The Effect of Whitlockite as an Osteoconductive Synthetic Bone Substitute Material in Animal Bony Defect Model
Abstract
:1. Introduction
2. Materials and Methods
2.1. Fabrication of WH Graft
2.2. Characterization of Bone Graft
2.2.1. Scanning Electron Microscope (SEM)
2.2.2. X-ray Diffractometer (XRD)
2.2.3. Compressive Strength
2.3. Animal Preparations and Experimental Design
- (1)
- WH (Ca9Mg(HPO4)(PO4)6): MagOss (OSFIRM Co., Ltd., Seongnam, Korea) with 58.6% porosity, comprising nanoporous (100–1000 nm) and microporous (100–1000 μm) structure.
- (2)
- HA (Ca10(PO4)6(OH)2): Bongros-HA (CGBio, Seongnam, Korea) with 69.9% porosity and 300 μm of the porous structure.
- (3)
- β-TCP (Ca3(PO4)2): Excelos (CGBio, Seongnam, Korea) with 56.8% porosity and 100–300 μm of the porous structure.
2.4. Microcomputed Tomography Evaluation
2.5. Histological Analysis
2.6. Histomorphometric Measurement
2.7. Statistical Analysis
3. Results
3.1. Morphology and Composition Analysis
3.2. Compressive Strength
3.3. In Vivo Results
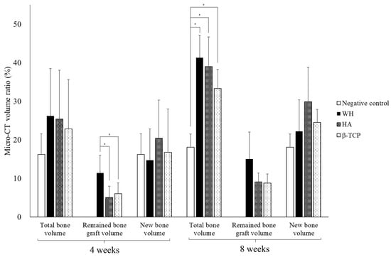
3.3.1. Micro-CT Measurement
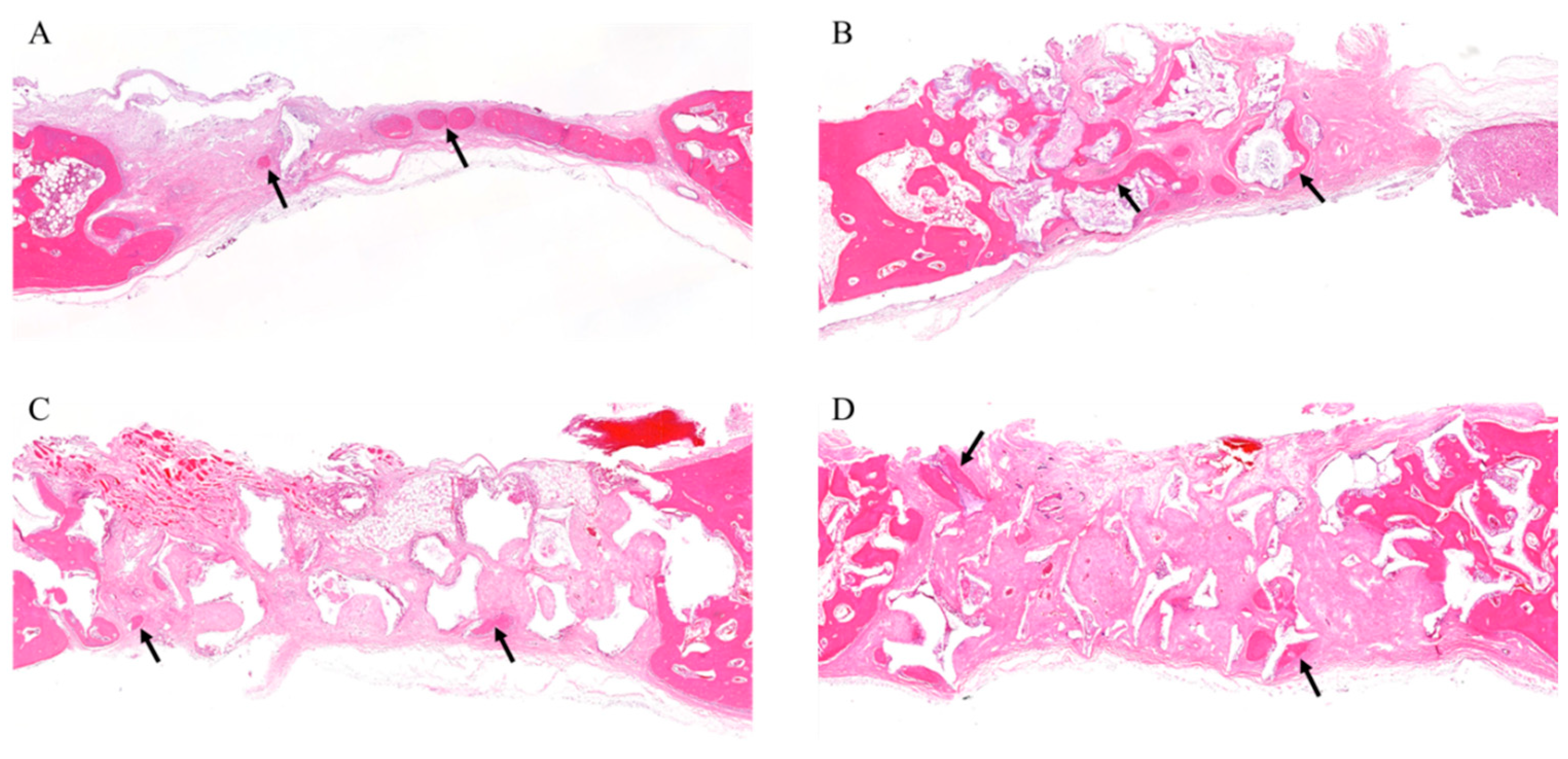
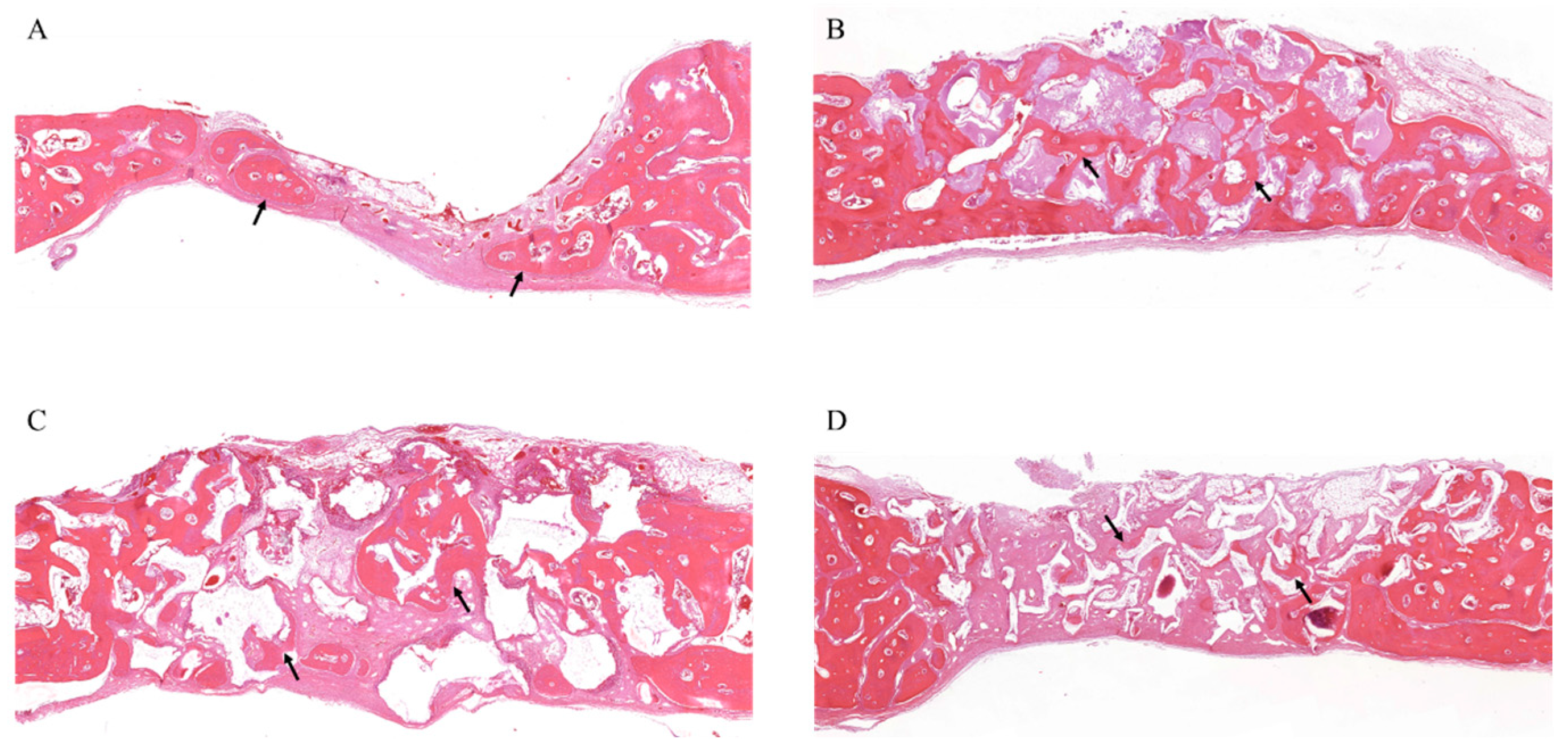
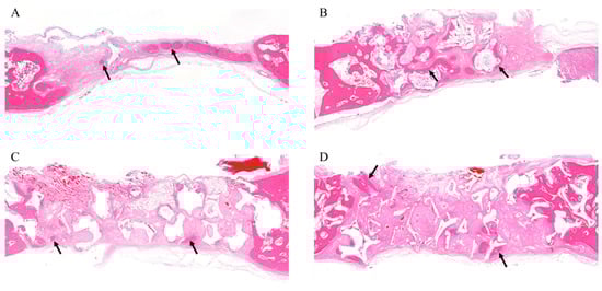
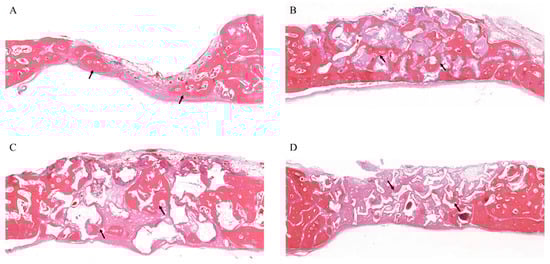
3.3.2. Histologic Analysis
3.3.3. Histomorphometric Measurement
4. Discussion
5. Conclusions
Author Contributions
Funding
Institutional Review Board Statement
Informed Consent Statement
Data Availability Statement
Conflicts of Interest
References
- Gomez-Barrena, E.; Padilla-Eguiluz, N.G.; Avendano-Sola, C.; Payares-Herrera, C.; Velasco-Iglesias, A.; Torres, F.; Rosset, P.; Gebhard, F.; Baldini, N.; Rubio-Suarez, J.C.; et al. A Multicentric, Open-Label, Randomized, Comparative Clinical Trial of Two Different Doses of Expanded hBM-MSCs Plus Biomaterial versus Iliac Crest Autograft, for Bone Healing in Nonunions after Long Bone Fractures: Study Protocol. Stem Cells Int. 2018, 2018, 6025918. [Google Scholar] [CrossRef] [PubMed]
- Gordh, M.; Alberius, P.; Johnell, O.; Lindberg, L.; Linde, A. Osteopromotive membranes enhance onlay integration and maintenance in the adult rat skull. Int. J. Oral Maxillofac. Surg. 1998, 27, 67–73. [Google Scholar] [CrossRef]
- Mee-Rang, M.; Myung-Rae, K.; Sun-Jong, K. A retrospective study of the surgical success and vertical bone resorption rate after autogenous block onlay graft in posterior maxilla. J. Korean Assoc. Oral Maxillofac. Surg. 2009, 35, 340–345. [Google Scholar]
- Dalkýz, M.; Ozcan, A.; Yapar, M.; Gökay, N.; Yüncü, M. Evaluation of the effects of different biomaterials on bone defects. Implant Dent. 2000, 9, 226–235. [Google Scholar] [CrossRef] [PubMed]
- Ku, J.-K.; Hong, I.; Lee, B.-K.; Yun, P.-Y.; Lee, J.K. Dental alloplastic bone substitutes currently available in Korea. J. Korean Assoc. Oral Maxillofac. Surg. 2019, 45, 51–67. [Google Scholar] [CrossRef] [PubMed] [Green Version]
- Tadic, D.; Epple, M. A thorough physicochemical characterisation of 14 calcium phosphate-based bone substitution materials in comparison to natural bone. Biomaterials 2004, 25, 987–994. [Google Scholar] [CrossRef]
- Kim, H.D.; Jang, H.L.; Ahn, H.-Y.; Lee, H.K.; Park, J.; Lee, E.-S.; Lee, E.A.; Jeong, Y.-H.; Kim, D.-G.; Nam, K.T.; et al. Biomimetic whitlockite inorganic nanoparticles-mediated in situ remodeling and rapid bone regeneration. Biomaterials 2017, 112, 31–43. [Google Scholar] [CrossRef] [PubMed]
- Jang, H.L.; Zheng, G.B.; Park, J.; Kim, H.D.; Baek, H.-R.; Lee, H.K.; Lee, K.; Han, H.N.; Lee, C.-K.; Hwang, N.S.; et al. In Vitro and In Vivo Evaluation of Whitlockite Biocompatibility: Comparative Study with Hydroxyapatite and β-Tricalcium Phosphate. Adv. Healthc. Mater. 2016, 5, 128–136. [Google Scholar] [CrossRef]
- Williams, J.M.; Adewunmi, A.; Schek, R.M.; Flanagan, C.L.; Krebsbach, P.H.; Feinberg, S.E.; Hollister, S.J.; Das, S. Bone tissue engineering using polycaprolactone scaffolds fabricated via selective laser sintering. Biomaterials 2005, 26, 4817–4827. [Google Scholar] [CrossRef] [PubMed]
- Abbasi, N.; Hamlet, S.; Love, R.M.; Nguyen, N.-T. Porous scaffolds for bone regeneration. J. Sci. Adv. Mater. Devices 2020, 5, 1–9. [Google Scholar] [CrossRef]
- Morejón, L.; Delgado, J.A.; Ribeiro, A.A.; de Oliveira, M.V.; Mendizábal, E.; García, I.; Alfonso, A.; Poh, P.; Van Griensven, M.; Balmayor, E.R. Development, characterization and in vitro biological properties of scaffolds fabricated from calcium phosphate nanoparticles. Int. J. Mol. Sci. 2019, 20, 1790. [Google Scholar] [CrossRef] [PubMed] [Green Version]
- An, Y.H.; Draughn, R.A. Mechanical Properties of Bone. In Mechanical Testing of Bone and the Bone-Implant Interface; CRC Press: Boca Raton, FL, USA, 1999; pp. 65–88. [Google Scholar]
- Dimitriou, R.; Tsiridis, E.; Giannoudis, P.V. Current concepts of molecular aspects of bone healing. Injury 2005, 36, 1392–1404. [Google Scholar] [CrossRef] [PubMed]
- Delloye, C.; Cornu, O.; Druez, V.; Barbier, O. Bone allografts: What they can offer and what they cannot. J. Bone Jt. Surg. Br. 2007, 89, 574–579. [Google Scholar] [CrossRef] [PubMed] [Green Version]
- Camargo, P.M.; Lekovic, V.; Weinlaender, M.; Vasilic, N.; Madzarevic, M.; Kenney, E.B. A reentry study on the use of bovine porous bone mineral, GTR, and platelet-rich plasma in the regenerative treatment of intrabony defects in humans. Int. J. Periodontics Restor. Dent. 2005, 25, 49–59. [Google Scholar]
- Kim, Y.K. Systematic classification and application of alloplastic bony substitutes and autogenous teeth bone graft material. J. Dent. Implant. Res. 2009, 28, 77–88. [Google Scholar]
- Elliott, J.C. Structure and Chemistry of the Apatites and Other Calcium Orthophosphates; Elsevier: Amsterdam, The Netherlands, 2013. [Google Scholar]
- Kim, H.-K.; Han, H.-S.; Lee, K.-S.; Lee, D.-H.; Lee, J.W.; Jeon, H.; Cho, S.-Y.; Roh, H.-J.; Kim, Y.-C.; Seok, H.-K. Comprehensive study on the roles of released ions from biodegradable Mg–5 wt% Ca–1 wt% Zn alloy in bone regeneration. J. Tissue Eng. Regen. Med. 2017, 11, 2710–2724. [Google Scholar] [CrossRef] [PubMed]
- Cheng, H.; Chabok, R.; Guan, X.; Chawla, A.; Li, Y.; Khademhosseini, A.; Jang, H.L. Synergistic interplay between the two major bone minerals, hydroxyapatite and whitlockite nanoparticles, for osteogenic differentiation of mesenchymal stem cells. Acta Biomater. 2018, 69, 342–351. [Google Scholar] [CrossRef] [PubMed]
- Ku, J.-K.; Lee, K.-G.; Ghim, M.-S.; Kim, Y.-K.; Park, S.-H.; Park, Y.; Cho, Y.-S.; Lee, B.-K. Onlay-graft of 3D printed Kagome-structure PCL scaffold incorporated with rhBMP-2 based on hyaluronic acid hydrogel. Biomed. Mater. 2021, 16, 055004. [Google Scholar] [CrossRef] [PubMed]
- D’Amora, U.; Russo, T.; Gloria, A.; Rivieccio, V.; D’Antò, V.; Negri, G.; Ambrosio, L.; De Santis, R. 3D additive-manufactured nanocomposite magnetic scaffolds: Effect of the application mode of a time-dependent magnetic field on hMSCs behavior. Bioact. Mater. 2017, 2, 138–145. [Google Scholar] [CrossRef] [PubMed]
- Solari, D.; Papallo, I.; Ugga, L.; Cavallo, L.; Onofrio, I.; Cuocolo, R.; Improta, G.; Brunetti, A.; Martorelli, M.; Gloria, A.; et al. Novel concepts and strategies in skull base reconstruction after endoscopic endonasal surgery. Acta IMEKO 2020, 9, 67. [Google Scholar] [CrossRef]









| Group | 4 Weeks | 8 Weeks | ||||
|---|---|---|---|---|---|---|
| TV | BV | NV | TV | BV | NV | |
| Control | 16.2 ± 5.4 | – | 16.2 ± 5.4 | 18.1 ± 3.4 | – | 18.1 ± 3.4 |
| WH | 26.2 ± 12.3 | 11.4 ± 4.6 | 14.7 ± 8.1 | 41.3 ± 5.8 * | 15.0 ± 7.0 | 22.2 ± 8.2 |
| HA | 25.4 ± 12.7 | 5.0 ± 3.0 † | 20.4 ± 9.9 | 39.0 ± 7.7 * | 9.1 ± 2.3 | 29.9 ± 8.9 |
| β-TCP | 22.8 ± 12.8 | 6.0 ± 2.8 † | 16.8 ± 11.2 | 33.3 ± 5.0 * | 8.8 ± 2.4 | 24.5 ± 3.4 |
| p | 0.389 | 0.042 | 0.699 | 0.005 | 0.403 | 0.059 |
Publisher’s Note: MDPI stays neutral with regard to jurisdictional claims in published maps and institutional affiliations. |
© 2022 by the authors. Licensee MDPI, Basel, Switzerland. This article is an open access article distributed under the terms and conditions of the Creative Commons Attribution (CC BY) license (https://creativecommons.org/licenses/by/4.0/).
Share and Cite
Ku, J.-K.; Kim, I.-h.; Shim, J.H.; Kim, Y.h.; Kim, B.H.; Kim, Y.-K.; Yun, P.-Y. The Effect of Whitlockite as an Osteoconductive Synthetic Bone Substitute Material in Animal Bony Defect Model. Materials 2022, 15, 1921. https://doi.org/10.3390/ma15051921
Ku J-K, Kim I-h, Shim JH, Kim Yh, Kim BH, Kim Y-K, Yun P-Y. The Effect of Whitlockite as an Osteoconductive Synthetic Bone Substitute Material in Animal Bony Defect Model. Materials. 2022; 15(5):1921. https://doi.org/10.3390/ma15051921
Chicago/Turabian StyleKu, Jeong-Kui, Il-hyung Kim, Jung Hee Shim, Yu ha Kim, Baek Hyun Kim, Young-Kyun Kim, and Pil-Young Yun. 2022. "The Effect of Whitlockite as an Osteoconductive Synthetic Bone Substitute Material in Animal Bony Defect Model" Materials 15, no. 5: 1921. https://doi.org/10.3390/ma15051921
APA StyleKu, J.-K., Kim, I.-h., Shim, J. H., Kim, Y. h., Kim, B. H., Kim, Y.-K., & Yun, P.-Y. (2022). The Effect of Whitlockite as an Osteoconductive Synthetic Bone Substitute Material in Animal Bony Defect Model. Materials, 15(5), 1921. https://doi.org/10.3390/ma15051921

