Artificial Intelligence-Assisted Segmentation of a Falx Cerebri Calcification on Cone-Beam Computed Tomography: A Case Report
Abstract
1. Introduction
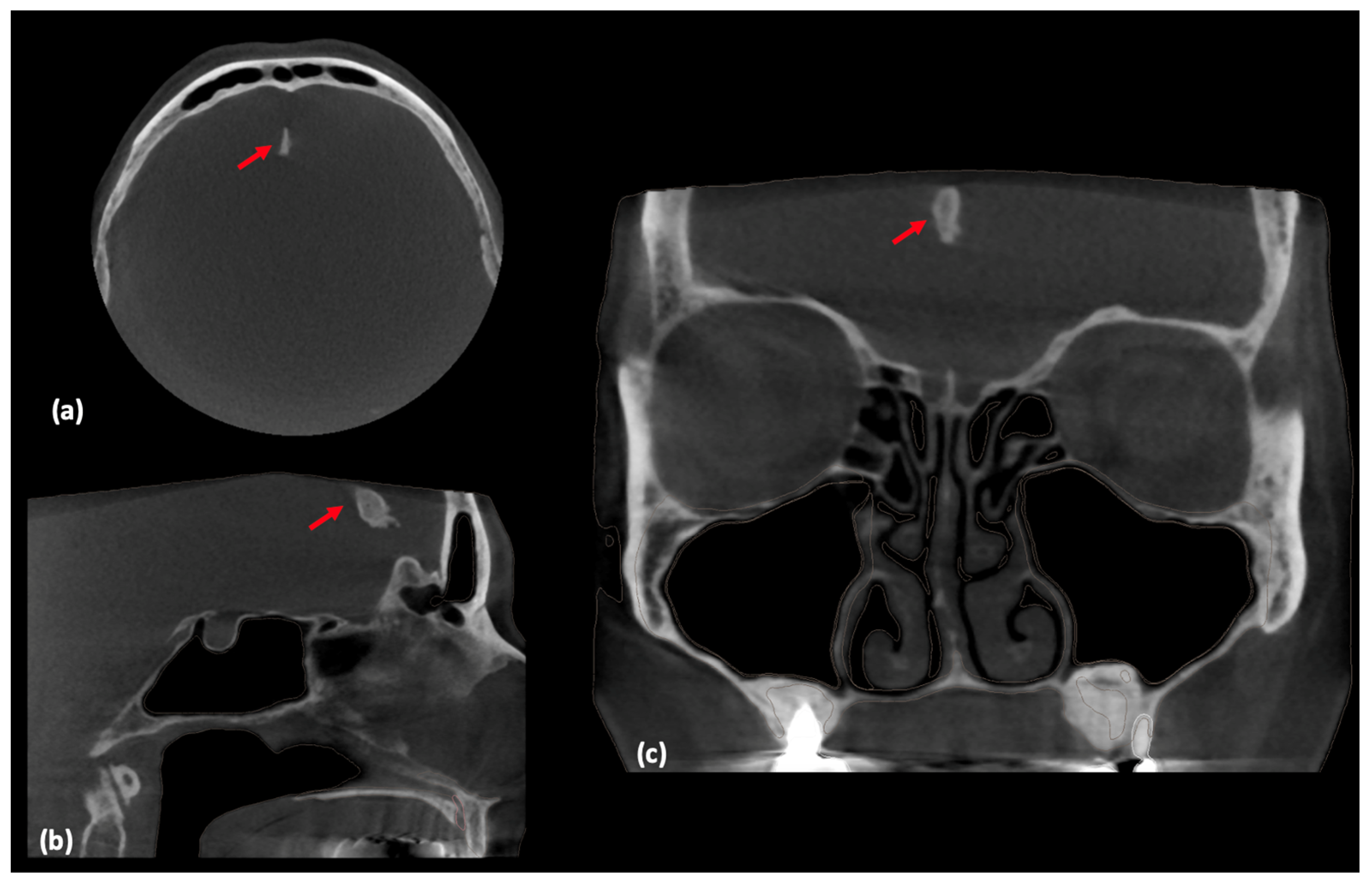
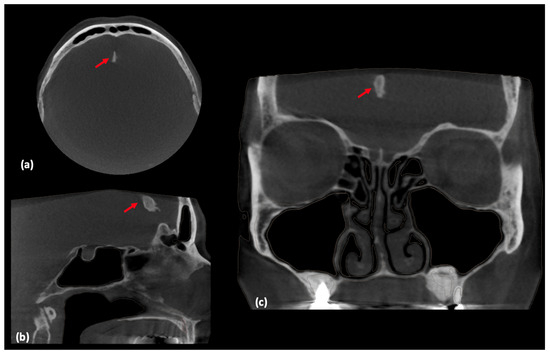
2. Case Report and AI Application
3. Discussion
3.1. Literature Review
3.2. Intracranial Calcification Detection on CBCT
4. Conclusions
Author Contributions
Funding
Institutional Review Board Statement
Informed Consent Statement
Data Availability Statement
Conflicts of Interest
References
- Grech, R.; Grech, S.; Mizzi, A. Intracranial calcifications. A pictorial review. Neuroradiol. J. 2012, 25, 427–451. [Google Scholar] [CrossRef] [PubMed]
- Glaister, J.; Carass, A.; Pham, D.L.; Butman, J.A.; Prince, J.L. Falx Cerebri Segmentation via Multi-atlas Boundary Fusion. Med. Image Comput. Comput. Assist. Interv. 2017, 10433, 92–99. [Google Scholar] [CrossRef] [PubMed]
- Sakk, L. Anatomy of the Cranial and Spinal Meninges. In Pediatric Hydrocephalus; Cinalli, G., Özek, M., Sainte-Rose, C., Eds.; Springer: Cham, Switzerland, 2019; pp. 197–237. [Google Scholar]
- Rai, R.; Iwanaga, J.; Shokouhi, G.; Oskouian, R.J.; Tubbs, R.S. The Tentorium Cerebelli: A Comprehensive Review Including Its Anatomy, Embryology, and Surgical Techniques. Cureus 2018, 10, e3079. [Google Scholar] [CrossRef] [PubMed]
- Ho, J.; Kleiven, S. Can sulci protect the brain from traumatic injury? J. Biomech. 2009, 42, 2074–2080, Erratum in J. Biomech. 2010, 43, 804. [Google Scholar] [CrossRef] [PubMed]
- Saade, C.; Najem, E.; Asmar, K.; Salman, R.; El Achkar, B.; Naffaa, L. Intracranial calcifications on CT: An updated review. J. Radiol. Case Rep. 2019, 13, 1–18. [Google Scholar] [CrossRef]
- Halstead, A.E.; Christopher, F. Calcification and ossification of the meninges. Arch. Surg. 1923, 6, 847–857. [Google Scholar] [CrossRef]
- Sands, S.F.; Farmer, P.; Alvarez, O.; Keller, I.A.; Gorey, M.T.; Hyman, R.A. Fat within the falx: MR demonstration of falcine bony metaplasia with marrow formation. J. Comput. Assist. Tomogr. 1987, 11, 602–605. [Google Scholar] [CrossRef] [PubMed]
- Celzo, F.G.; Venstermans, C.; De Belder, F.; Van Goethem, J.; van den Hauwe, L.; van der Zijden, T.; Voormolen, M.; Menovsky, T.; Maas, A.; Parizel, P.M. Brain stones revisited-between a rock and a hard place. Insights Into Imaging 2013, 4, 625–635. [Google Scholar] [CrossRef]
- Ogasawara, C.; Philbrick, B.D.; Adamson, D.C. Meningioma: A Review of Epidemiology, Pathology, Diagnosis, Treatment, and Future Directions. Biomedicines 2021, 9, 319. [Google Scholar] [CrossRef]
- Gezercan, Y.; Acik, V.; Çavuş, G.; Ökten, A.I.; Bilgin, E.; Millet, H.; Olmaz, B. Six different extremely calcified lesions of the brain: Brain stones. Springerplus 2016, 5, 1941. [Google Scholar] [CrossRef]
- Hyusein, R.R.; Atsev, S.; Boyukliev, A.; Petrov, P.P.; Velchev, V.; Penchev, P. Cerebral Calcifications as a Result of Primary Hyperparathyroidism: A Report of a Rare Case. Cureus 2024, 16, e57826. [Google Scholar] [CrossRef] [PubMed]
- Sharifi, M.; Yousefi, B.T. Idiopathic Dural Optic Nerve Sheath Calcification Associated with Sclerochoroidal Calcification: Case Report and Review of Literatures. Case Rep. Ophthalmol. 2021, 12, 402–406. [Google Scholar] [CrossRef] [PubMed]
- Glaister, J.; Carass, A.; Pham, D.L.; Butman, J.A.; Prince, J.L. Automatic falx cerebri and tentorium cerebelli segmentation from Magnetic Resonance Images. Proc. SPIE-Int. Soc. Opt. Eng. 2017, 10137, 101371D. [Google Scholar] [CrossRef] [PubMed]
- Shukla, S.; Chug, A.; Afrashtehfar, K.I. Role of Cone Beam Computed Tomography in Diagnosis and Treatment Planning in Dentistry: An Update. J. Int. Soc. Prev. Community Dent. 2017, 7 (Suppl. S3), S125–S136. [Google Scholar] [PubMed]
- Venkatesh, E.; Elluru, S.V. Cone beam computed tomography: Basics and applications in dentistry. J. Istanb. Univ. Fac. Dent. 2017, 51 (Suppl. S1), S102–S121. [Google Scholar] [CrossRef]
- Tepe, R.D.; Cakir Karabas, H.; Erturk, A.F.; Ozcan, I. Physiologic intracranial calcifications incidentally detected on cone beam computed tomography. Oral Surg. Oral Med. Oral Pathol. Oral Radiol. 2022, 134, e281–e286. [Google Scholar] [CrossRef]
- Sedghizadeh, P.P.; Nguyen, M.; Enciso, R. Intracranial physiological calcifications evaluated with cone beam CT. Dentomaxillofac. Radiol. 2012, 41, 675–678. [Google Scholar] [CrossRef]
- Putra, R.H.; Doi, C.; Yoda, N.; Astuti, E.R.; Sasaki, K. Current applications and development of artificial intelligence for digital dental radiography. Dentomaxillofac. Radiol. 2022, 51, 20210197. [Google Scholar] [CrossRef]
- Yoon, K.; Jeong, H.M.; Kim, J.W.; Park, J.H.; Choi, J. AI-based dental caries and tooth number detection in intraoral photos: Model development and performance evaluation. J. Dent. 2024, 141, 104821. [Google Scholar] [CrossRef]
- Kazimierczak, W.; Wajer, R.; Wajer, A.; Kiian, V.; Kloska, A.; Kazimierczak, N.; Janiszewska-Olszowska, J.; Serafin, Z. Periapical Lesions in Panoramic Radiography and CBCT Imaging—Assessment of AI’s Diagnostic Accuracy. J. Clin. Med. 2024, 13, 2709. [Google Scholar] [CrossRef]
- Issa, J.; Jaber, M.; Rifai, I.; Mozdziak, P.; Kempisty, B.; Dyszkiewicz-Konwińska, M. Diagnostic Test Accuracy of Artificial Intelligence in Detecting Periapical Periodontitis on Two-Dimensional Radiographs: A Retrospective Study and Literature Review. Medicina 2023, 59, 768. [Google Scholar] [CrossRef] [PubMed]
- Kazimierczak, N.; Kazimierczak, W.; Serafin, Z.; Nowicki, P.; Jankowski, T.; Jankowska, A.; Janiszewska-Olszowska, J. Skeletal facial asymmetry: Reliability of manual and artificial intelligence-driven analysis. Dentomaxillofac. Radiol. 2024, 53, 52–59. [Google Scholar] [CrossRef] [PubMed]
- Issa, J.; Olszewski, R.; Dyszkiewicz-Konwińska, M. The Effectiveness of Semi-Automated and Fully Automatic Segmentation for Inferior Alveolar Canal Localization on CBCT Scans: A Systematic Review. Int. J. Environ. Res. Public Health 2022, 19, 560. [Google Scholar] [CrossRef] [PubMed]
- Ajami, M.; Tripathi, P.; Ling, H.; Mahdian, M. Automated Detection of Cervical Carotid Artery Calcifications in Cone Beam Computed Tomographic Images Using Deep Convolutional Neural Networks. Diagnostics 2022, 12, 2537. [Google Scholar] [CrossRef] [PubMed]
- Grigaitis, D.; Meilunas, M. Automatic Extraction of Symmetry Plane from Falx Cerebri Areas in CT Slices. In Bildverarbeitung für die Medizin 2007: Algorithmen–Systeme–Anwendungen Proceedings des Workshops vom 25.–27. März 2007 in München; Springer eBooks: Berlin/Heidelberg, Germany, 2007; pp. 267–271. [Google Scholar] [CrossRef]
- Shusharina, N.; Söderberg, J.; Edmunds, D.; Löfman, F.; Shih, H.; Bortfeld, T. Automated delineation of the clinical target volume using anatomically constrained 3D expansion of the gross tumor volume. Radiother. Oncol. 2020, 146, 37–43. [Google Scholar] [CrossRef] [PubMed]
- Angkurawaranon, S.; Sanorsieng, N.; Unsrisong, K.; Inkeaw, P.; Sripan, P.; Khumrin, P.; Angkurawaranon, C.; Vaniyapong, T.; Chitapanarux, I. A comparison of performance between a deep learning model with residents for localization and classification of intracranial hemorrhage. Sci. Rep. 2023, 13, 9975. [Google Scholar] [CrossRef]
- Puzio, T.; Matera, K.; Wiśniewski, K.; Grobelna, M.; Wanibuchi, S.; Jaskólski, D.J.; Bobeff, E.J. Automated volumetric evaluation of intracranial compartments and cerebrospinal fluid distribution on emergency trauma head CT scans to quantify mass effect. Front. Neurosci. 2024, 18, 1341734. [Google Scholar] [CrossRef]
- Brown, J.; Jacobs, R.; Levring Jäghagen, E.; Lindh, C.; Baksi, G.; Schulze, D.; Schulze, R.; European Academy of DentoMaxilloFacial Radiology. Basic training requirements for the use of dental CBCT by dentists: A position paper prepared by the European Academy of DentoMaxilloFacial Radiology. Dentomaxillofac. Radiol. 2014, 43, 20130291. [Google Scholar] [CrossRef]
- Nagarajappa, A.K.; Dwivedi, N.; Tiwari, R. Artifacts: The downturn of CBCT image. J. Int. Soc. Prev. Community Dent. 2015, 5, 440–445. [Google Scholar] [CrossRef]
- Li, M.; Jiang, Y.; Zhang, Y.; Zhu, H. Medical image analysis using deep learning algorithms. Front. Public Health 2023, 11, 1273253. [Google Scholar] [CrossRef]
- Bohr, A.; Memarzadeh, K. The rise of artificial intelligence in healthcare applications. In Artificial Intelligence in Healthcare; Elsevier eBooks: Amsterdam, The Netherlands, 2020; pp. 25–60. [Google Scholar] [CrossRef]



| Author, Study Location, and Year of Publication | Type | Aim | Sample Size (Patients) | Imaging Modality | Algorithm | Accuracy | Dice Similarity Coefficients |
|---|---|---|---|---|---|---|---|
| Grigaitis et al., Lithuania, 2007 [26] | Conference paper | Developing a plain detection algorithm that detects the falx cerebri curve on each human brain computed tomography slice. | 91 | Computed tomography (CT) | Fuzzy logic | N/A | N/A |
| Shusharina et al., USA, 2020 [27] | Original article | Developing a method for automated expansion of the gross tumor volume and applying it to the delineation of the clinical target volume for highly infiltrative tumors. | 206 | Computed tomography (CT) and magnetic resonance imaging (MRI) | U-Net (convolutional neural network) | N/A | 0.97 (falx cerebi with 2 mm tolerance) |
| Angkurawaranon et al., Thailand, 2023 [28] | Original article | Testing the diagnostic performance of a deep learning model in the localization and classification of traumatic intracranial hemorrhages compared to radiology, emergency medicine, and neurosurgery residents. | 300 | Computed tomography (CT) | DeepMedic (convolutional neural network) | 89% | N/A |
| Puzio et al., Poland, 2024 [29] | Original article | Developing an algorithm to quantify the mass effect requiring neurosurgical treatment on emergency head CT scans. | 274 | Computed tomography (CT) | U-Net (convolutional neural network) | N/A | 0.76 |
Disclaimer/Publisher’s Note: The statements, opinions and data contained in all publications are solely those of the individual author(s) and contributor(s) and not of MDPI and/or the editor(s). MDPI and/or the editor(s) disclaim responsibility for any injury to people or property resulting from any ideas, methods, instructions or products referred to in the content. |
© 2024 by the authors. Published by MDPI on behalf of the Lithuanian University of Health Sciences. Licensee MDPI, Basel, Switzerland. This article is an open access article distributed under the terms and conditions of the Creative Commons Attribution (CC BY) license (https://creativecommons.org/licenses/by/4.0/).
Share and Cite
Issa, J.; Chidiac, A.; Mozdziak, P.; Kempisty, B.; Dorocka-Bobkowska, B.; Mehr, K.; Dyszkiewicz-Konwińska, M. Artificial Intelligence-Assisted Segmentation of a Falx Cerebri Calcification on Cone-Beam Computed Tomography: A Case Report. Medicina 2024, 60, 2048. https://doi.org/10.3390/medicina60122048
Issa J, Chidiac A, Mozdziak P, Kempisty B, Dorocka-Bobkowska B, Mehr K, Dyszkiewicz-Konwińska M. Artificial Intelligence-Assisted Segmentation of a Falx Cerebri Calcification on Cone-Beam Computed Tomography: A Case Report. Medicina. 2024; 60(12):2048. https://doi.org/10.3390/medicina60122048
Chicago/Turabian StyleIssa, Julien, Alexandre Chidiac, Paul Mozdziak, Bartosz Kempisty, Barbara Dorocka-Bobkowska, Katarzyna Mehr, and Marta Dyszkiewicz-Konwińska. 2024. "Artificial Intelligence-Assisted Segmentation of a Falx Cerebri Calcification on Cone-Beam Computed Tomography: A Case Report" Medicina 60, no. 12: 2048. https://doi.org/10.3390/medicina60122048
APA StyleIssa, J., Chidiac, A., Mozdziak, P., Kempisty, B., Dorocka-Bobkowska, B., Mehr, K., & Dyszkiewicz-Konwińska, M. (2024). Artificial Intelligence-Assisted Segmentation of a Falx Cerebri Calcification on Cone-Beam Computed Tomography: A Case Report. Medicina, 60(12), 2048. https://doi.org/10.3390/medicina60122048

