Assessment of Bioprotect’s Biodegradable Balloon System as a Rectal Spacer in Radiotherapy: An Animal Study on Tissue Response and Biocompatibility
Abstract
:1. Introduction
2. Materials and Methods
2.1. Study Design
2.2. Surgical Procedure and Irradiation
2.3. In Life Analysis
2.4. Terminal Investigations
2.5. Histopathological Assessment
- Incidents of hemorrhage;
- Granuloma formation;
- Presence of fragmentation and/or debris;
- Presence and location of degraded material remnants;
- Quantity and quality of tissue ingrowth;
- Mineralization.
2.6. Statistical Analysis
2.6.1. Calculations
- MeanSDRelative_01.2.Rnw: this is a validated R-Script used for calculations of mean group, standard deviation, and the number of observations.
- MultiComp.Rnw: this is a validated R-Script used for statistical evaluations involving multiple groups and/or multiple parameters between two groups.
2.6.2. Evaluation Process
- If the normality test passed for all groups:
- An equal-variance test (e.g., Bartlett test) was performed with a significance level of p < 0.01.
- If the Bartlett test passed, a one-way ANOVA with Dunnett’s posttest was performed.
- If the Bartlett test did not pass, a Kruskal–Wallis test with Mann–Whitney U test was performed.
- If the normality test did not pass for all groups, a Kruskal–Wallis test with Mann–Whitney U test was performed for further analysis.
3. Results
3.1. Mortality and Clinical Signs
- One incidence of alopecia on the scrotum was noted in a balloon-implanted animal during the second week post-implantation.
- One incidence of alopecia and crust on the right shoulder and peri-orbital staining was observed in a sham-operated animal during the 39th week post-implantation.
3.2. Body Weight, Clinical Pathology and Urinalysis
3.3. Macroscopic Assessment of the Implantation Site
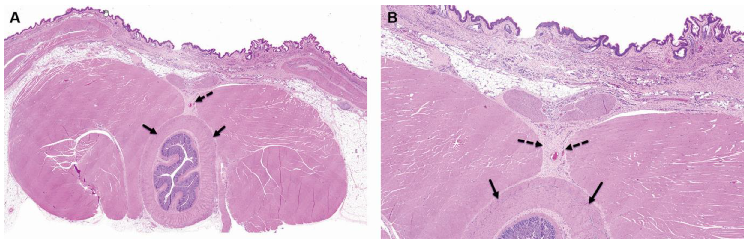
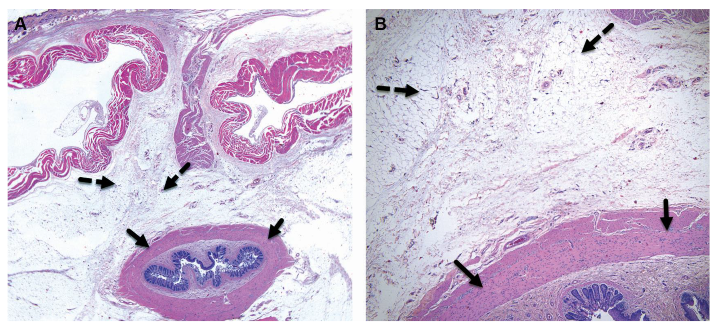
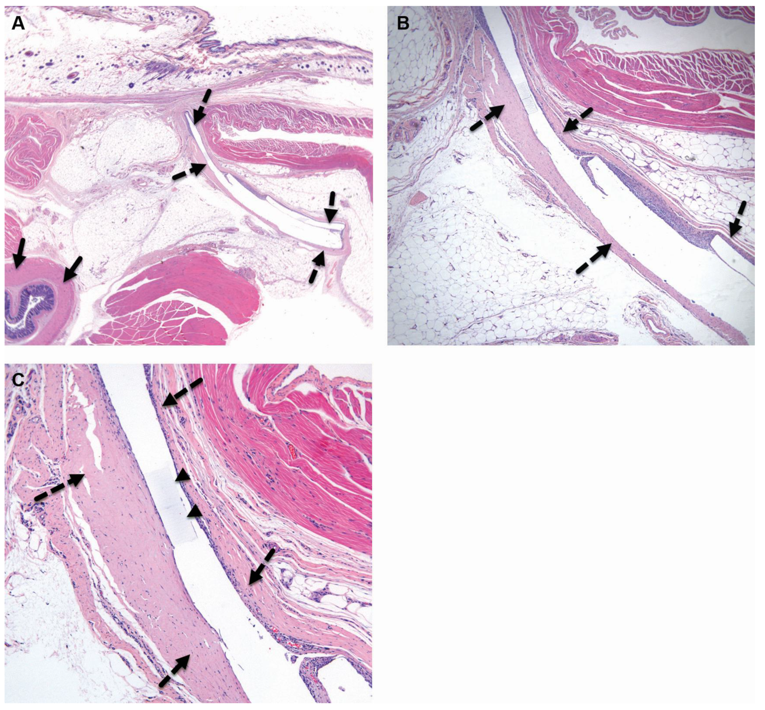
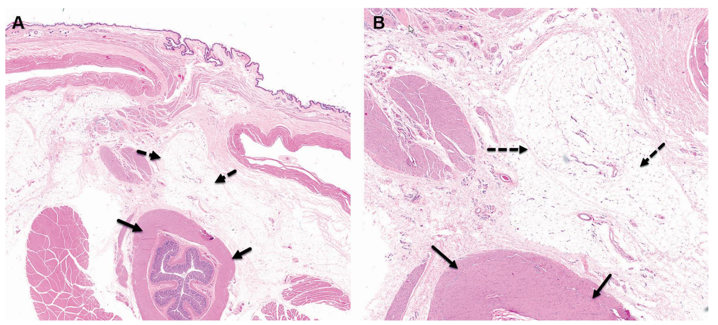
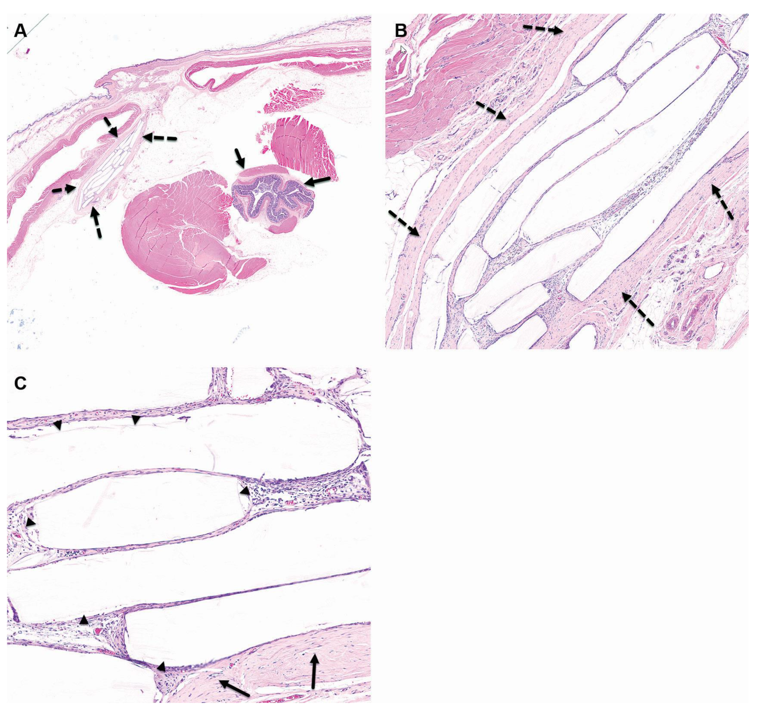
3.4. Histopathological Evaluation
3.4.1. 4-Week Time Point
3.4.2. 26-Week Time Point
3.4.3. 52-Week Time Point
4. Discussion
5. Conclusions
Author Contributions
Funding
Institutional Review Board Statement
Data Availability Statement
Conflicts of Interest
References
- Su, Z.; Henderson, R.; Nichols, R.; Bryant, C.; Hoppe, B.; Mendenhall, W.; Mendenhall, N. A comparative study of prostate PTV margins for patients using hydrogel spacer or rectal balloon in proton therapy. Phys. Med. 2021, 81, 47–51. [Google Scholar] [CrossRef]
- Beckendorf, V.; Guerif, S.; Le Prise, E.; Cosset, J.M.; Bougnoux, A.; Chauvet, B.; Salem, N.; Chapet, O.; Bourdain, S.; Bachaud, J.M.; et al. 70 Gy versus 80 Gy in localized prostate cancer: 5-year results of GETUG 06 randomized trial. Int. J. Radiat. Oncol. Biol. Phys. 2011, 80, 1056–1063. [Google Scholar] [CrossRef]
- Cahlon, O.; Hunt, M.; Zelefsky, M.J. Intensity-modulated radiation therapy: Supportive data for prostate cancer. Semin. Radiat. Oncol. 2008, 18, 48–57. [Google Scholar] [CrossRef] [PubMed]
- Dearnaley, D.P.; Jovic, G.; Syndikus, I.; Khoo, V.; Cowan, R.A.; Graham, J.D.; Aird, E.G.; Bottomley, D.; Huddart, R.A.; Jose, C.C.; et al. Escalated-dose versus control-dose conformal radiotherapy for prostate cancer: Long-term results from the MRC RT01 randomised controlled trial. Lancet Oncol. 2014, 15, 464–473. [Google Scholar] [CrossRef] [PubMed]
- Latorzeff, I.; Bruguiere, E.; Bogart, E.; Le Deley, M.C.; Lartigau, E.; Marre, D.; Pasquier, D. Use of a Biodegradable, Contrast-Filled Rectal Spacer Balloon in Intensity-Modulated Radiotherapy for Intermediate-Risk Prostate Cancer Patients: Dosimetric Gains in the BioPro-RCMI-1505 Study. Front. Oncol. 2021, 11, 701998. [Google Scholar] [CrossRef]
- Peeters, S.T.; Heemsbergen, W.D.; Koper, P.C.; van Putten, W.L.; Slot, A.; Dielwart, M.F.; Bonfrer, J.M.; Incrocci, L.; Lebesque, J.V. Dose-response in radiotherapy for localized prostate cancer: Results of the Dutch multicenter randomized phase III trial comparing 68 Gy of radiotherapy with 78 Gy. J. Clin. Oncol. 2006, 24, 1990–1996. [Google Scholar] [CrossRef] [PubMed]
- Zelefsky, M.J.; Kollmeier, M.; Cox, B.; Fidaleo, A.; Sperling, D.; Pei, X.; Carver, B.; Coleman, J.; Lovelock, M.; Hunt, M. Improved clinical outcomes with high-dose image guided radiotherapy compared with non-IGRT for the treatment of clinically localized prostate cancer. Int. J. Radiat. Oncol. Biol. Phys. 2012, 84, 125–129. [Google Scholar] [CrossRef] [PubMed]
- Zelefsky, M.J.; Pei, X.; Chou, J.F.; Schechter, M.; Kollmeier, M.; Cox, B.; Yamada, Y.; Fidaleo, A.; Sperling, D.; Happersett, L.; et al. Dose escalation for prostate cancer radiotherapy: Predictors of long-term biochemical tumor control and distant metastases-free survival outcomes. Eur. Urol. 2011, 60, 1133–1139. [Google Scholar] [CrossRef] [PubMed]
- Hall, W.A.; Fox, T.H.; Jiang, X.; Prabhu, R.S.; Rossi, P.J.; Godette, K.; Jani, A.B. Treatment efficiency of volumetric modulated arc therapy in comparison with intensity-modulated radiotherapy in the treatment of prostate cancer. J. Am. Coll. Radiol. 2013, 10, 128–134. [Google Scholar] [CrossRef]
- Khan, M.I.; Jiang, R.; Kiciak, A.; Ur Rehman, J.; Afzal, M.; Chow, J.C. Dosimetric and radiobiological characterizations of prostate intensity-modulated radiotherapy and volumetric-modulated arc therapy: A single-institution review of ninety cases. J. Med. Phys. 2016, 41, 162–168. [Google Scholar] [CrossRef]
- Susil, R.C.; McNutt, T.R.; DeWeese, T.L.; Song, D. Effects of prostate-rectum separation on rectal dose from external beam radiotherapy. Int. J. Radiat. Oncol. Biol. Phys. 2010, 76, 1251–1258. [Google Scholar] [CrossRef] [PubMed]
- Leiker, A.J.; Desai, N.B.; Folkert, M.R. Rectal radiation dose-reduction techniques in prostate cancer: A focus on the rectal spacer. Future Oncol. 2018, 14, 2773–2788. [Google Scholar] [CrossRef] [PubMed]
- Mok, G.; Benz, E.; Vallee, J.P.; Miralbell, R.; Zilli, T. Optimization of radiation therapy techniques for prostate cancer with prostate-rectum spacers: A systematic review. Int. J. Radiat. Oncol. Biol. Phys. 2014, 90, 278–288. [Google Scholar] [CrossRef] [PubMed]
- Vaggers, S.; Rai, B.P.; Chedgy, E.C.P.; de la Taille, A.; Somani, B.K. Polyethylene glycol-based hydrogel rectal spacers for prostate brachytherapy: A systematic review with a focus on technique. World J. Urol. 2021, 39, 1769–1780. [Google Scholar] [CrossRef] [PubMed]
- Melchert, C.; Gez, E.; Bohlen, G.; Scarzello, G.; Koziol, I.; Anscher, M.; Cytron, S.; Paz, A.; Torre, T.; Bassignani, M.; et al. Interstitial biodegradable balloon for reduced rectal dose during prostate radiotherapy: Results of a virtual planning investigation based on the pre- and post-implant imaging data of an international multicenter study. Radiother. Oncol. 2013, 106, 210–214. [Google Scholar] [CrossRef] [PubMed]
- Pasquier, D.; Bogart, E.; Bonodeau, F.; Lacornerie, T.; Lartigau, E.; Latorzeff, I. BioPro-RCMI-1505 trial: Multicenter study evaluating the use of a biodegradable balloon for the treatment of intermediate risk prostate cancer by intensity modulated radiotherapy; study protocol. BMC Cancer 2018, 18, 566. [Google Scholar] [CrossRef] [PubMed]
- Schorghofer, A.; Drerup, M.; Kunit, T.; Lusuardi, L.; Holzinger, J.; Karner, J.; Groher, M.; Zoubek, C.; Forstner, R.; Sedlmayer, F.; et al. Rectum-spacer related acute toxicity—Endoscopy results of 403 prostate cancer patients after implantation of gel or balloon spacers. Radiat. Oncol. 2019, 14, 47. [Google Scholar] [CrossRef]
- Vanneste, B.G.L.; van De Beek, K.; Lutgens, L.; Lambin, P. Implantation of a biodegradable rectum balloon implant: Tips, Tricks and Pitfalls. Int. Braz. J. Urol. 2017, 43, 1033–1042. [Google Scholar] [CrossRef]
- Vanneste, B.G.L.; van Wijk, Y.; Lutgens, L.C.; Van Limbergen, E.J.; van Lin, E.N.; van de Beek, K.; Lambin, P.; Hoffmann, A.L. Dynamics of rectal balloon implant shrinkage in prostate VMAT: Influence on anorectal dose and late rectal complication risk. Strahlenther. Onkol. 2018, 194, 31–40. [Google Scholar] [CrossRef]
- Basu, A.; Haim-Zada, M.; Domb, A.J. Biodegradable inflatable balloons for tissue separation. Biomaterials 2016, 105, 109–116. [Google Scholar] [CrossRef]
- Haim Zada, M.; Kumar, A.; Elmalak, O.; Markovitz, E.; Icekson, R.; Domb, A.J. In vitro and in vivo degradation behavior and the long-term performance of biodegradable PLCL balloon implants. Int. J. Pharm. 2020, 574, 118870. [Google Scholar] [CrossRef] [PubMed]
- Ramot, Y.; Steiner, M.; Lavie, Y.; Ezov, N.; Laub, O.; Cohen, E.; Schwartz, Y.; Nyska, A. Safety and efficacy of sFilm-FS, a novel biodegradable fibrin sealant, in Gottingen minipigs. J. Toxicol. Pathol. 2021, 34, 319–330. [Google Scholar] [CrossRef] [PubMed]
- De Jong, W.H.; Eelco Bergsma, J.; Robinson, J.E.; Bos, R.R. Tissue response to partially in vitro predegraded poly-L-lactide implants. Biomaterials 2005, 26, 1781–1791. [Google Scholar] [CrossRef] [PubMed]
- Schafer, K.A.; Eighmy, J.; Fikes, J.D.; Halpern, W.G.; Hukkanen, R.R.; Long, G.G.; Meseck, E.K.; Patrick, D.J.; Thibodeau, M.S.; Wood, C.E.; et al. Use of Severity Grades to Characterize Histopathologic Changes. Toxicol. Pathol. 2018, 46, 256–265. [Google Scholar] [CrossRef] [PubMed]
- Onuki, Y.; Bhardwaj, U.; Papadimitrakopoulos, F.; Burgess, D.J. A review of the biocompatibility of implantable devices: Current challenges to overcome foreign body response. J. Diabetes Sci. Technol. 2008, 2, 1003–1015. [Google Scholar] [CrossRef] [PubMed]
- Ramot, Y.; Nyska, A.; Markovitz, E.; Dekel, A.; Klaiman, G.; Zada, M.H.; Domb, A.J.; Maronpot, R.R. Long-term Local and Systemic Safety of Poly(L-lactide-co-epsilon-caprolactone) after Subcutaneous and Intra-articular Implantation in Rats. Toxicol. Pathol. 2015, 43, 1127–1140. [Google Scholar] [CrossRef] [PubMed]
- Schuh, J.C. Medical device regulations and testing for toxicologic pathologists. Toxicol. Pathol. 2008, 36, 63–69. [Google Scholar] [CrossRef]






| Group No. | Group Size | Implantation & Iradiation | Scheduled Sacrifice (Post-Implantation) | ||
|---|---|---|---|---|---|
| Implanted Material | Surgical Procedure | Irradiation Dose and Frequency | |||
| 1M | n = 10 | Not Applicable (Sham-Operated Control) | Creation of perirectal SC “pocket” and placement of 2 sutures on both sides | Irradiation of 2 Gray/animal/day starting 7 days post-implantation × 5 days | 4 Weeks |
| n = 10 | 26 Weeks | ||||
| n = 10 | 52 Weeks | ||||
| 2M | n = 10 | Balloon Spacer (Test Device) | Creation of perirectal SC “pocket” and implantation of 1 TD/animal and suturing the TD with 2 sutures | 4 Weeks | |
| n = 10 | 26 Weeks | ||||
| n = 10 | 52 Weeks | ||||
| Cell Type/Response | Score | ||||
|---|---|---|---|---|---|
| 0 | 1 | 2 | 3 | 4 | |
| Neovascularisation | 0 | Minimal capillary proliferation, focal, 1 to 3 buds | Groups of 4 to 7 capillaries with supporting fibroblastic structures | Broad band of capillaries with supporting fibroblastic structures | Extensive band of capillaries with supporting fibroblastic structures |
| Fibrosis | 0 | Narrow band | Moderately thick band | Thick band | Extensive band |
| Fatty Infiltrate | 0 | Minimal amount of fat associated with fibrosis | Several layers of fat and fibrosis | Elongated and broad accumulation of fat cells at activation site | Extensive fat completely surrounding the activation site |
| Cell Type/Response | Score | ||||
|---|---|---|---|---|---|
| 0 | 1 | 2 | 3 | 4 | |
| Polymorphonuclear | 0 | Rare, 1–5/phf a | 5–10/phf | Heavy infiltrate | Packed |
| Lymphocytes | 0 | ||||
| Plasma Cells | 0 | ||||
| Macrophages | 0 | ||||
| Giant Cells | 0 | Rare, 1–2/phf | 3–5/phf | Sheets | |
| Score Following Control Subtraction | ||||
|---|---|---|---|---|
| 0.0–2.9 | 3.0–8.9 | 9.0–15.0 | >15.1 | |
| Total Reactivity | minimal or no reaction | slight reaction | moderate reaction | severe reaction |
| Histopathology Findings at 4 Weeks Post-Implantation (Group No., Treatment, Animal’s No.) | ||||||||||||||||||||||
|---|---|---|---|---|---|---|---|---|---|---|---|---|---|---|---|---|---|---|---|---|---|---|
| 1M | 2M | |||||||||||||||||||||
| Sham-Operated Control | Balloon Spacer (Test Device = TD) | |||||||||||||||||||||
| 1 | 2 | 3 | 4 | 5 | 6 | 7 | 8 | 9 | 10 | 31 | 32 | 33 | 34 | 35 | 36 | 37 | 38 | 39 | 40 | |||
| Parameter | Sham-Operated Site | Implantation Site | ||||||||||||||||||||
| Cell Type/Response | Polymorphonuclear | 0 | 0 | 0 | 0 | 0 | 0 | 0 | 0 | 0 | 0 | 1 | 1 | 1 | 1 | 1 | 1 | 1 | 1 | 1 | NA | |
| Lymphocytes | 1 | 1 | 1 | 1 | 1 | 1 | 1 | 1 | 1 | 1 | 1 | 1 | 1 | 1 | 1 | 1 | 1 | 1 | 1 | NA | ||
| Plasma Cells | 0 | 0 | 0 | 0 | 0 | 0 | 0 | 0 | 0 | 0 | 0 | 0 | 0 | 0 | 0 | 0 | 0 | 0 | 0 | NA | ||
| Macrophages | 0 | 0 | 0 | 0 | 0 | 0 | 0 | 0 | 0 | 0 | 1 | 1 | 1 | 1 | 1 | 1 | 1 | 1 | 1 | NA | ||
| Giant Cells | 0 | 0 | 0 | 0 | 0 | 0 | 0 | 0 | 0 | 0 | 0 | 0 | 0 | 0 | 0 | 0 | 0 | 0 | 0 | NA | ||
| Necrosis | 0 | 0 | 0 | 0 | 0 | 0 | 0 | 0 | 0 | 0 | 0 | 0 | 0 | 0 | 0 | 0 | 0 | 0 | 0 | NA | ||
| Sub Total | 1 | 1 | 1 | 1 | 1 | 1 | 1 | 1 | 1 | 1 | 3 | 3 | 3 | 3 | 3 | 3 | 3 | 3 | 3 | NA | ||
| Sub Total (×2) | 2 | 2 | 2 | 2 | 2 | 2 | 2 | 2 | 2 | 2 | 6 | 6 | 6 | 6 | 6 | 6 | 6 | 6 | 6 | NA | ||
| Tissue Response | Neovascularization | 1 | 1 | 1 | 1 | 1 | 1 | 1 | 1 | 1 | 1 | 1 | 1 | 1 | 1 | 1 | 1 | 1 | 1 | 1 | NA | |
| Fibrosis/fibrous capsule | 1 | 1 | 1 | 1 | 1 | 1 | 1 | 1 | 1 | 1 | 2 | 2 | 2 | 2 | 2 | 2 | 2 | 2 | 2 | NA | ||
| Fatty Infiltrate | 0 | 0 | 0 | 0 | 0 | 0 | 0 | 0 | 0 | 0 | 0 | 0 | 0 | 0 | 0 | 0 | 0 | 0 | 0 | NA | ||
| Sub Total | 2 | 2 | 2 | 2 | 2 | 2 | 2 | 2 | 2 | 2 | 3 | 3 | 3 | 3 | 3 | 3 | 3 | 3 | 3 | NA | ||
| Total | 4 | 4 | 4 | 4 | 4 | 4 | 4 | 4 | 4 | 4 | 9 | 9 | 9 | 9 | 9 | 9 | 9 | 9 | 9 | NA | ||
| Group Total Reactivity | 40 | 81 | ||||||||||||||||||||
| Average Reactivity | 4.0 | 9.0 | ||||||||||||||||||||
| Average TD minus Average Control | 5.0 | |||||||||||||||||||||
| Total Reactivity | Slight Reaction | |||||||||||||||||||||
| Hemorrhage | 0 | 0 | 0 | 0 | 0 | 0 | 0 | 0 | 0 | 0 | 0 | 0 | 0 | 0 | 0 | 0 | 0 | 0 | 0 | 0 | NA | |
| Granuloma | 0 | 0 | 0 | 0 | 0 | 0 | 0 | 0 | 0 | 0 | 0 | 0 | 0 | 0 | 0 | 0 | 0 | 0 | 0 | 0 | NA | |
| foreign debris | 0 | 0 | 0 | 0 | 0 | 0 | 0 | 0 | 0 | 0 | 0 | 0 | 0 | 0 | 0 | 0 | 0 | 0 | 0 | 0 | NA | |
| Tissue ingrowth | 0 | 0 | 0 | 0 | 0 | 0 | 0 | 0 | 0 | 0 | 0 | 0 | 0 | 0 | 0 | 0 | 0 | 0 | 0 | 0 | NA | |
| Mineralization | 0 | 0 | 0 | 0 | 0 | 0 | 0 | 0 | 0 | 0 | 0 | 0 | 0 | 0 | 0 | 0 | 0 | 0 | 0 | 0 | NA | |
| Residual Material (implant) | NA | NA | NA | NA | NA | NA | NA | NA | NA | NA | NA | 1 | 1 | 1 | 1 | 1 | 1 | 1 | 1 | 1 | NA | |
| Histopathology Findings at 26 Weeks Post-Implantation (Group No., Treatment, Animal’s No.) | ||||||||||||||||||||||
|---|---|---|---|---|---|---|---|---|---|---|---|---|---|---|---|---|---|---|---|---|---|---|
| 1M | 2M | |||||||||||||||||||||
| Sham-Operated Control | Balloon Spacer (Test Device = TD) | |||||||||||||||||||||
| 11 | 13 | 14 | 15 | 16 | 17 | 18 | 19 | 20 | 61 | 41 | 42 | 43 | 44 | 45 | 46 | 47 | 48 | 49 | 50 | |||
| Parameter | Sham-Operated Site | Implantation Site | ||||||||||||||||||||
| Cell Type/Response | Polymorphonuclear | 0 | 0 | 0 | 0 | 0 | 0 | 0 | 0 | 0 | 0 | 0 | 1 | 1 | 1 | 1 | 3 * | 0 | 1 | 0 | 1 | |
| Lymphocytes | 0 | 0 | 0 | 0 | 0 | 0 | 0 | 0 | 0 | 0 | 1 | 1 | 1 | 1 | 1 | 1 | 1 | 1 | 1 | 1 | ||
| Plasma Cells | 0 | 0 | 0 | 0 | 0 | 0 | 0 | 0 | 0 | 0 | 0 | 0 | 0 | 0 | 0 | 0 | 0 | 0 | 0 | 0 | ||
| Macrophages | 0 | 0 | 0 | 0 | 0 | 0 | 0 | 0 | 0 | 0 | 2 | 1 | 1 | 1 | 1 | 1 | 1 | 1 | 1 | 1 | ||
| Giant Cells | 0 | 0 | 0 | 0 | 0 | 0 | 0 | 0 | 0 | 0 | 0 | 0 | 0 | 0 | 0 | 1 | 0 | 0 | 0 | 0 | ||
| Necrosis | 0 | 0 | 0 | 0 | 0 | 0 | 0 | 0 | 0 | 0 | 0 | 0 | 0 | 0 | 0 | 0 | 0 | 0 | 0 | 0 | ||
| Sub Total | 0 | 0 | 0 | 0 | 0 | 0 | 0 | 0 | 0 | 0 | 3 | 3 | 3 | 3 | 3 | 6 | 2 | 3 | 2 | 3 | ||
| Sub Total (×2) | 0 | 0 | 0 | 0 | 0 | 0 | 0 | 0 | 0 | 0 | 6 | 6 | 6 | 6 | 6 | 12 | 4 | 6 | 4 | 6 | ||
| Tissue Response | Neovascularization | 0 | 0 | 0 | 0 | 0 | 0 | 0 | 0 | 0 | 0 | 1 | 1 | 1 | 1 | 1 | 1 | 1 | 1 | 1 | 1 | |
| Fibrosis/fibrous capsule | 0 | 0 | 0 | 0 | 0 | 0 | 0 | 0 | 0 | 0 | 2 | 2 | 2 | 3 | 3 | 3 | 2 | 2 | 2 | 2 | ||
| Fibrosis/fibrous within the cavity | 0 | 0 | 0 | 0 | 0 | 0 | 0 | 0 | 0 | 0 | 3 | 1 | 1 | 2 | 1 | 2 | 0 | 2 | 2 | 1 | ||
| Fatty Infiltrate | 0 | 0 | 0 | 0 | 0 | 0 | 0 | 0 | 0 | 0 | 0 | 0 | 0 | 0 | 0 | 0 | 0 | 0 | 0 | 0 | ||
| Sub Total | 0 | 0 | 0 | 0 | 0 | 0 | 0 | 0 | 0 | 0 | 6 | 4 | 4 | 6 | 5 | 0 | 3 | 5 | 5 | 4 | ||
| Total | 0 | 0 | 0 | 0 | 0 | 0 | 0 | 0 | 0 | 0 | 12 | 10 | 10 | 12 | 11 | 18 | 7 | 11 | 9 | 10 | ||
| Group Total Reactivity | 0 | 92 | ||||||||||||||||||||
| Average Reactivity | 0.0 | 10.2 | ||||||||||||||||||||
| Average TD minus Average Control | 10.2 | |||||||||||||||||||||
| Total Reactivity | Moderate Reaction | |||||||||||||||||||||
| Hemorrhage | 0 | 0 | 0 | 0 | 0 | 0 | 0 | 0 | 0 | 0 | 0 | 0 | 0 | 0 | 0 | 0 | 0 | 0 | 0 | 0 | 0 | |
| Granuloma | 0 | 0 | 0 | 0 | 0 | 0 | 0 | 0 | 0 | 0 | 1 | 1 | 0 | 0 | 0 | 0 | 0 | 0 | 0 | 0 | 0 | |
| foreign debris | 0 | 0 | 0 | 0 | 0 | 0 | 0 | 0 | 0 | 0 | 1 | 1 | 0 | 0 | 0 | 0 | 2 | 0 | 0 | 0 | 0 | |
| Tissue ingrowth (fibrosis) | 0 | 0 | 0 | 0 | 0 | 0 | 0 | 0 | 0 | 0 | 0 | 3 | 1 | 1 | 2 | 1 | 2 | 0 | 2 | 2 | 2 | |
| Mineralization | 0 | 0 | 0 | 0 | 0 | 0 | 0 | 0 | 0 | 0 | 0 | 0 | 0 | 0 | 0 | 0 | 2 | 0 | 0 | 0 | 0 | |
| Residual Material (implant) | NA | NA | NA | NA | NA | NA | NA | NA | NA | NA | NA | 4 | 2 | 2 | 3 | 4 | 2 | 4 | 3 | 4 | 2 | |
| Histopathology Findings at 52 Weeks Post-Implantation (Group No., Treatment, Animal’s No.) | ||||||||||||||||||||||
|---|---|---|---|---|---|---|---|---|---|---|---|---|---|---|---|---|---|---|---|---|---|---|
| 1M | 2M | |||||||||||||||||||||
| Sham-Operated Control | Balloon Spacer (Test Device = TD) | |||||||||||||||||||||
| 21 | 22 | 23 | 24 | 25 | 26 | 27 | 28 | 29 | 30 | 51 | 52 | 53 | 101 | 55 | 56 | 57 | 58 | 59 | 60 | |||
| Parameter | Sham-Operated Site | Implantation Site | ||||||||||||||||||||
| Cell Type/Response | Polymorphonuclear | 0 | 0 | 0 | 0 | 0 | 0 | 0 | 0 | 0 | 0 | 0 | 0 | 0 | 0 | NA | 0 | 0 | 0 | 0 | 0 | |
| Lymphocytes | 0 | 0 | 0 | 0 | 0 | 0 | 0 | 0 | 0 | 0 | 1 | 1 | 1 | 1 | NA | 1 | 1 | 1 | 1 | 1 | ||
| Plasma Cells | 0 | 0 | 0 | 0 | 0 | 0 | 0 | 0 | 0 | 0 | 0 | 0 | 0 | 0 | NA | 0 | 0 | 0 | 0 | 0 | ||
| Macrophages | 0 | 0 | 0 | 0 | 0 | 0 | 0 | 0 | 0 | 0 | 1 | 1 | 1 | 1 | NA | 1 | 1 | 1 | 1 | 1 | ||
| Giant Cells | 0 | 0 | 0 | 0 | 0 | 0 | 0 | 0 | 0 | 0 | 0 | 0 | 0 | 0 | NA | 0 | 0 | 0 | 0 | 0 | ||
| Necrosis | 0 | 0 | 0 | 0 | 0 | 0 | 0 | 0 | 0 | 0 | 0 | 0 | 0 | 0 | NA | 0 | 0 | 0 | 0 | 0 | ||
| Sub Total | 0 | 0 | 0 | 0 | 0 | 0 | 0 | 0 | 0 | 0 | 2 | 2 | 2 | 2 | NA | 2 | 2 | 2 | 2 | 2 | ||
| Sub Total (×2) | 0 | 0 | 0 | 0 | 0 | 0 | 0 | 0 | 0 | 0 | 4 | 4 | 4 | 4 | NA | 4 | 4 | 4 | 4 | 4 | ||
| Tissue Response | Neovascularization | 0 | 0 | 0 | 0 | 0 | 0 | 0 | 0 | 0 | 0 | 1 | 1 | 1 | 1 | NA | 1 | 1 | 1 | 1 | 1 | |
| Fibrosis/fibrous capsule | 0 | 0 | 0 | 0 | 0 | 0 | 0 | 0 | 0 | 0 | 2 | 2 | 2 | 2 | NA | 2 | 2 | 2 | 2 | 2 | ||
| Fibrosis/fibrous within the cavity | 0 | 0 | 0 | 0 | 0 | 0 | 0 | 0 | 0 | 0 | 1 | 1 | 1 | 1 | NA | 1 | 1 | 1 | 1 | 1 | ||
| Fatty Infiltrate | 0 | 0 | 0 | 0 | 0 | 0 | 0 | 0 | 0 | 0 | 0 | 0 | 0 | 0 | NA | 0 | 0 | 0 | 0 | 0 | ||
| Sub Total | 0 | 0 | 0 | 0 | 0 | 0 | 0 | 0 | 0 | 0 | 4 | 4 | 4 | 4 | NA | 4 | 4 | 4 | 4 | 4 | ||
| Total | 0 | 0 | 0 | 0 | 0 | 0 | 0 | 0 | 0 | 0 | 8 | 8 | 8 | 8 | NA | 8 | 8 | 8 | 8 | 8 | ||
| Group Total Reactivity | 0 | 72 | ||||||||||||||||||||
| Average Reactivity | 0.0 | 8.0 | ||||||||||||||||||||
| Average TD minus Average Control | 8.0 | |||||||||||||||||||||
| Total Reactivity | Slight Reaction | |||||||||||||||||||||
| Hemorrhage | 0 | 0 | 0 | 0 | 0 | 0 | 0 | 0 | 0 | 0 | 0 | 0 | 0 | 0 | 0 | NA | 0 | 0 | 0 | 0 | 0 | |
| Granuloma | 0 | 0 | 0 | 0 | 0 | 0 | 0 | 0 | 0 | 0 | 0 | 0 | 0 | 0 | 1 | NA | 0 | 0 | 0 | 0 | 1 | |
| foreign debris | 0 | 0 | 0 | 0 | 0 | 0 | 0 | 0 | 0 | 0 | 0 | 0 | 0 | 0 | 0 | NA | 0 | 0 | 0 | 0 | 0 | |
| Tissue ingrowth (fibrosis) | 0 | 0 | 0 | 0 | 0 | 0 | 0 | 0 | 0 | 0 | 0 | 2 | 2 | 2 | 2 | NA | 2 | 2 | 2 | 2 | 2 | |
| Mineralization | 0 | 0 | 0 | 0 | 0 | 0 | 0 | 0 | 0 | 0 | 0 | 0 | 0 | 0 | 0 | NA | 0 | 0 | 0 | 0 | 0 | |
| Residual Material (implant) | NA | NA | NA | NA | NA | NA | NA | NA | NA | NA | NA | 4 * | 4 * | 4 * | 4 * | NA | 4 * | 4 * | 4 * | 4 * | 4 * | |
Disclaimer/Publisher’s Note: The statements, opinions and data contained in all publications are solely those of the individual author(s) and contributor(s) and not of MDPI and/or the editor(s). MDPI and/or the editor(s) disclaim responsibility for any injury to people or property resulting from any ideas, methods, instructions or products referred to in the content. |
© 2023 by the authors. Licensee MDPI, Basel, Switzerland. This article is an open access article distributed under the terms and conditions of the Creative Commons Attribution (CC BY) license (https://creativecommons.org/licenses/by/4.0/).
Share and Cite
Ramot, Y.; Levin-Harrus, T.; Ezratty, A.; Steiner, M.; Ezov, N.; Domb, A.J.; Abdel-Haq, M.; Shohat, S.; Aperman, L.; Adler, L.; et al. Assessment of Bioprotect’s Biodegradable Balloon System as a Rectal Spacer in Radiotherapy: An Animal Study on Tissue Response and Biocompatibility. Pharmaceutics 2023, 15, 2744. https://doi.org/10.3390/pharmaceutics15122744
Ramot Y, Levin-Harrus T, Ezratty A, Steiner M, Ezov N, Domb AJ, Abdel-Haq M, Shohat S, Aperman L, Adler L, et al. Assessment of Bioprotect’s Biodegradable Balloon System as a Rectal Spacer in Radiotherapy: An Animal Study on Tissue Response and Biocompatibility. Pharmaceutics. 2023; 15(12):2744. https://doi.org/10.3390/pharmaceutics15122744
Chicago/Turabian StyleRamot, Yuval, Tal Levin-Harrus, Adva Ezratty, Michal Steiner, Nati Ezov, Abraham J. Domb, Muhammad Abdel-Haq, Shaul Shohat, Liron Aperman, Lee Adler, and et al. 2023. "Assessment of Bioprotect’s Biodegradable Balloon System as a Rectal Spacer in Radiotherapy: An Animal Study on Tissue Response and Biocompatibility" Pharmaceutics 15, no. 12: 2744. https://doi.org/10.3390/pharmaceutics15122744
APA StyleRamot, Y., Levin-Harrus, T., Ezratty, A., Steiner, M., Ezov, N., Domb, A. J., Abdel-Haq, M., Shohat, S., Aperman, L., Adler, L., Dolkart, O., & Nyska, A. (2023). Assessment of Bioprotect’s Biodegradable Balloon System as a Rectal Spacer in Radiotherapy: An Animal Study on Tissue Response and Biocompatibility. Pharmaceutics, 15(12), 2744. https://doi.org/10.3390/pharmaceutics15122744

