A Naked-Eye Visual Reverse Transcription Loop-Mediated Isothermal Amplification with Sharp Color Changes for Potential Pen-Side Test of Foot-and-Mouth Disease Virus
Abstract
:1. Introduction
2. Materials and Methods
2.1. Preparation of FMDV 3D RNA Transcript Standard
2.2. Viruses and Nucleic Acid Samples
2.3. Primer Design
2.4. RT-qPCR and Conventional RT-PCR Methods
2.5. The Identification of ORFV, SPPV/GTPV, PRV, PCV2, BVDV, SVV, CSFV, BTV, PRRSV, and PPV by PCR or RT-PCR
2.6. Establishment and Optimization of the Visual RT-LAMP Assay
2.7. Comparison of the Chromogenic Agents among HNB, Calcein, SYBR Green, Neutral Red, Cresol Red, and Bromothymol Blue (BTB) for the Naked-Eye Visual RT-LAMP Assay
2.8. Analytical Sensitivity and Specificity of the Naked-Eye Visual RT-LAMP Assay
2.9. Evaluation of the Naked-Eye Visual RT-LAMP Assay with Field Samples
3. Results
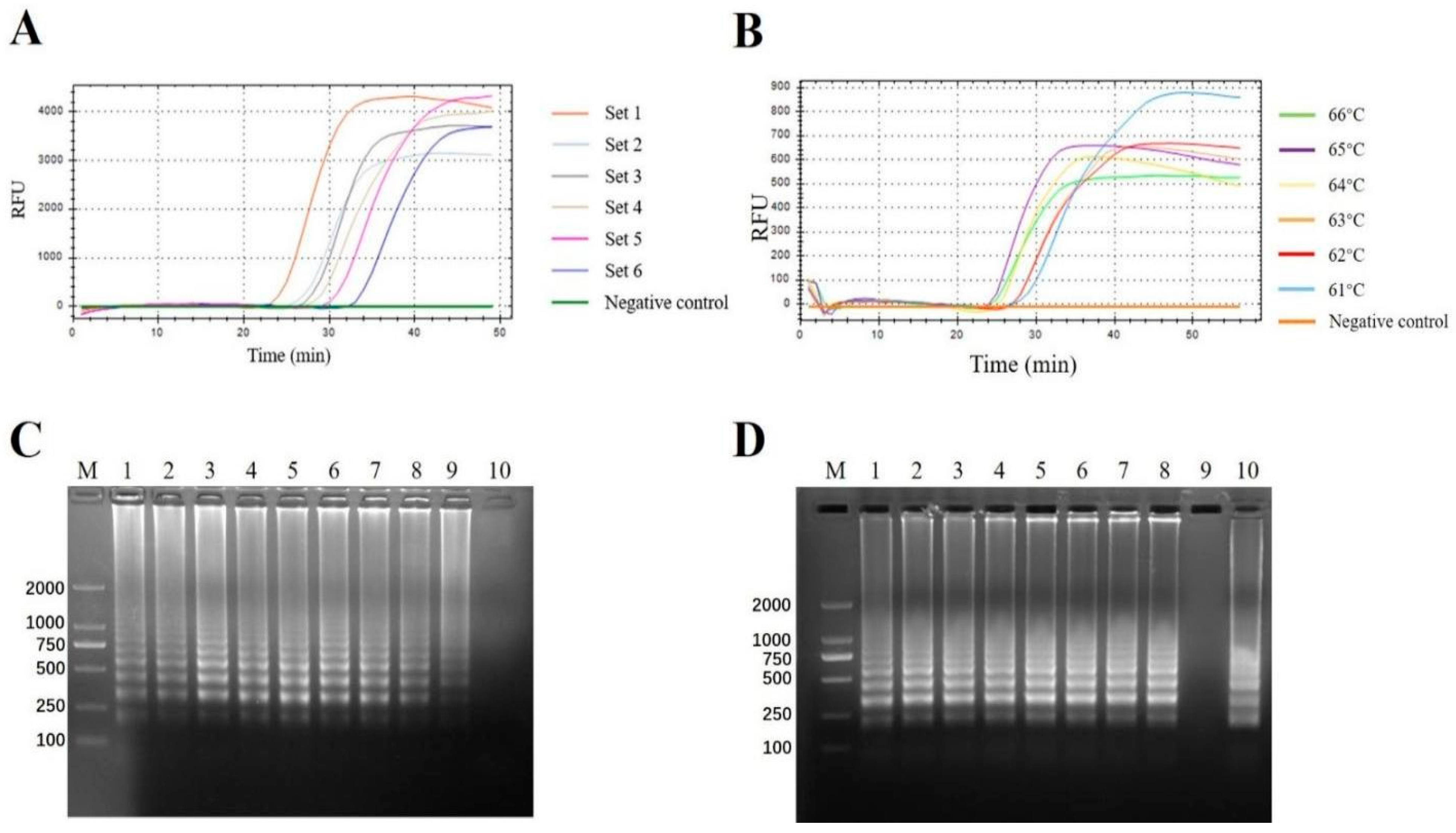
3.1. Establishment and Optimization of the Pan-Serotypic FMDV Visual RT-LAMP Assay
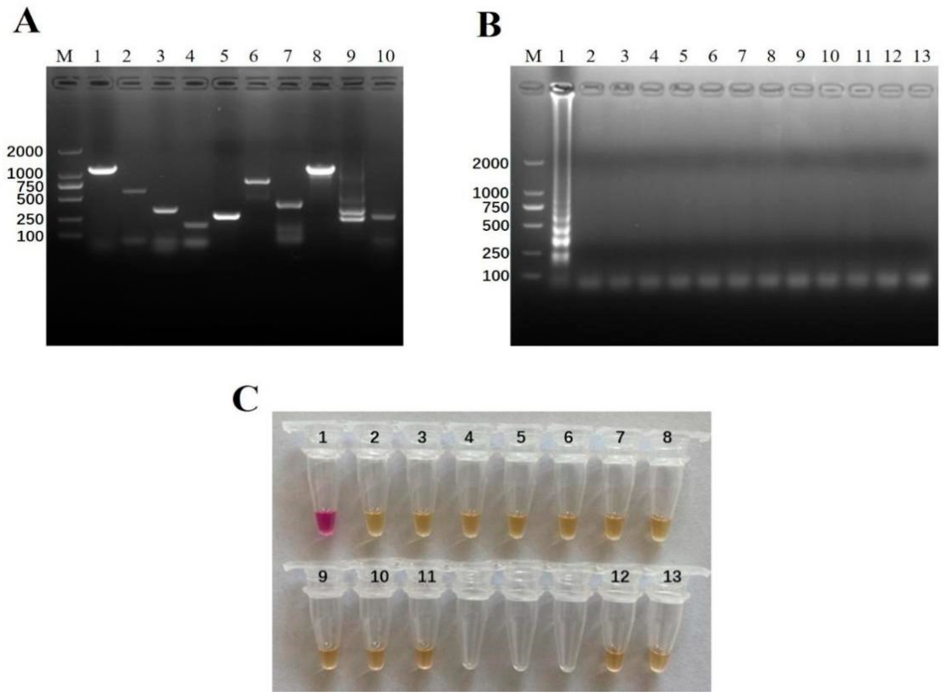
3.2. The Selection of Chromogenic Agents for the Pan-Serotypic FMDV Naked-Eye Visual RT-LAMP Assay
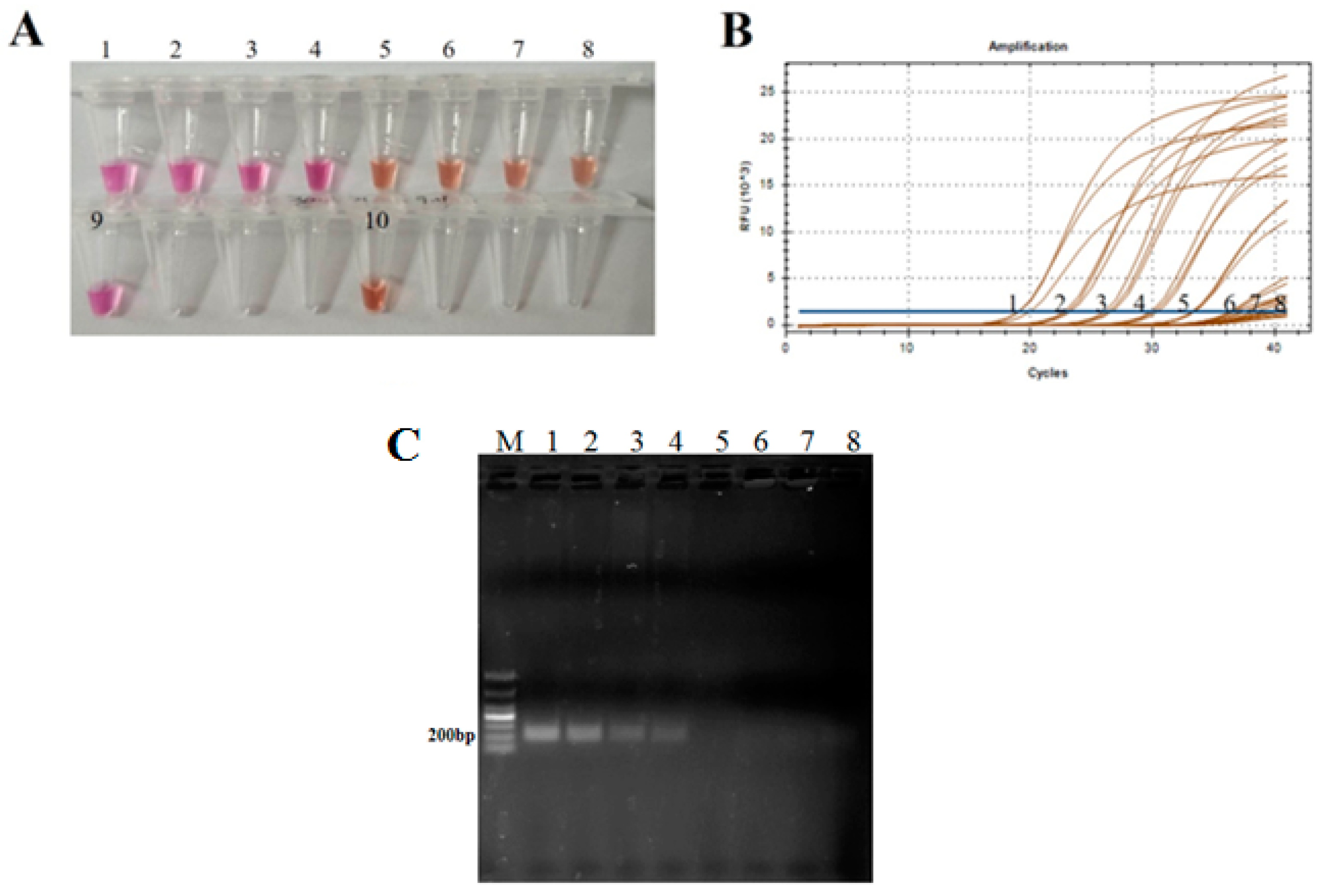
3.3. Analytical Specificity and Sensitivity of the Naked-Eye Visual RT-LAMP Assay
3.4. Evaluation of the Naked-Eye Visual RT-LAMP Assay with Field Samples
4. Discussion
5. Conclusions
Supplementary Materials
Author Contributions
Funding
Institutional Review Board Statement
Informed Consent Statement
Data Availability Statement
Acknowledgments
Conflicts of Interest
References
- Paton, D.J.; Di Nardo, A.; Knowles, N.J.; Wadsworth, J.; Pituco, E.M.; Cosivi, O.; Rivera, A.M.; Kassimi, L.B.; Brocchi, E.; de Clercq, K.; et al. The history of foot-and-mouth disease virus serotype C: The first known extinct serotype. Virus Evol. 2021, 7, veab009. [Google Scholar] [CrossRef]
- Gao, H.; Ma, J. Spatial distribution and risk areas of foot and mouth disease in mainland China. Prev. Vet. Med. 2021, 189, 105311. [Google Scholar] [CrossRef]
- Poonsuk, K.; Giménez-Lirola, L.; Zimmerman, J.J. A review of foot-and-mouth disease virus (FMDV) testing in livestock with an emphasis on the use of alternative diagnostic specimens. Anim. Health Res. Rev. 2018, 19, 100–112. [Google Scholar] [CrossRef] [PubMed]
- Fontél, K.S.; Bøtner, A.; Belsham, G.J.; Lohse, L. Diagnostic comparison of serum and EDTA-stabilized blood samples for the detection of foot-and-mouth disease virus RNA by RT-qPCR. J. Virol. Methods 2019, 270, 120–125. [Google Scholar] [CrossRef]
- Belsham, G.J. Towards improvements in foot-and-mouth disease vaccine performance. Acta Vet. Scand. 2020, 62, 20. [Google Scholar] [CrossRef]
- Wong, C.L.; Yong, C.Y.; Ong, H.K.; Ho, K.L.; Tan, W.S. Advances in the Diagnosis of Foot-and-Mouth Disease. Front. Vet. Sci. 2020, 7, 477. [Google Scholar] [CrossRef]
- Lim, D.R.; Kim, H.R.; Chae, H.G.; Ku, B.K.; Nah, J.J.; Ryoo, S.; Wee, S.H.; Lee, C.; Lyoo, Y.S.; Park, C.K. Probe-based real-time reverse transcription loop-mediated isothermal amplification (RRT-LAMP) assay for rapid and specific detection of foot-and-mouth disease virus. Transbound. Emerg. Dis. 2020, 67, 2936–2945. [Google Scholar] [CrossRef]
- Lee, H.; Nah, J.; Ryoo, S.; Kim, T.; Lee, S.; Jung, S.; Lee, J.; Park, H.J.; Ha, B.S.; Lee, J.W.; et al. Complete Genome Sequence of O/VN1/2014, a Foot-and-Mouth Disease Virus of Serotype O Isolated in Vietnam in 2014. Microbiol. Resour. Announc. 2019, 8, e01343-18. [Google Scholar] [CrossRef]
- Ma, L.; Chen, Z.; Guan, W.; Chen, Q.; Liu, D. Rapid and Specific Detection of All Known Nipah virus Strains’ Sequences With Reverse Transcription-Loop-Mediated Isothermal Amplification. Front. Microbiol. 2019, 10, 418. [Google Scholar] [CrossRef] [PubMed]
- Wong, Y.P.; Othman, S.; Lau, Y.L.; Radu, S.; Chee, H.Y. Loop-mediated isothermal amplification (LAMP): A versatile technique for detection of micro-organisms. J. Appl. Microbiol. 2018, 124, 626–643. [Google Scholar] [CrossRef] [PubMed] [Green Version]
- Ranjan, R.; Kangayan, M.; Subramaniam, S.; Mohapatra, J.K.; Biswal, J.K.; Sharma, G.K.; Sanyal, A.; Pattnaik, B. Development and evaluation of a one step reverse transcription-loop mediated isothermal amplification assay (RT-LAMP) for rapid detection of foot and mouth disease virus in India. Virusdisease 2014, 25, 358–364. [Google Scholar] [CrossRef] [PubMed]
- Chen, H.T.; Zhang, J.; Liu, Y.S.; Liu, X.T. Detection of foot-and-mouth disease virus RNA by reverse transcription loop-mediated isothermal amplification. Virol. J. 2011, 8, 510. [Google Scholar] [CrossRef] [PubMed]
- Chen, H.T.; Zhang, J.; Liu, Y.S.; Liu, X.T. Rapid typing of foot-and-mouth disease serotype Asia 1 by reverse transcription loop-mediated isothermal amplification. Virol. J. 2011, 8, 489. [Google Scholar] [CrossRef] [PubMed]
- Yamazaki, W.; Mioulet, V.; Murray, L.; Madi, M.; Haga, T.; Misawa, N.; Horii, Y.; King, D.P. Development and evaluation of multiplex RT-LAMP assays for rapid and sensitive detection of foot-and-mouth disease virus. J. Virol. Methods 2013, 192, 18–24. [Google Scholar] [CrossRef]
- Bath, C.; Scott, M.; Sharma, P.M.; Gurung, R.B.; Phuentshok, Y.; Pefanis, S.; Colling, A.; Singanallur Balasubramanian, N.; Firestone, S.M.; Ungvanijban, S.; et al. Further development of a reverse-transcription loop-mediated isothermal amplification (RT-LAMP) assay for the detection of foot-and-mouth disease virus and validation in the field with use of an internal positive control. Transbound. Emerg. Dis. 2020, 67, 2494–2506. [Google Scholar] [CrossRef]
- Ghaith, D.M.; Abu Ghazaleh, R. Carboxamide and N-alkylcarboxamide additives can greatly reduce non specific amplification in Loop-Mediated Isothermal Amplification for Foot-and-Mouth disease Virus (FMDV) using Bst 3.0 polymerase. J. Virol. Methods 2021, 298, 114284. [Google Scholar] [CrossRef]
- Lim, D.R.; Kim, H.R.; Park, M.J.; Chae, H.G.; Ku, B.K.; Nah, J.J.; Ryoo, S.; Wee, S.H.; Park, C.K. A tailored reverse transcription loop-mediated isothermal amplification for sensitive and specific detection of serotype A foot-and-mouth disease virus circulating in pool 1 region countries. Transbound. Emerg. Dis. 2018, 65, 1898–1908. [Google Scholar] [CrossRef]
- Kumar, S.; Stecher, G.; Tamura, K. MEGA7: Molecular Evolutionary Genetics Analysis Version 7.0 for Bigger Datasets. Mol. Biol. Evol. 2016, 33, 1870–1874. [Google Scholar] [CrossRef] [PubMed]
- Rodríguez, A.; Martínez-Salas, E.; Dopazo, J.; Dávila, M.; Sáiz, J.C.; Sobrino, F. Primer design for specific diagnosis by PCR of highly variable RNA viruses: Typing of foot-and-mouth disease virus. Virology 1992, 189, 363–367. [Google Scholar] [CrossRef]
- Zhu, Z.; Yang, F.; He, J.; Li, J.; Cao, W.; Li, J.; Xia, Y.; Guo, J.; Jin, Y.; Zhang, K.; et al. First detection of foot-and-mouth disease virus O/ME-SA/Ind2001 in China. Transbound. Emerg. Dis. 2018, 65, 2027–2031. [Google Scholar] [CrossRef]
- Kardjadj, M. History of Foot-and-mouth disease in North African countries. Vet. Ital. 2018, 54, 1–12. [Google Scholar] [PubMed]
- Nagamine, K.; Hase, T.; Notomi, T. Accelerated reaction by loop-mediated isothermal amplification using loop primers. Mol. Cell. Probes 2002, 16, 223–229. [Google Scholar] [CrossRef] [PubMed]
- Notomi, T.; Okayama, H.; Masubuchi, H.; Yonekawa, T.; Watanabe, K.; Amino, N.; Hase, T. Loop-mediated isothermal amplification of DNA. Nucleic Acids Res. 2000, 28, E63. [Google Scholar] [CrossRef] [PubMed]
- Zhou, X.; Li, N.; Luo, Y.; Liu, Y.; Miao, F.; Chen, T.; Zhang, S.; Cao, P.; Li, X.; Tian, K.; et al. Emergence of African Swine Fever in China, 2018. Transbound. Emerg. Dis. 2018, 65, 1482–1484. [Google Scholar] [CrossRef] [PubMed] [Green Version]





| A | O | C | Asia1 | SAT1 | SAT2 | SAT3 |
|---|---|---|---|---|---|---|
| KT968663 | MF461724 | AF274010 | MF782478 | AY593845 | AF540910 | KF647850 |
| KC588943 | KY234502 | AJ007572 | MF372125 | MF678826 | AY593849 | KJ820999 |
| KC440882 | KC503937 | AY593805 | MG372731 | MN116689 | JX014255 | KX375417 |
| MG923580 | JN998085 | AY593810 | AY304994 | KM268899 | KJ144918 | MH053341 |
| MN116688 | MN250318 | AY593839 | KJ676543 | KF647849 | ||
| KY322680 | AY593823 | KJ144904 | MG372727 | |||
| LC456871 | ||||||
| JQ973889 |
| Primer | Type | Position a | Sequence (5′-3′) b |
|---|---|---|---|
| FMDV-F3 | Forward outer | 6942–6963 | ATGGAACTGGGTTTTACAARCC |
| FMDV-B3 | Reverse outer | 7161–7145 | CACACGGCGTTCACCCA |
| FMDV-Floop | Forward Loop | 7013–6995 | CACGGCGTGCAAAGGAGAG |
| FMDV-Bloop | Reverse Loop | 7096–7117 | CTTCCAGGGCCTCTTTGAGATT |
| FMDV-FIP (F1c+TTTT+F2) | Forward inner | 6985–6966 7027–7047 | CCTGCCACGGAGATCAACTTCTTTTTGATGGCCTCGAAGACCCTC |
| FMDV-BIP (B1c+TTTT+B2) | Reverse inner | 7092–7071 7144–7122 | ACGAGTACCGGCGTCTCTTYGATTTTACGCAGGTAAAGTGATCTGTAGC |
| Sample No. | RT-qPCR | The Naked-Eye Visual RT-LAMP | RT-PCR |
|---|---|---|---|
| 1–8, 10–23 | + | + | + |
| 9 | + | − | − |
| 24–59 | − | − | − |
Publisher’s Note: MDPI stays neutral with regard to jurisdictional claims in published maps and institutional affiliations. |
© 2022 by the authors. Licensee MDPI, Basel, Switzerland. This article is an open access article distributed under the terms and conditions of the Creative Commons Attribution (CC BY) license (https://creativecommons.org/licenses/by/4.0/).
Share and Cite
Zhang, J.; Hou, Q.; Ma, W.; Chen, D.; Zhang, W.; Wubshet, A.K.; Ding, Y.; Li, M.; Li, Q.; Chen, J.; et al. A Naked-Eye Visual Reverse Transcription Loop-Mediated Isothermal Amplification with Sharp Color Changes for Potential Pen-Side Test of Foot-and-Mouth Disease Virus. Viruses 2022, 14, 1982. https://doi.org/10.3390/v14091982
Zhang J, Hou Q, Ma W, Chen D, Zhang W, Wubshet AK, Ding Y, Li M, Li Q, Chen J, et al. A Naked-Eye Visual Reverse Transcription Loop-Mediated Isothermal Amplification with Sharp Color Changes for Potential Pen-Side Test of Foot-and-Mouth Disease Virus. Viruses. 2022; 14(9):1982. https://doi.org/10.3390/v14091982
Chicago/Turabian StyleZhang, Jie, Qian Hou, Weimin Ma, Danian Chen, Weibing Zhang, Ashenafi Kiros Wubshet, Yaozhong Ding, Miaomiao Li, Qian Li, Jiao Chen, and et al. 2022. "A Naked-Eye Visual Reverse Transcription Loop-Mediated Isothermal Amplification with Sharp Color Changes for Potential Pen-Side Test of Foot-and-Mouth Disease Virus" Viruses 14, no. 9: 1982. https://doi.org/10.3390/v14091982
APA StyleZhang, J., Hou, Q., Ma, W., Chen, D., Zhang, W., Wubshet, A. K., Ding, Y., Li, M., Li, Q., Chen, J., Dai, J., Wu, G., Zhang, Z., Zaberezhny, A. D., Pejsak, Z., Tarasiuk, K., Zafar Khan, M. U., Wang, Y., He, J., & Liu, Y. (2022). A Naked-Eye Visual Reverse Transcription Loop-Mediated Isothermal Amplification with Sharp Color Changes for Potential Pen-Side Test of Foot-and-Mouth Disease Virus. Viruses, 14(9), 1982. https://doi.org/10.3390/v14091982

