Differential Expression of Mucin in Salivary Gland Tumours
Abstract
1. Introduction
2. Material and Methods
2.1. Tissue Sample
2.2. Histochemistry
2.3. Semi-Quantitative Analysis
2.4. Statistical Analysis
3. Results
3.1. Sample Details
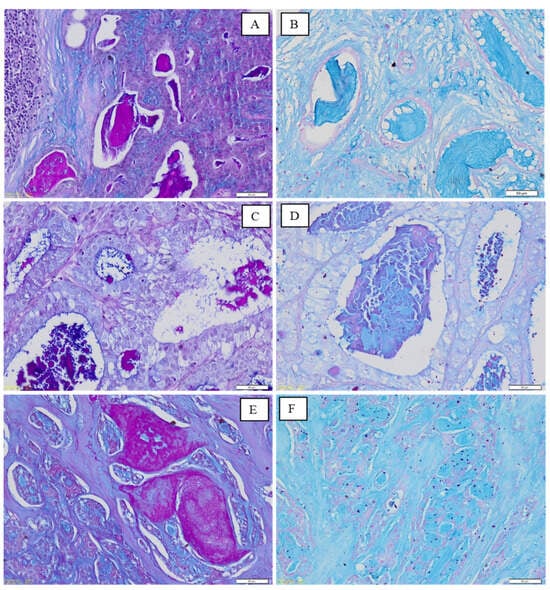
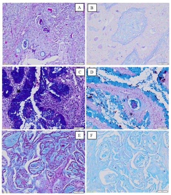
3.2. Mucin Expression in Salivary Gland Tumours
4. Discussion
5. Conclusions
Author Contributions
Funding
Institutional Review Board Statement
Informed Consent Statement
Data Availability Statement
Acknowledgments
Conflicts of Interest
References
- Bobati, S.S.; Patil, B.V.; Dombale, V.D. Histopathological study of salivary gland tumors. J. Oral. Maxillofac. Pathol. 2017, 21, 46–50. [Google Scholar] [CrossRef]
- Rohini, R.K.; Avinash, D.S.; Rajesh, A.K.; Umarji, B.N. Histochemical Study of Mucosubstances of Normal Human Parotid Salivary Gland. J. Evol. Med. Dent. Sci. 2014, 3, 13079–13085. [Google Scholar]
- Naag, S.; Adi, R.P. Histochemical Study of Salivary Mucins in Normal and Neoplastic Salivary Glands. J. Clin. Diagn. Res. 2010, 4, 3450–3458. [Google Scholar]
- Bhatia, R.; Gautam, S.K.; Cannon, A.; Thompson, C.; Hall, B.R.; Aithal, A.; Banerjee, K.; Jain, M.; Solheim, J.C.; Kumar, S.; et al. Cancer-associated Mucins: Role in Immune Modulation and Metastasis. Cancer Metastasis Rev. 2019, 38, 223–236. [Google Scholar] [CrossRef]
- Ashok, K.D.; Xinxin, S.; Herbert, J.Z.; Zong, S.G.; Yong, J.L.; David, L.B.; Haroon, A.C. Mitogen-activated Protein Kinase Inhibition Reduces Mucin 2 Production and Mucinous Tumor Growth. Transl. Res. 2015, 166, 344–354. [Google Scholar]
- Miletich, I. Introduction to Salivary Glands: Structure, Function and Embryonic Development. Salivary Glands. Development, Adaptations and Disease. Front. Oral. Biol. 2010, 14, 1–20. [Google Scholar] [PubMed]
- Rekthman, N.; Bishop, J.A. Quick Refernce Handbook for Surgical Pathologists; Springer: Berlin/Heidelberg, Germany; Dordrecht, The Netherlands; London, UK; New York, NY, USA, 2011; pp. 69–75. [Google Scholar]
- Lam, K.Y.; Loke, S.L.; Ma, L.T. Histochemistry of Mucin Secreting Components in Mucoepidermoid and Adenosquamous Carcinoma of Oesophagus. J. Clin. Pathol. 1993, 46, 1011–1015. [Google Scholar] [CrossRef]
- Toida, M.; Takeuchi, J.; Tsukidate, K.; Akao, S.; Fukatsu, T.; Nakashima, N. Histochemical Studies on Pseudocyst in Adenoid Cystic Carcinoma of the Human Salivary Gland. Histochem. J. 1985, 17, 913–924. [Google Scholar] [CrossRef] [PubMed]
- Panicker, N.; Jariwala, P.; Buch, A.; Joshi, M. The Utility Periodic Acid Schiff with Diastase and Alcian Blue Stains on Fine Needle Aspirates of Breast and Salivary Gland Neoplasms. J. Cytol. 2012, 29, 221–225. [Google Scholar]
- Mowry, R.W. Alcian Blue Technics for the Histochemical Study of Acid Carbohydrates. J. Histochem. 1956, 4, 407. [Google Scholar]
- Spicer, S.S.; Meyer, D.B. Histochemical Differentiation of Acid Mucopolysaccharides By Means of Combined Aldehyde Fuchsin-Alcian Blue Staining. Am. J. Clin. Pathol. 1960, 33, 453–460. [Google Scholar] [CrossRef]
- Filipe, M.I.; Branfoot, A.C. Abnormal Patterns of Mucus Secretion in Apparently Normal Mucosa of Large Intestine with Carcinoma. Cancer 1974, 34, 282–290. [Google Scholar] [CrossRef] [PubMed]
- Hamada, T.; Matsukita, S.; Goto, M.; Kitajima, S.; Batra, S.K.; Irimura, T.; Sueyoshi, K.; Sugihara, K.; Yonezawa, S. Mucin Expression in Pleomorphic Adenoma of Salivary Gland: A Potential Role for MUC1 as a Marker to Predict Recurrence. J. Clin. Pathol. 2004, 57, 813–821. [Google Scholar] [CrossRef] [PubMed]
- Weed, D.T.; Gomez-Fernandez, C.; Bonfante, E.; Lee, T.D.; Pacheco, J.; Carvajal, M.E.; Carraway, K.L. MUC4 (Sialomucin Complex) Expression in Salivary Gland Tumors and Squamous Cell Carcinoma of the Upper Aerodigestive Tract. Otolaryngol.—Head. Neck Surg. 2016, 124, 127–141. [Google Scholar] [CrossRef] [PubMed]
- Histochemical Study of Salivary Gland Tumors. J. Pathol. Transl. Med. 1981, 15, 53–61.
- Peel, R. Diseases of salivary glands. In Surgical Pathology of the Head and Neck; Barnes, L., Ed.; Marcel Dekker Inc.: New York, NY, USA, 2001; pp. 634–757. [Google Scholar]
- Jain, P.; Mondal, S.K.; Sinha, S.K.; Mukhopadhyay, M.; Chakraborty, I. Diagnostic and Prognostic Significance of Different Mucin Expression, Preoperative CEA, and CA-125 in Colorectal Carcinoma: A Clinicopathological Study. J. Nat. Sci. Biol. Med. 2014, 5, 404–408. [Google Scholar] [PubMed]
- Gad, A. Pathophysiology of GIT mucins. Adv. Physio Sci. 1982, 29, 161–163. [Google Scholar]
- Alos, L.; Lujan, B.; Castillo, M.; Nadal, A.; Carreras, M.; Caballero, M.; Cardesa, A. Expression of Membrane-Bound Mucins (MUC1 and MUC4) and Secreted Mucins (MUC2, MUC5AC, MUC5B, MUC6 and MUC7) in Mucoepidermoid Carcinomas of Salivary Glands. Am. J. Surg. Pathol. 2005, 29, 806–813. [Google Scholar] [CrossRef] [PubMed]
- Agrawal, B.; Krantz, M.J.; Reddish, M.A.; Longenecker, B.M. Cancer-associated MUCl Mucin Inhibits Human T-cell Proliferation, Which is Reversible by IL-2. Nat. Med. 1998, 4, 43–49. [Google Scholar] [CrossRef]
- Satpathy, Y.; Spadigam, A.E.; Dhupar, A.; Syed, S. Epithelial and Stromal Patterns of Pleomorphic Adenoma of Minor Salivary Glands: A Histopathological and Histochemical study. J. Oral Maxillofac. Pathol. JOMFP 2014, 18, 379–385. [Google Scholar] [CrossRef]
- Lombardi, M.; Socciarelli, F.; Fini, G.; Leonardi, A.; Bartolazzi, A. Schwannoma-like Pleomorphic Adenoma: A Case Report with Review of the Literature. Head Neck Pathol. 2014, 8, 178–181. [Google Scholar] [CrossRef] [PubMed][Green Version]
- Huszno, J.; Mrochen-Domin, I.; Zembala-Nozynska, E.; Tukiendorf, A.; Lange, D.; Nowara, E. Mucin Secretion Activity of Gastric Cancer as a Prognostic Factor: A Clinicopathological Analysis. Contemp. Oncol. 2012, 16, 159–164. [Google Scholar] [CrossRef] [PubMed]
- Badger, C.D.; Benito, D.A.; Joshi, A.S. Incorporating Sialendoscopy into the Otolaryngology Clinic. Otolaryngol. Clin. N. Am. 2021, 54, 509–520. [Google Scholar] [CrossRef] [PubMed]
- Lopez, J.-M. Different Types of Papillae and Their Treatment. In Sialendoscopy. The Hands-On Book; Marchal, F., Ed.; Artcast Medical: Annecy, France, 2015; Volume 1, pp. 144–145. [Google Scholar]



| Salivary Gland Tumour | Minor Glands | Major Glands |
|---|---|---|
| PA | 16 | 15 |
| MEC | 15 (14 low-grade, 1 intermediate-grade) | 12 (6 low-grade, 2 intermediate-grade and 4 high-grade) |
| AdCC | 12 (All tubular and cribriform pattern) | 3 (2 tubular and cribriform pattern, 1 solid pattern) |
| PA (n = 31) | MEC (n = 27) | AdCC (n = 15) | |||||
|---|---|---|---|---|---|---|---|
| Minor | Major | Minor | Major | Minor | Major | ||
| Age * n(%) | <47 | 14 (45) | 9 (29) | 7 (26) | 2 (7) | 2 (13) | 1 (7) |
| >47 | 2 (6) | 6 (19) | 8 (30) | 10 (37) | 10 (67) | 2 (13) | |
| Gender n(%) | F | 12 (39) | 11 (35) | 4 (15) | 11 (41) | 8 (53) | 1 (7) |
| M | 4 (13) | 4 (13) | 4 (15) | 8 (30) | 4 (27) | 2 (13) | |
| Ethnicity n(%) | Chinese | 9 (29) | 8 (26) | 7 (26) | 6 (22) | 6 (40) | 2 (13) |
| Malay | 4 (13) | 4 (13) | 6 (22) | 5 (19) | 6 (40) | 1 (7) | |
| Indian | 3 (10) | 3 (10) | 2 (7) | 1 (4) | - | - | |
| Intraoral sites n(%) | Palate | 11 (35) | - | 7 (26) | - | 2 (13) | - |
| Non-palate | 5 (16) | - | 8 (30) | - | 10 (67) | - | |
| Extraoral sites n(%) | Parotid | - | 9 (29) | - | 11 (41) | - | 2 (13) |
| Non-parotid | - | 6 (19) | - | 1 (4) | - | 1 (7) | |
| Stain | AB, n(%) | p Value | AF, n(%) | p Value | PAS, n(%) | p Value | |||
|---|---|---|---|---|---|---|---|---|---|
| Low | High | Low | High | Low | High | ||||
| PA | |||||||||
| Minor n = 16 | 13 (81) | 3 (19) | c* 0.000 | 8 (53) | 7 (47) | c 0.484 | 9 (75) | 3 (25) | f 0.242 |
| Major n = 15 | 2 (13) | 13 (87) | 8 (67) | 4 (33) | 1 (33) | 2 (67) | |||
| MEC | |||||||||
| Minor n = 15 | 15 (94) | 1 (6) | f 1.000 | 15 (100) | - | α - | 12 (100) | - | α - |
| Major n = 12 | 15 (100) | - | 12 (100) | - | 3 (100) | - | |||
| AdCC | |||||||||
| Minor n = 12 | 15 (94) | 1 (6) | f 1.000 | 12 (80) | 3 (20) | c 0.756 | 12 (100) | - | α - |
| Major n = 3 | 15 (100) | - | 9 (75) | 3 (25) | 3 (100) | - | |||
| Stain | Benign n = 31 | Malignant n = 42 | p Value c | ||
|---|---|---|---|---|---|
| Low | High | Low | High | ||
| AB, n(%) | 12 (39) | 19 (61) | 29 (69) | 13 (31) | 0.016 * |
| AF, n(%) | 31 (100) | - | 41 (98) | 1 (2) | 0.387 |
| PAS, n(%) | 28 (90) | 3 (10) | 38 (90) | 4 (10) | 0.982 |
| Minor Glands | Major Glands | |
|---|---|---|
| Normal | >Sialomucin (100%) | * Mixed neutral and acidic mucin (100%) |
| PA | >Sialomucin (19%) | >Sialomucin (86%) |
| MEC | >Sialomucin (47%) and neutral mucin (20%) | >Sialomucin (33%) and neutral mucin (25%) |
| AdCC | >Sialomucin (34%) | >Sialomucin (67%) |
Disclaimer/Publisher’s Note: The statements, opinions and data contained in all publications are solely those of the individual author(s) and contributor(s) and not of MDPI and/or the editor(s). MDPI and/or the editor(s) disclaim responsibility for any injury to people or property resulting from any ideas, methods, instructions or products referred to in the content. |
© 2024 by the authors. Licensee MDPI, Basel, Switzerland. This article is an open access article distributed under the terms and conditions of the Creative Commons Attribution (CC BY) license (https://creativecommons.org/licenses/by/4.0/).
Share and Cite
Mahamad Apandi, N.I.; Chan, S.W.; Toh, Y.F. Differential Expression of Mucin in Salivary Gland Tumours. Medicina 2024, 60, 920. https://doi.org/10.3390/medicina60060920
Mahamad Apandi NI, Chan SW, Toh YF. Differential Expression of Mucin in Salivary Gland Tumours. Medicina. 2024; 60(6):920. https://doi.org/10.3390/medicina60060920
Chicago/Turabian StyleMahamad Apandi, Nurul Inaas, Siew Wui Chan, and Yen Fa Toh. 2024. "Differential Expression of Mucin in Salivary Gland Tumours" Medicina 60, no. 6: 920. https://doi.org/10.3390/medicina60060920
APA StyleMahamad Apandi, N. I., Chan, S. W., & Toh, Y. F. (2024). Differential Expression of Mucin in Salivary Gland Tumours. Medicina, 60(6), 920. https://doi.org/10.3390/medicina60060920

