Bilateral Visual Impairment following Combination Chemotherapy with Carboplatin in Patients with Small Cell Lung Cancer: A Case Report
Abstract
1. Introduction
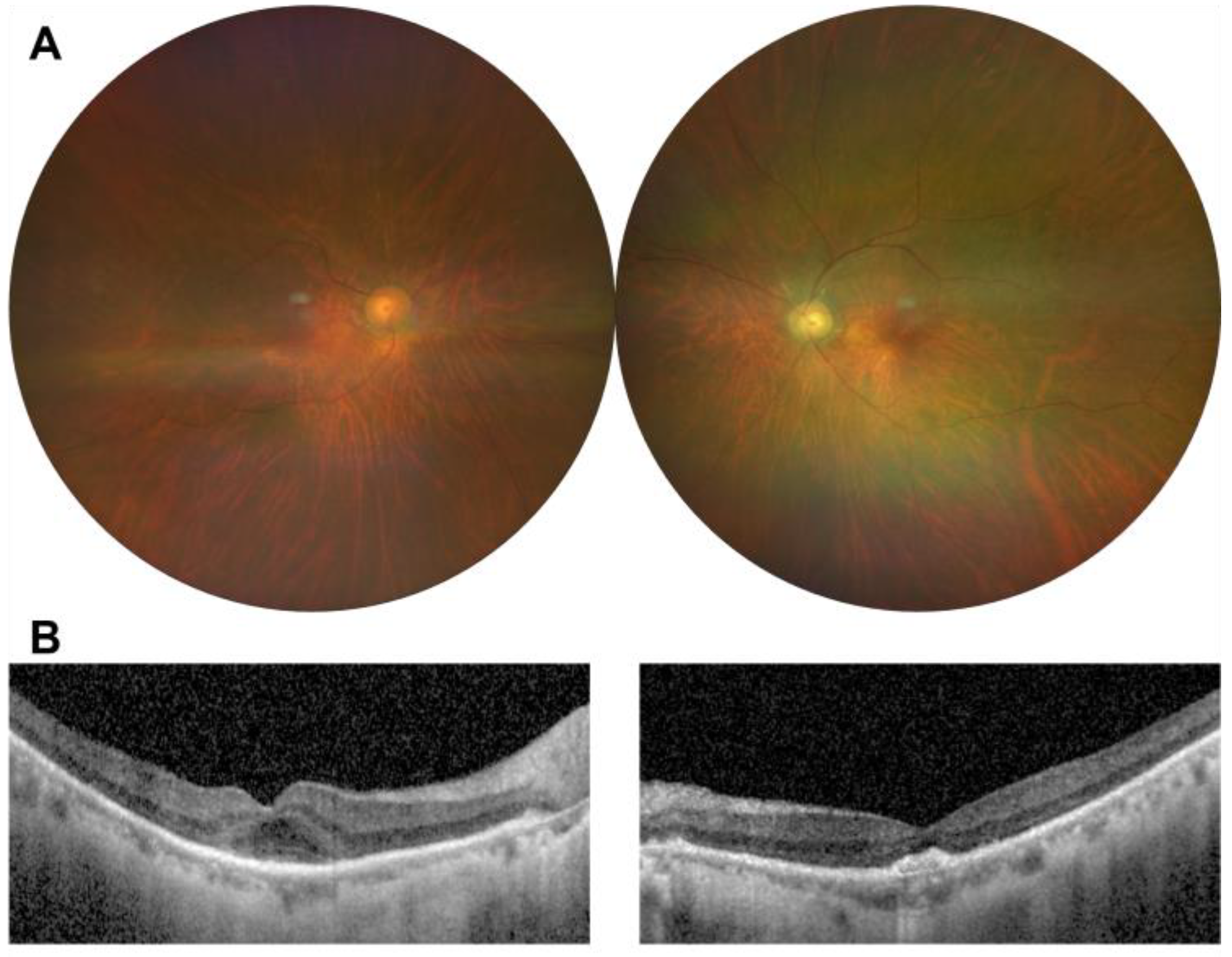
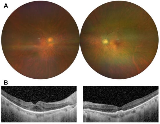
2. Case Presentation
3. Discussion
4. Conclusions
Author Contributions
Funding
Institutional Review Board Statement
Informed Consent Statement
Data Availability Statement
Conflicts of Interest
References
- Rossi, A.; Di Maio, M. Platinum-based chemotherapy in advanced non-small-cell lung cancer: Optimal number of treatment cycles. Expert Rev. Anticancer Ther. 2016, 16, 653–660. [Google Scholar] [CrossRef] [PubMed]
- Dasari, S.; Tchounwou, P.B. Cisplatin in cancer therapy: Molecular mechanisms of action. Eur. J. Pharmacol. 2014, 740, 364–378. [Google Scholar] [CrossRef] [PubMed]
- Oun, R.; Moussa, Y.E.; Wheate, N.J. The side effects of platinum-based chemotherapy drugs: A review for chemists. Dalton Trans. 2018, 47, 6645–6653. [Google Scholar] [CrossRef] [PubMed]
- Romani, A.M.P. Cisplatin in cancer treatment. Biochem. Pharmacol. 2022, 206, 115323. [Google Scholar] [CrossRef] [PubMed]
- Bishop, J.F. Carboplatin/etoposide in small cell lung cancer. Oncology 1992, 49 (Suppl. 1), 11–17; discussion 17–18. [Google Scholar] [CrossRef]
- Azar, I.; Yazdanpanah, O.; Jang, H.; Austin, A.; Kim, S.; Chi, J.; Alkassis, S.; Saha, B.K.; Chopra, A.; Neu, K.; et al. Comparison of Carboplatin with Cisplatin in Small Cell Lung Cancer in US Veterans. JAMA Netw. Open 2022, 5, e2237699. [Google Scholar] [CrossRef]
- Li, Y.; Li, Y.; Li, J.; Pi, G.; Tan, W. Paclitaxel- and/or cisplatin-induced ocular neurotoxicity: A case report and literature review. OncoTargets Ther. 2014, 7, 1361–1366. [Google Scholar]
- Asencio-Durán, M.; Fernández-Gutiérrez, E.; Larrañaga-Cores, M.; Klein-Burgos, C.; Dabad-Moreno, J.V.; Capote-Díez, M. Ocular side effects of oncological therapies: Review. Arch. Soc. Esp. Oftalmol. Engl. Ed. 2024, 99, 109–132. [Google Scholar] [CrossRef]
- Watanabe, W.; Kuwabara, R.; Nakahara, T.; Hamasaki, O.; Sakamoto, I.; Okada, K.; Minamoto, A.; Mishima, H.K. Severe ocular and orbital toxicity after intracarotid injection of carboplatin for recurrent glioblastomas. Graefe’s Arch. Clin. Exp. Ophthalmol. 2002, 240, 1033–1035. [Google Scholar] [CrossRef]
- Elhusseiny, A.M.; Smiddy, W.E. Carboplatin- and/or paclitaxel-induced ischemic retinopathy. Can. J. Ophthalmol. 2020, 55, e95–e98. [Google Scholar] [CrossRef]
- Fischer, N.; Stuermer, J.; Rodic, B.; Pless, M. Carboplatin-Induced Bilateral Papilledema: A Case Report. Case Rep. Oncol. 2009, 2, 67–71. [Google Scholar] [CrossRef]
- Lewis, P.; Waqar, S.; Yiannakis, D.; Raman, V. Unilateral Optic Disc Papilloedema following Administration of Carboplatin Chemotherapy for Ovarian Carcinoma. Case Rep. Oncol. 2014, 7, 29–32. [Google Scholar] [CrossRef]
- Shihadeh, S.; Patrick, M.M.; Postma, G.; Trokthi, B.; Maitland, C. Blinding Optic Neuropathy Associated With Carboplatin Therapy: A Case Report and Literature Review. Cureus 2024, 16, e52975. [Google Scholar] [CrossRef] [PubMed]
- Maleki, A.; Lagrew, M.K.; Slaney, E.D. Bilateral Optic Neuropathy Secondary to Intravenous Carboplatin Therapy. J. Ophthalmic Vis. Res. 2024, 19, 133–136. [Google Scholar] [CrossRef] [PubMed]
- Chiang, T.K.; White, K.M.; Kurup, S.K.; Yu, M. Use of Visual Electrophysiology to Monitor Retinal and Optic Nerve Toxicity. Biomolecules. 2022, 12, 1390. [Google Scholar] [CrossRef] [PubMed]
- Togna, G.I.; Togna, A.R.; Franconi, M.; Caprino, L. Cisplatin triggers platelet activation. Thromb. Res. 2000, 99, 503–509. [Google Scholar] [CrossRef]
- Wang, M.Y.; Arnold, A.C.; Vinters, H.V.; Glasgow, B.J. Bilateral blindness and lumbosacral myelopathy associated with high-dose carmustine and cisplatin therapy. Am. J. Ophthalmol. 2000, 130, 367–368. [Google Scholar] [CrossRef]
- Hilliard, L.M.; Berkow, R.L.; Watterson, J.; Ballard, E.A.; Balzer, G.K.; Moertel, C.L. Retinal toxicity associated with cisplatin and etoposide in pediatric patients. Med. Pediatr. Oncol. 1997, 28, 310–313. [Google Scholar] [CrossRef]
- Dulz, S.; Asselborn, N.H.; Dieckmann, K.P.; Matthies, C.; Wagner, W.; Weidmann, J.; Seidel, C.; Oing, C.; Berger, L.A.; Alsdorf, W.; et al. Retinal toxicity after cisplatin-based chemotherapy in patients with germ cell cancer. J. Cancer Res. Clin. Oncol. 2017, 143, 1319–1325. [Google Scholar] [CrossRef]
- Maiese, K.; Walker, R.W.; Gargan, R.; Victor, J.D. Intra-arterial cisplatin–associated optic and otic toxicity. Arch. Neurol. 1992, 49, 83–86. [Google Scholar] [CrossRef]
- Caraceni, A.; Martini, C.; Spatti, G.; Thomas, A.; Onofrj, M. Recovering optic neuritis during systemic cisplatin and carboplatinchemotherapy. Acta Neurol. Scand. 1997, 96, 260–261. [Google Scholar] [CrossRef] [PubMed]



Disclaimer/Publisher’s Note: The statements, opinions and data contained in all publications are solely those of the individual author(s) and contributor(s) and not of MDPI and/or the editor(s). MDPI and/or the editor(s) disclaim responsibility for any injury to people or property resulting from any ideas, methods, instructions or products referred to in the content. |
© 2024 by the authors. Licensee MDPI, Basel, Switzerland. This article is an open access article distributed under the terms and conditions of the Creative Commons Attribution (CC BY) license (https://creativecommons.org/licenses/by/4.0/).
Share and Cite
Kim, J.; Lee, J.; Lee, S.; Kim, K. Bilateral Visual Impairment following Combination Chemotherapy with Carboplatin in Patients with Small Cell Lung Cancer: A Case Report. Medicina 2024, 60, 992. https://doi.org/10.3390/medicina60060992
Kim J, Lee J, Lee S, Kim K. Bilateral Visual Impairment following Combination Chemotherapy with Carboplatin in Patients with Small Cell Lung Cancer: A Case Report. Medicina. 2024; 60(6):992. https://doi.org/10.3390/medicina60060992
Chicago/Turabian StyleKim, Jaeha, Junwoo Lee, Seungyeon Lee, and Kiyoung Kim. 2024. "Bilateral Visual Impairment following Combination Chemotherapy with Carboplatin in Patients with Small Cell Lung Cancer: A Case Report" Medicina 60, no. 6: 992. https://doi.org/10.3390/medicina60060992
APA StyleKim, J., Lee, J., Lee, S., & Kim, K. (2024). Bilateral Visual Impairment following Combination Chemotherapy with Carboplatin in Patients with Small Cell Lung Cancer: A Case Report. Medicina, 60(6), 992. https://doi.org/10.3390/medicina60060992

