Next Issue
Volume 9, 11
Previous Issue
Volume 9, 09
 
 
cardiovascmed-logo

Journal Browser

Journal Browser
Cardiovascular Medicine is published by MDPI from Volume 28 Issue 1 (2025). Previous articles were published by another publisher in Open Access under a CC-BY (or CC-BY-NC-ND) licence, and they are hosted by MDPI on mdpi.com as a courtesy and upon agreement with Editores Medicorum Helveticorum (EMH).

Cardiovasc. Med., Volume 9, Issue 10 (10 2006) – 7 articles

  • Issues are regarded as officially published after their release is announced to the table of contents alert mailing list.
  • You may sign up for e-mail alerts to receive table of contents of newly released issues.
  • PDF is the official format for papers published in both, html and pdf forms. To view the papers in pdf format, click on the "PDF Full-text" link, and use the free Adobe Reader to open them.
Order results
Result details
Select all
Export citation of selected articles as:
4 pages, 165 KB  
Abstract
Herbsttagung Schweizerische Gesellschaft für Kardiologie, Bern, 23. 11. 2006
by
Cardiovasc. Med. 2006, 9(10), 363; https://doi.org/10.4414/cvm.2006.01205 - 27 Oct 2006
Viewed by 68
Abstract
La stimulation biventriculaire est maintenant bien établie comme étant un traitement efficace pour l’insuffisance cardiaque chez des patients sélectionnés [...] Full article
2 pages, 480 KB  
Interesting Images
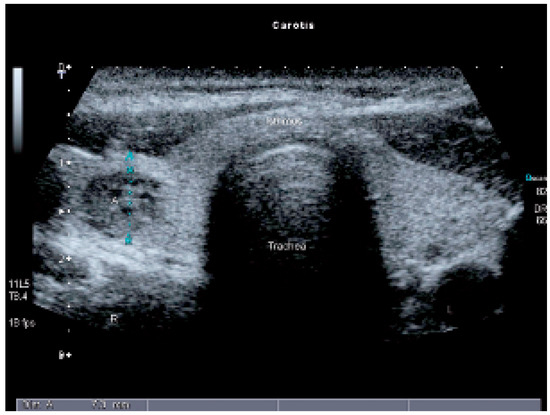
Autonomes Schilddrüsenadenom und Angiosonographie
by Michel Zuber and Lukas Frey
Cardiovasc. Med. 2006, 9(10), 361; https://doi.org/10.4414/cvm.2006.01204 - 27 Oct 2006
Viewed by 59
Abstract
Eine 56jährige Patientin sucht den Hausarzt auf wegen total globaler Amnesie [...] Full article
Show Figures

Figure 1

2 pages, 286 KB  
Interesting Images
Syndrome Coronaire Aigu?
by A. Kocher and J. L. Crevoisier
Cardiovasc. Med. 2006, 9(10), 359; https://doi.org/10.4414/cvm.2006.01203 - 27 Oct 2006
Viewed by 68
Abstract
L’ECG (fig. 1) enregistré en urgence 30 minutes après un épisode d’oppression thoracique accompagné de sudations et de nausées, suivi de syncope chez un patient de 77 ans, obèse, diabétique, et sans antécédents de maladie cardiaque. [...] Full article
Show Figures

Figure 1

5 pages, 174 KB  
Editorial
Bivalirudin, the New Kid on the Block in Coronary Interventions
by Bernhard Meier
Cardiovasc. Med. 2006, 9(10), 353; https://doi.org/10.4414/cvm.2006.01202 - 27 Oct 2006
Viewed by 73
Abstract
Bivalirudin is an interesting new intravenous direct thrombin inhibitor with already welldocumented efficacy. It is predominantly used in the cardiac catheterisation laboratory during percutaneous coronary interventions. In contrast to hirudin, which failed in this setting, bivalirudin has a shorter half-life and much less [...] Read more.
Bivalirudin is an interesting new intravenous direct thrombin inhibitor with already welldocumented efficacy. It is predominantly used in the cardiac catheterisation laboratory during percutaneous coronary interventions. In contrast to hirudin, which failed in this setting, bivalirudin has a shorter half-life and much less immunogenicity. Bivalirudin lacks the risk of heparin-induced thrombocytopenia and shows a tendency to lower bleeding risks without reduction of efficacy when compared with combining unfractionated heparin and glycoprotein IIb/IIIa inhibitors (common in the United States but not in Europe). Improved efficacy compared with the use of unfractionated heparin without glycoprotein IIb/IIIa inhibitors (the rule in Europe) is likely but not proved. Due to its short half-life, and some data showing its safety during cardiac surgery, there is no particular concern for patients needing immediate heart surgery after a percutaneous coronary intervention. Bivalirudin can be used on the background of any other anticoagulant save vitamin K antagonists, which have not been examined in this context. The ideal doses have been sufficiently determined as have been the dosage reductions recommended in patients with mild to moderate renal failure. Safety in patients without renal function has not been assessed. The metabolism of bivalirudin occurs by proteolysis and no interactions with drugs employing cytochrome P 450 are to be expected. No other interactions with common drugs in cardiovascular disease have been observed to date. Bivalirudin is a real asset for patients with thrombocytopenia or a history thereof undergoing coronary interventions. Some interventional cardiologists may take advantage of the slightly more favourable outcome in patients with bivalirudin compared with patients with unfractionated heparin plus glycoprotein IIb/IIIa inhibitors but most will probably continue to use glycoprotein IIb/IIIa inhibitors in risky cases, thereby eliminating this theoretical advantage of bivalirudin. Safety concerns are not to be expected. Considering policies in European catheterisation laboratories, an increase in cost will occur if bivalirudin replaces unfractionated heparin in routine cases of interventional cardiology. Full article
4 pages, 343 KB  
Case Report
Severe Coronary Artery Ectasia and Abdominal Aortic Aneurysm
by Ruth von Dahlen, Stephanie Kiencke, Christoph Kaiser and Peter Rickenbacher
Cardiovasc. Med. 2006, 9(10), 348; https://doi.org/10.4414/cvm.2006.01199 - 27 Oct 2006
Cited by 1 | Viewed by 118
Abstract
Coronary artery ectasia (CAE), a discrete or fusiform arterial dilatation, is an uncommon angiographic finding. We report the case of a patient presenting with an acute coronary syndrome in whom further evaluation revealed coronary artery disease with severe CAE in the presence of [...] Read more.
Coronary artery ectasia (CAE), a discrete or fusiform arterial dilatation, is an uncommon angiographic finding. We report the case of a patient presenting with an acute coronary syndrome in whom further evaluation revealed coronary artery disease with severe CAE in the presence of an abdominal aortic aneurysm (AAA). Since both entities are strongly associated with local and systemic atherosclerosis, they have traditionally been viewed as a variant of atherosclerosis. The combined occurrence of CAE and AAA, as in the present case, raises questions about common pathogenetic mechanisms apart from atherosclerosis. The respective evidence will be reviewed. Full article
Show Figures

Figure 1

5 pages, 267 KB  
Editorial
Nachsorge Angeborener Herzvitien im Erwachsenenalter: Die Rolle der Grundversorger und der Kardiologen in der Praxis
by Andreas Hoffmann
Cardiovasc. Med. 2006, 9(10), 342; https://doi.org/10.4414/cvm.2006.01201 - 27 Oct 2006
Viewed by 63
Abstract
Für die Langzeitbetreuung von Erwachsenen mit angeborenen Herzfehlern wurde ein Drei- Stufen-Modell vorgeschlagen, das sich jedoch infolge der regionalen und föderalistischen Gegebenheiten in der Schweiz nur mit Mühe realisieren lässt. Es bleibt aber wichtig anzuerkennen, dass für die adäquate Beurteilung und Begleitung von [...] Read more.
Für die Langzeitbetreuung von Erwachsenen mit angeborenen Herzfehlern wurde ein Drei- Stufen-Modell vorgeschlagen, das sich jedoch infolge der regionalen und föderalistischen Gegebenheiten in der Schweiz nur mit Mühe realisieren lässt. Es bleibt aber wichtig anzuerkennen, dass für die adäquate Beurteilung und Begleitung von komplexen Herzfehlern eine minimale Sachkenntnis sowie genügend eigene Erfahrung und Fallzahlen Voraussetzung sind. Die Ärzte in der Grundversorgung, seien es Allgemeinpraktiker, Internisten oder praktizierende Kardiologen ohne spezielle Weiterbildung, müssen über ein gut ausgebautes Informationsnetz zu Konsiliarien und Referenzzentren verfügen, über welches sie unkompliziert bidirektional kommunizieren können. Nur eine begrenzte Zahl von Vitien können in der Grundversorgung abschliessend ohne periodische konsiliarische Beurteilung durch einen WATCH-Kardiologen adäquat betreut werden. Die beste Methode zur Vermeidung von Katastrophen ist die Kenntnis der eigenen Limiten und die Einsicht in den Nutzen von permanenter Fortbildung. Full article
5 pages, 175 KB  
Editorial
Transition, Transfer und Kooperation bei Patienten mit Angeborenen Herzfehlern—Kontinuierliche Kollaboration der Pädiatrischen und Adulten Kardiologie
by Urs Bauersfeld
Cardiovasc. Med. 2006, 9(10), 336; https://doi.org/10.4414/cvm.2006.01200 - 27 Oct 2006
Viewed by 73
Abstract
Today, the majority of children with congenital heart disease (CHD) survives to adulthood. During the next few years a growing number of adults with complex CHD that need sophisticated cardiovascular follow-up can be expected. However, late complications, reinterventions or reoperations have to be [...] Read more.
Today, the majority of children with congenital heart disease (CHD) survives to adulthood. During the next few years a growing number of adults with complex CHD that need sophisticated cardiovascular follow-up can be expected. However, late complications, reinterventions or reoperations have to be expected in some of these patients. These medical problems have to be anticipated and should be discussed already in childhood together with life style and life planning issues. The transition process from pediatric to adult care should be initiated early in childhood to allow a continuous and adequate flow of information. Transfer to adult care can be accomplished after puberty and growth has been completed. Adult patients with complex CHD should be transferred to a dedicated center for adults with CHD with access to congenital cardiac surgery. The transition process as well as later adult care is preferentially organised as continuous cooperation of pediatric and adult cardiologists to ensure data transfer and feedback from adult to pediatric cardiology. Patient autonomy and a highly individualised care is of upmost importance and presents a major challenge to all teams involved in the care of patients with CHD. Full article
Previous Issue
Next Issue
Back to TopTop