Next Issue
Volume 11, 10
Previous Issue
Volume 11, 08
 
 
cardiovascmed-logo

Journal Browser

Journal Browser
Cardiovascular Medicine is published by MDPI from Volume 28 Issue 1 (2025). Previous articles were published by another publisher in Open Access under a CC-BY (or CC-BY-NC-ND) licence, and they are hosted by MDPI on mdpi.com as a courtesy and upon agreement with Editores Medicorum Helveticorum (EMH).

Cardiovasc. Med., Volume 11, Issue 9 (09 2008) – 8 articles

  • Issues are regarded as officially published after their release is announced to the table of contents alert mailing list.
  • You may sign up for e-mail alerts to receive table of contents of newly released issues.
  • PDF is the official format for papers published in both, html and pdf forms. To view the papers in pdf format, click on the "PDF Full-text" link, and use the free Adobe Reader to open them.
Order results
Result details
Select all
Export citation of selected articles as:
2 pages, 162 KB  
Editorial
Bekanntmachungen/Informations
by Cardiovascular Medicine
Cardiovasc. Med. 2008, 11(9), 295; https://doi.org/10.4414/cvm.2008.01353 - 26 Sep 2008
Viewed by 118
Abstract
Regelmässige Veranstaltungen kardiologischer Abteilungen/Colloques des Services de cardiologie [...] Full article
2 pages, 203 KB  
Communication
Preisverleihungen, SGK-Jahreskongress 2008, Bern
by Gaetano Thiene, Michele Miragoli, Peter Wenaweser, Matthias Wachter and Irina Agarkova
Cardiovasc. Med. 2008, 11(9), 293; https://doi.org/10.4414/cvm.2008.01351 - 26 Sep 2008
Viewed by 99
Abstract
Im Rahmen des Jahreskongresses der Schweizerischen Gesellschaft für Kardiologie vom 28–30 Mai 2008 in Bern wurden folgende Preise verliehen [...] Full article
3 pages, 206 KB  
Communication
Population-Based Hypertension Screening in Preschool Children
by Giacomo D. Simonetti, Elke Wühl and Franz Schaefer
Cardiovasc. Med. 2008, 11(9), 290; https://doi.org/10.4414/cvm.2008.01346 (registering DOI) - 26 Sep 2008
Cited by 1 | Viewed by 94
Abstract
Background Hypertension is the leading risk factor for cardiovascular diseases in adults [...] Full article
2 pages, 420 KB  
Interesting Images
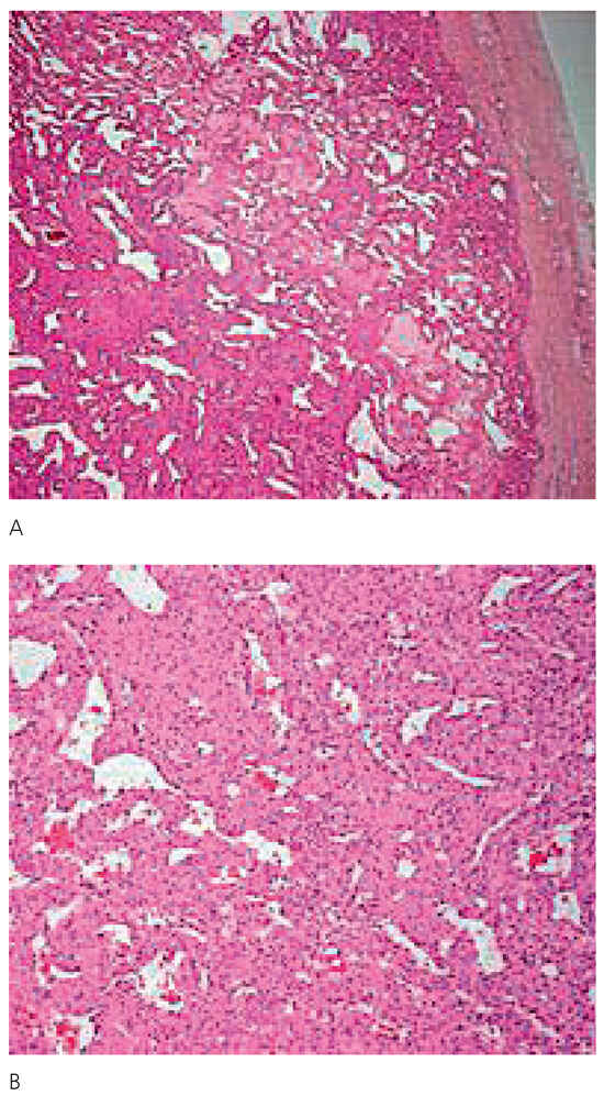
Benign Left Atrial Glomangiopericytoma
by Michel Grobéty, Gregory Katchatourov, François Perret, Stephan Schäfer and Jean-Jacques Goy
Cardiovasc. Med. 2008, 11(9), 288; https://doi.org/10.4414/cvm.2008.01347 (registering DOI) - 26 Sep 2008
Cited by 1 | Viewed by 100
Abstract
Case report This 47-year-old woman had a history of Hodgkin disease treated with chemotherapy and irradiation at the age of seventeen [...] Full article
Show Figures

Figure 1

2 pages, 429 KB  
Interesting Images
The Genetic Connection
by Venkata M. Alla, Showri M. Karnam and William P. Biddle
Cardiovasc. Med. 2008, 11(9), 286; https://doi.org/10.4414/cvm.2008.01348 - 26 Sep 2008
Viewed by 118
Abstract
Case report A young Caucasian male with long standing severe debilitating muscle weakness and chronic respiratory failure (ventilator dependant) was transferred to the Intensive care unit for management of ventilator associated pneumonia [...] Full article
Show Figures

Figure 1

8 pages, 271 KB  
Editorial
Fondaparinux: A New Antithrombotic Treatment Strategy in Venous Thromboembolism and Acute Coronary Syndromes
by Jean-Pierre Bassand
Cardiovasc. Med. 2008, 11(9), 278; https://doi.org/10.4414/cvm.2008.01350 - 26 Sep 2008
Viewed by 291
Abstract
Fondaparinux (Arixtra®) is a synthetic selective factor Xa inhibitor. On the grounds of its favorable benefit-risk ratio, fondaparinux is approved for the prevention and treatment of venous thromboembolism. Two large trials in about 32000 patients recently evaluated fondaparinux in the treatment [...] Read more.
Fondaparinux (Arixtra®) is a synthetic selective factor Xa inhibitor. On the grounds of its favorable benefit-risk ratio, fondaparinux is approved for the prevention and treatment of venous thromboembolism. Two large trials in about 32000 patients recently evaluated fondaparinux in the treatment of non-ST elevation acute coronary syndromes and ST elevation acute myocardial infarction. Fondaparinux was compared with enoxaparin or usual care, depending on the setting. A single once-daily 2.5 mg subcutaneous dose of fondaparinux was used in both studies. After a brief presentation of the drug, this review presents the results obtained in these trials with fondaparinux and compares them with those obtained with other anticoagulants. Overall, it appears that fondaparinux at the single oncedaily dose of 2.5 mg represents a valuable new alternative for the treatment of patients with acute coronary syndromes. However, fondaparinux cannot be used as stand-alone anticoagulant in the setting of PCI, where an additional of unfractionated heparin is needed to eliminate the risk of catheter thrombus. Full article
Show Figures

Figure 1

4 pages, 175 KB  
Editorial
Antithrombin Treatment Strategies for Patients with ST-Elevation Myocardial Infarction
by Nils Kucher, Otto Martin Hess, Christoph Kaiser, Pierre-Frederic Keller, Michael Pieper and Bernhard Meier
Cardiovasc. Med. 2008, 11(9), 274; https://doi.org/10.4414/cvm.2008.01349 - 26 Sep 2008
Viewed by 226
Abstract
Appropriate antithrombotic therapy in patients with ST-elevation myocardial infarction (STEMI) helps reducing major cardiovascular events and bleeding complications. The majority of patients presenting with STEMI in Switzerland are referred for early reperfusion therapy. Primary percutaneous coronary intervention (PCI) has become the preferred reperfusion [...] Read more.
Appropriate antithrombotic therapy in patients with ST-elevation myocardial infarction (STEMI) helps reducing major cardiovascular events and bleeding complications. The majority of patients presenting with STEMI in Switzerland are referred for early reperfusion therapy. Primary percutaneous coronary intervention (PCI) has become the preferred reperfusion strategy and replaced the use of fibrinolysis in many hospitals. Optimal antithrombotic treatment is particularly important during mechanical intervention at the thrombotic coronary occlusion site due to activation of platelets and the clotting cascade. The combination of aspirin, clopidogrel, and glycoprotein IIb/IIIa inhibitors is recommended for STEMI patients undergoing primary PCI. Unfractionated heparin has been used for many years as antithrombin of choice in these patients; it is usually started at the time of presentation and is continued during PCI. The direct thrombin inhibitor bilvalirudin has emerged as promising antithrombotic agent for primary PCI, and a bivalirudin alone strategy without GP IIb/IIIa inhibitor may be especially useful for elderly patients or those with increased risk of bleeding. Antithrombotic treatment regimens for STEMI patients managed conservatively or with fibrinolysis differ from those undergoing primary PCI. Extended-duration therapy with either enoxaparin or fondaparinux for up to 8 days has emerged as antithrombotic regimen of choice for patients not undergoing primary PCI. This article intends to serve as a practical guide to interventional cardiologists and other interested physicians managing patients with STEMI. Current options of anticoagulant drug regimens are summarized from a practical point of view, with special attention to the primary management strategy. Full article
Show Figures

Figure 1

9 pages, 831 KB  
Editorial
Mécanismes Physiopathologiques de la Fibrillation Auriculaire
by Amir-Ali Fassa and Dipen C. Shah
Cardiovasc. Med. 2008, 11(9), 265; https://doi.org/10.4414/cvm.2008.01352 - 26 Sep 2008
Viewed by 159
Abstract
The pathophysiology of atrial fibrillation is complex, and appears to result from the interaction between initiating triggers, often in the form of rapidly firing ectopic foci located in the pulmonary veins, and an abnormal atrial tissue substrate capable of maintaining the arrhythmia through [...] Read more.
The pathophysiology of atrial fibrillation is complex, and appears to result from the interaction between initiating triggers, often in the form of rapidly firing ectopic foci located in the pulmonary veins, and an abnormal atrial tissue substrate capable of maintaining the arrhythmia through mechanisms such as multiple wavelet reentry or multiple rotors. Moreover, atrial remodelling, autonomic tone variations and inflammation also may be involved in the genesis and maintenance of atrial fibrillation. Ultimately, the recent understanding of some of these mechanisms has led to new therapeutic strategies, such as radiofrequency catheter and surgical ablation techniques. At the present time, a strategy of radiofrequency catheter ablation tailored to the burden of atrial fibrillation allows efficient management of patients, with a high rate of long-term freedom from recurrence of atrial fibrillation. Full article
Show Figures

Figure 1

Previous Issue
Next Issue
Back to TopTop