Arrhythmogenic Cardiomyopathy—Further Insight into the Clinical Spectrum of Desmoplakin Disease
Abstract
:1. Background
2. Family Evaluation
3. Genetic Testing
4. Discussion
5. Conclusions
Author Contributions
Funding
Institutional Review Board Statement
Informed Consent Statement
Data Availability Statement
Conflicts of Interest
References
- Marcus, F.I.; McKenna, W.J.; Sherrill, D.; Basso, C.; Bauce, B.; Bluemke, D.A.; Calkins, H.; Corrado, D.; Cox, M.G.; Daubert, J.P.; et al. Diagnosis of arrhythmogenic right ventricular cardiomyopathy/dysplasia: Proposed Modification of the Task Force Criteria. Eur. Heart J. 2010, 31, 806–814. [Google Scholar] [CrossRef] [Green Version]
- Richards, S.; Aziz, N.; Bale, S.; Bick, D.; Das, S.; Gastier-Foster, J.; Grody, W.W.; Hegde, M.; Lyon, E.; Spector, E.; et al. ACMG Laboratory Quality Assurance Committee. Standards and guidelines for the interpretation of sequence vari-ants: A joint consensus recommendation of the American College of Medical Genetics and Genomics and the Association for Molecular Pathology. Genet. Med. 2015, 17, 405–424. [Google Scholar] [CrossRef] [PubMed]
- Baskin, B.; Skinner, J.R.; Sanatani, S.; Terespolsky, D.; Krahn, A.D.; Ray, P.N.; Scherer, S.W.; Hamilton, R.M. TMEM43 mutations asso-ciated with arrhythmogenic right ventricular cardiomyopathy in non-Newfoundland populations. Hum. Genet. 2013, 132, 1245–1252. [Google Scholar] [CrossRef] [PubMed]
- Walsh, R.; Thomson, K.L.; Ware, J.S.; Funke, B.H.; Woodley, J.; McGuire, K.J.; Mazzarotto, F.; Blair, E.; Seller, A.; Taylor, J.C.; et al. Reassessment of Mendelian gene pathogenicity using 7,855 cardiomyopathy cases and 60,706 reference samples. Genet. Med. 2017, 19, 192–203. [Google Scholar] [CrossRef] [PubMed] [Green Version]
- Dalal, D.; James, C.; Devanagondi, R.; Tichnell, C.; Tucker, A.; Prakasa, K.; Spevak, P.J.; Bluemke, D.A.; Abraham, T.; Russell, S.D.; et al. Penetrance of mutations in plakophilin-2 among families with arrhythmogenic right ventricular dys-plasia/cardiomyopathy. J. Am. Coll. Cardiol. 2006, 48, 1416–1424. [Google Scholar] [CrossRef] [PubMed] [Green Version]
- James, C.A.; Bhonsale, A.; Tichnell, C.; Murray, B.; Russell, S.D.; Tandri, H.; Tedford, R.; Judge, D.; Calkins, H. Exercise Increases Age-Related Penetrance and Arrhythmic Risk in Arrhythmogenic Right Ventricular Dysplasia/Cardiomyopathy–Associated Desmosomal Mutation Carriers. J. Am. Coll. Cardiol. 2013, 62, 1290–1297. [Google Scholar] [CrossRef] [PubMed] [Green Version]
- Towbin, J.A.; McKenna, W.J.; Abrams, D.J.; Ackerman, M.J.; Calkins, H.; Darrieux, F.C.C.; Daubert, J.P.; de Chillou, C.; DePasquale, E.C.; Desai, M.Y.; et al. 2019 HRS expert consensus statement on evaluation, risk stratification, and management of arrhythmogenic cardiomyopa-thy. Heart Rhythm 2019, 16, e301–e372. [Google Scholar] [CrossRef] [PubMed] [Green Version]
- Smith, E.D.; Lakdawala, N.K.; Papoutsidakis, N.; Aubert, G.; Mazzanti, A.; McCanta, A.C.; Agarwal, P.P.; Arscott, P.; Dellefave-Castillo, L.M.; Vorovich, E.E.; et al. Desmoplakin Cardiomyopathy, a Fibrotic and Inflammatory Form of Cardiomyopathy Distinct from Typical Dilated or Arrhythmogenic Right Ventricular Cardiomyopathy. Circulation 2020, 141, 1872–1884. [Google Scholar] [CrossRef] [PubMed]
- Bhonsale, A.; Groeneweg, J.A.; James, C.A.; Dooijes, D.; Tichnell, C.; Jongbloed, J.D.H.; Murray, B.; Te Riele, A.S.J.M.; Van Den Berg, M.P.; Bikker, H.; et al. Impact of genotype on clinical course in arrhythmogenic right ventricular dysplasia/cardiomyopathy-associated mutation carriers. Eur. Heart J. 2015, 36, 847–855. [Google Scholar] [CrossRef] [PubMed]
- Corrado, D.; Marra, M.P.; Zorzi, A.; Beffagna, G.; Cipriani, A.; Lazzari, M.; Migliore, F.; Pilichou, K.; Rampazzo, A.; Rigato, I.; et al. Diagnosis of arrhythmogenic cardiomyopathy: The Padua criteria. Int. J. Cardiol. 2020, 319, 106–114. [Google Scholar] [CrossRef] [PubMed]
- Finocchiaro, G.; Papadakis, M.; Dhutia, H.; Zaidi, A.; Malhotra, A.; Fabi, E.; Cappelletto, C.; Brook, J.; Papatheodorou, E.; Ensam, B.; et al. Electrocardiographic differentiation between ‘benign T-wave inversion’ and arrhythmogenic right ventricular cardiomyopathy. EP Eur. 2018, 21, 332–338. [Google Scholar] [CrossRef] [PubMed]
- Delgado-Vega, A.; Klar, J.; Kommata, V.; Dahl, N.; Wisten, A.; Borjesson, M.; Stattin, E.-L. Sudden cardiac death due to ARVC in the young: Molecular autopsy by whole exome sequencing of DNA from dried blood spots (DBS) collected at birth. EP Eur. 2021, 23. [Google Scholar] [CrossRef]
- Guthrie Cards in Scotland: Ethical, Legal and Social Issues—gov.scot. Available online: www.gov.scot (accessed on 16 July 2021).


| Age | Sex | Clinical Presentation | 12 Lead ECG | Transthoracic Echo | Holter | CMR | Histology | Revised Task Force Criteria [1] | Padua Criteria | |
|---|---|---|---|---|---|---|---|---|---|---|
| III:A | 19 | F | Sudden cardiac death | X | X | X | X | X | X | X |
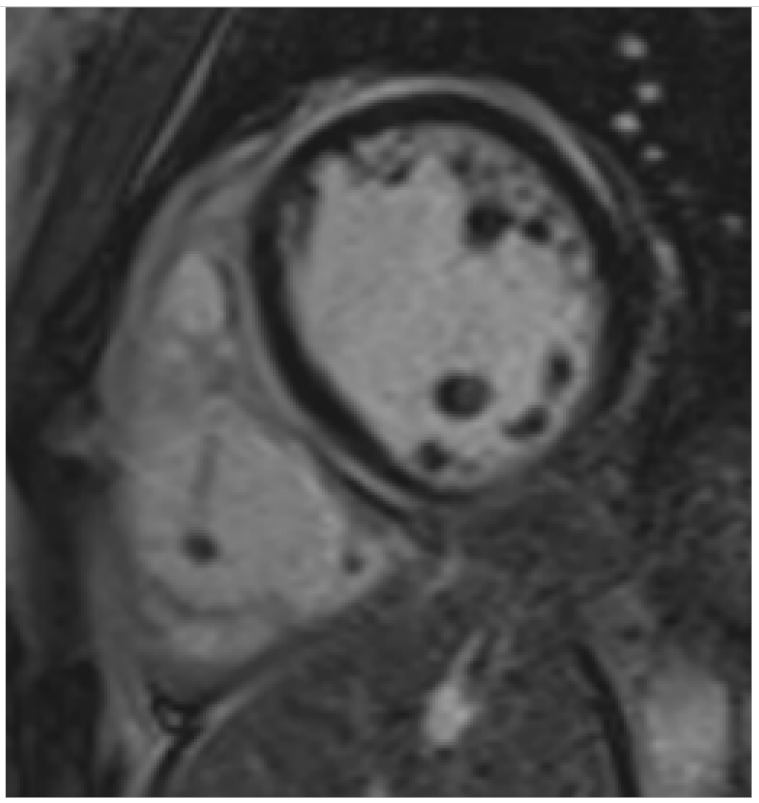
| III:B | 17 | F | Palpitations and chest pain | ![]() | LVIDd 4.56 cm LVEF 69% RV minor 3.0 cm Normal RV size (RVOT PLAX 28 mm) and function with no regional akinesia/dyskinesia. | 663 ventricular extrasystoles with LBBB morphology/24 h. Trigeminy and ventricular couplets. | ![]() LVEF 61% LVEDV 149 mL LVEDV/BSA 80 mL/m2 RVEF 52% RVEDV 155 mL RVEDV/BSA 87 mL/m2 Mid apical and anteroseptal myocardial oedema. Global subepicardial and midwall LGE. Elevated T1 1124 ms and T2 79 ms. | Focal increase in intramyocardial interstitial collagen with small foci of replacement fibrosis. A varying degree of myocyte hypertrophy with patchy vacuolar change and myocytolysis. | 2 minor criteria Possible diagnosis | RV: minor (family history) LV: 1 major (Structural myocardial—CMR) and 1 minor (Depolarization abnormalities- low QRS voltage) Dominant left ACM |
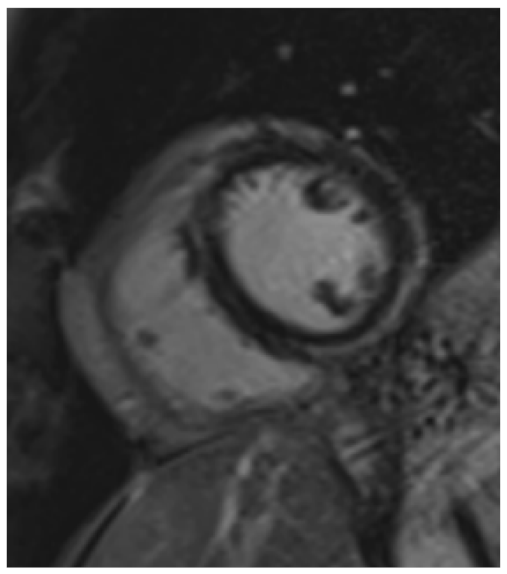
| II:B | 51 | F | Asymptomatic | ![]() Low voltage QRS | LVIDd 5.0 cm LVEF 60% RV normal size No regional akinesia/dyskinesia. | R and L PVCs 81 ventricular extrasystoles/24 h | ![]() LVEF 59% LVEDV 117 mL LVEDV/BSA 65 mL/m2 RVEF 72% RVEDV 91 mL RVEDV/BSA 51 mL/m2 Subepicardial and mid-wall LGE in basal to mid myocardial segments. | Not available | 1 minor * (Family history) | RV: 1 minor (family history) LV: 1 major (structural myocardial) and 1 minor (depolarization abnormalities) Dominant left ACM |
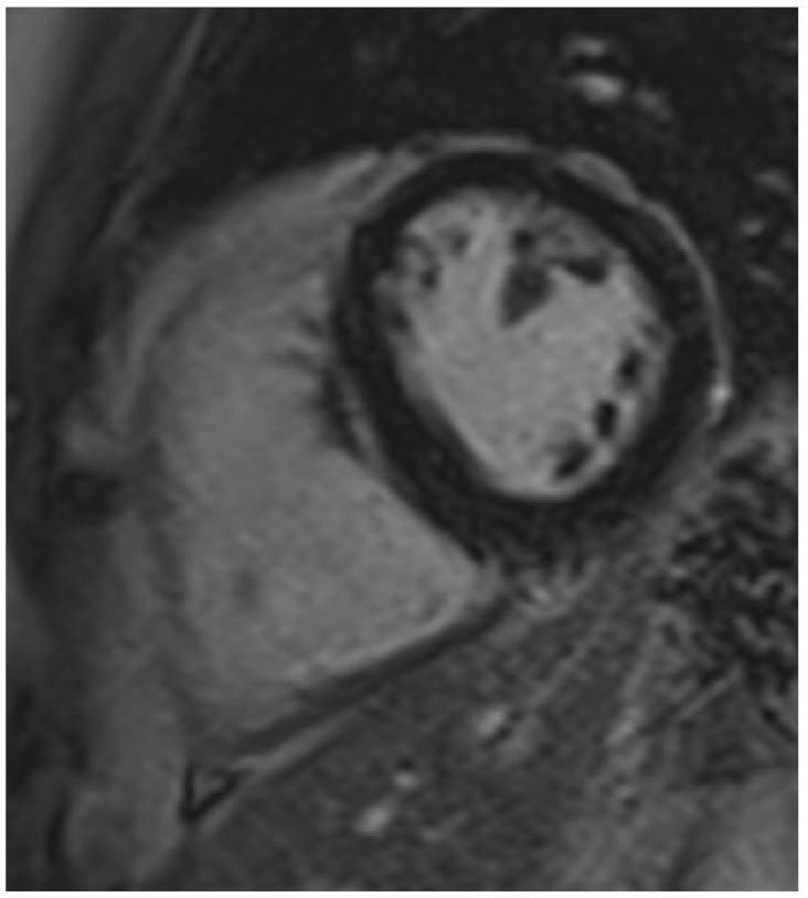
| II:A | 53 | M | Asymptomatic | Not available | LVIDd 4.3 cm LVEF 63% Normal RV size and function with no regional akinesia/dyskinesia. | Not available | LVEF 63%LVEDV 146 mL LVEDV/BSA 71 mL/m2 RVEF 64% RVEDV 141 RVEDV/BSA 72 mL/m2 No RWMA No LGE | Not available | 1 minor * (Family history) | RV: 1 minor (family history) LV: Nil |
| I:A | 71 | F | Heart failure—NYHA functional class II. Palpitations. | ![]() T wave inversion V1-V6 Interventricular conduction delay in inferior leads | LVIDd 5.33 cm LVIDd index 3.23 cm/m2 Increased RV wall thickness (6 mm) Mild RVSD (TAPSE 15 mm) Abnormal RV apex with localised dilatation and regional wall motion abnormality. | 5280 ventricular extrasystoles/24 h (4.8% total) R and L PVC Bigeminy and trigeminy | ![]() LVEDV Normal (No quantification available) RVEDV Normal (No quantification available) RV hypertrophy and fatty infiltration. Focal thickening of lower right ventricular wall. Epicardial LV LGE and mid myocardial LV LGE. | Not available | 1 major and 3 minor from different categories * Definite diagnosis | RV: 3 major (1 morpho-functional ventricular abnormality, 1 repolarization abnormality, 1 ventricular arrhythmia) LV: 1 major (1 structural myocardial abnormality) and 2 minor (repolarization abnormality and depolarization abnormality) |
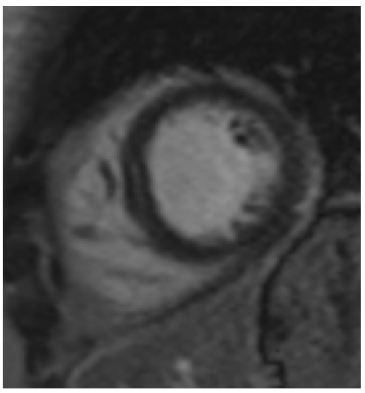
| II:C | 49 | F | Occasional palpitations | ![]() | LVIDd 4.08 cm LVIDd index 2.35 cm/m2 LVEF 60% Normal RV cavity size and function with no regional akinesia/dyskinesia RV minor 2.7 cm | 5 ventricular extrasystoles /72 h | ![]() LVEF 76% LVEDV 128 mL LV EDV/BSA 73 mL/m2 RVEF 59% RVEDV 125 mL RVEDV/BSA 71 mL/m2 Subtle mid-wall LGE in mid septum | Not available | 1 minor * (Family history) | RV: 1 minor (family history) LV: 1 major (structural myocardial) |
| III:C | 22 | F | Asymptomatic | ![]() | LVIDd 4.6 cm LVIDd index 2.5 cm/m2 Normal RV size and function with no RWMA | No ventricular extrasystoles | ![]() LVEF 61% LVEDV 142 mL LVEDV/BSA 74 mL/m2 RVEF 60% RVEDV 148 mL RVEDV/BSA 77 mL/m2 No RWMA Minor linear LGE in basal inferoseptum | Not available | 1 minor * (Family history) | RV: 1 minor (family history) LV: 1 major (structural myocardial) |
Publisher’s Note: MDPI stays neutral with regard to jurisdictional claims in published maps and institutional affiliations. |
© 2021 by the authors. Licensee MDPI, Basel, Switzerland. This article is an open access article distributed under the terms and conditions of the Creative Commons Attribution (CC BY) license (https://creativecommons.org/licenses/by/4.0/).
Share and Cite
Simpson, J.; Anusas, J.; Oxnard, D.; Wright, S.; McGowan, R.; Coats, C. Arrhythmogenic Cardiomyopathy—Further Insight into the Clinical Spectrum of Desmoplakin Disease. Cardiogenetics 2021, 11, 219-229. https://doi.org/10.3390/cardiogenetics11040022
Simpson J, Anusas J, Oxnard D, Wright S, McGowan R, Coats C. Arrhythmogenic Cardiomyopathy—Further Insight into the Clinical Spectrum of Desmoplakin Disease. Cardiogenetics. 2021; 11(4):219-229. https://doi.org/10.3390/cardiogenetics11040022
Chicago/Turabian StyleSimpson, Joanne, Joan Anusas, Denise Oxnard, Sylvia Wright, Ruth McGowan, and Caroline Coats. 2021. "Arrhythmogenic Cardiomyopathy—Further Insight into the Clinical Spectrum of Desmoplakin Disease" Cardiogenetics 11, no. 4: 219-229. https://doi.org/10.3390/cardiogenetics11040022
APA StyleSimpson, J., Anusas, J., Oxnard, D., Wright, S., McGowan, R., & Coats, C. (2021). Arrhythmogenic Cardiomyopathy—Further Insight into the Clinical Spectrum of Desmoplakin Disease. Cardiogenetics, 11(4), 219-229. https://doi.org/10.3390/cardiogenetics11040022











