1. Introduction
Fractures of the phalanges in the toes are frequently encountered in clinical practice [
1]. Among these, fractures of the first toe (hallux) phalanges are reported as the most common type of toe fracture in the literature, with an incidence of 38–56% [
2,
3,
4]. The hallux plays a vital role in maintaining balance, bearing weight, and facilitating pedal movements [
3]. Traumatic injuries to the forefoot are mostly caused by axial loading of the foot in plantar flexion or crushing injuries. Specifically, hallux fractures are often the result of impalement of the toe into the ground or impact from a falling object [
5]. These fractures can manifest as intra-articular fractures involving the interphalangeal joint or as extra-articular fractures affecting the proximal or distal phalanges [
5]. Axial trauma to the foot generally leads to fractures of the distal phalanx, while crushing injuries may involve either the distal or proximal phalanx [
5].
Failure to provide timely and appropriate intervention for hallux fractures may result in joint range of motion impairments, early-onset osteoarthritis, and deformities of the hallux [
6]. Techniques such as debridement of open fractures, fixation with Kirschner wires (K-wires) under fluoroscopic guidance, and achieving anatomical reduction are commonly performed in surgical settings. This case report introduces an innovative alternative technique utilizing hypodermic needles for fracture reduction in emergent settings. Notably, documentation of this technique in the scientific literature remains scarce. In a case series involving eight patients, Takamoto et al. implemented a reduction maneuver and internal fixation using hypodermic needles with a needle-in-needle pinning technique for open distal phalanx fractures of the hand fingers. Subsequent follow-up assessments revealed that all patients exhibited pain-free joint motion without necessitating additional surgical intervention [
7]. Similarly, a comparative study conducted by Van Royen et al. evaluated the efficacy of K-wire fixation versus hypodermic needle fixation for phalanx fractures of the hand fingers [
8]. Within this study, 24 distal phalanx fractures underwent fixation under fluoroscopic guidance in an operating room setting using K-wires, whereas 25 fractures were treated in an emergency room setting without fluoroscopic control utilizing hypodermic needles. The analysis revealed no statistically significant differences between the two cohorts in terms of fracture healing duration, union rates, delayed union incidence, or nonunion occurrence. However, a higher incidence of fixation loosening was observed in the hypodermic needle cohort. Importantly, neither treatment group exhibited post-procedural infections. Furthermore, hypodermic needle fixation was associated with reduced procedural costs [
8].
Another study by Senesi et al. further corroborated these findings by comparing K-wire and hypodermic needle fixation in patients with distal phalanx fractures. Among the 60 patients enrolled, 32 underwent fixation via hypodermic needles, whereas 28 received K-wire fixation. Notably, the hypodermic needle cohort demonstrated expedited fracture healing times and superior distal interphalangeal joint range of motion at six-month follow-up. Additionally, Visual Analog Scale (VAS) pain scores were significantly lower in the hypodermic needle group, reinforcing its potential clinical benefits [
9].
This case report underscores a novel and pragmatic approach to the management of open fracture-dislocation of the proximal phalanx of the hallux, employing hypodermic needles to achieve anatomical reduction and fracture stabilization in the absence of fluoroscopic guidance. This technique offers a minimally invasive, expeditious, and efficacious alternative, particularly in resource-constrained emergency scenarios. The hypodermic needle methodology emerges as a viable, cost-effective intervention, meriting further investigation and potential integration into clinical practice.
2. Case Report
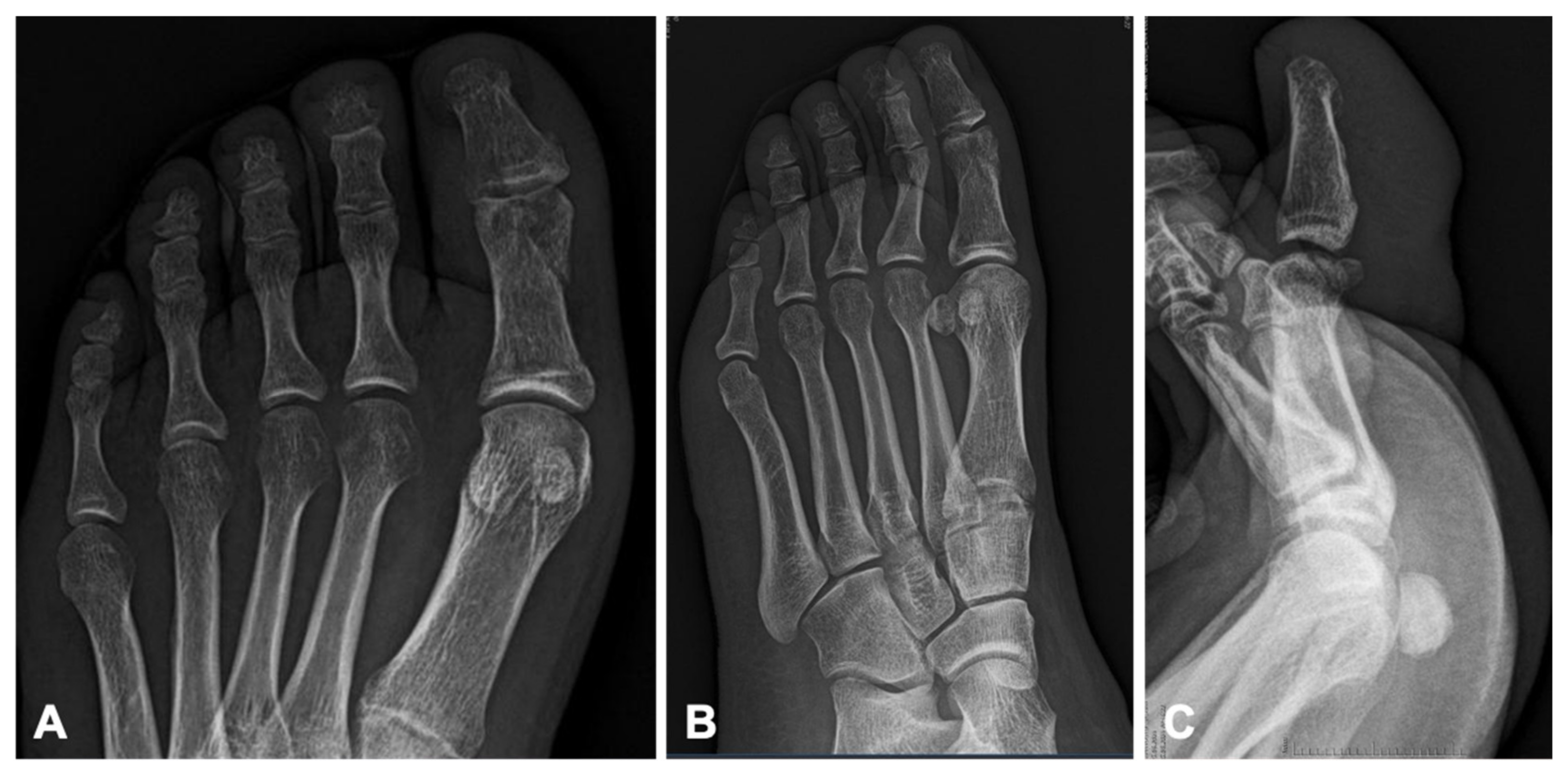
Informed consent was obtained from the patient for the publication of this case report. A 30-year-old female patient was admitted to the emergency department following a motor vehicle accident in which her left foot was trapped beneath a motorized vehicle. Clinic and radiographic evaluation revealed an open fracture of the proximal phalanx of the left hallux with 1 cm long skin cut, extending into the interphalangeal joint, accompanied by joint dislocation (
Figure 1).
Initial management included debridement of the open fracture with sterile saline solution. The patient received appropriate antibiotic therapy and tetanus prophylaxis. The interphalangeal joint dislocation was reduced using manual maneuvers. Subsequently, a minimally invasive, cost-effective technique was implemented under local anesthesia using hypodermic needles:
A 21-gauge hypodermic needle was introduced through the medial aspect of the hallux at the distal fracture line of the proximal phalanx, intersecting the interphalangeal joint region. The needle was directed perpendicularly to the bone shaft, targeting the lateral cortex. It was positioned as not to penetrate the contralateral cortex, allowing intramedullary positioning to support fracture reduction and prevent inferior displacement of the oblique fracture.
An 18-gauge hypodermic needle was inserted through the distal tip of the hallux. It traversed the lateral edge of the proximal phalanx and extended toward the interphalangeal joint. The needle insertions were done blind without fluoroscopy by feeling the bone in the emergency department.
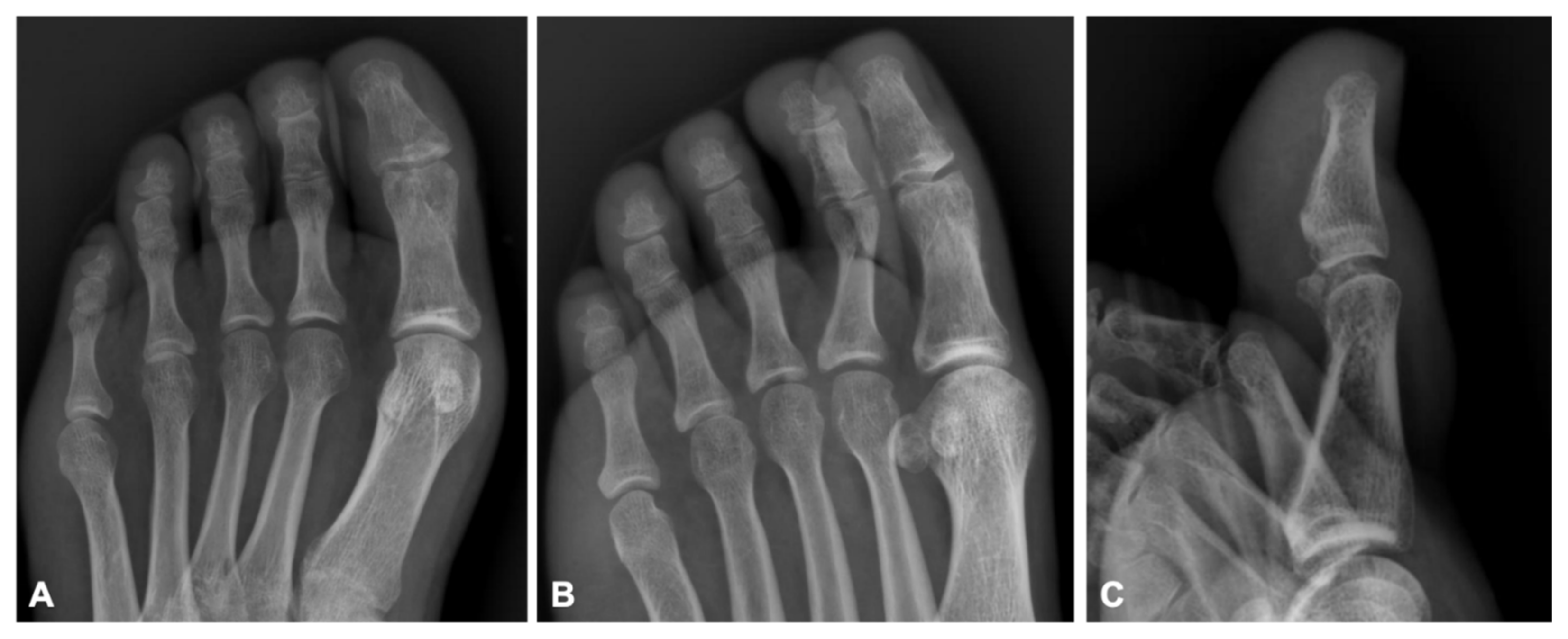
After needle placement and proper irrigation and debridement, the layers were sutured anatomically, and a short-leg splint in neutral position was applied. Control radiographs confirmed proper anatomical alignment of the fracture (
Figure 2). The patient was discharged and scheduled for weekly follow-ups after prescription of amoxicillin clavulanic acid 1 g twice a day. The hypodermic needles were removed during the fourth week in the outpatient clinic and passive range of motion exercises and weight bearing were begun gradually. After 6 weeks, radiographs showed fracture union (
Figure 3), and the patient resumed normal walking and weight bearing with no pain. Control radiographs were also obtained in the third month showing fracture healing (
Figure 4). At the 6-month follow-up, the patient exhibited a full, pain-free range of motion, could perform all daily activities without limitations, and radiographs demonstrated complete healing with no complications (
Figure 5).
3. Discussion
Fractures of the proximal phalanx of the hallux often require surgical intervention compared to fractures of other toes [
3,
10]. These fractures can occur with or without intra-articular extension, and early, appropriate treatment is essential [
3]. Failure to address hallux fractures promptly can result in valgus deformities, loss of joint range of motion, and early arthrosis of the interphalangeal joint [
3,
11,
12].
Clinical indicators such as acute subungual hematoma, eponychium bleeding, or nail bed laceration should raise suspicion of an open fracture [
13,
14]. For nondisplaced or minimally displaced fractures, closed reduction and conservative management are typically sufficient [
13]. However, surgical intervention is indicated for intra-articular fractures with more than 2 mm displacement, unstable fractures, malrotations, or open fractures [
3]. Studies have demonstrated that surgically treated hallux fractures achieve superior outcomes in terms of pain relief, range of motion, and deformity prevention [
3,
15,
16].
Available surgical options for displaced fractures include mini-plate fixation, closed or open reduction with K-wires, and intramedullary lag screw fixation [
3,
13,
14]. In our case, an alternative technique utilizing hypodermic needles was employed for the emergency reduction of open fractures, diverging from conventional methods. This technique remains rarely documented in existing literature. In our study, hypodermic needle fixation was applied to an open proximal phalanx fracture of the first toe, yielding outcomes consistent with previously reported cases.
This method represents an innovative and viable alternative to commonly utilized fixation techniques, demonstrating comparable clinical results. It holds particular significance for the treatment of both open and closed fractures of the fingers and toes, especially in settings where sterile operating room conditions cannot be ensured or where limited resources impose constraints. Moreover, this technique proves to be especially valuable in emergency scenarios, such as natural disasters, earthquakes, and conflict zones, where immediate intervention is required. The ability to achieve fracture reduction rapidly without imaging requirements further enhances its practicality, cost-effectiveness, and uniqueness as a treatment option.
4. Conclusions
This case highlights a novel, minimally invasive, rapidly applicable, and cost-effective technique using hypodermic needles for the reduction and fixation of toe fractures. While there are limited studies in the literature on similar approaches, this technique offers a practical alternative to traditional surgical methods. It eliminates the need for fluoroscopy and specialized equipment, making it particularly suitable for emergency or resource-limited settings, where sterile operating environments and specialized equipment may not be available. This report demonstrates that hypodermic needle fixation is a unique, effective, and sufficient method for managing toe fractures, providing a reliable option for both emergency and outpatient care.
Author Contributions
Conceptualization, M.Y.A., A.B.D., B.K. and G.U.D.; methodology, M.Y.A., A.B.D., B.K. and G.U.D.; software, M.Y.A., A.B.D., B.K. and G.U.D.; validation, M.Y.A., A.B.D., B.K. and G.U.D.; formal analysis, M.Y.A., A.B.D., B.K. and G.U.D.; investigation, M.Y.A., A.B.D., B.K. and G.U.D.; resources, M.Y.A., A.B.D., B.K. and G.U.D.; data curation, M.Y.A., A.B.D., B.K. and G.U.D.; writing—original draft preparation, M.Y.A., A.B.D., B.K. and G.U.D.; writing—review and editing, M.Y.A., A.B.D., B.K. and G.U.D.; visualization, M.Y.A., A.B.D., B.K. and G.U.D.; supervision, M.Y.A., A.B.D., B.K. and G.U.D.; project administration, M.Y.A., A.B.D., B.K. and G.U.D. All authors have read and agreed to the published version of the manuscript.
Funding
This research received no external funding.
Institutional Review Board Statement
Ethics committee approval was waived/not required for this study because it is a single-patient case report and does not constitute human-subject research requiring IRB review under our institutional policy.
Informed Consent Statement
Informed consent was obtained from the patients and their first-degree relatives.
Data Availability Statement
The original contributions presented in this study are included in the article. Further inquiries can be directed to the corresponding author.
Conflicts of Interest
All the authors declare no conflict of interest. Each author certifies that there are no funding or commercial associations (consultancies, stock ownership, equity interest, patent/licensing arrangements, etc.) that might pose a conflict of interest in connection with the submitted article related to the author or any immediate family members.
References
- Shibuya, N.; Davis, M.L.; Jupiter, D.C. Epidemiology of Foot and Ankle Fractures in the United States: An Analysis of the National Trauma Data Bank (2007 to 2011). J. Foot Ankle Surg. 2014, 53, 606–608. [Google Scholar] [CrossRef] [PubMed]
- Court-Brown, C.M.; Caesar, B. Epidemiology of adult fractures: A review. Injury 2006, 37, 691–697. [Google Scholar] [CrossRef] [PubMed]
- Godoy-Santos, A.L.; Giordano, V.; Cesar, C.D.E.; Sposeto, R.B.; Bitar, R.C.; Wajnsztejn, A.; Sakaki, M.H.; Fernandes, T.D. Hallux proximal phalanx fracture in adults: An overlooked diagnosis. Acta Ortop. Bras. 2020, 28, 318–322. [Google Scholar] [CrossRef] [PubMed]
- Eves, T.B.; Oddy, M.J. Do Broken Toes Need Follow-Up in the Fracture Clinic? J. Foot Ankle Surg. 2016, 55, 488–491. [Google Scholar] [CrossRef] [PubMed]
- Schenck, R.C.; Heckman, J.D. Fractures and Dislocations of the Forefoot: Operative and Nonoperative Treatment. J. Am. Acad. Orthop. Surg. 1995, 3, 70–78. [Google Scholar] [CrossRef] [PubMed]
- Nishikawa, D.R.C.; Duarte, F.A.; de Cesar Netto, C.; Monteiro, A.C.; Albino, R.B.; Fonseca, F.C.P. Internal Fixation of Displaced Intra-articular Fractures of the Hallux Through a Dorsomedial Approach: A Technical Tip. Foot Ankle Spec. 2018, 11, 77–81. [Google Scholar] [CrossRef] [PubMed]
- Takamoto, K.; Takano, S.; Takano, K. Needle-in-needle Pinning Technique Using Disposable Hypodermic Needles for Fractures of Distal Phalanx With Dorsal Disruption. Tech. Hand Up. Extrem. Surg. 2021, 26, 42–46. [Google Scholar] [CrossRef] [PubMed]
- Van Royen, K.; Ozyurekoglu, T.; Lozano-Garza, C.A.; Graham, D. Hypodermic needle fixation without fluoroscopy versus k-wire fixation with fluoroscopy for distal phalangeal fractures: A comparative study. Eur. J. Orthop. Surg. Traumatol. 2021, 31, 705–710. [Google Scholar] [CrossRef] [PubMed]
- Senesi, L.; Marchesini, A.; Pangrazi, P.P.; De Francesco, M.; Gigante, A.; Riccio, M.; De Francesco, F. K-wire fixation vs 23-gauge percutaneous hand- crossed hypodermic needle for the treatment of distal phalangeal fractures. BMC Musculoskelet. Disord. 2020, 21, 590. [Google Scholar] [CrossRef] [PubMed]
- Hatch, R.L.; Rosenbaum, C.I. Fracture care by family physicians. A review of 295 cases. J. Fam. Pract. 1994, 38, 238–244. [Google Scholar] [PubMed]
- Daly, N. Fractures and dislocations of the digits. Clin. Podiatr. Med. Surg. 1996, 13, 309–326. [Google Scholar] [CrossRef] [PubMed]
- Kim, S.; Lee, M.; Seok, S. Intra-articular fracture of proximal phalanx of great toe accompanied by valgus deformity associated with sports activities. J. Orthop. Surg. 2017, 25, 2309499017690324. [Google Scholar] [CrossRef] [PubMed]
- Mittlmeier, T.; Haar, P. Sesamoid and toe fractures. Injury 2004, 35, SB87–SB97. [Google Scholar] [CrossRef] [PubMed]
- Kensinger, D.R.; Guille, J.T.; Horn, B.D.; Herman, M.J. The stubbed great toe: Importance of early recognition and treatment of open fractures of the distal phalanx. J. Pediatr. Orthop. 2001, 21, 31–34. https://pubmed.ncbi.nlm.nih.gov/11176350/. [CrossRef] [PubMed]
- Rapoff, A.J.; Heiner, J.P. Avulsion fracture of the great toe: A case report. Foot Ankle Int. 1999, 20, 337–339. [Google Scholar] [CrossRef] [PubMed]
- Martin, E.A.; Barske, H.L.; DiGiovanni, B.F. Open surgical treatment of an acute, unstable bony mallet injury of the hallux. Foot Ankle Int. 2013, 34, 295–298. [Google Scholar] [CrossRef] [PubMed]
| Disclaimer/Publisher’s Note: The statements, opinions and data contained in all publications are solely those of the individual author(s) and contributor(s) and not of MDPI and/or the editor(s). MDPI and/or the editor(s) disclaim responsibility for any injury to people or property resulting from any ideas, methods, instructions or products referred to in the content. |
© 2026 by the authors. Published by MDPI on behalf of the American Podiatric Medical Association (APMA). Licensee MDPI, Basel, Switzerland. This article is an open access article distributed under the terms and conditions of the Creative Commons Attribution (CC BY) license.