Confirmation of Calcium Phosphate Cement Biodegradation after Jawbone Augmentation around Dental Implants Using Three-Dimensional Visualization and Segmentation Software
Abstract
1. Introduction
2. Materials and Methods
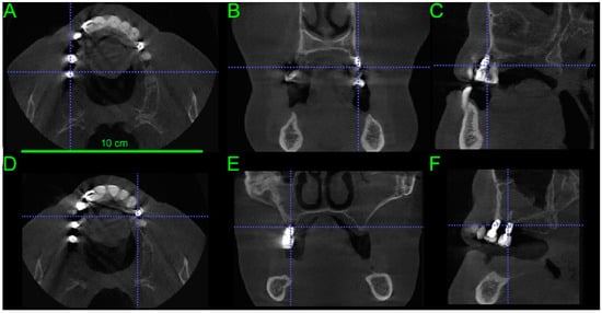
3. Results
4. Discussion
5. Conclusions
Supplementary Materials
Author Contributions
Funding
Institutional Review Board Statement
Informed Consent Statement
Data Availability Statement
Conflicts of Interest
References
- Elsalanty, M.E.; Genecov, D.G. Bone grafts in craniofacial surgery. Craniomaxillofac. Trauma Reconstr. 2009, 2, 125–134. [Google Scholar] [CrossRef]
- Cypher, T.J.; Grossman, J.P. Biological principles of bone graft healing. J. Foot Ankle Surg. 1996, 35, 413–417. [Google Scholar] [CrossRef]
- Fernandez De Grado, G.; Keller, L.; Idoux-Gillet, Y.; Wagner, Q.; Musset, A.M.; Benkirane-Jessel, N.; Bornert, F.; Offner, D. Bone substitutes: A review of their characteristics, clinical use, and perspectives for large bone defects management. J. Tissue Eng. 2018, 9. [Google Scholar] [CrossRef]
- Ullah, I.; Siddiqui, M.A.; Liu, H.; Kolawole, S.K.; Zhang, J.; Zhang, S.; Ren, L.; Yang, K. Mechanical, Biological, and Antibacterial Characteristics of Plasma-Sprayed (Sr,Zn) Substituted Hydroxyapatite Coating. ACS Biomater. Sci. Eng. 2020, 6, 1355–1366. [Google Scholar] [CrossRef] [PubMed]
- Branemark, P.I.; Hansson, B.O.; Adell, R.; Breine, U.; Lindstrom, J.; Hallen, O.; Ohman, A. Osseointegrated implants in the treatment of the edentulous jaw. Experience from a 10-year period. Scand. J. Plast. Reconstr. Surg. Suppl. 1977, 16, 1–132. [Google Scholar]
- Rocchietta, I.; Fontana, F.; Simion, M. Clinical outcomes of vertical bone augmentation to enable dental implant placement: A systematic review. J. Clin. Periodontol. 2008, 35 (Suppl. 8), 203–215. [Google Scholar] [CrossRef] [PubMed]
- Simeone, S.G.; Rios, M.; Simonpietri, J. “Reverse torque of 30 Ncm applied to dental implants as test for osseointegration”—A human observational study. Int. J. Implant. Dent. 2016, 2, 26. [Google Scholar] [CrossRef]
- Aimetti, M.; Romagnoli, R.; Ricci, G.; Massei, G. Maxillary sinus elevation: The effect of macrolacerations and microlacerations of the sinus membrane as determined by endoscopy. Int. J. Periodontics Restor. Dent. 2001, 21, 6. [Google Scholar]
- Javed, F.; Ahmed, H.B.; Crespi, R.; Romanos, G.E. Role of primary stability for successful osseointegration of dental implants: Factors of influence and evaluation. Interv. Med. Appl. Sci. 2013, 5, 162–167. [Google Scholar] [CrossRef]
- Hochwald, D.; Davis, W.H. Bone grafting in the maxillary sinus floor. In Advanced Osseointegration Surgery. Applications in the Maxillofacial Region; Quintessence: Chicago, IL, USA, 1992; p. 175. [Google Scholar]
- Breine, U.; Brånemark, P.-I. Reconstruction of alveolar jaw bone. Scand. J. Plast. Reconstr. Surg. 1980, 14, 23–48. [Google Scholar] [CrossRef]
- Tatum, H., Jr. Maxillary and sinus implant reconstructions. Dent. Clin. N. Am. 1986, 30, 207–229. [Google Scholar]
- Schaaf, H.; Streckbein, P.; Lendeckel, S.; Heidinger, K.S.; Rehmann, P.; Boedeker, R.H.; Howaldt, H.P. Sinus lift augmentation using autogenous bone grafts and platelet-rich plasma: Radiographic results. Oral Surg. Oral Med. Oral Pathol. Oral Radiol. Endod. 2008, 106, 673–678. [Google Scholar] [CrossRef]
- Attia, S.; Narberhaus, C.; Schaaf, H.; Streckbein, P.; Pons-Kuhnemann, J.; Schmitt, C.; Neukam, F.W.; Howaldt, H.P.; Bottger, S. Long-Term Influence of Platelet-Rich Plasma (PRP) on Dental Implants after Maxillary Augmentation: Retrospective Clinical and Radiological Outcomes of a Randomized Controlled Clinical Trial. J. Clin. Med. 2020, 9, 355. [Google Scholar] [CrossRef] [PubMed]
- Attia, S.; Narberhaus, C.; Schaaf, H.; Streckbein, P.; Pons-Kuhnemann, J.; Schmitt, C.; Neukam, F.W.; Howaldt, H.P.; Bottger, S. Long-Term Influence of Platelet-Rich Plasma (PRP) on Dental Implants after Maxillary Augmentation: Implant Survival and Success Rates. J. Clin. Med. 2020, 9, 391. [Google Scholar] [CrossRef] [PubMed]
- Streckbein, P.; Meier, M.; Kahling, C.; Wilbrand, J.F.; Langguth, T.; Schaaf, H.; Howaldt, H.P.; Streckbein, R.; Attia, S. Donor-site Morbidity after Retromolar Bone Harvesting Using a Standardised Press Fit Cylinder Protocol. Materials 2019, 12, 3802. [Google Scholar] [CrossRef]
- Papaspyridakos, P.; De Souza, A.; Vazouras, K.; Gholami, H.; Pagni, S.; Weber, H.P. Survival rates of short dental implants (≤6 mm) compared with implants longer than 6 mm in posterior jaw areas: A meta-analysis. Clin. Oral Implant. Res. 2018, 29, 8–20. [Google Scholar] [CrossRef]
- Lemos, C.A.A.; Ferro-Alves, M.L.; Okamoto, R.; Mendonça, M.R.; Pellizzer, E.P. Short dental implants versus standard dental implants placed in the posterior jaws: A systematic review and meta-analysis. J. Dent. 2016, 47, 8–17. [Google Scholar] [CrossRef]
- Nisand, D.; Picard, N.; Rocchietta, I. Short implants compared to implants in vertically augmented bone: A systematic review. Clin. Oral Implant. Res. 2015, 26, 170–179. [Google Scholar] [CrossRef]
- Bataineh, A.B.; Al-dakes, A.M. The influence of length of implant on primary stability: An in vitro study using resonance frequency analysis. J. Clin. Exp. Dent. 2017, 9, 1–6. [Google Scholar] [CrossRef]
- Chiapasco, M.; Zaniboni, M. Methods to treat the edentulous posterior maxilla: Implants with sinus grafting. J. Oral Maxillofac. Surg. 2009, 67, 867–871. [Google Scholar] [CrossRef] [PubMed]
- Peleg, M.; Garg, A.K.; Misch, C.M.; Mazor, Z. Maxillary sinus and ridge augmentations using a surface-derived autogenous bone graft. J. Oral Maxillofac. Surg. 2004, 62, 1535–1544. [Google Scholar] [CrossRef] [PubMed]
- Misch, C.E.; Dietsh, F. Bone-grafting materials in implant dentistry. Implant. Dent. 1993, 2, 158–167. [Google Scholar] [CrossRef] [PubMed]
- Goldhahn, J.; Scheele, W.H.; Mitlak, B.H.; Abadie, E.; Aspenberg, P.; Augat, P.; Brandi, M.-L.; Burlet, N.; Chines, A.; Delmas, P.D. Clinical evaluation of medicinal products for acceleration of fracture healing in patients with osteoporosis. Bone 2008, 43, 343–347. [Google Scholar] [CrossRef]
- Dobele, I.; Kise, L.; Apse, P.; Kragis, G.; Bigestans, A. Radiographic assessment of findings in the maxillary sinus using cone-beam computed tomography. Stomatologija 2013, 15, 119–122. [Google Scholar] [PubMed]
- De Souza Nunes, L.S.; Bornstein, M.M.; Sendi, P.; Buser, D. Anatomical characteristics and dimensions of edentulous sites in the posterior maxillae of patients referred for implant therapy. Int. J. Periodontics Restor. Dent. 2013, 33, 337–345. [Google Scholar] [CrossRef]
- Shimazaki, K.; Mooney, V. Comparative study of porous hydroxyapatite and tricalcium phosphate as bone substitute. J. Orthop. Res. 1985, 3, 301–310. [Google Scholar] [CrossRef]
- Burr, D.B.; Mori, S.; Boyd, R.D.; Sun, T.; Blaha, J.D.; Lane, L.; Parr, J. Histomorphometric assessment of the mechanisms for rapid ingrowth of bone to HA/TCP coated implants. J. Biomed. Mater. Res. 1993, 27, 645–653. [Google Scholar] [CrossRef]
- Lu, J.; Gallur, A.; Flautre, B.; Anselme, K.; Descamps, M.; Thierry, B.; Hardouin, P. Comparative study of tissue reactions to calcium phosphate ceramics among cancellous, cortical, and medullar bone sites in rabbits. J. Biomed. Mater. Res. 1998, 42, 357–367. [Google Scholar] [CrossRef]
- Dickson, K.F.; Friedman, J.; Buchholz, J.G.; Flandry, F.D. The use of BoneSource hydroxyapatite cement for traumatic metaphyseal bone void filling. J. Trauma Acute Care Surg. 2002, 53, 1103–1108. [Google Scholar] [CrossRef]
- LeGeros, R.Z. Properties of osteoconductive biomaterials: Calcium phosphates. Clin. Orthop. Relat. Res. 2002, 395, 81–98. [Google Scholar] [CrossRef]
- Cancian, D.C.J.; Hochuli-Vieira, E.; Marcantonio, R.A.C.; Garcia, I.R., Jr. Utilization of autogenous bone, bioactive glasses, and calcium phosphate cement in surgical mandibular bone defects in Cebus apella monkeys. Int. J. Oral Maxillofac. Implant. 2004, 19, 73–79. [Google Scholar]
- Magee, W.P., Jr.; Ajkay, N.; Freda, N.; Rosenblum, R.S. Use of fast-setting hydroxyapatite cement for secondary craniofacial contouring. Plast. Reconstr. Surg. 2004, 114, 289–297. [Google Scholar] [CrossRef] [PubMed]
- Heinemann, S.; Gelinsky, M.; Worch, H.; Hanke, T. Resorbierbare Knochenersatzmaterialien. Der Orthop. 2011, 40, 761–773. [Google Scholar] [CrossRef]
- Heinemann, S.; Rössler, S.; Lemm, M.; Ruhnow, M.; Nies, B. Properties of injectable ready-to-use calcium phosphate cement based on water-immiscible liquid. Acta Biomater. 2013, 9, 6199–6207. [Google Scholar] [CrossRef]
- Mazor, Z.; Peleg, M.; Garg, A.K.; Chaushu, G. The use of hydroxyapatite bone cement for sinus floor augmentation with simultaneous implant placement in the atrophic maxilla. A report of 10 cases. J. Periodontol. 2000, 71, 1187–1194. [Google Scholar] [CrossRef] [PubMed]
- Albrektsson, T.; Brånemark, P.I.; Hansson, H.A.; Lindström, J. Osseointegrated titanium implants. Requirements for ensuring a long-lasting, direct bone-to-implant anchorage in man. Acta Orthop. Scand. 1981, 52, 155–170. [Google Scholar] [CrossRef]
- Fedorov, A.; Beichel, R.; Kalpathy-Cramer, J.; Finet, J.; Fillion-Robin, J.C.; Pujol, S.; Bauer, C.; Jennings, D.; Fennessy, F.; Sonka, M.; et al. 3D Slicer as an image computing platform for the Quantitative Imaging Network. Magn. Reson. Imaging 2012, 30, 1323–1341. [Google Scholar] [CrossRef]
- Crespi, R.; Cappare, P.; Gherlone, E.; Romanos, G.E. Immediate occlusal loading of implants placed in fresh sockets after tooth extraction. Int. J. Oral Maxillofac. Implants 2007, 22, 955–962. [Google Scholar]
- Cannizzaro, G.; Leone, M.; Esposito, M. Immediate functional loading of implants placed with flapless surgery in the edentulous maxilla: 1-year follow-up of a single cohort study. Int. J. Oral Maxillofac. Implants 2007, 22, 87–95. [Google Scholar]
- Malo, P.; Rangert, B.; Nobre, M. “All-on-Four” immediate-function concept with Branemark System implants for completely edentulous mandibles: A retrospective clinical study. Clin. Implant Dent. Relat. Res. 2003, 5 (Suppl. 1), 2–9. [Google Scholar] [CrossRef]
- Summers, R.B. A new concept in maxillary implant surgery: The osteotome technique. Compendium 1994, 15, 154–156. [Google Scholar]
- Tealdo, T.; Bevilacqua, M.; Menini, M.; Pera, F.; Ravera, G.; Drago, C.; Pera, P. Immediate versus delayed loading of dental implants in edentulous maxillae: A 36-month prospective study. Int. J. Prosthodont. 2011, 24, 294–302. [Google Scholar]
- Pieri, F.; Aldini, N.N.; Fini, M.; Corinaldesi, G. Immediate occlusal loading of immediately placed implants supporting fixed restorations in completely edentulous arches: A 1-year prospective pilot study. J. Periodontol. 2009, 80, 411–421. [Google Scholar] [CrossRef] [PubMed]
- Milillo, L.; Fiandaca, C.; Giannoulis, F.; Ottria, L.; Lucchese, A.; Silvestre, F.; Petruzzi, M. Immediate vs non-immediate loading post-extractive implants: A comparative study of implant stability quotient (ISQ). Oral Implantol. 2016, 9, 123–131. [Google Scholar]
- Weber, H.P.; Morton, D.; Gallucci, G.O.; Roccuzzo, M.; Cordaro, L.; Grutter, L. Consensus statements and recommended clinical procedures regarding loading protocols. Int. J. Oral Maxillofac. Implants 2009, 24, 180–183. [Google Scholar] [PubMed]
- Spinelli, D.; Ottria, L.; De Vico, G.; Bollero, R.; Barlattani, A.; Bollero, P. Full rehabilitation with nobel clinician((R)) and procera implant bridge((R)): Case report. Oral Implantol. 2013, 6, 25–36. [Google Scholar] [CrossRef]
- Crespi, R.; Cappare, P.; Gherlone, E.; Romanos, G.E. Immediate versus delayed loading of dental implants placed in fresh extraction sockets in the maxillary esthetic zone: A clinical comparative study. Int. J. Oral Maxillofac. Implants 2008, 23, 753–758. [Google Scholar] [PubMed]
- Ambard, A.J.; Mueninghoff, L. Calcium phosphate cement: Review of mechanical and biological properties. J. Prosthodont. 2006, 15, 321–328. [Google Scholar] [CrossRef]
- Thormann, U.; Ray, S.; Sommer, U.; El Khassawna, T.; Rehling, T.; Hundgeburth, M.; Henß, A.; Rohnke, M.; Janek, J.; Lips, K.S. Bone formation induced by strontium modified calcium phosphate cement in critical-size metaphyseal fracture defects in ovariectomized rats. Biomaterials 2013, 34, 8589–8598. [Google Scholar] [CrossRef]
- Bruder, S.P.; Fink, D.J.; Caplan, A.I. Mesenchymal stem cells in bone development, bone repair, and skeletal regenaration therapy. J. Cell. Biochem. 1994, 56, 283–294. [Google Scholar] [CrossRef]
- De Moraes, P.H.; Costa, V.; Olate, S.; Caria, P.H.F.; Barbosa, J. Morphometric study of maxillary sinus by computed tomography. Assessment of sinus floor bone reconstruction. Int. J. Morphol. 2012, 30, 592–598. [Google Scholar] [CrossRef][Green Version]
- Song, D.-S.; Kim, C.-H.; Kim, B.-J.; Kim, J.-H. Tenting effect of dental implant on maxillary sinus lift without grafting. J. Dent. Sci. 2020, 15, 278–285. [Google Scholar] [CrossRef] [PubMed]
- Anderson, J.M.; Rodriguez, A.; Chang, D.T. Seminars in immunology. In Foreign Body Reaction to Biomaterials; Elsevier: Amsterdam, The Netherlands, 2008; pp. 86–100. [Google Scholar]
- Xu, H.H.; Wang, P.; Wang, L.; Bao, C.; Chen, Q.; Weir, M.D.; Chow, L.C.; Zhao, L.; Zhou, X.; Reynolds, M.A. Calcium phosphate cements for bone engineering and their biological properties. Bone Res. 2017, 5, 17056. [Google Scholar] [CrossRef]
- Zhang, J.; Wang, L.; Zhang, W.; Zhang, M.; Luo, Z.P. Synchronization of calcium sulphate cement degradation and new bone formation is improved by external mechanical regulation. J. Orthop. Res. 2015, 33, 685–691. [Google Scholar] [CrossRef] [PubMed]
- Simon, P.; Grüner, D.; Worch, H.; Pompe, W.; Lichte, H.; El Khassawna, T.; Heiss, C.; Wenisch, S.; Kniep, R. First evidence of octacalcium phosphate@ osteocalcin nanocomplex as skeletal bone component directing collagen triple–helix nanofibril mineralization. Sci. Rep. 2018, 8, 13696. [Google Scholar] [CrossRef] [PubMed]
- El Khassawna, T.; Daghma, D.E.S.; Stoetzel, S.; Ray, S.; Kern, S.; Malhan, D.; Alt, V.; Thormann, U.; Henß, A.; Rohnke, M. Postembedding decalcification of mineralized tissue sections preserves the integrity of implanted biomaterials and minimizes number of experimental animals. BioMed Res. Int. 2017. [Google Scholar] [CrossRef]








| Components with Percentage (%) | |
|---|---|
| alpha-tricalcium phosphate | 48.35–49.88 |
| calcium hydrogen phosphate (monetite) | 20.95–21.61 |
| calcium carbonate (calcite) | 8.06–8.32 |
| tricalcium ortho-phosphate (CDHA) | 3.23–3.33 |
| dipotassium hydrogen phosphate | 2.41–2.49 |
| Miglyol 812 (caprylic/capric triglycerides) | 11.56–13.68 |
| Kolliphor ELP (poly-oxyl-35-castor oil) | 2.11–2.50 |
| Amphisol A (cetyl phosphate) | 0.70–0.82 |
Publisher’s Note: MDPI stays neutral with regard to jurisdictional claims in published maps and institutional affiliations. |
© 2021 by the authors. Licensee MDPI, Basel, Switzerland. This article is an open access article distributed under the terms and conditions of the Creative Commons Attribution (CC BY) license (https://creativecommons.org/licenses/by/4.0/).
Share and Cite
Alkhasawnah, Q.; Elmas, S.; Sohrabi, K.; Attia, S.; Heinemann, S.; El Khassawna, T.; Heiss, C. Confirmation of Calcium Phosphate Cement Biodegradation after Jawbone Augmentation around Dental Implants Using Three-Dimensional Visualization and Segmentation Software. Materials 2021, 14, 7084. https://doi.org/10.3390/ma14227084
Alkhasawnah Q, Elmas S, Sohrabi K, Attia S, Heinemann S, El Khassawna T, Heiss C. Confirmation of Calcium Phosphate Cement Biodegradation after Jawbone Augmentation around Dental Implants Using Three-Dimensional Visualization and Segmentation Software. Materials. 2021; 14(22):7084. https://doi.org/10.3390/ma14227084
Chicago/Turabian StyleAlkhasawnah, Qusai, Sera Elmas, Keywan Sohrabi, Sameh Attia, Sascha Heinemann, Thaqif El Khassawna, and Christian Heiss. 2021. "Confirmation of Calcium Phosphate Cement Biodegradation after Jawbone Augmentation around Dental Implants Using Three-Dimensional Visualization and Segmentation Software" Materials 14, no. 22: 7084. https://doi.org/10.3390/ma14227084
APA StyleAlkhasawnah, Q., Elmas, S., Sohrabi, K., Attia, S., Heinemann, S., El Khassawna, T., & Heiss, C. (2021). Confirmation of Calcium Phosphate Cement Biodegradation after Jawbone Augmentation around Dental Implants Using Three-Dimensional Visualization and Segmentation Software. Materials, 14(22), 7084. https://doi.org/10.3390/ma14227084

