Next Article in Journal
Multidrug-Resistant Extraintestinal Pathogenic Escherichia coli Exhibits High Virulence in Calf Herds: A Case Report
Previous Article in Journal
N-Acyl Homoserine Lactone-Degrading Bacillus sp. Improves the Survival of Penaeus vannamei Larvae Challenged with Vibrio harveyi
 
 
Font Type:
Arial Georgia Verdana
Font Size:
Aa Aa Aa
Line Spacing:
Column Width:
Background:
Case Report

Human Toxocariasis: Presenting a Case Report of Eosinophilic Myocarditis Associated with Toxocara canis Infection and a Literature Review

by
Anna Nikopoulou
1,*,
Lazaros Sideras
1,
Athanasia Marina Peristeri
1,
Panagiota Ligda
2,
Olympia Akritidou
1 and
Smaragda Sotiraki
2
1
Department of Internal Medicine, G. Papanikolaou General Hospital of Thessaloniki, 57010 Thessaloniki, Greece
2
Veterinary Research Institute, Hellenic Agricultural Organisation (ELGO)-DIMITRA, 57001 Thermi, Greece
*
Author to whom correspondence should be addressed.
Microbiol. Res. 2025, 16(3), 58; https://doi.org/10.3390/microbiolres16030058
Submission received: 16 February 2025 / Revised: 22 February 2025 / Accepted: 24 February 2025 / Published: 28 February 2025

Abstract

Toxocariasis is a parasitic zoonosis caused by ascarid nematodes of dogs (Toxocara canis) or cats (Toxocara cati). Transmission to humans can occur in various ways, most commonly through the ingestion of infective embryonated eggs in soil or on vegetables or fruits and less frequently through ingestion of raw or undercooked meat contaminated with larvae. The disease manifestations span a broad clinical spectrum, ranging from asymptomatic seropositivity to severe systemic complications including sepsis and septic shock, with the presentation varying according to the affected organ systems. Cardiac involvement is a rare but potentially life-threatening complication and consists of myocarditis, pericarditis or Loeffler’s endocarditis (eosinophilic myocarditis). We present a case of eosinophilic myocarditis associated with Toxocara canis infection in a 54-year-old woman living in a rural area near the forest and provide a brief review of the literature.

1. Introduction

The roundworms Toxocara canis and T. cati are zoonotic parasites that can infect humans, causing a condition commonly referred to in medical practice as toxocariasis. Recent studies indicate a rising seroprevalence of toxocariasis in certain countries, including the United States, where it is recognized as the most common parasitic infection [1]. Human infection typically occurs through the ingestion of eggs present in contaminated soil, as well as via consumption of perishables, such as inadequately washed vegetables, or undercooked meat containing Toxocara spp. larvae [2]. After hatching in the intestinal lumen, the larvae can disseminate through systemic circulation and invade nearly any tissue. In addition to the well-established syndromes of visceral larva migrans (VLM) and ocular larva migrans (OLM), three additional clinical entities have been identified: covert toxocariasis, common toxocariasis, and neurotoxocariasis [3].
The clinical presentation of toxocariasis varies depending on the affected organs. Cardiac involvement, albeit less common, is a recognized complication of VLM. Reports of eosinophilic myocarditis, pericarditis, and Loeffler’s endocarditis suggest that Toxocara spp. infection can have significant cardiac implications. Eosinophilic myocarditis secondary to Toxocara spp. infection is a rare but significant manifestation in the clinical progression of toxocariasis. This form of myocarditis is particularly concerning due to its potential to cause severe, life-threatening cardiac complications [4]. Eosinophilic myocarditis in the context of Toxocara spp. infection often presents as a diagnostic challenge and is frequently underrecognized, especially in regions with a high prevalence of parasitic infections. According to one study, a significant proportion of cases of Toxocara myocarditis are classified as idiopathic, highlighting the need for increased awareness of this parasitic cause in unexplained eosinophilic myocarditis [5].
This report presents a case of a 54-year-old woman diagnosed with eosinophilic myocarditis secondary to Toxocara spp. infection, a rare and challenging complication. This case emphasizes the diagnostic difficulties and treatment complexities faced by clinicians in managing parasitic-induced myocarditis. The patient’s presentation differed notably from typical toxocariasis cases, demonstrating the need for strong clinical suspicion and rapid diagnostic evaluation.
We aimed to further elucidate key clinical features and investigative strategies that may aid in the early identification and management of this life-threatening condition, conducting also a comprehensive literature review on T. canis infection.

2. Case Presentation

A 54-year-old female patient presented to the emergency department with a 6-day history of fatigue, dyspnoea on exertion, apraxia, unsteadiness of gait and involuntary movements of the upper limbs. She also complained of diplopia and blurred vision over the past two days prior to her admission. The patient and her relatives did not report fever, pain in any part of the body, nor gastrointestinal symptoms. Her past medical history was unremarkable. The patient was a schoolteacher residing in a rural area, who kept a fully vaccinated cat and dog as pets, both of which received regular antiparasitic treatments. She was an active participant in a mountaineering club and frequently engaged in extended hikes within a nearby forest. There was no history of recent travel, and the patient reported no consumption of raw or undercooked meat, unpasteurized milk, or dairy products from uncertified sources.
On physical examination, the patient exhibited disorientation in space and time, upper limb dysmetria, gait instability, and bradyphrenia. Laboratory findings (Table 1) included peripheral blood eosinophilia, with a count of 2480/μL, and abnormal liver function tests. Serum troponin was markedly elevated at 9.28 ng/mL (upper limit of normal [ULN]: 0.04 ng/mL), and serum immunoglobulin E (IgE) levels were also increased to 161 U/mL (ULN: 100 U/mL).
Electrocardiography (ECG) demonstrated regular sinus rhythm, with T-wave inversions in leads II, III, aVF, V3, V4, V5, and V6 (Figure 1a). Transthoracic echocardiography (TTE) revealed increased left ventricular (LV) wall thickness, attributed to myocardial edema, while the estimated LV ejection fraction (LVEF) remained preserved at 56%. No significant valvular dysfunction or pericardial effusion was detected (Figure 1b). A computed tomography angiography (CTA) was performed to exclude aortic dissection, yielding negative results. Based on these findings, the patient was admitted to the cardiology department with a preliminary diagnosis of acute myocarditis of unknown etiology.
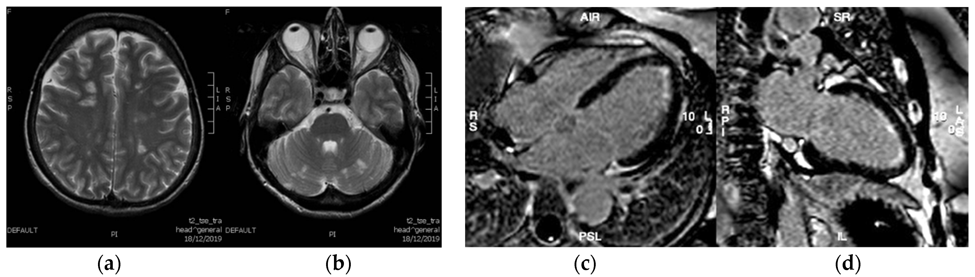
Upon admission, a neurology consultation was requested due to the patient’s progressively worsening neurological symptoms. Brain magnetic resonance imaging (MRI) revealed high signal intensity on T2-weighted sequences in multiple cortical regions, and in deep white matter (Figure 2a), as well as in both cerebellar hemispheres (Figure 2b). These findings were suggestive of multiple embolic events. Additional investigations, including a lumbar puncture, ophthalmological examination, and abdominal ultrasound, yielded no evidence of active infection. Cardiac MRI identified a small LV apical thrombus and diffuse subendocardial late gadolinium enhancement (LGE), particularly in the mid and apical LV regions, which is indicative of myocardial inflammation consistent with eosinophilic myocarditis (Figure 2c,d). The presence of a left ventricular thrombus further supported the hypothesis that the cerebral findings were embolic in nature.
As part of the diagnostic workup for eosinophilic myocarditis, parasitic infections were considered and investigated. Serum samples were sent to the Veterinary Research Institute of ELGO for enzyme-linked immunosorbent assay (ELISA) testing to detect and quantify specific IgG antibodies against T. canis (NovaLisa®, NovaTec Immunodiagnostica GmbH). Six serial serum dilutions (1/100, 1/200, 1/400, 1/800, 1/1200, and 1/2400) were analyzed according to the manufacturer’s protocol. The results revealed a titer of 1/2400, consistent with active infection by T. canis larvae. Moreover, the serum samples were tested to detect specific IgG antibodies against Trichinella spiralis and Ascaris lumbricoides (NovaLisa®, NovaTec Immunodiagnostica GmbH), both giving a negative result.
Specific serological findings combined with the imaging results as well as the blood analysis supported the establishment of the diagnosis of a VLM Syndrome with involvement of the cardiac and central nervous systems. The patient was treated daily with albendazole 10 mg/kg and prednisolone 1 mg/kg, which was gradually tapered down over a treatment period of 4 weeks, resulting in significant clinical improvement (Figure 3). She also received acenocoumarol due to the presence of LV thrombus, which caused the embolic events.
Eleven months after the initial treatment, the patient returned to the clinic reporting persistent symptoms, including fatigue and exertional dyspnoea. Laboratory evaluations revealed elevated eosinophil count of 960/μL and IgE 221.8 IU/mL (ULN: 158 IU/mL). Anti-Toxocara antibody levels were repeatedly measured by ELISA at 2, 6, and 11 months post-treatment. Although titers initially decreased, they remained elevated (e.g., 1/1200). Based on these findings, a second treatment regimen with albendazole and methylprednisolone was initiated.
As part of the differential diagnosis, other parasitic agents, such as Ascaris lumbricoides, Schistosoma spp. and Trichinella spiralis, were considered, although this was highly unlikely due to the lack of reports of those parasites in Greece and the travel history of the patient. Although ELISA results should ideally be confirmed by immunoblotting to minimize false positives and assess cross-reactivity, this was not feasible in our case. A. lumbricoides and T. spiralis were excluded based on ELISA findings, while Schistosoma spp. was not tested due to the absence of its intermediate snail host in Greece. Following treatment, the patient showed significant clinical improvement, with normalization of eosinophil count and IgE levels (Figure 4). Additionally, anti-Toxocara antibody titers declined substantially, reaching 1/100 five months after the second treatment, confirming the diagnosis and therapeutic success.
At the five-year follow-up, the patient remains asymptomatic and healthy, with normal laboratory parameters. Anti-Toxocara antibody levels have remained low (1/100) in subsequent evaluations. Following diagnostic confirmation, fecal samples obtained from the patient’s dog and cat underwent analysis using the Mini-FLOTAC technique, which revealed no evidence of parasitic infection [6].

3. Human Toxocariasis Under One Health

3.1. Epidemiology of Toxocara Infections

Human toxocariasis is a parasitic disease of global importance [2,7]. This disease is caused by infection with larvae of Toxocara species, particularly T. canis (dog roundworm) and/or T. cati (cat roundworm) [8]. The reported seroprevalence of toxocariasis ranges between 2% and 37% (global seroprevalence rate of 19%, 1,411,749,590 individuals) but may reach 85% in rural tropical regions [9]. The estimated prevalence of Toxocara infection in Europe is 10.5% (range: 8.5–12%), while in the Eastern Mediterranean region, it is 8.2% (range: 5.1–12%) [9]. Among definitive hosts, the global prevalence of Toxocara infection in dogs is 11.1% (range: 10.6–11.7%); however, the regional prevalence values vary depending on the dog’s lifestyle as well as on the country’s GDP and geographical and climatic parameters. Likewise, in cats, recorded prevalences are higher in stray cats (28.6%, 25.1–32.1%) than in pet cats (11.6%, 10.6–12.5%) [10]. In recent studies in Greece, the prevalence of Toxocara infection in dogs ranged from 3.5% to 51.3% and in cats from 7.8 to 24.2%, depending as well on lifestyle and location [11,12,13,14]. Additionally, soil contamination with Toxocara eggs has been reported at a prevalence of 17.2% (coming from 94% of the examined public areas in the Attica Region in Greece) [15].
The life cycle of Toxocara spp. is characterized by its complexity (Figure 5). In their definitive hosts, such as dogs and cats, these nematodes reside in the digestive tract, releasing eggs into the environment through faeces [16]. This mechanism enables the transmission of infection to humans and other paratenic hosts. In humans, infection primarily occurs via the faecal–oral route, typically through accidental ingestion of infective eggs present in contaminated soil, food, or water or by consuming undercooked meat and viscera containing infective larvae [17]. Children and pet owners, particularly those with dogs or cats, face an elevated risk of infection [18]. Upon ingestion, the eggs release juvenile larvae within the intestinal lumen, which then penetrate the intestinal wall and travel through the bloodstream to various tissues and organs, including the liver, lungs, brain, eyes, and muscles. This migratory process can elicit a range of inflammatory and immune responses, leading to diverse clinical presentations [16].

3.2. Predisposing Factors

Eosinophilic myocarditis due to Toxocara spp. represents a grievous complication that can result in acute heart failure, cardiogenic shock, or arrhythmias. The severity of myocarditis associated with Toxocara spp. infection ranges from mild disease to severe, life-threatening cardiac failure. While all age groups can be affected, children and young adults are more commonly diagnosed with myocarditis secondary to toxocariasis [7]. Notably, patients presenting with severe cardiac manifestations frequently lack distinctive clinical profiles, with no documented history of immunosuppression or HIV infection. The absence of specific predisposing factors likely reflects the ubiquitous distribution of T. canis and T. cati, zoonotic parasites that constitute significant global public health and economic burdens [4].

3.3. Clinical Course and Diagnosis

While the majority of Toxocara infections in humans are asymptomatic, clinical syndromes may develop in some cases depending on the larval load and the immune response triggered. These syndromes include visceral larva migrans (VLM), ocular larva migrans (OLM), neurotoxocariasis (NT), and covert or common toxocariasis (CT) [2].
Patients with VLM commonly exhibit fever, hepatosplenomegaly, abdominal pain, vomiting, diarrhoea, and systemic symptoms such as anorexia, fatigue, and weight loss [3]. OLM involves the invasion of Toxocara larvae into the retina, which leads to the formation of a granuloma, inducing distorted vision, heterotopia and ablatio of the macula [3]. These conditions are associated with allergic, neurological, or visual disorders and may also contribute to cognitive and intellectual impairments in children [18,19]. Although rare, cardiac involvement in Toxocara spp. infection is a serious and potentially life-threatening complication of this otherwise common disease. Indeed, a total of 24 cases of Toxocara spp. infection involving the heart have been published [4,20,21,22,23,24,25,26,27,28,29,30]. In a subsequent literature review conducted as part of this case report, a PubMed search using the keywords Toxocara spp., toxocariasis, and myocarditis identified additional cases of Toxocara spp.-related myocarditis [31,32,33]. The initial clinical presentations in these cases were typically characterized by chest discomfort, pain, and dyspnoea. Electrocardiograms (ECGs), chest radiographs, echocardiography, and laboratory findings were indicative of myocarditis in all cases. The most common ECG findings included sinus tachycardia and ST/T-wave changes. Radiographic findings frequently demonstrated cardiomegaly, cephalization of pulmonary vessels, and Kerley B-lines. Ultrasonography findings were typical of myocarditis and included left ventricular global dysfunction, decreased ejection fraction, hypokinesia and wall thickening. Elevated cardiac enzymes were also detected in all cases. In the earliest cases, cardiac involvement was confirmed only post-mortem through histological examination, with no preceding clinical or laboratory findings suggestive of myocarditis [20,21].
Diagnosis of toxocariasis should be based on a combination of patient history, clinical features and laboratory findings such as increased eosinophil counts and confirmed by serological detection of Toxocara spp. antibodies [16]. Since the parasite does not inhabit the human intestine, stool analysis is ineffective, as no parasitic forms are shed in human feces. Enzyme-linked immunosorbent assays (ELISAs) using T. canis excretory/secretory (TES) antigens are commonly utilized to detect infection or exposure in humans, achieving sensitivity and specificity rates as high as 100% [9,19,34]. The accuracy of serodiagnostic tests for human toxocariasis depends on factors including the type of antigen used (e.g., somatic products of T. canis larvae, native or recombinant TES products, glycan antigens, or deglycosylated TES), the antibody isotype detected (e.g., IgG, IgG subclasses, or IgM), and the level of assay optimization [7]. It is important to note that a negative result can rule out VLM; however, ocular and neurological toxocariasis may still occur in individuals with negative serological results [16].
Cross-reactivity with antigens from other parasites in ELISA tests can lead to false positives, particularly in tropical regions where polyparasitism is common [34,35]. Initial serological findings should be confirmed by immunoblotting to avoid false positive results and to evaluate cross-reactivity with other infective agents [35]. Moreover, ELISA tests may remain positive for years following treatment, and antibody levels cannot differentiate between acute and chronic infections [34]. An isolated elevated titer of antibodies against Toxocara is not in itself sufficient proof of an acute infection. Some studies have explored the potential use of IgG antibody avidity or eosinophil cationic protein levels as markers to distinguish between current and past Toxocara infections [9]; however, these approaches require further critical evaluation. Additionally, elevated IgE immunoglobulin levels offer supplementary diagnostic evidence, further strengthening the clinical assessment [28]. As serological or immunological methods alone do not confirm a specific diagnosis, PCR-based tools, using genetic markers in the first and second internal transcribed spacers (ITS-1 and ITS-2) of nuclear ribosomal RNA genes or selected mitochondrial genes, can be applied. However, this can only be performed on tissue or fluid samples acquired after biopsy, which is an invasive and often impractical approach [2].
Despite its technical challenges, endomyocardial biopsy was performed in five patients, providing crucial diagnostic information [25,27,28,32,33]. Histological examination consistently revealed eosinophilic infiltration of the myocardium, accompanied by myocardial necrosis and degeneration in some instances. Imaging modalities such as CT pulmonary angiography (CTPA) and coronary angiography (CAG) were utilized in three cases to rule out alternative etiologies, until the diagnosis was established [28]. A summary of cases of Toxocara spp. infection with cardiac involvement from the literature is presented in Table 2.

3.4. Treatment

The standard treatment for VLM involves albendazole at a dosage of 400 mg twice daily for five days [36]. However, the therapeutic approach in patients with eosinophilic myocarditis due to Toxocara spp. remains challenging, with limited data available to define the optimal duration of treatment. Given the potential severity and fatality of Toxocara spp.-associated myocarditis and the documented risk of recurrence, longer treatment durations (e.g., 2–4 weeks) have been suggested [4]. The reviewed cases reveal that therapeutic strategies frequently combine anthelmintic therapy with corticosteroids. Albendazole was the most frequently used anthelmintic, with doses ranging from 200 to 1000 mg per day for durations spanning 7 days to 3 months. Some researchers suggest that extended albendazole therapy may reduce the risk of transitioning to a chronic phase of the disease or experiencing relapse [31]. Regarding the use of corticosteroids, prednisolone at 0.5–1 mg/kg body weight was the most commonly prescribed regimen, with one instance of fulminant myocarditis requiring pulse methylprednisolone (500 mg/day for three days) followed by a tapering course of prednisolone over eight weeks. This particular patient also required percutaneous cardiopulmonary support, but ultimately achieved complete clinical recovery and was discharged with normal echocardiographic findings [27]. Although the precise impact of corticosteroid therapy on long-term outcomes remains unclear, its use is generally recommended due to the rapid clinical improvement observed in patients presenting with severe systemic complications. Corticosteroid tapering should be tailored based on clinical symptoms and laboratory parameters, such as eosinophil counts and/or inflammatory markers.
The patient we studied exhibited focal neurologic deficits, which were linked to multiple embolic events, as confirmed by brain MRI, alongside a cardiac MRI that identified an LV apical thrombus. Concurrently, echocardiographic, laboratory and ECG findings were consistent with myocarditis, linked to a T. canis infection via further serological testing. The patient’s initial presentation emphasizes the complexity and variability of the condition’s clinical spectrum, which can range from asymptomatic to life-threatening disease, necessitating a high index of clinical suspicion. Furthermore, it is of particular interest that 11 months after initial treatment with albendazole and prednisolone, the patient required an additional course of treatment due to persistent symptoms (fatigue and exertional dyspnoea), accompanied by sustained immunological markers: elevated Anti-Toxocara antibody titers, eosinophilia and markedly raised IgE levels. This aligns with existing literature [4,19], emphasizing the need for patient-tailored therapeutic strategies guided by both clinical response and laboratory parameters, with many cases requiring a second cycle of treatment with albendazole and steroids. This case report involves a previously healthy 54-year-old female presenting with acute myocarditis along with multiple cerebral infarctions resulting from a T. canis infection. Notably, the development of severe complications occurred without the presence of additional risk factors or immunodeficiency—a phenomenon well-documented in published reports, yet warranting continued investigation into underlying pathophysiological mechanisms.

3.5. Prevention

Prevention plays a critical role in combating toxocariasis. Raising awareness among clinicians about the disease’s symptoms and signs is essential, as is educating the public on measures to prevent parasitic infections. Veterinarians also play a vital role in zoonotic disease prevention. Regular deworming of pets, especially newly acquired kittens and puppies—even if they show no symptoms—is a key preventive strategy. Additionally, avoiding waste accumulation in areas frequented by children is crucial.
Educating the general population about proper collection and hygienic disposal of pet feces before the eggs become infective is equally important. Community-level efforts, such as regular deworming of stray dogs/cats, combined with municipal regulations to restrict pet access to parks and playgrounds, can further reduce the spread of the disease [37].
Finally, fostering changes in human behavior—such as maintaining hand hygiene, thoroughly washing vegetables, and avoiding raw or undercooked meat—represents additional preventive measures.

4. Limitations

Toxocariasis is a common parasitic infection in certain regions; however, eosinophilic myocarditis caused by Toxocara spp. is frequently misdiagnosed as idiopathic. Furthermore, despite the widespread prevalence of Toxocara spp. infection, many clinicians remain unfamiliar with it. Another limitation is the lack of availability of serological testing for toxocariasis in routine clinical practice in many countries with a high prevalence of the disease. As a result, cases presenting with mild symptoms may remain undiagnosed in the early stages of the disease or until more serious complications arise. Conversely, severe cases may be overrepresented in the literature due to lack of comprehensive case series that encompass the full spectrum of the disease. Finally, in many patients with eosinophilic myocarditis, an endomyocardial biopsy is not performed due to its invasive nature and the associated risk of complications.

5. Conclusions

Toxocariasis remains an underrecognized zoonosis, often undiagnosed in humans despite being one of the most widespread zoonotic diseases globally and its potential for severe or fatal outcomes. This is largely due to clinicians’ limited familiarity with the disease’s diverse clinical manifestations, diagnostic methods, and treatment options, particularly in non-endemic regions. Including toxocariasis in the differential diagnosis of myocarditis is crucial, particularly when eosinophilia is present and the patient’s history suggests potential exposure. This case demonstrates the complex nature of Toxocara spp. infection and reinforces the importance of clinical awareness for early detection of organ-specific complications. Lastly, prevention remains a cornerstone in combating toxocariasis, emphasizing the need to raise awareness among healthcare professionals and educate the public on effective preventive measures.

6. Take Home Messages

  • A detailed and thorough medical history is the key to an accurate diagnosis.
  • Partial response to treatment is not a relatively common occurrence, often necessitating repeated therapy.
  • Clinical outcomes and management decisions improve significantly with multidisciplinary collaboration between medical specialties.
  • Although toxocariasis and other parasitic infections represent approximately 30% of eosinophilic myocarditis cases, they are often misdiagnosed as idiopathic.
  • Prevention plays a critical role in combating toxocariasis.

Author Contributions

A.N. and S.S. formulated the idea and outline; A.N. supervised the writing process; A.N., L.S., A.M.P., O.A., P.L. and S.S. conducted the literature review, and drafted and wrote the manuscript; A.N., L.S., A.M.P., O.A., P.L. and S.S. edited, reviewed, and approved the manuscript. All authors have read and agreed to the published version of the manuscript.

Funding

This research received no external funding.

Institutional Review Board Statement

Not applicable.

Informed Consent Statement

Informed consent was obtained from the patient involved in the study.

Data Availability Statement

No new data were created or analyzed in this study. Data sharing is not applicable to this article.

Conflicts of Interest

The authors declare no conflicts of interest.

References

  1. Strube, C.; Raulf, M.K.; Springer, A.; Waindok, P.; Auer, H. Seroprevalence of human toxocarosis in Europe: A review and meta-analysis. Adv. Parasitol. 2020, 109, 375–418. [Google Scholar] [CrossRef]
  2. Ma, G.; Holland, C.V.; Wang, T.; Hofmann, A.; Fan, C.-K.; Maizels, R.M.; Hotez, P.J.; Gasser, R.B. Human toxocariasis. Lancet Infect. Dis. 2018, 18, e14–e24. [Google Scholar] [CrossRef]
  3. Auer, H.; Walochnik, J. Toxocariasis and the clinical spectrum. Adv. Parasitol. 2020, 109, 111–130. [Google Scholar] [CrossRef]
  4. Kuenzli, E.; Neumayr, A.; Chaney, M.; Blum, J. Toxocariasis-associated cardiac diseases—A systematic review of the literature. Acta Trop. 2016, 154, 107–120. [Google Scholar] [CrossRef] [PubMed]
  5. Kawano, S.; Kato, J.; Kawano, N.; Yoshimura, Y.; Masuyama, H.; Fukunaga, T.; Sato, Y.; Maruyama, H.; Mihara, K.; Ueda, A.; et al. Clinical Features and Outcomes of Eosinophilic Myocarditis Patients Treated with Prednisolone at a Single Institution Over a 27-Year Period. Intern Med. 2011, 50, 975–981. [Google Scholar] [CrossRef] [PubMed]
  6. Cringoli, G.; Maurelli, M.P.; Levecke, B.; Bosco, A.; Vercruysse, J.; Utzinger, J.; Rinaldi, L. The Mini-FLOTAC technique for the diagnosis of helminth and protozoan infections in humans and animals. Nat. Protoc. 2017, 12, 1723–1732. [Google Scholar] [CrossRef] [PubMed]
  7. Rostami, A.; Ma, G.; Wang, T.; Koehler, A.V.; Hofmann, A.; Chang, B.C.; Macpherson, C.N.; Gasser, R.B. Human toxocariasis—A look at a neglected disease through an epidemiological “prism”. Infect. Genet. Evol. 2019, 74, 104002. [Google Scholar] [CrossRef] [PubMed]
  8. Strube, C.; Heuer, L.; Janecek, E. Toxocara spp. infections in paratenic hosts. Vet. Parasitol. 2013, 193, 375–389. [Google Scholar] [CrossRef] [PubMed]
  9. Rostami, A.; Riahi, S.M.; Holland, C.V.; Taghipour, A.; Khalili-Fomeshi, M.; Fakhri, Y.; Omrani, V.F.; Hotez, P.J.; Gasser, R.B. Seroprevalence estimates for toxocariasis in people worldwide: A systematic review and meta-analysis. PLoS Negl. Trop. Dis. 2019, 13, e0007809. [Google Scholar] [CrossRef] [PubMed]
  10. Rostami, A.; Riahi, S.M.; Hofmann, A.; Ma, G.; Wang, T.; Behniafar, H.; Taghipour, A.; Fakhri, Y.; Spotin, A.; Chang, B.C.; et al. Global prevalence of Toxocara infection in dogs. Adv. Parasitol. 2020, 109, 561–583. [Google Scholar] [CrossRef] [PubMed]
  11. Kostopoulou, D.; Claerebout, E.; Arvanitis, D.; Ligda, P.; Voutzourakis, N.; Casaert, S.; Sotiraki, S. Abundance, zoonotic potential, and risk factors of intestinal parasitism amongst dog and cat populations: The scenario of Crete, Greece. Parasites Vectors 2017, 10, 43. [Google Scholar] [CrossRef] [PubMed]
  12. Symeonidou, I.; Gelasakis, A.I.; Arsenopoulos, K.; Angelou, A.; Beugnet, F.; Papadopoulos, E. Feline gastrointestinal parasitism in Greece: Emergent zoonotic species and associated risk factors. Parasites Vectors 2018, 11, 227. [Google Scholar] [CrossRef]
  13. Diakou, A.; Di Cesare, A.; Morelli, S.; Colombo, M.; Halos, L.; Simonato, G.; Tamvakis, A.; Beugnet, F.; Paoletti, B.; Traversa, D. Endoparasites and vector-borne pathogens in dogs from Greek islands: Pathogen distribution and zoonotic implications. PLoS Negl. Trop. Dis. 2019, 13, e0007003. [Google Scholar] [CrossRef]
  14. Katsarou, E.I.; Arsenopoulos, K.V.; Michael, C.K.; Lianou, D.T.; Petinaki, E.; Papadopoulos, E.; Fthenakis, G.C. Gastrointestinal Helminth Infections in Dogs in Sheep and Goat Farms in Greece: Prevalence, Involvement of Wild Canid Predators and Use of Anthelmintics. Animals 2024, 14, 3233. [Google Scholar] [CrossRef]
  15. Papavasilopoulos, V.; Pitiriga, V.; Birbas, K.; Elefsiniotis, J.; Bonatsos, G.; Tsakris, A. Soil contamination by Toxocara canis and human seroprevalence in the Attica region, Greece. Germs 2018, 8, 155–161. [Google Scholar] [CrossRef] [PubMed]
  16. Chen, J.; Liu, Q.; Liu, G.H.; Zheng, W.-B.; Hong, S.-J.; Sugiyama, H.; Zhu, X.-Q.; Elsheikha, H.M. Toxocariasis: A silent threat with a progressive public health impact. Infect. Dis. Poverty 2018, 7, 59. [Google Scholar] [CrossRef] [PubMed]
  17. Manini, M.P.; Marchioro, A.A.; Colli, C.M.; Nishi, L.; Falavigna-Guilherme, A.L. Association between contamination of public squares and seropositivity for Toxocara spp. in children. Vet. Parasitol. 2012, 188, 48–52. [Google Scholar] [CrossRef] [PubMed]
  18. Hotez, P.J. Toxocariasis: A neglected infection for the Anthropocene epoch. Adv. Parasitol. 2020, 109, 879–883. [Google Scholar] [CrossRef] [PubMed]
  19. Henke, K.; Ntovas, S.; Xourgia, E.; Exadaktylos, A.K.; Klukowska-Rötzler, J.; Ziaka, M. Who Let the Dogs Out? Unmasking the Neglected: A Semi-Systematic Review on the Enduring Impact of Toxocariasis, a Prevalent Zoonotic Infection. Int. J. Environ. Res. Public Health 2023, 20, 6972. [Google Scholar] [CrossRef] [PubMed]
  20. Brill, R.; Churg, J.; Beaver, P.C. Allergic granulomatosis associated with visceral larva migrans; case report with autopsy findings on Toxocara infection in a child. Am. J. Clin. Pathol. 1953, 23, 1208–1215. [Google Scholar] [CrossRef]
  21. Dent, J.H.; Nichols, R.L.; Beaver, P.C.; Carrera, G.M.; Staggers, R.J. Visceral larva migrans; with a case report. Am. J. Pathol. 1956, 32, 777–803. [Google Scholar] [PubMed]
  22. Friedman, S.; Hervada, A.R. Severe myocarditis with recovery in a child with visceral larva migrans. J. Pediatr. 1960, 56, 91–96. [Google Scholar] [CrossRef] [PubMed]
  23. Becroft, D.M. Infection by the dog roundworm Toxocara canis and fatal myocarditis. N. Z. Med. J. 1964, 63, 729–732. [Google Scholar] [PubMed]
  24. Vargo, T.A.; Singer, D.B.; Gillette, P.C.; Fernbach, D.J. Myocarditis due to visceral larva migrans. J. Pediatr. 1977, 90, 322–323. [Google Scholar] [CrossRef]
  25. Dao, A.H.; Virmani, R. Visceral larva migrans involving the myocardium: Report of two cases and review of literature. Fetal Pediatr. Pathol. 1986, 6, 449–456. [Google Scholar] [CrossRef]
  26. Abe, K.; Shimokawa, H.; Kubota, T.; Nawa, Y.; Takeshita, A. Myocarditis associated with visceral larva migrans due to Toxocara canis. Intern Med. 2002, 41, 706–708. [Google Scholar] [CrossRef]
  27. Enko, K.; Tada, T.; Ohgo, K.O.; Nagase, S.; Nakamura, K.; Ohta, K.; Ichiba, S.; Ujike, Y.; Nawa, Y.; Maruyama, H.; et al. Fulminant eosinophilic myocarditis associated with visceral larva migrans caused by Toxocara canis infection. Circ. J. 2009, 73, 1344–1348. [Google Scholar] [CrossRef] [PubMed]
  28. Kim, J.H.; Chung, W.B.; Chang, K.Y.; Ko, S.-Y.; Park, M.-H.; Sa, Y.-K.; Choi, Y.-S.; Park, C.-S.; Lee, M.-Y. Eosinophilic myocarditis associated with visceral larva migrans caused by Toxocara canis infection. J. Cardiovasc. Ultrasound 2012, 20, 150–153. [Google Scholar] [CrossRef]
  29. Lemaire, A.; Trouillier, S.; Samou, F.; Delevaux, I.; Aumaître, O. Visceral larva migrans with cardiac manifestation: A case report and literature review. Rev. Med. Interne 2014, 35, 831–837. [Google Scholar] [CrossRef] [PubMed]
  30. Haralambidou, S.; Vlachaki, E.; Ioannidou, E.; Milioni, V.; Haralambidis, S.; Klonizakis, I. Pulmonary and myocardial manifestations due to Toxocara canis infection. Eur. J. Intern Med. 2005, 16, 601–602. [Google Scholar] [CrossRef]
  31. Shibazaki, S.; Eguchi, S.; Endo, T.; Wakabayashi, T.; Araki, M.; Gu, Y.; Imai, T.; Asano, K.; Taniuchi, N. Eosinophilic Myocarditis due to Toxocariasis: Not a Rare Cause. Case Rep. Cardiol. 2016, 2016, 2586292. [Google Scholar] [CrossRef] [PubMed]
  32. Bulnes, J.F.; Lasso, M.; Díaz, M.A.; Sandoval, V.; Varas, P.; Saavedra, R.; García, M.; Guzman, F.; Rocha, R. A 45-Year-Old Man With Progressive Dyspnea, Chest Pain, and Hypereosinophilia. Chest 2019, 155, e149–e154. [Google Scholar] [CrossRef] [PubMed]
  33. Ramos-López, N.; Pérez-García, C.N.; Ferrera, C.; Olmos, C.; Paz-Arias, P.; Boianelli, D.; Cabello-Clotet, N.; Durán-Botía, F.; Sanz, M.S.-P.; Olmos, C. Eosinophilic myocarditis due to Toxocara infection. Hell. J. Cardiol. 2022, 68, 74–75. [Google Scholar] [CrossRef] [PubMed]
  34. Fillaux, J.; Magnaval, J.F. Laboratory diagnosis of human toxocariasis. Vet. Parasitol. 2013, 193, 327–336. [Google Scholar] [CrossRef] [PubMed]
  35. Moreira, G.M.S.G.; Telmo, P.d.L.; Mendonça, M.; Moreira, Â.N.; McBride, A.J.A.; Scaini, C.J.; Conceição, F.R. Human toxocariasis: Current advances in diagnostics, treatment, and interventions. Trends Parasitol. 2014, 30, 456–464. [Google Scholar] [CrossRef] [PubMed]
  36. CDC—DPDx—Toxocariasis. Available online: https://www.cdc.gov/dpdx/toxocariasis/index.html (accessed on 23 December 2024).
  37. ESCCAP. Guidelines|GL1: Worm Control in Dogs and Cats. Available online: https://www.esccap.org/guidelines/gl1/ (accessed on 30 December 2024).
Figure 1. (a) Twelve-lead ECG on admission shows inverted T-wave in leads II, III, aVF, V3 to V6. (b) Initial transthoracic echocardiography showed asymmetric LV hypertrophy with increased LV posterior wall thickness (arrow) due to myocardial edema and tissue infiltration.
Figure 1. (a) Twelve-lead ECG on admission shows inverted T-wave in leads II, III, aVF, V3 to V6. (b) Initial transthoracic echocardiography showed asymmetric LV hypertrophy with increased LV posterior wall thickness (arrow) due to myocardial edema and tissue infiltration.
Microbiolres 16 00058 g001
Figure 2. Brain MRI showed T2 hyperitensity signal involving the cortex, the deep white matter (a) and both cerebellar hemispheres (b). Cardiac MRI in the (c) 4-chamber view and (d) 2-chamber left view detected subendocardial late gadolinium enhancement (LGE) of the LV.
Figure 2. Brain MRI showed T2 hyperitensity signal involving the cortex, the deep white matter (a) and both cerebellar hemispheres (b). Cardiac MRI in the (c) 4-chamber view and (d) 2-chamber left view detected subendocardial late gadolinium enhancement (LGE) of the LV.
Microbiolres 16 00058 g002
Figure 3. Changes in the serum eosinophil count and troponin during the patient’s hospital stay. Treatment with albendazole 10 mg/kg and prednisolone 1 mg/kg was commenced on day 9.
Figure 3. Changes in the serum eosinophil count and troponin during the patient’s hospital stay. Treatment with albendazole 10 mg/kg and prednisolone 1 mg/kg was commenced on day 9.
Microbiolres 16 00058 g003
Figure 4. Changes in the serum eosinophil count during the second course of treatment with albendazole 10 mg/kg and corticosteroids.
Figure 4. Changes in the serum eosinophil count during the second course of treatment with albendazole 10 mg/kg and corticosteroids.
Microbiolres 16 00058 g004
Figure 5. The life cycle of human infection with Toxocara spp. Image courtesy of DPDx, a website by the Centers of Disease Control and Prevention (CDC)’s Division of Parasitic Diseases and Malaria. The website provides digital material free of copyright.
Figure 5. The life cycle of human infection with Toxocara spp. Image courtesy of DPDx, a website by the Centers of Disease Control and Prevention (CDC)’s Division of Parasitic Diseases and Malaria. The website provides digital material free of copyright.
Microbiolres 16 00058 g005
Table 1. Results of initial laboratory tests on admission.
Table 1. Results of initial laboratory tests on admission.
Complete Blood CountResult (Normal Values)
White blood cells (per μL)9160 (3800–10,500)
Neutrophils (%)54.9 (45–75)
Lymphocytes (%)12.9 (20–51)
Monocytes (%)4.6 (2–11)
Eosinophils (%)27.1 (0.5–10)
Basophils (%)0.5 (0–2)
Red blood cells (M/μL)5.59 (3.80–5.30)
Hemoglobulin (g/dL)10.2 (12.0–16.0)
Hematocrit (%)31.8 (37.0–47.0)
Platelets (per μL)203,000 (150,000–450,000)
Blood chemistry
BUN (mg/dL)25 (10–55)
Creatinine (mg/dL)0.74 (0.5–0.9)
AST (IU/L)64 (5–40)
ALT (IU/L)52 (5–40)
Total bilirubin (mg/dL)0.86 (0.3–1.2)
Sodium (mmol/L)145 (136–148)
Potassium (mmol/L)4.12 (3.5–5.6)
ESR (mm/h)21 (0–20)
CRP (mg/dL0.65 (<0.8)
hs-cTn T (ng/mL)9.28 (<0.04)
Immunology
IgE (U/mL)160.9 (0–100)
ALT—alanine aminotransferase; AST—aspartate aminotransferase; BUN—blood urea nitrogen; CRP—C-reactive protein; ESR—erythrocyte sedimentation rate; hs-cTn T—high-sensitivity cardiac troponin T; IgE—immunoglobulin E.
Table 2. Description of the collective, including age, sex and diagnostic criteria.
Table 2. Description of the collective, including age, sex and diagnostic criteria.
ReferenceAge/SexSerological TiterEosinophil CountTreatment
Kawano et al., 2011 [5]57 years/femalePositive 5.548/mm3Albendazole for 8 weeks
Brill et al., 1953 [20]2 years/maleNot measured12.560/mm3Fluids, blood, antibiotics and antihistaminics
Dent et al., 1955 [21]19 months/maleNot measured3.200/mm3Cortisone 150 mg/day for 5 weeks
Friedman et al., 1960 [22]31 months/femaleNot measured 3.600/mm3Cortisone 150 mg/day (1st event)
Cortisone 75 mg/day (3rd event)
Becroft et al., 1964 [23]15 months/femaleNot measuredEosinophilia in bone marrow, not examined in peripheral blood Hydrocortisone
Erythromycine and penicilline
Vargo et al., 1977 [24]Case 1: 2 years/male
Case 2: 2 years/female
Case 3: 20 months/female
Case 1: not measured
Case 2: not measured
Case 3: not measured
Case 1: elevated
Case 2: not reported
Case 3: not reported
Case1: not reported
Case 2: treatment for congestive heart failure
Case 3: not reported
Dao et al., 1986 (case 1) [25]18 months/femaleNot measuredNot reportedNone
Abe et al., 2002 [26]26 years/male Positive
Increase over time (day 21: 0.22
day 63: 0.29
day 77: 0.25)
Initially: 1.387mm3
Day 14: 26.000/mm3
Prednisolone 35 mg/day tapered for 4 weeks
Albendazole 1000 mg/day for 4 weeks
Enko et al., 2009 [27]19 years/malePositive1.530/mm3Methylprednisolone 500 mg/day followed by prednisolone 50 mg/day
Albendazole 600 mg/day for 4 weeks
Kim et al., 2012 [28]41 years/femalePositive8.430/mm3Prednisolone 1 mg/kg for 3 days
Lemaire et al., 2013 [29]74 years/malePositive20.000/mm3Prednisolone 100 mg/day, tapering over 1 month
Albendazole 200 mg/day for 3 weeks
Haralambidou et al., 2005 [30]38 years/maleTiter elevated 16.500/mm3Corticosteroids (dose not reported)
Shibazaki et al., 2016 [31]Case 1: 32 years/male
Case 2: 66 years/female
Case 1: positive
Case 2: positive
Case1: 2.880/mm3
Case 2: 4.150/mm3
Case 1: Prednisolone 1 mg/kg/day
Case 2: Prednisolone 1 mg/kg/day & Albendazole 600 mg/day for 4 weeks
Bulnes et al., 2019 [32]47 years/malePositive4.150/mm3High-dose IV corticosteroids (2gr methylprednisolone)
Albendazole for 3 weeks (dose not reported)
Ramos-López et al., 2022 [33]34 years/unknownPositive2.000/mm3Prednisone and Albendazole (doses not reported)
Disclaimer/Publisher’s Note: The statements, opinions and data contained in all publications are solely those of the individual author(s) and contributor(s) and not of MDPI and/or the editor(s). MDPI and/or the editor(s) disclaim responsibility for any injury to people or property resulting from any ideas, methods, instructions or products referred to in the content.

Share and Cite

MDPI and ACS Style

Nikopoulou, A.; Sideras, L.; Peristeri, A.M.; Ligda, P.; Akritidou, O.; Sotiraki, S. Human Toxocariasis: Presenting a Case Report of Eosinophilic Myocarditis Associated with Toxocara canis Infection and a Literature Review. Microbiol. Res. 2025, 16, 58. https://doi.org/10.3390/microbiolres16030058

AMA Style

Nikopoulou A, Sideras L, Peristeri AM, Ligda P, Akritidou O, Sotiraki S. Human Toxocariasis: Presenting a Case Report of Eosinophilic Myocarditis Associated with Toxocara canis Infection and a Literature Review. Microbiology Research. 2025; 16(3):58. https://doi.org/10.3390/microbiolres16030058

Chicago/Turabian Style

Nikopoulou, Anna, Lazaros Sideras, Athanasia Marina Peristeri, Panagiota Ligda, Olympia Akritidou, and Smaragda Sotiraki. 2025. "Human Toxocariasis: Presenting a Case Report of Eosinophilic Myocarditis Associated with Toxocara canis Infection and a Literature Review" Microbiology Research 16, no. 3: 58. https://doi.org/10.3390/microbiolres16030058

APA Style

Nikopoulou, A., Sideras, L., Peristeri, A. M., Ligda, P., Akritidou, O., & Sotiraki, S. (2025). Human Toxocariasis: Presenting a Case Report of Eosinophilic Myocarditis Associated with Toxocara canis Infection and a Literature Review. Microbiology Research, 16(3), 58. https://doi.org/10.3390/microbiolres16030058

Article Metrics

Back to TopTop