Unraveling the Beneficial Role of Resveratrol in Fructose-Induced Non-Alcoholic Steatohepatitis with a Focus on the AMPK/Nrf2 Signaling Axis
Abstract
1. Introduction
2. Materials and Methods
2.1. Chemicals
2.2. Animals
2.2.1. Animals and Diets Used in the Experiment
2.2.2. Animal Grouping and Experimental Design
2.3. Blood and Tissue Sampling
2.3.1. Blood Sampling
2.3.2. Tissue Sampling
2.4. Liver Tissue Homogenate and Nuclear Extract Preparation
2.5. Biochemical Analysis
2.5.1. Lipid Analysis
2.5.2. Liver Function Tests
2.5.3. Oxidative Stress Parameters
2.5.4. Adenosine Monophosphate Protein Kinase (AMPK) Levels
2.5.5. Hepatic Beclin 1 Levels
2.5.6. Hepatic IL-6 Levels
2.5.7. Hepatic Nuclear Factor Erythroid 2-Related Factor 2 (Nrf-2) DNA-Binding Activity
2.5.8. Nuclear Factor-Erythroid 2-Related Factor-2 (Nrf2) Gene Expression Measurement
2.6. Histopathological Study
2.7. Statistical Analysis
3. Results
3.1. Biochemical Parameters
3.1.1. Impact of Resveratrol on Weight
3.1.2. Impact of Resveratrol on Liver Enzymes and Lipid Parameters
3.1.3. Impact of Resveratrol on Hepatic IL-6
3.1.4. Impact of Resveratrol on Hepatic AMPK, Beclin 1, and Oxidative Stress Markers
3.1.5. Impact of Resveratrol on the Hepatic Expression of the Nrf-2 Gene
3.2. Histopathology
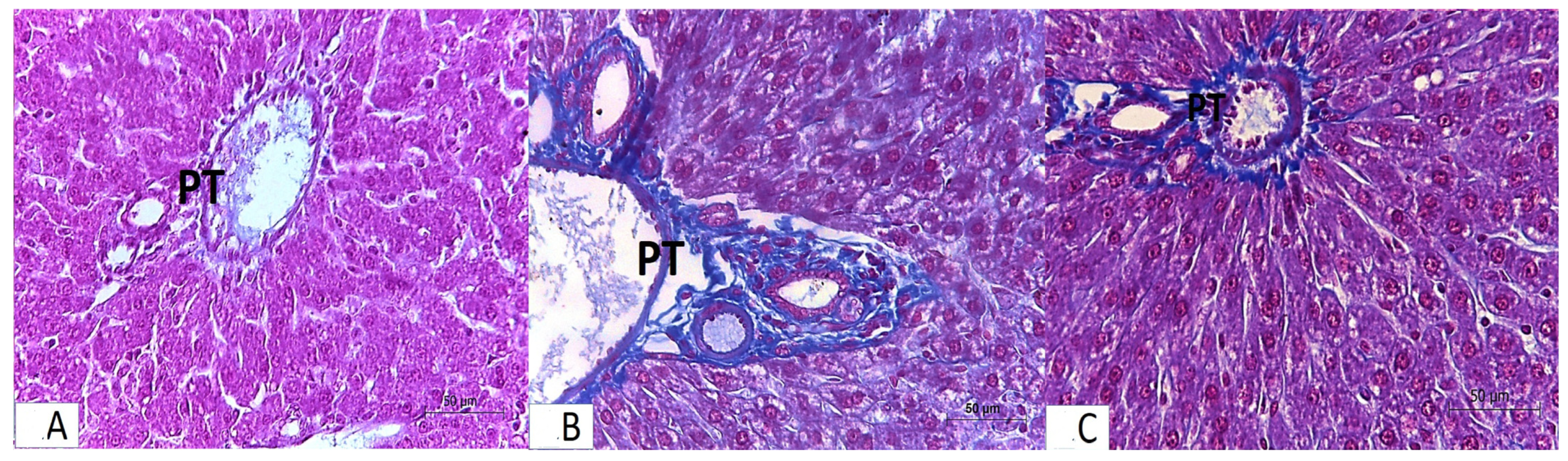
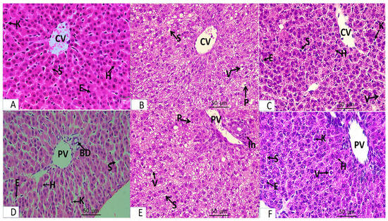
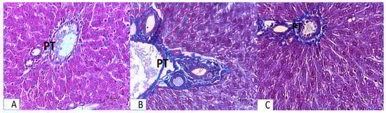
- Light microscopic analysis of stained liver sections (H–E) from the rats in group I (control group) revealed that the liver was composed of hepatocyte cords separated by blood sinusoids and regularly emanating from the central vein. Flat endothelial cells and von Kupffer cells lined the slit-shaped blood sinusoids. Large vesicular basophilic nuclei and granular eosinophilic cytoplasm were features of polyhedral hepatocytes (Figure 1A,D). The bile duct and portal vein branches made up the portal tract (Figure 2A). Based on Masson’s trichrome stain, the components of the portal tract and the blood sinusoidal wall were found to have a normal collagen fiber distribution (Figure 2A).
- Examining the stained liver sections (H–E) from the rats in group II (FED group) revealed that the hepatic cords lacked the typical radial arrangement. The majority of hepatocytes had cytoplasmic vacuoles, with the nucleus displaced to the periphery. Some of the nuclei were tiny and highly stained, and the portal tracts were infiltrated by lymphocytes (Figure 1B,E). Collagen fibers were more widely distributed around the portal tract’s components according to Masson’s trichrome staining (Figure 2B).
- Examining the stained liver sections (H–E) from the rats in group III (RES + FED group) revealed that most of the hepatic cords surrounding the central vein were in a radial pattern. Most blood sinusoids had a slit-like appearance. Granular eosinophilic cytoplasm and rounded vesicular nuclei characterized the majority of polyhedral hepatocytes. Cytoplasmic vacuoles were sparse in hepatocytes (Figure 1C,F). When the portal tract’s components were examined using Masson’s trichrome staining, the distribution of fine collagen fibers was identical to that in the control group (Figure 2C).
4. Discussion
5. Conclusions
- The parameters for liver morphology and weights were not measured
- PPARα, CPT1α, and ACOX1 expression levels were not measured.
Author Contributions
Funding
Institutional Review Board Statement
Informed Consent Statement
Data Availability Statement
Conflicts of Interest
References
- Rinella, M.E.; Lazarus, J.V.; Ratziu, V.; Francque, S.M.; Sanyal, A.J.; Kanwal, F.; Romero, D.; Abdelmalek, M.F.; Anstee, Q.M.; Arab, J.P.; et al. A multisociety Delphi consensus statement on new fatty liver disease nomenclature. J. Hepatol. 2023, 79, 1542–1556. [Google Scholar] [CrossRef]
- Pouwels, S.; Sakran, N.; Graham, Y.; Leal, A.; Pintar, T.; Yang, W.; Kassir, R.; Singhal, R.; Mahawar, K.; Ramnarain, D. Non-alcoholic fatty liver disease (NAFLD): A review of pathophysiology, clinical management and effects of weight loss. BMC Endocr. Disord. 2022, 22, 63. [Google Scholar] [CrossRef]
- Williamson, R.M.; Price, J.F.; Glancy, S.; Perry, E.; Nee, L.D.; Hayes, P.C.; Frier, B.M.; Van Look, L.A.F.; Johnston, G.I.; Reynolds, R.M.; et al. Prevalence of and risk factors for hepatic steatosis and nonalcoholic Fatty liver disease in people with type 2 diabetes: The Edinburgh type 2 diabetes Study. Diabetes Care 2011, 34, 1139–1144. [Google Scholar] [CrossRef]
- Muzurović, E.; Mikhailidis, D.P.; Mantzoros, C. Non-alcoholic fatty liver disease, insulin resistance, metabolic syndrome and their association with vascular risk. Metabolism 2021, 119, 154770. [Google Scholar] [CrossRef] [PubMed]
- Yu, S.; Li, C.; Ji, G.; Zhang, L. The contribution of dietary fructose to non-alcoholic fatty liver disease. Front. Pharmacol. 2021, 12, 783393. [Google Scholar] [CrossRef] [PubMed]
- Choi, Y.; Abdelmegeed, M.A.; Song, B.J. Diet high in fructose promotes liver steatosis and hepatocyte apoptosis in C57BL/6J female mice: Role of disturbed lipid homeostasis and increased oxidative stress. Food Chem. Toxicol. 2017, 103, 111–121. [Google Scholar] [CrossRef]
- Liu, S.; Yao, S.; Yang, H.; Liu, S.; Wang, Y. Autophagy: Regulator of cell death. Cell Death Dis. 2023, 14, 648. [Google Scholar] [CrossRef] [PubMed]
- Lei, Y.; Klionsky, D.J. The Emerging Roles of Autophagy in Human Diseases. Biomedicines 2021, 9, 1651. [Google Scholar] [CrossRef]
- Dossou, A.S.; Basu, A. The emerging roles of mTORC1 in macromanaging autophagy. Cancers 2019, 11, 1422. [Google Scholar] [CrossRef]
- Kaur, S.; Changotra, H. The beclin 1 interactome: Modification and roles in the pathology of autophagy-related disorders. Biochimie 2020, 175, 34–49. [Google Scholar] [CrossRef]
- Li, Y.; Wang, B.; Shen, J.; Bai, M.; Xu, E. Berberine attenuates fructose-induced insulin resistance by stimulating the hepatic LKB1/AMPK/PGC1alpha pathway in mice. Pharm. Biol. 2020, 58, 385–392. [Google Scholar] [CrossRef]
- Chambel, S.S.; Santos-Gonçalves, A.; Duarte, T.L. The Dual Role of Nrf2 in. In Nonalcoholic Fatty Liver Disease: Regulation of Antioxidant Defenses and Hepatic Lipid Metabolism. BioMed Res. Int. 2015, 2015, 597134. [Google Scholar] [CrossRef]
- Shen, B.; Feng, H.; Cheng, J.; Li, Z.; Jin, M.; Zhao, L.; Wang, Q.; Qin, H.; Liu, G. Geniposide alleviates non-alcohol fatty liver disease via regulating Nrf2/AMPK/mTOR signalling pathways. J. Cell. Mol. Med. 2020, 24, 5097–5108. [Google Scholar] [CrossRef]
- Honma, K.; Oshima, K.; Takami, S.; Goda, T. Regulation of hepatic genes related to lipid metabolism and antioxidant enzymes by sodium butyrate supplementation. Metab. Open 2020, 7, 100043. [Google Scholar] [CrossRef]
- Tejada, S.; Capó, X.; Mascaró, C.M.; Monserrat-Mesquida, M.; Quetglas-Llabrés, M.M.; Pons, A.; Tur, J.A.; Sureda, A. Hepatoprotective effects of resveratrol in non-alcoholic fatty live disease. Curr. Pharm. Des. 2021, 27, 2558–2570. [Google Scholar] [CrossRef] [PubMed]
- Katsiki, N.; Stoian, A.P.; Rizzo, M. Dietary patterns in non-alcoholic fatty liver disease (NAFLD): Stay on the straight and narrow path! Clin. Investig. Arterioscler. 2022, 34 (Suppl. S1), S24–S31. [Google Scholar] [CrossRef]
- Takahashi, Y.; Soejima, Y.; Fukusato, T. Animal models of nonalcoholic fatty liver disease/nonalcoholic steatohepatitis. World J. Gastroenterol. 2012, 18, 2300–2308. [Google Scholar] [CrossRef]
- Zhu, L.; Luo, X.; Jin, Z. Effect of Resveratrol on Serum and Liver Lipid Profile and Antioxidant Activity in Hyperlipidemia Rats. Asian Australas. J. Anim. Sci. 2008, 21, 890–895. [Google Scholar] [CrossRef]
- Bradford, M.M. A rapid and sensitive method for the quantitation of microgram quantities of protein utilizing the principle of protein-dye binding. Anal. Biochem. 1976, 72, 248–254. [Google Scholar] [CrossRef]
- Beutler, E.; Duron, O.; Kelly, B.M. Improved method for the determination of blood glutathione. J. Lab. Clin. Med. 1963, 61, 882–888. [Google Scholar]
- Kono, Y. Generation of superoxide radical during autoxidation of hydroxylamine and an assay for superoxide dismutase. Arch. Biochem. Biophys. 1978, 186, 189–195. [Google Scholar] [CrossRef]
- Ohkawa, H.; Ohishi, N.; Yagi, K. Assay for lipid peroxides in animal tissues by thiobarbituric acid reaction. Anal. Biochem. 1979, 95, 351–358. [Google Scholar] [CrossRef]
- Zhong, Q.; Mishra, M.; Kowluru, R.A. Transcription factor Nrf2-mediated antioxidant defense system in the development of diabetic retinopathy. Investig. Ophthalmol. Vis. Sci. 2013, 54, 3941–3948. [Google Scholar] [CrossRef]
- Kiernan, J.A. Histological and Histochemical Methods, 5th ed.; Scion Publishing Ltd.: Frederick, MD, USA, 2015; pp. 72–140. [Google Scholar]
- Bancroft, J.D.; Layton, C. Connective and other mesenchymal tissues with their stains. In Bancroft’s Theory and Practice Histology Techniques, 8th ed.; Suvarna, S.K., Bancroft, J.D., Layton, C., Eds.; Elsevier: New York, NY, USA, 2018; pp. 153–175. [Google Scholar]
- Younossi, Z.; Anstee, Q.M.; Marietti, M.; Hardy, T.; Henry, L.; Eslam, M.; George, J.; Bugianesi, E. Global burden of NAFLD and NASH: Trends, predictions, risk factors and prevention. Nat. Rev. Gastroenterol. Hepatol. 2018, 15, 11–20. [Google Scholar] [CrossRef]
- Yki-Järvinen, H. Non-alcoholic fatty liver disease as a cause and a consequence of metabolic syndrome. Lancet Diabetes Endocrinol. 2014, 2, 901–910. [Google Scholar] [CrossRef] [PubMed]
- Lodge, M.; Dykes, R.; Kennedy, A. Regulation of Fructose Metabolism in Nonalcoholic Fatty Liver Disease. Biomolecules 2024, 14, 845. [Google Scholar] [CrossRef]
- Rippe, J.M.; Angelopoulos, T.J. Sucrose, high-fructose corn syrup, and fructose, their metabolism and potential health effects: What do we really know? Adv. Nutr. 2013, 4, 236–245. [Google Scholar] [CrossRef]
- Ter Horst, K.W.; Serlie, M.J. Fructose consumption, lipogenesis, and non-alcoholic fatty liver disease. Nutrients 2017, 9, 981. [Google Scholar] [CrossRef]
- Coronati, M.; Baratta, F.; Pastori, D.; Ferro, D.; Angelico, F.; Del Ben, M. Added Fructose in Non-Alcoholic Fatty Liver Disease and in Metabolic Syndrome: A Narrative Review. Nutrients 2022, 14, 1127. [Google Scholar] [CrossRef]
- Liu, L.; Li, T.; Liao, Y.; Wang, Y.; Gao, Y.; Hu, H.; Huang, H.; Wu, F.; Chen, Y.G.; Xu, S.; et al. Triose kinase controls the lipogenic potential of fructose and dietary tolerance. Cell Metab. 2020, 32, 605–618.e7. [Google Scholar] [CrossRef]
- Debosch, B.J.; Chen, Z.; Saben, J.L.; Finck, B.N.; Moley, K.H. Glucose transporter 8 (GLUT8) mediates fructose-induced de novo lipogenesis and macrosteatosis. J. Biol. Chem. 2014, 289, 10989–10998. [Google Scholar] [CrossRef]
- Choi, S.S.; Diehl, A.M. Hepatic triglyceride synthesis and nonalcoholic fatty liver disease. Curr. Opin. Lipidol. 2008, 19, 295–300. [Google Scholar] [CrossRef]
- Kessoku, T.; Imajo, K.; Honda, Y.; Kato, T.; Ogawa, Y.; Tomeno, W.; Kato, S.; Mawatari, H.; Fujita, K.; Yoneda, M.; et al. Resveratrol ameliorates fibrosis and inflammation in a mouse model of nonalcoholic steatohepatitis. Sci. Rep. 2016, 6, 22251. [Google Scholar] [CrossRef] [PubMed]
- Du, F.; Yu, X.; Xu, J.; Zhang, Y.; Chen, Q.; Zheng, H.; Shao, Z.; Zhang, W.; Song, M.; Zhu, W.; et al. Resveratrol Improves Liver Steatosis and Insulin Resistance in Non-Alcoholic Fatty Liver Disease in Association with the Gut Microbiota. Front. Microbiol. 2021, 12, 611323. [Google Scholar] [CrossRef]
- Zhou, Y.; Zeng, Y.; Pan, Z.; Jin, Y.; Li, Q.; Pang, J.; Wang, X.; Chen, Y.; Yang, Y.; Ling, W. A randomized trial on resveratrol supplement affecting lipid profile and other metabolic markers in subjects with dyslipidemia. Nutrients 2023, 15, 492. [Google Scholar] [CrossRef] [PubMed]
- Ma, Y.; Lee, G.; Heo, S.Y.; Roh, Y.S. Oxidative stress is a key modulator in the development of nonalcoholic fatty liver disease. Antioxidants 2021, 11, 91. [Google Scholar] [CrossRef]
- Ezhilarasan, D.; Lakshmi, T. A molecular insight into the role of antioxidants in nonalcoholic fatty liver diseases. Oxidative Med. Cell. Longev. 2022, 2022, 9233650. [Google Scholar] [CrossRef] [PubMed]
- Ore, A.; Akinloye, O.A. Oxidative stress and antioxidant biomarkers in clinical and experimental models of non-alcoholic fatty liver disease. Medicina 2019, 55, 26. [Google Scholar] [CrossRef]
- Cheng, K.; Song, Z.; Zhang, H.; Li, S.; Wang, C.; Zhang, L.; Wang, T. The therapeutic effects of resveratrol on hepatic steatosis in high-fat diet-induced obese mice by improving oxidative stress, inflammation and lipid-related gene transcriptional expression. Med. Mol. Morphol. 2019, 52, 187–197. [Google Scholar] [CrossRef]
- Vancells Lujan, P.; Viñas Esmel, E.; Sacanella Meseguer, E. Overview of Non-Alcoholic Fatty Liver Disease (NAFLD) and the Role of Sugary Food Consumption and Other Dietary Components in Its Development. Nutrients 2021, 13, 1442. [Google Scholar] [CrossRef]
- Izdebska, M.; Piątkowska-Chmiel, I.; Korolczuk, A.; Herbet, M.; Gawron’ ska-Grzywacz, M.; Gieroba, R.; Sysa, M.; Czajkowska- Bania, K.; Cygal, M.; Korga, A.; et al. The Beneficial Effects of Resveratrol on Steatosis and Mitochondrial Oxidative Stress in HepG2 Cells. Can. J. Physiol. Pharmacol. 2017, 95, 1442–1453. [Google Scholar] [CrossRef]
- Karimi, M.; Abiri, B.; Guest, P.C.; Vafa, M. Therapeutic effects of resveratrol on nonalcoholic fatty liver disease through inflammatory, oxidative stress, metabolic, and epigenetic modifications. Methods Mol. Biol. 2022, 2343, 19–35. [Google Scholar] [CrossRef]
- Bathish, B.; Robertson, H.; Dillon, J.F.; Dinkova-Kostova, A.T.; Hayes, J.D. Nonalcoholic steatohepatitis and mechanisms by which it is ameliorated by activation of the CNC-bZIP transcription factor Nrf2. Free Radic. Biol. Med. 2022, 188, 221–261. [Google Scholar] [CrossRef]
- Zhao, X.-J.; Yu, H.-W.; Yang, Y.-Z.; Wu, W.-Y.; Chen, T.-Y.; Jia, K.-K.; Kang, L.-L.; Jiao, R.-Q.; Kong, L.-D. Polydatin prevents fructose-induced liver inflammation and lipid deposition through increasing miR-200a to regulate Keap1/Nrf2 pathway. Redox Biol. 2018, 18, 124–137. [Google Scholar] [CrossRef]
- BinMowyna, M.N.; AlFaris, N.A.; Al-Sanea, E.A.; AlTamimi, J.Z.; Aldayel, T.S. Resveratrol attenuates against high-fat-diet-promoted non-alcoholic fatty liver disease in rats mainly by targeting the miR-34a/SIRT1 axis. Arch. Physiol. Biochem. 2024, 130, 300–315. [Google Scholar] [CrossRef]
- Hosseini, H.; Teimouri, M.; Shabani, M.; Koushki, M.; Babaei, R.; Namvarjah, F.; Izadi, P.; Meshkani, R. Resveratrol alleviates non-alcoholic fatty liver disease through epigenetic modification of the Nrf2 signaling pathway. Int. J. Biochem. Cell Biol. 2020, 119, 105667. [Google Scholar] [CrossRef]
- Hosny, S.A.; Moustafa, M.H.A.; Mehina, F.M.; Sabry, M.M. Therapeutic effect of autophagy induced by rapamycin versus intermittent fasting in animal model of fatty liver. Folia Histochem. Cytobiol. 2023, 61, 205–216. [Google Scholar] [CrossRef]
- Ren, Q.; Sun, Q.; Fu, J. Dysfunction of autophagy in high-fat diet-induced non-alcoholic fatty liver disease. Autophagy 2024, 20, 221–241. [Google Scholar] [CrossRef]
- Carotti, S.; Aquilano, K.; Zalfa, F.; Ruggiero, S.; Valentini, F.; Zingariello, M.; Francesconi, M.; Perrone, G.; Alletto, F.; Antonelli-Incalzi, R.; et al. Lipophagy impairment is associated with disease progression in NAFLD. Front. Physiol. 2020, 11, 850. [Google Scholar] [CrossRef]
- Saito, T.; Kuma, A.; Sugiura, Y.; Ichimura, Y.; Obata, M.; Kitamura, H.; Okuda, S.; Lee, H.C.; Ikeda, K.; Kanegae, Y.; et al. Autophagy regulates lipid metabolism through selective turnover of NCoR1. Nat. Commun. 2019, 10, 1567. [Google Scholar] [CrossRef]
- Su, M.; Zhao, W.; Xu, S.; Weng, J. Resveratrol in Treating Diabetes and Its Cardiovascular Complications: A Review of Its Mechanisms of Action. Antioxidants 2022, 11, 1085. [Google Scholar] [CrossRef]
- Park, D.; Jeong, H.; Lee, M.N.; Koh, A.; Kwon, O.; Yang, Y.R.; Noh, J.; Suh, P.G.; Park, H.; Ryu, S.H. Resveratrol induces autophagy by directly inhibiting mTOR through ATP competition. Sci. Rep. 2016, 6, 21772. [Google Scholar] [CrossRef] [PubMed]
- Lee, D.H.; Park, J.S.; Lee, Y.S.; Han, J.; Lee, D.K.; Kwon, S.W.; Han, D.H.; Lee, Y.H.; Bae, S.H. SQSTM/p62 activates NFE2L2/NRF2 via ULK1-mediated autophagic KEAP1 degradation and protects mouse liver from lipotoxicity. Autophagy 2020, 16, 1949–1973. [Google Scholar] [CrossRef] [PubMed]
- Kouroumalis, E.; Voumvouraki, A.; Augoustaki, A.; Samonakis, D.N. Autophagy in liver diseases. World J. Hepatol. 2021, 13, 6–65. [Google Scholar] [CrossRef]
- Jensen, T.; Abdelmalek, M.F.; Sullivan, S.; Nadeau, K.J.; Green, M.; Roncal, C.; Nakagawa, T.; Kuwabara, M.; Sato, Y.; Kang, D.H.; et al. Fructose and sugar: A major mediator of non-alcoholic fatty liver disease. J. Hepatol. 2018, 68, 1063–1075. [Google Scholar] [CrossRef] [PubMed]
- Chen, Z.; Yu, R.; Xiong, Y.; Du, F.; Zhu, S. A vicious circle between insulin resistance and inflammation in nonalcoholic fatty liver disease. Lipids Health Dis. 2017, 16, 29037210. [Google Scholar] [CrossRef] [PubMed]
- Woods, A.; Williams, J.R.; Muckett, P.J.; Mayer, F.V.; Liljevald, M.; Bohlooly, Y.M.; Carling, D. Liver-specific activation of AMPK prevents steatosis on a high-fructose diet cell. Cell Rep. 2017, 18, 3043–3051. [Google Scholar] [CrossRef]
- Xu, G.; Ma, Y.; Jin, J.; Wang, X. Activation of AMPK/p38/Nrf2 is involved in resveratrol alleviating myocardial ischemia-reperfusion injury in diabetic rats as an endogenous antioxidant stress feedback. Ann. Transl. Med. 2022, 10, 890. [Google Scholar] [CrossRef]
- Sharma, A.; Anand, S.K.; Singh, N.; Dwivedi, U.N.; Kakkar, P. AMP-activated protein kinase: An energy sensor and survival mechanism in the reinstatement of metabolic homeostasis. Exp. Cell Res. 2023, 428, 113614. [Google Scholar] [CrossRef] [PubMed]
- Cheng, J.; Yan, G.; Tan, W.; Qin, Z.; Xie, Q.; Liu, Y.; Li, Y.; Chen, J.; Yang, X.; Chen, J.; et al. Berberine alleviates fructose-induced hepatic injury via ADK/AMPK/Nrf2 pathway: A novel insight. Biomed. Pharmacother. 2024, 179, 117361. [Google Scholar] [CrossRef] [PubMed]



| Group | Group I | Group II | Group III | ANOVA | |
|---|---|---|---|---|---|
| Variable | F-Value | p-Value | |||
| Initial body weight (grams) | 194.7 ± 4.87 | 195.55 ± 4.51 | 196.3 ± 3.81 | 0.655 | 0.5233 |
| Final body weight (grams) | 264.33 ± 15.4 | 315.3 ± 11.1 a | 265.4 ± 12.4 b | 94.18 | <0.0001 * |
| Triacylglycerol levels (mg/dL) | 79.253 ± 2.9 | 212.56 ± 13.1 a | 96.23 ± 3.2 a,b | 1646.1 | <0.0001 * |
| Total cholesterol levels (mg/dL) | 91.47 ± 6.1 | 182.95 ± 12.1 a | 98.57 ± 5.26 a,b | 727.2 | <0.0001 * |
| AST (U/L) | 28.27 ± 0.54 | 91.91 ± 7.2 a | 42.26± 1.2 a,b | 1247.3 | <0.0001 * |
| ALT (U/L) | 24.54 ± 0.16 | 57.56 ± 7.81 a | 29.35 ± 1.7 a,b | 298.6 | <0.0001 * |
| Liver tissue Triacylglycerol levels (mg TAG/mg protein/mL) | 0.265 ± 0.05 | 0.48 ± 0.103 a | 0.348 ± 0.02 a,b | 50.38 | <0.0001 * |
| IL-6 levels (pg/mL) | 80.31 ± 16.5 | 129.7 ± 33.9 a | 87.3 ± 21.9 b | 22.46 | <0.0001 * |
| Group | Group I | Group II | Group III | ANOVA | |
|---|---|---|---|---|---|
| Variable | F-Value | p-Value | |||
| MDA (nmol/mg protein/mL) | 63.59 ± 14.5 | 202.93 ± 72.7 a | 74.62 ± 21.3 b | 60.46 | <0.0001 * |
| SOD units/mg protein | 422.65 ± 75.06 | 269.8 ± 62.7 a | 446.93 ± 55.4 b | 43.76 | <0.0001 * |
| GSH (mg/g liver tissue) | 1.216 ± 0.19 | 0.86 ± 0.14 a | 1.11 ± 0.32 b | 11.76 | <0.0001 * |
| DNA-binding activity of Nrf2 | 0.436 ± 0.02 | 0.53 ± 0.01 a | 0.64 ± 0.02 a,b | 516.31 | <0.0001 * |
| Nrf2 mRNA relative expression | 1.063 ± 0.36 | 1.49 ± 0.08 a | 1.80 ± 0.34 a,b | 32.1731 | <0.0001 * |
| Beclin 1 (ng/mg protein/mL) | 1.06 ± 0.10 | 0.82 ± 0.26 a | 1.17 ± 0.12 b | 19.59 | <0.0001 * |
| Phosphorylated active form of AMPK level (ng/mg protein/mL) | 1.86 ± 0.3 | 1.50 ± 0.35 a | 2.07 ± 0.39 b | 13.60 | <0.0001 * |
Disclaimer/Publisher’s Note: The statements, opinions and data contained in all publications are solely those of the individual author(s) and contributor(s) and not of MDPI and/or the editor(s). MDPI and/or the editor(s) disclaim responsibility for any injury to people or property resulting from any ideas, methods, instructions or products referred to in the content. |
© 2025 by the authors. Published by MDPI on behalf of the Lithuanian University of Health Sciences. Licensee MDPI, Basel, Switzerland. This article is an open access article distributed under the terms and conditions of the Creative Commons Attribution (CC BY) license (https://creativecommons.org/licenses/by/4.0/).
Share and Cite
Zakaria, S.S.; Hanafy, S.M. Unraveling the Beneficial Role of Resveratrol in Fructose-Induced Non-Alcoholic Steatohepatitis with a Focus on the AMPK/Nrf2 Signaling Axis. Medicina 2025, 61, 139. https://doi.org/10.3390/medicina61010139
Zakaria SS, Hanafy SM. Unraveling the Beneficial Role of Resveratrol in Fructose-Induced Non-Alcoholic Steatohepatitis with a Focus on the AMPK/Nrf2 Signaling Axis. Medicina. 2025; 61(1):139. https://doi.org/10.3390/medicina61010139
Chicago/Turabian StyleZakaria, Soha S., and Safaa M. Hanafy. 2025. "Unraveling the Beneficial Role of Resveratrol in Fructose-Induced Non-Alcoholic Steatohepatitis with a Focus on the AMPK/Nrf2 Signaling Axis" Medicina 61, no. 1: 139. https://doi.org/10.3390/medicina61010139
APA StyleZakaria, S. S., & Hanafy, S. M. (2025). Unraveling the Beneficial Role of Resveratrol in Fructose-Induced Non-Alcoholic Steatohepatitis with a Focus on the AMPK/Nrf2 Signaling Axis. Medicina, 61(1), 139. https://doi.org/10.3390/medicina61010139

