Triathlon–Triple Challenge to Athletes and Doctors
Abstract
Introduction
Case series
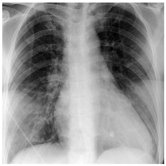
Case 1
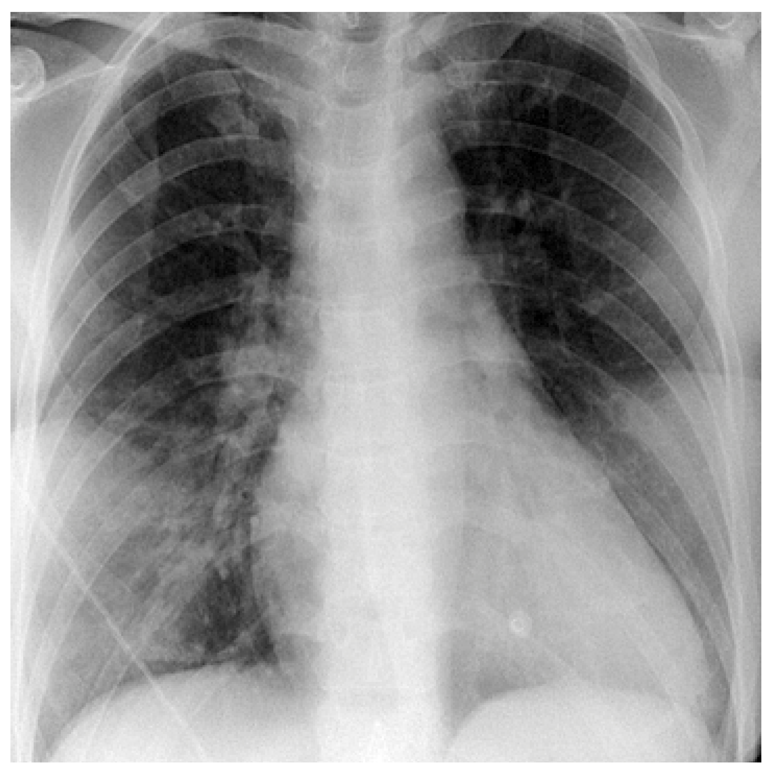
Case 2
Case 3
Discussion
Conflicts of Interest
References
- Thompson, P.D.; Franklin, B.A.; Balady, G.J.; Blair, S.N.; Corrado, D.; Estes, N.A.m 3rd; et al. Exercise and acute cardiovascular events placing the risks into perspective: a scientific statement from the American Heart Association Council on Nutrition, Physical Activity, and Metabolism and the Council on Clinical Cardiology. Circulation 2007, 115, 2358–2368. [Google Scholar]
- Kim, J.H.; Malhotra, R.; Chiampas, G.; d’Hemecourt, P.; Troyanos, C.; Cianca, J.; et al. Cardiac arrest during long-distance running races. N. Engl. J. Med. 2012, 366, 130–140. [Google Scholar] [CrossRef]
- Chugh, S.S.; Weiss, J.B. Sudden cardiac death in the older athlete. J. Am. Coll. Cardiol. 2015, 65, 493–502. [Google Scholar] [CrossRef]
- Albano, A.J.; Thompson, P.D.; Kapur, N.K. Acute coronary thrombosis in Boston marathon runners. N. Engl. J. Med. 2012, 366, 184–185. [Google Scholar] [CrossRef]
- Arbab-Zadeh, A.; Perhonen, M.; Howden, E.; Peshock, R.M.; Zhang, R.; Adams-Huet, B.; et al. Cardiac remodeling in response to 1 year of intensive endurance training. Circulation 2014, 130, 2152–2161. [Google Scholar] [CrossRef]
- Sharma, S.; Drezner, J.A.; Baggish, A.; Papadakis, M.; Wilson, M.G.; Prutkin, J.M.; et al. International recommendations for electrocardiographic interpretation in athletes. Eur. Heart J. [CrossRef]
- Shave, R.; Baggish, A.; George, K.; Wood, M.; Scharhag, J.; Whyte, G.; et al. Exercise-induced cardiac troponin elevation: evidence, mechanisms, and implications. J. Am. Coll. Cardiol. 2010, 56, 169–176. [Google Scholar] [CrossRef] [PubMed]
- Available online: http://www.lauRalender.ch/de/news/9637-Positive-Bilanz-trotz-Rekordhitze-Finisher-Quote-bei-95-Prozent.
- Thygesen, K.; Alpert, J.S.; Jaffe, A.S.; Simoons, M.L.; Chaitman, B.R.; White, H.D.; et al. Third universal definition of myocardial infarction. Eur. Heart J. 2012, 33, 2551–2567. [Google Scholar] [CrossRef] [PubMed]
- Roffi, M.; Patrono, C.; Collet, J.P.; Mueller, C.; Valgimigli, M.; Andreotti, F.; et al. 2015 ESC Guidelines for the management of acute coronary syndromes in patients presenting without persistent ST-segment elevation: Task Force for the Management of Acute Coronary Syndromes in Patients Presenting without Persistent ST-Segment Elevation of the European Society of Cardiology (ESC). Eur. Heart J. 2016, 37, 267–315. [Google Scholar]
- Mohlenkamp, S.; Lehmann, N.; Breuckmann, F.; Brocker-Preuss, M.; Nassenstein, K.; Halle, M.; et al. Running: the risk of coronary events: Prevalence and prognostic relevance of coronary atherosclerosis in marathon runners. Eur. Heart J. 2008, 29, 1903–1910. [Google Scholar] [CrossRef]
- Merghani, A.; Maestrini, V.; Rosmini, S.; Cox, A.T.; Dhutia, H.; Bastiaenan, R.; et al. Prevalence of Subclinical Coronary Artery Disease in Masters Endurance Athletes With a Low Atherosclerotic Risk Profile. Circulation 2017, 136, 126–137. [Google Scholar] [CrossRef] [PubMed]
- Marijon, E.; Taffiet, M.; Celermajer, D.S.; Dumas, F.; Perier, M.C.; Mustafic, H.; et al. Sports-related sudden death in the general population. Circulation 2011, 124, 672–681. [Google Scholar] [CrossRef]
- Marijon, E.; Uy-Evanado, A.; Reinier, K.; Teodorescu, C.; Narayanan, K.; Jouven, X.; et al. Sudden cardiac arrest during sports activity in middle age. Circulation 2015, 131, 1384–1391. [Google Scholar] [CrossRef]
- Wang, K.; Asinger, R.W.; Marriott, H.J. ST-segment elevation in conditions other than acute myocardial infarction. N. Engl. J. Med. 2003, 349, 2128–2135. [Google Scholar] [CrossRef]
- Papadakis, M.; Carre, F.; Kervio, G.; Rawlins, J.; Panoulas, V.F.; Chandra, N.; et al. The prevalence, distribution, and clinical outcomes of electrocardiographic repolarization patterns in male athletes of African/Afro-Caribbean origin. Eur. Heart J. 2011, 32, 2304–2313. [Google Scholar] [CrossRef]
- Maeder, M.; Ammann, P.; Angehrn, W.; Rickli, H. Idiopathic spontaneous coronary artery dissection: incidence, diagnosis and treatment. Int. J. Cardiol. 2005, 101, 363–369. [Google Scholar] [CrossRef]
- Boeddinghaus, J.; Nestelberger, T.; Twerenbold, R.; Wildi, K.; Badertscher, P.; Cupa, J.; et al. Direct Comparison of 4 Very Early Rule-Out Strategies for Acute Myocardial Infarction Using High-Sensitivity Cardiac Troponin I. Circulation 2017, 135, 1597–1611. [Google Scholar] [CrossRef]
- Scharhag, J.; George, K.; Shave, R.; Urhausen, A.; Kindermann, W. Exercise-associated increases in cardiac biomarkers. Med. Sci. Sports Exerc. 2008, 40, 1408–1415. [Google Scholar] [CrossRef]
- Scherr, J.; Braun, S.; Schuster, T.; Hartmann, C.; Moehlenkamp, S.; Wolfarth, B.; et al. 72-h kinetics of high-sensitive troponin T and inflammatory markers after marathon. Med. Sci. Sports Exerc. 2011, 43, 1819–1827. [Google Scholar] [CrossRef] [PubMed]
- Maeder, M.; Fehr, T.; Rickli, H.; Ammann, P. Sepsis-associated myocardial dysfunction: diagnostic and prognostic impact of cardiac troponins and natriuretic peptides. Chest 2006, 129, 1349–1366. [Google Scholar] [CrossRef] [PubMed]
- Moon, R.E.; Martina, S.D.; Peacher, D.F.; Kraus, W.E. Deaths in triathletes: immersion pulmonary oedema as a possible cause. BMJ Open Sport. Exerc. Med. 2016, 2, e000146. [Google Scholar] [CrossRef] [PubMed]
- Pelliccia, A.; Fagard, R.; Bjornstad, H.H.; Anastassakis, A.; Arbustini, E.; Assanelli, D.; et al. Recommendations for competitive sports participation in athletes with cardiovascular disease: a consensus document from the Study Group of Sports Cardiology of the Working Group of Cardiac Rehabilitation and Exercise Physiology and the Working Group of Myocardial and Pericardial Diseases of the European Society of Cardiology. Eur. Heart J. 2005, 26, 1422–1424. [Google Scholar] [PubMed]






© 2017 by the author. Attribution - Non-Commercial - NoDerivatives 4.0.
Share and Cite
König, R.; Rickli, H.; Krayenbühl, P.-A.; Ouda, A.; Schmied, C.M.; Maeder, M.T. Triathlon–Triple Challenge to Athletes and Doctors. Cardiovasc. Med. 2017, 20, 293. https://doi.org/10.4414/cvm.2017.00529
König R, Rickli H, Krayenbühl P-A, Ouda A, Schmied CM, Maeder MT. Triathlon–Triple Challenge to Athletes and Doctors. Cardiovascular Medicine. 2017; 20(12):293. https://doi.org/10.4414/cvm.2017.00529
Chicago/Turabian StyleKönig, Rainer, Hans Rickli, Pierre-Alexandre Krayenbühl, Ahmed Ouda, Christian M. Schmied, and Micha T. Maeder. 2017. "Triathlon–Triple Challenge to Athletes and Doctors" Cardiovascular Medicine 20, no. 12: 293. https://doi.org/10.4414/cvm.2017.00529
APA StyleKönig, R., Rickli, H., Krayenbühl, P.-A., Ouda, A., Schmied, C. M., & Maeder, M. T. (2017). Triathlon–Triple Challenge to Athletes and Doctors. Cardiovascular Medicine, 20(12), 293. https://doi.org/10.4414/cvm.2017.00529
