Prolonged Corticosteroid Use in the Treatment of Tuberculous Meningoencephalitis: A Case Report
Abstract
1. Background
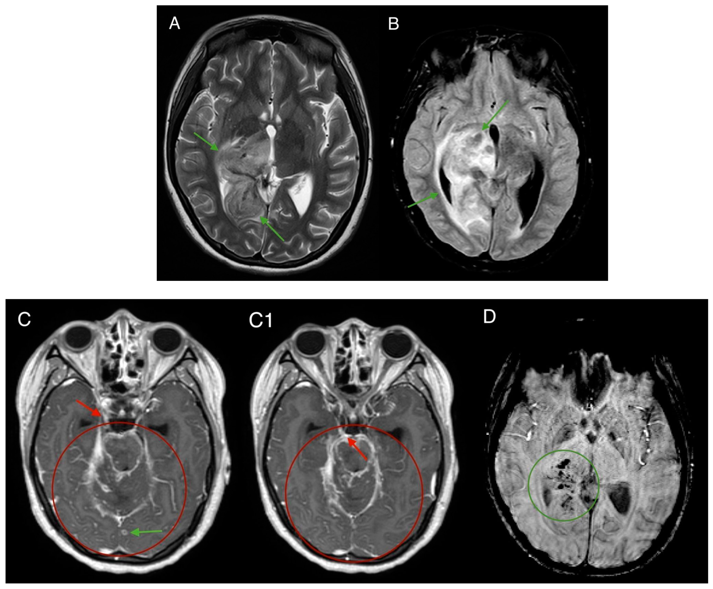
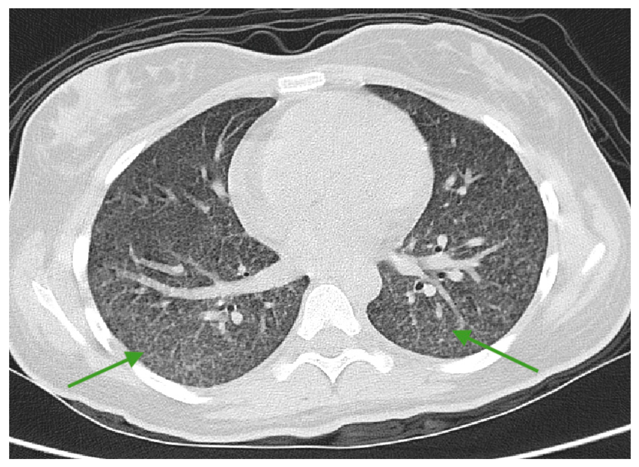
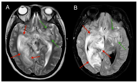
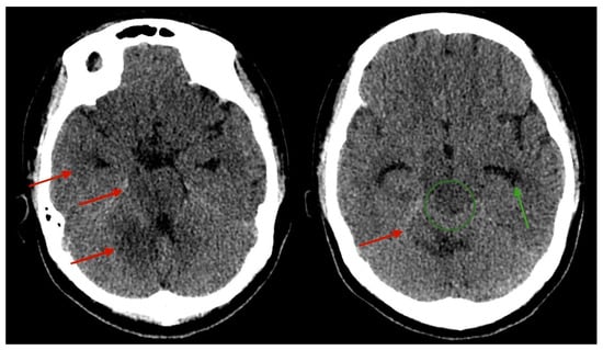
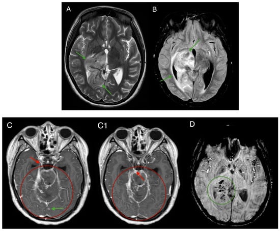
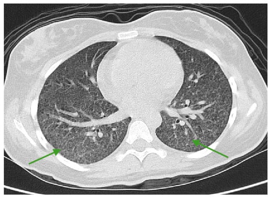
2. Case Report
3. Discussion
4. Conclusions
Author Contributions
Funding
Institutional Review Board Statement
Informed Consent Statement
Data Availability Statement
Conflicts of Interest
References
- World Health Organization. Global Tuberculosis Report 2024; World Health Organization: Geneva, Switzerland, 2024. [Google Scholar]
- McGuinness, G.; Naidich, D.P.; Jagirdar, J.; Leitman, B.; McCauley, D.I. High resolution CT findings in miliary lung disease. J. Comput. Assist. Tomogr. 1992, 16, 384–390. [Google Scholar] [CrossRef]
- Sharma, S.K.; Mohan, A.; Sharma, A.; Mitra, D.K. Miliary tuberculosis: New insights into an old disease. Lancet Infect. Dis. 2005, 5, 415–430. [Google Scholar] [CrossRef] [PubMed]
- Donovan, J.; Thwaites, G.E.; Huynh, J. Tuberculous meningitis: Where to from here? Curr. Opin. Infect. Dis. 2020, 33, 259–266. [Google Scholar] [CrossRef] [PubMed]
- Kent, S.J.; Crowe, S.M.; Yung, A.; Lucas, C.R.; Mijch, A.M. Tuberculous meningitis: A 30-year review. Clin. Infect. Dis. 1993, 17, 987–994. [Google Scholar] [CrossRef] [PubMed]
- Poplin, V.; Boulware, D.R.; Bahr, N.C. Methods for rapid diagnosis of meningitis etiology in adults. Biomark. Med. 2020, 14, 459–479. [Google Scholar] [CrossRef] [PubMed] [PubMed Central]
- Wasay, M.; Kheleani, B.A.; Moolani, M.K.; Zaheer, J.; Pui, M.; Hasan, S.; Muzaffar, S.; Bakshi, R.; Sarawari, A.R. Brain CT and MRI Findings in 100 Consecutive Patients with Intracranial Tuberculoma. J. Neuroimaging 2003, 13, 240–247. [Google Scholar] [CrossRef]
- Agarwal, S.; Charan, B.D.; Shah, S.A.; Singh, E.; Garg, A. Imaging in Neurotuberculosis. Indographics 2024, 3, 135–149. [Google Scholar] [CrossRef]
- Lefman, J.A.; Petrella, J.R. MRI characteristics of T2 hypointense lesions: Differential diagnosis and clinical implications. Am. J. Roentgenol. 2006, 186, 1524–1534. [Google Scholar]
- Ma, H.; Liu, Y.; Zhuang, C.; Shen, Y.; Wu, R. Clinical features and MRI findings of intracranial tuberculomas. Radiol. Infect. Dis. 2018, 5, 154–159. [Google Scholar] [CrossRef]
- Khatri, G.D.; Krishnan, V.; Antil, N.; Saigal, G. Magnetic resonance imaging spectrum of intracranial tubercular lesions: One disease, many faces. Pol. J. Radiol. 2018, 83, e524–e535. [Google Scholar] [CrossRef] [PubMed] [PubMed Central]
- Prasad, K.; Singh, M.B.; Ryan, H. Corticosteroids for managing tuberculous meningitis. Cochrane Database Syst. Rev. 2016, 4, CD002244. [Google Scholar] [CrossRef] [PubMed]
- Thwaites, G.E.; Nguyen, D.B.; Nguyen, H.D.; Hoang, T.Q.; Do, T.T.; Nguyen, T.C.; Nguyen, Q.H.; Nguyen, T.T.; Nguyen, N.H.; Nguyen, T.N.; et al. Dexamethasone for the treatment of tuberculous meningitis in adolescents and adults. N. Engl. J. Med. 2004, 351, 1741–1751. [Google Scholar] [CrossRef]
- Thwaites, G.; Fisher, M.; Hemingway, C.; Scott, G.; Solomon, T.; Innes, J.; British Infection Society. British Infection Society guidelines for the diagnosis and treatment of tuberculosis of the central nervous system in adults and children. J. Infect. 2009, 59, 167–187. [Google Scholar] [CrossRef]
- Vasconcelos, G.; Santos, L.; Couto, C.; Cruz, M.; Castro, A. Miliary Brain Tuberculomas and Meningitis: Tuberculosis Beyond the Lungs. Eur. J. Case Rep. Intern. Med. 2020, 7, 001931. [Google Scholar] [CrossRef] [PubMed]
- Centre for Disease Prevention and Control (Latvia). Available online: https://www.spkc.gov.lv/lv (accessed on 7 September 2024).
- Wei, X.; Xie, M.; Wu, S.; Bao, Y. The clinical features and prognostic factors of miliary tuberculosis in a high tuberculosis burden area. Ann. Med. 2024, 56, 2356647. [Google Scholar] [CrossRef]
- Sharma, S.K.; Mohan, A.; Sharma, A. Challenges in the diagnosis & treatment of miliary tuberculosis. Indian J. Med. Res. 2012, 135, 703–730. [Google Scholar] [PubMed] [PubMed Central]
- Ho, J.; Marais, B.J.; Gilbert, G.L.; Ralph, A.P. Diagnosing tuberculous meningitis—Have we made any progress? Trop. Med. Int. Health 2013, 18, 783–793. [Google Scholar] [CrossRef] [PubMed]
- Wilkinson, R.J.; Rohlwink, U.; Misra, U.K.; van Crevel, R.; Mai, N.T.H.; Dooley, K.E.; Caws, M.; Figaji, A.; Savic, R.; Solomons, R.; et al. Tuberculous meningitis. Nat. Rev. Neurol. 2017, 13, 581–598. [Google Scholar] [CrossRef] [PubMed]
- Patel, V.B.; Theron, G.; Lenders, L.; Matinyena, B.; Connolly, C.; Singh, R.; Coovadia, Y.; Ndung’u, T.; Dheda, K. Diagnostic accuracy of quantitative PCR (Xpert MTB/RIF) for tuberculous meningitis in a high burden setting: A prospective study. PLoS Med. 2013, 10, e1001536. [Google Scholar] [CrossRef] [PubMed] [PubMed Central]
- Ghimire, B.; Thapaliya, I.; Yadav, J.; Bhandari, S.; Paudyal, M.B.; Mehta, N.; Bhandari, S.; Adhikari, Y.R.; Sapkota, S.; Bhattarai, M. Diagnostic challenges in tuberculous meningitis: A case report with negative genexpert result. Ann. Med. Surg. 2023, 85, 5731–5735. [Google Scholar] [CrossRef] [PubMed]
- World Health Organization. WHO Consolidated Guidelines on Tuberculosis. Module 4: Treatment—Drug-Susceptible Tuberculosis Treatment; World Health Organization: Geneva, Switzerland, 2022; Licence: CC BY-NC-SA 3.0 IGO. [Google Scholar]
- Chen, L.; Ni, Z.; Huang, J.; Zhang, R.; Zhang, J.; Zhang, B.; Kuang, L.; Sun, X.; Zhang, D.; Su, N.; et al. Long term usage of dexamethasone accelerating accelerates the initiation of osteoarthritis via enhancing chondrocyte apoptosis and the extracellular matrix calcification and apoptosis of chondrocytes. Int. J. Biol. Sci. 2021, 17, 4140–4153. [Google Scholar] [CrossRef]






| Haematology | Results | Reference Value |
|---|---|---|
| Leu, ×109 | 8.88 | 4–10 |
| Er, ×1012 | 4.39 | 4.2–5.4 |
| Hgb, g/L | 10.5 | 12.0–16.0 |
| Hct,% | 30.1 | 37–47 |
| Tr, ×109 | 275 | 150–400 |
| Hemostasis | ||
| INR | 1.04 | 0.8–1.2 |
| D-dimer | 3.11 | 0–0.5 |
| APTT, s | 28.8 | 28–40 |
| Biochemistry | ||
| ALAT, U/L | 83.49 | 10–49 |
| Glucose, mmol/L | 7.24 | 4.1–5.9 |
| Urea, mmol/L | 4.46 | 3.2–8.2 |
| Creatinine, umol/L | 52.17 | 49–90 |
| GFR, ml/min | 135 | |
| Sodium, mmol/L | 128.79 | 136–145 |
| Potassium, mmol/L | 4.46 | 3.5–5.1 |
| CRP, mg/L | 7.17 | 0–5 |
| Date | Sample | Direct Fluorescence Antibody Test | Xpert MTB/Rif Ultra Test | Bactec Medium | Löwenstein—Jensen Medium |
|---|---|---|---|---|---|
| 1 April | CSF | Negative | Negative | Positive | - |
| 5 April | Blood | - | - | Negative | - |
| 6 April | CSF | Negative | Positive, RIF-sensitive | Negative | Negative |
| 6 April | Urine | Negative | “Trace” | Negative | Negative |
| 7 April | Bronchial wash | Negative | Positive, RIF-sensitive | Positive | Positive |
| 8 April | faeces | Negative | Positive, RIF-sensitive | Negative | Negative |
Disclaimer/Publisher’s Note: The statements, opinions and data contained in all publications are solely those of the individual author(s) and contributor(s) and not of MDPI and/or the editor(s). MDPI and/or the editor(s) disclaim responsibility for any injury to people or property resulting from any ideas, methods, instructions or products referred to in the content. |
© 2025 by the authors. Published by MDPI on behalf of the Lithuanian University of Health Sciences. Licensee MDPI, Basel, Switzerland. This article is an open access article distributed under the terms and conditions of the Creative Commons Attribution (CC BY) license (https://creativecommons.org/licenses/by/4.0/).
Share and Cite
Holstroma, A.; Balodis, A.; Brokans, A.; Viksna, A. Prolonged Corticosteroid Use in the Treatment of Tuberculous Meningoencephalitis: A Case Report. Medicina 2025, 61, 214. https://doi.org/10.3390/medicina61020214
Holstroma A, Balodis A, Brokans A, Viksna A. Prolonged Corticosteroid Use in the Treatment of Tuberculous Meningoencephalitis: A Case Report. Medicina. 2025; 61(2):214. https://doi.org/10.3390/medicina61020214
Chicago/Turabian StyleHolstroma, Annija, Arturs Balodis, Artis Brokans, and Anda Viksna. 2025. "Prolonged Corticosteroid Use in the Treatment of Tuberculous Meningoencephalitis: A Case Report" Medicina 61, no. 2: 214. https://doi.org/10.3390/medicina61020214
APA StyleHolstroma, A., Balodis, A., Brokans, A., & Viksna, A. (2025). Prolonged Corticosteroid Use in the Treatment of Tuberculous Meningoencephalitis: A Case Report. Medicina, 61(2), 214. https://doi.org/10.3390/medicina61020214

