Oral Surgery Procedures in a Patient with Hajdu-Cheney Syndrome Treated with Denosumab—A Rare Case Report
Abstract
1. Introduction
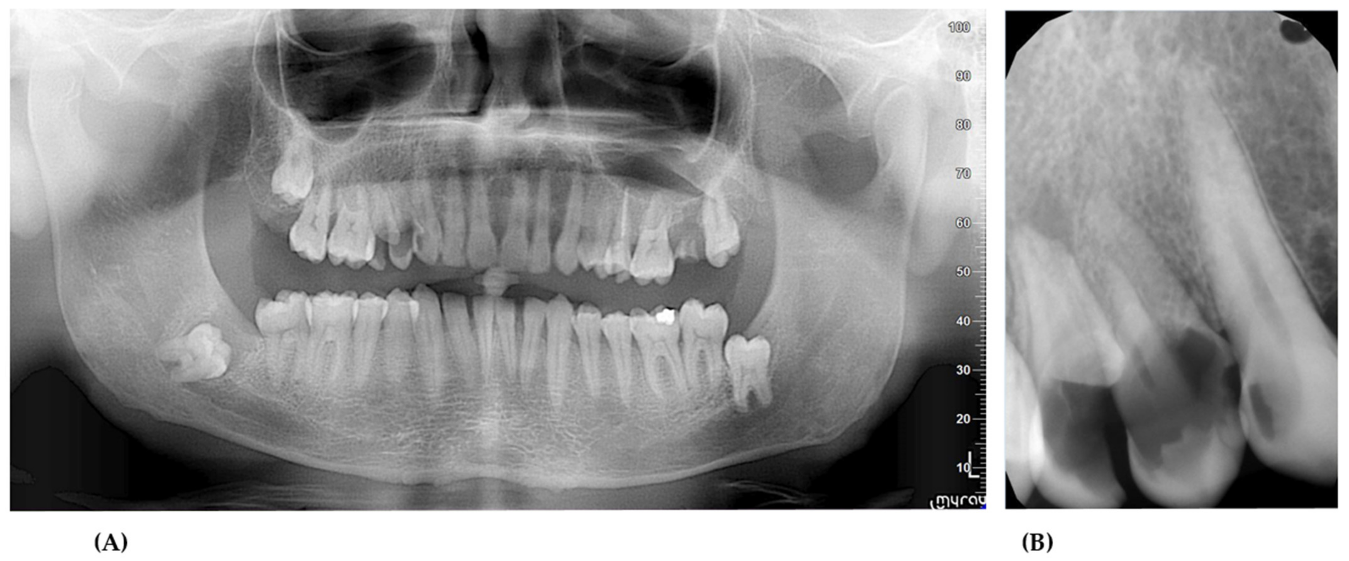
2. Case Presentation
3. Discussion
4. Conclusions
Author Contributions
Funding
Institutional Review Board Statement
Informed Consent Statement
Data Availability Statement
Conflicts of Interest
Abbreviations
| APCs | application of platelet concentrates |
| BPs | bisphosphonates |
| DLL1 | Delta-Like Canonical Ligand 1 |
| DLL2 | Delta-Like Canonical Ligand 2 |
| DLL4 | Delta-Like Canonical Ligand 4 |
| HCS | Hajdu-Cheney syndrome |
| JAG1 | Jagged Canonical Notch Ligand 1 |
| JAG2 | Jagged Canonical Notch Ligand 2 |
| MRONJ | medication-related osteonecrosis of the jaw |
| NOTCH2 | Notch Receptor 2 gene |
| PEST domain | polypeptide sequence rich in proline (P), glutamic acid (E), serine (S), and threonine (T) |
| RANK | receptor activator of nuclear factor-κB |
| RANKL | receptor activator of nuclear factor-κB ligand |
References
- Canalis, E.; Zanotti, S. Hajdu-Cheney syndrome: A review. Orphanet J. Rare Dis. 2014, 9, 1–7. [Google Scholar] [CrossRef]
- Vingerhoedt, E.; Bailleul-Forestier, I.; Fellus, P.; Schoenaers, J.; Frijns, J.P.; Carels, C. Syndrome of Hajdu-Cheney: Three Case Reports of Orofacial Interest. Cleft Palate-Craniofacial J. 2010, 47, 645–653. [Google Scholar] [CrossRef]
- Dokou, P.; Karoussis, I.K.; Papavasiliou, G.; Kamposiora, P.; Vrahopoulos, T.P.; Vrotsos, J.A. Osseointegration of Dental Im-plants in a Patient with Hajdu-cheney Syndrome. Open Dent. J. 2016, 10, 575–586. [Google Scholar] [CrossRef][Green Version]
- Hwang, S.; Shin, D.Y.; Moon, S.H.; Lee, E.J.; Lim, S.-K.; Kim, O.H.; Rhee, Y. Effect of Zoledronic Acid on Acro-Osteolysis and Osteoporosis in a Patient with Hajdu-Cheney Syndrome. Yonsei Med. J. 2011, 52, 543–546. [Google Scholar] [CrossRef] [PubMed]
- Midro, A.T.; Stasiewicz-Jarocka, B.; Borys, J.; Kozłowski, K.; Skotnicka, B.; Tarasów, E.; Hubert, E.; Konstantynowicz, J.; Panasiuk, B.; Rydzanicz, M.; et al. A 23-year follow-up of a male with Hajdu-Cheney syndrome due to NOTCH2 mutation. Am. J. Med. Genet. Part A 2018, 176, 2382–2388. [Google Scholar] [CrossRef] [PubMed]
- Lee, J.W.; Kim, Y.J.; Kang, J.; Shin, T.J.; Hyun, H.K.; Kim, Y.J.; Lee, S.H.; Lee, Z.H.; Kim, J.W. Dental implications in Haj-du-Cheney syndrome: A novel case report and review of the literature. Oral Dis. 2018, 24, 1037–1041. [Google Scholar] [CrossRef]
- Rochoux, Q.; Léon, N.; Bréhin, A.C.; Michel, M.; Orcel, P.; Marcelli, C. A case of Hajdu-Cheney syndrome associated with psoriatic rheumatism, two causes of acro-osteolysis. Jt. Bone Spine 2018, 85, 493–494. [Google Scholar] [CrossRef]
- Samuel, S.S.; Shetty, S.; Arunachal, G.; Koshy, S.; Paul, T.V. Hajdu Cheney Syndrome. J. Clin. Diagn. Res. 2016, 10, 7–9. [Google Scholar] [CrossRef] [PubMed]
- Brennan, A.M.; Pauli, R.M. Hajdu-Cheney syndrome: Evolution of phenotype and clinical problems. Am. J. Med. Genet. 2001, 100, 292–310. [Google Scholar] [CrossRef]
- Cortés-Martín, J.; Diaz-Rodriguez, L.; Piqueras-Sola, B.; Rodríguez-Blanque, R.; Bermejo-Fernández, A.; Sánchez-García, J. Hajdu–Cheney Syndrome: A Systematic Review of the Literature. Int. J. Environ. Res. Public Health 2020, 17, 6174. [Google Scholar] [CrossRef]
- Sakka, S.; Gafni, R.I.; Davies, J.H.; Clarke, B.; Tebben, P.; Samuels, M.; Saraff, V.; Klaushofer, K.; Fratzl-Zelman, N.; Roschger, P.; et al. Bone Structural Characteristics and Response to Bisphosphonate Treatment in Children with Hajdu-Cheney Syndrome. J. Clin. Endocrinol. Metab. 2017, 102, 4163–4172. [Google Scholar] [CrossRef]
- Pittaway, J.F.H.; Harrison, C.; Rhee, Y.; Holder-Espinasse, M.; Fryer, A.E.; Cundy, T.; Drake, W.M.; Irving, M.D. Bisphos-phonate therapy for spinal osteoporosis in Hajdu-Cheney syndrome—New data and literature review. Orphanet J. Rare Dis. 2018, 13, 47. [Google Scholar] [CrossRef]
- Galli-Tsinopoulou, A.; Kyrgios, I.; Giza, S.; Giannopoulou, E.Z.; Maggana, I.; Laliotis, N. Two-year cyclic infusion of pami-dronate improves bone mass density and eliminates risk of fractures in a girl with osteoporosis due to Hajdu-Cheney syndrome. Minerva Endocrinol. 2012, 37, 283–289. [Google Scholar]
- Al-Mayouf, S.M.; Madi, S.M.; Bin-Abbas, B.S. Cyclic intravenous pamidronate treatment in children with nodulosis, arthropathy and osteolysis syndrome. Ann. Rheum. Dis. 2006, 65, 1672–1673. [Google Scholar] [CrossRef]
- Jirečková, J.; Magner, M.; Lambert, L.; Baxová, A.; Leiská, A.; Kopečková, L.; Fajkusová, L.; Zeman, J. The Age Dependent Progression of Hajdu-Cheney Syndrome in Two Families. Prague Med. Rep. 2018, 119, 156–164. [Google Scholar] [CrossRef]
- McKiernan, F.E. Integrated anti-remodeling and anabolic therapy for the osteoporosis of Hajdu-Cheney syndrome: 2-year follow-up. Osteoporos. Int. 2007, 19, 379–380. [Google Scholar] [CrossRef]
- McKiernan, F.E. Integrated anti-remodeling and anabolic therapy for the osteoporosis of Hajdu–Cheney syndrome. Osteoporos. Int. 2006, 18, 245–249. [Google Scholar] [CrossRef] [PubMed]
- Adami, G.; Rossini, M.; Gatti, D.; Orsolini, G.; Idolazzi, L.; Viapiana, O.; Scarpa, A.; Canalis, E. Hajdu Cheney Syndrome; report of a novel NOTCH2 mutation and treatment with denosumab. Bone 2016, 92, 150–156. [Google Scholar] [CrossRef] [PubMed]
- Marx, R.E. Oral and Intravenous Bisphosphonate-Induced Osteonecrosis of the Jaws. History, Etiology, Prevention, and Treatment; Quintessence Publishing Co., Inc.: Berlin, Germany, 2007; pp. 9–96. [Google Scholar]
- Abed, H.H.; Al-Sahafi, E.N. The role of dental care providers in the management of patients prescribed bisphosphonates: Brief clinical guidance. Gen. Dent. 2018, 66, 18–24. [Google Scholar] [PubMed]
- Nancollas, G.; Tang, R.; Phipps, R.; Henneman, Z.; Gulde, S.; Wu, W.; Mangood, A.; Russell, R.G.G.; Ebetino, F. Novel insights into actions of bisphosphonates on bone: Differences in interactions with hydroxyapatite. Bone 2006, 38, 617–627. [Google Scholar] [CrossRef] [PubMed]
- American Dental Association Council on Scientific Affairs. Dental management of patients receiving oral bisphospho-nate therapy: Expert panel recommendations. J. Am. Dent. Assoc. 2006, 137, 1144–1150. [Google Scholar] [CrossRef]
- Morris, M.; Cruickshank, S. Bisphosphonate-related osteonecrosis of the jaw in cancer patients: Implications for nurses. Eur. J. Oncol. Nurs. 2010, 14, 205–210. [Google Scholar] [CrossRef] [PubMed]
- Polyzos, S.A.; Makras, P.; Tournis, S.; Anastasilakis, A.D. Off-label uses of denosumab in metabolic bone diseases. Bone 2019, 129, 115048. [Google Scholar] [CrossRef] [PubMed]
- Efstathiadou, Z.A.; Kostoulas, C.; Polyzos, S.A.; Adamidou, F.; Georgiou, I.; Kita, M. A mutation in NOTCH2 gene first asso-ciated with Hajdu-Cheney syndrome in a Greek family: Diversity in phenotype and response to treatment. Endocrine 2021, 71, 208–215. [Google Scholar] [CrossRef] [PubMed]
- Kumaki, D.; Nakamura, Y.; Suzuki, T.; Kato, H. Efficacy of Denosumab for Osteoporosis in Two Patients with Adult-Onset Still’s Disease—Denosumab Efficacy in Osteoporotic Still’s Disease Patients. J. Clin. Med. 2018, 7, 63. [Google Scholar] [CrossRef] [PubMed]
- Kobayashi, T.; Nakamura, Y.; Suzuki, T.; Yamaguchi, T.; Takeda, R.; Takagi, M.; Hasegawa, T.; Kosho, T.; Kato, H. Efficacy and Safety of Denosumab Therapy for Osteogenesis Imperfecta Patients with Osteoporosis—Case Series. J. Clin. Med. 2018, 7, 479. [Google Scholar] [CrossRef]
- Laimer, J.; Hechenberger, M.; Lercher, J.; Born, E.; Schomaker, M.; Puntscher, S.; Siebert, U.; Bruckmoser, E. New Perspective for Soft Tissue Closure in Medication-Related Osteonecrosis of the Jaw (MRONJ) Using Barbed Sutures. J. Clin. Med. 2021, 10, 1677. [Google Scholar] [CrossRef] [PubMed]
- Assili, Z.; Dolivet, G.; Salleron, J.; Griffaton-Tallandier, C.; Egloff-Juras, C.; Phulpin, B. A Comparison of the Clinical and Radiological Extent of Denosumab (Xgeva®) Related Osteonecrosis of the Jaw: A Retrospective Study. J. Clin. Med. 2021, 10, 2390. [Google Scholar] [CrossRef]
- Bennardo, F.; Buffone, C.; Giudice, A. New therapeutic opportunities for COVID-19 patients with Tocilizumab: Possible correlation of interleukin-6 receptor inhibitors with osteonecrosis of the jaws. Oral Oncol. 2020, 106, 104659. [Google Scholar] [CrossRef]
- Campisi, G.; Mauceri, R.; Bertoldo, F.; Bettini, G.; Biasotto, M.; Colella, G.; Consolo, U.; Di Fede, O.; Favia, G.; Fusco, V.; et al. Medication-Related Osteonecrosis of Jaws (MRONJ) Prevention and Diagnosis: Italian Consensus Update 2020. Int. J. Environ. Res. Public Health 2020, 17, 5998. [Google Scholar] [CrossRef]
- Mattei, T.A.; Rehman, A.A.; Issawi, A.; Fassett, D.R. Surgical challenges in the management of cervical kyphotic deformity in patients with severe osteoporosis: An illustrative case of a patient with Hajdu–Cheney syndrome. Eur. Spine J. 2015, 24, 2746–2753. [Google Scholar] [CrossRef]
- Murtagh-Schaffer, C.; Moquin, R.R. Spinal reconstruction in Hajdu-Cheney syndrome. J. Am. Acad. Physician Assist. 2008, 21, 29–33. [Google Scholar] [CrossRef]
- Fujioka, H.; Tanaka, J.; Yoshiya, S.; Kokubu, T.; Fujita, K.; Makino, T.; Mizuno, K. Proximal translation of the radius following arthroplasty of the distal radioulnar joint in Hajdu-Cheney syndrome. J. Shoulder Elb. Surg. 2003, 12, 97–100. [Google Scholar] [CrossRef][Green Version]
- Ornetti, P.; Tavernier, C. Osteoporotic compression fracture revealing Hajdu-Cheney Syndrome. Jt. Bone Spine 2012, 79, 514–515. [Google Scholar] [CrossRef]
- Fortunato, L.; Bennardo, F.; Buffone, C.; Giudice, A. Is the application of platelet concentrates effective in the prevention and treatment of medication-related osteonecrosis of the jaw? A systematic review. J. Cranio-Maxillofac. Surg. 2020, 48, 268–285. [Google Scholar] [CrossRef] [PubMed]
- Ruggiero, S.L.; Dodson, T.B.; Fantasia, J.; Goodday, R.; Aghaloo, T.; Mehrotra, B.; O’Ryan, F. American Association of Oral and Maxillofacial Surgeons. American Association of Oral and Maxillofacial Surgeons position paper on medication-related oste-onecrosis of the jaw-2014 update. J. Oral Maxillofac. Surg. 2014, 72, 1938–1956. [Google Scholar] [CrossRef]
- Katsarelis, H.; Shah, N.; Dhariwal, D.; Pazianas, M. Infection and Medication-related Osteonecrosis of the Jaw. J. Dent. Res. 2015, 94, 534–539. [Google Scholar] [CrossRef] [PubMed]
- Papi, P.; Rosella, D.; Giardino, R.; Cicalini, E.; Piccoli, L.; Pompa, G. Medication-related osteonecrosis of the jaw: Clinical and practical guidelines. J. Int. Soc. Prev. Community Dent. 2016, 6, 97–104. [Google Scholar] [CrossRef]
- Kalra, S.; Jain, V. Dental complications and management of patients on bisphosphonate therapy: A review article. J. Oral Biol. Craniofacial Res. 2013, 3, 25–30. [Google Scholar] [CrossRef] [PubMed]
- Cortese, A.; Casarella, A.; Howard, C.; Claudio, P. Epi-Mucosa Fixation and Autologous Platelet-Rich Fibrin Treatment in Medication-Related Osteonecrosis of the Jaw. Dent. J. 2021, 9, 50. [Google Scholar] [CrossRef] [PubMed]
- Otto, S.; Aljohani, S.; Fliefel, R.; Ecke, S.; Ristow, O.; Burian, E.; Troeltzsch, M.; Pautke, C.; Ehrenfeld, M. Infection as an Important Factor in Medication-Related Osteonecrosis of the Jaw (MRONJ). Medicina 2021, 57, 463. [Google Scholar] [CrossRef] [PubMed]
- Nicolatou-Galitis, O.; Schiødt, M.; Mendes, R.A.; Hope, S.; Drudge-Coates, L.; Niepel, D.; Van den Wyngaert, T. Medication-related osteonecrosis of the jaw: Definition and best practice for prevention, diagnosis, and treatment. Oral Surg. Oral Med. Oral Pathol. Oral Radiol. 2019, 127, 117–135. [Google Scholar] [CrossRef] [PubMed]
- Kwon, Y.-D.; Kim, D.-Y. Role of Teriparatide in Medication-Related Osteonecrosis of the Jaws (MRONJ). Dent. J. 2016, 4, 41. [Google Scholar] [CrossRef] [PubMed]
- Jung, J.; Yoo, H.Y.; Kim, G.T.; Lee, J.W.; Lee, Y.A.; Kim, D.Y.; Kwon, Y.D. Short-term teriparatide and recombinant human bone morphogenetic protein-2 for regenerative approach to medication-related osteonecrosis of the jaw: A preliminary study. J. Bone Miner. Res. 2017, 32, 2445–2452. [Google Scholar] [CrossRef]
- Gerard, D.A.; Carlson, E.R.; Gotcher, J.E.; Pickett, D.O. Early Inhibitory Effects of Zoledronic Acid in Tooth Extraction Sockets in Dogs Are Negated by Recombinant Human Bone Morphogenetic Protein. J. Oral Maxillofac. Surg. 2014, 72, 61–66. [Google Scholar] [CrossRef]
- Epstein, M.S.; Wicknick, F.W.; Epstein, J.B.; Berenson, J.R.; Gorsky, M. Management of bisphosphonate-associated osteonecrosis: Pentoxifylline and tocopherol in addition to antimicrobial therapy. An initial case series. Oral Surg. Oral Med. Oral Pathol. Oral Radiol. Endodontol. 2010, 110, 593–596. [Google Scholar] [CrossRef]
- Magremanne, M.; Reychler, H. Pentoxifylline and Tocopherol in the Treatment of Yearly Zoledronic Acid–Related Osteonecrosis of the Jaw in a Corticosteroid-Induced Osteoporosis. J. Oral Maxillofac. Surg. 2014, 72, 334–337. [Google Scholar] [CrossRef]
- Owosho, A.A.; Estilo, C.L.; Huryn, J.M.; Yom, S.K. Pentoxifylline and tocopherol in the management of cancer patients with medication-related osteonecrosis of the jaw: An observational retrospective study of initial case series. Oral Surg. Oral Med. Oral Pathol. Oral Radiol. 2016, 122, 455–459. [Google Scholar] [CrossRef]
- Ripamonti, C.I.; Cislaghi, E.; Mariani, L.; Maniezzo, M. Efficacy and safety of medical ozone (O(3)) delivered in oil suspension applications for the treatment of osteonecrosis of the jaw in patients with bone metastases treated with bisphosphonates: Preliminary results of a phase I-II study. Oral Oncol. 2011, 47, 185–190. [Google Scholar] [CrossRef]
- Agrillo, A.; Filiaci, F.; Ramieri, V.; Riccardi, E.; Quarato, D.; Rinna, C.; Gennaro, P.; Cascino, F.; Mitro, V.; Ungari, C. Bisphosphonate related osteonecrosis of the jaw (BRONJ): 5 year experience in the treatment of 131 cases with ozonetherapy. Eur. Rev. Med. Pharmacol. Sci. 2012, 16, 1741–1747. [Google Scholar]
- Freiberger, J.J. Utility of Hyperbaric Oxygen in Treatment of Bisphosphonate-Related Osteonecrosis of the Jaws. J. Oral Maxillofac. Surg. 2009, 67, 96–106. [Google Scholar] [CrossRef] [PubMed]





| No | Manifestations | Adults | Children |
|---|---|---|---|
| 1 | Acroosteolysis | Acroosteolysis and three additional manifestations from 2 to 9 or Acroosteolysis and documented positive family history or Documented positive family history and two additional manifestations from 2 to 9 | Any four manifestations from 1 to 9 or Documented positive family history and any other two manifestations |
| 2 | Wormian bones or open sutures | ||
| 3 | Platybasia | ||
| 4 | Premature loss of teeth | ||
| 5 | Micrognathia | ||
| 6 | Coarse face | ||
| 7 | Coarse hair | ||
| 8 | Midfacial flattening | ||
| 9 | Short stature (<5th percentile) | ||
| 10 | Documented positive family history |
Publisher’s Note: MDPI stays neutral with regard to jurisdictional claims in published maps and institutional affiliations. |
© 2021 by the authors. Licensee MDPI, Basel, Switzerland. This article is an open access article distributed under the terms and conditions of the Creative Commons Attribution (CC BY) license (https://creativecommons.org/licenses/by/4.0/).
Share and Cite
Kaczoruk-Wieremczuk, M.; Adamska, P.; Adamski, Ł.J.; Wychowański, P.; Jereczek-Fossa, B.A.; Starzyńska, A. Oral Surgery Procedures in a Patient with Hajdu-Cheney Syndrome Treated with Denosumab—A Rare Case Report. Int. J. Environ. Res. Public Health 2021, 18, 9099. https://doi.org/10.3390/ijerph18179099
Kaczoruk-Wieremczuk M, Adamska P, Adamski ŁJ, Wychowański P, Jereczek-Fossa BA, Starzyńska A. Oral Surgery Procedures in a Patient with Hajdu-Cheney Syndrome Treated with Denosumab—A Rare Case Report. International Journal of Environmental Research and Public Health. 2021; 18(17):9099. https://doi.org/10.3390/ijerph18179099
Chicago/Turabian StyleKaczoruk-Wieremczuk, Magdalena, Paulina Adamska, Łukasz Jan Adamski, Piotr Wychowański, Barbara Alicja Jereczek-Fossa, and Anna Starzyńska. 2021. "Oral Surgery Procedures in a Patient with Hajdu-Cheney Syndrome Treated with Denosumab—A Rare Case Report" International Journal of Environmental Research and Public Health 18, no. 17: 9099. https://doi.org/10.3390/ijerph18179099
APA StyleKaczoruk-Wieremczuk, M., Adamska, P., Adamski, Ł. J., Wychowański, P., Jereczek-Fossa, B. A., & Starzyńska, A. (2021). Oral Surgery Procedures in a Patient with Hajdu-Cheney Syndrome Treated with Denosumab—A Rare Case Report. International Journal of Environmental Research and Public Health, 18(17), 9099. https://doi.org/10.3390/ijerph18179099

