Characterization of the Acid-Base Character of Burned Clay Ceramics Used for Water Decontamination
Abstract
1. Introduction
2. Experimental
2.1. Ceramics Under Consideration
- -
- Industrial ceramics, labelled CI, in the form of granules from freshly-fired bricks that were crushed;
- -
- Traditional ceramics, labelled CT, in the form of granules obtained by crushing the neck of glazed pottery, freshly fired.
2.2. Processing and Analyzing the Samples
- -
- CIa, acidic industrial ceramics;
- -
- CIsa, weakly-acidic industrial ceramics;
- -
- CIam, amphoteric industrial ceramics;
- -
- CIsaHCl, weakly-acidic industrial ceramics treated with HCl 3M;
- -
- CIamHCl, amphoteric industrial ceramics treated with HCl 3M;
- -
- CTa, acidic traditional ceramics;
- -
- CTsa, weakly-acidic traditional ceramics;
- -
- CTamsa, amphoteric to weakly-acidic traditional ceramics;
- -
- CTam, amphoteric traditional ceramics;
- -
- CTamsb, weakly-basic amphoteric traditional ceramics;
- -
- CTamHCl, amphoteric traditional ceramics treated with HCl 3M;
- -
- CTamsbHCl, weakly acidic amphoteric traditional ceramics treated with HCl 3M.
2.3. Evaluation of retention capacity
- -
- CIm, control industrial ceramic (untreated with aqueous solution of chloride acid for solubilization of labile components) having granulometry: CIm(1.5–2.5); CIm(2.5–3.5); CIm(3.5–6.5);
- -
- CIHCl, industrial ceramic treated with aqueous solution of chloride acid 5M, having granulometry: CIHCl(1.5–2.5); CIHCl(2.5–3.5); CIHCl(3.5–6.5);
- -
- CTm, control traditional ceramic (untreated), having granulometry: CTm(1.5–2.5); CTm(2.5–3.5); CTm(3.5–6.5);
- -
- CTHCl, treated traditional ceramic (aqueous solution of HCl 5M), having granulometry CTHCl(1.5–2.5); CTHCl(2.5–3.5); CTHCl(3.5–6.5).
3. Results and Discussions
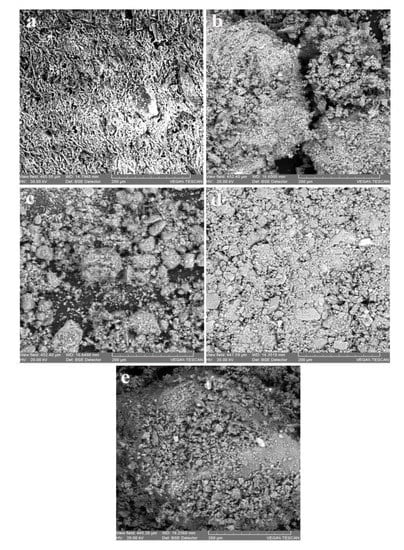
3.1. Determining the Chemical Nature and the Physical Microstructures of the Ceramics
3.2. The Free Acidity of the Ceramics
3.3. Retention Capacity of Fe3+ and Al3+ Ions
- -
- Control industrial ceramic, granulometry: CIm(1.5–2.5); CIm(2.5–3.5); CIm(3.5–6.5);
- -
- Industrial ceramic treated with solution of HCl 5M, granulometry CIHCl(1.5–2.5); CIHCl(2.5–3.5); CIHCl(3.5–6.5);
- -
- Control traditional ceramic, granulometry: CTm(1.5–2.5); CTm(2.5–3.5); CTm(3.5–6.5);
- -
- Traditional ceramic treated with solution of HCl 5M, granulometry CTHCl(1.5–2.5); CTHCl(2.5–3.5); CTHCl(3.5–6.5).
4. Conclusions
Author Contributions
Funding
Conflicts of Interest
References
- Murray, H.H. Applied Clay Mineralogy; Elsevier: Amsterdam, The Netherlands, 2007. [Google Scholar]
- Niculica, B.P.; Vasilache, V.; Boghian, D.; Sandu, I. An archaeometric Study of Several Ceramic Fragments from the Komariv (Komarow) Settlement of Adancata—Sub Padure, Suceva Conty, Fragments and Mineral Pigments from the Cucutenian Site of Tacuta—Dealul Miclea/Paic, Vaslui Conty. In Third Arheoinvest Congress Programme and Abstracts, Proceedings of Third Arheoinvest Congress, Interdisciplinary Research in Archaeology, Iasi, Romania, 6–8 June 2013; Cotiuga, V., Ed.; Alexandru Ioan Cuza University: Iasi, Romania, 2013; pp. 67–68. [Google Scholar]
- Vasilache, V.; Filote, C.; Cretu, M.A.; Sandu, I.; Coisin, V.; Vasilache, T. Monitoring of groundwater quality in some vulnerable areas in Botosani County—Nitrates and nitrites based pollutants. In Proceedings of the 6th International Conference on Environmental Engineering and Management ICEEM 06, Balatonalmádi, Hungary, 1–4 September 2011. [Google Scholar]
- Vasilache, V.; Sandu, I.; Vasilache, T. Studies Regarding the Quality of Waters for Some Rivers from Suceava County, Annals of “Dunarea de Jos” University of Galati, fasc. Ix Met. Mater. Sci. 2011, 29, 169–174. [Google Scholar]
- Sandu, I.; ENitescu, E.; Calu, N.; Berdan, I.; Smocot, R.; Bialus, A.; Popa, G.; Vascu, V.; Stanila, A. Procedeu Şi Instalaţie Pentru Obţinerea Apei Potabile. Patent RO114318(B1), 30 March 1999. [Google Scholar]
- Sandu, I.; Cretu, M.A.; Lupascu, T.; Vasilache, V.; Sandu, A.V.; Sandu, I.G.; Sieliechi, J.-M.; Kouame, I.K.; Kayem, J.G.; Sandu, A.V.; et al. Process for Water Treatment of Ground and Surface Waters. Patent MD 4298(B1), 31 October 2014. [Google Scholar]
- Sentana, I.; Puche, R.D.S.; Sentana, E.; Prats, D. Reduction of chlorination byproducts in surface water using ceramic nanofiltration membranes. Desalination 2011, 277, 147–155. [Google Scholar] [CrossRef]
- Koster van Gross, A.F.; Guggenheim, S. Dehydroxylation of Ca- and Mg-exchanged montmorillonite. Am. Miner. 1989, 74, 627–636. [Google Scholar]
- Grim, R.E. Clay Mineralogy; McGraw-Hill Book Comp. Inc.: New York, NY, USA; Toronto, ON, Canada; London, UK; Sydney, Australia, 1968. [Google Scholar]
- Martin, D.; Aparicio, P.; Galan, E. Time evolution of the mineral carbonation of ceramic bricks in a simulated pilot plant using a common clay as sealing material at superficial conditions. Appl. Clay Sci. 2019, 180, 105191. [Google Scholar] [CrossRef]
- Beni, A.A.; Esmaeili, A. Design and optimization of a new reactor based on biofilm-ceramic for industrial wastewater treatment. Environ. Pollut. 2019, 15, 113298. [Google Scholar] [CrossRef]
- Yasui, K.; Goto, S.; Kinoshita, H.; Kamiunten, S.; Yuji, T.; Okamura, Y.; Mungkung, N.; Sezaki, M. Ceramic waste glass fiber-reinforced plastic-containing filtering materials for turbid water treatment. Environ. Earth Sci. 2016, 75, 1135. [Google Scholar] [CrossRef]
- Moga, I.C.; Ardelean, I.; Donu, O.G.; Moisescu, C.; Bǎran, N.; Petrescu, G.; Voicea, I. Materials and Technologies Used in Wastewater Treatment. IOP Conf. Ser. Mater. Sci. Eng. 2018, 374, 012079. [Google Scholar] [CrossRef]
- Zheng, Y.; Yuan, Q.; Yan, Z.; Liu, J.; Liang, J.; He, L.; He, J.; Yan, M.; He, L. Effect of waste ceramic adsorbent on wastewater treatment. MATEC Web Conf. 2018, 175, 01010. [Google Scholar] [CrossRef][Green Version]
- Tociu, C.; Deák, G.; Maria, C.; Ivanov, A.A.; Ciobotaru, I.E.; Marcu, E.; Marinescu, F.; Cimpoeru, C.; Savin, I.; Constandache, A.C. Advanced treatment solutions intended for the reuse of livestock wastewater in agricultural applications. IOP Conf. Ser. Mater. Sci. Eng. 2019, 572, 012109. [Google Scholar] [CrossRef]
- Olteanu, M.; Baraitaru, A.; Panait, A.-M.; Dumitru, D.; Boboc, M.; Deák, G. Advanced SiO2 Composite Materials for Heavy Metal Removal from Wastewater. Water Air Soil Pollut. 2019, 230, 179. [Google Scholar] [CrossRef]
- Peterson, S. The Craft and Art of Clay; Harry N. Abrams: London, UK, 2003. [Google Scholar]
- Aredes, S.; Klein, B.; Pawlik, M. The removal of arsenic from water using natural iron oxide minerals. J. Clean. Prod. 2012, 29–30, 208–213. [Google Scholar] [CrossRef]
- Bociort, D.; Gherasimescu, C.; Berariu, R.; Butnaru, R.; Branzila, M.; Sandu, I. Comparative Studies on Making the Underground Raw Water Drinkable, by Coagulation-Flocculation and Adsorption on Granular Ferric Hydroxide Processes. Rev. Chim. 2012, 63, 1243–1248. [Google Scholar]
- Bociort, D.; Gherasimescu, C.; Berariu, R.; Butnaru, R.; Branzila, M.; Sandu, I. Research on the Degree of Contamination of Surface and Groundwater used as Sources for Drinking Water. Rev. Chim. 2012, 63, 1152–1157. [Google Scholar]
- Goldan, E.; Nedeff, V.; Barsan, N.; Mosnegutu, E.; Sandu, A.V.; Panainte, M. The effect of biochar mixed with compost on heavy metal concentrations in a greenhouse experiment and on Folsomia candida and Eisenia andrei in laboratory conditions. Rev. Chim. 2019, 70, 809–813. [Google Scholar]
- Besnea, D.; Gheorghe, G.I.; Dontu, O.; Moraru, E.; Constantin, V.; Moga, I.C. Experimental researches regarding realization of wastewater treatment elements by means of modern technologies. Int. J. Mechatron. Appl. Mech. 2018, 4, 61–65. [Google Scholar]
- Tataru, L.; Nedeff, V.; Barsan, N.; Sandu, A.V.; Mosnegutu, E.; Panainte-Lehadus, M.; Sandu, I. Applications of polymeric membranes ultrafiltration process on the retention of bentonite suspension. Mater. Plast. 2019, 56, 97–102. [Google Scholar]
- Vu, D.H.; Wang, K.S.; Bac, B.H. Humidity control porous ceramics prepared from waste and porous materials. Mater. Lett. 2011, 65, 940–943. [Google Scholar] [CrossRef]
- Chen, R.Z.; Lei, Z.F.; Yang, S.J.; Zhang, Z.Y.; Yang, Y.N.; Sugiura, N. Characterization and modification of porous ceramic sorbent for arsenate removal. Colloids Surf. A Physicochem. Eng. Asp. 2012, 414, 393–399. [Google Scholar] [CrossRef]
- Jain, A.; Sharma, V.K.; Mbuya, O.S. Removal of arsenite by Fe(VI), Fe(VI)/Fe(III), and Fe(VI)/Al(III) salts: Effect of pH and anions. J. Hazard. Mater. 2009, 169, 339–344. [Google Scholar] [CrossRef]
- Jeong, Y.; Fan, M.; Slingh, S. Evaluation of iron oxide and aluminium oxide as potential arsenic(V) adsorbents. Chem. Eng. Process. 2007, 46, 1030–1039. [Google Scholar] [CrossRef]
- Keely, J.; Smith, A.D.; Judd, S.J.; Jarvis, P. Reuse of recovered coagulants in water treatments: An investigation on the effect coagulants purity has on treatment performance. Sep. Purif. Technol. 2014, 131, 69–78. [Google Scholar] [CrossRef]
- Lee, S.J.; Kim, J.H. Differential natural organic matter fouling of ceramic versus polymeric ultrafiltration membranes. Water Res. 2014, 48, 43–51. [Google Scholar] [CrossRef] [PubMed]




| Sample | Elemental Composition, Atomic Percentages (at %) | |||||||||
|---|---|---|---|---|---|---|---|---|---|---|
| Si | Al | Fe | Ca | Mg | K | Na | Cl | Ti | O | |
| CIa | 23.685 | 6.085 | 3.948 | 3.555 | 2.320 | 1.998 | 1.238 | – | 0.560 | 56.611 |
| CIsa | 16.604 | 6.541 | 2.741 | 3.519 | 1.472 | 1.380 | 0.561 | – | 0.377 | 66.805 |
| CIam | 14.183 | 13.123 | 0.895 | 0.165 | 0.411 | 0.517 | 0.298 | – | 0.610 | 69.798 |
| CIsaHCl | 15.058 | 5.688 | 2.190 | 1.724 | 1.092 | 1.207 | 0.433 | 0.230 | 0.347 | 72.031 |
| CIamHCl | 14.720 | 10.703 | 1.162 | 0.110 | 0.244 | 0.817 | 0.406 | 0.107 | 0.494 | 71.237 |
| CTa | 15.451 | 5.510 | 1.871 | 3.809 | 1.279 | 1.226 | 0.467 | – | 0.627 | 69.760 |
| CTsa | 13.976 | 5.088 | 2.262 | 3.830 | 1.186 | 1.260 | 0.244 | – | 0.605 | 71.549 |
| CTamsa | 17.354 | 10.667 | 2.299 | 0.569 | 0.721 | 0.780 | 0.521 | – | 0.496 | 66.593 |
| CTam | 8.602 | 10.015 | 2.060 | 0.125 | 0.037 | 0.082 | 0.071 | – | 0.456 | 78.552 |
| CTamsb | 20.780 | 8.424 | 2.187 | 5.755 | 1.700 | 2.394 | 0.505 | – | 0.522 | 57.733 |
| CTamHCl | 17.477 | 11.084 | 2.266 | – | 0.564 | 0.766 | 0.094 | 0.189 | 0.529 | 67.031 |
| CTamsbHCl | 14.909 | 13.180 | 0.744 | 0.170 | 0.279 | 0.473 | 0.066 | 0.178 | 0.590 | 69.410 |
| Sample | Normal Caustic Module Si/Al | Summative Module Si(Ti/FeIII+Cl)/ Al(Ca/Mg+Na/K) | pH | [H+] (×10–5 mol/L) |
|---|---|---|---|---|
| CIa | 3.892 | 1.855 | 5.0 | 1.000 |
| CIsa | 2.538 | 1.464 | 6.0 | 0.1000 |
| CIam | 1.081 | 1.081 | 7.0 | 0.0100 |
| CIsaHCl | 2.647 | 1.757 | 4.7 | 1.9953 |
| CIamHCl | 1.375 | 1.342 | 5.8 | 0.1585 |
| CTa | 2.804 | 1.460 | 6.5 | 0.3162 |
| CTsa | 2.747 | 1.451 | 6.2 | 0.0631 |
| CTamsa | 1.627 | 1.520 | 5.2 | 0.3162 |
| CTam | 0.859 | 1.076 | 7.0 | 0.0100 |
| CTamsb | 2.467 | 1.251 | 7.1 | 0.0080 |
| CTamHCl | 1.577 | 1.636 | 4.5 | 3.1623 |
| CTamsbHCl | 1.131 | 1.159 | 7.5 | 0.0031 |
© 2019 by the authors. Licensee MDPI, Basel, Switzerland. This article is an open access article distributed under the terms and conditions of the Creative Commons Attribution (CC BY) license (http://creativecommons.org/licenses/by/4.0/).
Share and Cite
Sandu, A.V.; Vasilache, V.; Sandu, I.G.; Sieliechi, J.M.; Kouame, I.K.; Matasaru, P.D.; Sandu, I. Characterization of the Acid-Base Character of Burned Clay Ceramics Used for Water Decontamination. Materials 2019, 12, 3836. https://doi.org/10.3390/ma12233836
Sandu AV, Vasilache V, Sandu IG, Sieliechi JM, Kouame IK, Matasaru PD, Sandu I. Characterization of the Acid-Base Character of Burned Clay Ceramics Used for Water Decontamination. Materials. 2019; 12(23):3836. https://doi.org/10.3390/ma12233836
Chicago/Turabian StyleSandu, Andrei Victor, Viorica Vasilache, Ioan Gabriel Sandu, Joseph M. Sieliechi, Innocent Kouassi Kouame, Petre Daniel Matasaru, and Ion Sandu. 2019. "Characterization of the Acid-Base Character of Burned Clay Ceramics Used for Water Decontamination" Materials 12, no. 23: 3836. https://doi.org/10.3390/ma12233836
APA StyleSandu, A. V., Vasilache, V., Sandu, I. G., Sieliechi, J. M., Kouame, I. K., Matasaru, P. D., & Sandu, I. (2019). Characterization of the Acid-Base Character of Burned Clay Ceramics Used for Water Decontamination. Materials, 12(23), 3836. https://doi.org/10.3390/ma12233836

