Qualification of Non-Halogenated Organic Solvents Applied to Microsphere Manufacturing Process
Abstract
1. Introduction
2. Materials and Methods
2.1. Materials
2.2. Preparation of Poly-d,l-lactide-co-glycolide (PLGA) Microspheres
2.3. Optical Microscopy
2.4. Microsphere Size Distribution
2.5. Interfacial Tension Measurement
2.6. Atomic Force Microscopy (AFM)
2.7. Drug Encapsulation Efficiency
2.8. Scanning Electron Microscopy (SEM)
2.9. Differential Scanning Calorimetry (DSC)
2.10. Thermogravimetric Analysis (TGA)
2.11. Gas Chromatography (GC)
2.12. Drug Release Test
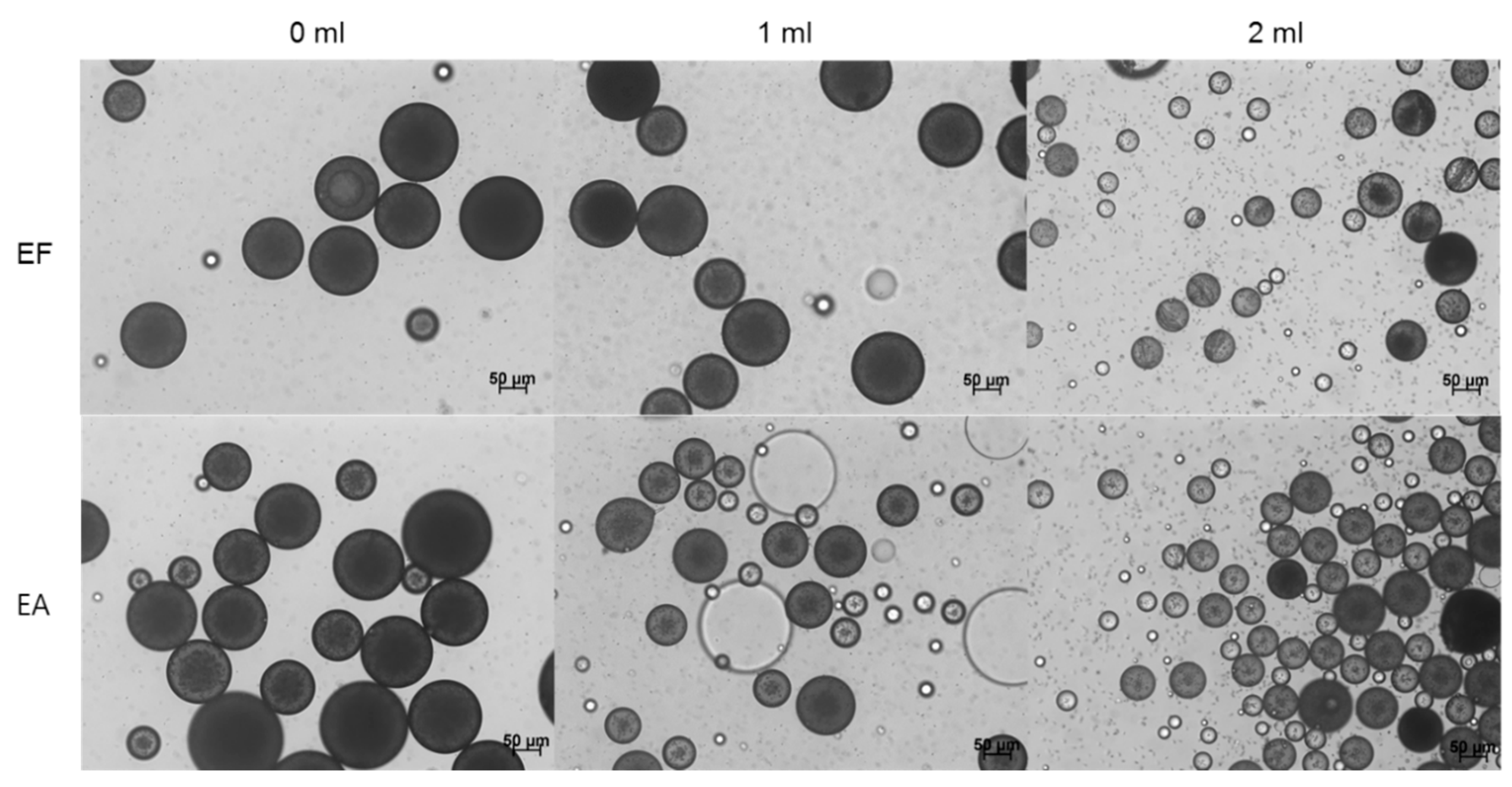
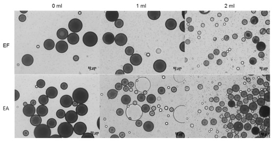
3. Results
4. Discussion
4.1. Hansen Solubility Parameter (HSP) Distance
4.2. Limitations of Prior EF-Based Microencapsulation Processes
4.3. Solvent Effects upon Microsphere Morphology
4.4. Determinants of Drug Encapsulation Efficiency
5. Conclusions
Supplementary Materials
Author Contributions
Funding
Conflicts of Interest
References
- Tice, T.R. A 30-year history of PLG applications in parenteral controlled drug release. Pharm. Technol. 2017, 41, 26–32. [Google Scholar]
- Ho, M.J.; Jeong, H.T.; Im, S.H.; Kim, H.T.; Lee, J.E.; Park, J.S.; Cho, H.R.; Kim, D.Y.; Choi, Y.W.; Lee, J.W.; et al. Design and In vivo pharmacokinetic evaluation of triamcinolone acetonide microcrystals-loaded PLGA microsphere for increased drug retention in knees after intra-articular injection. Pharmaceutics 2019, 11, 419. [Google Scholar] [CrossRef] [PubMed]
- Schoubben, A.; Ricci, M.; Giovagnoli, S. Meeting the unmet: From traditional to cutting-edge techniques for poly lactide and poly lactide-co-glycolide microparticle manufacturing. J. Pharm. Investig. 2019, 49, 381–404. [Google Scholar] [CrossRef]
- Saez, V.; Cerruti, R.; Ramón, J.A.; Santos, E.R.F.; Silva, D.Z.; Pinto, J.C.; Souza, F.G., Jr. Quantification of oxaliplatin encapsulated into PLGA microspheres by TGA. Macromol. Symp. 2016, 368, 116–121. [Google Scholar] [CrossRef]
- Wischke, C.; Schwendeman, S.P. Principles of encapsulating hydrophobic drugs in PLA/PLGA microparticles. Int. J. Pharm. 2008, 364, 298–327. [Google Scholar] [CrossRef]
- Umeki, N.; Sato, T.; Harada, M.; Takeda, J.; Saito, S.; Iwao, Y.; Itai, S. Preparation and evaluation of biodegradable microspheres containing a new potent osteogenic compound and new synthetic polymers for sustained release. Int. J. Pharm. 2010, 392, 42–50. [Google Scholar] [CrossRef]
- Thanh, H.H.; Thi, P.T.D.; Tuan, A.N.; Duy, D.L.; Mau, C.D. Cross-flow membrane emulsification technique for fabrication of drug-loaded particles. Adv. Nat. Sci. Nanosci. Nanotechnol. 2013, 4, 045008. [Google Scholar] [CrossRef]
- Ullah, A.; Kim, C.M.; Kim, G.M. Solvent effects on the porosity and size of porous PLGA microspheres using gelatin and PBS as porogens in a microfluidic flow-focusing device. J. Nanosci. Nanotechnol. 2017, 17, 7775–7782. [Google Scholar] [CrossRef]
- U.S. Department of Health and Human Services, Food and Drug Administration. Q3C—Tables and List Guidance for Industry; U.S. Department of Health and Human Services, Food and Drug Administration: Rockville, MD, USA, 2017; ICH (Revision 3). [Google Scholar]
- Soppimath, K.S.; Aminabhavi, T.M. Ethyl acetate as a dispersing solvent in the production of poly(DL-lactide-co-glycolide) microspheres: Effect of process parameters and polymer type. J. Microencapsul. 2002, 19, 281–292. [Google Scholar] [CrossRef]
- Lagarce, F.; Cruaud, O.; Deuschel, C.; Bayssas, M.; Griffon-Etienne, G.; Benoit, J. Oxaliplatin loaded PLAGA microspheres: Design of specific release profiles. Int. J. Pharm. 2002, 242, 243–246. [Google Scholar] [CrossRef]
- Ruana, G.; Feng, S.S.; Li, Q.T. Effects of material hydrophobicity on physical properties of polymeric microspheres formed by double emulsion process. J. Control Release 2002, 84, 151–160. [Google Scholar] [CrossRef]
- Ravi, S.; Peh, K.K.; Darwis, Y.; Murthy, B.K.; Singh, T.R.; Mallikarjun, C. Development and characterization of polymeric microspheres for controlled release protein loaded drug delivery system. Indian J. Pharm. Sci. 2008, 70, 303–309. [Google Scholar] [CrossRef] [PubMed]
- Matsumoto, A.; Kitazawa, T.; Murata, J.; Horikiri, Y.; Yamahara, H. A novel preparation method for PLGA microspheres using non-halogenated solvents. J. Control Release 2008, 129, 223–227. [Google Scholar] [CrossRef] [PubMed]
- Vysloužil, J.; Doležel, P.; Kejdušová, M.; Mašková, E.; Mašek, J.; Lukáč, R.; Kost’ál, V.; Vetchý, D.; Dvořáčková, K. Influence of different formulations and process parameters during the preparation of drug-loaded PLGA microspheres evaluated by multivariate data analysis. Acta Pharm. 2014, 64, 403–417. [Google Scholar] [CrossRef]
- Park, K.; Skidmore, S.; Hadar, J.; Garner, J.; Park, H.; Otte, A.; Soh, B.K.; Yoon, G.; Yu, D.; Yun, Y.; et al. Injectable, long-acting PLGA formulations: Analyzing PLGA and understanding microparticle formation. J. Control Release 2019, 304, 125–134. [Google Scholar] [CrossRef]
- Sah, H. Ethyl formate–alternative dispersed solvent useful in preparing PLGA microspheres. Int. J. Pharm. 2000, 195, 103–113. [Google Scholar] [CrossRef]
- Dorati, R.; Patrini, M.; Perugini, P.; Pavanetto, F.; Stella, A.; Modena, T.; Genta, I.; Conti, B. Surface characterization by atomic force microscopy of sterilized PLGA microspheres. J. Microencapsul. 2006, 23, 123–133. [Google Scholar] [CrossRef]
- Shahid, M.Z.; Usman, M.R.; Akram, M.S.; Khawaja, S.Y.; Afzal, W. Initial interfacial tension for various organic–water systems and study of the effect of solute concentration and temperature. J. Chem. Eng. Data 2017, 62, 1198–1203. [Google Scholar] [CrossRef]
- Moran, K.; Yeung, A.; Masliyah, J. Measuring interfacial tensions of micrometer-sized droplets: A novel micromechanical technique. Langmuir 1999, 15, 8497–8504. [Google Scholar] [CrossRef]
- Drelich, J.; Fang, C.; White, C.L. Measurement of interfacial tension in fluid-fluid systems. In Encyclopedia of Surface and Colloid Science; Hubbard, A.T., Ed.; Marcel Dekker, Inc.: New York, NY, USA, 2002; pp. 3152–3166. [Google Scholar]
- Madsen, C.G.; Skov, A.; Baldursdottir, S.; Rades, T.; Jorgensen, L.; Medlicott, N.J. Simple measurements for prediction of drug release from polymer matrices—Solubility parameters and intrinsic viscosity. Eur. J. Pharm. Biopharm. 2015, 92, 1–7. [Google Scholar] [CrossRef]
- Vay, K.; Scheler, S.; Frieß, W. Application of Hansen solubility parameters for understanding and prediction of drug distribution in microspheres. Int. J. Pharm. 2011, 416, 202–209. [Google Scholar] [CrossRef] [PubMed]
- Sun, S.W.; Jeong, Y.I.; Kim, S.H. Surfactant-free microspheres of poly(ε-caprolactone)/poly(ethylene glycol)/poly(ε-caprolactone) triblock copolymers as a protein carrier. Arch. Pharm. Res. 2003, 26, 504–510. [Google Scholar] [CrossRef] [PubMed]
- Li, G.; Yao, L.; Li, J.; Qin, X.; Qiu, Z.; Chen, W. Preparation of poly(lactide-co-glycolide) microspheres and evaluation of pharmacokinetics and tissue distribution of BDMC-PLGA-MS in rats. Asian J. Pharm. Sci. 2018, 13, 82–90. [Google Scholar] [CrossRef] [PubMed]
- Sah, E.; Sah, H. Recent trends in preparation of poly(lactide-co-glycolide) nanoparticles by mixing polymeric dispersed solution with antisolvent. J. Nanomater. 2015, 794601. [Google Scholar] [CrossRef]
- Herrmann, J.; Bodmeier, R. Somatostatin containing biodegradable microspheres prepared by a modified solvent evaporation method based on W/O/W-multiple emulsions. Int. J. Pharm. 1995, 126, 129–138. [Google Scholar] [CrossRef]
- Freytag, T.; Dashevsky, A.; Tillman, L.; Hardee, G.E.; Bodmeier, R. Improvement of the encapsulation efficiency of oligonucleotide-containing biodegradable microspheres. J. Control Release 2000, 69, 197–207. [Google Scholar] [CrossRef]
- Kim, B.K.; Hwang, S.J.; Park, J.B.; Park, H.J. Characteristics of felodipine-located poly(ε-caprolactone) microspheres. J. Microencapsul. 2005, 22, 193–203. [Google Scholar] [CrossRef]
- Ito, F.; Fujimori, H.; Honnami, H.; Kawakami, H.; Kanamura, K.; Makino, K. Study of types and mixture ratio of organic solvent used to dissolve polymers for preparation of drug-containing PLGA microspheres. Eur. Polym. J. 2009, 45, 658–667. [Google Scholar] [CrossRef]
- Aragón, D.M.; Rosas, J.E.; Martínez, F. Relationship between the solution thermodynamic properties of naproxen in organic solvents and its release profiles from PLGA microspheres. J. Microencapsul. 2013, 30, 218–224. [Google Scholar] [CrossRef]
- Costa, M.P.; Feitosa, A.C.S.; Oliveira, F.C.E.; Cavalcanti, B.C.; Da Silva, E.N.; Dias, G.G.; Sales, F.A.M.; Sousa, B.L.; Barroso-Neto, I.L.; Pessoa, C.; et al. Encapsulation of nor-β-lapachone into poly(d,l)-lactide-co-glycolide (PLGA) microcapsules: Full characterization, computational details and cytotoxic activity against human cancer cell lines. Medchemcomm 2017, 8, 1993–2002. [Google Scholar] [CrossRef]
- Rosca, I.D.; Watari, F.; Uo, M. Microparticle formation and its mechanism in single and double emulsion solvent evaporation. J. Control Release 2004, 99, 271–280. [Google Scholar] [CrossRef] [PubMed]
- Yeo, Y.; Park, K. Control of encapsulation efficiency and initial burst in polymeric microparticle systems. Arch. Pharm. Res. 2004, 27, 1–12. [Google Scholar] [CrossRef] [PubMed]
- Puthli, S.; Vavia, P. Formulation and performance characterization of radio-sterilized “progestin-only” microparticles intended for contraception. AAPS PharmSciTech 2009, 10, 443–452. [Google Scholar] [CrossRef] [PubMed]
- Dorati, R.; Genta, I.; Colzani, B.; Modena, T.; Bruni, G.; Tripodo, G.; Conti, B. Stability evaluation of ivermectin-loaded biodegradable microspheres. AAPS PharmSciTech 2015, 16, 1129–1139. [Google Scholar] [CrossRef]
- Leo, E.; Forni, F.; Bernabei, M.T. Surface drug removal from ibuprofen-loaded PLA microspheres. Int. J. Pharm. 2000, 196, 1–9. [Google Scholar] [CrossRef]
- Birnbaum, D.T.; Kosmala, J.D.; Henthorn, D.B.; Brannon-Peppas, L. Controlled release of beta-estradiol from PLAGA microparticles: The effect of organic phase solvent on encapsulation and release. J. Control Release 2000, 65, 375–387. [Google Scholar] [CrossRef]
- Benelli, P.; Conti, B.; Genta, I.; Costantini, M.; Montanari, L. Clonazepam microencapsulation in poly-D,L-lactide-coglycolide microspheres. J. Microencapsul. 1998, 15, 431–443. [Google Scholar] [CrossRef]
- Kastellorizios, M.; Tipnis, N.; Papadimitrakopoulos, F.; Burgess, D.J. Drug distribution in microspheres enhances their anti-inflammatory properties in the Gottingen minipig. Mol. Pharm. 2015, 12, 3332–3338. [Google Scholar] [CrossRef]











| Property | Ethyl Formate a | Ethyl Acetate b |
|---|---|---|
| Formula | HCOOC2H5 | CH3COOC2H5 |
| Molecular mass (g/mol) | 74.1 | 88.1 |
| Boiling point (°C) | 52−54 | 77 |
| Density (g/cm3) | 0.92 | 0.9 |
| Solubility in water (g/100 mL) | 10.5 | 8.7 |
| Log P (octanol/water) | 0.23 | 0.73 |
| Solvent | Amount (mL) | D10% | D50% | D90% | Span |
|---|---|---|---|---|---|
| EF | 0 | 72.2 | 152 | 243 | 1.12 |
| EF | 1 | 66.6 | 126 | 211 | 1.15 |
| EF | 2 | 55.3 | 97.5 | 162 | 1.1 |
| EA | 0 | 59.2 | 122 | 214 | 1.27 |
| EA | 1 | 41 | 103 | 176 | 1.31 |
| EA | 2 | 16.2 | 69 | 121 | 1.52 |
© 2020 by the authors. Licensee MDPI, Basel, Switzerland. This article is an open access article distributed under the terms and conditions of the Creative Commons Attribution (CC BY) license (http://creativecommons.org/licenses/by/4.0/).
Share and Cite
Shim, H.; Sah, H. Qualification of Non-Halogenated Organic Solvents Applied to Microsphere Manufacturing Process. Pharmaceutics 2020, 12, 425. https://doi.org/10.3390/pharmaceutics12050425
Shim H, Sah H. Qualification of Non-Halogenated Organic Solvents Applied to Microsphere Manufacturing Process. Pharmaceutics. 2020; 12(5):425. https://doi.org/10.3390/pharmaceutics12050425
Chicago/Turabian StyleShim, Hyunjin, and Hongkee Sah. 2020. "Qualification of Non-Halogenated Organic Solvents Applied to Microsphere Manufacturing Process" Pharmaceutics 12, no. 5: 425. https://doi.org/10.3390/pharmaceutics12050425
APA StyleShim, H., & Sah, H. (2020). Qualification of Non-Halogenated Organic Solvents Applied to Microsphere Manufacturing Process. Pharmaceutics, 12(5), 425. https://doi.org/10.3390/pharmaceutics12050425

