Operative Treatment of Adolescent Diaphyseal Clavicle Fracture: Elastic Stable Intramedullary Nail Versus Plate Fixation
Abstract
1. Introduction
2. Materials and Methods
2.1. Operative Indications, Surgical Techniques, and Postoperative Management
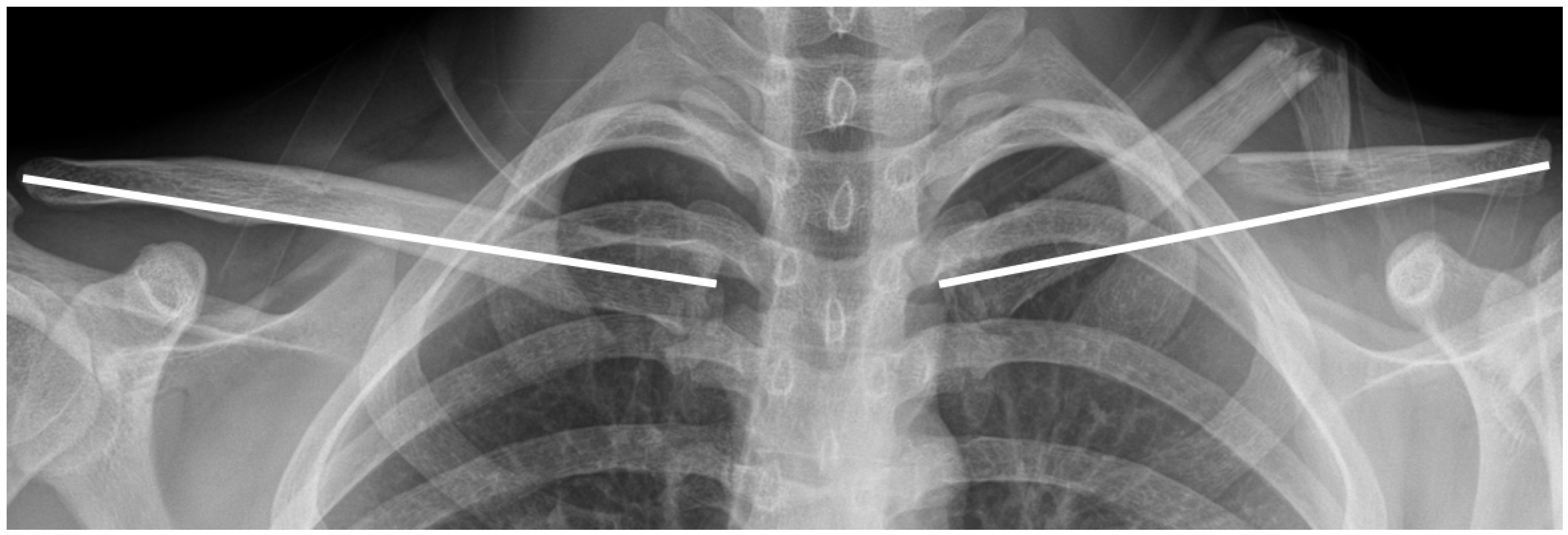
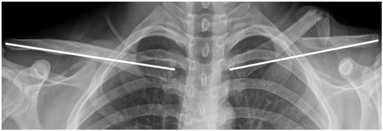
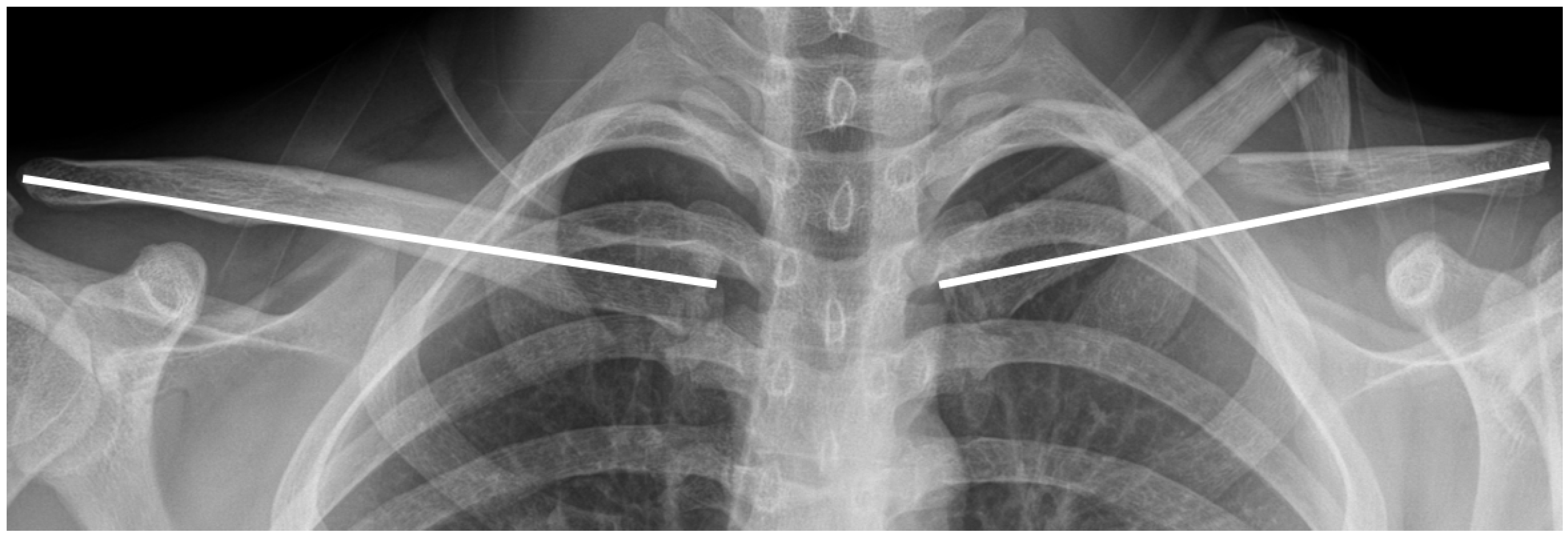
2.2. Investigated Variables
2.3. Statistical Analysis
3. Results
4. Discussion
4.1. Adolescent Clavicle Fracture and Its Treatment Methods
4.2. Postoperative Outcomes in Adolescent Diaphyseal Clavicular Fracture
4.3. Postoperative Complications in Adolescent Diaphyseal Clavicular Fracture
5. Conclusions
Author Contributions
Funding
Institutional Review Board Statement
Informed Consent Statement
Data Availability Statement
Conflicts of Interest
Abbreviations
| ESIN | Elastic Stable Intramedullary Nailing |
| IRB | Institutional Review Board |
| BMI | Body Mass Index |
| AP | Anteroposterior |
| ICC | Intraclass Correlation Coefficient |
| QuickDASH | Quick Disabilities of the Arm, Shoulder, and Hand |
| IQR | Interquartile Range |
| LCP | Locking Compression Plate |
| SPSS | Statistical Package for the Social Sciences |
References
- Postacchini, F.; Gumina, S.; De Santis, P.; Albo, F. Epidemiology of clavicle fractures. J. Shoulder Elb. Surg. 2002, 11, 452–456. [Google Scholar] [CrossRef]
- Fanter, N.J.; Kenny, R.M.; Baker, C.L., 3rd; Baker, C.L., Jr. Surgical treatment of clavicle fractures in the adolescent athlete. Sports Health 2015, 7, 137–141. [Google Scholar] [CrossRef] [PubMed]
- Ellis, H.B.; Li, Y.; Bae, D.S.; Kalish, L.A.; Wilson, P.L.; Pennock, A.T.; Nepple, J.J.; Willimon, S.C.; Spence, D.D.; Pandya, N.K.; et al. Descriptive Epidemiology of Adolescent Clavicle Fractures: Results From the FACTS (Function after Adolescent Clavicle Trauma and Surgery) Prospective, Multicenter Cohort Study. Orthop. J. Sports Med. 2020, 8, 2325967120921344. [Google Scholar] [CrossRef] [PubMed]
- Hamid, M.B.A.; Younis, Z.; Mannan, M.; Prabhu, R.M.; Shrivastava, N.; Tauseef, A.; Nagaiah, M.A.; Raza, A.; Kashani, A. Adolescent Clavicle Fractures: A Management Dilemma? Cureus 2025, 17, e77961. [Google Scholar] [CrossRef]
- Cole, M.W.; Collins, L.K.; Familia, M.M.; Skalak, T.J.; Lee, O.C.; Sherman, W.F. Trends in the Treatment of Adolescent Clavicle Fractures: Are We Listening to the Evidence? J. Am. Acad. Orthop. Surg. Glob. Res. Rev. 2023, 7, e22.00277. [Google Scholar] [CrossRef]
- Mitchell, B.C.; Ellis, H.; Wilson, P.; Pennock, A.T. An Evidence-Based Approach to Managing Adolescent (Ages 10 to 19 Years) Diaphyseal Clavicle Fractures. J. Am. Acad. Orthop. Surg. 2024, 32, e156–e165. [Google Scholar] [CrossRef]
- Xu, J.; Xu, L.; Xu, W.; Gu, Y.; Xu, J. Operative versus nonoperative treatment in the management of midshaft clavicular fractures: A meta-analysis of randomized controlled trials. J. Shoulder Elb. Surg. 2014, 23, 173–181. [Google Scholar] [CrossRef]
- Canadian Orthopaedic Trauma Society. Nonoperative treatment compared with plate fixation of displaced midshaft clavicular fractures. A multicenter, randomized clinical trial. J. Bone Jt. Surg. Am. 2007, 89, 1–10. [Google Scholar] [CrossRef]
- Hong, P.; Liu, R.; Rai, S.; Ze, R.; Tang, X.; Li, J. Plating versus elastic stable intramedullary nailing for displaced pediatric midshaft clavicular fractures. J. Orthop. Traumatol. 2022, 23, 42. [Google Scholar] [CrossRef]
- Haider, A.H.; Chang, D.C.; Haut, E.R.; Cornwell, E.E., 3rd; Efron, D.T. Mechanism of injury predicts patient mortality and impairment after blunt trauma. J. Surg. Res. 2009, 153, 138–142. [Google Scholar] [CrossRef]
- Lima, G.V.; La Banca, V.; Murachovsky, J.; Nascimento, L.G.P.; Almeida, L.H.O.; Ikemoto, R.Y. Assessment of the measurement methods in midshaft clavicle fracture. BMC Musculoskelet. Disord. 2022, 23, 992. [Google Scholar] [CrossRef]
- Gabel, C.P.; Yelland, M.; Melloh, M.; Burkett, B. A modified QuickDASH-9 provides a valid outcome instrument for upper limb function. BMC Musculoskelet. Disord. 2009, 10, 161. [Google Scholar] [CrossRef] [PubMed]
- Quatman-Yates, C.C.; Gupta, R.; Paterno, M.V.; Schmitt, L.C.; Quatman, C.E.; Ittenbach, R.F. Internal Consistency and Validity of the QuickDASH Instrument for Upper Extremity Injuries in Older Children. J. Pediatr. Orthop. 2013, 33, 838–842. [Google Scholar] [CrossRef] [PubMed]
- McGraw, M.A.; Mehlman, C.T.; Lindsell, C.J.; Kirby, C.L. Postnatal growth of the clavicle: Birth to 18 years of age. J. Pediatr. Orthop. 2009, 29, 937–943. [Google Scholar] [CrossRef] [PubMed]
- Kamaci, S.; Bess, L.; Glogovac, G.; Colosimo, A.J. Plate osteosynthesis of midshaft clavicle fractures in adolescent contact sports athletes-adolescent clavicle fracture. J. Pediatr. Orthop. B 2022, 31, 1–6. [Google Scholar] [CrossRef]
- Wright, M.; Della Rocca, G.J. American Academy of Orthopaedic Surgeons Clinical Practice Guideline Summary on the Treatment of Clavicle Fractures. J. Am. Acad. Orthop. Surg. 2023, 31, 977–983. [Google Scholar] [CrossRef]
- Houwert, R.M.; Wijdicks, F.J.; Steins Bisschop, C.; Verleisdonk, E.J.; Kruyt, M. Plate fixation versus intramedullary fixation for displaced mid-shaft clavicle fractures: A systematic review. Int. Orthop. 2012, 36, 579–585. [Google Scholar] [CrossRef]
- Wang, Y.C.; Fu, Y.C.; Chou, S.H.; Liu, P.C.; Tien, Y.C.; Lu, C.C. Titanium Elastic Nail versus plate fixation of displaced midshaft clavicle fractures: A retrospective comparison study. Kaohsiung J. Med. Sci. 2015, 31, 473–479. [Google Scholar] [CrossRef]
- Pennock, A.T.; Bae, D.S.; Boutelle, K.; Busch, M.T.; Carroll, A.; Edmonds, E.W.; Ellis, H.B.; Hergott, K.; Kocher, M.S.; Li, Y.; et al. Remodeling of Adolescent Displaced Clavicle Fractures: A Facts Study. Orthop. J. Sports Med. 2022, 10, 2325967121S00494. [Google Scholar] [CrossRef]
- Schulz, J.; Moor, M.; Roocroft, J.; Bastrom, T.P.; Pennock, A.T. Functional and radiographic outcomes of nonoperative treatment of displaced adolescent clavicle fractures. J. Bone Jt. Surg. Am. 2013, 95, 1159–1165. [Google Scholar] [CrossRef]
- Smekal, V.; Irenberger, A.; Attal, R.E.; Oberladstaetter, J.; Krappinger, D.; Kralinger, F. Elastic stable intramedullary nailing is best for mid-shaft clavicular fractures without comminution: Results in 60 patients. Injury 2011, 42, 324–329. [Google Scholar] [CrossRef]
- Fuglesang, H.F.S.; Flugsrud, G.B.; Randsborg, P.H.; Oord, P.; Benth, J.; Utvåg, S.E. Plate fixation versus intramedullary nailing of completely displaced midshaft fractures of the clavicle: A prospective randomised controlled trial. Bone Jt. J. 2017, 99-B, 1095–1101. [Google Scholar] [CrossRef] [PubMed]
- Altay, M.A.; Erturk, C.; Cece, H.; Isikan, U.E. Mini-open versus closed reduction in titanium elastic nailing of paediatric femoral shaft fractures: A comparative study. Acta Orthop. Belg. 2011, 77, 211–217. [Google Scholar] [PubMed]
- McKee, R.C.; Whelan, D.B.; Schemitsch, E.H.; McKee, M.D. Operative versus nonoperative care of displaced midshaft clavicular fractures: A meta-analysis of randomized clinical trials. J. Bone Jt. Surg. Am. 2012, 94, 675–684. [Google Scholar] [CrossRef] [PubMed]
- Eichinger, J.K.; Balog, T.P.; Grassbaugh, J.A. Intramedullary Fixation of Clavicle Fractures: Anatomy, Indications, Advantages, and Disadvantages. J. Am. Acad. Orthop. Surg. 2016, 24, 455–464. [Google Scholar] [CrossRef]
- Andrade-Silva, F.B.; Kojima, K.E.; Joeris, A.; Santos Silva, J.; Mattar, R., Jr. Single, superiorly placed reconstruction plate compared with flexible intramedullary nailing for midshaft clavicular fractures: A prospective, randomized controlled trial. J. Bone Jt. Surg. Am. 2015, 97, 620–626. [Google Scholar] [CrossRef]
- Kadakia, A.P.; Rambani, R.; Qamar, F.; McCoy, S.; Koch, L.; Venkateswaran, B. Titanium elastic stable intramedullary nailing of displaced midshaft clavicle fractures: A review of 38 cases. Int. J. Shoulder Surg. 2012, 6, 82–85. [Google Scholar] [CrossRef]
- Smekal, V.; Irenberger, A.; Struve, P.; Wambacher, M.; Krappinger, D.; Kralinger, F.S. Elastic stable intramedullary nailing versus nonoperative treatment of displaced midshaft clavicular fractures-a randomized, controlled, clinical trial. J. Orthop. Trauma 2009, 23, 106–112. [Google Scholar] [CrossRef]
- van der Meijden, O.A.; Houwert, R.M.; Hulsmans, M.; Wijdicks, F.-J.G.; Dijkgraaf, M.G.W.; Meylaerts, S.A.G.; Hammacher, E.R.; Verhofstad, M.H.J.; Verleisdonk, E.J.M.M. Operative Treatment of Dislocated Midshaft Clavicular Fractures: Plate or Intramedullary Nail Fixation?: A Randomized Controlled Trial. J. Bone Jt. Surg. 2015, 97, 613–619. [Google Scholar] [CrossRef]
- Wang, K.; Dowrick, A.; Choi, J.; Rahim, R.; Edwards, E. Post-operative numbness and patient satisfaction following plate fixation of clavicular fractures. Injury 2010, 41, 1002–1005. [Google Scholar] [CrossRef]
- Beirer, M.; Postl, L.; Crönlein, M.; Siebenlist, S.; Huber-Wagner, S.; Braun, K.F.; Biberthaler, P.; Kirchhoff, C. Does a minimal invasive approach reduce anterior chest wall numbness and postoperative pain in plate fixation of clavicle fractures? BMC Musculoskelet. Disord. 2015, 16, 128. [Google Scholar] [CrossRef] [PubMed]
- Li, Y.; Helvie, P.; Farley, F.A.; Abbott, M.D.; Caird, M.S. Complications After Plate Fixation of Displaced Pediatric Midshaft Clavicle Fractures. J. Pediatr. Orthop. 2018, 38, 350–353. [Google Scholar] [CrossRef] [PubMed]
- Smith, S.D.; Wijdicks, C.A.; Jansson, K.S.; Boykin, R.E.; Martetschlaeger, F.; de Meijer, P.P.; Millett, P.J.; Hackett, T.R. Stability of mid-shaft clavicle fractures after plate fixation versus intramedullary repair and after hardware removal. Knee Surg. Sports Traumatol. Arthrosc. 2014, 22, 448–455. [Google Scholar] [CrossRef] [PubMed]
- James, J.; Ogden, A.; Mukherjee, D.; Jaeblon, T. Residual Hole Orientation After Plate Removal: Effect on the Clavicle. Orthopedics 2015, 38, e1034–e1039. [Google Scholar] [CrossRef][Green Version]
- Hulsmans, M.H.; van Heijl, M.; Houwert, R.M.; Burger, B.J.; Verleisdonk, E.J.M.; Veeger, D.J.; van der Meijden, O.A. Surgical fixation of midshaft clavicle fractures: A systematic review of biomechanical studies. Injury 2018, 49, 753–765. [Google Scholar] [CrossRef]




| ESIN (n = 18) | Plate Fixation (n = 17) | p-Value | |
|---|---|---|---|
| n (%) or Median (IQR) | n (%) or Median (IQR) | ||
| Age (year) | 14.8 (13.4, 15.2) | 15.6 (14.5, 16.8) | 0.307 |
| Sex | |||
| Male | 16 (88.9) | 16 (94.1) | 0.581 |
| Female | 2 (11.1) | 1 (5.9) | |
| BMI (kg/m2) | 22.5 (18.9, 24.0) | 22.4 (20.9, 24.1) | 0.986 |
| Fracture laterality | |||
| Right | 5 (27.8) | 8 (47.1) | 0.238 |
| Left | 13 (72.2) | 9 (52.9) | |
| Injury mechanism 1 | |||
| Low | 13 (72.2) | 12 (70.6) | 0.915 |
| High | 5 (27.8) | 5 (29.4) | |
| Fracture type 2 | |||
| 15-2A | 7 (38.9) | 6 (35.3) | 0.826 |
| 15-2B/15-C | 11 (61.1) | 11 (64.7) | |
| Fracture shortening (mm) | 21.0 (17.0, 23.0) | 22.0 (12.0, 28.0) | 0.944 |
| ESIN (n = 18) | Plate Fixation (n = 17) | p-Value | |
|---|---|---|---|
| Median (IQR) | Median (IQR) | ||
| QuickDASH score | 0.0 (0.0, 4.5) | 4.5 (0.0, 6.8) | 0.339 |
| Intraoperative time (min) | 62.5 (55.0, 80.0) | 65.0 (60.0, 80.0) | 0.561 |
| Time to complete fracture union 1 (week) | 11.0 (8.0, 12.0) | 14.0 (12.0, 16.0) | <0.001 |
| Postoperative 1-year shortening (mm) | 2.0 (0.0, 5.0) | 0.0 (−3.0, 4.0) | 0.411 |
| ESIN (n = 18) | Plate Fixation (n = 17) | p-Value | |
|---|---|---|---|
| n (%) | n (%) | ||
| Postoperative complication | 5 (27.8) | 4 (23.5) | 0.774 |
| Implant irritation | 3 (16.7) | 1 (5.9) | 0.316 |
| Chest wall numbness | 0 (0.0) | 1 (5.9) | 0.297 |
| Superficial wound infection | 1 (5.6) | 0 (0.0) | 0.324 |
| Refracture after implant removal | 0 (0.0) | 2 (11.8) | 0.134 |
| Implant bending | 1 (5.6) | 0 (0.0) | 0.324 |
Disclaimer/Publisher’s Note: The statements, opinions and data contained in all publications are solely those of the individual author(s) and contributor(s) and not of MDPI and/or the editor(s). MDPI and/or the editor(s) disclaim responsibility for any injury to people or property resulting from any ideas, methods, instructions or products referred to in the content. |
© 2025 by the authors. Published by MDPI on behalf of the Lithuanian University of Health Sciences. Licensee MDPI, Basel, Switzerland. This article is an open access article distributed under the terms and conditions of the Creative Commons Attribution (CC BY) license (https://creativecommons.org/licenses/by/4.0/).
Share and Cite
Bae, K.; Ryu, S.; Choi, S.H.; Kwon, H.; Kwak, Y.H. Operative Treatment of Adolescent Diaphyseal Clavicle Fracture: Elastic Stable Intramedullary Nail Versus Plate Fixation. Medicina 2025, 61, 1494. https://doi.org/10.3390/medicina61081494
Bae K, Ryu S, Choi SH, Kwon H, Kwak YH. Operative Treatment of Adolescent Diaphyseal Clavicle Fracture: Elastic Stable Intramedullary Nail Versus Plate Fixation. Medicina. 2025; 61(8):1494. https://doi.org/10.3390/medicina61081494
Chicago/Turabian StyleBae, Kunhyung, Soorack Ryu, Sung Hoon Choi, Hyunjae Kwon, and Yoon Hae Kwak. 2025. "Operative Treatment of Adolescent Diaphyseal Clavicle Fracture: Elastic Stable Intramedullary Nail Versus Plate Fixation" Medicina 61, no. 8: 1494. https://doi.org/10.3390/medicina61081494
APA StyleBae, K., Ryu, S., Choi, S. H., Kwon, H., & Kwak, Y. H. (2025). Operative Treatment of Adolescent Diaphyseal Clavicle Fracture: Elastic Stable Intramedullary Nail Versus Plate Fixation. Medicina, 61(8), 1494. https://doi.org/10.3390/medicina61081494

