef]
- Maughan, D.W. Kinetics and Energetics of the Crossbridge Cycle. Heart Fail. Rev. 2005, 10, 175–185. [Google Scholar] [CrossRef] [PubMed]
- Nemes, A.; Kormányos, Á.; Ruzsa, Z.; Achim, A.; Ambrus, N.; Lengyel, C. Complexity of Left Ventricular Strains in Response to Elevated Volumes in Healthy Adults—Detailed Analysis from the Three-Dimensional Speckle-Tracking Echocardiographic MAGYAR-Healthy Study. Int. J. Cardiol. Heart Vasc. 2023, 47, 101236. [Google Scholar] [CrossRef]
- Cavigelli-Brunner, A.; Bauersfeld, U.; Prêtre, R.; Kretschmar, O.; Oxenius, A.; Valsangiacomo Buechel, E.R. Outcome of Biventricular Repair in Infants with Multiple Left Heart Obstructive Lesions. Pediatr. Cardiol. 2012, 33, 506–512. [Google Scholar] [CrossRef]
- Freund, J.E.; den Dekker, M.H.T.; Blank, A.C.; Haas, F.; Freund, M.W. Midterm Follow-Up After Biventricular Repair of the Hypoplastic Left Heart Complex. Ann. Thorac. Surg. 2015, 99, 2150–2156. [Google Scholar] [CrossRef]
- Plymale, J.M.; Frommelt, P.C.; Nugent, M.; Simpson, P.; Tweddell, J.S.; Shillingford, A.J. The Infant with Aortic Arch Hypoplasia and Small Left Heart Structures: Echocardiographic Indices of Mitral and Aortic Hypoplasia Predicting Successful Biventricular Repair. Pediatr. Cardiol. 2017, 38, 1296–1304. [Google Scholar] [CrossRef]
- Cantinotti, M.; Jani, V.; Kutty, S.; Marchese, P.; Franchi, E.; Pizzuto, A.; Viacava, C.; Assanta, N.; Santoro, G.; Giordano, R. Neonates and Infants with Left Heart Obstruction and Borderline Left Ventricle Undergoing Biventricular Repair: What Do We Know about Long-Term Outcomes? A Critical Review. Healthcare 2024, 12, 348. [Google Scholar] [CrossRef] [PubMed]
- Wang, Z.; Fu, H.; Li, S. Role of fetal cardiac intervention for prenatal complex CHD. Cardiol. Young 2025, 35, 1982–1988. [Google Scholar] [CrossRef] [PubMed]
- Bamgbose, M.; Garg, P.; Nathan, M.; Staffa, S.; Liddle, D.; Brown, D.; Zurakowski, D.; Kaza, A.; Emani, S. Primary Biventricular Repair in Neonates with Borderline Left Ventricle. J. Thorac. Cardiovasc. Surg. 2026; ahead of print. [Google Scholar] [CrossRef] [PubMed]
- Chen, Y.; Anzai, I.A.; Kalfa, D.M.; Vedula, V. A Patient-Specific Computational Model for Neonates and Infants with Borderline Left Ventricles. Ann. Biomed. Eng. 2026, 54, 41–61. [Google Scholar] [CrossRef] [PubMed]
- Holmstrøm, V.; Smistad, E.; Stølen, S.; Holte, E.; Løvstakken, L.; Dalen, H.; Østvik, A.; Grenne, B. Real-Time Global Longitudinal Strain During Echocardiography: A Deep Learning Platform for Improved Workflow. J. Am. Soc. Echocardiogr. 2025, 38, 1041–1051. [Google Scholar] [CrossRef] [PubMed]
- Gregory, T.S.; Oshinski, J.; Schmidt, E.J.; Kwong, R.Y.; Stevenson, W.G.; Ho Tse, Z.T. Continuous Rapid Quantification of Stroke Volume Using Magnetohydrodynamic Voltages in 3T Magnetic Resonance Imaging. Circ. Cardiovasc. Imaging 2015, 8, e003282. [Google Scholar] [CrossRef] [PubMed] [PubMed Central]
- Vaikom House, A.; Singh, A.; Sapruangrang, A.; Jaeggi, E.; Barron, D.J.; Lam, C.Z.; Yoo, S.J. Borderline left ventricular hypoplasia without significant aortic or mitral stenosis: Cardiac magnetic resonance criteria for biventricular repair. Eur. J. Cardiothorac. Surg. 2025, 67, ezaf203. [Google Scholar] [CrossRef] [PubMed]
- Lam, C.Z.; Yoo, S.J.; Honjo, O.; Barron, D.J. Borderline Left Ventricle: Criteria for Surgical Decision Making With an Emphasis on Cardiac Magnetic Resonance Imaging. Semin. Thorac. Cardiovasc. Surg. Pediatr. Card. Surg. Annu. 2025, 28, 21–28. [Google Scholar] [CrossRef] [PubMed]






| Parameter | 32 GW | 35 GW | 37 GW | Reference Ranges/Commonly Used Thresholds [2,3,4,12,13] |
|---|---|---|---|---|
| Ventricular disproportion (TV/MV ratio) | ≥1.5 (Yes) | ≥1.5 (Yes) | ≥1.5 (Yes) | TV/MV ≥ 1.5 indicates significant ventricular disproportion |
| Mitral valve Z-score | −4.57 | −4.40 | −4.64 | Normal: −2 to +2; Z-score < −3 associated with unfavorable anatomy for primary biventricular repair |
| Biphasic transmitral inflow | Present | Present | Present | Biphasic pattern consistent with impaired LV relaxation |
| Aortic annulus Z-score | −3.36 | −3.30 | −3.28 | Normal: −2 to +2; Z-score < −3 indicates severe hypoplasia |
| Aortic isthmus Z-score | −3.46 | −3.43 | −3.40 | Z-score < −3 consistent with severe arch hypoplasia/coarctation |
| Endomyocardial fibroelastosis | Absent | Absent | Absent | Presence of EFE is an adverse predictor for biventricular repair |
| Restrictive atrial septal defect | No | No | No | Restriction suggested by high-velocity atrial shunt and LA hypertension |
| Apex-forming left ventricle | No | No | No | Apex-forming LV generally favors biventricular feasibility |
| LV peak global longitudinal strain (%) | −18.3 | −18.6 | −19.3 | Typical fetal LV pGLS ≈ −16% to −22% |
| Parameter | First Day of Life | Day 1 Postoperative | 2-Year Follow-Up |
|---|---|---|---|
| Mitral valve annulus (mm) | 8.5 | 8.7 | 15.4 |
| Mitral valve z-score | −4.1 | −4.0 | −0.6 |
| Aortic valve annulus (mm) | 5.9 | 6 | 10 |
| Aortic valve z-score | −3.5 | −3.5 | +1.3 |
| Left ventricle peak global longitudinal strain | −18.3% | −18.7% | −21.9% |
| Mean transmitral gradient (mmHg) | 3 | 4 | 4 |
| Atrial septal defect (mm) | 6 | 3 | 3 |
| Direction of atrial shunt | Left-to-right | Left-to-right | Left-to-right |
| Estimated pulmonary systolic pressure (mmHg) | 54 | 42 | 20 |
Disclaimer/Publisher’s Note: The statements, opinions and data contained in all publications are solely those of the individual author(s) and contributor(s) and not of MDPI and/or the editor(s). MDPI and/or the editor(s) disclaim responsibility for any injury to people or property resulting from any ideas, methods, instructions or products referred to in the content. |
© 2026 by the authors. Licensee MDPI, Basel, Switzerland. This article is an open access article distributed under the terms and conditions of the Creative Commons Attribution (CC BY) license.
Share and Cite
Cerghit-Paler, A.; Gabor-Miklosi, D.; Muntean, I.; Crauciuc, G.-A.; Toma, D.; Beligan, L.; Gozar, L. The Role of Serial Fetal Echocardiography in Postnatal Surgical Decision-Making for Borderline Left Ventricle: A Case Report. Pediatr. Rep. 2026, 18, 18. https://doi.org/10.3390/pediatric18010018
Cerghit-Paler A, Gabor-Miklosi D, Muntean I, Crauciuc G-A, Toma D, Beligan L, Gozar L. The Role of Serial Fetal Echocardiography in Postnatal Surgical Decision-Making for Borderline Left Ventricle: A Case Report. Pediatric Reports. 2026; 18(1):18. https://doi.org/10.3390/pediatric18010018
Chicago/Turabian StyleCerghit-Paler, Andreea, Dorottya Gabor-Miklosi, Iolanda Muntean, George-Andrei Crauciuc, Daniela Toma, Laura Beligan, and Liliana Gozar. 2026. "The Role of Serial Fetal Echocardiography in Postnatal Surgical Decision-Making for Borderline Left Ventricle: A Case Report" Pediatric Reports 18, no. 1: 18. https://doi.org/10.3390/pediatric18010018
APA StyleCerghit-Paler, A., Gabor-Miklosi, D., Muntean, I., Crauciuc, G.-A., Toma, D., Beligan, L., & Gozar, L. (2026). The Role of Serial Fetal Echocardiography in Postnatal Surgical Decision-Making for Borderline Left Ventricle: A Case Report. Pediatric Reports, 18(1), 18. https://doi.org/10.3390/pediatric18010018

