Uterine Mesenchymal Tumors: Updates on Pathology, Molecular Landscape, and Therapeutics
Abstract
1. Introduction
2. Uterine Leiomyosarcomas [ULMs]
2.1. Pathological Features
2.2. Molecular Landscape and Novel Therapeutic Approach
3. Endometrial Stromal Tumors [ESTs]
3.1. Pathological Features of ESTs
3.2. Molecular Landscape and Novel Therapeutic Approach
4. Perivascular Epithelioid Cell Neoplasms
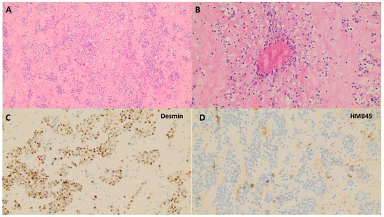
4.1. Pathologic Features
4.2. Molecular Landscape and Novel Therapeutic Approach
5. Inflammatory Myofibroblastic Tumor (IMT)
5.1. Pathologic Features
5.2. Molecular Landscape and Novel Therapeutic Approach
6. Uterine Tumors Resembling Ovarian Sex Cord Tumor (UTROSCT)
6.1. Pathologic Features
6.2. Molecular Landscape and Novel Therapeutic Approaches
7. Müllerian Adenosarcoma
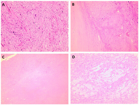
7.1. Pathologic Features
7.2. Molecular Landscape and Novel Therapeutic Approach
8. NTRK-Rearranged Fibrosarcoma-like Uterine Sarcoma
8.1. Pathologic Features
8.2. Molecular Landscape and Novel Therapeutic Approaches
9. SMARCA4-Deficient Uterine Sarcoma
9.1. Pathologic Features
9.2. Molecular Landscape and Novel Therapeutic Approaches
10. COL1A1-PDGFB Fusion Uterine Sarcoma
10.1. Pathologic Features
10.2. Molecular Landscape and Novel Therapeutic Approaches
11. FGFR1- and RET-Fusion Uterine Sarcoma
11.1. Pathologic Features
11.2. Molecular Landscape and Novel Therapeutic Approaches
12. Undifferentiated Uterine Sarcoma (UUS)
12.1. Pathologic Features
12.2. Molecular Landscape
13. The Histology-Agnostic Approach: Actionable Targets among Uterine Sarcomas
14. Conclusions
Funding
Acknowledgments
Conflicts of Interest
References
- WHO Classification of Tumours Editorial Board. Female Genital Tumours, 5th ed.; International Agency for Research on Cancer: Lyon, France, 2020; Volume 4. [Google Scholar]
- Croce, S.; Devouassoux-Shisheboran, M.; Pautier, P.; Ray-Coquard, I.; Treilleux, I.; Neuville, A.; Arnould, L.; Just, P.-A.; Belda, M.A.L.F.; Averous, G.; et al. Uterine sarcomas and rare uterine mesenchymal tumors with malignant potential. Diagnostic guidelines of the French Sarcoma Group and the Rare Gynecological Tumors Group. Gynecol. Oncol. 2022, 167, 373–389. [Google Scholar] [CrossRef] [PubMed]
- Chiang, S.; Oliva, E. Recent developments in uterine mesenchymal neoplasms. Histopathology 2013, 62, 124–137. [Google Scholar] [CrossRef]
- Croce, S.; Ribeiro, A.; Brulard, C.; Noel, J.-C.; Amant, F.; Stoeckle, E.; Devouassoux-Shisheborah, M.; Floquet, A.; Arnould, L.; Guyon, F.; et al. Uterine smooth muscle tumor analysis by comparative genomic hybridization: A useful diagnostic tool in challenging lesions. Mod. Pathol. 2015, 28, 1001–1010. [Google Scholar] [CrossRef] [PubMed]
- Chiang, S.; Samore, W.; Zhang, L.; Sung, Y.-S.; Turashvili, G.; Murali, R.; Soslow, R.A.; Hensley, M.L.; Swanson, D.; Dickson, B.C.; et al. PGR Gene Fusions Identify a Molecular Subset of Uterine Epithelioid Leiomyosarcoma with Rhabdoid Features. Am. J. Surg. Pathol. 2019, 43, 810–818. [Google Scholar] [CrossRef] [PubMed]
- Momeni-Boroujeni, A.; Chiang, S. Uterine mesenchymal tumours: Recent advances. Histopathology 2020, 76, 64–75. [Google Scholar] [CrossRef] [PubMed]
- Chiang, S. Recent advances in smooth muscle tumors with PGR and PLAG1 gene fusions and myofibroblastic uterine neoplasms. Genes Chromosomes Cancer 2021, 60, 138–146. [Google Scholar] [CrossRef]
- Ma, X.; Wang, J.; Wang, J.; Ma, C.X.; Gao, X.; Patriub, V.; Sklar, J.L. The JAZF1-SUZ12 fusion protein disrupts PRC2 complexes and impairs chromatin repression during human endometrial stromal tumorogenesis. Oncotarget 2017, 8, 4062–4078. [Google Scholar] [CrossRef] [PubMed]
- Lee, C.-H.; Ou, W.-B.; Mariño-Enriquez, A.; Zhu, M.; Mayeda, M.; Wang, Y.; Guo, X.; Brunner, A.L.; Amant, F.; French, C.A.; et al. 14-3-3 Fusion Oncogenes in High-Grade Endometrial Stromal Sarcoma. Proc. Natl. Acad. Sci. USA 2012, 109, 929–934. [Google Scholar] [CrossRef]
- Lee, C.; Mariño-Enriquez, A.; Ou, W.; Zhu, M.; Ali, R.H.; Chiang, S.; Amant, F.; Gilks, C.B.; van de Rijn, M.; Oliva, E.; et al. The clinicopathologic features of YWHAE-FAM22 endometrial stromal sarcomas: A histologically high-grade and clinically aggressive tumor. Am. J. Surg. Pathol. 2012, 36, 641–653. [Google Scholar] [CrossRef]
- Croce, S.; Hostein, I.; Ribeiro, A.; Garbay, D.; Velasco, V.; Stoeckle, E.; Guyon, F.; Floquet, A.; Neuville, A.; Coindre, J.-M.; et al. YWHAE rearrangement identified by FISH and RT-PCR in endometrial stromal sarcomas: Genetic and pathological correlations. Mod. Pathol. 2013, 26, 1390–1400. [Google Scholar] [CrossRef]
- Stewart, C.J.R.; Leung, Y.C.; Murch, A.; Peverall, J. Evaluation of fluorescence in-situ hybridization in monomorphic endometrial stromal neoplasms and their histological mimics: A review of 49 cases. Histopathology 2014, 65, 473–482. [Google Scholar] [CrossRef] [PubMed]
- Micci, F.; Gorunova, L.; Agostini, A.; Johannessen, L.E.; Brunetti, M.; Davidson, B.; Heim, S.; Panagopoulos, I. Cytogenetic and molecular profile of endometrial stromal sarcoma. Genes Chromosomes Cancer 2016, 55, 834–846. [Google Scholar] [CrossRef] [PubMed]
- Hoang, L.N.; Aneja, A.; Conlon, N.; Delair, D.F.; Middha, S.; Benayed, R.; Hensley, M.; Park, K.J.; Hollmann, T.J.; Hameed, M.R.; et al. Novel High-grade Endometrial Stromal Sarcoma: A Morphologic Mimicker of Myxoid Leiomyosarcoma. Am. J. Surg. Pathol. 2017, 41, 12–24. [Google Scholar] [CrossRef] [PubMed]
- Cotzia, P.; Benayed, R.; Mullaney, K.; Oliva, E.; Felix, A.; Ferreira, J.; Soslow, R.A.; Antonescu, C.R.; Ladanyi, M.; Chiang, S. Undifferentiated Uterine Sarcomas Represent Under-Recognized High-grade Endometrial Stromal Sarcomas. Am. J. Surg. Pathol. 2019, 43, 662–669. [Google Scholar] [CrossRef] [PubMed]
- Mariño-Enriquez, A.; Lauria, A.; Przybyl, J.; Ng, T.L.; Kowalewska, M.; Debiec-Rychter, M.; Ganesan, R.; Sumathi, V.; George, S.; McCluggage, W.G.; et al. BCOR Internal Tandem Duplication in High-grade Uterine Sarcomas. Am. J. Surg. Pathol. 2018, 42, 335–341. [Google Scholar] [CrossRef] [PubMed]
- Chiang, S.; Lee, C.-H.; Stewart, C.J.R.; Oliva, E.; Hoang, L.N.; Ali, R.H.; Hensley, M.L.; Arias-Stella, J.A.; Frosina, D.; Jungbluth, A.A.; et al. BCOR is a robust diagnostic immunohistochemical marker of genetically diverse high-grade endometrial stromal sarcoma, including tumors exhibiting variant morphology. Mod. Pathol. 2017, 30, 1251–1261. [Google Scholar] [CrossRef] [PubMed]
- Argani, P.; Aulmann, S.; Illei, P.B.; Netto, G.J.; Ro, J.; Cho, H.-Y.; Dogan, S.; Ladanyi, M.; Martignoni, G.; Goldblum, J.R.; et al. A distinctive subset of PEComas harbors TFE3 gene fusions. Am. J. Surg. Pathol. 2010, 34, 1395–1406. [Google Scholar] [CrossRef] [PubMed]
- Agaram, N.P.; Sung, Y.; Zhang, L.; Chen, C.; Chen, H.; Singer, S.; Dickson, M.A.; Berger, M.F.; Antonescu, C.R. Dichotomy of Genetic Abnormalities in PEComas With Therapeutic Implications. Am. J. Surg. Pathol. 2015, 39, 813–825. [Google Scholar] [CrossRef]
- Gupta, M.; de Leval, L.; Selig, M.; Oliva, E.; Nielsen, G.P. Uterine tumors resembling ovarian sex cord tumors: An ultrastructural analysis of 13 cases. Ultrastruct. Pathol. 2010, 34, 16–24. [Google Scholar] [CrossRef]
- Dickson, B.C. Beyond Smooth Muscle-Other Mesenchymal Neoplasms of the Uterus. Surg. Pathol. Clin. 2019, 12, 107–137. [Google Scholar] [CrossRef]
- Croce, S.; Lesluyes, T.; Delespaul, L.; Bonhomme, B.; Pérot, G.; Velasco, V.; Mayeur, L.; Rebier, F.; Ben Rejeb, H.; Guyon, F.; et al. GREB1-CTNNB1 fusion transcript detected by RNA-sequencing in a uterine tumor resembling ovarian sex cord tumor (UTROSCT): A novel CTNNB1 rearrangement. Genes Chromosomes Cancer 2019, 58, 155–163. [Google Scholar] [CrossRef] [PubMed]
- Dickson, B.C.; Childs, T.J.; Colgan, T.J.; Sung, Y.S.; Swanson, D.; Zhang, L.; Antonescu, C.R. Uterine Tumor Resembling Ovarian Sex Cord Tumor: A Distinct Entity Characterized by Recurrent NCOA2/3 Gene Fusions. Am. J. Surg. Pathol. 2019, 43, 178–186. [Google Scholar] [CrossRef] [PubMed]
- Lee, C.-H.; Kao, Y.-C.; Lee, W.-R.; Hsiao, Y.-W.; Lu, T.-P.; Chu, C.-Y.; Lin, Y.-J.; Huang, H.-Y.; Hsieh, T.-H.; Liu, Y.-R.; et al. Clinicopathologic Characterization of GREB1-rearranged Uterine Sarcomas with Variable Sex-Cord Differentiation. Am. J. Surg. Pathol. 2019, 43, 928–942. [Google Scholar] [CrossRef] [PubMed]
- Goebel, E.A.; Hernandez Bonilla, S.; Dong, F.; Dickson, B.C.; Hoang, L.N.; Hardisson, D.; Lacambra, M.D.; Lu, F.-I.; Fletcher, C.D.M.; Crum, C.P.; et al. Uterine Tumor Resembling Ovarian Sex Cord Tumor (UTROSCT): A Morphologic and Molecular Study of 26 Cases Confirms Recurrent NCOA1-3 Rearrangement. Am. J. Surg. Pathol. 2020, 44, 30–42. [Google Scholar] [CrossRef]
- Croce, S.; de Kock, L.; Boshari, T.; Hostein, I.; Velasco, V.; Foulkes, W.D.; McCluggage, W.G. Uterine Tumor Resembling Ovarian Sex Cord Tumor (UTROSCT) Commonly Exhibits Positivity with Sex Cord Markers FOXL2 and SF-1 but Lacks FOXL2 and DICER1 Mutations. Int. J. Gynecol. Pathol. 2016, 35, 301–308. [Google Scholar] [CrossRef] [PubMed]
- Chiang, S.; Staats, P.N.; Senz, J.B.; Kommoss, F.; De Nictolis, M.; Huntsman, D.G.; Gilks, C.B.; Oliva, E. FOXL2 mutation is absent in uterine tumors resembling ovarian sex cord tumors. Am. J. Surg. Pathol. 2015, 39, 618–623. [Google Scholar] [CrossRef] [PubMed]
- Croce, S.; Hostein, I.; McCluggage, W.G. NTRK and other recently described kinase fusion positive uterine sarcomas: A review of a group of rare neoplasms. Genes Chromosomes Cancer 2021, 60, 147–159. [Google Scholar] [CrossRef]
- Grindstaff, S.L.; DiSilvestro, P.; Quddus, M.R. COL1A1-PDGFB fusion uterine sarcoma and its response to Imatinib therapy. Gynecol. Oncol. Rep. 2020, 34, 100653. [Google Scholar] [CrossRef]
- Weisman, P.S.; Altinok, M.; Carballo, E.V.; Kushner, D.M.; Kram, J.J.F.; Ladanyi, M.; Chiang, S.; Buehler, D.; Dickson Michelson, E.L. Uterine Cervical Sarcoma with a Novel RET-SPECC1L Fusion in an Adult: A Case Which Expands the Homology between RET-rearranged and NTRK-rearranged Tumors. Am. J. Surg. Pathol. 2020, 44, 567–570. [Google Scholar] [CrossRef]
- Devereaux, K.A.; Weiel, J.J.; Mills, A.M.; Kunder, C.A.; Longacre, T.A. Neurofibrosarcoma Revisited: An Institutional Case Series of Uterine Sarcomas Harboring Kinase-related Fusions with Report of a Novel FGFR1-TACC1 Fusion. Am. J. Surg. Pathol. 2021, 45, 638–652. [Google Scholar] [CrossRef]
- Mills, A.M.; Longacre, T.A. Smooth Muscle Tumors of the Female Genital Tract. Surg. Pathol. Clin. 2009, 2, 625–677. [Google Scholar] [CrossRef] [PubMed]
- Oliva, E.; Young, R.H.; Amin, M.B.; Clement, P.B. An immunohistochemical analysis of endometrial stromal and smooth muscle tumors of the uterus: A study of 54 cases emphasizing the importance of using a panel because of overlap in immunoreactivity for individual antibodies. Am. J. Surg. Pathol. 2002, 26, 403–412. [Google Scholar] [CrossRef] [PubMed]
- Iwata, J.; Fletcher, C.D. Immunohistochemical detection of cytokeratin and epithelial membrane antigen in leiomyosarcoma: A systematic study of 100 cases. Pathol. Int. 2000, 50, 7–14. [Google Scholar] [CrossRef] [PubMed]
- Juckett, L.T.; Lin, D.I.; Madison, R.; Ross, J.S.; Schrock, A.B.; Ali, S. A Pan-Cancer Landscape Analysis Reveals a Subset of Endometrial Stromal and Pediatric Tumors Defined by Internal Tandem Duplications of BCOR. Oncology 2019, 96, 101–109. [Google Scholar] [CrossRef] [PubMed]
- Bose, S.; Schwartz, G.K.; Ingham, M. Novel Therapeutics in the Treatment of Uterine Sarcoma. Am. Soc. Clin. Oncol. Educ. Book 2022, 42, 900–909. [Google Scholar] [CrossRef] [PubMed]
- Ben-Ami, E.; Barysauskas, C.M.; Solomon, S.; Tahlil, K.; Malley, R.; Hohos, M.; Polson, K.; Loucks, M.; Severgnini, M.; Patel, T.; et al. Immunotherapy with single agent nivolumab for advanced leiomyosarcoma of the uterus: Results of a phase 2 study. Cancer 2017, 123, 3285–3290. [Google Scholar] [CrossRef] [PubMed]
- D’Angelo, S.P.; Mahoney, M.R.; Van Tine, B.A.; Atkins, J.; Milhem, M.M.; Jahagirdar, B.N.; Antonescu, C.R.; Horvath, E.; Tap, W.D.; Schwartz, G.K.; et al. Nivolumab with or without ipilimumab treatment for metastatic sarcoma (Alliance A091401): Two open-label, non-comparative, randomised, phase 2 trials. Lancet Oncol. 2018, 19, 416–426. [Google Scholar] [CrossRef]
- Tawbi, H.A.; Burgess, M.; Bolejack, V.; Van Tine, B.A.; Schuetze, S.M.; Hu, J.; D’Angelo, S.; Attia, S.; Riedel, R.F.; Priebat, D.A.; et al. Pembrolizumab in advanced soft-tissue sarcoma and bone sarcoma (SARC028): A multicentre, two-cohort, single-arm, open-label, phase 2 trial. Lancet Oncol. 2017, 18, 1493–1501. [Google Scholar] [CrossRef]
- Verschoor, A.J.; Warmerdam, F.A.R.M.; Bosse, T.; Bovée, J.V.M.G.; Gelderblom, H. A remarkable response to pazopanib, despite recurrent liver toxicity, in a patient with a high grade endometrial stromal sarcoma, a case report. BMC Cancer 2018, 18, 92. [Google Scholar] [CrossRef]
- Chudasama, P.; Mughal, S.S.; Sanders, M.A.; Hübschmann, D.; Chung, I.; Deeg, K.I.; Wong, S.-H.; Rabe, S.; Hlevnjak, M.; Zapatka, M.; et al. Integrative genomic and transcriptomic analysis of leiomyosarcoma. Nat. Commun. 2018, 9, 144. [Google Scholar] [CrossRef]
- Anderson, N.D.; Babichev, Y.; Fuligni, F.; Comitani, F.; Layeghifard, M.; Venier, R.E.; Dentro, S.C.; Maheshwari, A.; Guram, S.; Wunker, C.; et al. Lineage-defined leiomyosarcoma subtypes emerge years before diagnosis and determine patient survival. Nat. Commun. 2021, 12, 4496. [Google Scholar] [CrossRef]
- Oza, J.; Doshi, S.D.; Hao, L.; Musi, E.; Schwartz, G.K.; Ingham, M. Homologous recombination repair deficiency as a therapeutic target in sarcoma. Semin. Oncol. 2020, 47, 380–389. [Google Scholar] [CrossRef]
- Cancer Genome Atlas Research Network. Electronic address: Elizabeth.demicco@sinaihealthsystem.ca, Cancer Genome Atlas Research Network. Comprehensive and Integrated Genomic Characterization of Adult Soft Tissue Sarcomas. Cell 2017, 171, 950–965.e28. [Google Scholar] [CrossRef] [PubMed]
- Ingham, M.; Allred, J.B.; Chen, L.; Das, B.; Kochupurakkal, B.; Gano, K.; George, S.; Attia, S.; Burgess, M.A.; Seetharam, M.; et al. Phase II Study of Olaparib and Temozolomide for Advanced Uterine Leiomyosarcoma (NCI Protocol 10250). J. Clin. Oncol. 2023, 41, 4154–4163. [Google Scholar] [CrossRef] [PubMed]
- Capozzi, V.; Monfardini, L.; Ceni, V.; Cianciolo, A.; Butera, D.; Gaiano, M.; Berretta, R. Endometrial stromal sarcoma: A review of rare mesenchymal uterine neoplasm. J. Obstet. Gynaecol. Res. 2020, 46, 2221–2236. [Google Scholar] [CrossRef]
- Solomon, J.P.; Linkov, I.; Rosado, A.; Mullaney, K.; Rosen, E.Y.; Frosina, D.; Jungbluth, A.A.; Zehir, A.; Benayed, R.; Drilon, A.; et al. NTRK fusion detection across multiple assays and 33,997 cases: Diagnostic implications and pitfalls. Mod. Pathol. 2020, 33, 38–46. [Google Scholar] [CrossRef] [PubMed]
- Hemming, M.L.; Wagner, A.J.; Nucci, M.R.; Chiang, S.; Wang, L.; Hensley, M.L.; George, S. YWHAE-rearranged high-grade endometrial stromal sarcoma: Two-center case series and response to chemotherapy. Gynecol. Oncol. 2017, 145, 531–535. [Google Scholar] [CrossRef]
- Panagopoulos, I.; Thorsen, J.; Gorunova, L.; Haugom, L.; Bjerkehagen, B.; Davidson, B.; Heim, S.; Micci, F. Fusion of the ZC3H7B and BCOR genes in endometrial stromal sarcomas carrying an X;22-translocation. Genes Chromosomes Cancer 2013, 52, 610–618. [Google Scholar] [CrossRef]
- Lewis, N.; Soslow, R.A.; Delair, D.F.; Park, K.J.; Murali, R.; Hollmann, T.J.; Davidson, B.; Micci, F.; Panagopoulos, I.; Hoang, L.N.; et al. ZC3H7B-BCOR high-grade endometrial stromal sarcomas: A report of 17 cases of a newly defined entity. Mod. Pathol. 2018, 31, 674–684. [Google Scholar] [CrossRef]
- Salvatierra, A.; Tarrats, A.; Gomez, C.; Sastre, J.M.; Balaña, C. A case of c-kit positive high-grade stromal endometrial sarcoma responding to Imatinib Mesylate. Gynecol. Oncol. 2006, 101, 545–547. [Google Scholar] [CrossRef]
- Momeni-Boroujeni, A.; Mohammad, N.; Wolber, R.; Yip, S.; Köbel, M.; Dickson, B.C.; Hensley, M.L.; Leitao, M.M.; Antonescu, C.R.; Benayed, R.; et al. Targeted RNA expression profiling identifies high-grade endometrial stromal sarcoma as a clinically relevant molecular subtype of uterine sarcoma. Mod. Pathol. 2021, 34, 1008–1016. [Google Scholar] [CrossRef] [PubMed]
- Kalender, M.E.; Sevinc, A.; Yilmaz, M.; Ozsarac, C.; Camci, C. Detection of complete response to imatinib mesylate (Glivec/Gleevec) with 18F-FDG PET/CT for low-grade endometrial stromal sarcoma. Cancer Chemother. Pharmacol. 2009, 63, 555–559. [Google Scholar] [CrossRef]
- Ou, W.-B.; Lundberg, M.Z.; Zhu, S.; Bahri, N.; Kyriazoglou, A.; Xu, L.; Chen, T.; Mariño-Enriquez, A.; Fletcher, J.A. YWHAE-NUTM2 oncoprotein regulates proliferation and cyclin D1 via RAF/MAPK and Hippo pathways. Oncogenesis 2021, 10, 37. [Google Scholar] [CrossRef]
- Kommoss, F.K.; Chang, K.T.; Stichel, D.; Banito, A.; Jones, D.T.; Heilig, C.E.; Fröhling, S.; Sahm, F.; Stenzinger, A.; Hartmann, W.; et al. Endometrial stromal sarcomas with BCOR-rearrangement harbor MDM2 amplifications. J. Pathol. Clin. Res. 2020, 6, 178–184. [Google Scholar] [CrossRef]
- Vang, R.; Kempson, R.L. Perivascular epithelioid cell tumor (‘PEComa’) of the uterus: A subset of HMB-45-positive epithelioid mesenchymal neoplasms with an uncertain relationship to pure smooth muscle tumors. Am. J. Surg. Pathol. 2002, 26, 1–13. [Google Scholar] [CrossRef] [PubMed]
- Schoolmeester, J.K.; Howitt, B.E.; Hirsch, M.S.; Dal Cin, P.; Quade, B.J.; Nucci, M.R. Perivascular epithelioid cell neoplasm (PEComa) of the gynecologic tract: Clinicopathologic and immunohistochemical characterization of 16 cases. Am. J. Surg. Pathol. 2014, 38, 176–188. [Google Scholar] [CrossRef] [PubMed]
- Bennett, J.A.; Braga, A.C.; Pinto, A.; Van de Vijver, K.; Cornejo, K.; Pesci, A.; Zhang, L.; Morales-Oyarvide, V.; Kiyokawa, T.; Franco Zannoni, G.; et al. Uterine PEComas: A Morphologic, Immunohistochemical, and Molecular Analysis of 32 Tumors. Am. J. Surg. Pathol. 2018, 42, 1370–1383. [Google Scholar] [CrossRef] [PubMed]
- Pan, C.; Chung, M.; Ng, K.; Liu, C.; Wang, J.; Chai, C.; Huang, S.; Chen, P.; Ho, D. Constant allelic alteration on chromosome 16p (TSC2 gene) in perivascular epithelioid cell tumour (PEComa): Genetic evidence for the relationship of PEComa with angiomyolipoma. J. Pathol. 2008, 214, 387–393. [Google Scholar] [CrossRef] [PubMed]
- Schoolmeester, J.K.; Dao, L.N.; Sukov, W.R.; Wang, L.; Park, K.J.; Murali, R.; Wang, L.; Park, K.J.; Murali, R.; Hameed, M.R.; et al. TFE3 translocation-associated perivascular epithelioid cell neoplasm (PEComa) of the gynecologic tract: Morphology, immunophenotype, differential diagnosis. Am. J. Surg. Pathol. 2015, 39, 394–404. [Google Scholar] [CrossRef]
- Malinowska, I.; Kwiatkowski, D.J.; Weiss, S.; Martignoni, G.; Netto, G.; Argani, P. Perivascular epithelioid cell tumors (PEComas) harboring TFE3 gene rearrangements lack the TSC2 alterations characteristic of conventional PEComas: Further evidence for a biological distinction. Am. J. Surg. Pathol. 2012, 36, 783–784. [Google Scholar] [CrossRef]
- Cheek, E.H.; Fadra, N.; Jackson, R.A.; Davila, J.I.; Sukov, W.R.; Uckerman, M.T.; Clayton, A.; Keeney, G.L.; Halling, K.C.; Torres-Mora, J.; et al. Uterine inflammatory myofibroblastic tumors in pregnant women with and without involvement of the placenta: A study of 6 cases with identification of a novel TIMP3-RET fusion. Hum. Pathol. 2020, 97, 29–39. [Google Scholar] [CrossRef] [PubMed]
- Parra-Herran, C.; Quick, C.M.; Howitt, B.E.; Dal Cin, P.; Quade, B.J.; Nucci, M.R. Inflammatory myofibroblastic tumor of the uterus: Clinical and pathologic review of 10 cases including a subset with aggressive clinical course. Am. J. Surg. Pathol. 2015, 39, 157–168. [Google Scholar] [CrossRef] [PubMed]
- Bennett, J.A.; Nardi, V.; Rouzbahman, M.; Morales-Oyarvide, V.; Nielsen, G.P.; Oliva, E. Inflammatory myofibroblastic tumor of the uterus: A clinicopathological, immunohistochemical, and molecular analysis of 13 cases highlighting their broad morphologic spectrum. Mod. Pathol. 2017, 30, 1489–1503. [Google Scholar] [CrossRef] [PubMed]
- Devereaux, K.A.; Kunder, C.A.; Longacre, T.A. ALK-rearranged Tumors Are Highly Enriched in the STUMP Subcategory of Uterine Tumors. Am. J. Surg. Pathol. 2019, 43, 64–74. [Google Scholar] [CrossRef] [PubMed]
- Kushnir, C.L.; Gerardi, M.; Banet, N.; Shih, I.; Diaz-Montes, T. Extrauterine inflammatory myofibroblastic tumor: A case report. Gynecol. Oncol. Case Rep. 2013, 6, 39–41. [Google Scholar] [CrossRef] [PubMed]
- Mossé, Y.P.; Voss, S.D.; Lim, M.S.; Rolland, D.; Minard, C.G.; Fox, E.; Adamson, P.; Wilner, K.; Blaney, S.M.; Weigel, B.J. Targeting ALK With Crizotinib in Pediatric Anaplastic Large Cell Lymphoma and Inflammatory Myofibroblastic Tumor: A Children’s Oncology Group Study. J. Clin. Oncol. 2017, 35, 3215–3221. [Google Scholar] [CrossRef] [PubMed]
- Gambacorti-Passerini, C.; Orlov, S.; Zhang, L.; Braiteh, F.; Huang, H.; Esaki, T.; Horibe, K.; Ahn, J.-S.; Beck, J.T.; Edenfield, W.J.; et al. Long-term effects of crizotinib in ALK-positive tumors (excluding NSCLC): A phase 1b open-label study. Am. J. Hematol. 2018, 93, 607–614. [Google Scholar] [CrossRef]
- Staats, P.N.; Garcia, J.J.; Dias-Santagata, D.C.; Kuhlmann, G.B.; Stubbs, H.; McCluggage, W.G.F.; De Nictolis, M.; Kommoss, F.; Soslow, R.A.; Iafrate, A.J.; et al. Uterine tumors resembling ovarian sex cord tumors (UTROSCT) lack the JAZF1-JJAZ1 translocation frequently seen in endometrial stromal tumors. Am. J. Surg. Pathol. 2009, 33, 1206–1212. [Google Scholar] [CrossRef]
- Nogales, F.F.; Stolnicu, S.; Harilal, K.R.; Mooney, E.; García-Galvis, O.F. Retiform uterine tumours resembling ovarian sex cord tumours. A comparative immunohistochemical study with retiform structures of the female genital tract. Histopathology 2009, 54, 471–477. [Google Scholar] [CrossRef]
- Croce, S.; Hostein, I.; Longacre, T.A.; Mills, A.M.; Pérot, G.; Devouassoux-Shisheboran, M.; Velasco, V.; Floquet, A.; Guyon, F.; Chakiba, C.; et al. Uterine and vaginal sarcomas resembling fibrosarcoma: A clinicopathological and molecular analysis of 13 cases showing common NTRK-rearrangements and the description of a COL1A1-PDGFB fusion novel to uterine neoplasms. Mod. Pathol. 2019, 32, 1008–1022. [Google Scholar] [CrossRef]
- Pestana, R.C.; Serrano, C. Analysis of histology-agnostic targets among soft tissue and bone sarcomas in the AACR GENIE database. Front. Oncol. 2023, 12, 1079909. [Google Scholar] [CrossRef] [PubMed]
- Kolin, D.L.; Quick, C.M.; Dong, F.; Fletcher, C.D.M.; Stewart, C.J.R.; Soma, A.; Hornick, J.L.; Nucci, M.R.; Howitt, B.E. SMARCA4-deficient Uterine Sarcoma and Undifferentiated Endometrial Carcinoma Are Distinct Clinicopathologic Entities. Am. J. Surg. Pathol. 2020, 44, 263–270. [Google Scholar] [CrossRef] [PubMed]
- Kolin, D.L.; Dong, F.; Baltay, M.; Lindeman, N.; MacConaill, L.; Nucci, M.R.; Crum, C.P.; Howitt, B.E. SMARCA4-deficient undifferentiated uterine sarcoma (malignant rhabdoid tumor of the uterus): A clinicopathologic entity distinct from undifferentiated carcinoma. Mod. Pathol. 2018, 31, 1442–1456. [Google Scholar] [CrossRef] [PubMed]
- Zyla, R.E.; Goebel, E.A.; Jang, J.; Turashvili, G. Uterine Sarcoma with FGFR1-TACC1 Gene Fusion: A Case Report and Review of the Literature. Int. J. Gynecol. Pathol. 2022, 41, 588–592. [Google Scholar] [CrossRef] [PubMed]





| Genetic Aberrations | References | |
|---|---|---|
| Leiomyosarcoma | TP53, RB1, PTEN, and ATRX mutations | [1,3,4] |
| PGR gene rearrangement | [5,6] | |
| PLAG1 gene fusion | [6,7] | |
| Low-grade endometrial stromal sarcoma | JAZF1 and PHF1 gene rearrangements | [1,8] |
| High-grade endometrial stromal sarcoma | YWHAE rearrangements | [8,9,10,11,12,13] |
| ZC3HB-BCOR rearrangements | [14,15,16,17] | |
| BCOR ITD | [14,15,16,17] | |
| Perivascular epithelioid cell neoplasms | TSC1/TSC2 inactivation mutation | [1,18] |
| TFE3, RAD51B, and HTR4-ST3GAL1 gene rearrangements | [18,19] | |
| Inflammatory myofibroblastic tumor | ALK gene rearrangements (chromosome 2p23) | [1,20,21] |
| Uterine tumors resembling ovarian sex cord tumor (UTROSCT) | ERS1 and RHEB1 gene rearrangement | [20,22,23,24,25,26] |
| Müllerian adenosarcoma | PIK3CA/AKT/PTEN, ATRX, P53, and DICER1 mutations, 8q13 amplification, and MYBL1 copy number gain | [1,2] |
| NTRK-rearranged fibrosarcoma-like uterine sarcoma | RBPMS-NTRK3, TPR-NTRK1, LMNA-NTRK1, EML4-NTRK3, and TPM3-NTRK1 gene fusions | [6,27,28] |
| SMARCA4-deficient uterine sarcoma | SMARCA4 gene biallelic inactivation mutation | [20,25] |
| COL1A1-PDGFB fusion uterine sarcoma | COL1A1-PDGFB rearrangement | [20,25] |
| RET-fusion uterine sarcoma | RET-SPECC1L and TIPM3-RET rearrangements | [21,29] |
| FGFR1-fusion uterine sarcoma | FGFR1-TACC1 rearrangement | [30,31] |
| Undifferentiated uterine sarcoma | TP53 mutations, complex karyotype, and polysomy | [1,15,20] |
| Approved Histology Agnostic Targets | ||
|---|---|---|
| Targets | Prevalence | Histologic Type |
| NTRK fusion | 4 (0.6%) | 2 undifferentiated uterine sarcomas 1 leiomyosarcoma 1 adenosarcoma |
| Mismatch repair gene alterations | 11 (1.8%) | 6 leiomyosarcoma 3 undifferentiated uterine sarcomas 1 low-grade endometrial stromal sarcoma 1 adenosarcoma |
| BRAF V600E mutations | 1 (0.2%) | 1 leiomyosarcoma |
| RET fusion | 1 (0.2%) | 1 leiomyosarcoma |
| Total | 2.7% (17/626) | |
| Potential Histology-Agnostic Targets | ||
| Targets | Prevalence | Histologic Type |
| KRAS G12C mutation | 1 (0.2%) | Undifferentiated uterine sarcoma |
| KRAS G12D mutation | 4 (0.6%) | Histologic type unavailable |
| BRCA1 mutation | 1 (0.2%) | Leiomyosarcoma |
| BRCA2 mutation | 10 (1.6%) | 7 leiomyosarcomas 3 undifferentiated uterine sarcomas |
| ALK gene fusion | 5 (1%) | 2 leiomyosarcomas 1 undifferentiated uterine sarcoma 1 adenosarcoma 1 smooth muscle tumor of undetermined potential |
| FGFR gene fusion | 2 (0.3%) | 1 leiomyosarcoma 1 undifferentiated uterine sarcoma |
| Total | 3.8% (24/626) | |
Disclaimer/Publisher’s Note: The statements, opinions and data contained in all publications are solely those of the individual author(s) and contributor(s) and not of MDPI and/or the editor(s). MDPI and/or the editor(s) disclaim responsibility for any injury to people or property resulting from any ideas, methods, instructions or products referred to in the content. |
© 2024 by the author. Licensee MDPI, Basel, Switzerland. This article is an open access article distributed under the terms and conditions of the Creative Commons Attribution (CC BY) license (https://creativecommons.org/licenses/by/4.0/).
Share and Cite
Alodaini, A.A. Uterine Mesenchymal Tumors: Updates on Pathology, Molecular Landscape, and Therapeutics. Medicina 2024, 60, 1085. https://doi.org/10.3390/medicina60071085
Alodaini AA. Uterine Mesenchymal Tumors: Updates on Pathology, Molecular Landscape, and Therapeutics. Medicina. 2024; 60(7):1085. https://doi.org/10.3390/medicina60071085
Chicago/Turabian StyleAlodaini, Amal A. 2024. "Uterine Mesenchymal Tumors: Updates on Pathology, Molecular Landscape, and Therapeutics" Medicina 60, no. 7: 1085. https://doi.org/10.3390/medicina60071085
APA StyleAlodaini, A. A. (2024). Uterine Mesenchymal Tumors: Updates on Pathology, Molecular Landscape, and Therapeutics. Medicina, 60(7), 1085. https://doi.org/10.3390/medicina60071085
