Evaluation of the Effectiveness of Active Vitamin D Use in Experimental Rat Lymphedema Model
Abstract
1. Introduction
2. Materials and Methods
2.1. Lymphedema Rat Model
2.2. Limb Volume Calculation
2.3. Fluorescence Lymphatic Imaging
2.4. Histological Analysis
2.5. Statistical Analysis
3. Results
3.1. Limb Volume Calculation
3.2. Fluorescence Lymphatic Imaging
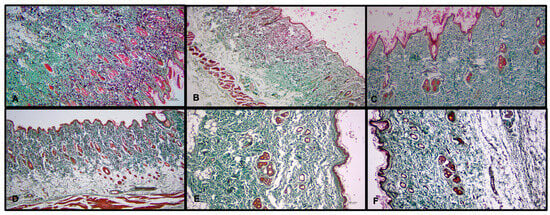
3.3. Histopathological Analyses
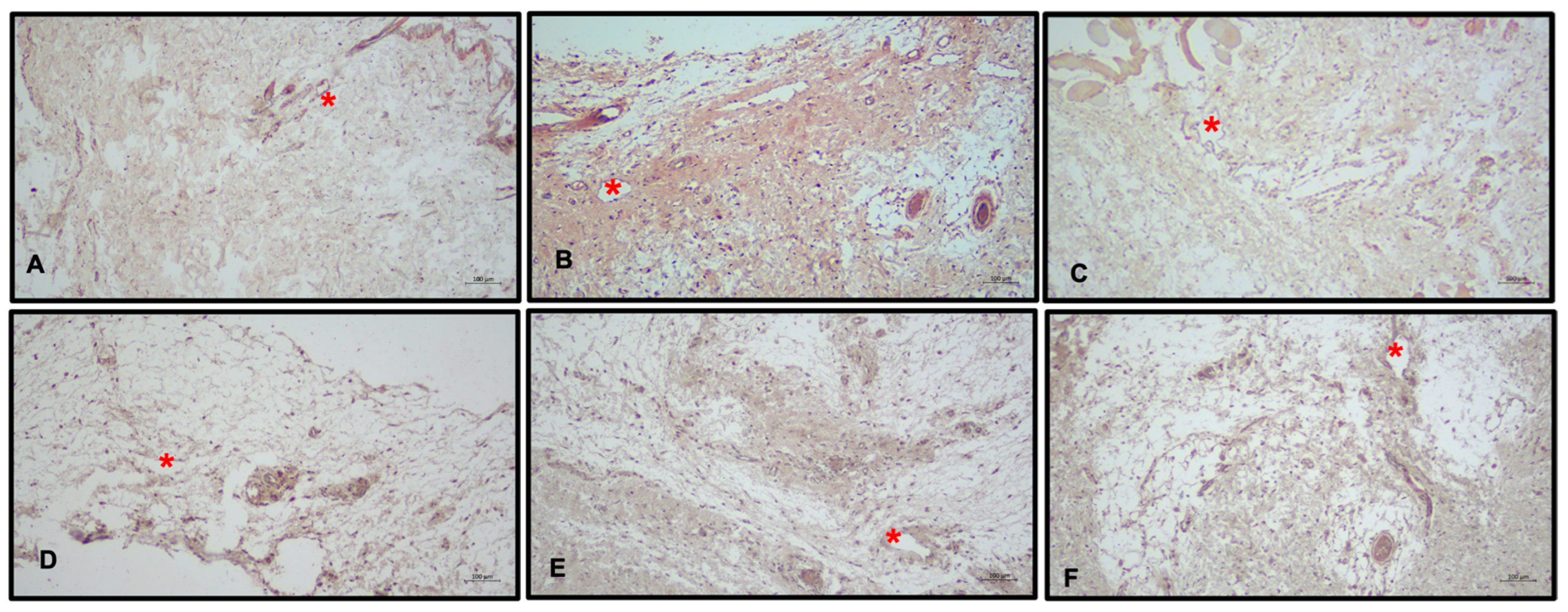
3.3.1. Collagen Accumulation
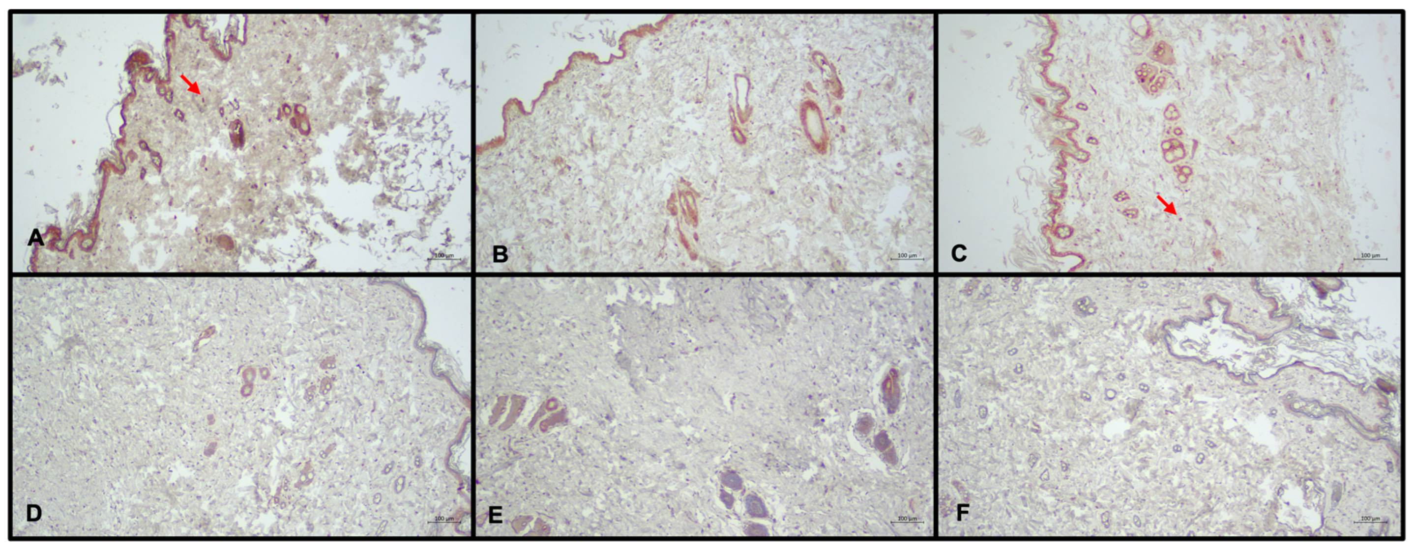
3.3.2. LYVE-1 Staining
3.3.3. IL-12 Staining
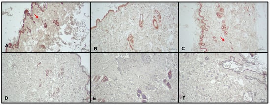
3.3.4. Arginase-1 Staining
4. Discussion
5. Conclusions
Author Contributions
Funding
Institutional Review Board Statement
Informed Consent Statement
Data Availability Statement
Acknowledgments
Conflicts of Interest
References
- Kanter, M.A.; Slavin, S.A.; Kaplan, W. An experimental model for chronic lymphedema. Plast. Reconstr. Surg. 1990, 85, 573–580. [Google Scholar] [CrossRef] [PubMed]
- Aksoyler, D.; Bitik, O.; Menku Ozdemir, F.D.; Gokoz, O.; Uzun, H.; Yeniceri, B.; Nasir, S.N. A New Experimental Lymphedema Model: Reevaluating the Efficacy of Rat Models and Their Clinical Translation for Chronic Lymphedema Studies. Ann. Plast. Surg. 2021, 86, 707–713. [Google Scholar] [CrossRef] [PubMed]
- Kaciulyte, J.; Garutti, L.; Spadoni, D.; Velazquez-Mujica, J.; Losco, L.; Ciudad, P.; Marcasciano, M.; Lo Torto, F.; Casella, D.; Ribuffo, D.; et al. Genital Lymphedema and How to Deal with It: Pearls and Pitfalls from over 38 Years of Experience with Unusual Lymphatic System Impairment. Medicina 2021, 57, 1175. [Google Scholar] [CrossRef]
- Avraham, T.; Clavin, N.W.; Daluvoy, S.V.; Fernandez, J.; Soares, M.A.; Cordeiro, A.P.; Mehrara, B.J. Fibrosis is a key inhibitor of lymphatic regeneration. Plast. Reconstr. Surg. 2009, 124, 438–450. [Google Scholar] [CrossRef]
- Ghanta, S.; Cuzzone, D.A.; Torrisi, J.S.; Albano, N.J.; Joseph, W.J.; Savetsky, I.L.; Gardenier, J.C.; Chang, D.; Zampell, J.C.; Mehrara, B.J. Regulation of inflammation and fibrosis by macrophages in lymphedema. Am. J. Physiol. Heart Circ. Physiol. 2015, 308, H1065–H1077. [Google Scholar] [CrossRef]
- Avraham, T.; Daluvoy, S.; Zampell, J.; Yan, A.; Haviv, Y.S.; Rockson, S.G.; Mehrara, B.J. Blockade of transforming growth factor-beta1 accelerates lymphatic regeneration during wound repair. Am. J. Pathol. 2010, 177, 3202–3214. [Google Scholar] [CrossRef]
- Avraham, T.; Yan, A.; Zampell, J.C.; Daluvoy, S.V.; Haimovitz-Friedman, A.; Cordeiro, A.P.; Mehrara, B.J. Radiation therapy causes loss of dermal lymphatic vessels and interferes with lymphatic function by TGF-beta1-mediated tissue fibrosis. Am. J. Physiol. Cell Physiol. 2010, 299, C589–C605. [Google Scholar] [CrossRef]
- Ricardo, S.D.; van Goor, H.; Eddy, A.A. Macrophage diversity in renal injury and repair. J. Clin. Investig. 2008, 118, 3522–3530. [Google Scholar] [CrossRef]
- Zhou, K.L.; Zhang, Y.H.; Lin, D.S.; Tao, X.Y.; Xu, H.Z. Effects of calcitriol on random skin flap survival in rats. Sci. Rep. 2016, 6, 18945. [Google Scholar] [CrossRef]
- Zhang, X.; Zhou, M.; Guo, Y.; Song, Z.; Liu, B. 1,25-Dihydroxyvitamin D(3) Promotes High Glucose-Induced M1 Macrophage Switching to M2 via the VDR-PPARgamma Signaling Pathway. BioMed Res. Int. 2015, 2015, 157834. [Google Scholar] [CrossRef]
- Sezgin, G.; Ozturk, G.; Guney, S.; Sinanoglu, O.; Tuncdemir, M. Protective effect of melatonin and 1,25-dihydroxyvitamin D3 on renal ischemia-reperfusion injury in rats. Ren. Fail. 2013, 35, 374–379. [Google Scholar] [CrossRef] [PubMed]
- Krishnan, A.V.; Feldman, D. Molecular pathways mediating the anti-inflammatory effects of calcitriol: Implications for prostate cancer chemoprevention and treatment. Endocr. Relat. Cancer 2010, 17, R19–R38. [Google Scholar] [CrossRef]
- Garcia, L.A.; Ferrini, M.G.; Norris, K.C.; Artaza, J.N. 1,25(OH)(2)vitamin D(3) enhances myogenic differentiation by modulating the expression of key angiogenic growth factors and angiogenic inhibitors in C(2)C(12) skeletal muscle cells. J. Steroid Biochem. Mol. Biol. 2013, 133, 1–11. [Google Scholar] [CrossRef]
- Zhang, X.; Zhao, Y.; Zhu, X.; Guo, Y.; Yang, Y.; Jiang, Y.; Liu, B. Active vitamin D regulates macrophage M1/M2 phenotypes via the STAT-1-TREM-1 pathway in diabetic nephropathy. J. Cell. Physiol. 2019, 234, 6917–6926. [Google Scholar] [CrossRef]
- de Almeida, L.F.; Francescato, H.D.C.; da Silva, C.G.A.; Costa, R.S.; Coimbra, T.M. Calcitriol reduces kidney development disorders in rats provoked by losartan administration during lactation. Sci. Rep. 2017, 7, 11472. [Google Scholar] [CrossRef]
- Yang, C.Y.; Nguyen, D.H.; Wu, C.W.; Fang, Y.H.; Chao, K.T.; Patel, K.M.; Cheng, M.H. Developing a Lower Limb Lymphedema Animal Model with Combined Lymphadenectomy and Low-dose Radiation. Plast. Reconstr. Surg. Glob. Open 2014, 2, e121. [Google Scholar] [CrossRef] [PubMed]
- Harb, A.A.; Levi, M.A.; Corvi, J.J.; Nicolas, C.F.; Zheng, Y.; Chaudhary, K.R.; Akelina, Y.; Connolly, E.P.; Ascherman, J.A. Creation of a Rat Lower Limb Lymphedema Model. Ann. Plast. Surg. 2020, 85, S129–S134. [Google Scholar] [CrossRef]
- Ou, D.; Adam, J.; Garberis, I.; Blanchard, P.; Nguyen, F.; Levy, A.; Casiraghi, O.; Gorphe, P.; Breuskin, I.; Janot, F.; et al. Influence of tumor-associated macrophages and HLA class I expression according to HPV status in head and neck cancer patients receiving chemo/bioradiotherapy. Radiother. Oncol. 2019, 130, 89–96. [Google Scholar] [CrossRef]
- Cohen, J. A power primer. Psychol. Bull. 1992, 112, 155–159. [Google Scholar] [CrossRef]
- Torgbenu, E.; Luckett, T.; Buhagiar, M.A.; Phillips, J.L. Guidelines Relevant to Diagnosis, Assessment, and Management of Lymphedema: A Systematic Review. Adv. Wound Care 2023, 12, 15–27. [Google Scholar] [CrossRef]
- Kulac, M.; Aktas, C.; Tulubas, F.; Uygur, R.; Kanter, M.; Erboga, M.; Ceber, M.; Topcu, B.; Ozen, O.A. The effects of topical treatment with curcumin on burn wound healing in rats. J. Mol. Histol. 2013, 44, 83–90. [Google Scholar] [CrossRef] [PubMed]
- Wang, G.Y.; Zhong, S.Z. A model of experimental lymphedema in rats’ limbs. Microsurgery 1985, 6, 204–210. [Google Scholar] [CrossRef] [PubMed]
- Losco, L.; Bolletta, A.; de Sire, A.; Chen, S.H.; Sert, G.; Aksoyler, D.; Velazquez-Mujica, J.; Invernizzi, M.; Cigna, E.; Chen, H.C. The Combination of Lymph Node Transfer and Excisional Procedures in Bilateral Lower Extremity Lymphedema: Clinical Outcomes and Quality of Life Assessment with Long-Term Follow-Up. J. Clin. Med. 2022, 11, 570. [Google Scholar] [CrossRef] [PubMed]
- Ozbek, N.; Guneren, E.; Yildiz, L.; Meydan, D.; Cakir, S.; Coskun, M. The effect of pre-operative conventional and hyperfractionated radiotherapy schedules on wound healing and tensile strength in rats: An experimental study. Int. J. Oral Maxillofac. Surg. 2005, 34, 185–192. [Google Scholar] [CrossRef]
- Yamamoto, T.; Yamamoto, N.; Azuma, S.; Yoshimatsu, H.; Seki, Y.; Narushima, M.; Koshima, I. Near-infrared illumination system-integrated microscope for supermicrosurgical lymphaticovenular anastomosis. Microsurgery 2014, 34, 23–27. [Google Scholar] [CrossRef]
- Gallagher, K.A.; Obi, A.T.; Elfline, M.A.; Hogikyan, E.; Luke, C.E.; Henke, S.; Coleman, D.; Henke, P.K. Alterations in macrophage phenotypes in experimental venous thrombosis. J. Vasc. Surg. Venous Lymphat. Disord. 2016, 4, 463–471. [Google Scholar] [CrossRef]
- Wynn, T.A.; Barron, L. Macrophages: Master regulators of inflammation and fibrosis. Semin. Liver Dis. 2010, 30, 245–257. [Google Scholar] [CrossRef]
- Yan, A.; Avraham, T.; Zampell, J.C.; Aschen, S.Z.; Mehrara, B.J. Mechanisms of lymphatic regeneration after tissue transfer. PLoS ONE 2011, 6, e17201. [Google Scholar] [CrossRef]
- Zhang, X.L.; Guo, Y.F.; Song, Z.X.; Zhou, M. Vitamin D prevents podocyte injury via regulation of macrophage M1/M2 phenotype in diabetic nephropathy rats. Endocrinology 2014, 155, 4939–4950. [Google Scholar] [CrossRef]
- Yucel, H.C.; Yalcin, Y.; Akpinar, O.F.; Cayli, M.; Ozdemir, I.; Solakoglu, S.; Demiroz, A.; Aksoyler, D.Y. Effectiveness of 1alpha-25-dihydroxyvitamin D3 active substance on anastomosis safety in the rat femoral artery end-to-end anastomosis experimental model: Macroscopic and histological analyses. J. Plast. Reconstr. Aesthet. Surg. 2024, 97, 310–319. [Google Scholar] [CrossRef]
- Suami, H.; Scaglioni, M.F. Lymphatic Territories (Lymphosomes) in the Rat: An Anatomical Study for Future Lymphatic Research. Plast. Reconstr. Surg. 2017, 140, 945–951. [Google Scholar] [CrossRef]








| LYMPHEDEMA | ||||
|---|---|---|---|---|
| Groups | Total, n | 4th Week Examination | 8th Week Examination | p-Value |
| Group A | 4 | 3 (75%) | 3 (75%) | 1 a |
| Group B | 4 | 2 (50%) | 1 (25%) | 0.999 a |
| Group C | 4 | 3 (75%) | 1 (25%) | 0.500 a |
| p-value | 0.999 b | 0.455 b | ||
| Right | Left | Difference | |||||
|---|---|---|---|---|---|---|---|
| Variables | Groups | n | Mean ± SD | Mean ± SD | Mean [95%CI] | t | p-Value |
| Collagen Accumulation | Group A | 15 | 2.60 ± 0.63 | 0.67 ± 0.62 | 1.93 [1.60–2.26] | 12.614 | <0.001 * |
| Group B | 15 | 1.87 ± 0.74 | 0.60 ± 0.74 | 1.27 [1.01–1.52] | 10.717 | <0.001 * | |
| Group C | 15 | 2.27 ± 0.80 | 0.53 ± 0.64 | 1.73 [1.48–1.99] | 14.666 | <0.001 * | |
| F | 3.814 | 0.150 | 6.827 | ||||
| p-value | 0.030 * | 0.861 | 0.003 * | ||||
| Difference ** | a > b | b < a, c | |||||
| Lyve-1 Staining | Group A | 15 | 102.33 ± 16.68 | 58.67 ± 7.19 | 43.67 [34.46–52.88] | 10.168 | <0.001 * |
| Group B | 15 | 136.33 ± 15.52 | 75.67 ± 11.47 | 60.67 [50.58–70.75] | 12.902 | <0.001 * | |
| Group C | 15 | 120.67 ± 16.02 | 66.67 ± 9.00 | 54.00 [43.06–64.94] | 10.590 | <0.001 * | |
| F | 16.800 | 12.316 | 3.307 | ||||
| p-value | <0.001 * | <0.001 * | 0.046 * | ||||
| Difference ** | b > c > a | b > a, c | b > a | ||||
| Arginase-1 Staining | Group A | 15 | 75.60 ± 8.15 | 25.07 ± 4.95 | 50.53 [45.25–55.82] | 20.503 | <0.001 * |
| Group B | 15 | 83.73 ± 11.08 | 32.00 ± 8.59 | 51.73 [44.42–59.04] | 15.180 | <0.001 * | |
| Group C | 15 | 82.00 ± 7.13 | 29.07 ± 7.81 | 52.93 [47.24–58.63] | 19.946 | <0.001 * | |
| F | 3.441 | 3.422 | 0.175 | ||||
| p-value | 0.041 * | 0.042 * | 0.840 | ||||
| Difference ** | b > a | b > a | NA | ||||
| IL-12 Staining | Group A | 15 | 44.00 ± 6.23 | 83.20 ± 8.27 | −39.20 [(−44.20)–(34.20)] | 16.807 | <0.001 * |
| Group B | 15 | 30.67 ± 4.82 | 77.73 ± 12.28 | −47.07 [(−53.15)–(−40.99)] | 16.606 | <0.001 * | |
| Group C | 15 | 36.80 ± 6.36 | 80.13 ± 10.89 | −43.33 [(−51.52)–(−35.14)] | 11.349 | <0.001 * | |
| F | 19.544 | 1.000 | 1.656 | ||||
| p-value | <0.001 * | 0.376 | 0.203 | ||||
| Difference ** | a > c > b | NA | NA |
Disclaimer/Publisher’s Note: The statements, opinions and data contained in all publications are solely those of the individual author(s) and contributor(s) and not of MDPI and/or the editor(s). MDPI and/or the editor(s) disclaim responsibility for any injury to people or property resulting from any ideas, methods, instructions or products referred to in the content. |
© 2024 by the authors. Published by MDPI on behalf of the Lithuanian University of Health Sciences. Licensee MDPI, Basel, Switzerland. This article is an open access article distributed under the terms and conditions of the Creative Commons Attribution (CC BY) license (https://creativecommons.org/licenses/by/4.0/).
Share and Cite
Aksöyler, D.; Kozanoğlu, E.; Korkut, M.; Akpınar, Ö.F.; Çaylı, M.; Yücel, H.C.; Akalın, B.; Özdemir, İ.; Sağ, F.B.; Solakoğlu, S.; et al. Evaluation of the Effectiveness of Active Vitamin D Use in Experimental Rat Lymphedema Model. Medicina 2024, 60, 1788. https://doi.org/10.3390/medicina60111788
Aksöyler D, Kozanoğlu E, Korkut M, Akpınar ÖF, Çaylı M, Yücel HC, Akalın B, Özdemir İ, Sağ FB, Solakoğlu S, et al. Evaluation of the Effectiveness of Active Vitamin D Use in Experimental Rat Lymphedema Model. Medicina. 2024; 60(11):1788. https://doi.org/10.3390/medicina60111788
Chicago/Turabian StyleAksöyler, Dicle, Erol Kozanoğlu, Mehmet Korkut, Ömer Faruk Akpınar, Muhammet Çaylı, Hüseyin Can Yücel, Bora Akalın, İlkay Özdemir, Fatma Beyza Sağ, Seyhun Solakoğlu, and et al. 2024. "Evaluation of the Effectiveness of Active Vitamin D Use in Experimental Rat Lymphedema Model" Medicina 60, no. 11: 1788. https://doi.org/10.3390/medicina60111788
APA StyleAksöyler, D., Kozanoğlu, E., Korkut, M., Akpınar, Ö. F., Çaylı, M., Yücel, H. C., Akalın, B., Özdemir, İ., Sağ, F. B., Solakoğlu, S., Mayadağlı, A., Arıncı, R. A., & Losco, L. (2024). Evaluation of the Effectiveness of Active Vitamin D Use in Experimental Rat Lymphedema Model. Medicina, 60(11), 1788. https://doi.org/10.3390/medicina60111788

