Next Issue
Volume 20, 08
Previous Issue
Volume 20, 11
 
 
cardiovascmed-logo

Journal Browser

Journal Browser
Cardiovascular Medicine is published by MDPI from Volume 28 Issue 1 (2025). Previous articles were published by another publisher in Open Access under a CC-BY (or CC-BY-NC-ND) licence, and they are hosted by MDPI on mdpi.com as a courtesy and upon agreement with Editores Medicorum Helveticorum (EMH).

Cardiovasc. Med., Volume 20, Issue 12 (12 2017) – 6 articles

  • Issues are regarded as officially published after their release is announced to the table of contents alert mailing list.
  • You may sign up for e-mail alerts to receive table of contents of newly released issues.
  • PDF is the official format for papers published in both, html and pdf forms. To view the papers in pdf format, click on the "PDF Full-text" link, and use the free Adobe Reader to open them.
Order results
Result details
Select all
Export citation of selected articles as:
1 pages, 77 KB  
News
Research Prize of the Swiss Heart Foundation 2018
by Swiss Heart Foundation Research Committee
Cardiovasc. Med. 2017, 20(12), 314; https://doi.org/10.4414/cvm.2017.00528 - 20 Dec 2017
Viewed by 110
Abstract
The Swiss Heart Foundation awards an annual prize of Swiss Francs 20 000 for one or several outstanding publications / accepted manuscripts on scientific research in the field of prevention, diagnosis and/or treatment of cardiovascular diseases [...] Full article
3 pages, 276 KB  
Case Report
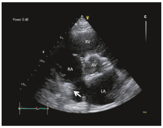
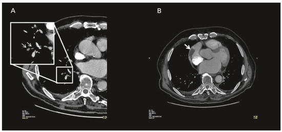
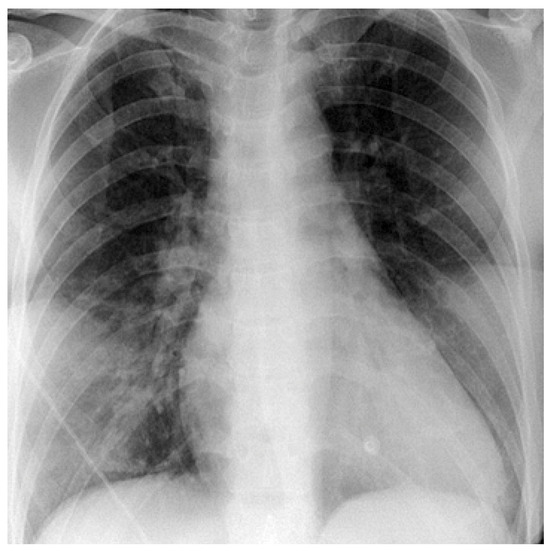
Double Trouble—A Case of Atrial Fibrillation and Pulmonary Embolism
by Valerian Valitona, Nicolas Brugger, Denis Graf, Stéphane Cook and Diego Arroyo
Cardiovasc. Med. 2017, 20(12), 310; https://doi.org/10.4414/cvm.2017.00531 - 20 Dec 2017
Cited by 1 | Viewed by 245
Abstract
Atrial fibrillation is a cause of left atrial thrombus leading to cardioembolic stroke, which can be effectively prevented with oral anticoagulation. Right atrial appendage thrombus is a rare complication of atrial fibrillation that can also lead to cardioembolic pulmonary embolism. We present the [...] Read more.
Atrial fibrillation is a cause of left atrial thrombus leading to cardioembolic stroke, which can be effectively prevented with oral anticoagulation. Right atrial appendage thrombus is a rare complication of atrial fibrillation that can also lead to cardioembolic pulmonary embolism. We present the case of a 71-year-old male with atrial fibrillation, thrombus in the right atrial appendage and pulmonary embolism. Full article
Show Figures

Figure 1

5 pages, 167 KB  
Article
Publication Rate and Impact Factor of Abstracts Presented at SSC Congresses 2011 to 2014
by Benedikt Altermatt and Beat Schaer
Cardiovasc. Med. 2017, 20(12), 305; https://doi.org/10.4414/cvm.2017.00535 - 20 Dec 2017
Viewed by 126
Abstract
BACKGROUND: The annual congress of the Swiss Societies of Cardiology and Cardiac Surgery is the most important national platform for Swiss researchers in these specialities. Every year there are a high number of oral presentations and posters. However, more important is their publication [...] Read more.
BACKGROUND: The annual congress of the Swiss Societies of Cardiology and Cardiac Surgery is the most important national platform for Swiss researchers in these specialities. Every year there are a high number of oral presentations and posters. However, more important is their publication in international journals. We determined publication rates, impact factors (IFs) and their temporal trends in seven cardiological domains. METHODS: The abstract booklets of the congresses 2011–2014 were downloaded and all talks and posters presented during the meeting extracted. In PubMed we assessed whether each of these papers was published, the journal and its IF in the respective publication year. We excluded case reports, papers published >6 months before the congress and abstracts presenting national data from multicentre studies (unless the first/last author of the paper was from Switzerland). The percentage of published papers and their mean/median IF were calculated overall and per year separately for each domain. We also compared major Swiss hospitals regarding their individual publication rates. RESULTS: A total of 715 abstracts were included, of which 52% were published as of February 2017. The lowest average publication rate in a domain was 36% and the highest 69%, with mean IFs between 2.5 and 7.8. The lowest average publication rate in one of the major hospitals was 16% and the highest 70%. CONCLUSIONS: Abstracts presented during the congresses had a high chance of being published, usually in papers with a good IF. This reflects the good quality of research in cardiology in Switzerland. Full article
Show Figures

Figure 1

5 pages, 185 KB  
Article
Pericarditis in a Swiss Regional Hospital
by Eliane Schwegler, Marta Bachmann, Nazmi Krasniqi and Urs Eriksson
Cardiovasc. Med. 2017, 20(12), 300; https://doi.org/10.4414/cvm.2017.00530 - 20 Dec 2017
Cited by 1 | Viewed by 130
Abstract
BACKGROUND: Pericarditis is a probably underestimated differential diagnosis of acute chest pain. Pericarditis outcome is favourable, but no real-world data for Swiss hospitals are available as yet. Therefore, a retrospective single- centre analysis on a prospective cohort of patients with pericarditis was conducted [...] Read more.
BACKGROUND: Pericarditis is a probably underestimated differential diagnosis of acute chest pain. Pericarditis outcome is favourable, but no real-world data for Swiss hospitals are available as yet. Therefore, a retrospective single- centre analysis on a prospective cohort of patients with pericarditis was conducted in a regional hospital with specialised tertiary care in Switzerland. METHODS: Between January 2011 and December 2016, a total of 44 patients with pericarditis were prospectively registered at the emergency department of the GZO Zurich Regional Health Centre and followed up for 7–79 months. Based on this database, a retrospective analysis was performed. Analysis included presumed aetiology, symptoms at enrolment, ECG changes, echocardiographic and laboratory findings, comorbidities, therapy, recurrence rate and complications. RESULTS: Of the 44 registered patients, 33 had a first episode of pericarditis and 11 were classified as recurrences. Male to female ratio was 5.7:1 for patients below 45 years, and 1.2:1 above the age of 45. In 35 cases pericarditis was classified as idiopathic and in 9 cases it was due to postcardiotomy injury syndrome (Dressler syndrome). Nearly two thirds of patients reported either influenza-like symptoms or infections 2–4 weeks prior to the hospitalisation. Thirty-nine patients (89%) presented with chest pain; 36 (82%) patients showed ECG changes and 31 (71%) had a pericardial effusion. Pleural effusions were detected in 30% of the cases (13 patients). A pericardial friction rub was reported in 6 patients (14%) only. Ninety-one percent of patients had elevated C-reactive protein levels at enrolment. Troponin elevations were reported for 23 patients (52%). Five patients (11%) were treated with aspirin, and 31 patients (70%) received another NSAID. Colchicine was administered to 33 patients (75%) corticosteroids to 8 patients (18%) and mycophenolate to 2 patients (5%). On follow-up, 30 patients with a first diagnosis of pericarditis and 8 patients with a recurrence remained free from further recurrences. Three recurrences affected patients with a first episode of pericarditis and three further recurrences were observed in patients who were enrolled after pericarditis recurrence. CONCLUSIONS: In patients with pericarditis, males predominate, but the male to female ratio shifts towards a higher proportion of women in patients above 45 years of age. Chest pain and ECG changes are the most common clinical findings in the emergency department and outcome is generally favourable with low recurrence rates. Full article
Show Figures

Figure 1

7 pages, 1472 KB  
Article
Triathlon–Triple Challenge to Athletes and Doctors
by Rainer König, Hans Rickli, Pierre-Alexandre Krayenbühl, Ahmed Ouda, Christian M. Schmied and Micha T. Maeder
Cardiovasc. Med. 2017, 20(12), 293; https://doi.org/10.4414/cvm.2017.00529 - 20 Dec 2017
Viewed by 172
Abstract
Acute myocardial infarction (AMI) in endurance athletes such as triathletes is rare but not impossible. However, the assessment of endurance athlete with possible AMI is very challenging because application of the classical diagnostic tools, i.e., history, electrocardiogram and cardiac troponin testing is different [...] Read more.
Acute myocardial infarction (AMI) in endurance athletes such as triathletes is rare but not impossible. However, the assessment of endurance athlete with possible AMI is very challenging because application of the classical diagnostic tools, i.e., history, electrocardiogram and cardiac troponin testing is different from their use in “normal” AMI patients and requires specific knowledge regarding the cardiovascular phenotype of the endurance athlete in general and during a competitive event. To illustrate this, we report on three different subjects referred with similar presentations but very different underlying problems on a single day during one single triathlon event. Full article
Show Figures

Figure 1

8 pages, 499 KB  
Review
The Evolution of Surgical Valves
by Marco Russoa, Maurizio Taramasso, Andrea Guidotti, Alberto Pozzoli, Fabian Nietilspach, Ludwig K. von Segesser and Francesco Maisano
Cardiovasc. Med. 2017, 20(12), 285; https://doi.org/10.4414/cvm.2017.00532 - 20 Dec 2017
Cited by 31 | Viewed by 845
Abstract
The treatment of heart valve diseases started in 1914 with closed heart procedures. In 1952, the first valvular heart prosthesis was implatanted in the heterotopic position. In almost one century, cardiovascular surgery has progressively evolved in several steps that represented correct answers to [...] Read more.
The treatment of heart valve diseases started in 1914 with closed heart procedures. In 1952, the first valvular heart prosthesis was implatanted in the heterotopic position. In almost one century, cardiovascular surgery has progressively evolved in several steps that represented correct answers to upcoming clinical challenges. In this review we retrace the history of heart valve prostheses, from the first steps to the present. Several key concepts as “operative mortality”, “durability”, “thromboembolic events”, “less-invasiveness” guide our long journey and help us to explain the mechanisms of this evolution. Full article
Show Figures

Figure 1

Previous Issue
Next Issue
Back to TopTop