Computed Tomography Imaging Characteristics in the Diagnosis and Assessment of Cellulitis in Patients with Leg Swelling
Abstract
1. Introduction
2. Materials and Methods
2.1. Study Population
2.2. CT Protocol
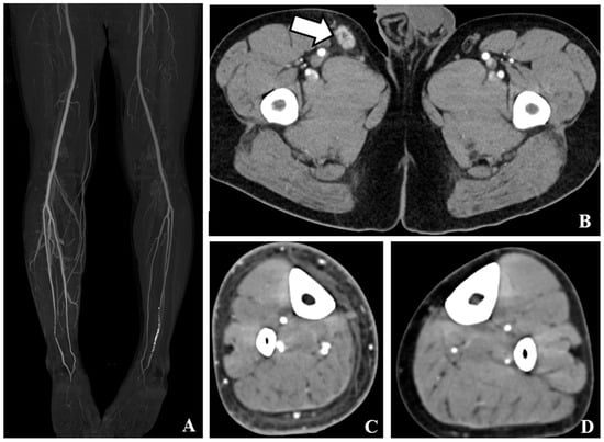
2.3. Qualitative Image Analysis
2.4. Data Collection
2.5. Statistical Analysis
3. Results
Demographics
4. Discussion
5. Conclusions
Author Contributions
Funding
Institutional Review Board Statement
Informed Consent Statement
Data Availability Statement
Conflicts of Interest
Abbreviations
References
- Cranendonk, D.R.; Lavrijsen, A.P.M.; Prins, J.M.; Wiersinga, W.J. Cellulitis: Current insights into pathophysiology and clinical management. Neth. J. Med. 2017, 75, 366–378. [Google Scholar] [PubMed]
- Gunderson, C.G.; Martinello, R.A. A systematic review of bacteremias in cellulitis and erysipelas. J. Infect. 2012, 64, 148–155. [Google Scholar] [CrossRef] [PubMed]
- Sullivan, T.; de Barra, E. Diagnosis and management of cellulitis. Clin. Med. 2018, 18, 160–163. [Google Scholar] [CrossRef]
- Watkins, R.R.; David, M.Z. Approach to the patients with a skin and soft tissue infection. Infect. Dis. Clin. N. Am. 2021, 35, 1–48. [Google Scholar] [CrossRef]
- Levell, N.J.; Wingfield, C.G.; Garioch, J.J. Severe lower limb cellulitis is best diagnosed by dermatologists and managed with shared care between primary and secondary care. Br. J. Dermatol. 2011, 164, 1326–1328. [Google Scholar] [CrossRef]
- Weng, Q.Y.; Raff, A.B.; Cohen, J.M.; Gunasekera, N.; Okhovat, J.P.; Vedak, P.; Joyce, C.; Kroshinsky, D.; Mostaghimi, A. Costs and consequences associated with misdiagnosed lower extremity cellulitis. JAMA. Dermatol. 2017, 153, 141–146. [Google Scholar] [CrossRef]
- Krasagakis, K.; Valachis, A.; Maniatakis, P.; Kruger-Krasagakis, S.; Samonis, G.; Tosca, A.D. Analysis of epidemiology, clinical features and management of erysipelas. Int. J. Dermatol. 2010, 49, 1012–1017. [Google Scholar] [CrossRef]
- Lazzarini, L.; Conti, E.; Tositti, G.; de Lalla, F. Erysipelas and cellulitis: Clinical and microbiological spectrum in an Italian tertiary care hospital. J. Infect. 2005, 51, 383–389. [Google Scholar] [CrossRef]
- Hayeri, M.R.; Ziai, P.; Shehata, M.L.; Teytelboym, O.M.; Huang, B.K. Soft-tissue infections and their imaging mimics: From cellulitis to necrotizing fasciitis. Radiographics 2016, 36, 1888–1910. [Google Scholar] [CrossRef]
- Spinnato, P.; Patel, D.B.; Di Carlo, M.; Bartoloni, A.; Cevolani, L.; Matcuk, G.R.; Crombé, A. Imaging of musculoskeletal soft-tissue infections in clinical practice: A comprehensive updated review. Microorganisms 2022, 10, 2329. [Google Scholar] [CrossRef]
- Snyder, C.D.; Hitt, N.P.; Young, J.A. Accounting for groundwater in stream fish thermal habitat responses to climate change. Ecol. Appl. 2015, 25, 1397–1419. [Google Scholar] [CrossRef] [PubMed]
- Hietbrink, F.; Bode, L.G.; Riddez, L.; Leenen, L.P.; van Dijk, M.R. Triple diagnostics for early detection of ambivalent necrotizing fasciitis. World J. Emerg. Surg. 2016, 11, 51. [Google Scholar] [CrossRef] [PubMed]
- Park, M.; Park, J.S.; Ahn, S.E.; Ryu, K.N.; Park, S.Y.; Jin, W. Sonographic findings of common musculoskeletal diseases in patients with diabetes mellitus. Korean J. Radiol. 2016, 17, 245–254. [Google Scholar] [CrossRef]
- Lewis, D.L.; Butts, C.J.; Moreno-Walton, L. Facing the danger zone: The use of ultrasound to distinguish cellulitis from abscess in facial infections. Case Rep. Emerg. Med. 2014, 2014, 935283. [Google Scholar] [CrossRef]
- O’Rourke, K.; Kibbee, N.; Stubbs, A. Ultrasound for the evaluation of skin and soft tissue infections. Mo. Med. 2015, 112, 202–205. [Google Scholar]
- Schmid, M.R.; Kossmann, T.; Duewell, S. Differentiation of necrotizing fasciitis and cellulitis using MR imaging. AJR Am. J. Roentgenol. 1998, 170, 615–620. [Google Scholar] [CrossRef]
- Weaver, J.S.; Omar, I.M.; Mar, W.A.; Klauser, A.S.; Winegar, B.A.; Mlady, G.W.; McCurdy, W.E.; Taljanovic, M.S. Magnetic resonance imaging of musculoskeletal infections. Pol. J. Radiol. 2022, 87, e141–e162. [Google Scholar] [CrossRef]
- Ledermann, H.P.; Schweitzer, M.E.; Morrison, W.B. Nonenhancing tissue on MR imaging of pedal infection: Characterization of necrotic tissue and associated limitations for diagnosis of osteomyelitis and abscess. AJR Am. J. Roentgenol. 2002, 178, 215–222. [Google Scholar] [CrossRef]
- Shin, S.U.; Lee, W.; Park, E.A.; Shin, C.I.; Chung, J.W.; Park, J.H. Comparison of characteristic CT findings of lymphedema, cellulitis, and generalized edema in lower leg swelling. Int. J. Cardiovasc. Imaging 2013, 29, 135–143. [Google Scholar] [CrossRef]
- Burke, C.E.; Maley, O.R.; Mancini, B.; Sandifer, S.; Sardesai, S.; King, T.S.; Flemming, D.J. Utilization of CT for extremity cellulitis: A retrospective single-center analysis. J. Am. Coll. Radiol. 2025, 22, 76–83. [Google Scholar] [CrossRef]
- Levick, J.R.; Michel, C.C. Microvascular fluid exchange and the revised Starling principle. Cardiovasc. Res. 2010, 87, 198–210. [Google Scholar] [CrossRef] [PubMed]
- Jacob, M.; Chappell, D. Reappraising Starling: The physiology of the microcirculation. Curr. Opin. Crit. Care 2013, 19, 282–289. [Google Scholar] [CrossRef] [PubMed]
- Theofilis, P.; Sagris, M.; Oikonomou, E.; Antonopoulos, A.S.; Siasos, G.; Tsioufis, C.; Tousoulis, D. Inflammatory mechanisms contributing to endothelial dysfunction. Biomedicines 2021, 9, 781. [Google Scholar] [CrossRef] [PubMed]
- Chaudhry, A.A.; Baker, K.S.; Gould, E.S.; Gupta, R. Necrotizing fasciitis and its mimics: What radiologists need to know. AJR Am. J. Roentgenol. 2015, 204, 128–139. [Google Scholar] [CrossRef]
- Byeon, J.Y.; Kwak, S.H.; Choi, H.J.; Kim, J.H.; Lee, D.W. Clinical significance of early venous enhancement on CT angiography of the ischemic lower limbs. Medicine 2022, 101, e30560. [Google Scholar] [CrossRef]
- Weitz, J.I.; Byrne, J.; Clagett, G.P.; Farkouh, M.E.; Porter, J.M.; Sackett, D.L.; Strandness, D.E., Jr.; Taylor, L.M. Diagnosis and treatment of chronic arterial insufficiency of the lower extremities: A critical review. Circulation 1996, 94, 3026–3049. [Google Scholar] [CrossRef]
- Pan, W.R.; Wang, D.G.; Levy, S.M.; Chen, Y. Superficial lymphatic drainage of the lower extremity: Anatomical study and clinical implications. Plast. Reconstr. Surg. 2013, 132, 696–707. [Google Scholar] [CrossRef]


| Characteristic | Total (n = 174) |
|---|---|
| Age | 64.1 ± 15.8 |
| Sex | |
| Male | 112 (64.4) |
| Female | 62 (35.6) |
| Underlying disease | |
| None | 28 (16.1) |
| Diabetes mellitus | 96 (55.2) |
| Hypertension | 94 (54) |
| End-stage renal disease | 21 (12.1) |
| Dyslipidemia | 19 (10.9) |
| Cerebrovascular accident | 15 (8.6) |
| Malignancy | 14 (8) |
| Liver cirrhosis | 11 (6.3) |
| Heart failure | 9 (5.2) |
| Chronic obstructive pulmonary disease | 5 (2.9) |
| Multiple comorbidities (≥2 diseases) | 87 (50) |
| History of trauma associated with cellulitis | 72 (41.4) |
| Total | Group I | Group II | p Value | |
|---|---|---|---|---|
| WBC (103/μL) | 11.1 ± 5.4 | 11.4 ± 5.6 | 10.1 ± 4.7 | 0.172 |
| CRP (mg/L) | 11.5 ± 9.6 | 12.2 ± 9.6 | 9.4 ± 9.1 | 0.107 |
| ESR (mm/h) | 77.5 ± 37.4 | 76.7 ± 37.6 | 80.3 ± 36.9 | 0.591 |
| CT Findings | Total (n = 174) | Group I (n = 130) | Group II (n = 44) | p Value |
|---|---|---|---|---|
| Skin thickening | 83.9 [78.2–89.1] | 93.1 [88.5–96.9] | 56.8 [43.2–70.5] | <0.001 |
| Subcutaneous edema | 94.8 [91.4–97.7] | 97.7 [94.6–100] | 86.4 [75.0–95.5] | <0.001 |
| Venous early return on MIP | 82.8 [77.0–87.9] | 86.9 [80.8–92.3] | 70.5 [56.8–84.1] | 0.012 |
| Lymph node pathologic finding | 72.4 [65.5–78.7] | 72.3 [64.6–80.0] | 72.7 [59.1–86.4] | 0.957 |
| Lymph node enhancement | 79.3 [72.9–85.0] | 80.0 [73.1–86.9] | 77.3 [63.6–88.6] | 0.699 |
| Arteriosclerosis obliterans | 25 (14.4) | 12 (9.2) | 13 (29.5) | <0.001 |
| CT Features 1 | CT Features 2 | p Value |
|---|---|---|
| Skin thickening | Subcutaneous edema | <0.001 |
| Skin thickening | Venous early return on MIP | 0.011 |
| Skin thickening | Lymph node pathology | 0.165 |
| Skin thickening | Lymph node enhancement | 0.611 |
| Subcutaneous edema | Venous early return on MIP | 0.187 |
| Subcutaneous edema | Lymph node pathology | 0.263 |
| Subcutaneous edema | Lymph node enhancement | 0.395 |
| Venous early return on MIP | Lymph node pathology | 0.001 |
| Venous early return on MIP | Lymph node enhancement | 0.011 |
| Lymph node pathology | Lymph node enhancement | <0.001 |
Disclaimer/Publisher’s Note: The statements, opinions and data contained in all publications are solely those of the individual author(s) and contributor(s) and not of MDPI and/or the editor(s). MDPI and/or the editor(s) disclaim responsibility for any injury to people or property resulting from any ideas, methods, instructions or products referred to in the content. |
© 2025 by the authors. Published by MDPI on behalf of the Lithuanian University of Health Sciences. Licensee MDPI, Basel, Switzerland. This article is an open access article distributed under the terms and conditions of the Creative Commons Attribution (CC BY) license (https://creativecommons.org/licenses/by/4.0/).
Share and Cite
Nam, I.-C.; Kim, D.-R.; Lee, J.-S.; Kim, J.; Shin, Y.-H.; Won, J.-H.; Lee, Y.-J. Computed Tomography Imaging Characteristics in the Diagnosis and Assessment of Cellulitis in Patients with Leg Swelling. Medicina 2025, 61, 982. https://doi.org/10.3390/medicina61060982
Nam I-C, Kim D-R, Lee J-S, Kim J, Shin Y-H, Won J-H, Lee Y-J. Computed Tomography Imaging Characteristics in the Diagnosis and Assessment of Cellulitis in Patients with Leg Swelling. Medicina. 2025; 61(6):982. https://doi.org/10.3390/medicina61060982
Chicago/Turabian StyleNam, In-Chul, Doo-Ri Kim, Jeong-Sub Lee, Jeongjae Kim, Young-Heun Shin, Jung-Ho Won, and Yong-June Lee. 2025. "Computed Tomography Imaging Characteristics in the Diagnosis and Assessment of Cellulitis in Patients with Leg Swelling" Medicina 61, no. 6: 982. https://doi.org/10.3390/medicina61060982
APA StyleNam, I.-C., Kim, D.-R., Lee, J.-S., Kim, J., Shin, Y.-H., Won, J.-H., & Lee, Y.-J. (2025). Computed Tomography Imaging Characteristics in the Diagnosis and Assessment of Cellulitis in Patients with Leg Swelling. Medicina, 61(6), 982. https://doi.org/10.3390/medicina61060982

