Surgical Considerations in Treating Central Nervous System Lymphomas: A Case Series of 11 Patients
Abstract
1. Introduction
2. Materials and Methods
3. Results
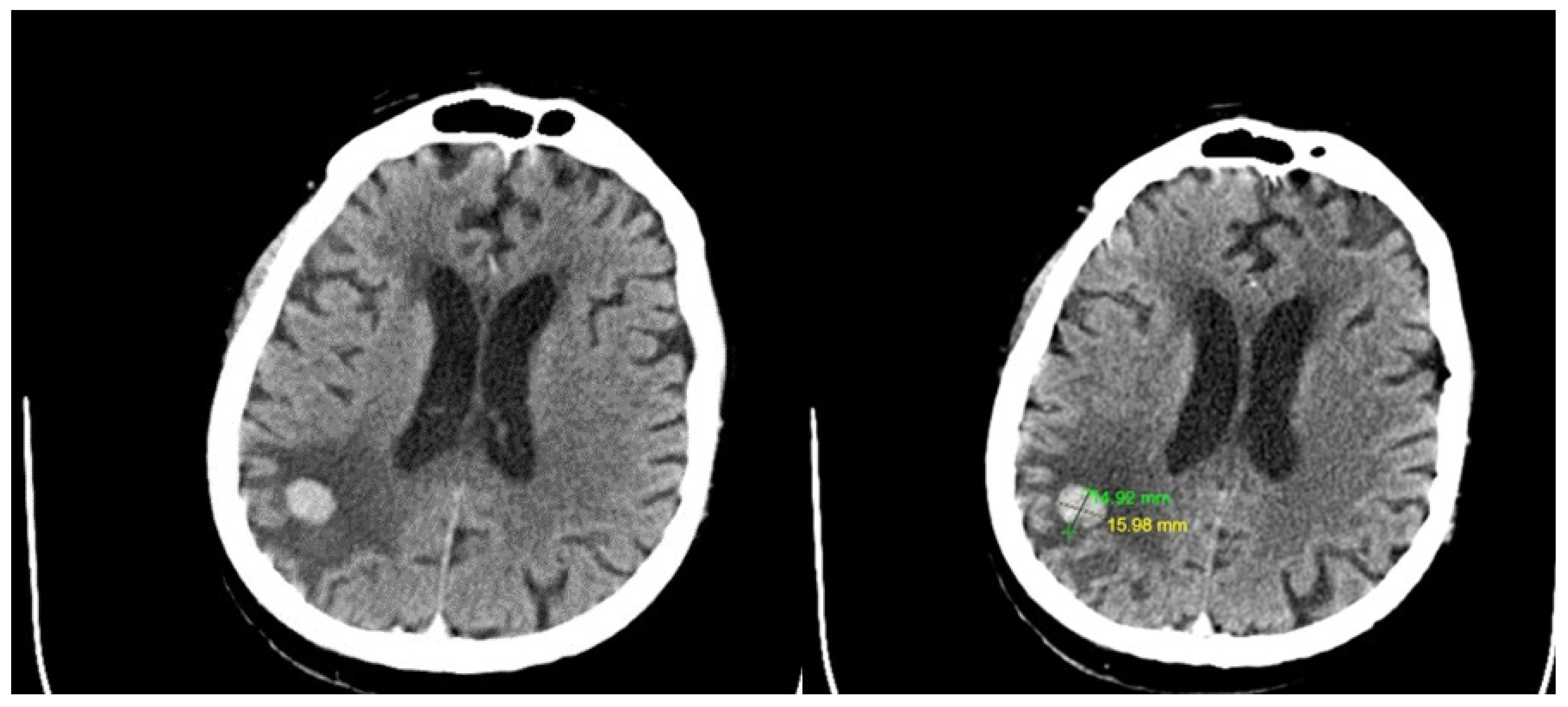
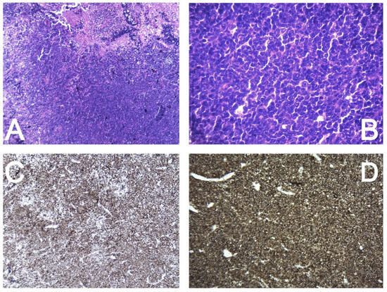
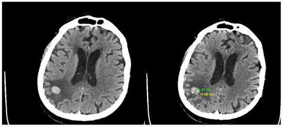
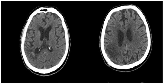
4. Case Presentation
4.1. Patient Profile
4.2. First Admission
4.3. Second Admission
5. Discussion
6. Conclusions
Author Contributions
Funding
Institutional Review Board Statement
Informed Consent Statement
Data Availability Statement
Conflicts of Interest
References
- Louis, D.N.; Perry, A.; Wesseling, P.; Brat, D.J.; Cree, I.A.; Figarella-Branger, D.; Hawkins, C.; Ng, H.K.; Pfister, S.M.; Reifenberger, G.; et al. The 2021 WHO Classification of Tumors of the Central Nervous System: A summary. Neuro-Oncology 2021, 23, 1231–1251. [Google Scholar] [CrossRef] [PubMed]
- Löw, S.; Han, C.H.; Batchelor, T.T. Primary central nervous system lymphoma. Ther. Adv. Neurol. Disord. 2018, 11, 1756286418793562. [Google Scholar] [CrossRef] [PubMed]
- Anvari, K.; Welsh, J.S.; Molaie, F. Case series on patients with primary central nervous system lymphoma: From clinical presentations to outcomes. Clin. Case Rep. 2022, 10, e05447. [Google Scholar] [CrossRef] [PubMed]
- Korfel, A.; Schlegel, U. Diagnosis and treatment of primary CNS lymphoma. Nat. Rev. Neurol. 2013, 9, 317–327. [Google Scholar] [CrossRef]
- Hoang-Xuan, K.; Bessell, E.; Bromberg, J.; Hottinger, A.F.; Preusser, M.; Rudà, R.; Schlegel, U.; Siegal, T.; Soussain, C.; Abacioglu, U.; et al. Diagnosis and treatment of primary CNS lymphoma in immunocompetent patients: Guidelines from the European Association for Neuro-Oncology. Lancet Oncol. 2015, 16, e322–e332. [Google Scholar] [CrossRef]
- Bobillo, S.; Khwaja, J.; Ferreri, A.J.; Cwynarski, K. Prevention and management of secondary central nervous system lymphoma. Haematologica 2022, 108, 673–689. [Google Scholar] [CrossRef]
- Villano, J.L.; Koshy, M.; Shaikh, H.; Dolecek, T.A.; McCarthy, B.J. Age, gender, and racial differences in incidence and survival in primary CNS lymphoma. Br. J. Cancer 2011, 105, 1414–1418. [Google Scholar] [CrossRef]
- Brastianos, P.K.; Batchelor, T.T. Primary Central Nervous System Lymphoma. Hematol. Clin. N. Am. 2012, 26, 897–916. [Google Scholar] [CrossRef]
- Schaff, L. Central Nervous System Lymphoma. Contin. Lifelong Learn. Neurol. 2023, 29, 1710–1726. [Google Scholar] [CrossRef]
- Bazer, D.A.; Zabrocka, E.; Koroneos, N.; Kowalska, A. Central Nervous System Lymphoma: The Great Mimicker—A Single-Institution Retrospective Study. Case Rep. Oncol. Med. 2023, 2023, 1–7. [Google Scholar] [CrossRef]
- Scheichel, F.; Pinggera, D.; Popadic, B.; Sherif, C.; Marhold, F.; Freyschlag, C.F. An Update on Neurosurgical Management of Primary CNS Lymphoma in Immunocompetent Patients. Front. Oncol. 2022, 12, 884724. [Google Scholar] [CrossRef]
- Stifano, V.; Della Pepa, G.M.; Offi, M.; Montano, N.; Carcagnì, A.; Pallini, R.; Lauretti, L.; Olivi, A.; D’alessandris, Q.G. Resection versus biopsy for management of primary central nervous system lymphoma: A meta-analysis. Neurosurg. Rev. 2023, 46, 37. [Google Scholar] [CrossRef] [PubMed]
- Green, K.; Munakomi, S.; Hogg, J.P. Central Nervous System Lymphoma. In StatPearls; StatPearls Publishing: Treasure Island, FL, USA, 2024. Available online: http://www.ncbi.nlm.nih.gov/books/NBK545145/ (accessed on 6 July 2024).
- Han, C.H.; Batchelor, T.T. Diagnosis and management of primary central nervous system lymphoma. Cancer 2017, 123, 4314–4324. [Google Scholar] [CrossRef] [PubMed]
- Ostrom, Q.T.; Patil, N.; Cioffi, G.; Waite, K.; Kruchko, C.; Barnholtz-Sloan, J.S. CBTRUS Statistical Report: Primary Brain and Other Central Nervous System Tumors Diagnosed in the United States in 2013–2017. Neuro-Oncology 2020, 22 (Suppl. S2), iv1–iv96. [Google Scholar] [CrossRef] [PubMed]
- Wu, Y.; Sun, X.; Bai, X.; Qian, J.; Zhu, H.; Cui, Q.; Xing, R.; Chen, Y.; Liu, Q.; Lai, W.; et al. Treatment of secondary central nervous system involvement in systemic aggressive B cell lymphoma using R-MIADD chemotherapy: A single-center study. Chin. Neurosurg. J. 2021, 7, 20. [Google Scholar] [CrossRef]
- Ferreri, A.J.; Blay, J.-Y.; Reni, M.; Pasini, F.; Spina, M.; Ambrosetti, A.; Calderoni, A.; Rossi, A.; Vavassori, V.; Conconi, A.; et al. Prognostic Scoring System for Primary CNS Lymphomas: The International Extranodal Lymphoma Study Group Experience. J. Clin. Oncol. 2003, 21, 266–272. [Google Scholar] [CrossRef]
- Patel, A.V.; Diver, W.R.; Teras, L.R.; Birmann, B.M.; Gapstur, S.M. Body mass index, height and risk of lymphoid neoplasms in a large United States cohort. Leuk. Lymphoma 2013, 54, 1221–1227. [Google Scholar] [CrossRef]
- Alderson, L.; Fetell, M.R.; Sisti, M.; Hochberg, F.; Cohen, M.; Louis, D.N. Sentinel lesions of primary CNS lymphoma. J. Neurol. Neurosurg. Psychiatry 1996, 60, 102–105. [Google Scholar] [CrossRef]
- Staub-Bartelt, F.; Rittenauer, J.; Sabel, M.; Rapp, M. Functional Outcome and Overall Survival in Patients with Primary or Secondary CNS Lymphoma after Surgical Resection vs. Biopsy. Cancers 2023, 15, 5266. [Google Scholar] [CrossRef]
- Fliessbach, K.; Helmstaedter, C.; Urbach, H.; Althaus, A.; Pels, H.; Linnebank, M.; Juergens, A.; Glasmacher, A.; Schmidt-Wolf, I.G.; Klockgether, T.; et al. Neuropsychological outcome after chemotherapy for primary CNS lymphoma: A prospective. Neurology 2005, 64, 1184–1188. [Google Scholar] [CrossRef]
- Ferreri, A.; Illerhaus, G.; Doorduijn, J.; Auer, D.; Bromberg, J.; Calimeri, T.; Cwynarski, K.; Fox, C.; Hoang-Xuan, K.; Malaise, D.; et al. Primary central nervous system lymphomas: EHA–ESMO Clinical Practice Guideline for diagnosis, treatment and follow-up. Ann. Oncol. 2024, 35, 491–507. [Google Scholar] [CrossRef] [PubMed]
- Aboubakr, O.; Houillier, C.; Choquet, S.; Dupont, S.; Hoang-Xuan, K.; Mathon, B. Epileptic seizures in patients with primary central nervous system lymphoma: A systematic review. Rev. Neurol. 2023, S0035378723011165. [Google Scholar] [CrossRef] [PubMed]
- Tao, K.; Wang, X.; Tian, X. Relapsed Primary Central Nervous System Lymphoma: Current Advances. Front. Oncol. 2021, 11, 649789. [Google Scholar] [CrossRef]
- Khwaja, J.; Cwynarski, K. Management of primary and secondary CNS lymphoma. Hematol. Oncol. 2023, 41, 25–35. [Google Scholar] [CrossRef]
- Khwaja, J.; Nayak, L.; Cwynarski, K. Evidence-based management of primary and secondary CNS lymphoma. Semin. Hematol. 2023, 60, 313–321. [Google Scholar] [CrossRef] [PubMed]
- Cwynarski, K.; Cummin, T.; Osborne, W.; Lewis, J.; Chaganti, S.; Smith, J.; Linton, K.; Greaves, P.; McKay, P.; Fox, C.P.; et al. Management of secondary central nervous system lymphoma. Br. J. Haematol. 2023, 200, 160–169. [Google Scholar] [CrossRef]
- Weller, M.; Martus, P.; Roth, P.; Thiel, E.; Korfel, A.; for the German PCNSL Study Group. Surgery for primary CNS lymphoma? Challenging a paradigm. Neuro-Oncology 2012, 14, 1481–1484. [Google Scholar] [CrossRef]
- Cloney, M.B.; Sonabend, A.M.; Yun, J.; Yang, J.; Iwamoto, F.; Singh, S.; Bhagat, G.; Canoll, P.; Zanazzi, G.; Bruce, J.N.; et al. The safety of resection for primary central nervous system lymphoma: A single institution retrospective analysis. J. Neuro-Oncol. 2017, 132, 189–197. [Google Scholar] [CrossRef]
- Hoang-Xuan, K.; Deckert, M.; Ferreri, A.J.M.; Furtner, J.; Perez-Larraya, J.G.; Henriksson, R.; Hottinger, A.F.; Kasenda, B.; Lefranc, F.; Lossos, A.; et al. European Association of Neuro-Oncology (EANO) guidelines for treatment of primary central nervous system lymphoma (PCNSL). Neuro-Oncology 2023, 25, 37–53. [Google Scholar] [CrossRef]
- Calomino, N.; Fusario, D.; Cencini, E.; Lazzi, S. Two secondary localisation of non-Hodgkin’s lymphomas in the upper gastrointestinal tract. BMJ Case Rep. 2022, 15, e247607. [Google Scholar] [CrossRef]
- Singh, G.; Rees, J.H.; Sander, J.W. Seizures and epilepsy in oncological practice: Causes, course, mechanisms and treatment. J. Neurol. Neurosurg. Psychiatry 2006, 78, 342–349. [Google Scholar] [CrossRef] [PubMed]
- Deng, X.; Xu, X.; Lin, D.; Zhang, X.; Yu, L.; Sheng, H.; Yin, B.; Zhang, N.; Lin, J. Real-World Impact of Surgical Excision on Overall Survival in Primary Central Nervous System Lymphoma. Front. Oncol. 2020, 10, 131. [Google Scholar] [CrossRef] [PubMed]
- Wu, S.; Wang, J.; Liu, W.; Hu, F.; Zhao, K.; Jiang, W.; Lei, T.; Shu, K. The role of surgical resection in primary central nervous system lymphoma: A single-center retrospective analysis of 70 patients. BMC Neurol. 2021, 21, 190. [Google Scholar] [CrossRef] [PubMed]
- Ouyang, T.; Wang, L.; Zhang, N.; Zhang, Z.; Xiong, Y.; Li, M.; Hong, T. Clinical Characteristics, Surgical Outcomes, and Prognostic Factors of Intracranial Primary Central Nervous System Lymphoma. World Neurosurg. 2020, 139, e508–e516. [Google Scholar] [CrossRef] [PubMed]
- Schellekes, N.; Barbotti, A.; Abramov, Y.; Sitt, R.; Di Meco, F.; Ram, Z.; Grossman, R. Resection of primary central nervous system lymphoma: Impact of patient selection on overall survival. J. Neurosurg. 2021, 135, 1016–1025. [Google Scholar] [CrossRef]
- Yuan, X.-G.; Huang, Y.-R.; Yu, T.; Xu, Y.; Liang, Y.; Zhang, X.-H.; Sun, C.-R.; Zhao, X.-Y. Primary central nervous system lymphoma in China: A single-center retrospective analysis of 167 cases. Ann. Hematol. 2020, 99, 93–104. [Google Scholar] [CrossRef]
- Villalonga, J.F.; Alessandro, L.; Farez, M.F.; Mormandi, R.; Cervio, A.; Alcorta, S.C.; Muggeri, A. The role of surgery in primary central nervous system lymphomas. Arq. Neuro-Psiquiatria 2018, 76, 139–144. [Google Scholar] [CrossRef]
- Jahr, G.; Da Broi, M.; Holte, H.; Beiske, K.; Meling, T.R. Evaluation of Memorial Sloan-Kettering Cancer Center and International Extranodal Lymphoma Study Group prognostic scoring systems to predict Overall Survival in intracranial Primary CNS lymphoma. Brain Behav. 2018, 8, e00928. [Google Scholar] [CrossRef]








| Article Title | Authors and Reference | Country of Data Collection | Study Design | Principal Objective | Number of Patients Undergoing Surgical Resection | Type of Surgical Intervention | Conclusions |
|---|---|---|---|---|---|---|---|
| Real-World Impact of Surgical Excision on Overall Survival in Primary Central Nervous System Lymphoma | Deng et al. (2020) [33] | USA | retrospective | To investigate the association of surgery with PCNSL prognosis by comparing SO between patients who underwent surgical resection and those who did not | 851 | STR and GTR | Combining surgical excision with chemotherapy yields longer OS than chemotherapy alone, suggesting the benefits of multimodal treatment. |
| The role of surgical resection in primary central nervous system lymphoma: a single-center retrospective analysis of 70 patients | Wu et al. (2021) [34] | China | retrospective | To evaluate the effect of surgical resection and stereotactic biopsy on the complication rate, PFS, and OS of patients diagnosed with PCNSL | 28 | Resection (not specified) | Although the outcomes for patients with PCNSL in the cohort remain poor, surgical resection may significantly improve OS and PFS compared to stereotactic biopsy in a subset of patients. |
| Clinical Characteristics, Surgical Outcomes, and Prognostic Factors of Intracranial Primary Central Nervous System Lymphoma | Ouyang et al. (2020) [35] | China | retrospective | To analyze the outcomes and complications of surgical treatment for intracranial PCNSL | 71 | STR and GTR | For intracranial PCNSL, surgical excision can improve PFS, but not OS. |
| Resection of primary central nervous system lymphoma: impact of patient selection on overall survival | Schellekes et al. (2021) [36] | Israel and Milan | retrospective | To investigate the impact of the resection of a solitary lesion on the survival of PCNSL patients by comparing outcomes between those who underwent resection and those who had a needle biopsy | 36 | STR and GTR | In a subgroup of patients with superficial tumors, patients who underwent surgical resection had significantly longer OS than those who underwent needle biopsy. |
| Primary central nervous system lymphoma in China: a single-center retrospective analysis of 167 cases | Yuan et al. (2019) [37] | China | retrospective | To evaluate the potential prognostic factors for OS and PFS in patients with PCNSL | 62 | GTR | Gross total resection was found to be an independent favorable prognostic factor for OS. |
| The role of surgery in primary central nervous system lymphomas | Villalonga et al. (2018) [38] | Argentina | retrospective | To compare survival among patients with PCNSL who underwent biopsy versus surgical resection | 18 | STR and GTR | Patients who underwent surgical resection had significantly longer survival than those who had a biopsy alone, with a survival difference of almost one-and-a-half years. |
| Functional Outcome and Overall Survival in Patients with Primary or Secondary CNS Lymphoma after Surgical Resection vs. Biopsy | Staub-Bartelt et al. (2023) [20] | Germany | retrospective | To compare the postoperative functional status and OS of patients with PCNSL who underwent resection with those who underwent either stereotactic or open biopsy | 35 | STR and GTR | Patients who underwent surgical resection experienced longer survival outcomes and more favorable postoperative functionality. |
| The Safety of Resection for Primary Central Nervous System Lymphoma: A single institution retrospective analysis | Cloney et al. (2018) [29] | USA | retrospective | To analyze the safety of surgical resection for patients with PCNSL | 58 | Resection (not specified) | Postoperative complication rates following surgical resection were found to be similar to those observed in other intracranial neoplasms. |
| Evaluation of Memorial Sloan-Kettering Cancer Center and International Extranodal Lymphoma Study Group prognostic scoring systems to predict Overall Survival in intracranial Primary CNS lymphoma | Jahr et al. (2018) [39] | Norway | retrospective | To evaluate the safety of surgical resection for patients with PCNSL | 32 | Resection (not specified) | The complication rates identified after the resection of PCNSL were comparable and considered acceptable relative to those reported in studies of other CNS tumors. |
Disclaimer/Publisher’s Note: The statements, opinions and data contained in all publications are solely those of the individual author(s) and contributor(s) and not of MDPI and/or the editor(s). MDPI and/or the editor(s) disclaim responsibility for any injury to people or property resulting from any ideas, methods, instructions or products referred to in the content. |
© 2024 by the authors. Licensee MDPI, Basel, Switzerland. This article is an open access article distributed under the terms and conditions of the Creative Commons Attribution (CC BY) license (https://creativecommons.org/licenses/by/4.0/).
Share and Cite
Toader, C.; Dumitru, A.V.; Radoi, M.P.; Glavan, L.-A.; Ilie, M.-M.; Covache-Busuioc, R.-A.; Buica, V.; Corlatescu, A.-D.; Costin, H.-P.; Crivoi, C.; et al. Surgical Considerations in Treating Central Nervous System Lymphomas: A Case Series of 11 Patients. Curr. Oncol. 2024, 31, 6659-6672. https://doi.org/10.3390/curroncol31110491
Toader C, Dumitru AV, Radoi MP, Glavan L-A, Ilie M-M, Covache-Busuioc R-A, Buica V, Corlatescu A-D, Costin H-P, Crivoi C, et al. Surgical Considerations in Treating Central Nervous System Lymphomas: A Case Series of 11 Patients. Current Oncology. 2024; 31(11):6659-6672. https://doi.org/10.3390/curroncol31110491
Chicago/Turabian StyleToader, Corneliu, Adrian Vasile Dumitru, Mugurel Petrinel Radoi, Luca-Andrei Glavan, Milena-Monica Ilie, Razvan-Adrian Covache-Busuioc, Vlad Buica, Antonio-Daniel Corlatescu, Horia-Petre Costin, Carla Crivoi, and et al. 2024. "Surgical Considerations in Treating Central Nervous System Lymphomas: A Case Series of 11 Patients" Current Oncology 31, no. 11: 6659-6672. https://doi.org/10.3390/curroncol31110491
APA StyleToader, C., Dumitru, A. V., Radoi, M. P., Glavan, L.-A., Ilie, M.-M., Covache-Busuioc, R.-A., Buica, V., Corlatescu, A.-D., Costin, H.-P., Crivoi, C., & Ciurea, A. V. (2024). Surgical Considerations in Treating Central Nervous System Lymphomas: A Case Series of 11 Patients. Current Oncology, 31(11), 6659-6672. https://doi.org/10.3390/curroncol31110491

