Integrated Multitrophic Aquaculture By-Products with Added Value: The Polychaete Sabella spallanzanii and the Seaweed Chaetomorpha linum as Potential Dietary Ingredients
Abstract
1. Introduction
2. Results
2.1. Rearing/Cultivation of Bioremediators in IMTA
2.2. Total Lipid and Fatty Acid Composition
2.3. Feed Formulation and Preliminary Fish Growth Trials
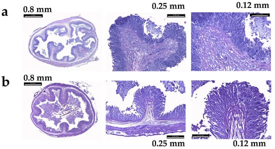
2.4. Fish Histological Analyses
3. Discussion
- During both the trials, the physico-chemical parameters of water were in the normal range for optimal fish growth, showing that the innovative feed did not affect negatively the rearing conditions;
- Employing the innovative meal, the survival rate was 96% ± 2% with the lowest sized fish and 94% ± 2%. with the highest sized fish. Being that these values higher were than 80%, our results can be considered excellent in nursery operation [38]. Thus, our data indicate that the innovative meal did not affect the survival of treated fish and that the fish rearing was carefully managed. Moreover, high values of survival rate indicate that all fish had equal access to feed and uniform growth rates were achieved as demonstrated by the obtained indices of weight and length increase;
- In both the trials no statistical differences were evidenced in biomass gain and specific growth rate between fishes nourished with the control and the innovative meal. These results are of particular interest since they demonstrated that the addition to fishmeal of 10% of polychaete meal and 5% of algal meal does not produce negative effects on the fish growth. This result is in line with other studies showing positive effects on growth, feed utilization, lipid metabolism, liver function, body composition, stress responses, and disease resistance determined by the addition of even small amounts of several algal-based meals to fish diets [39]. Moreover, the polychaete S. spallanzanii, due to its already investigated high protein content with noble amino acids [15] presumably contributed to improve palatability for the farmed fish species. This represents an added value in the hypothesis of fishmeal replacement, since decrease of fish meal, and/or fish oil, can lead to a decrease in palatability in diets with, as an example, an increased vegetal content. The decrease of palatability can lead to a decrease of feed uptake, making these feeds less effective for fish growth and health. Moreover, the experimental feed containing polychaete and seaweed meal did not produce any histological alterations in the stomach of fish and the conditions of stomach mucosa were comparable with those of fish fed with the control feed.
4. Materials and Methods
4.1. Species Sampling
4.2. Rearing/Cultivation of Bioremediators in IMTA System
4.3. Total Lipid and Fatty Acid Analysis
4.4. Experimental Feed Fish Formulation and Proximate Composition
4.5. Fish Growth Trials
- Survival rate (%) = (number of fish at the end/number of fish at the beginning) × 100;
- Biomass gain (g) = final individual weight − initial individual weight;
- Specific growth rate (%) = (ln final weight − ln initial weight) × 100/feeding days.
- Feed intake (g kg−1day−1) = feed consumed/biomass/t.
4.6. Fish Histological Analyses
4.7. Statistical Analysis
5. Conclusions
Author Contributions
Funding
Acknowledgments
Conflicts of Interest
References
- FAO. The State of World Fisheries and Aquaculture 2018—Meeting the Sustainable Development Goals; FAO: Rome, Italy, 2018; Available online: http://www.fao.org/3/I9540EN/i9540en.pdf (accessed on 28 November 2019).
- Chopin, T. Aquaculture, Integrated Multi-trophic (IMTA). In Sustainable Food Production; Christou, P., Savin, R., Costa-Pierce, B.A., Misztal, I., Whitelaw, C.B.A., Eds.; Springer: New York, NY, USA, 2013. [Google Scholar] [CrossRef]
- Gifford, S.; Dunstan, R.H.; O’Connor, W.; Koller, C.E.; MacFarlane, G.R. Aquatic zooremediation: Deploying animals to remediate contaminated aquatic environments. Trends Biotechnol. 2006, 25, 60–65. [Google Scholar] [CrossRef] [PubMed]
- Riisgård, H.U.; Larsen, P.S. Filter-feeding in marine macro-invertebrates: Pump characteristics, modelling and energy cost. Biol. Rev. 1995, 70, 67–106. [Google Scholar] [CrossRef] [PubMed]
- Ostroumov, S. Some aspects of water filtering activity of filter feeders. Hydrobiologia 2005, 542, 275–286. [Google Scholar] [CrossRef]
- Milanese, M.; Chelossi, E.; Manconi, R.; Sara, A.; Sidri, M.; Pronzato, R. The marine sponge Chondrilla nucula Schmidt, 1862 as an elective candidate for bioremediation in integrated aquaculture. Biomol. Eng. 2003, 20, 363–368. [Google Scholar] [CrossRef]
- Giangrande, A.; Cavallo, A.; Licciano, M.; Mola, E.; Pierri, C.; Trianni, L. Utilization of the filter feeder Sabella spallanzanii as bioremediator in aquaculture. Aquac. Int. 2005, 13, 129–136. [Google Scholar] [CrossRef]
- Fu, W.; Sun, L.; Zhang, X.; Zhang, W. Potential of the marine sponge Hymeniacidon perleve as a bioremediator of pathogenic bacteria in integrated aquaculture ecosystems. Biotechnol. Bioeng. 2006, 93, 1112–1122. [Google Scholar] [CrossRef]
- Ostroumov, S.; Widdows, J. Inhibition of mussel suspension feeding by surfactants of three classes. Hydrobiologia 2006, 556, 381–386. [Google Scholar] [CrossRef]
- Ajjabi, L.C.; Abaab, M.; Segni, R. The red macroalga Gracilaria verrucosa in co-culture with the Mediterranean mussels Mytilus galloprovincialis: Productivity and nutrient removal performance. Aquacult Int 2018, 26, 253–266. [Google Scholar] [CrossRef]
- Martins, A.; Vieira, H.; Gaspar, H.; Santos, S. Marketed marine natural products in the pharmaceutical and cosmeceutical industries: Tips for success. Mar. Drugs 2014, 12, 1066–1101. [Google Scholar] [CrossRef]
- Duarte, K.; Justino, C.I.L.; Pereira, R.; Freitas, A.C.; Gomes, A.M.; Duarte, A.C.; Rocha-Santos, T.A.P. Green analytical methodologies for the discovery of bioactive compounds from marine sources. Trends Environ. Anal. Chem. 2014, 3, 43–52. [Google Scholar] [CrossRef]
- Stabili, L.; Acquaviva, M.I.; Biandolino, F.; Cavallo, R.A.; De Pascali, S.A.; Fanizzi, F.P.; Narracci, M.; Petrocelli, A.; Cecere, E. The lipidic extract of the seaweed Gracilariopsis longissima (Rhodophyta, Gracilariales): A potential resource for biotechnological purposes? New Biotechnol. 2012, 29, 443–450. [Google Scholar] [CrossRef] [PubMed]
- Li, P.; Mai, K.; Trushenski, J.; Wu, G. New developments in fish amino acid nutrition: Towards functional and environmentally oriented aquafeeds. Amino acids 2009, 37, 43–53. [Google Scholar] [CrossRef] [PubMed]
- Stabili, L.; Sicuro, B.; Daprà, F.; Gai, F.; Abete, C.; Dibenedetto, A.; Pastore, C.; Schirosi, R.; Giangrande, A. The Biochemistry of Sabella spallanzanii (Annelida: Polychaeta): A potential resource for the fish feed industry. J. World Aquac.Soc. 2013, 44, 384–395. [Google Scholar] [CrossRef]
- Salze, G.; Mc Lean, E.; Battle, P.R.; Schwarz, M.C.; Craig, S.R. Use of soy protein concentrate and novel ingredients in the total elimination of fish meal and fish oil in diets for juvenile cobia, Rachycentron canadum. Aquaculture 2010, 298, 294–299. [Google Scholar] [CrossRef]
- Olive, P.J.W.; Craig, S.; Cowin, P.B.D.; Islam, M.D.; Rutherford, G. The culture of Polychaeta as a contribution to sustainable production of aquafeeds. In Abstract of Aquaculture Europe 2001; European Aquaculture Society Special Publication: Ostend, Belgium, 2002. [Google Scholar]
- Murugesan, P.; Elayaraja, S.; Vijayalakshmi, S.; Balasubramanian, T. Polychaetes—A suitable live feed for growth and colour quality of the clownfish, Amphiprion sebae (Bleeker, 1953). J. Mar. Biol. Assoc. India 2011, 53, 1–7. [Google Scholar] [CrossRef]
- García-Alonso, J.; Müller, C.T.; Hardege, J.D. Influence of food regimes and seasonality on fatty acid composition in the ragworm. Aquat. Biol. 2008, 4, 7–13. [Google Scholar] [CrossRef]
- Mustafa, M.G.; Nakagawa, H. A review: Dietary benefits of algae as an additive in fish feed. Isr. J. Aquac. 1995, 47, 155–162. [Google Scholar]
- Valente, L.M.P.; Gouveia, A.; Rema, P.; Matos, J.; Gomes, E.F.; Pinto, I.S. Evaluation of three seaweeds Gracilaria bursa-pastoris, Ulva rigida and Gracilaria cornea as dietary ingredients in European sea bass (Dicentrarchus labrax) juveniles. Aquaculture 2006, 252, 85–91. [Google Scholar] [CrossRef]
- Yu, Y.Y.; Chen, W.D.; Liu, Y.J.; Niu, J.; Chen, M.; Tian, L.X. Effect of different dietary levels of Gracilaria lemaneiformis dry power on growth performance, haematological parameters and intestinal structure of juvenile Pacific white shrimp (Litopenaeus vannamei). Aquaculture 2016, 450, 356–362. [Google Scholar] [CrossRef]
- Miller, M.R.; Nichols, P.D.; Carter, C.G. n-3 Oil sources for use in aquaculture—alternatives to the unsustainable harvest of wild fish. Nutr. Res. Rev. 2008, 21, 85–96. [Google Scholar] [CrossRef]
- Martinez-Porchas, M.; Martinez-Cordova, L.R. World Aquaculture: Environmental Impacts and Troubleshooting Alternatives. Sci. World J. 2012, 2012, 9. [Google Scholar] [CrossRef] [PubMed]
- Ahmed, N.; Thompson, S. The blue dimensions of aquaculture: A global synthesis. Sci. Total Environ. 2019, 652, 851–861. [Google Scholar] [CrossRef] [PubMed]
- Bouwman, A.F.; Pawlowski, M.; Liu, C.; Beusen, A.H.W.; Shumway, S.E.; Glibert, P.M.; Overbeek, C.C. Global hindcasts and future projections of coastal nitrogen and phosphorus loads due to shellfish and seaweed aquaculture. Rev. Fish. Sci. 2011, 19, 331–357. [Google Scholar] [CrossRef]
- Chopin, T.; Buschmann, A.H.; Halling, C.; Troell, M.; Kautsky, N.; Neori, A.; Kraemer, G.P.; Zertuche-González, J.A.; Yarish, C.; Neefus, C. Integrating seaweeds into marine aquaculture systems: A key toward sustainability. J. Phycol. 2001, 37, 975–986. [Google Scholar] [CrossRef]
- Su, J.; Hou, H.; Wang, C.; Luo, Y. Effects of replacing soybean meal with cottonseed meal on growth, muscle amino acids, and hematology of juvenile common carp, Cyprinus carpio. Aquac. Int. 2019, 27, 555–566. [Google Scholar] [CrossRef]
- Linder, M.; Belhaj, N.; Sautot, P.; Tehrany, E.A. From Krill to Whale: An overview of marine fatty acids and lipid compositions. Oléagineux Corps Gras Lipides 2010, 17, 194–204. [Google Scholar] [CrossRef]
- Ibarguren, M.; López, D.J.; Escribá, P.V. The effect of natural and synthetic fatty acids on membrane structure, microdomain organization, cellular functions and human health. Biochim. Biophys. Acta Biomembr. 2014, 1838, 1518–1528. [Google Scholar] [CrossRef]
- Stabili, L.; Licciano, M.; Giangrande, A.; Fanelli, G.; Cavallo, R.A. Sabella spallanzanii filter-feeding on bacterial community: Ecological implications and applications. Mar. Environ. Res. 2006, 61, 74–92. [Google Scholar] [CrossRef]
- Stabili, L.; Schirosi, R.; Licciano, M.; Mola, E.; Giangrande, A. Bioremediation of bacteria in aquaculture waste using the by-product polychaete Sabella spallanzanii. New Biotechnol. 2010, 27, 774–781. [Google Scholar] [CrossRef]
- Sanchez-Machado, D.I.; Lopez-Cervantes, J.; Lopez-Hernandez, J.; Paseiro-Losada, P. Fatty acids, total lipid, protein and ash contents of processed edible seaweeds. Food Chem. 2004, 85, 439–444. [Google Scholar] [CrossRef]
- Mahan, L.K.; Escott-Stump, S. Krause’s Food, Nutrition, & Diet Therapy, 10th ed.; W.B. Saunders: Philadelphia, PA, USA, 2000; ISBN 0721679048, 9780721679044. [Google Scholar]
- Colombo, M.L.; Risè, P.; Giavarini, F.; De Angelis, L.; Galli, C.; Bolis, C.L. Marine macroalgae as sources of polyunsaturated fatty acids. Plant Food Hum. Nutr. 2006, 61, 67–72. [Google Scholar] [CrossRef] [PubMed]
- Dawczynski, C.; Schubert, R.; Jahreis, G. Amino acids, fatty acids, and dietary fibre in edible seaweed products. Food Chem. 2007, 103, 891–899. [Google Scholar] [CrossRef]
- Cecere, E.; Acquaviva, M.; Belmonte, M.; Biandolino, F.; Cavallo, R.A.; Lo Noce, R.; Narracci, M.; Petrocelli, A.; Ricci, P.; Stabili, L.; et al. Seaweeds and aquaculture: An indispensable alliance for the integrated management of coastal zone. Biol. Mar. Mediterr. 2010, 17, 138–141. [Google Scholar]
- Sumi, K.R.; Das, M.; Siddika, I. Effect of different protein levels of fry feed on the production of quality tilapia (Oreochromis niloticus) fry. J. Bangladesh Agric. Univ. 2011, 9, 365–374. [Google Scholar] [CrossRef]
- Shi, Q.; Rong, H.; Hao, M.; Zhu, D.; Aweya, J.J.; Li, S.; Wen, X. Effects of dietary Sargassum horneri on growth performance, serum biochemical parameters, hepatic antioxidant status, and immune responses of juvenile black sea bream Acanthopagrus schlegelii. J. Appl Phycol. 2019, 31, 771–778. [Google Scholar] [CrossRef]
- Yong, Y.Y.; Yong, W.T.L.; Anton, A. Analysis of formulae for determination of seaweed growth rate. J. Appl. Phycol. 2013, 25, 1831–1834. [Google Scholar] [CrossRef]
- Folch, J.; Less, M.; Stanley, G.H.S. A simple method for the isolation and purification of total lipids from animal tissues. J. Biol. Chem. 1957, 226, 497–508. [Google Scholar]
- Zollner, N.; Kirsch, K. Determination of the total lipid concentration in serum. Zentralblatt Gesamte Exp. Med. 1962, 135, 545–549. [Google Scholar]
- Budge, S.M.; Parrish, C.C. FA determination in cold water marine samples. Lipids 2003, 38, 781–791. [Google Scholar] [CrossRef]
- Stabili, L.; Acquaviva, M.I.; Biandolino, F.; Cavallo, R.A.; De Pascali, S.A.; Fanizzi, F.; Narracci, M.; Cecere, E.; Petrocelli, A. Biotechnological potential of the seaweed Cladophora rupestris (Chlorophyta, Cladophorales) lipidic extract. New Biotechnol. 2014, 31, 436–444. [Google Scholar] [CrossRef]
- AOAC. Official Methods of Analysis, 16th ed.; Association of Official Analytical Chemists: Washington, DC, USA, 1995. [Google Scholar]
- Palmegiano, G.B.; Daprà, F.; Forneris, G.; Gai, F.; Gasco, L.; Guo, K.; Peiretti, P.G.; Sicuro, B.; Zoccarato, I. Rice protein concentrate meal as a potential ingredient in practical diets for rainbow trout (Oncorhynchus mykiss). Aquaculture 2006, 258, 357–367. [Google Scholar] [CrossRef]






| Saturated fatty acid (SFA) percentages | |
| 14:0 | 9.64 ± 0.57 |
| 15:0 | 0.25 ± 0.02 |
| 16:0 | 26.18 ± 3.82 |
| 17:0 | 0.20 ± 0.01 |
| 18:0 | 8.95 ± 0.32 |
| 20:0 | 1.66 ± 0.01 |
| 22:0 | 7.62 ± 0.21 |
| 23:0 | 0.34 ± 0.09 |
| 24:0 | 2.43 ± 0.86 |
| ∑ | 57.26 |
| Monounsaturated fatty acid (MUFA) percentages | |
| 16:1 n-7 | 5.62 ± 1.36 |
| 17:1 n-8 | 4.67 ± 1.62 |
| 18:1 n-9 | 3.16 ± 0.62 |
| 18:1 n-7 | 4.94 ± 0.98 |
| 20:1 n-9 | 3.28 ± 1.15 |
| 22:1 n-9 | 1.12 ± 0.06 |
| 24:1 n-9 | 3.67 ± 0.13 |
| ∑ | 26.46 |
| Polyunsaturated fatty acid (PUFA) percentages | |
| 18:2 n-6 | 0.54 ± 0.08 |
| 18:2 n-4 | 0.64 ± 0.10 |
| 18:3 n-6 | 0.81 ± 0.16 |
| 18:3 n-3 | 2.04 ± 1.18 |
| 20:2 n-6 | 0.85 ± 0.24 |
| 20:3 n-6 | 1.49 ± 0.13 |
| 20:3 n-3 | 1.20 ± 0.23 |
| 20:4 n-6 | 1.74 ± 0.39 |
| 20:5 n-3 | 1.17 ± 0.32 |
| 22:2 n-6 | 4.50 ± 1.25 |
| 22:6 n-3 | 1.29 ± 0.36 |
| ∑ | 16.28 |
| Ingredients (%) | 1 CTRL | 1 IM |
|---|---|---|
| Fish meal 2 | 88.0 | 73.0 |
| Algae meal | - | 5.0 |
| Polychaete meal | - | 10.0 |
| Fish oil 2 | 9.0 | 9.0 |
| Lygnumsulphyte | 1.0 | 1.0 |
| Mineral mixture 3 | 1.0 | 1.0 |
| Vitamin mixture 4 | 1.0 | 1.0 |
| (% Dry Weight) | 1 CTRL | 1 IM |
|---|---|---|
| Crude protein | 46.0 ± 0.4 | 45.8 ± 0.3 |
| Ether extract | 15.5 ± 0.1 | 15.3 ± 0.1 |
| Ash | 11.5 ± 0.1 | 11.2 ± 0.2 |
| Gross energy | 20.79 ± 0.21 | 20.82 ± 1.01 |
| I Trial | ||
| 1 CTRL | 1 IM | |
| Biomass gain (g) | 0.62 ± 0.04 | 0.55 ± 0.01 |
| Specific growth rate (%) | 4.32 ± 0.21 | 4.14 ± 0.16 |
| Survival rate (%) | 87 ± 2 | 96 ± 2 |
| Final fish weight (g) | 0.67 ± 0.05 | 0.6 ± 0.07 |
| Feed intake (g kg−1day−1) | 15.0 ± 1.3 | 14.2 ± 1.6 |
| II Trial | ||
| 1 CTRL | 1 IM | |
| Biomass gain (g) | 2.87 ± 0.15 | 2.1 ± 0.12 |
| Specific growth rate (%) | 2.96 ± 0.16 | 2.4 ± 0.11 |
| Survival rate (%) | 85 ± 3 | 94 ± 2 |
| Final fish weight (g) | 4.87 ± 0.8 | 4.1 ± 0.9 |
| Feed intake (g kg−1day−1) | 15.5 ± 0.4 | 14.7 ± 1.3 |
© 2019 by the authors. Licensee MDPI, Basel, Switzerland. This article is an open access article distributed under the terms and conditions of the Creative Commons Attribution (CC BY) license (http://creativecommons.org/licenses/by/4.0/).
Share and Cite
Stabili, L.; Cecere, E.; Licciano, M.; Petrocelli, A.; Sicuro, B.; Giangrande, A. Integrated Multitrophic Aquaculture By-Products with Added Value: The Polychaete Sabella spallanzanii and the Seaweed Chaetomorpha linum as Potential Dietary Ingredients. Mar. Drugs 2019, 17, 677. https://doi.org/10.3390/md17120677
Stabili L, Cecere E, Licciano M, Petrocelli A, Sicuro B, Giangrande A. Integrated Multitrophic Aquaculture By-Products with Added Value: The Polychaete Sabella spallanzanii and the Seaweed Chaetomorpha linum as Potential Dietary Ingredients. Marine Drugs. 2019; 17(12):677. https://doi.org/10.3390/md17120677
Chicago/Turabian StyleStabili, Loredana, Ester Cecere, Margherita Licciano, Antonella Petrocelli, Benedetto Sicuro, and Adriana Giangrande. 2019. "Integrated Multitrophic Aquaculture By-Products with Added Value: The Polychaete Sabella spallanzanii and the Seaweed Chaetomorpha linum as Potential Dietary Ingredients" Marine Drugs 17, no. 12: 677. https://doi.org/10.3390/md17120677
APA StyleStabili, L., Cecere, E., Licciano, M., Petrocelli, A., Sicuro, B., & Giangrande, A. (2019). Integrated Multitrophic Aquaculture By-Products with Added Value: The Polychaete Sabella spallanzanii and the Seaweed Chaetomorpha linum as Potential Dietary Ingredients. Marine Drugs, 17(12), 677. https://doi.org/10.3390/md17120677
