Next Issue
Volume 14, 02
Previous Issue
Volume 13, 12
 
 
cardiovascmed-logo

Journal Browser

Journal Browser
Cardiovascular Medicine is published by MDPI from Volume 28 Issue 1 (2025). Previous articles were published by another publisher in Open Access under a CC-BY (or CC-BY-NC-ND) licence, and they are hosted by MDPI on mdpi.com as a courtesy and upon agreement with Editores Medicorum Helveticorum (EMH).

Cardiovasc. Med., Volume 14, Issue 1 (01 2011) – 12 articles

  • Issues are regarded as officially published after their release is announced to the table of contents alert mailing list.
  • You may sign up for e-mail alerts to receive table of contents of newly released issues.
  • PDF is the official format for papers published in both, html and pdf forms. To view the papers in pdf format, click on the "PDF Full-text" link, and use the free Adobe Reader to open them.
Order results
Result details
Select all
Export citation of selected articles as:
9 pages, 2425 KB  
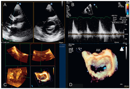
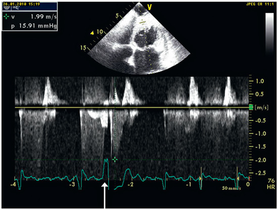
Review
Dreidimensionale Echokardiographie zur Beurteilung der Mitralklappe
by Patric Biaggi, Christian Felix, Matthias Greutmann, David Hürlimann, Dominique Bettex and Felix C. Tanner
Cardiovasc. Med. 2011, 14(1), 4; https://doi.org/10.4414/cvm.2011.01561 - 26 Jan 2011
Viewed by 114
Abstract
Using two-dimensional echocardiography, the complex anatomy of the mitral valve needs mental reconstruction into its three-dimensional shape. The power of both transthoracic and transesophageal three-dimensional echocardiography (3DE) lies in its possibility of showing the complex mitral valve anatomy in one single image, as [...] Read more.
Using two-dimensional echocardiography, the complex anatomy of the mitral valve needs mental reconstruction into its three-dimensional shape. The power of both transthoracic and transesophageal three-dimensional echocardiography (3DE) lies in its possibility of showing the complex mitral valve anatomy in one single image, as opposed to the mental reconstruction based on multiple two-dimensional images and schematic assumptions. Several 3DE modalities are used in daily life, including real time (“live”) modes as wells as postprocessed images. 3DE is of special interest in the evaluation of mitral stenosis, complex mitral valve prolapse and mitral valve prostheses. It has an established role in the perioperative mitral valve assessment during mitral valve surgery as well as during percutaneous mitral valve procedures. Limitations of 3DE are relatively low frame rates, an important learning curve as well as timeconsuming processing. Full article
Show Figures

Figure 1

1 pages, 69 KB  
Letter
Open Letter to Manfred Ritter, President of the Working Group of Echocardiography, Swiss Society of Cardiology
by Daniel Schmidlin
Cardiovasc. Med. 2011, 14(1), 39; https://doi.org/10.4414/cvm.2011.01553 - 26 Jan 2011
Viewed by 121
Abstract
I have read your annual report with great interest [...] Full article
1 pages, 69 KB  
Letter
Answer to the Open Letter of PD Dr. D. Schmidlin
by Manfred Ritter
Cardiovasc. Med. 2011, 14(1), 38; https://doi.org/10.4414/cvm.2011.01554 - 26 Jan 2011
Viewed by 104
Abstract
Thank you for your interest in our Working Group’s annual report for 2009 [...] Full article
4 pages, 704 KB  
Communication
7. Cardiovascular Roundtable
by Ruth Amstein, Jan Steffel and Thomas F. Lüscher
Cardiovasc. Med. 2011, 14(1), 34; https://doi.org/10.4414/cvm.2011.01563 - 26 Jan 2011
Viewed by 105
Abstract
Der bereits zur Tradition gewordene «Cardiovascular Roundtable» (CARTA) fand am 29 [...] Full article
Show Figures

Figure 1

2 pages, 525 KB  
Communication
16th Cardiovascular Research and Clinical Implications Meeting
by Brenda R. Kwak, Pierre Fontana, Marijke Brink, Thomas Dieterle, Beat Kaufmann and for the Working Group of “Cardiovascular Biology”
Cardiovasc. Med. 2011, 14(1), 32; https://doi.org/10.4414/cvm.2011.01555 - 26 Jan 2011
Viewed by 109
Abstract
The Annual Swiss Cardiovascular Research and Clinical Implications Meeting, organised by the Working Group of Cardiovascular Biology of the Swiss Society of Cardiology, was held on the 7th–8th October, 2010 in Muntelier [...] Full article
1 pages, 249 KB  
Editorial
Happy New Year “Cardiovascular Medicine”!
by Thomas F. Lüscher, Georg Noll, Jan Steffel and Renè Lerch
Cardiovasc. Med. 2011, 14(1), 3; https://doi.org/10.4414/cvm.2011.01552 - 26 Jan 2011
Viewed by 105
Abstract
“Cardiovascular Medicine” is read not only by its core members, that is adult and paediatric cardiologists, angiologists and cardiac surgeons, but also by internists and general practitioners [...] Full article
Show Figures

Figure 1

3 pages, 730 KB  
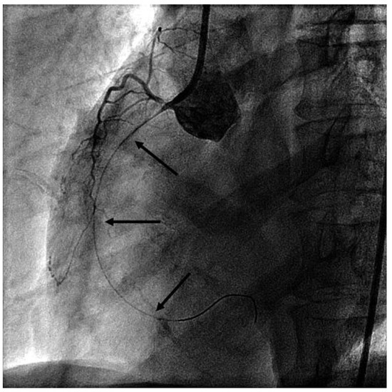
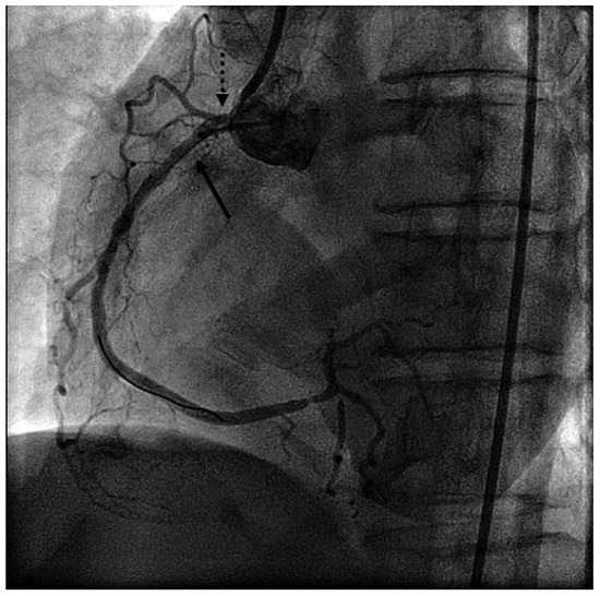
Interesting Images
Giant Apical Aneurysm without Coronary Artery Disease
by Stéphane Chevallier and Jean-Christophe Stauffer
Cardiovasc. Med. 2011, 14(1), 29; https://doi.org/10.4414/cvm.2011.01558 - 26 Jan 2011
Viewed by 126
Abstract
A 66-year-old patient with some years’ history of apical hypertrophic cardiomyopathy treated by beta-blockers attended for follow-up echocardiography [...] Full article
Show Figures

Figure 1

2 pages, 384 KB  
Interesting Images
Malignant Arrhythmia Associated with Chest Pain and a Diagnosis of Myocarditis
by Stéphane Noble, David Carballo and Haran Burri
Cardiovasc. Med. 2011, 14(1), 27; https://doi.org/10.4414/cvm.2011.01556 - 26 Jan 2011
Cited by 2 | Viewed by 148
Abstract
A 51-year-old lady had been admitted 9 months previously with typical chest pain occurring at rest associated with transient palpitations and dizziness [...] Full article
Show Figures

Figure 1

3 pages, 249 KB  
Case Report
Early Morning Recurrent Chest Pain
by Silke Maile, Igal Moarof and Marc Michot
Cardiovasc. Med. 2011, 14(1), 24; https://doi.org/10.4414/cvm.2011.01557 - 26 Jan 2011
Cited by 1 | Viewed by 166
Abstract
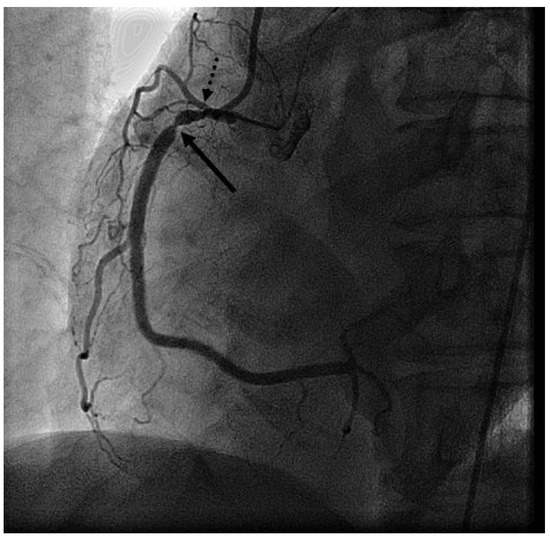
The differential diagnosis of recurrent chest pain is manifold. Although it is unlikely in younger people, a cardiac origin should always be considered. We report a case of recurrent chest pain which was initially considered to have a gastrointestinal or psychic origin. A [...] Read more.
The differential diagnosis of recurrent chest pain is manifold. Although it is unlikely in younger people, a cardiac origin should always be considered. We report a case of recurrent chest pain which was initially considered to have a gastrointestinal or psychic origin. A circadian pattern of the pain was conspicuous. Finally, coronary angiography performed in the setting of an acute coronary syndrome followed by life-threatening rhythm disturbances established the diagnosis. Full article
Show Figures

Figure 1

4 pages, 100 KB  
Communication
Directives 2011 Concernant les Contrôles de Patients Porteurs de Stimulateurs Cardiaques et de Défibrillateurs Internes
by Haran Burri, Jürg Fuhrer, Peter Zwicky, Christian Sticherling, Hans Gloor, Istvan Babotai, Urs Bauersfeld and Jürg Schläpfer
Cardiovasc. Med. 2011, 14(1), 20; https://doi.org/10.4414/cvm.2011.01560 - 26 Jan 2011
Cited by 1 | Viewed by 150
Abstract
The number of pacemaker and implantable cardioverter defibrillator patients followed up in Switzerland has been steadily increasing over the last years. With the aim of ensuring the quality of follow-up of these patients, the Swiss Society of Cardiology has published relevant guidelines in [...] Read more.
The number of pacemaker and implantable cardioverter defibrillator patients followed up in Switzerland has been steadily increasing over the last years. With the aim of ensuring the quality of follow-up of these patients, the Swiss Society of Cardiology has published relevant guidelines in 2000 and 2005. The European Heart Rhythm Association introduced accreditation for cardiac pacing in 2006, and defined the core curriculum for recognition as a heart rhythm specialist in 2009. Following these developments, and in order to maintain coherence with European recommendations, it was deemed necessary to update the Swiss guidelines. Full article
4 pages, 93 KB  
Communication
Richtlinien 2011 zur Nachkontrolle von Patienten mit Implantierten Herzschrittmachern und Defibrillatoren
by Haran Burri, Jürg Fuhrer, Peter Zwicky, Christian Sticherling, Hans Gloor, Istvan Babotai, Urs Bauersfeld and Jürg Schläpfer
Cardiovasc. Med. 2011, 14(1), 16; https://doi.org/10.4414/cvm.2011.01562 - 26 Jan 2011
Cited by 1 | Viewed by 105
Abstract
The number of pacemaker and implantable cardioverter defibrillator patients followed up in Switzerland has been steadily increasing over the last years. With the aim of ensuring the quality of follow-up of these patients, the Swiss Society of Cardiology has published relevant guidelines in [...] Read more.
The number of pacemaker and implantable cardioverter defibrillator patients followed up in Switzerland has been steadily increasing over the last years. With the aim of ensuring the quality of follow-up of these patients, the Swiss Society of Cardiology has published relevant guidelines in 2000 and 2005. The European Heart Rhythm Association introduced accreditation for cardiac pacing in 2006, and defined the core curriculum for recognition as a heart rhythm specialist in 2009. Following these developments, and in order to maintain coherence with European recommendations, it was deemed necessary to update the Swiss guidelines. Full article
3 pages, 96 KB  
Communication
Richtlinien für die Fernüberwachung (Remote Monitoring) Implantierter Geräte zur Diagnostik und Therapie von Rhythmusstörungen und Herzinsuffizienz
by Jürg Fuhrer, Istvan Babotai, Urs Bauersfeld, Haran Burri, Hans Gloor, Jürg Schläpfer, Christian Sticherling and Peter Zwicky
Cardiovasc. Med. 2011, 14(1), 13; https://doi.org/10.4414/cvm.2011.01559 - 26 Jan 2011
Cited by 1 | Viewed by 114
Abstract
Implanted devices for diagnosis and treatment of arrhythmias and heart failure comprise event recorders, pacemakers, automatic defibrillators (ICD) and biventricular stimulating devices for the treatment of severe heart failure (cardiac resynchronisation pacemakers [CRT-P] and resynchronisation ICDs [CRT-D]). Telecommunications open up entirely new potential [...] Read more.
Implanted devices for diagnosis and treatment of arrhythmias and heart failure comprise event recorders, pacemakers, automatic defibrillators (ICD) and biventricular stimulating devices for the treatment of severe heart failure (cardiac resynchronisation pacemakers [CRT-P] and resynchronisation ICDs [CRT-D]). Telecommunications open up entirely new potential for remote monitoring of such devices. The article aims to assist doctors using this monitoring equipment. Full article
Previous Issue
Next Issue
Back to TopTop