Diagnostic Concordance between Optical Coherence Tomography and Histological Investigations for Immune-Mediated Desquamative Gingivitis: Observational Study
Abstract
:1. Introduction
2. Materials and Methods
2.1. Entry Criteria
- (i)
- Age ≥ 18 years;
- (ii)
- Ability to provide informed consent;
- (iii)
- Suspected DG related to MMP, PV or OLP, with major involvement of the vestibular gingival masticatory mucosa of the anterior sextants of the oral cavity (i.e., III and V sextants and the most medial portions of I, II, IV and VI sextants) *.* This criterion was imposed by the choice of OCT probe used in this study, characterized by a structure and size that did not allow the management of lesions in the posterior regions of the oral cavity (details later).
2.2. Data Collection and Clinical, OCT and Histological Examinations
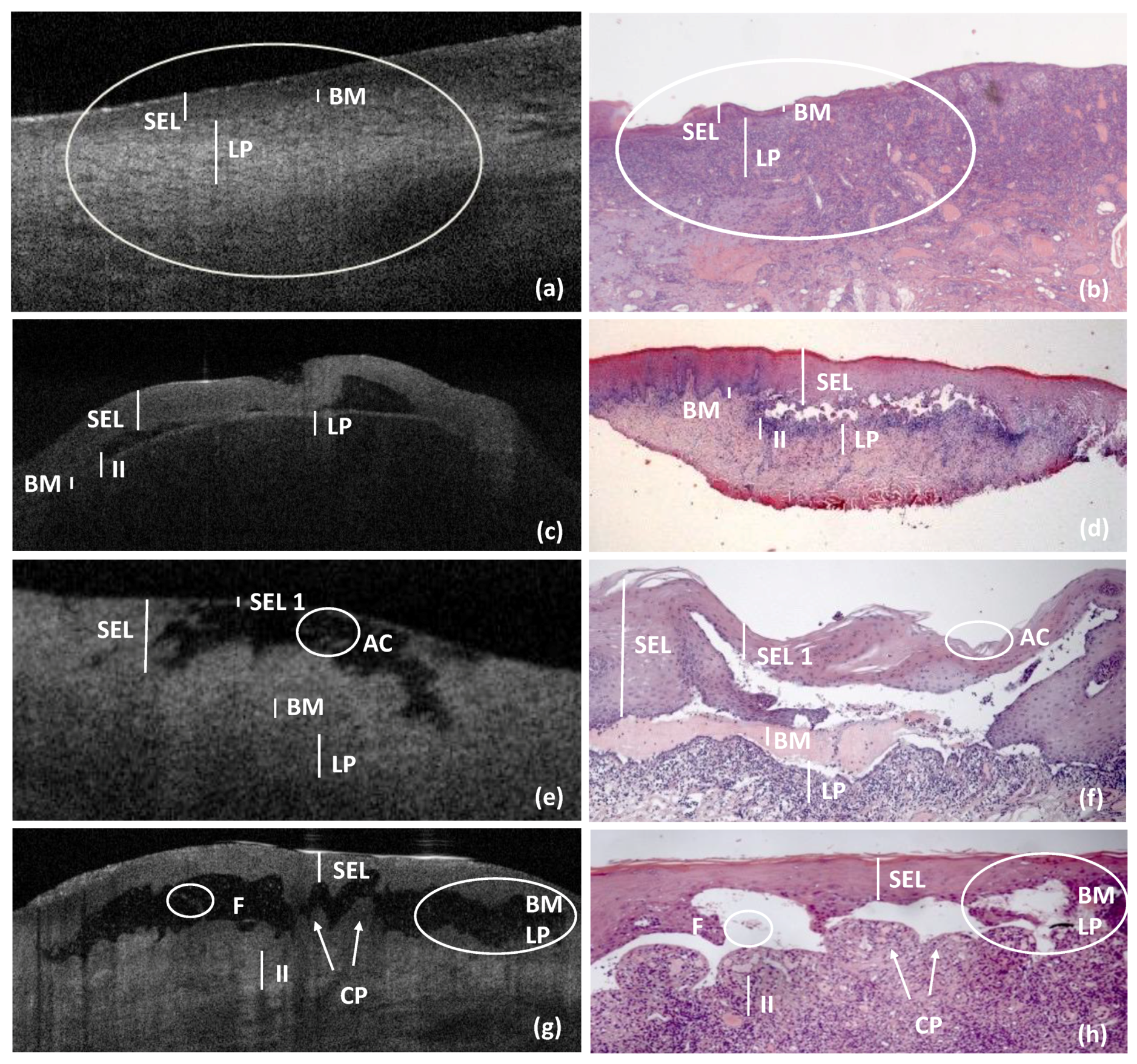
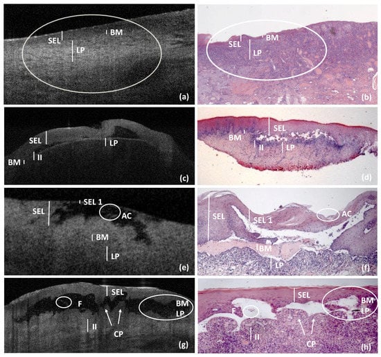
- Normal stratified epithelial layer and epithelial thickness;
- Normal basal membrane and lamina propria;
- Presence of intense inflammatory infiltrate.
- Presence of multilocular subepithelial blister;
- Normal stratified epithelial layer and epithelial thickness;
- Normal basal membrane and lamina propria;
- Presence of intense inflammatory infiltrate.
- Presence of unilocular intraepithelial blister;
- Reduced stratified epithelial layer and epithelial thickness;
- Normal basal membrane and lamina propria;
- Presence of acantholytic cells into the blister.
- Presence of multilocular subepithelial blister;
- Normal stratified epithelial layer and epithelial thickness;
- Altered/indistinguishable basal membrane and lamina propria;
- Presence of inflammatory infiltrate.
2.3. Statistical Analysis
3. Results
- ♦
- N° 19 cases (19/43, 44%) of vesicular–bullous DGs by OLP (10/19, 53%), PV (4/19, 21%) and MMP (5/19, 26%) with positive Nikolsky’s sign;
- ♦
- N° 24 cases (24/43, 56%) of erosive DGs by OLP with negative Nikolsky’s sign.
- ♦
- N° 33 cases (33/43, 77%) of OLP, with sub-specific OCT diagnosis of the vesicular–bullous variant in n° 11/33 (33%) cases;
- ♦
- N° 4 cases (4/43, 9%) of PV;
- ♦
- N° 6 cases (6/43, 14%) of MMP.
- ♦
- N° 33 cases (77%) of DGs with a diagnosis of OLP (with identification of the bullous variant in only 1/ 33 cases);
- ♦
- N° 4 cases (9%) of DGs with a diagnosis of PV;
- ♦
- N° 6 cases (14%) of DGs with a diagnosis of MMP.
4. Discussion
- ♦
- An additional diagnosis to the confirmatory histological one;
- ♦
- A more appropriate identification of vesicular–bullous lesions and their site-specificity, both in the case of pure bullous pathology (i.e., MMP and PV) and in the case of bullous OLP, with or without positivity of Nikolsky’s sign;
- ♦
- The identification of the most representative biopsy site of pathology.
5. Conclusions
Author Contributions
Funding
Institutional Review Board Statement
Informed Consent Statement
Data Availability Statement
Conflicts of Interest
References
- lo Russo, L.; Fedele, S.; Guiglia, R.; Ciavarella, D.; lo Muzio, L.; Gallo, P.; di Liberto, C.; Campisi, G. Diagnostic Pathways and Clinical Significance of Desquamative Gingivitis. J. Periodontol. 2008, 79, 4–24. [Google Scholar] [CrossRef] [PubMed]
- Rashid, H.; Lamberts, A.; Diercks, G.F.H.; Pas, H.H.; Meijer, J.M.; Bolling, M.C.; Horváth, B. Oral Lesions in Autoimmune Bullous Diseases: An Overview of Clinical Characteristics and Diagnostic Algorithm. Am. J. Clin. Dermatol. 2019, 20, 847–861. [Google Scholar] [CrossRef] [Green Version]
- lo Russo, L.; Fierro, G.; Guiglia, R.; Compilato, D.; Testa, N.F.; lo Muzio, L.; Campisi, G. Epidemiology of Desquamative Gingivitis: Evaluation of 125 Patients and Review of the Literature. Int. J. Dermatol. 2009, 48, 1049–1052. [Google Scholar] [CrossRef]
- Hassona, Y.; Cirillo, N.; Taimeh, D.; al Khawaldeh, H.; Sawair, F. Diagnostic Patterns and Delays in Autoimmune Blistering Diseases of the Mouth: A Cross-Sectional Study. Oral Dis. 2018, 24, 802–808. [Google Scholar] [CrossRef] [PubMed]
- lo Russo, L.; Gallo, C.; Pellegrino, G.; lo Muzio, L.; Pizzo, G.; Campisi, G.; di Fede, O. Periodontal Clinical and Microbiological Data in Desquamative Gingivitis Patients. Clin. Oral Investig. 2014, 18, 917–925. [Google Scholar] [CrossRef]
- Maderal, A.D.; Lee Salisbury, P.; Jorizzo, J.L. Desquamative Gingivitis. J. Am. Acad. Dermatol. 2018, 78. [Google Scholar] [CrossRef]
- Carey, B.; Joshi, S.; Abdelghani, A.; Mee, J.; Andiappan, M.; Setterfield, J. The Optimal Oral Biopsy Site for Diagnosis of Mucous Membrane Pemphigoid and Pemphigus Vulgaris. Br. J. Dermatol. 2020, 182, 747–753. [Google Scholar] [CrossRef] [PubMed]
- Kridin, K. Subepidermal Autoimmune Bullous Diseases: Overview, Epidemiology, and Associations. Immunol. Res. 2018, 66, 6–17. [Google Scholar] [CrossRef] [PubMed]
- Bresler, S.C.; Bavarian, R.; Granter, S.R.; Woo, S. Direct Immunofluorescence Is of Limited Utility in Patients with Low Clinical Suspicion for an Oral Autoimmune Bullous Disorder. Oral Dis. 2020, 26, 81–88. [Google Scholar] [CrossRef] [PubMed]
- Mascitti, M.; Orsini, G.; Tosco, V.; Monterubbianesi, R.; Balercia, A.; Putignano, A.; Procaccini, M.; Santarelli, A. An Overview on Current Non-Invasive Diagnostic Devices in Oral Oncology. Front. Physiol. 2018, 9, 1510. [Google Scholar] [CrossRef] [Green Version]
- Tomlins, P.H.; Wang, R.K. Theory, Developments and Applications of Optical Coherence Tomography. J. Phys. D Appl. Phys. 2005, 38, 2519. [Google Scholar] [CrossRef]
- Capocasale, G.; Panzarella, V.; Rodolico, V.; di Fede, O.; Campisi, G. In Vivo Optical Coherence Tomography Imaging in a Case of Mucous Membrane Pemphigoid and a Negative Nikolsky’s Sign. J. Dermatol. 2018, 45, 603–605. [Google Scholar] [CrossRef]
- di Stasio, D.; Lauritano, D.; Iquebal, H.; Romano, A.; Gentile, E.; Lucchese, A. Measurement of Oral Epithelial Thickness by Optical Coherence Tomography. Diagnostics 2019, 9, 90. [Google Scholar] [CrossRef] [PubMed] [Green Version]
- Gentile, E.; Maio, C.; Romano, A.; Laino, L.; Lucchese, A. The Potential Role of in Vivo Optical Coherence Tomography for Evaluating Oral Soft Tissue: A Systematic Review. J. Oral Pathol. Med. 2017, 46, 864–876. [Google Scholar] [CrossRef] [PubMed]
- Gambino, A.; Cabras, M.; Cafaro, A.; Broccoletti, R.; Carossa, S.; Hopper, C.; Chiusa, L.; el Haddad, G.; Porter, S.R.; Arduino, P.G. In-Vivo Usefulness of Optical Coherence Tomography in Atrophic-Erosive Oral Lichen Planus: Comparison between Histopathological and Ultrastructural Findings. J. Photochem. Photobiol. B Biol. 2020, 211, 112009. [Google Scholar] [CrossRef]
- Mandel, V.D.; Cinotti, E.; Benati, E.; Labeille, B.; Ciardo, S.; Vaschieri, C.; Cambazard, F.; Perrot, J.L.; Pellacani, G. Reflectance Confocal Microscopy and Optical Coherence Tomography for the Diagnosis of Bullous Pemphigoid and Pemphigus and Surrounding Subclinical Lesions. J. Eur. Acad. Dermatol. Venereol. 2018, 32. [Google Scholar] [CrossRef] [PubMed]
- Mogensen, M.; Morsy, H.; Nurnberg, B.; Jemec, G. Optical Coherence Tomography Imaging of Bullous Diseases. J. Eur. Acad. Dermatol. Venereol. 2008, 22, 1458–1464. [Google Scholar] [CrossRef]
- Panzarella, V.; Bartolone, A.; Rodolico, V.; Capocasale, G.; Maniscalco, L.; Matranga, D.; di Fede, O.; Campisi, G. Immune-Mediated Desquamative Gingivitis and Optical Coherence Tomography Diagnostic Patterns: Clinical Implication from a Systematic Review. Diagnostics 2021, 11, 1453. [Google Scholar] [CrossRef]
- Tofan, E.C.; Părlătescu, I.; Ţovaru, Ş.; Nicolae, C.; Preda, A.S.; Funieru, C. Desquamative Gingivitis-A Clinicopathological Review. Curr. Health Sci. J. 2018, 44, 331–336. [Google Scholar] [CrossRef]
- Arundhathi, S.; Ragunatha, S.; Mahadeva, K.C. A Cross-Sectional Study of Clinical, Histopathological and Direct Immunofluorescence Spectrum of Vesiculobullous Disorders. J. Clin. Diagn. Res. 2013, 7, 2788. [Google Scholar] [CrossRef]
- Mignogna, M.D.; Fortuna, G.; Leuci, S.; Ruoppo, E.; Marasca, F.; Matarasso, S. Nikolsky’s Sign on the Gingival Mucosa: A Clinical Tool for Oral Health Practitioners. J. Periodontol. 2008, 79. [Google Scholar] [CrossRef] [PubMed]
- Leuci, S.; Ruoppo, E.; Adamo, D.; Calabria, E.; Mignogna, M.D. Oral Autoimmune Vesicobullous Diseases: Classification, Clinical Presentations, Molecular Mechanisms, Diagnostic Algorithms, and Management. Periodontology 2000 2019, 80, 77–88. [Google Scholar] [CrossRef] [PubMed]
- di Stasio, D.; Lauritano, D.; Loffredo, F.; Gentile, E.; della Vella, F.; Petruzzi, M.; Lucchese, A. Optical Coherence Tomography Imaging of Oral Mucosa Bullous Diseases: A Preliminary Study. Dentomaxillofacial Radiol. 2020, 49, 20190071. [Google Scholar] [CrossRef] [PubMed]
- Liakopoulou, A.; Rallis, E. Bullous Lichen Planus–A Review. J. Dermatol. Case Rep. 2017, 11, 1. [Google Scholar] [CrossRef] [PubMed] [Green Version]



| DG (No. 43) | ||
|---|---|---|
| N | (%) | |
| Sex | ||
| Female | 37 | (86) |
| Male | 6 | (14) |
| Medical history of immune-mediated diseases | ||
| Negative | 43 | (100) |
| Positive | 0 | (0) |
| Tobacco consumption (pack/years) | ||
| Non-smokers (0) | 21 | (49) |
| Light smokers (<25) | 4 | (9) |
| Moderate/heavy smokers (>25) | 18 | (42) |
| Alcohol consumption (DU/years) | ||
| Non-drinkers (0) | 38 | (88) |
| Moderate drinkers (<16) | 5 | (12) |
| Heavy drinkers (>16) | 0 | (0) |
| DGs Diseases | Clinical Hypotheses N (%) | OCT Diagnosis N (%) | Histopathological Diagnosis N (%) |
|---|---|---|---|
| OLP | 34/43 (79%) | 33/43 (77%) | 33/43 (77%) |
| Erosive OLP | 24/34 (71%) | 22/33 (67%) | 32/33 (97%) |
| Bullous OLP | 10/34 (29%) | 11/33 (33%) | 1/33 (3%) |
| PV | 4/43 (9%) | 4/43 (9%) | 4/43(9%) |
| MMP | 5/43 (12%) | 6/43 (14%) | 6/43 (14%) |
Publisher’s Note: MDPI stays neutral with regard to jurisdictional claims in published maps and institutional affiliations. |
© 2021 by the authors. Licensee MDPI, Basel, Switzerland. This article is an open access article distributed under the terms and conditions of the Creative Commons Attribution (CC BY) license (https://creativecommons.org/licenses/by/4.0/).
Share and Cite
Panzarella, V.; Bartolone, A.; Coniglio, R.; Rodolico, V.; Maniscalco, L.; Capocasale, G.; Iurato Carbone, M.; Campisi, G. Diagnostic Concordance between Optical Coherence Tomography and Histological Investigations for Immune-Mediated Desquamative Gingivitis: Observational Study. Int. J. Environ. Res. Public Health 2021, 18, 9095. https://doi.org/10.3390/ijerph18179095
Panzarella V, Bartolone A, Coniglio R, Rodolico V, Maniscalco L, Capocasale G, Iurato Carbone M, Campisi G. Diagnostic Concordance between Optical Coherence Tomography and Histological Investigations for Immune-Mediated Desquamative Gingivitis: Observational Study. International Journal of Environmental Research and Public Health. 2021; 18(17):9095. https://doi.org/10.3390/ijerph18179095
Chicago/Turabian StylePanzarella, Vera, Alessia Bartolone, Rita Coniglio, Vito Rodolico, Laura Maniscalco, Giorgia Capocasale, Martina Iurato Carbone, and Giuseppina Campisi. 2021. "Diagnostic Concordance between Optical Coherence Tomography and Histological Investigations for Immune-Mediated Desquamative Gingivitis: Observational Study" International Journal of Environmental Research and Public Health 18, no. 17: 9095. https://doi.org/10.3390/ijerph18179095
APA StylePanzarella, V., Bartolone, A., Coniglio, R., Rodolico, V., Maniscalco, L., Capocasale, G., Iurato Carbone, M., & Campisi, G. (2021). Diagnostic Concordance between Optical Coherence Tomography and Histological Investigations for Immune-Mediated Desquamative Gingivitis: Observational Study. International Journal of Environmental Research and Public Health, 18(17), 9095. https://doi.org/10.3390/ijerph18179095

