Next Issue
Volume 20, 12
Previous Issue
Volume 20, 10
 
 
cardiovascmed-logo

Journal Browser

Journal Browser
Cardiovascular Medicine is published by MDPI from Volume 28 Issue 1 (2025). Previous articles were published by another publisher in Open Access under a CC-BY (or CC-BY-NC-ND) licence, and they are hosted by MDPI on mdpi.com as a courtesy and upon agreement with Editores Medicorum Helveticorum (EMH).

Cardiovasc. Med., Volume 20, Issue 11 (11 2017) – 7 articles

  • Issues are regarded as officially published after their release is announced to the table of contents alert mailing list.
  • You may sign up for e-mail alerts to receive table of contents of newly released issues.
  • PDF is the official format for papers published in both, html and pdf forms. To view the papers in pdf format, click on the "PDF Full-text" link, and use the free Adobe Reader to open them.
Order results
Result details
Select all
Export citation of selected articles as:
4 pages, 334 KB  
Communication
Fonds de Bourse SSC 2016: Rapport de fin de Stage
by Olivier Alexis Heritiana
Cardiovasc. Med. 2017, 20(11), 279; https://doi.org/10.4414/cvm.2017.00524 (registering DOI) - 15 Nov 2017
Viewed by 154
Abstract
Objectifs: C’est une formation post-graduée en Echocardiographie durant 6 mois afin de faire vivre et de développer le service de Cardiologie du Centre Médico-chirurgical Saint Damien Ambanja (Madagascar). C’est un service de cardiologie installé et équipé par Dr Andres Jaussi dès 2012 [...] [...] Read more.
Objectifs: C’est une formation post-graduée en Echocardiographie durant 6 mois afin de faire vivre et de développer le service de Cardiologie du Centre Médico-chirurgical Saint Damien Ambanja (Madagascar). C’est un service de cardiologie installé et équipé par Dr Andres Jaussi dès 2012 [...] Full article
Show Figures

Figure 1

2 pages, 284 KB  
Case Report
Termination of Ventricular Tachycardia During Exercise Testing
by Judith Schwaiger, Jan Steffel and Alexander Breitenstein
Cardiovasc. Med. 2017, 20(11), 277; https://doi.org/10.4414/cvm.2017.00525 - 15 Nov 2017
Viewed by 99
Abstract
We report the history of a male patient with advanced heart failure and an implantable cardioverter-defibrillator (ICD) for primary prevention of sudden cardiac death, who presented with a slow ventricular tachycardia (VT). The VT was not detected initially, but terminated during an exercise [...] Read more.
We report the history of a male patient with advanced heart failure and an implantable cardioverter-defibrillator (ICD) for primary prevention of sudden cardiac death, who presented with a slow ventricular tachycardia (VT). The VT was not detected initially, but terminated during an exercise stress test owing to the accelerating sinus rhythm. Full article
Show Figures

Figure 1

3 pages, 409 KB  
Case Report
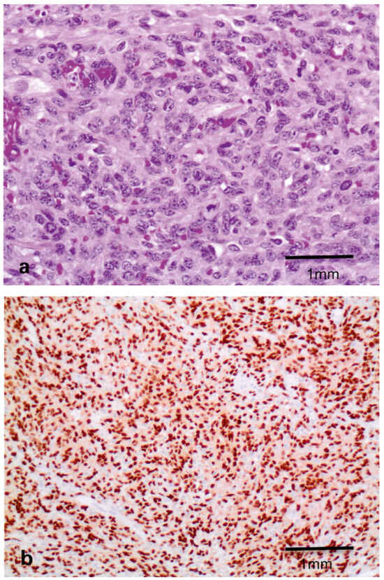
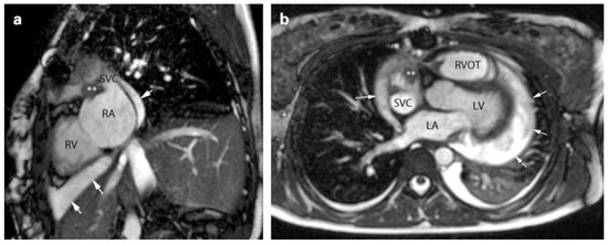
Cardiac Sarcoma in a Teenager
by Rahel U. Soyka, Emanuela R. Valsangiacomo Büchel, Eva Bergsträsser, Peter K. Bode, Martin Schweiger and Anna Cavigelli-Brunner
Cardiovasc. Med. 2017, 20(11), 274; https://doi.org/10.4414/cvm.2017.00526 - 15 Nov 2017
Viewed by 78
Abstract
Primary cardiac sarcomas are very rare and the prognosis is poor with a reported survival of usually less than one year after diagnosis. There is few data available for therapy recommendations and outcome. We present the case of a 16 year old patient [...] Read more.
Primary cardiac sarcomas are very rare and the prognosis is poor with a reported survival of usually less than one year after diagnosis. There is few data available for therapy recommendations and outcome. We present the case of a 16 year old patient with a solitary angiosarcoma situated in the right atrium. A complete resection was followed by chemotherapy. Follow up more than 5 years after the initial diagnosis was uneventful with no signs of tumor recurrence. Epidemiology, diagnosis, treatment, follow up and prognosis of cardiac sarcoma are discussed. Full article
Show Figures

Figure 1

5 pages, 154 KB  
Article
Swiss Cost Analysis of Procedures for the Treatment of Varicose Veins
by Hak Hong Keo, Nicolas Diehm, Markus Enzler and Daniel Holtz
Cardiovasc. Med. 2017, 20(11), 269; https://doi.org/10.4414/cvm.2017.00522 - 15 Nov 2017
Viewed by 186
Abstract
AIMS: Truncal varicose veins (TVV) are highly prevalent in the Swiss population and have traditionally been treated with surgical high ligation and stripping (HL/S). In recent years, endovenous thermal ablation (ETA) has increasingly been performed. However, the cost efficacy of these methods within [...] Read more.
AIMS: Truncal varicose veins (TVV) are highly prevalent in the Swiss population and have traditionally been treated with surgical high ligation and stripping (HL/S). In recent years, endovenous thermal ablation (ETA) has increasingly been performed. However, the cost efficacy of these methods within the framework of the Swiss healthcare system is currently unknown. The aim of the present study was to provide a cost-effectiveness comparison between both methods. We hypothesised that ETA would be more cost-efficient when compared with surgical stripping. METHODS: A simplified decision-analytic model was used to add up baseline costs of inpatient HL/S and outpatient ETA treatment, follow-up costs over 5 years and costs caused by absence from work. Costs were calculated in Swiss francs (CHF) and per 100 patients treated. Costs were estimated on the basis of current Tarmed and SwissDRG reimbursement and yearly salary figures from three different perspectives: (i) total treatment costs for the third-party healthcare payer, (ii) revenue for the physician / facility provider, (iii) indirect costs caused by absence from work. RESULTS: Outpatient ETA was associated with substantially lower total treatment costs when compared with inpatient HL/S. This was true for patients with basic insurance (CHF 2600 vs CHF 7673 per patient) and even more for semi-privately and privately insured patients (CHF 2600 vs CHF 15 000 per patient). ETA was shown to be substantially less rewarding for the providers when compared with HL/S (5-year total revenue per 100 patients treated: CHF 411 200 versus CHF 1 033 510). Costs caused by sick leave were three times higher after inpatient HL/S than after ETA. The total cost difference of costs between TVV therapies was CHF 732 710 per 100 patients in favour of ETA. CONCLUSION: For patients with TVV of the lower extremities, treatment with ETA causes substantially lower total expenditure than inpatient HL/S. The current reimbursement policy in Switzerland favours inpatient HL/S and thus forfeits substantial saving opportunities in the country’s health system. Full article
7 pages, 582 KB  
Article
Percutaneous Mitral Valve Repair with the MitraClip™ System
by Oliver Gaemperli, Adrian Attinger-Toller, Antonio H. Frangieh, Ji-Na Yoon, Christiane Gruner, Jan Vontobel, Dominique Bettex, Frank Ruschitzka, Maurizio Taramasso, Roberto Corti, Thomas F. Lüscher and Francesco Maisano
Cardiovasc. Med. 2017, 20(11), 262; https://doi.org/10.4414/cvm.2017.00527 - 15 Nov 2017
Viewed by 95
Abstract
OBJECTIVES: We performed extended follow-up for longer than 1 year in consecutive patients undergoing percutaneous mitral valve repair (PMVR) with the MitraClip™ system. BACKGROUND: PMVR with the MitraClip™ system has become a valid alternative to surgery for patients with severe mitral regurgitation, anatomical [...] Read more.
OBJECTIVES: We performed extended follow-up for longer than 1 year in consecutive patients undergoing percutaneous mitral valve repair (PMVR) with the MitraClip™ system. BACKGROUND: PMVR with the MitraClip™ system has become a valid alternative to surgery for patients with severe mitral regurgitation, anatomical suitability and high surgical risk, but data on long-term outcomes more than 1 year after the procedure are scarce. METHODS: We included 148 consecutive patients with symptomatic moderate– severe (3+) or severe (4+) mitral regurgitation, who underwent PMVR at the University Heart Centre Zurich between March 2009 and February 2014. Clinical endpoints on follow-up included all-cause death, mitral valve surgery/ reoperation, hospitalisation for congestive heart failure, and heart transplantation. RESULTS: Mitral regurgitation aetiology was functional in 57%, degenerative in 37%, and mixed in 6%. EuroSCORE I was 26 ± 14 and STS risk score for mortality was 8 ± 11%. Median follow-up was 1.9 years (interquartile range 0.8–2.7). Acute procedural success (defined as successful clip implantation with residual mitral regurgitation grade ≤2+) was achieved in 94% of patients. At 6 months’ follow-up, 67% of patients had a persistent good result with mitral regurgitation grade 1–2+. Event rates of the combined endpoint were 31% at 1 year and 53% at 2 years, and mortality was 18% at 1 year and 32% at 2 years. Baseline NYHA class and mitral regurgitation severity at discharge were independent predictors of the combined endpoint. CONCLUSIONS: PMVR with the MitraClip™ system allows durable reduction of mitral regurgitation severity and improvement in patients’ symptoms and functional status. Event rates, however, remain remarkably high despite successful treatment, reflecting the advanced age and high comorbidity status of our population. Full article
Show Figures

Figure 1

4 pages, 277 KB  
Editorial
Alter in Einer Alternden Gesellschaft
by Thomas F. Lüscher
Cardiovasc. Med. 2017, 20(11), 258; https://doi.org/10.4414/cvm.2017.00523 - 15 Nov 2017
Viewed by 84
Abstract
Die Anfänge: Alter war einst kein Thema: Die Jäger und Sammler konnten sich glücklich schätzen, wenn sie das 30. Lebensjahr erreichten [...] Full article
Show Figures

Figure 1

1 pages, 127 KB  
Communication
Hommage au Professeur René Lerch
by François Mach and Saed Burgan
Cardiovasc. Med. 2017, 20(11), 257; https://doi.org/10.4414/cvm.2017.00517 (registering DOI) - 15 Nov 2017
Viewed by 66
Abstract
C’est avec grande tristesse et une profonde émotion, que nous avons appris le décès du Professeur René Lerch, survenu à Genève le vendredi 25 août 2017 [...] Full article
Previous Issue
Next Issue
Back to TopTop