Correlation Between the Clinical and Histopathological Results in Experimental Sciatic Nerve Defect Surgery
Abstract
1. Introduction
2. Materials and Methods
2.1. Ethical Acknowledgement and Animal Lot Description
2.2. Operation and Postoperative Protocol
2.3. Follow-Up Protocol
2.3.1. Clinical Evaluation
- No reaction at any level—0 points;
- Pinch at calf level determines retraction of the limb—1 point;
- Pinch at ankle level determines retraction of the limb—2 points;
- Pinch at metatarsal level determines retraction of the limb—3 points.
- No movement—0 points;
- Minimal movement/flexion—1 point;
- Abduction of the fingers—2 points;
- Abduction and extension of the fingers–3 points.
2.3.2. Paraclinic Evaluation
- Diameter at the anastomotic site: normal (1 point), narrow/reduced diameter (0 points);
- Aspect of the nerve: opaque (1 point), translucent (0 points).
- No regeneration (ruptured nerve)—0 points;
- Less than 50% normal nerve cells/many visible gaps between the nerve fibers—1 point;
- 50–75% normal nerve cells and few visible gaps between the nerve fibers—2 points;
- >75% of the normal and small gaps between the nerve fibers—3 points.
3. Results
3.1. Macroscopic Examination
3.2. Microscopic Examination
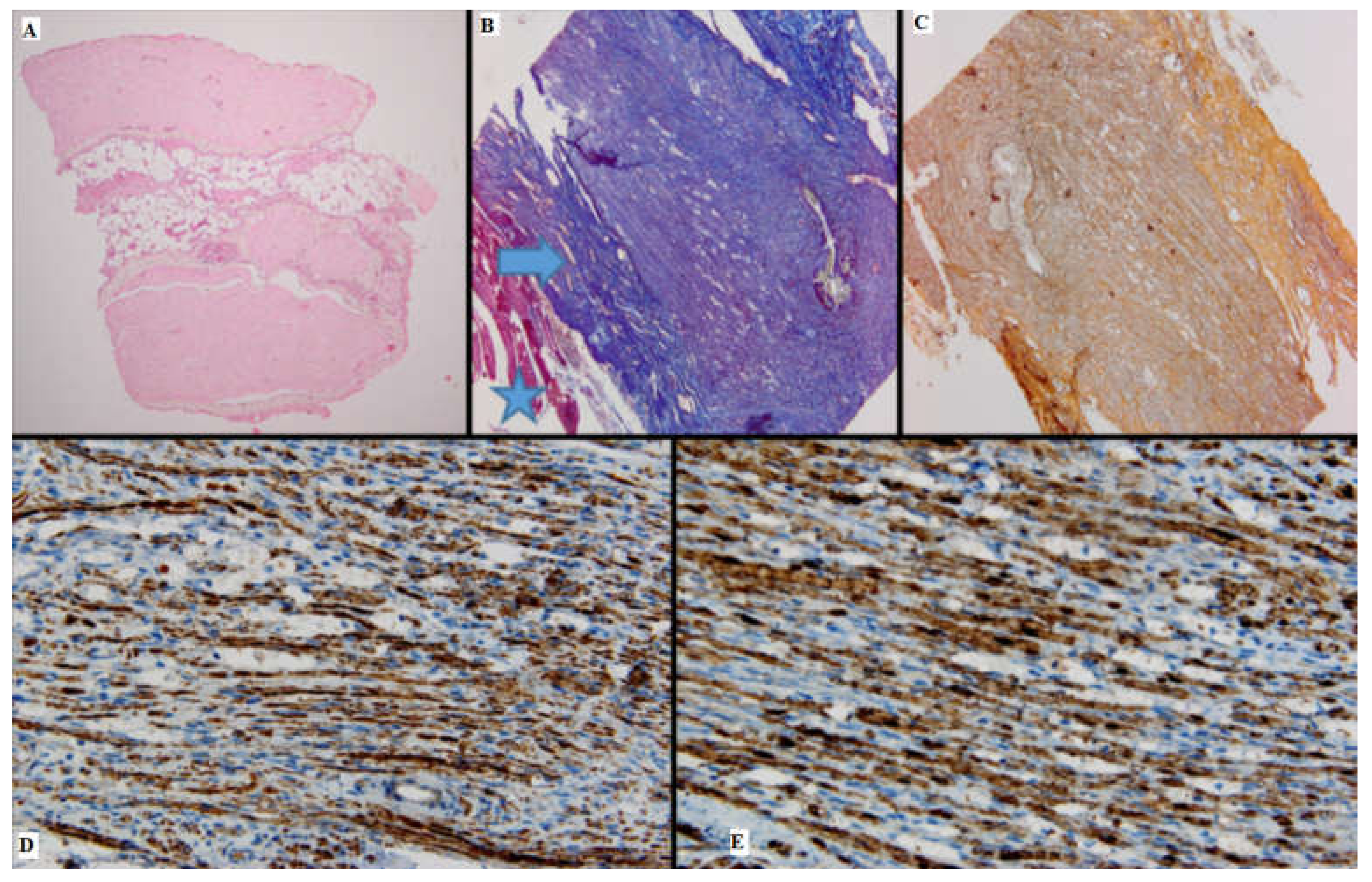
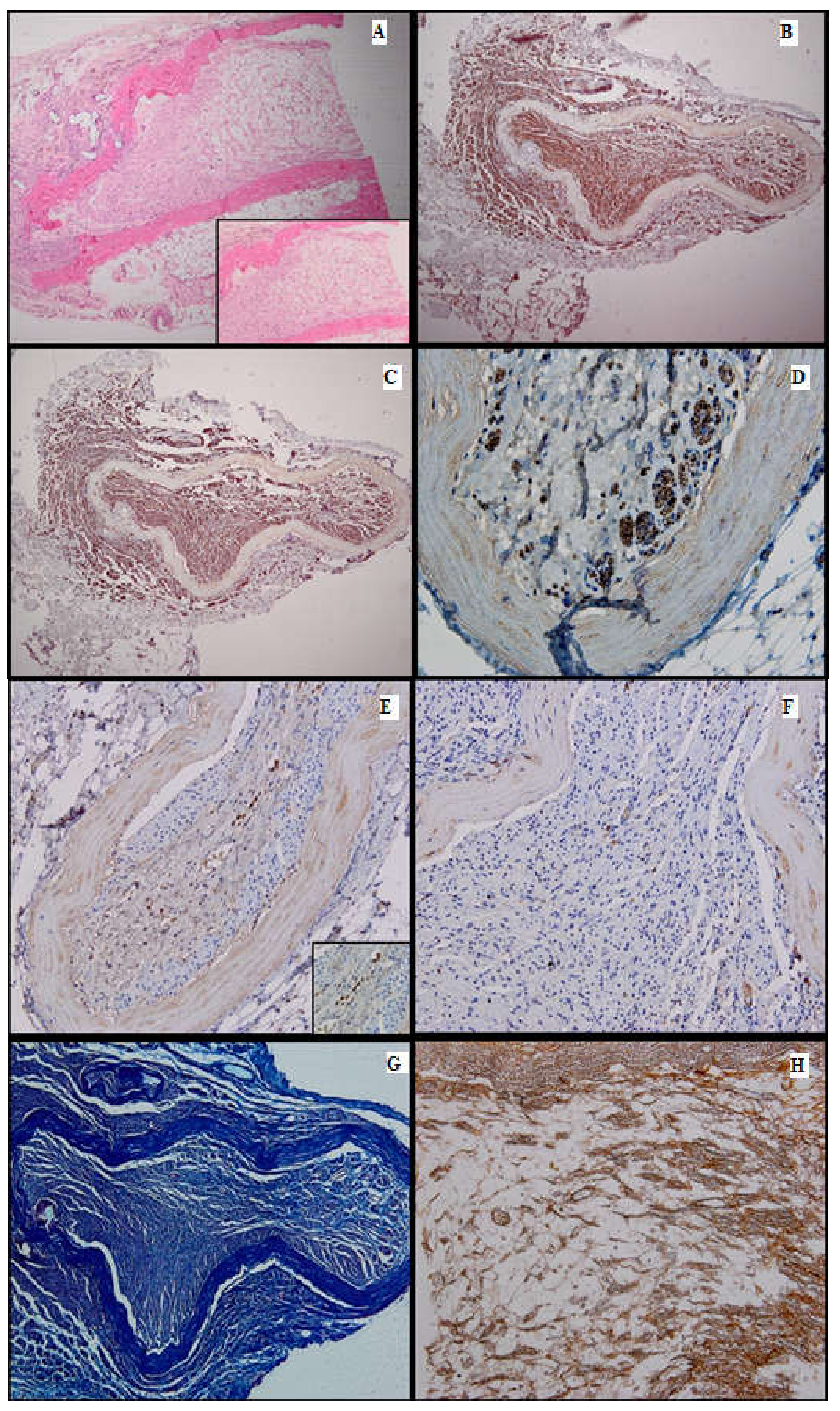
3.2.1. HE Stain
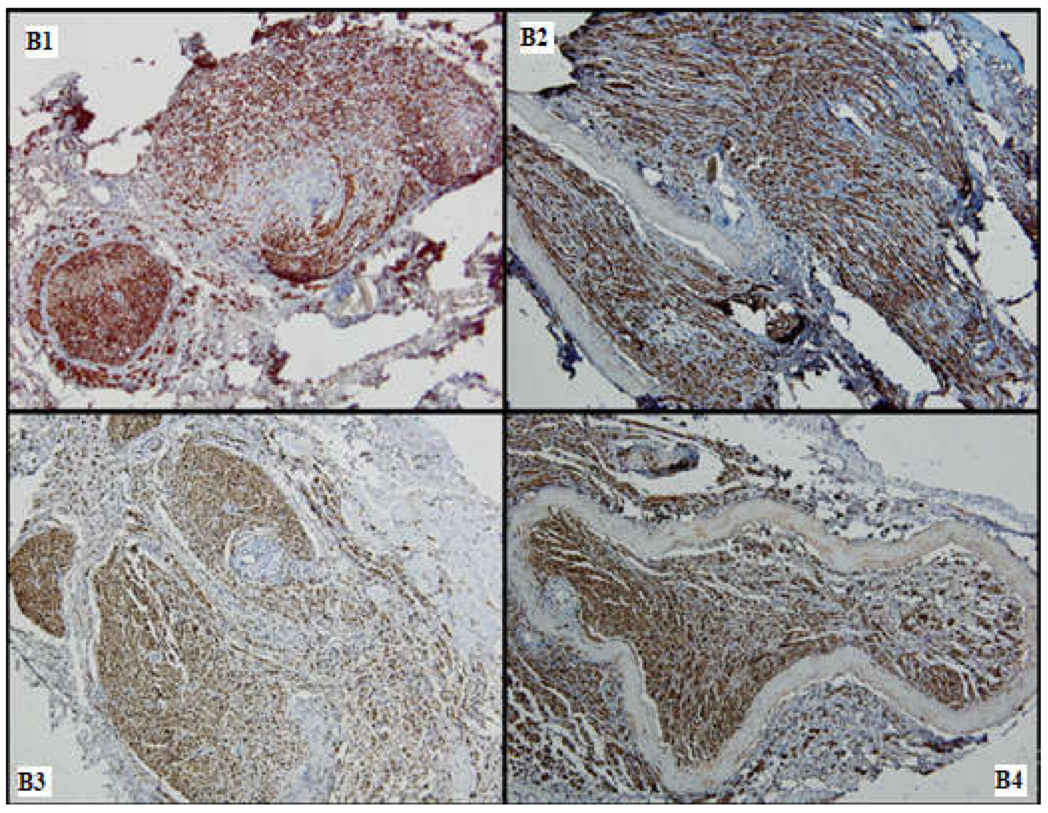
3.2.2. IHC
3.2.3. Special Stains
3.3. Statistical Analysis
4. Discussion
5. Conclusions
Author Contributions
Funding
Institutional Review Board Statement
Informed Consent Statement
Data Availability Statement
Acknowledgments
Conflicts of Interest
References
- Williams, P.L.; Hall, S.M. Chronic Wallerian degeneration--an in vivo and ultrastructural study. J. Anat. 1971, 109 Pt 3, 487–503. [Google Scholar]
- Tricaud, N.; Park, H.T. Wallerian demyelination: Chronicle of a cellular cataclysm. Cell. Mol. Life Sci. CMLS 2017, 74, 4049–4057. [Google Scholar] [CrossRef] [PubMed]
- Chen, P.; Piao, X.; Bonaldo, P. Role of macrophages in Wallerian degeneration and axonal regeneration after peripheral nerve injury. Acta Neuropathol. 2015, 130, 605–618. [Google Scholar] [CrossRef] [PubMed]
- Ghabriel, M.N.; Allt, G. Incisures of Schmidt-Lanterman. Prog. Neurobiol. 1981, 17, 25–58. [Google Scholar] [CrossRef] [PubMed]
- Zhang, K.; Jiang, M.; Fang, Y. The Drama of Wallerian Degeneration: The Cast, Crew, and Script. Annu. Rev. Genet. 2021, 55, 93–113. [Google Scholar] [CrossRef] [PubMed]
- Safa, B.; Buncke, G. Autograft Substitutes: Conduits and Processed Nerve Allografts. Hand Clin. 2016, 32, 127–140. [Google Scholar] [CrossRef]
- Trambitas, C.; Pap, T.; Niculescu, R.; Popelea, M.C.; Cotoi, O.S.; Cordoș, B.; Domnariu, H.P.; Marin, A.; Feier, A.M.; David, C.; et al. Biocompatible 3D-Printed Devices With Adipose Stem Cells in the Regenerative Process of Sciatic Nerve Lesions in Rodent Models: An Experimental Study. Cureus 2024, 16, e62412. [Google Scholar] [CrossRef]
- Lin, M.Y.; Manzano, G.; Gupta, R. Nerve allografts and conduits in peripheral nerve repair. Hand Clin. 2013, 29, 331–348. [Google Scholar] [CrossRef]
- Regas, I.; Loisel, F.; Haight, H.; Menu, G.; Obert, L.; Pluvy, I. Functionalized nerve conduits for peripheral nerve regeneration: A literature review. Hand Surg. Rehabil. 2020, 39, 343–351. [Google Scholar] [CrossRef]
- Li, C.Y.; Cao, D.C. Experimental study on repair of peripheral nerve defect by basic fibroblast growth factor combined with autogenous vein graft conduit. Chin. J. Reparative Reconstr. Surg. 2000, 14, 14–16. [Google Scholar]
- Vancea, C.V.; Grosu-Bularda, A.; Cretu, A.; Hodea, F.V.; Al-Falah, K.; Stoian, A.; Chiotoroiu, A.L.; Mihai, C.; Hariga, C.S.; Lascar, I.; et al. Therapeutic strategies for nerve injuries: Current findings and future perspectives. Are textile technologies a potential solution? Ind. Textila 2022, 73, 704–712. [Google Scholar] [CrossRef]
- Marin, A.; Savescu, M.; Marin, G.G.; Dricu, A.; Parasca, S.; Giuglea, C. Evaluation of muscle atrophy after sciatic nerve defect repair—Experimental model. Rom. J. Mil. Med. 2022, CXXV, 420–431. [Google Scholar] [CrossRef]
- Sunderland, S. A classification of peripheral nerve injuries producing loss of function. Brain J. Neurol. 1951, 74, 491–516. [Google Scholar] [CrossRef] [PubMed]
- Kaya, Y.; Sarikcioglu, L. Sir Herbert Seddon (1903–1977) and his classification scheme for peripheral nerve injury. Childs Nerv. Syst. ChNS Off. J. Int. Soc. Pediatr. Neurosurg. 2015, 31, 177–180. [Google Scholar] [CrossRef]
- Jessen, K.R.; Mirsky, R.; Lloyd, A.C. Schwann Cells: Development and Role in Nerve Repair. Cold Spring Harb. Perspect. Biol. 2015, 7, a020487. [Google Scholar] [CrossRef]
- Xu, Z.; Chen, Z.; Feng, W.; Huang, M.; Yang, X.; Qi, Z. Grafted muscle-derived stem cells promote the therapeutic efficiency of epimysium conduits in mice with peripheral nerve gap injury. Artif. Organs 2020, 44, E214–E225. [Google Scholar] [CrossRef] [PubMed]
- Ikumi, A.; Hara, Y.; Yoshioka, T.; Kanamori, A.; Yamazaki, M. Effect of local administration of platelet-rich plasma (PRP) on peripheral nerve regeneration: An experimental study in the rabbit model. Microsurgery 2018, 38, 300–309. [Google Scholar] [CrossRef]
- Rocco, M.L.; Soligo, M.; Manni, L.; Aloe, L. Nerve Growth Factor: Early Studies and Recent Clinical Trials. Curr. Neuropharmacol. 2018, 16, 1455–1465. [Google Scholar] [CrossRef]
- Tuffaha, S.; Lee, E.B. Growth Factors to Enhance Nerve Regeneration: Approaching Clinical Translation. Hand Clin. 2024, 40, 399–408. [Google Scholar] [CrossRef]
- Battiston, B.; Titolo, P.; Ciclamini, D.; Panero, B. Peripheral Nerve Defects: Overviews of Practice in Europe. Hand Clin. 2017, 33, 545–550. [Google Scholar] [CrossRef]
- Sabongi, R.G.; De Rizzo, L.A.; Fernandes, M.; Valente, S.G.; Gomes dos Santos, J.B.; Faloppa, F.; Leite, V.M. Nerve regeneration: Is there an alternative to nervous graft? J. Reconstr. Microsurg. 2014, 30, 607–616. [Google Scholar] [CrossRef] [PubMed]
- Lans, J.; Eberlin, K.R.; Evans, P.J.; Mercer, D.; Greenberg, J.A.; Styron, J.F. A Systematic Review and Meta-Analysis of Nerve Gap Repair: Comparative Effectiveness of Allografts, Autografts, and Conduits. Plast. Reconstr. Surg. 2023, 151, 814e–827e. [Google Scholar] [CrossRef] [PubMed]
- Davies, A.M. Intrinsic differences in the growth rate of early nerve fibres related to target distance. Nature 1989, 337, 553–555. [Google Scholar] [CrossRef] [PubMed]
- Peng, G.L.; Azizzadeh, B. Cross-facial nerve grafting for facial reanimation. Facial Plast. Surg. FPS 2015, 31, 128–133. [Google Scholar] [CrossRef]
- Ciongariu, A.M.; Țăpoi, D.A.; Dumitru, A.V.; Bejenariu, A.; Marin, A.; Costache, M. Pleomorphic Liposarcoma Unraveled: Investigating Histopathological and Immunohistochemical Markers for Tailored Diagnosis and Therapeutic Innovations. Medicina 2024, 60, 950. [Google Scholar] [CrossRef]
- Bain, J.R.; Mackinnon, S.E.; Hunter, D.A. Functional evaluation of complete sciatic, peroneal, and posterior tibial nerve lesions in the rat. Plast. Reconstr. Surg. 1989, 83, 129–138. [Google Scholar] [CrossRef]
- Montford, J.R.; Linas, S. How Dangerous Is Hyperkalemia? J. Am. Soc. Nephrol. JASN 2017, 28, 3155–3165. [Google Scholar] [CrossRef]
- Campolina, A.C.; Maricevich JP, B.R.; Silva, R.O.; Santa-Cruz, F.; Coutinho, L.R.; Maricevich, M.; Raj, S.; Ferraz, Á.A.B. Evaluation of Chlorhexidine Concentration on the Skin After Preoperative Surgical Site Preparation in Breast Surgery-A Randomized Controlled Trial. Aesthetic Plast. Surg. 2022, 46, 1517–1522. [Google Scholar] [CrossRef]
- Jianu, D.M.; Marin, A. Invited Discussion on: Evaluation of Chlorhexidine Concentration on the Skin After Preoperative Surgical Site Preparation in Breast Surgery-A Randomized Controlled Trial. Aesthetic Plast. Surg. 2022, 46, 1523–1524. [Google Scholar] [CrossRef]
- Popa, M.; Cursaru, A.; Popa, V.; Munteanu, A.; Șerban, B.; Crețu, B.; Iordache, S.; Smarandache, C.G.; Orban, C.; Cîrstoiu, C. Understanding orthopedic infections through a different perspective: Microcalorimetry growth curves. Exp. Ther. Med. 2022, 23, 263. [Google Scholar] [CrossRef]
- Giuglea, C.; Burlacu, E.C.; Dumitrache, S.; Tene, M.G.; Marin, A.; Jianu, D.M.; Marinescu, S.A. Negative Pressure Wound Therapy in Postbariatric Lower Body Lift-A Method of Decreasing Postoperative Complications. Aesthetic Plast. Surg. 2022, 46, 2882–2890. [Google Scholar] [CrossRef] [PubMed]
- Roughan, J.V.; Bertrand, H.G.; Isles, H.M. Meloxicam prevents COX-2-mediated post-surgical inflammation but not pain following laparotomy in mice. Eur. J. Pain 2016, 20, 231–240. [Google Scholar] [CrossRef] [PubMed]
- Philips, B.H.; Weisshaar, C.L.; Winkelstein, B.A. Use of the Rat Grimace Scale to Evaluate Neuropathic Pain in a Model of Cervical Radiculopathy. Comp. Med. 2017, 67, 34–42. [Google Scholar] [PubMed]
- Lee, J.Y.; Giusti, G.; Wang, H.; Friedrich, P.F.; Bishop, A.T.; Shin, A.Y. Functional evaluation in the rat sciatic nerve defect model: A comparison of the sciatic functional index, ankle angles, and isometric tetanic force. Plast. Reconstr. Surg. 2013, 132, 1173–1180. [Google Scholar] [CrossRef] [PubMed]
- Wang, X.S.; Chen, X.; Gu, T.W.; Wang, Y.X.; Mi, D.G.; Hu, W. Axonotmesis-evoked plantar vasodilatation as a novel assessment of C-fiber afferent function after sciatic nerve injury in rats. Neural Regen. Res. 2019, 14, 2164–2172. [Google Scholar] [CrossRef] [PubMed] [PubMed Central]
- Siemionow, M.; Demir, Y.; Mukherjee, A.L. Repair of peripheral nerve defects with epineural sheath grafts. Ann. Plast. Surg. 2010, 65, 546–554. [Google Scholar] [CrossRef]
- Siemionow, M.; Cwykiel, J.; Uygur, S.; Kwiecien, G.; Oztürk, C.; Szopinski, J.; Madajka, M. Application of epineural sheath conduit for restoration of 6-cm long nerve defects in a sheep median nerve model. Microsurgery 2019, 39, 332–339. [Google Scholar] [CrossRef]
- Siemionow, M.; Duggan, W.; Brzezicki, G.; Klimczak, A.; Grykien, C.; Gatherwright, J.; Nair, D. Peripheral nerve defect repair with epineural tubes supported with bone marrow stromal cells: A preliminary report. Ann. Plast. Surg. 2011, 67, 73–84. [Google Scholar] [CrossRef]
- Nijhuis, T.H.; Bodar, C.W.; van Neck, J.W.; Walbeehm, E.T.; Siemionow, M.; Madajka, M.; Cwykiel, J.; Blok, J.H.; Hovius, S.E. Natural conduits for bridging a 15-mm nerve defect: Comparison of the vein supported by muscle and bone marrow stromal cells with a nerve autograft. J. Plast. Reconstr. Aesthetic Surg. JPRAS 2013, 66, 251–259. [Google Scholar] [CrossRef]
- Nijhuis, T.H.; Brzezicki, G.; Klimczak, A.; Siemionow, M. Isogenic venous graft supported with bone marrow stromal cells as a natural conduit for bridging a 20 mm nerve gap. Microsurgery 2010, 30, 639–645. [Google Scholar] [CrossRef]
- Siemionow, M.; Sonmez, E. Nerve allograft transplantation: A review. J. Reconstr. Microsurg. 2007, 23, 511–520. [Google Scholar] [CrossRef] [PubMed]
- Pavić, R.; Pavić, M.L.; Tvrdeić, A.; Tot, O.K.; Heffer, M. Rat sciatic nerve crush injury and recovery tracked by plantar test and immunohistochemistry analysis. Coll. Antropol. 2011, 35 (Suppl. S1), 93–100. [Google Scholar] [PubMed]
- Campbell, L.K.; Thomas, J.R.; Lamps, L.W.; Smoller, B.R.; Folpe, A.L. Protein Gene Product 9.5 (PGP 9.5) Is Not a Specific Marker of Neural and Nerve Sheath Tumors: An Immunohistochemical Study of 95 Mesenchymal Neoplasms. Mod. Pathol. 2003, 16, 963–969. [Google Scholar] [CrossRef] [PubMed]
- Ciongariu, A.M.; Dumitru, A.V.; Cîrstoiu, C.; Crețu, B.; Sajin, M.; Țăpoi, D.A.; Ciobănoiu, A.D.; Bejenariu, A.; Marin, A.; Costache, M. The Conundrum of Dedifferentiation in a Liposarcoma at a Peculiar Location: A Case Report and Literature Review. Medicina 2023, 59, 967. [Google Scholar] [CrossRef]
- Tomita, T. PGP 9.5 immunocytochemical staining for pancreatic endocrine tumors. Islets 2013, 5, 122–128. [Google Scholar] [CrossRef]
- Dumitru, A.V.; Țăpoi, D.A.; Costache, M.; Ciongariu, A.M.; Ionescu, A.I.; Liscu, H.D.; Alius, C.; Tampa, M.; Marin, A.; Furtunescu, A.R. Metastatic Nodular Melanoma with Angiosarcomatous Transdifferentiation-A Case Report and Review of the Literature. Diagnostics 2024, 14, 1323. [Google Scholar] [CrossRef]
- Jiang, X.; Ma, J.; Wei, Q.; Feng, X.; Qiao, L.; Liu, L.; Zhang, B.; Yu, W. Effect of Frankincense Extract on Nerve Recovery in the Rat Sciatic Nerve Damage Model. Evid.-Based Complement. Altern. Med. 2016, 2016, 3617216. [Google Scholar] [CrossRef]
- Sidney, L.E.; Branch, M.J.; Dunphy, S.E.; Dua, H.S.; Hopkinson, A. Concise review: Evidence for CD34 as a common marker for diverse progenitors. Stem Cells 2014, 32, 1380–1389. [Google Scholar] [CrossRef]
- Koike, M.; Shiomi, T.; Koike, A. Dimerization and Nuclear Localization of Ku Proteins*. J. Biol. Chem. 2001, 276, 11167–11173. [Google Scholar] [CrossRef]
- Korabiowska, M.; Cordon-Cardo, C.; Schinagl, M.; Karaus, M.; Stachura, J.; Schulz, H.; Fischer, G. Loss of Ku70/Ku80 expression occurs more frequently in hereditary than in sporadic colorectal tumors. Tissue microarray study. Hum. Pathol. 2006, 37, 448–452. [Google Scholar] [CrossRef] [PubMed]
- Reiling, E.; Dollé, M.E.T.; Youssef, S.A.; Lee, M.; Nagarajah, B.; Roodbergen, M.; de With, P.; de Bruin, A.; Hoeijmakers, J.H.; Vijg, J.; et al. The Progeroid Phenotype of Ku80 Deficiency Is Dominant over DNA-PKCS Deficiency. PLoS ONE 2014, 9, e93568. [Google Scholar] [CrossRef] [PubMed][Green Version]
- Lucero, H.A.; Patterson, S.; Matsuura, S.; Ravid, K. Quantitative histological image analyses of reticulin fibers in a myelofibrotic mouse. J. Biol. Methods 2016, 3, e60. [Google Scholar] [CrossRef] [PubMed]
- Huisman, M.; Staruch, R.M.; Ladouceur-Wodzak, M.; Bosch, M.A.v.D.; Burns, D.K.; Chhabra, A.; Chopra, R. Non-Invasive Targeted Peripheral Nerve Ablation Using 3D MR Neurography and MRI-Guided High-Intensity Focused Ultrasound (MR-HIFU): Pilot Study in a Swine Model. PLoS ONE 2015, 10, e0144742. [Google Scholar] [CrossRef] [PubMed]
- Assaw, S. The use of modified Massion’s trichrome staining in collagen evaluation in wound healing study. Malays. J. Vet. Res. 2012, 3, 39–47. [Google Scholar]
- Segnani, C.; Ippolito, C.; Antonioli, L.; Pellegrini, C.; Blandizzi, C.; Dolfi, A.; Bernardini, N. Histochemical Detection of Collagen Fibers by Sirius Red/Fast Green Is More Sensitive than van Gieson or Sirius Red Alone in Normal and Inflamed Rat Colon. PLoS ONE 2015, 10, e0144630. [Google Scholar] [CrossRef]
- Kim, P.D.; Hayes, A.; Amin, F.; Akelina, Y.; Hays, A.P.; Rosenwasser, M.P. Collagen nerve protector in rat sciatic nerve repair: A morphometric and histological analysis. Microsurgery 2010, 30, 392–396. [Google Scholar] [CrossRef] [PubMed]
- Pušnik, L.; Radochová, B.; Janáček, J.; Saudek, F.; Serša, I.; Cvetko, E.; Umek, N.; Snoj, Ž. Fascicle differentiation of upper extremity nerves on high-resolution ultrasound with multimodal microscopic verification. Sci. Rep. 2025, 15, 557. [Google Scholar] [CrossRef]
- Soni, A.; Klütsch, D.; Hu, X.; Houtman, J.; Rund, N.; McCloskey, A.; Mertens, J.; Schafer, S.T.; Amin, H.; Toda, T. Improved Method for Efficient Generation of Functional Neurons from Murine Neural Progenitor Cells. Cells 2021, 10, 1894. [Google Scholar] [CrossRef] [PubMed] [PubMed Central]
- Pan, S.; Hada, S.S.; Liu, Y.; Hu, C.; Zhou, M.; Zheng, S.; Xu, M.; Shi, C.; Yin, S.; Xie, X. Human Placenta-Derived Mesenchymal Stem Cells Ameliorate Diabetic Neuropathy via Wnt Signaling Pathway. Stem Cells Int. 2022, 2022, 6897056. [Google Scholar] [CrossRef]
- Ye, J.; Ren, Z.; Gu, Q.; Wang, L.; Wang, J. Ku80 is differentially expressed in human lung carcinomas and upregulated in response to irradiation in mice. DNA Cell Biol. 2011, 30, 987–994. [Google Scholar] [CrossRef]
- Lișcu, H.-D.; Verga, N.; Atasiei, D.-I.; Badiu, D.-C.; Dumitru, A.V.; Ultimescu, F.; Pavel, C.; Stefan, R.-E.; Manole, D.-C.; Ionescu, A.-I. Biomarkers in Colorectal Cancer: Actual and Future Perspectives. Int. J. Mol. Sci. 2024, 25, 11535. [Google Scholar] [CrossRef]







Disclaimer/Publisher’s Note: The statements, opinions and data contained in all publications are solely those of the individual author(s) and contributor(s) and not of MDPI and/or the editor(s). MDPI and/or the editor(s) disclaim responsibility for any injury to people or property resulting from any ideas, methods, instructions or products referred to in the content. |
© 2025 by the authors. Published by MDPI on behalf of the Lithuanian University of Health Sciences. Licensee MDPI, Basel, Switzerland. This article is an open access article distributed under the terms and conditions of the Creative Commons Attribution (CC BY) license (https://creativecommons.org/licenses/by/4.0/).
Share and Cite
Marin, A.; Herlea, V.; Bancu, A.; Giuglea, C.; Țăpoi, D.A.; Ciongariu, A.M.; Marin, G.G.; Marinescu, S.A.; Dobrete, N.A.; Dumitru, A.V.; et al. Correlation Between the Clinical and Histopathological Results in Experimental Sciatic Nerve Defect Surgery. Medicina 2025, 61, 317. https://doi.org/10.3390/medicina61020317
Marin A, Herlea V, Bancu A, Giuglea C, Țăpoi DA, Ciongariu AM, Marin GG, Marinescu SA, Dobrete NA, Dumitru AV, et al. Correlation Between the Clinical and Histopathological Results in Experimental Sciatic Nerve Defect Surgery. Medicina. 2025; 61(2):317. https://doi.org/10.3390/medicina61020317
Chicago/Turabian StyleMarin, Andrei, Vlad Herlea, Alice Bancu, Carmen Giuglea, Dana Antonia Țăpoi, Ana Maria Ciongariu, Georgiana Gabriela Marin, Silviu Adrian Marinescu, Nicoleta Amalia Dobrete, Adrian Vasile Dumitru, and et al. 2025. "Correlation Between the Clinical and Histopathological Results in Experimental Sciatic Nerve Defect Surgery" Medicina 61, no. 2: 317. https://doi.org/10.3390/medicina61020317
APA StyleMarin, A., Herlea, V., Bancu, A., Giuglea, C., Țăpoi, D. A., Ciongariu, A. M., Marin, G. G., Marinescu, S. A., Dobrete, N. A., Dumitru, A. V., Trambitaș, C., Șerban, D., & Sajin, M. (2025). Correlation Between the Clinical and Histopathological Results in Experimental Sciatic Nerve Defect Surgery. Medicina, 61(2), 317. https://doi.org/10.3390/medicina61020317

