Diagnostic Yield of Cardiac Magnetic Resonance in Athletes with and without Features of the Athlete’s Heart and Suspected Structural Heart Disease
Abstract
:1. Introduction
2. Materials and Methods
2.1. Study Group
2.2. Definitions
2.3. CMR Protocol and Analysis
2.4. Clinical Follow-Up
2.5. Statistical Analysis
3. Results
3.1. Baseline Characteristics
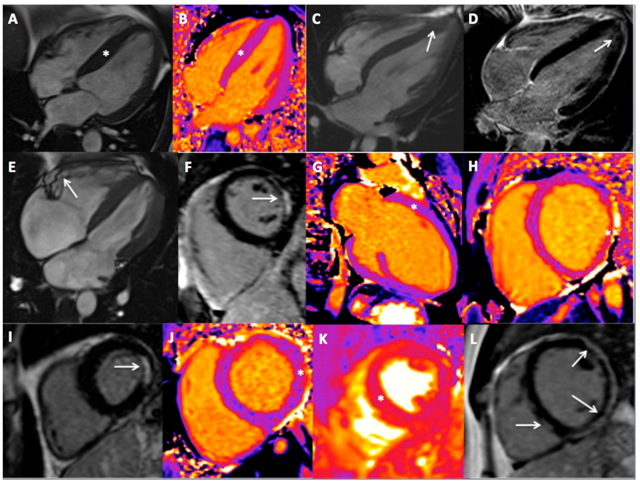
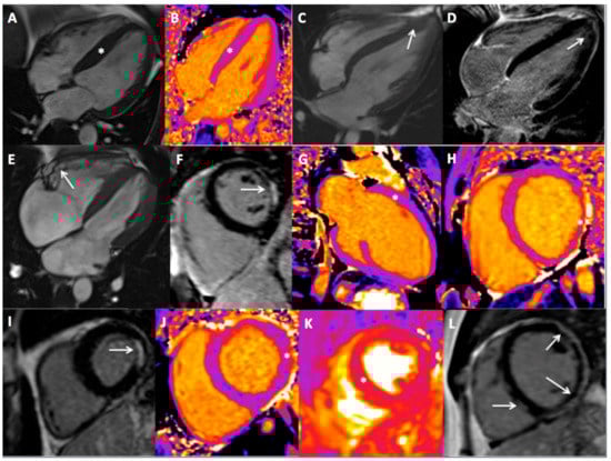
3.2. CMR Findings
3.3. Athlete’s Heart and CMR Result
3.4. Clinical Follow-Up
4. Discussion
5. Conclusions
Author Contributions
Funding
Institutional Review Board Statement
Informed Consent Statement
Data Availability Statement
Conflicts of Interest
References
- Patel, A.R.; Kramer, C.M. Role of Cardiac Magnetic Resonance in the Diagnosis and Prognosis of Nonischemic Cardiomyopathy. JACC Cardiovasc. Imaging 2017, 10, 1180–1193. [Google Scholar] [CrossRef] [PubMed]
- Emrich, T.; Halfmann, M.; Schoepf, U.J.; Kreitner, K.F. CMR for myocardial characterization in ischemic heart disease: State-of-the-art and future developments. Eur. Radiol. Exp. 2021, 5, 14. [Google Scholar] [CrossRef] [PubMed]
- Global Cardiovascular Magnetic Resonance Registry (GCMR), Investigators; Kwong, R.Y.; Petersen, S.E.; Schulz-Menger, J.; Arai, A.E.; Bingham, S.E.; Chen, Y.; Choi, Y.L.; Cury, R.C.; Ferreira, V.M.; et al. The global cardiovascular magnetic resonance registry (GCMR) of the society for cardiovascular magnetic resonance (SCMR): Its goals, rationale, data infrastructure, and current developments. J. Cardiovasc. Magn. Reson. 2017, 19, 23. [Google Scholar] [CrossRef] [PubMed] [Green Version]
- Małek, Ł.A.; Bucciarelli-Ducci, C. Myocardial fibrosis in athletes-Current perspective. Clin. Cardiol. 2020, 43, 882–888. [Google Scholar] [CrossRef] [PubMed] [Green Version]
- Sharma, S.; Drezner, J.A.; Baggish, A.; Papadakis, M.; Wilson, M.G.; Prutkin, J.M.; La Gerche, A.; Ackerman, M.J.; Börjesson, M.; Salerno, J.C.; et al. International recommendations for electrocardiographic interpretation in athletes. Eur. Heart J. 2018, 39, 1466–1480. [Google Scholar] [CrossRef]
- Pelliccia, A.; Sharma, S.; Gati, S.; Bäck, M.; Börjesson, M.; Caselli, S.; Collet, J.-P.; Corrado, D.; Drezner, J.A.; Halle, M.; et al. 2020 ESC Guidelines on sports cardiology and exercise in patients with cardiovascular disease. Eur. Heart J. 2021, 42, 17–96. [Google Scholar] [CrossRef]
- Galderisi, M.; Cardim, N.; D’Andrea, A.; Bruder, O.; Cosyns, B.; Davin, L.; Donal, E.; Edvardsen, T.; Freitas, A.; Habib, G.; et al. The multi-modality cardiac imaging approach to the Athlete’s heart: An expert consensus of the European Association of Cardiovascular Imaging. Eur. Heart J. Cardiovasc. Imaging 2015, 16, 353. [Google Scholar] [CrossRef]
- Pelliccia, A.; Caselli, S.; Sharma, S.; Basso, C.; Bax, J.J.; Corrado, D.; D’Andrea, A.; D’Ascenzi, F.; Di Paolo, F.M.; Edvardsen, T.; et al. European Association of Preventive Cardiology (EAPC) and European Association of Cardiovascular Imaging (EACVI) joint position statement: Recommendations for the indication and interpretation of cardiovascular imaging in the evaluation of the athlete’s heart. Eur. Heart J. 2018, 39, 1949–1969. [Google Scholar] [CrossRef]
- Petersen, S.E.; Aung, N.; Sanghvi, M.M.; Zemrak, F.; Fung, K.; Paiva, J.M.; Francis, J.M.; Khanji, M.Y.; Lukaschuk, E.; Lee, A.; et al. Reference ranges for cardiac structure and function using cardiovascular magnetic resonance (CMR) in Caucasians from the UK Biobank population cohort. J. Cardiovasc. Magn. Reson. 2017, 19, 18. [Google Scholar] [CrossRef] [Green Version]
- D’Ascenzi, F.; Anselmi, F.; Mondillo, S.; Finocchiaro, G.; Caselli, S.; Garza, M.S.; Schmied, C.; Adami, P.E.; Galderisi, M.; Adler, Y.; et al. The use of cardiac imaging in the evaluation of athletes in the clinical practice: A survey by the Sports Cardiology and Exercise Section of the European Association of Preventive Cardiology and University of Siena, in collaboration with the European Association of Cardiovascular Imaging, the European Heart Rhythm Association and the ESC Working Group on Myocardial and Pericardial Diseases. Eur. J. Prev. Cardiol. 2021, 28, 1071–1077. [Google Scholar] [CrossRef]
- Mizia-Stec, K.; Charron, P.; Gimeno Blanes, J.R.; Elliott, P.; Kaski, J.P.; Maggioni, A.P.; Tavazzi, L.; Tendera, M.; Felix, S.B.; Dominguez, F.; et al. Current use of cardiac magnetic resonance in tertiary referral centres for the diagnosis of cardiomyopathy: The ESC EORP Cardiomyopathy/Myocarditis Registry. Eur. Heart J. Cardiovasc. Imaging 2021, 22, 781–789. [Google Scholar] [CrossRef] [PubMed]
- Małek, Ł.A.; Marczak, M.; Miłosz-Wieczorek, B.; Konopka, M.; Braksator, W.; Drygas, W.; Krzywański, J. Cardiac involvement in consecutive elite athletes recovered from Covid-19: A magnetic resonance study. J. Magn. Reson. Imaging 2021, 53, 1723–1729. [Google Scholar] [CrossRef] [PubMed]
- Niebauer, J.; Börjesson, M.; Carre, F.; Caselli, S.; Palatini, P.; Quattrini, F.; Serratosa, L.; Adami, P.E.; Biffi, A.; Pressler, A.; et al. Brief recommendations for participation in competitive sports of athletes with arterial hypertension: Summary of a Position Statement from the Sports Cardiology Section of the European Association of Preventive Cardiology (EAPC). Eur. J. Prev. Cardiol. 2019, 26, 1549–1555. [Google Scholar] [CrossRef] [PubMed]
- McDonagh, T.A.; Metra, M.; Adamo, M.; Gardner, R.S.; Baumbach, A.; Böhm, M.; Burri, H.; Butler, J.; Čelutkienė, J.; Chioncel, O.; et al. 2021 ESC Guidelines for the diagnosis and treatment of acute and chronic heart failure: Developed by the Task Force for the diagnosis and treatment of acute and chronic heart failure of the European Society of Cardiology (ESC). With the special contribution of the Heart Failure Association (HFA) of the ESC. Eur. J. Heart Fail. 2022, 24, 4–131. [Google Scholar] [CrossRef]
- Ferreira, V.M.; Schulz-Menger, J.; Holmvang, G.; Kramer, C.M.; Carbone, I.; Sechtem, U. Cardiovascular Magnetic Resonance in Nonischemic Myocardial Inflammation: Expert Recommendations. J. Am. Coll. Cardiol. 2018, 72, 3158–3176. [Google Scholar] [CrossRef]
- Kawel-Boehm, N.; Maceira, A.; Valsangiacomo-Buechel, E.R.; Vogel-Claussen, J.; Turkbey, E.B.; Williams, R.; Plein, S.; Tee, M.; Eng, J.; Bluemke, D.A. Normal values for cardiovascular magnetic resonance in adults and children. J. Cardiovasc. Magn. Reson. 2015, 17, 29. [Google Scholar] [CrossRef] [Green Version]
- Wang, J.; Zhao, H.; Wang, Y.; Herrmann, H.C.; Witschey, W.R.T.; Han, Y. Native T1 and T2 mapping by cardiovascular magnetic resonance imaging in pressure overloaded left and right heart diseases. J. Thorac. Dis. 2018, 10, 2968–2975. [Google Scholar] [CrossRef]
- Bruder, O.; Wagner, A.; Lombardi, M.; Schwitter, J.; van Rossum, A.; Pilz, G.; Nothnagel, D.; Steen, H.; Petersen, S.; Nagel, E.; et al. European Cardiovascular Magnetic Resonance (EuroCMR) registry—Multi national results from 57 centers in 15 countries. J. Cardiovasc. Magn. Reson. 2013, 15, 9. [Google Scholar] [CrossRef] [Green Version]
- Sheikh, N.; Papadakis, M.; Schnell, F.; Panoulas, V.; Malhotra, A.; Wilson, M.; Carré, F.; Sharma, S. Clinical Profile of Athletes With Hypertrophic Cardiomyopathy. Circ. Cardiovasc. Imaging 2015, 8, e003454. [Google Scholar] [CrossRef] [Green Version]
- Oomen, A.W.G.J.; Semsarian, C.; Puranik, R.; Sy, R.W. Diagnosis of Arrhythmogenic Right Ventricular Cardiomyopathy: Progress and Pitfalls. Heart Lung Circ. 2018, 27, 1310–1317. [Google Scholar] [CrossRef]
- Millar, L.M.; Fanton, Z.; Finocchiaro, G.; Sanchez-Fernandez, G.; Dhutia, H.; Malhotra, A.; Merghani, A.; Papadakis, M.; Behr, E.R.; Bunce, N.; et al. Differentiation between athlete’s heart and dilatedcardiomyopathy in athletic individuals. Heart 2020, 106, 1059–1065. [Google Scholar] [CrossRef] [PubMed]
- Zorzi, A.; Perazzolo Marra, M.; Rigato, I.; De Lazzari, M.; Susana, A.; Niero, A.; Pilichou, K.; Migliore, F.; Rizzo, S.; Giorgi, B.; et al. Nonischemic Left Ventricular Scar as a Substrate of Life-Threatening Ventricular Arrhythmias and Sudden Cardiac Death in Competitive Athletes. Circ. Arrhythmia Electrophysiol. 2016, 9, e004229. [Google Scholar] [CrossRef] [PubMed]
- di Gioia, C.R.; Giordano, C.; Cerbelli, B.; Pisano, A.; Perli, E.; De Dominicis, E.; Poscolieri, B.; Palmieri, V.; Ciallella, C.; Zeppilli, P.; et al. Nonischemic left ventricular scar and cardiac sudden death in the young. Hum. Pathol. 2016, 58, 78–89. [Google Scholar] [CrossRef] [PubMed]
- Zhang, C.D.; Xu, S.L.; Wang, X.Y.; Tao, L.Y.; Zhao, W.; Gao, W. Prevalence of Myocardial Fibrosis in Intensive Endurance Training Athletes: A Systematic Review and Meta-Analysis. Front. Cardiovasc. Med. 2020, 7, 585692. [Google Scholar] [CrossRef] [PubMed]
- Kim, R.J.; Simonetti, O.P.; Westwood, M.; Kramer, C.M.; Narang, A.; Friedrich, M.G.; Powell, A.J.; Carr, J.C.; Schulz-Menger, J.; Nagel, E.; et al. Guidelines for training in cardiovascular magneticresonance (CMR). J. Cardiovasc. Magn. Reson. 2018, 20, 57. [Google Scholar] [CrossRef]
- Halle, M.; Binzenhöfer, L.; Mahrholdt, H.; Schindler, M.J.; Esefeld, K.; Tschöpe, C. Myocarditis in athletes: A clinical perspective. Eur. J. Prev. Cardiol. 2020, 28, 1050–1057. [Google Scholar] [CrossRef]


| Symptoms | Resting ECG/Holter ECG | Echocardiography |
|---|---|---|
| Chest pain | T-wave inversion in anterior, lateral or inferior leads | Left ventricular hypertrophy ≥13 mm |
| Palpitations | Premature ventricular contractions | Isolated left ventricular enlargement |
| Irregular heart beat | Non-sustained ventricular tachycardia | Isolated right ventricular enlargement |
| Loss of consciousness | Supraventricular arrhythmia | Decreased left ventricular ejection fraction |
| Reduced physical performance | LBBB or RBBB with axis deviation | Decreased right ventricular ejection fraction |
| Upper respiratory tract infection/fever | Pauses | Left ventricular hypertrabeculation |
| Parameter | Athlete’s Heart n = 59 (38%) | No Athlete’s Heart n = 95 (62%) | p-Value |
|---|---|---|---|
| Baseline characteristics | |||
| Age (yrs, SD) | 32 ± 13 | 35 ± 12 | 0.19 |
| Male sex (n, %) | 52 (88) | 82 (86) | 0.74 |
| Athlete category (n,%) | <0.0001 | ||
| amateur | 25 (42) | 71 (74) | 0.0001 |
| semi-or professional | 9 (15) | 10 (11) | 0.54 |
| elite | 25 (42) | 14 (15) | 0.0003 |
| Sport discipline (n, %) | 0.45 | ||
| endurance | 40 (68) | 62 (65) | 0.88 |
| mixed | 15 (25) | 21 (22) | 0.78 |
| power | 4 (7) | 10 (11) | 0.57 |
| skill | 0 (0) | 2 (2) | 0.52 |
| CMR parameters | |||
| LVEDVI (mL/m2, SD) | 115 ± 13 | 89 ± 13 | <0.001 |
| LVESVI (mL/m2) | 47 ± 13 | 33 ± 8 | <0.001 |
| LVEF (%) | 61 ± 7 | 63 ± 6 | 0.10 |
| LVMI (g/m2) | 85 ± 14 | 73 ± 16 | <0.001 |
| RVEDVI (mL/m2) | 118 ± 15 | 93 ± 17 | <0.001 |
| RVESVI (mL/m2) | 52 ± 12 | 39 ± 13 | <0.001 |
| RVEF (%) | 58 ± 6 | 59 ± 7 | 0.35 |
| LAA (cm2) | 29 ± 6 | 24 ± 5 | <0.001 |
| RAA (cm2) | 29 ± 6 | 25 ± 5 | <0.001 |
| IVSd (mm) | 10.7 ± 1.4 | 10.9 ± 2.4 | 0.74 |
| LGE in junction point | 13 (22) | 9 (9) | 0.03 |
| LGE other than junction point (n,%) | 11 (19) | 30 (32) | 0.09 |
| ischemic | 1 (2) | 5 (5) | 0.41 |
| non-ischemic | 10 (17) | 25 (27) | 0.25 |
| CMR result | |||
| Disease (n,%) | 19 (32) | 47 (49) | 0.05 |
| Type of disease (n, %) | |||
| HCM | 1 (2) | 10 (11) | 0.05 |
| HCM apical | 2 (3) | 4 (4) | 1.00 |
| All HCM | 3 (5) | 14 (15) | 0.22 |
| DCM | 3 (5) | 3 (3) | 0.68 |
| AC | 1 (2) | 3 (3) | 1.00 |
| LVNC | 0 (0) | 0 (0) | - |
| All cardiomyopathy | 7 (12) | 20 (21) | 0.21 |
| Prior MI | 0 (0) | 6 (6) | 0.08 |
| Acute/prior myocarditis | 7 (12) | 14 (14) | 0.79 |
| Other findings * | 5 (8) | 7 (7) | 0.95 |
Publisher’s Note: MDPI stays neutral with regard to jurisdictional claims in published maps and institutional affiliations. |
© 2022 by the authors. Licensee MDPI, Basel, Switzerland. This article is an open access article distributed under the terms and conditions of the Creative Commons Attribution (CC BY) license (https://creativecommons.org/licenses/by/4.0/).
Share and Cite
Małek, Ł.A.; Miłosz-Wieczorek, B.; Marczak, M. Diagnostic Yield of Cardiac Magnetic Resonance in Athletes with and without Features of the Athlete’s Heart and Suspected Structural Heart Disease. Int. J. Environ. Res. Public Health 2022, 19, 4829. https://doi.org/10.3390/ijerph19084829
Małek ŁA, Miłosz-Wieczorek B, Marczak M. Diagnostic Yield of Cardiac Magnetic Resonance in Athletes with and without Features of the Athlete’s Heart and Suspected Structural Heart Disease. International Journal of Environmental Research and Public Health. 2022; 19(8):4829. https://doi.org/10.3390/ijerph19084829
Chicago/Turabian StyleMałek, Łukasz A., Barbara Miłosz-Wieczorek, and Magdalena Marczak. 2022. "Diagnostic Yield of Cardiac Magnetic Resonance in Athletes with and without Features of the Athlete’s Heart and Suspected Structural Heart Disease" International Journal of Environmental Research and Public Health 19, no. 8: 4829. https://doi.org/10.3390/ijerph19084829
APA StyleMałek, Ł. A., Miłosz-Wieczorek, B., & Marczak, M. (2022). Diagnostic Yield of Cardiac Magnetic Resonance in Athletes with and without Features of the Athlete’s Heart and Suspected Structural Heart Disease. International Journal of Environmental Research and Public Health, 19(8), 4829. https://doi.org/10.3390/ijerph19084829

