Fibrous Dysplasia of the Ethmoid Bone Diagnosed in a 10-Year-Old Patient
Abstract
1. Introduction
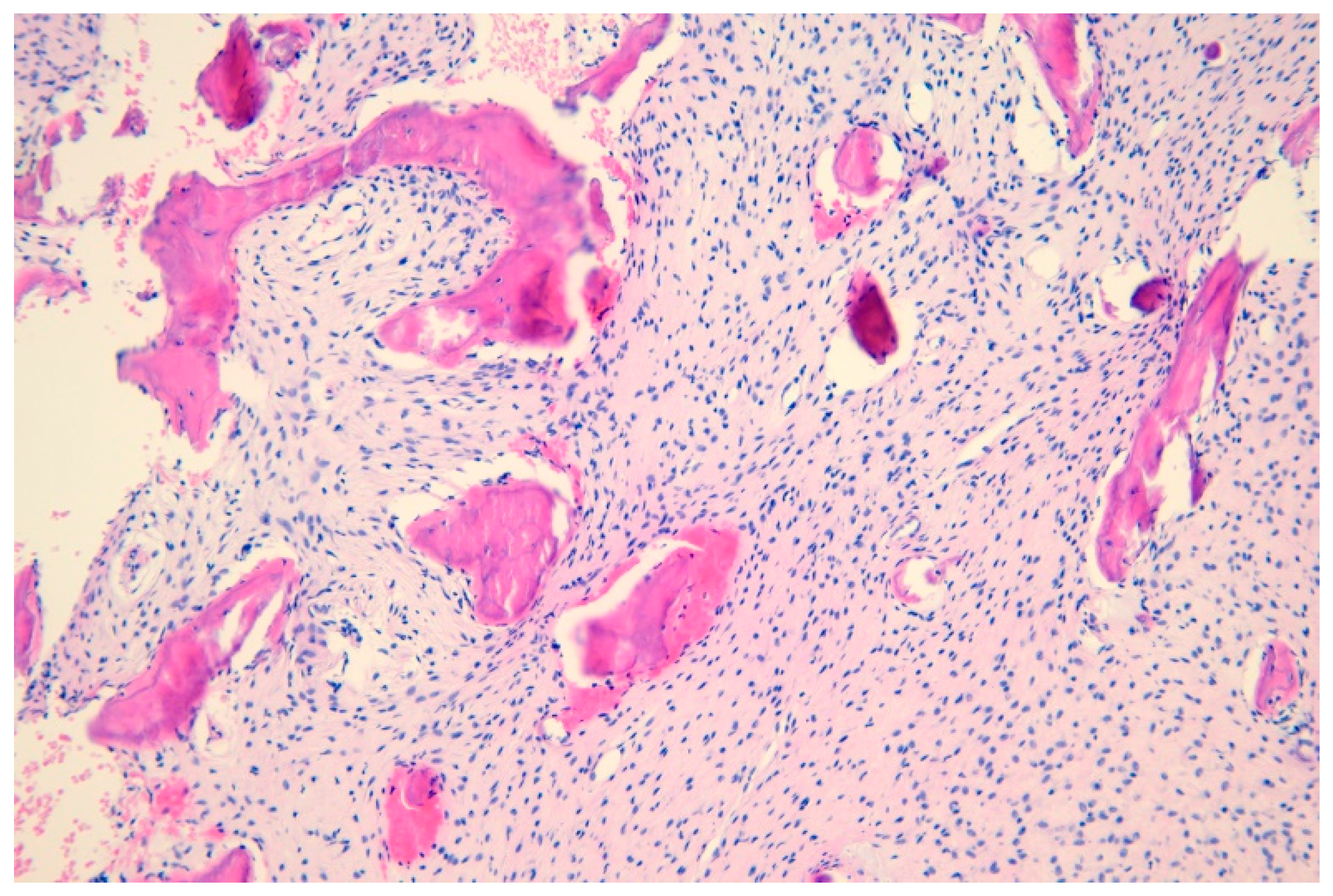
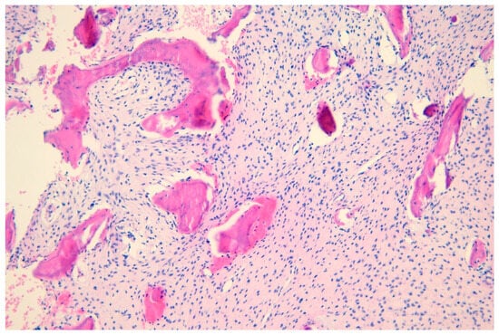
2. Case Description
3. Discussion
4. Conclusions
Author Contributions
Funding
Institutional Review Board Statement
Informed Consent Statement
Data Availability Statement
Conflicts of Interest
References
- Buyuklu, F.; Tarhan, E.; Cakmak, O.; Ozgirgin, N.; Arikan, U. Isolated fibrous dysplasia of the sphenoid sinus. Rhinology 2005, 43, 309–312. [Google Scholar] [PubMed]
- Singh, H.; Mohan, C. Fibrous dysplasia of Sphenoid bone. Indian. J. Otolaryngol. Head. Neck Surg. 2007, 59, 157–159. [Google Scholar] [CrossRef] [PubMed][Green Version]
- Kim, D.Y. Current concepts of craniofacial fibrous dysplasia: Pathophysiology and treatment. Arch. Craniofacial Surg. 2023, 24, 41–51. [Google Scholar] [CrossRef] [PubMed]
- Szymczuk, V.; Taylor, J.; Boyce, A.M. Craniofacial Fibrous Dysplasia: Clinical and Therapeutic Implications. Curr. Osteoporos. Rep. 2023, 21, 147. [Google Scholar] [CrossRef] [PubMed]
- Riminucci, M.; Kuznetsov, S.A.; Cherman, N.; Corsi, A.; Bianco, P.; Gehron Robey, P. Osteoclastogenesis in fibrous dysplasia of bone: In situ and in vitro analysis of IL-6 expression. Bone 2003, 33, 434–442. [Google Scholar] [CrossRef] [PubMed]
- Chandavarkar, V.; Patil, P.M.; Bhargava, D.; Mishra, M.N. A rare case report of craniofacial fibrous dysplasia. J. Oral. Maxillofac. Pathol. 2018, 22, 406. [Google Scholar] [CrossRef] [PubMed]
- Wardas, P.; Piotrowska-Seweryn, A.; Markowski, J.; Ślaska-Kaspera, A.; Golonka, A.; Dorosz, R.; Sokołowski, M. Fibrous dysplasia of sphenoid bone—Diagnostic difficulties. Pol. Otorhinolaryngol. Rev. 2015, 4, 30–35. [Google Scholar] [CrossRef][Green Version]
- Kuśmierczyk, K.; Owczarek, K.; Michalska, J.; Miłoński, J.; Olszewski, J. Dysplazja włóknista kości klinowej—Trudności diagnostyczne. Onkol. Po Dyplomie 2017, 4, 181. [Google Scholar]
- Bouet, B.; Schlund, M.; De Massary, M.; Nicot, R. Craniofacial fibrous dysplasia: Systematic review of facial management. J. Stomatol. Oral. Maxillofacial Surg. 2023, 124, 101660. [Google Scholar] [CrossRef] [PubMed]
- Rosen, C.; Compston, J.; Lian, J.B. Primer on the Metabolic Bone Diseases and Disorders of Mineral Metabolism; John Wiley & Sons: Hoboken, NJ, USA, 2009. [Google Scholar]
- Javaid, M.K.; Boyce, A.; Appelman-Dijkstra, N.; Ong, J.; Defabianis, P.; Offiah, A.; Arundel, P.; Shaw, N.; Dal Pos, V.; Underhil, A.; et al. Best practice management guidelines for fibrous dysplasia/McCune-Albright syndrome: A consensus statement from the FD/MAS international consortium. Orphanet J. Rare Dis. 2019, 14, 139. [Google Scholar] [CrossRef] [PubMed]
- Ng, Y.H.; Sethi, D.S. Isolated sphenoid sinus disease: Differential diagnosis and management. Curr. Opin. Otolaryngol. Head Neck. Surg. 2011, 19, 16–20. [Google Scholar] [CrossRef] [PubMed]
- Adeyemo, A.A.; Ogunkeyede, S.A.; Daniel, A.; Lasisi, A.O. Paediatric paranasal sinus fibrous dysplasia. Trop. Doct. 2023, 53, 117–120. [Google Scholar] [CrossRef] [PubMed]
- Boyce, A.M.; Kelly, M.H.; Brillante, B.A.; Kushner, H.; Wientroub, S.; Riminucci, M.; Bianco, P.; Robey, P.G.; Collins, M.T. A randomized, double blind, placebo-controlled trial of alendronate treatment for fibrous dysplasia of bone. J. Clin. Endocrinol. Metab. 2014, 99, 4133–4140. [Google Scholar] [CrossRef]
- Wang, Y.; Wang, O.; Jiang, Y.; Li, M.; Xia, W.; Meng, X.; Xing, X. Efficacy and Safety of Bisphosphonate Therapy in Mccune-Albright Syndrome–Related Polyostotic Fibrous Dysplasia: A Single-Center Experience. Endocr. Pract. 2019, 25, 23–30. [Google Scholar] [CrossRef]
- Gun, Z.H.; Arif, A.; Boyce, A.M. Fibrous dysplasia in children and its management. Curr. Opin. Endocrinol. Diabetes Obes. 2024, 31, 60–66. [Google Scholar] [CrossRef] [PubMed]
- Pan, K.S.; Boyce, A.M. Denosumab Treatment for Giant Cell Tumors, Aneurysmal Bone Cysts, and Fibrous Dysplasia-Risks and Benefits. Curr. Osteoporos. Rep. 2021, 19, 141–150. [Google Scholar] [CrossRef]
- Panda, N.K.; Parida, P.K.; Sharma, R.; Jain, A.; Bapuraj, J.R. A clinicoradiologic analysis of symptomatic craniofacial fibro-osseous lesions. Otolaryngol. Head Neck Surg. 2007, 136, 928–933. [Google Scholar] [CrossRef]
- Roberts, R.M.; Shute, R. Living with a craniofacial condition: Development of the Craniofacial Experiences Questionnaire (CFEQ) for adolescents and their parents. Cleft. Palate Craniofacial J. 2011, 48, 727–735. [Google Scholar] [CrossRef] [PubMed]




Disclaimer/Publisher’s Note: The statements, opinions and data contained in all publications are solely those of the individual author(s) and contributor(s) and not of MDPI and/or the editor(s). MDPI and/or the editor(s) disclaim responsibility for any injury to people or property resulting from any ideas, methods, instructions or products referred to in the content. |
© 2024 by the authors. Published by MDPI on behalf of the Lithuanian University of Health Sciences. Licensee MDPI, Basel, Switzerland. This article is an open access article distributed under the terms and conditions of the Creative Commons Attribution (CC BY) license (https://creativecommons.org/licenses/by/4.0/).
Share and Cite
Resler, Z.; Morawska-Kochman, M.; Resler, K.; Zatoński, T. Fibrous Dysplasia of the Ethmoid Bone Diagnosed in a 10-Year-Old Patient. Medicina 2025, 61, 45. https://doi.org/10.3390/medicina61010045
Resler Z, Morawska-Kochman M, Resler K, Zatoński T. Fibrous Dysplasia of the Ethmoid Bone Diagnosed in a 10-Year-Old Patient. Medicina. 2025; 61(1):45. https://doi.org/10.3390/medicina61010045
Chicago/Turabian StyleResler, Zofia, Monika Morawska-Kochman, Katarzyna Resler, and Tomasz Zatoński. 2025. "Fibrous Dysplasia of the Ethmoid Bone Diagnosed in a 10-Year-Old Patient" Medicina 61, no. 1: 45. https://doi.org/10.3390/medicina61010045
APA StyleResler, Z., Morawska-Kochman, M., Resler, K., & Zatoński, T. (2025). Fibrous Dysplasia of the Ethmoid Bone Diagnosed in a 10-Year-Old Patient. Medicina, 61(1), 45. https://doi.org/10.3390/medicina61010045

