Teenage Patients with Class II Subdivision Treated with Aligners and Elastics: A Retrospective Study
Abstract
1. Introduction
2. Materials and Methods
Statistical Analysis
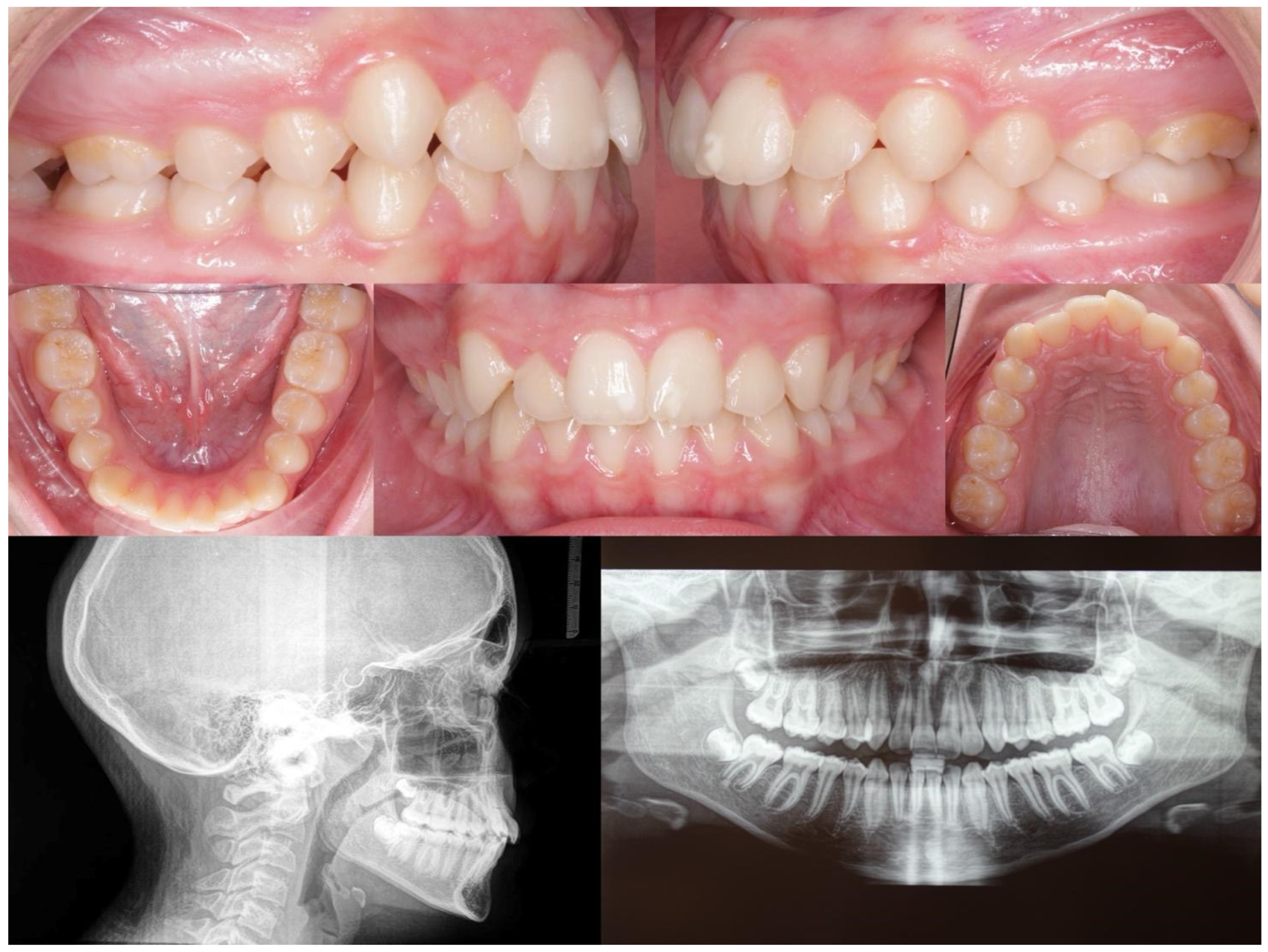
3. Results
4. Discussion
5. Conclusions
Author Contributions
Funding
Institutional Review Board Statement
Informed Consent Statement
Data Availability Statement
Conflicts of Interest
Abbreviations
| AP | Anteroposterior |
| CAs | Clear Aligners |
| CBCT | Cone Beam Computed Tomography |
| IPR | Interproximal Reduction |
| TADs | Temporary Anchorage Devices |
| OPT | Orthopantomography |
| PAR | Peer Assessment Rating |
References
- Peck, S.; Peck, L.; Kataja, M. Skeletal asymmetry in esthetically pleasing faces. Angle Orthod. 1991, 61, 43–48. [Google Scholar] [PubMed]
- Ferrario, V.F.; Sforza, C.; Ciusa, V.; Dellavia, C.; Tartaglia, G.M. The effect of sex and age on facial asymmetry in healthy subjects: A cross-sectional study from adolescence to mid-adulthood. J. Oral Maxillofac. Surg. 2001, 59, 382–388. [Google Scholar] [CrossRef]
- Djordjevic, J.; Toma, A.M.; Zhurov, A.I.; Richmond, S. Three-dimensional quantification of facial symmetry in adolescents using laser surface scanning. Eur. J. Orthod. 2014, 36, 125–132. [Google Scholar] [CrossRef] [PubMed]
- Silinevica, S.; Lokmane, K.; Vuollo, V.; Jakobsone, G.; Pirttiniemi, P. The association between dental and facial symmetry in adolescents. Am. J. Orthod. Dentofac. Orthop. 2023, 164, 340–350. [Google Scholar] [CrossRef]
- Ko, E.W.-C.; Huang, C.S.; Lin, C.-H.; Chen, Y.-R. Orthodontic Perspective for Face Asymmetry Correction. Symmetry 2022, 14, 1822. [Google Scholar] [CrossRef]
- Azevedo, A.R.P.; Janson, G.; Henriques, J.F.C.; de Freitas, M.R. Evaluation of asymmetries between subjects with Class II subdivision and apparent facial asymmetry and those with normal occlusion. Am. J. Orthod. Dentofac. Orthop. 2006, 129, 376–383. [Google Scholar] [CrossRef]
- De Mattos, J.M.; Palomo, J.M.; de Oliveira Ruellas, A.C.; Cheib, P.L.; Eliliwi, M.; Souki, B.Q. Three-dimensional positional assessment of glenoid fossae and mandibular condyles in patients with Class II subdivision malocclusion. Angle Orthod. 2017, 87, 847–854. [Google Scholar] [CrossRef] [PubMed]
- Turpin, D.L. Correcting the Class II subdivision malocclusion. Am. J. Orthod. Dentofac. Orthop. 2005, 128, 555–556. [Google Scholar] [CrossRef] [PubMed]
- Partouche, A.J.D.; Castro, F.; Baptista, A.S.; Costa, L.G.; Fernandes, J.C.H.; Fernandes, G.V.O. Effects of Multibracket Orthodontic Treatment versus Clear Aligners on Periodontal Health: An Integrative Review. Dent. J. 2022, 10, 177. [Google Scholar] [CrossRef] [PubMed] [PubMed Central]
- Kau, C.H.; Soh, J.; Christou, T.; Mangal, A. Orthodontic Aligners: Current Perspectives for the Modern Orthodontic Office. Medicina 2023, 59, 1773. [Google Scholar] [CrossRef]
- Janson, M.; Janson, G.; Sant’Ana, E.; Simão, T.M.; Freitas, M.R.D. An orthodontic-surgical approach to Class II subdivision malocclusion treatment. J. Appl. Oral Sci. 2009, 17, 266–273. [Google Scholar] [CrossRef]
- Smith, S.S.; Alexander, R.G. Orthodontic correction of a Class II Division 1 subdivision right open bite malocclusion in an adolescent patient with a cervical pull face-bow headgear. Am. J. Orthod. Dentofac. Orthop. 1999, 116, 60–65. [Google Scholar] [CrossRef] [PubMed]
- Keeling, S.D.; Wheeler, T.T.; King, G.J.; Garvan, C.W.; Cohen, D.A.; Cabassa, S.; McGorray, S.P.; Taylor, M.G. Anteroposterior skeletal and dental changes after early Class II treatment with bionators and headgear. Am. J. Orthod. Dentofac. Orthop. 1998, 113, 40–50. [Google Scholar] [CrossRef]
- Bardinet, E.; Baron, P.; Bazert, C.; Boileau, M.J.; Bougues, R.; de Brondeau, F.; Darqué, F.; Faure, J.; Gardes, C.; Garnier, E.; et al. Orthodontic approach to asymmetry. L’Orthod. Fr. 2002, 73, 243–315. [Google Scholar] [CrossRef]
- Meade, M.J.; Blundell, H.; Weir, T. Predicted overbite and overjet changes with the Invisalign appliance: A validation study. Angle Orthod. 2024, 94, 10–16. [Google Scholar] [CrossRef] [PubMed]
- Little, R.M. The Irregularity Index: A quantitative score of mandibular anterior alignment. Am. J. Orthod. 1975, 68, 554–563. [Google Scholar] [CrossRef] [PubMed]
- Farsoun, C.F.; Castro, F.; Farsoun, A.; Farsoun, J.; Fernandes, J.C.H.; de Oliveira Fernandes, G.V. Gingival recession in canines orthodontically aligned: A narrative review. Int. J. Sci. Dent. 2023, 62, 100–121. [Google Scholar]
- Jeelani, W.; Fida, M.; Shaikh, A. The duration of pubertal growth peak among three skeletal classes. Dent. Press. J. Orthod. 2016, 21, 67–74. [Google Scholar] [CrossRef] [PubMed]
- Taranger, J.; Hägg, U. The timing and duration of adolescent growth. Acta Odontol. Scand. 1980, 38, 57–67. [Google Scholar] [CrossRef] [PubMed]
- Boston, R.C.; Sumner, A.E. STATA: A statistical analysis system for examining biomedical data. Adv. Exp. Med. Biol. 2003, 537, 353–369. [Google Scholar] [CrossRef] [PubMed]
- Perillo, L.; Masucci, C.; Ferro, F.; Apicella, D.; Baccetti, T. Prevalence of orthodontic treatment need in southern Italian schoolchildren. Eur. J. Orthod. 2010, 32, 49–53. [Google Scholar] [CrossRef] [PubMed]
- Coben, S.E. The biology of Class II treatment. Am. J. Orthod. 1971, 59, 470–487. [Google Scholar] [CrossRef] [PubMed]
- Shaughnessy, T.; Shire, L.H. Etiology of Class II malocclusions. Pediatr. Dent. 1988, 10, 336–338. [Google Scholar] [PubMed]
- Huang, M.; Hu, Y.; Yu, J.; Sun, J.; Ming, Y.; Zheng, L. Cone-beam computed tomographic evaluation of the temporomandibular joint and dental characteristics of patients with Class II subdivision malocclusion and asymmetry. Korean J. Orthod. 2017, 47, 277. [Google Scholar] [CrossRef] [PubMed]
- Sanders, D.A.; Rigali, P.H.; Neace, W.P.; Uribe, F.; Nanda, R. Skeletal and dental asymmetries in Class II subdivision malocclusions using cone-beam computed tomography. Am. J. Orthod. Dentofac. Orthop. 2010, 138, 542.e1–542.e20. [Google Scholar] [CrossRef] [PubMed]
- Janson, G.; de Lima, K.J.R.S.; Woodside, D.G.; Metaxas, A.; de Freitas, M.R.; Henriques, J.F.C. Class II subdivision malocclusion types and evaluation of their asymmetries. Am. J. Orthod. Dentofac. Orthop. 2007, 131, 57–66. [Google Scholar] [CrossRef] [PubMed]
- Janson, G.R.P.; Metaxas, A.; Woodside, D.G.; de Freitas, M.R.; Pinzan, A. Three-dimensional evaluation of skeletal and dental asymmetries in Class II subdivision malocclusions. Am. J. Orthod. Dentofac. Orthop. 2001, 119, 406–418. [Google Scholar] [CrossRef] [PubMed]
- Alavi, D.G.; BeGole, E.A.; Schneider, B.J. Facial and dental arch asymmetries in Class II subdivision malocclusion. Am. J. Orthod. Dentofac. Orthop. 1988, 93, 38–46. [Google Scholar] [CrossRef]
- Bishara, S.E. Class II Malocclusions: Diagnostic and Clinical Considerations With and Without Treatment. Semin. Orthod. 2006, 12, 11–24. [Google Scholar] [CrossRef]
- Sabouni, W.; Eichelberger, A.; Des Georges, O. Traitement des classes II pour les patients au cours de la croissance par gouttières thermoformées: Quel protocole ? L’Orthod. Française 2019, 90, 13–27. [Google Scholar] [CrossRef]
- Lombardo, L.; Colonna, A.; Carlucci, A.; Oliverio, T.; Siciliani, G. Class II subdivision correction with clear aligners using intermaxilary elastics. Prog. Orthod. 2018, 19, 32. [Google Scholar] [CrossRef] [PubMed]
- Castroflorio, T.; Parrini, S.; Rossini, G.; Nebiolo, B.; Gavetti, F.; Quinzi, V.; Derton, N.; Greco, M.A.; Deregibus, A. Upper First Molar and Second Premolar Distalization with Clear Aligner and Interradicular Skeletal Anchorage: A Finite Element Study. Appl. Sci. 2023, 13, 9695. [Google Scholar] [CrossRef]
- Mamani, J.; Sessirisombat, C.; Hotokezaka, H.; Yoshida, N.; Sirisoontorn, I. Effectiveness of Clear Aligners on Sequential Maxillary Molar Distalization: Discrepancy between Treatment Goal and Outcome. J. Clin. Med. 2024, 13, 4216. [Google Scholar] [CrossRef] [PubMed]
- Lione, R.; Paoloni, V.; De Razza, F.C.; Pavoni, C.; Cozza, P. The Efficacy and Predictability of Maxillary First Molar Derotation with Invisalign: A Prospective Clinical Study in Growing Subjects. Appl. Sci. 2022, 12, 2670. [Google Scholar] [CrossRef]
- Marcelino, V.; Baptista, S.; Marcelino, S.; Paço, M.; Rocha, D.; Gonçalves, M.D.P.; Azevedo, R.; Guimarães, A.S.; Fernandes, G.V.O.; Pinho, T. Occlusal Changes with Clear Aligners and the Case Complexity Influence: A Longitudinal Cohort Clinical Study. J. Clin. Med. 2023, 12, 3435. [Google Scholar] [CrossRef] [PubMed] [PubMed Central]
- Lione, R.; Paoloni, V.; De Razza, F.C.; Pavoni, C.; Cozza, P. Analysis of Maxillary First Molar Derotation with Invisalign Clear Aligners in Permanent Dentition. Life 2022, 12, 1495. [Google Scholar] [CrossRef]
- Yan, X.; Zhang, X.; Ren, L.; Yang, Y.; Wang, Q.; Gao, Y.; Jiang, Q.; Jian, F.; Long, H.; Lai, W. Effectiveness of clear aligners in achieving proclination and intrusion of incisors among Class II division 2 patients: A multivariate analysis. Prog. Orthod. 2023, 24, 12. [Google Scholar] [CrossRef]
- Park, T.H.; Shen, C.; Chung, C.-H.; Li, C. Vertical Control in Molar Distalization by Clear Aligners: A Systematic Review and Meta-Analysis. J. Clin. Med. 2024, 13, 2845. [Google Scholar] [CrossRef] [PubMed]
- Green, J.I. An Overview of the Peer Assessment Rating (Par) Index for Primary Dental Care Practitioners. Prim. Dent. J. 2016, 5, 28–37. [Google Scholar] [CrossRef] [PubMed]
- Cassidy, S.E.; Jackson, S.R.; Turpin, D.L.; Ramsay, D.S.; Spiekerman, C.; Huang, G.J. Classification and treatment of Class II subdivision malocclusions. Am. J. Orthod. Dentofac. Orthop. 2014, 145, 443–451. [Google Scholar] [CrossRef] [PubMed]




| Variables | Total Sample (n = 23) | Group 1 (n = 12) | Group 2 (n = 11) | p Value | |||
|---|---|---|---|---|---|---|---|
| Female sex, n (%) | 15 (65) | 6 (50) | 9 (82) | 0.110 ° | |||
| Male sex, n (%) | 8 (35) | 6 (50) | 2 (18) | ||||
| Mean | SD | Mean | SD | Mean | SD | ||
| Initial age (y-m) | 14 y 4 m | 3 m | 14 y 10 m | 3 m | 13 y 10 m | 2 m | 0.356 # |
| Class II side (mm from Class I) * | 2.5 | 0.9 | 2.8 | 1.1 | 2.3 | 0.5 | 0.105 # |
| Class I side (mm from Class I) * | 0.6 | 0.6 | 0.6 | 0.5 | 0.7 | 0.7 | 0.481 # |
| Treatment time (mo) | 24.4 | 7.1 | 24.2 | 6.8 | 24.7 | 7.7 | 0.940 # |
| Values are presented as number (%). Group 1, mandibular midline off; Group 2, maxillary midline off. | |||||||
| y-m, Years–months | |||||||
| Group 1 (n = 12) | Group 2 (n = 11) | ||||||||||||
|---|---|---|---|---|---|---|---|---|---|---|---|---|---|
| Measurements, Mean ± SD | Pre-Treatment | Post-Treatment | ΔGroup1 | Pre-Treatment | Post-Treatment | ΔGroup2 | p Value (ΔGroup1 vs. ΔGroup2) * | ||||||
| Mean | SD | Mean | SD | Mean | SD | Mean | SD | Mean | SD | Mean | SD | ||
| Midline deviation (from facial midline) (mm) | 1.6 A | 0.9 | 0.5 A | 0.3 | −1.1 | 0.8 | 1.9 B | 0.5 | 0.4 B | 0.3 | −1.4 | 0.5 | <0.001 |
| Overjet (mm) | 4.5 A | 2.7 | 2.2 A | 0.7 | −2.3 | 2.3 | 2.7 B | 0.7 | 2.1 B | 0.5 | −0.6 | 0.8 | <0.001 |
| Overbite (mm) | 4.3 A | 2.6 | 2.2 A | 0.9 | −2.1 | 2.3 | 3.3 B | 1.2 | 2.2 B | 0.6 | −1.1 | 1.4 | <0.001 |
| PAR score | 35.8 A | 13.2 | 3.8 A | 2.3 | −32.0 | 11.7 | 31.8 B | 13.1 | 4.5 B | 2.0 | −27.3 | 13.1 | <0.001 |
| U1-to-maxillary-plane angle | 117.8 a | 12.9 | 111.8 a | 5.8 | −6.0 | 14.8 | 111.1 b | 6.7 | 109.3 b | 5.8 | −1.8 | 3.3 | 0.112 |
| L1-to-mandibular-plane angle | 102.4 a | 4.4 | 98.8 a | 4.7 | −3.6 | 7.0 | 93.2 b | 4.4 | 91.9 b | 3.7 | −1.3 | 3.2 | <0.001 |
| L1 to A-Pog(mm) | 0.9 a | 2.2 | 0.7 a | 2.2 | −0.2 | 2.2 | 1.3 b | 1.4 | 1.1 b | 1.2 | −0.2 | 1.6 | 0.451 |
| Interincisal angle | 124.0 A | 9.5 | 134.7 A | 11.0 | 10.7 | 8.7 | 129.7 B | 5.7 | 135.7 B | 6.0 | 5.9 | 5.3 | 0.007 |
Disclaimer/Publisher’s Note: The statements, opinions and data contained in all publications are solely those of the individual author(s) and contributor(s) and not of MDPI and/or the editor(s). MDPI and/or the editor(s) disclaim responsibility for any injury to people or property resulting from any ideas, methods, instructions or products referred to in the content. |
© 2024 by the authors. Published by MDPI on behalf of the Lithuanian University of Health Sciences. Licensee MDPI, Basel, Switzerland. This article is an open access article distributed under the terms and conditions of the Creative Commons Attribution (CC BY) license (https://creativecommons.org/licenses/by/4.0/).
Share and Cite
Quinzi, V.; Conigliaro, A.; Fani, E.; Memè, L.; Fiasca, F.; Carugo, N.; Marzo, G. Teenage Patients with Class II Subdivision Treated with Aligners and Elastics: A Retrospective Study. Medicina 2024, 60, 2089. https://doi.org/10.3390/medicina60122089
Quinzi V, Conigliaro A, Fani E, Memè L, Fiasca F, Carugo N, Marzo G. Teenage Patients with Class II Subdivision Treated with Aligners and Elastics: A Retrospective Study. Medicina. 2024; 60(12):2089. https://doi.org/10.3390/medicina60122089
Chicago/Turabian StyleQuinzi, Vincenzo, Andrea Conigliaro, Eda Fani, Lucia Memè, Fabiana Fiasca, Nicolò Carugo, and Giuseppe Marzo. 2024. "Teenage Patients with Class II Subdivision Treated with Aligners and Elastics: A Retrospective Study" Medicina 60, no. 12: 2089. https://doi.org/10.3390/medicina60122089
APA StyleQuinzi, V., Conigliaro, A., Fani, E., Memè, L., Fiasca, F., Carugo, N., & Marzo, G. (2024). Teenage Patients with Class II Subdivision Treated with Aligners and Elastics: A Retrospective Study. Medicina, 60(12), 2089. https://doi.org/10.3390/medicina60122089

