Preoperative Leg Muscle Quality Association Functional Recovery After Adult Spinal Deformity Surgery: A Propensity-Score-Matched Study
Abstract
1. Introduction
2. Materials and Methods
2.1. Patient and Surgical Factors
2.2. Timed up and Go Test (TUG)
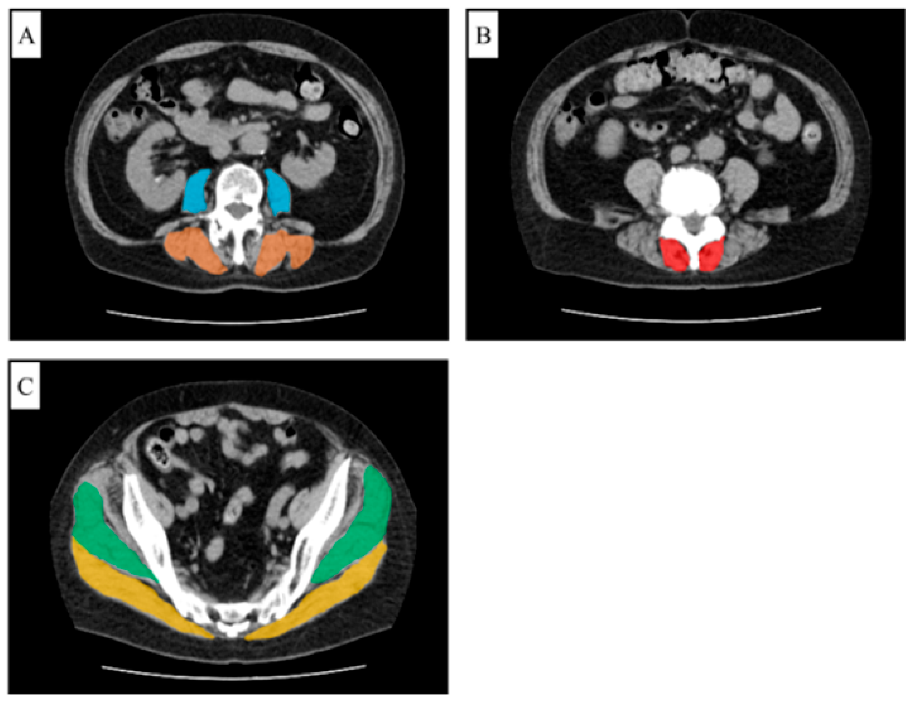
2.3. Functional Cross-Sectional Area (FCSA)
2.4. Patient-Reported Outcome
2.5. Spinopelvic Parameters
2.6. Statistical Analysis
3. Results
4. Discussion
5. Conclusions
Author Contributions
Funding
Institutional Review Board Statement
Informed Consent Statement
Data Availability Statement
Acknowledgments
Conflicts of Interest
Abbreviations
| Abbreviation | Full Term |
| ASD | Adult Spinal Deformity |
| ADL | Activities of Daily Living |
| QOL | Quality Of Life |
| FCSA | Functional Cross-Sectional Area |
| CT | Computed Tomography |
| TUG | Timed Up and Go Test |
| BMI | Body Mass Index |
| UIV | Upper Instrumented Vertebra |
| MCID | Minimal Clinically Important Difference |
| PM | Psoas Major |
| MF | Multifidus |
| ES | Erector Spinae |
| GM | Gluteus Maximus |
| GMed | Gluteus Medius |
| HU | Hounsfield unit |
| ODI | Oswestry Disability Index |
| VAS | Visual Analog Scale |
| SVA | Sagittal Vertical Axis |
| LL | Lumbar Lordosis |
| PT | Pelvic Tilt |
| PI | Pelvic Incidence |
| CSVL | Central Sacral Vertical Line |
| OLIF | Oblique Lateral Interbody Fusion |
| PCF | Posterior Corrective Fusion |
| MIS | Minimally Invasive Surgery |
| LBP | Low Back Pain |
Appendix A
| Section 1—Pain intensity | Section 2—Personal care (washing, dressing etc) |
|
|
| Section 3—Lifting | Section 4—Walking |
|
|
| Section 5—Siting | Section 6—Standing |
|
|
| Section 7—Sleeping | Section 8—Sex life (if applicable) |
|
|
| Section 9—Social life | Section 10—Travelling |
|
|

References
- Acaroglu, E. Decision-Making in the Treatment of Adult Spinal Deformity. EFORT Open Rev. 2016, 1, 167–176. [Google Scholar] [CrossRef]
- Schwab, F.; Dubey, A.; Gamez, L.; El Fegoun, A.B.; Hwang, K.; Pagala, M.; Farcy, J.-P. Adult Scoliosis: Prevalence, SF-36, and Nutritional Parameters in an Elderly Volunteer Population. Spine 2005, 30, 1082–1085. [Google Scholar] [CrossRef]
- Sakaguchi, T.; Tanaka, M.; Sake, N.; Latka, K.; Fujiwara, Y.; Arataki, S.; Yamauchi, T.; Takamatsu, K.; Yasuda, Y.; Nakagawa, M.; et al. The Most Significant Factor Affecting Gait and Postural Balance in Patients’ Activities of Daily Living Following Corrective Surgery for Deformity of the Adult Spine. Medicina 2022, 58, 1118. [Google Scholar] [CrossRef]
- Kim, H.J.; Yang, J.H.; Chang, D.-G.; Lenke, L.G.; Suh, S.W.; Nam, Y.; Park, S.C.; Suk, S.-I. Adult Spinal Deformity: A Comprehensive Review of Current Advances and Future Directions. Asian Spine J. 2022, 16, 776–788. [Google Scholar] [CrossRef] [PubMed]
- Terai, H.; Takahashi, S.; Hoshino, M.; Taniwaki, H.; Tamai, K.; Ohmine, T.; Nakatuchi, T.; Shinbashi, G.; Teraguchi, M.; Minetama, M.; et al. “Koshimagari Exercise” for Adult Spinal Deformity in Older Adults: Assessment of Home-Based Exercise Outcomes in a Prospective Multicenter Study. Spine Surg. Relat. Res. 2024, advpub, 2024-0273. [Google Scholar] [CrossRef]
- Xu, F.; Zhou, S.; Sun, Z.; Jiang, S.; Han, G.; Li, W. Relationship between the Postoperative Variations of Paraspinal Muscles and Adjacent-Segment Degeneration in Patients with Degenerative Lumbar Spinal Stenosis after Posterior Instrumented Lumbar Fusion. J. Neurosurg. Spine 2024, 40, 551–561. [Google Scholar] [CrossRef]
- Sakaguchi, T.; Tanaka, M.; Suthar, H.; Fujiwara, Y.; Uotani, K.; Arataki, S.; Yamauchi, T.; Sugyo, A.; Takamatsu, K.; Yasuda, Y.; et al. Chronological Evaluation of Gait Ability and Posture Balance after Adult Spinal Deformity Surgery. Appl. Sci. 2022, 12, 4285. [Google Scholar] [CrossRef]
- Li, C.-Y.; Chang, C.-L.; Tai, T.-W. Incidence and Risk Factors for Hip Fracture in Elderly Patients Undergoing Lumbar Spine Surgery: A Nationwide Database Study with 11-Year Follow-Up. Osteoporos. Int. 2018, 29, 2717–2723. [Google Scholar] [CrossRef]
- Ariën, F.; Baitar, A.; Perkisas, S.; Vandewoude, M.; De Cock, A.-M. The Association between Muscle Mass and the Degree of Myosteatosis of the Psoas Muscle and Mortality in Older Patients with Cancer. J. Geriatr. Oncol. 2021, 12, 85–90. [Google Scholar] [CrossRef]
- Chen, Z.; Shi, T.; Li, W.; Sun, J.; Yao, Z.; Liu, W. Role of Paraspinal Muscle Degeneration in the Occurrence and Recurrence of Osteoporotic Vertebral Fracture: A Meta-Analysis. Front. Endocrinol. 2022, 13, 1073013. [Google Scholar] [CrossRef]
- Ranson, C.A.; Burnett, A.F.; Kerslake, R.; Batt, M.E.; O’Sullivan, P.B. An Investigation into the Use of MR Imaging to Determine the Functional Cross Sectional Area of Lumbar Paraspinal Muscles. Eur. Spine J. 2006, 15, 764–773. [Google Scholar] [CrossRef] [PubMed]
- Burkhard, M.D.; Chiapparelli, E.; Hambrecht, J.; Köhli, P.; Guven, A.E.; Tsuchiya, K.; Schönnagel, L.; Caffard, T.; Amoroso, K.; Altorfer, F.C.S.; et al. Multifidus Degeneration: The Key Imaging Predictor of Adjacent Segment Disease. Global Spine J. 2024, 15, 21925682241300085. [Google Scholar] [CrossRef] [PubMed]
- Wang, D.; Wang, Q.; Cui, P.; Wang, S.; Han, D.; Chen, X.; Lu, S. Machine-Learning Models for the Prediction of Ideal Surgical Outcomes in Patients with Adult Spinal Deformity. Bone Jt. J. 2025, 107-B, 337–345. [Google Scholar] [CrossRef]
- Kawano, T.; Nankaku, M.; Murao, M.; Yuri, T.; Hamada, R.; Kitamura, G.; Kuroda, Y.; Kawai, T.; Okuzu, Y.; Ikeguchi, R.; et al. Impact of Preoperative Skeletal Muscle Quality on Functional Outcome in Total Hip Arthroplasty. J. Am. Med. Dir. Assoc. 2025, 26, 105396. [Google Scholar] [CrossRef]
- Azad, T.D.; Schwab, F.J.; Lafage, V.; Soroceanu, A.; Eastlack, R.K.; Lafage, R.; Kebaish, K.M.; Hart, R.A.; Diebo, B.; Kelly, M.P.; et al. Stronger Association of Objective Physical Metrics with Baseline Patient-Reported Outcome Measures than Preoperative Standing Sagittal Parameters for Adult Spinal Deformity Patients. J. Neurosurg. Spine 2024, 40, 692–699. [Google Scholar] [CrossRef] [PubMed]
- Gautschi, O.P.; Smoll, N.R.; Corniola, M.V.; Joswig, H.; Chau, I.; Hildebrandt, G.; Schaller, K.; Stienen, M.N. Validity and Reliability of a Measurement of Objective Functional Impairment in Lumbar Degenerative Disc Disease: The Timed Up and Go (TUG) Test. Neurosurgery 2016, 79, 270–278. [Google Scholar] [CrossRef]
- Sakaguchi, T.; Meena, U.; Tanaka, M.; Xiang, H.; Fujiwara, Y.; Arataki, S.; Taoka, T.; Takamatsu, K.; Yasuda, Y.; Nakagawa, M.; et al. Minimal Clinically Important Differences in Gait and Balance Ability in Patients Who Underwent Corrective Long Spinal Fusion for Adult Spinal Deformity. J. Clin. Med. 2023, 12, 6500. [Google Scholar] [CrossRef]
- Rollins, K.E.; Gopinath, A.; Awwad, A.; Macdonald, I.A.; Lobo, D.N. Computed Tomography-Based Psoas Skeletal Muscle Area and Radiodensity Are Poor Sentinels for Whole L3 Skeletal Muscle Values. Clin. Nutr. 2020, 39, 2227–2232. [Google Scholar] [CrossRef]
- Arima, H.; Glassman, S.D.; Bridwell, K.; Yamato, Y.; Yagi, M.; Watanabe, K.; Matsumoto, M.; Inami, S.; Taneichi, H.; Matsuyama, Y.; et al. Reaching Minimal Clinically Important Difference in Adult Spinal Deformity Surgery: A Comparison of Patients from North America and Japan. J. Neurosurg. Spine 2020, 32, 859–864. [Google Scholar] [CrossRef]
- Kanda, Y. Investigation of the Freely Available Easy-to-Use Software “EZR” for Medical Statistics. Bone Marrow Transpl. 2013, 48, 452–458. [Google Scholar] [CrossRef]
- Faul, F.; Erdfelder, E.; Lang, A.-G.; Buchner, A. G*Power 3: A Flexible Statistical Power Analysis Program for the Social, Behavioral, and Biomedical Sciences. Behav. Res. Methods 2007, 39, 175–191. [Google Scholar] [CrossRef]
- Özyemişci Taşkıran, Ö. Rehabilitation in Adult Spinal Deformity. Turk. J. Phys. Med. Rehabil. 2020, 66, 231–243. [Google Scholar] [CrossRef] [PubMed]
- Sakaguchi, T.; Sake, N.; Tanaka, M.; Fujiwara, Y.; Arataki, S.; Taoka, T.; Kodama, Y.; Takamatsu, K.; Yasuda, Y.; Nakagawa, M.; et al. Use of a Triaxial Accelerometer to Measure Changes in Gait Sway and Related Motor Function after Corrective Spinal Fusion Surgery for Adult Spinal Deformity. J. Clin. Med. 2024, 13, 1923. [Google Scholar] [CrossRef]
- Ohba, T.; Oda, K.; Tanaka, N.; Go, G.; Haro, H. Impact of Skeletal Muscle Mass on Physical Function and Locomotive Syndrome of Pre- and Postoperative Adult Spinal Deformity. J. Clin. Med. 2024, 13, 697. [Google Scholar] [CrossRef] [PubMed]
- Yamato, Y.; Nojima, O.; Banno, T.; Hasegawa, T.; Yoshida, G.; Oe, S.; Arima, H.; Mihara, Y.; Nagafusa, T.; Yamauchi, K.; et al. Measuring Muscle Activity in the Trunk, Pelvis, and Lower Limb Which Are Used to Maintain Standing Posture in Patients With Adult Spinal Deformity, With Focus on Muscles That Contract in the Compensatory Status. Global Spine J. 2023, 13, 2245–2254. [Google Scholar] [CrossRef]
- Banno, T.; Yamato, Y.; Nojima, O.; Hasegawa, T.; Yoshida, G.; Arima, H.; Oe, S.; Ushirozako, H.; Yamada, T.; Ide, K.; et al. Comparison of the Postoperative Changes in Trunk and Lower Extremity Muscle Activities between Patients with Adult Spinal Deformity and Age-Matched Controls Using Surface Electromyography. Spine Deform. 2022, 10, 141–149. [Google Scholar] [CrossRef] [PubMed]
- Penning, L. Psoas Muscle and Lumbar Spine Stability: A Concept Uniting Existing Controversies. Critical Review and Hypothesis. Eur. Spine J. 2000, 9, 577–585. [Google Scholar] [CrossRef]
- Kibler, W.B.; Press, J.; Sciascia, A. The Role of Core Stability in Athletic Function. Sports Med. 2006, 36, 189–198. [Google Scholar] [CrossRef]
- Fortin, M.; Lazáry, À.; Varga, P.P.; Battié, M.C. Association between Paraspinal Muscle Morphology, Clinical Symptoms and Functional Status in Patients with Lumbar Spinal Stenosis. Eur. Spine J. 2017, 26, 2543–2551. [Google Scholar] [CrossRef]
- Bae, J. Commentary on “Characteristics and Risk Factors of Rod Fracture Following Adult Spinal Deformity Surgery: A Systematic Review and Meta-Analysis”. Neurospine 2021, 18, 455–456. [Google Scholar] [CrossRef]
- Sakaguchi, T. Evaluation and Rehabilitation after Adult Lumbar Spine Surgery. J. Clin. Med. 2024, 13, 2915. [Google Scholar] [CrossRef] [PubMed]
- Stern, J.T. Anatomical and Functional Specializations of the Human Gluteus Maximus. Am. J. Phys. Anthropol. 1972, 36, 315–339. [Google Scholar] [CrossRef] [PubMed]
- Bao, H.; Moal, B.; Vira, S.; Bronsard, N.; Amabile, C.; Errico, T.; Schwab, F.; Skalli, W.; Dubousset, J.; Lafage, V. Spino-Femoral Muscles Affect Sagittal Alignment and Compensatory Recruitment: A New Look into Soft Tissues in Adult Spinal Deformity. Eur. Spine J. 2020, 29, 2998–3005. [Google Scholar] [CrossRef] [PubMed]
- Lee, K.Y.; Lee, J.-H.; Im, S.-K. Effect of Gluteal Muscle Strengthening Exercise on Sagittal Balance and Muscle Volume in Adult Spinal Deformity Following Long-Segment Fixation Surgery. Sci. Rep. 2022, 12, 9063. [Google Scholar] [CrossRef]
- Yasuda, T.; Ota, S.; Yamashita, S.; Tsukamoto, Y.; Onishi, E. Association of Preoperative Variables of Ipsilateral Hip Abductor Muscles with Gait Function after Total Hip Arthroplasty: A Retrospective Study. Arthroplasty 2022, 4, 23. [Google Scholar] [CrossRef]



| Mean ± SD; n | ||||
|---|---|---|---|---|
| Total (n = 62) | Improved Group (n = 33) | Non-Improved Group (n = 29) | p Value | |
| Age (year) | 71.2 ± 7.1 | 72.3 ± 6.5 | 70.0 ± 7.5 | 0.247 |
| Sex | 0.884 | |||
| Men | 5 | 2 | 3 | |
| Women | 57 | 31 | 26 | |
| BMI | 23.1 ± 3.6 | 22.9 ± 3.2 | 23.3 ± 3.9 | 0.914 |
| Operation time (min) | ||||
| 1st stage (OLIF) | 196.4 ± 45.7 | 195.6 ± 47.5 | 197.3 ± 42.3 | 0.418 |
| 2nd stage (PCF) | 283.6 ± 53.3 | 279.1 ± 50.4 | 288.6 ± 55.0 | 0.358 |
| Bleeding (mL) | ||||
| 1st stage (OLIF) | 404.9 ± 306.9 | 444.2 ± 336.4 | 356.5 ± 251.1 | 0.395 |
| 2nd stage (PCF) | 890.5 ± 539.7 | 738.1 ± 358.1 | 1046.7 ± 640.7 | 0.083 |
| Type of posterior Fusion | 0.209 | |||
| OPEN | 32 | 15 | 17 | |
| MIS | 30 | 18 | 12 | |
| UIV | 0.637 | |||
| Th1 | 1 | 0 | 1 | |
| Th4 | 1 | 0 | 1 | |
| Th6 | 3 | 1 | 2 | |
| Th9 | 1 | 1 | 0 | |
| Th10 | 56 | 31 | 25 | |
| TUG (sec) | 12.6 ± 4.7 | 15.0 ± 4.9 | 9.71 ± 2.1 | <0.01 |
| VAS of LBP (mm) | 56.8 ± 26.8 | 63.2 ± 22.2 | 49.2 ± 29.2 | 0.133 |
| VAS of leg pain (mm) | 25.7 ± 35.9 | 29.8 ± 35.4 | 19.3 ± 33.9 | 0.375 |
| ODI (%) | 40.3 ± 12.9 | 44.1 ± 12.8 | 36.1 ± 11.3 | <0.01 |
| FCSA | ||||
| PM (cm2) | 5.0 ± 2.1 | 5.6 ± 2.2 | 4.5 ± 1.9 | 0.057 |
| ES (cm2) | 4.7 ± 12.7 | 7.4 ± 2.9 | 6.9 ± 2.6 | 0.781 |
| MF (cm2) | 3.7 ± 1.4 | 3.9 ± 1.3 | 3.5 ± 1.5 | 0.128 |
| GM (cm2) | 17.2 ± 5.8 | 17.1 ± 5.4 | 17.4 ± 6.2 | 0.861 |
| GMed (cm2) | 22.1 ± 4.2 | 22.2 ± 4.2 | 22.1 ± 4.3 | 0.345 |
| Spinopelvic parameters | ||||
| SVA (mm) | 118.2 ± 53.8 | 119.1 ± 49.9 | 117.1 ± 57.1 | 0.878 |
| LL (degree) | 11.4 ± 14.5 | 14.9 ± 16.1 | 7.3 ± 10.6 | 0.264 |
| PT (degree) | 35.8 ± 10.1 | 34.9 ± 10.1 | 36.9 ± 9.9 | 0.183 |
| PI (degree) | 52.7 ± 6.8 | 51.8 ± 7.1 | 53.5 ± 6.2 | 0.453 |
| PI-LL (degree) | 40.8 ± 15.6 | 36.7 ± 16.9 | 45.5 ± 11.9 | 0.195 |
| Cobb (degree) | 28.3 ± 21.9 | 28.2 ± 18.8 | 28.4 ± 24.5 | 0.233 |
| CSVL (mm) | 28.9 ± 24.3 | 30.9 ± 22.7 | 26.4 ± 25.3 | 0.348 |
| Mean ± SD; n | ||||
|---|---|---|---|---|
| Total (n = 26) | Improved Group (n = 13) | Non-Improved Group (n = 19) | p Value | |
| Age (year) | 70.8 ± 6.3 | 70.6 ± 4.9 | 71.1 ± 7.4 | 0.797 |
| Sex | 1 | |||
| Men | 2 | 1 | 1 | |
| Women | 24 | 12 | 12 | |
| BMI | 23.2 ± 2.9 | 23.3 ± 2.4 | 23.0 ± 3.4 | 0.521 |
| Operation time (min) | ||||
| 1st stage (OLIF) | 192.4 ± 45.3 | 194.3 ± 46.1 | 190.1 ± 44.4 | 0.849 |
| 2nd stage (PCF) | 283.7 ± 59.4 | 283.6 ± 66.7 | 283.7 ± 51.1 | 0.358 |
| Bleeding (mL) | ||||
| 1st stage (OLIF) | 364.8 ± 249.9 | 497.6 ± 252.8 | 220.8 ± 145.0 | <0.01 |
| 2nd stage (PCF) | 965.0 ± 605.6 | 881.9 ± 360.5 | 1048.1 ± 767.9 | 0.770 |
| Type of posterior Fusion | 1 | |||
| OPEN | 14 | 7 | 7 | |
| MIS | 12 | 6 | 6 | |
| UIV | 1 | |||
| Th9 | 2 | 1 | 1 | |
| Th10 | 24 | 12 | 12 | |
| TUG (sec) | 11.4 ± 1.5 | 11.3 ± 1.4 | 11.4 ± 1.7 | 0.921 |
| VAS of LBP (mm) | 56.0 ± 20.8 | 53.9 ± 20.1 | 59.1 ± 21.5 | 0.599 |
| VAS of leg pain (mm) | 20.6 ± 34.6 | 22.5 ± 38.9 | 18.7 ± 29.6 | 0.869 |
| ODI (%) | 42.6 ± 8.1 | 41.3 ± 7.0 | 43.9 ± 8.8 | 0.404 |
| FCSA | ||||
| PM (cm2) | 4.9 ± 2.2 | 6.1 ± 2.3 | 3.9 ± 1.5 | 0.021 |
| ES (cm2) | 6.8 ± 2.3 | 6.0 ± 2.5 | 7.5 ± 1.9 | 0.106 |
| MF (cm2) | 3.2 ± 1.1 | 3.5 ± 9.6 | 2.9 ± 1.2 | 0.119 |
| GM (cm2) | 17.5 ± 5.5 | 19.9 ± 5.9 | 15.3 ± 3.2 | 0.019 |
| GMed (cm2) | 21.9 ± 4.8 | 22.8 ± 4.2 | 21.5 ± 5.5 | 0.347 |
| Spinopelvic parameters | ||||
| SVA (mm) | 124.8 ± 56.3 | 115.1 ± 49.1 | 135.4 ± 63.2 | 0.663 |
| LL (degree) | 12.4 ± 10.3 | 14.6 ± 12.1 | 9.8 ± 6.9 | 0.341 |
| PT (degree) | 32.8 ± 8.6 | 34.0 ± 6.8 | 31.6 ± 9.9 | 0.877 |
| PI (degree) | 52.3 ± 6.3 | 50.5 ± 7.5 | 54.4 ± 5.3 | 0.199 |
| PI-LL (degree) | 39.8 ± 11.7 | 35.6 ± 12.8 | 44.4 ± 8.2 | 0.127 |
| Cobb (degree) | 52.8 ± 19.6 | 27.9 ± 20.1 | 23.5 ± 18.7 | 0.624 |
| CSVL (mm) | 24.9 ± 20.8 | 25.9 ± 16.2 | 23.8 ± 24.9 | 0.244 |
Disclaimer/Publisher’s Note: The statements, opinions and data contained in all publications are solely those of the individual author(s) and contributor(s) and not of MDPI and/or the editor(s). MDPI and/or the editor(s) disclaim responsibility for any injury to people or property resulting from any ideas, methods, instructions or products referred to in the content. |
© 2025 by the authors. Published by MDPI on behalf of the Lithuanian University of Health Sciences. Licensee MDPI, Basel, Switzerland. This article is an open access article distributed under the terms and conditions of the Creative Commons Attribution (CC BY) license (https://creativecommons.org/licenses/by/4.0/).
Share and Cite
Sakaguchi, T.; Tanaka, M.; Arataki, S.; Komatsubara, T.; Miyamoto, A.; Thakur, A.; Rahman, M.A.; Tanaka, M.; Takamatsu, K.; Yasuda, Y.; et al. Preoperative Leg Muscle Quality Association Functional Recovery After Adult Spinal Deformity Surgery: A Propensity-Score-Matched Study. Medicina 2025, 61, 980. https://doi.org/10.3390/medicina61060980
Sakaguchi T, Tanaka M, Arataki S, Komatsubara T, Miyamoto A, Thakur A, Rahman MA, Tanaka M, Takamatsu K, Yasuda Y, et al. Preoperative Leg Muscle Quality Association Functional Recovery After Adult Spinal Deformity Surgery: A Propensity-Score-Matched Study. Medicina. 2025; 61(6):980. https://doi.org/10.3390/medicina61060980
Chicago/Turabian StyleSakaguchi, Tomoyoshi, Masato Tanaka, Shinya Arataki, Tadashi Komatsubara, Akiyoshi Miyamoto, Aditya Thakur, Muhamad Aulia Rahman, Masato Tanaka, Kazuhiko Takamatsu, Yosuke Yasuda, and et al. 2025. "Preoperative Leg Muscle Quality Association Functional Recovery After Adult Spinal Deformity Surgery: A Propensity-Score-Matched Study" Medicina 61, no. 6: 980. https://doi.org/10.3390/medicina61060980
APA StyleSakaguchi, T., Tanaka, M., Arataki, S., Komatsubara, T., Miyamoto, A., Thakur, A., Rahman, M. A., Tanaka, M., Takamatsu, K., Yasuda, Y., Fuji, H., Oikawa, E., & Ueda, M. (2025). Preoperative Leg Muscle Quality Association Functional Recovery After Adult Spinal Deformity Surgery: A Propensity-Score-Matched Study. Medicina, 61(6), 980. https://doi.org/10.3390/medicina61060980

