Severe Lower Urinary Tract Dysfunction in Otherwise Healthy Children: A Three-Case Series and Narrative Review
Abstract
1. Introduction
2. Case Series
2.1. Methods
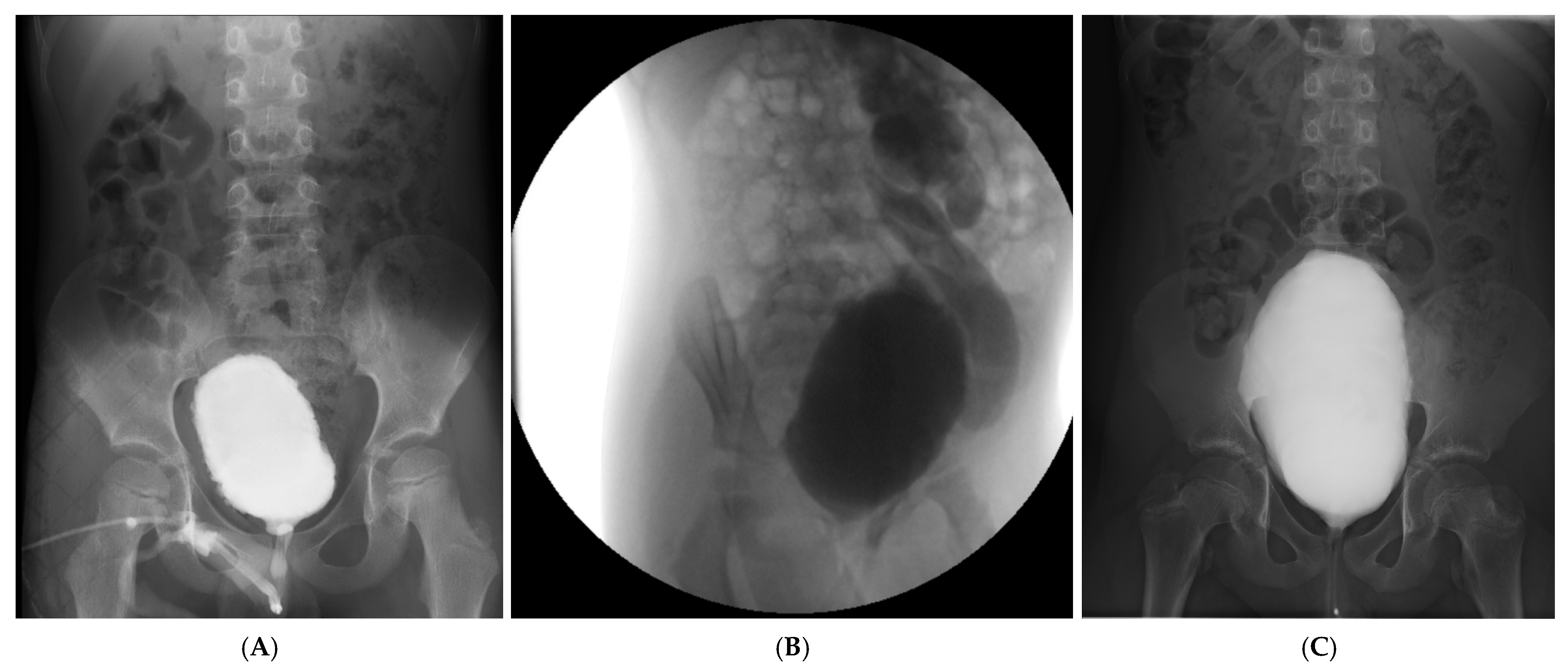
2.2. Case Presentations
| Characteristic | Case 1 | Case 2 | Case 3 |
|---|---|---|---|
| Age/Sex | 7 years/Male | 3 years/Female | 10 years/Male |
| Presenting Symptoms | Recurrent febrile UTIs, daytime incontinence, urgency, enuresis | Fever, pollakiuria, dysuria, incontinence | Acute urinary retention (recurrent episodes) |
| Prior History | Multiple UTIs over the preceding year | Persistent LUTS after treated UTI | Three prior ED visits for retention |
| Ultrasound Findings | Moderate bladder wall thickening; no residual urine | Left ureterohydronephrosis; crenulated bladder wall | Bladder wall thickened (7–8 mm), irregular contour, heterogeneous content |
| VCUG Findings | Crenulated bladder, no reflux, normal emptying | Grade V left VUR, dilated tortuous ureter, no voiding achieved | Large-capacity bladder, mild crenulation, grade I VUR, incomplete emptying |
| Renal Scintigraphy (DMSA) | – | Left kidney: small, irregular, cortical scarring; function 18.7% | – |
| Cystoscopy Findings | Deep trabeculations, pseudopolypoid mucosa, diverticula, dilated vessels | Marked trabeculation, cell-like and columnar mucosa, difficult ureteric visualization | Trabeculated, pseudodiverticular bladder mucosa, normal urethra |
| Urodynamic Pattern | Detrusor overactivity, reduced capacity, uninhibited contractions | Poor compliance, detrusor–sphincter dyssynergia, high PVR | Hypocontractile detrusor, weak flow (Qmax 4 mL/s), high PVR |
| Diagnosis | Severe functional LUTD | Hinman syndrome (non-neurogenic neurogenic bladder) | Functional LUTD with hypocontractile bladder |
| Treatment | Urotherapy, trospium chloride, CAP, biofeedback | CAP, trospium chloride, CIC, biofeedback | Tamsulosin (Omnic-Tocas), biofeedback |
| Outcome | Initial remission; recurrence after withdrawal, improved with retreatment | Gradual improvement; resolution of UTIs, stable bladder function | Gradual recovery; resolution of acute retention episodes |
3. Discussion
3.1. Suggested Diagnostic Approach to Severe LUTD in Neurologically Intact Children
3.2. Pathophysiologic Considerations
3.3. Clinical and Diagnostic Correlation
3.4. Management Implications
3.5. Combination Therapy with Trospium Chloride and Biofeedback
3.6. Outcomes and Comparison with Literature
| Study/Source | Age/Sex | Neurological Findings | Key Imaging/Cystoscopic Findings | Urodynamic Pattern | Management | Outcome/Remarks |
|---|---|---|---|---|---|---|
| Present Report—Case 1 | 7 y/M | Normal | Crenulated bladder, trabeculated mucosa, pseudopolypoid changes | Detrusor overactivity, small capacity, uninhibited contractions | Trospium chloride, CAP, biofeedback | Resolution of incontinence and UTIs; relapse after withdrawal, improved with retreatment |
| Present Report—Case 2 | 3 y/F | Normal | Grade V VUR, trabeculated pseudopolypoid mucosa, difficult ureteric visualization | Poor compliance, detrusor–sphincter dyssynergia, high PVR | CAP, trospium chloride, CIC, biofeedback | Gradual functional improvement; resolution of UTIs; diagnosed as Hinman syndrome |
| Present Report—Case 3 | 10 y/M | Normal | Large-capacity bladder, mild crenulation, trabeculated trigone | Hypocontractile detrusor, low Qmax (4 mL/s), high PVR | Tamsulosin (Omnic-Tocas), biofeedback | Slow but complete resolution of acute retention |
| Hinman [13] | 6–15 y/Mixed | Normal | Trabeculated, thick-walled bladder; VUR common | Detrusor–sphincter dyssynergia; high pressures | Behavioral retraining, catheterization | Variable; some progressed to renal failure |
| Lee et al. [24] | 5–17 y/14 pts | Normal | Trabeculation, diverticula, VUR in 50% | Poor compliance; DSD | CIC ± anticholinergics | Improved bladder compliance; preserved renal function in most |
| Chaichanamongkol et al. [26] | 1.5 y/M | Normal | VUR, hydronephrosis | DSD; poor compliance | CIC, CAP | Recovery from renal failure; long-term follow-up stable |
| Gampala et al. [12] | 14 y/M | Normal | Bilateral VUR, trabeculated bladder | DSD; incomplete voiding | Anticholinergic, CIC | Improved voiding and infection control |
| Jayanthi et al. [25] | <2 y/Mixed | Normal | Thickened bladder wall; reflux | DSD, poor compliance | CIC, behavioral therapy | Early infancy presentation; good outcome with early management |
| Wan et al. [27] | 9 y/F | Normal | Normal bladder and urethra | Normal detrusor; voluntary retention | Psychological counseling | Complete recovery; illustrates differential |
3.7. Misdiagnosis and Iatrogenic Management Pitfalls
3.8. Limitations
3.9. Clinical Takeaways
4. Conclusions
Supplementary Materials
Author Contributions
Funding
Institutional Review Board Statement
Informed Consent Statement
Data Availability Statement
Acknowledgments
Conflicts of Interest
Abbreviations
| LUTD | Lower Urinary Tract Dysfunction |
| UTI | Urinary Tract Infection |
| VCUG | Voiding Cystourethrography |
| ED | Emergency Department |
References
- Austin, P.F.; Bauer, S.B.; Bower, W.; Chase, J.; Franco, I.; Hoebeke, P.; Rittig, S.; Vande Walle, J.; von Gontard, A.; Wright, A.; et al. The standardization of terminology of lower urinary tract function in children and adolescents: Update report from the Standardization Committee of the International Children’s Continence Society. J. Urol. 2014, 191, 1863–1865.e13. [Google Scholar] [CrossRef] [PubMed]
- Chase, J.; Austin, P.F.; Hoebeke, P.; McKenna, P. The management of dysfunctional voiding in children: A report from the International Children’s Continence Society. J. Urol. 2010, 183, 1296–1302. [Google Scholar] [CrossRef] [PubMed]
- Nevéus, T.; von Gontard, A.; Hoebeke, P.; Hjälmås, K.; Bauer, S.; Bower, W.; Jørgensen, T.M.; Rittig, S.; Walle, J.V.; Yeung, C.K.; et al. The standardization of terminology of lower urinary tract function in children and adolescents: Report from the Standardisation Committee of the International Children’s Continence Society. J. Urol. 2006, 176, 314–324. [Google Scholar] [CrossRef] [PubMed]
- Kopač, M. Pediatric Lower Urinary Tract Dysfunction: A Comprehensive Exploration of Clinical Implications and Diagnostic Strategies. Biomedicines 2024, 12, 945. [Google Scholar] [CrossRef] [PubMed]
- Fuentes, M.; Figueroa, V.; Burbano, J. Diagnosis and management of bladder dysfunction in children. Front. Pediatr. 2019, 7, 298. [Google Scholar] [CrossRef]
- Wang, J.; Ren, L.; Liu, X.; Liu, J.; Ling, Q. Underactive Bladder and Detrusor Underactivity: New Advances and Prospectives. Int. J. Mol. Sci. 2023, 24, 15517. [Google Scholar] [CrossRef]
- Franco, I. Functional bladder problems in children: Pathophysiology, diagnosis, and treatment. Pediatr. Clin. N. Am. 2012, 59, 783–817. [Google Scholar] [CrossRef] [PubMed]
- Keren, R.; Shaikh, N.; Pohl, H.G. Risk factors for recurrent urinary tract infection and renal scarring in children. Pediatrics 2015, 169, 913–921. [Google Scholar] [CrossRef]
- Shaikh, N.; Morone, N.E.; Lopez, J. Recurrent urinary tract infections in children with bladder and bowel dysfunction. Pediatrics 2016, 136, e13–e21. [Google Scholar] [CrossRef]
- Veauthier, B.; Cabrera, J. Urinary tract infections in young children and infants: Common questions and answers. Am. Fam. Physician 2020, 102, 278–285. [Google Scholar]
- Nieuwhof-Leppink, A.; Hussong, J.; Chase, J.; Larsson, J.; Renson, C.; Hoebeke, P.; Yang, S.; von Gontard, A. Definitions, indications and practice of urotherapy in children and adolescents: A standardization document of the International Children’s Continence Society (ICCS). J. Pediatr. Urol. 2021, 17, 172–181. [Google Scholar] [CrossRef] [PubMed]
- Gampala, S.; Alkukhun, L.; Khan, Z.; Hanumaiah, R.; Majmudar, A. Hinman Syndrome: A Rare Entity with Neurogenic Bladder-Like Symptoms. Cureus 2024, 16, e55684. [Google Scholar] [CrossRef] [PubMed]
- Hinman, F. Nonneurogenic neurogenic bladder (the Hinman syndrome)—15-year follow-up of 14 cases. J. Urol. 1986, 136, 769–777. [Google Scholar] [CrossRef]
- Hinman, F.; Baskin, L.S. Hinman’s Atlas of Pediatric Urologic Surgery; Elsevier Health Sciences; Elsevier: Amsterdam, The Netherlands, 2009. [Google Scholar]
- Nevéus, T.; von Gontard, A.; Hoebeke, P. The standardization of terminology of lower urinary tract function in children and adolescents. Neurourol. Urodyn. 2016, 35, 471–481. [Google Scholar] [CrossRef]
- Hoebeke, P.; Van Laecke, E.; Raes, A.; Renson, C.; Theunis, M.; Vande Walle, J. Bladder function and non-neurogenic dysfunction in children: Classification and terminology. Acta Urol. Belg. 1995, 63, 93–98. [Google Scholar] [PubMed]
- Leclair, M.D.; Héloury, Y. Non-neurogenic elimination disorders in children. J. Pediatr. Urol. 2010, 6, 338–345. [Google Scholar] [CrossRef]
- Lopez Pereira, P.; Miguelez, C.; Caffarati, J.; Estornell, F.; Anguera, A. Trospium Chloride for the Treatment of Detrusor Instability in Children. J. Urol. 2003, 170, 1978–1981. [Google Scholar] [CrossRef]
- Boussetta, A.; Jellouli, M.; Baati, R.; Gargah, T. Neurogenic non-neurogenic bladder in childhood: Complications and prognostic factors. Tunis. Med. 2021, 99, 898. [Google Scholar]
- Kroll, P. Pharmacotherapy for Pediatric Neurogenic Bladder. Paediatr. Drugs 2017, 19, 463–478. [Google Scholar] [CrossRef] [PubMed] [PubMed Central]
- Board, U.E. Efficacy and Safety of Trospium Chloride Use in Children with Idiopathic and Neurogenic Detrusor Overactivity: An Overview of Available Data. Urotoday Int. J. 2011, 4, art17. [Google Scholar] [CrossRef]
- Schultz-Lampel, D.; Steuber, C.; Hoyer, P.F.; Bachmann, C.J.; Marschall-Kehrel, D.; Bachmann, H. Urinary incontinence in children. Dtsch. Arztebl. Int. 2011, 108, 613–620. [Google Scholar] [CrossRef] [PubMed] [PubMed Central]
- Danilov, V.V.; Golovina, O.B.; Danilov, V.V. Trospium chloride in children: Dynamic changes of the residual urine symptom during treatment of urination disorders. Clin. Rev. Gen. Pract. 2024, 5, 99–104. [Google Scholar] [CrossRef]
- Lee, D.H.; Kim, Y.S.; Lee, H.Y.; Han, S.W. Hinman Syndrome: Long-Term Follow-up of 14 Cases. Korean J. Urol. 2007, 48, 1058–1064. [Google Scholar] [CrossRef]
- Jayanthi, V.R.; Khoury, A.E.; McLorie, G.A.; Agarwal, S.K. The Nonneurogenic Neurogenic Bladder of Early Infancy. J. Urol. 1997, 158, 1282–1286. [Google Scholar] [CrossRef]
- Chaichanamongkol, V.; Ikeda, M.; Ishikura, K. An Infantile Case of Hinman Syndrome with Severe Acute Renal Failure. Clin. Exp. Nephrol. 2008, 12, 145–149. [Google Scholar] [CrossRef]
- Wan, K.S.; Yang, C.C. Psychogenic Urinary Retention in Children: A Case Report. Pediatr. Neonatol. 2010, 51, 375–378. [Google Scholar] [CrossRef]
- Nerli, R.; Pujar, S.; Ghagane, S.; Hiremath, M.; Dixit, N. Persistence and appearance of vesicoureteral reflux/obstruction following open reimplantation for vesicoureteral reflux. J. Sci. Soc. 2019, 46, 90. [Google Scholar] [CrossRef]
- Capozza, N.; Lais, A.; Matarazzo, E.; Nappo, S.; Patricolo, M.; Caione, P. Influence of Voiding Dysfunction on the Outcome of Endoscopic Treatment for Vesicoureteral Reflux. J. Urol. 2002, 168, 1695–1698. [Google Scholar] [CrossRef]
- Sillén, U. Bladder Dysfunction and Vesicoureteral Reflux. Adv. Urol. 2008, 2008, 815472. [Google Scholar] [CrossRef]
- Noe, H.N. The Role of Dysfunctional Voiding in Failure or Complication of Ureteral Reimplantation for Primary Reflux. J. Urol. 1985, 134, 1172–1175. [Google Scholar] [CrossRef]
- Whittam, B.M.; Thomasch, J.R.; Makari, J.H.; Tanaka, S.T.; Thomas, J.C.; Pope, J.C.; Adams, M.C.; Brock, J.W. Febrile Urinary Tract Infection After Ureteroneocystostomy: A Contemporary Assessment at a Single Institution. J. Urol. 2010, 183, 688–693. [Google Scholar] [CrossRef]
- Lipski, B.A.; Mitchell, M.E.; Burns, M.W. Voiding dysfunction after bilateral extravesical ureteral reimplantation. J. Urol. 1998, 159, 1019–1021. [Google Scholar] [CrossRef] [PubMed]
- Minevich, E.; Aronoff, D.; Wacksman, J.; Sheldon, C.A. Voiding dysfunction after bilateral extravesical detrusorrhaphy. J. Urol. 1998, 160, 1004–1006. [Google Scholar] [CrossRef] [PubMed]
- Cerwinka, W.H.; Scherz, H.C.; Kirsch, A.J. Endoscopic treatment of vesicoureteral reflux with dextranomer/hyaluronic acid in children. Adv. Urol. 2008, 2008, 513854. [Google Scholar] [CrossRef] [PubMed] [PubMed Central][Green Version]
- Gnech, M.; Hoen, L.; Zachou, A.; Bogaert, G.; Castagnetti, M.; O’Kelly, F.; Quaedackers, J.; Rawashdeh, Y.F.; Silay, M.S.; Kennedy, U.; et al. Update and Summary of the European Association of Urology/European Society of Paediatric Urology Paediatric Guidelines on Vesicoureteral Reflux in Children. Eur. Urol. 2024, 85, 433–442. [Google Scholar] [CrossRef]
- Clothier, J.C.; Wright, A.J. Dysfunctional voiding: The importance of non-invasive urodynamics in diagnosis and treatment. Pediatr. Nephrol. 2018, 33, 381–394. [Google Scholar] [CrossRef] [PubMed] [PubMed Central]
- RIVUR Trial Investigators; Hoberman, A.; Greenfield, S.P.; Mattoo, T.K.; Keren, R.; Mathews, R.; Pohl, H.G.; Kropp, B.P.; Skoog, S.J.; Nelson, C.P.; et al. Antimicrobial Prophylaxis for Children with Vesicoureteral Reflux. N. Engl. J. Med. 2014, 370, 2367–2376. [Google Scholar] [CrossRef]

| Characteristic | Description/Rationale |
|---|---|
| Neurologically and anatomically normal | Supports non-neurogenic, non-structural etiology |
| Recurrent UTIs (≥2 febrile or ≥3 culture-proven within 12 months) | Indicates clinically significant morbidity |
| Urodynamic evidence of detrusor overactivity, dyssynergia, or underactivity | Defines severe functional LUTD phenotype |
| No prior lower urinary tract surgery related to functional obstruction at the time of LUTD evaluation; no systemic disease affecting voiding | Excludes iatrogenic or systemic confounders |
| Common Misstep | Underlying Issue/Reason | Typical Consequence | Evidence-Based Alternative (ICCS & Current Guidelines) * |
|---|---|---|---|
| Performing cystoscopic bulking injections for presumed VUR without functional assessment | Misinterpretation of rUTIs or hydronephrosis as anatomical reflux | Persistence or recurrence of UTIs and incontinence; unresolved high bladder pressures; possible upper tract deterioration | Comprehensive LUTD work-up first: uroflowmetry, post-void residual (PVR), and urodynamics; initiate urotherapy ± pharmacotherapy before considering anti-reflux surgery |
| Ureteral reimplantation in children with unrecognized dysfunctional voiding | Reflux secondary to bladder outlet dysfunction misdiagnosed as primary anatomical VUR | Postoperative persistence of reflux/incontinence; recurrent infections despite technically successful surgery | Treat functional outlet dysfunction (biofeedback, timed voiding, bowel management, antimuscarinics/α-blockers); reassess reflux after functional correction |
| Labeling incontinence or retention as behavioral without urodynamic confirmation | Lack of objective testing; underestimation of detrusor overactivity or underactivity | Delayed diagnosis; progression to hydronephrosis or renal scarring | Early non-invasive uroflow/PVR; cystometry when indicated; phenotype-guided therapy |
| Neglecting constipation or bowel dysfunction in LUTD management | Overlooking bladder–bowel interaction | Treatment failure; recurrent UTIs and incontinence | Integrated bowel regimen as part of standard urotherapy; dietary fiber, laxatives, timed toileting |
| Prolonged antibiotic prophylaxis without addressing voiding dysfunction | Treating infection consequence rather than the cause | Persistent bacteriuria and antimicrobial resistance | Functional evaluation and correction; prophylaxis only as temporary adjunct during therapy initiation |
| Proceeding to invasive or surgical intervention before multidisciplinary review | Fragmented care, absence of urodynamic input | Iatrogenic morbidity, continued symptoms | Multidisciplinary team evaluation (urology, nephrology, physiotherapy, psychology); individualized stepwise management |
Disclaimer/Publisher’s Note: The statements, opinions and data contained in all publications are solely those of the individual author(s) and contributor(s) and not of MDPI and/or the editor(s). MDPI and/or the editor(s) disclaim responsibility for any injury to people or property resulting from any ideas, methods, instructions or products referred to in the content. |
© 2026 by the authors. Licensee MDPI, Basel, Switzerland. This article is an open access article distributed under the terms and conditions of the Creative Commons Attribution (CC BY) license.
Share and Cite
Stanciu, O.-O.; Moga, A.; Balanescu, L.; Andriescu, M.; Caragata, R.; Balanescu, R. Severe Lower Urinary Tract Dysfunction in Otherwise Healthy Children: A Three-Case Series and Narrative Review. Pediatr. Rep. 2026, 18, 20. https://doi.org/10.3390/pediatric18010020
Stanciu O-O, Moga A, Balanescu L, Andriescu M, Caragata R, Balanescu R. Severe Lower Urinary Tract Dysfunction in Otherwise Healthy Children: A Three-Case Series and Narrative Review. Pediatric Reports. 2026; 18(1):20. https://doi.org/10.3390/pediatric18010020
Chicago/Turabian StyleStanciu, Olivia-Oana, Andreea Moga, Laura Balanescu, Mircea Andriescu, Ruxandra Caragata, and Radu Balanescu. 2026. "Severe Lower Urinary Tract Dysfunction in Otherwise Healthy Children: A Three-Case Series and Narrative Review" Pediatric Reports 18, no. 1: 20. https://doi.org/10.3390/pediatric18010020
APA StyleStanciu, O.-O., Moga, A., Balanescu, L., Andriescu, M., Caragata, R., & Balanescu, R. (2026). Severe Lower Urinary Tract Dysfunction in Otherwise Healthy Children: A Three-Case Series and Narrative Review. Pediatric Reports, 18(1), 20. https://doi.org/10.3390/pediatric18010020

