Detection of Neuroendocrine Tumours by Enteroscopy: A Case Report
Abstract
:1. Introduction
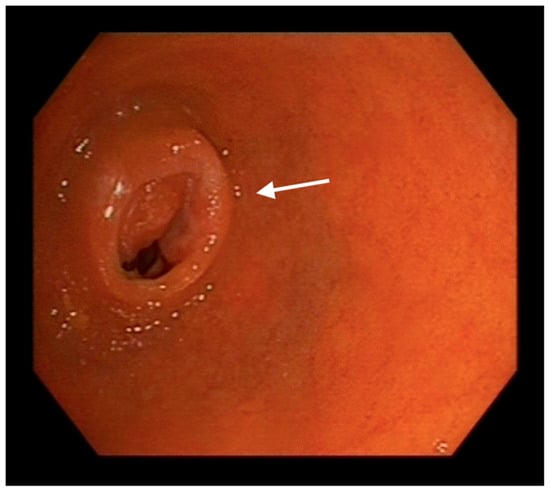
2. Case Presentation
3. Discussion
4. Conclusions
Author Contributions
Funding
Institutional Review Board Statement
Informed Consent Statement
Data Availability Statement
Conflicts of Interest
References
- Gonzalez, R.S. Diagnosis and Management of Gastrointestinal Neuroendocrine Neoplasms. Surg. Pathol. Clin. 2020, 13, 377–397. [Google Scholar] [CrossRef] [PubMed]
- Soto-Solís, R.; Romano-Munive, A.F.; Santana de Anda, K.; Barreto-Zuñiga, R. Factores relacionados a tumores neuroendocrinos gástricos. Rev. Gastroenterol. México 2019, 84, 52–56. [Google Scholar] [CrossRef] [PubMed]
- Volante, M.; Grillo, F.; Massa, F.; Maletta, F.; Mastracci, L.; Campora, M.; Ferro, J.; Vanoli, A.; Papotti, M. Neuroendocrine neoplasms of the appendix, colon and rectum. Pathologica 2021, 113, 19–27. [Google Scholar] [CrossRef] [PubMed]
- Rondonotti, E.; Spada, C.; Adler, S.; May, A.; Despott, E.J.; Koulaouzidis, A.; Panter, S.; Domagk, D.; Fernandez-Urien, I.; Rahmi, G.; et al. Small-bowel capsule endoscopy and device-assisted enteroscopy for diagnosis and treatment of small-bowel disorders: European Society of Gastrointestinal Endoscopy (ESGE) Technical Review. Endoscopy 2018, 50, 423–446. [Google Scholar] [CrossRef]
- Oronsky, B.; Ma, P.C.; Morgensztern, D.; Carter, C.A. Nothing But NET: A Review of Neuroendocrine Tumors and Carcinomas. Neoplasia 2017, 19, 991–1002. [Google Scholar] [CrossRef]
- Sanli, Y.; Garg, I.; Kandathil, A.; Kendi, T.; Zanetti, M.J.B.; Kuyumcu, S.; Subramaniam, R.M. Neuroendocrine Tumor Diagnosis and Management: 68Ga-DOTATATE PET/CT. AJR Am. J. Roentgenol. 2018, 211, 267–277. [Google Scholar] [CrossRef]
- Lamberts, S.W.; Hofland, L.J.; Nobels, F.R. Neuroendocrine tumor markers. Front. Neuroendocrinol. 2001, 22, 309–339. [Google Scholar] [CrossRef]
- Patel, A.; Vedantam, D.; Poman, D.S.; Motwani, L.; Asif, N. Obscure Gastrointestinal Bleeding and Capsule Endoscopy: A Win-Win Situation or Not? Cureus 2022, 14, e27137. [Google Scholar] [CrossRef]
- Singeap, A.-M.; Cojocariu, C.; Girleanu, I.; Huiban, L.; Sfarti, C.; Cuciureanu, T.; Chiriac, S.; Stanciu, C.; Trifan, A. Clinical Impact of Small Bowel Capsule Endoscopy in Obscure Gastrointestinal Bleeding. Medicina 2020, 56, 548. [Google Scholar] [CrossRef]
- Bozhkov, V.; Magjov, R.; Chernopolsky, P.; Arnaudov, P.; Plachkov, I.; Ivanov, T. Small Intestinal Tumors. Khirurgiia 2015, 81, 4–8. [Google Scholar]
- Abu-Hamda, E.M.; Hattab, E.M.; Lynch, P.M. Small bowel tumors. Curr. Gastroenterol. Rep. 2003, 5, 386–393. [Google Scholar] [CrossRef] [PubMed]
- Dasari, A.; Shen, C.; Halperin, D.; Zhao, B.; Zhou, S.; Xu, Y.; Shih, T.; Yao, J.C. Trends in the Incidence, Prevalence, and Survival Outcomes in Patients With Neuroendocrine Tumors in the United States. JAMA Oncol. 2017, 3, 1335–1342. [Google Scholar] [CrossRef] [PubMed]
- Assarzadegan, N.; Montgomery, E. What is New in the 2019 World Health Organization (WHO) Classification of Tumors of the Digestive System: Review of Selected Updates on Neuroendocrine Neoplasms, Appendiceal Tumors, and Molecular Testing. Arch. Pathol. Lab. Med. 2021, 145, 664–677. [Google Scholar] [CrossRef] [PubMed]
- Rindi, G.; Mete, O.; Uccella, S.; Basturk, O.; La Rosa, S.; Brosens, L.A.A.; Ezzat, S.; de Herder, W.W.; Klimstra, D.S.; Papotti, M.; et al. Overview of the 2022 WHO Classification of Neuroendocrine Neoplasms. Endocr. Pathol. 2022, 33, 115–154. [Google Scholar] [CrossRef]
- Ito, T.; Masui, T.; Komoto, I.; Doi, R.; Osamura, R.Y.; Sakurai, A.; Ikeda, M.; Takano, K.; Igarashi, H.; Shimatsu, A.; et al. JNETS clinical practice guidelines for gastroenteropancreatic neuroendocrine neoplasms: Diagnosis, treatment, and follow-up: A synopsis. J. Gastroenterol. 2021, 56, 1033–1044. [Google Scholar] [CrossRef]
- Rindi, G.; Klöppel, G.; Alhman, H.; Caplin, M.; Couvelard, A.; de Herder, W.W.; Erikssson, B.; Falchetti, A.; Falconi, M.; Komminoth, P.; et al. TNM staging of foregut (neuro)endocrine tumors: A consensus proposal including a grading system. Virchows Arch. 2006, 449, 395–401. [Google Scholar] [CrossRef]
- Cha, B.; Shin, J.; Ko, W.J.; Kwon, K.S.; Kim, H. Prognosis of incompletely resected small rectal neuroendocrine tumor using endoscope without additional treatment. BMC Gastroenterol. 2022, 22, 293. [Google Scholar] [CrossRef] [PubMed]
- Barsouk, A.; Rawla, P.; Barsouk, A.; Thandra, K.C. Epidemiology of Cancers of the Small Intestine: Trends, Risk Factors, and Prevention. Med. Sci. 2019, 7, 46. [Google Scholar] [CrossRef]
- Pavel, M.; O’’Toole, D.; Costa, F.; Capdevila, J.; Gross, D.; Kianmanesh, R.; Krenning, E.; Knigge, U.; Salazar, R.; Pape, U.-F.; et al. ENETS Consensus Guidelines Update for the Management of Distant Metastatic Disease of Intestinal, Pancreatic, Bronchial Neuroendocrine Neoplasms (NEN) and NEN of Unknown Primary Site. Neuroendocrinology 2016, 103, 172–185. [Google Scholar] [CrossRef]
- Kunovský, L.; Dastych, M.; Robek, O.; Svaton, R.; Vlazny, J.; Hustý, J.; Eid, M.; Poredska, K.; Kysela, P.; Kala, Z. Multiple neuroendocrine tumor of the small bowel: A case report and a review of literature. Vnitr. Lek. 2018, 64, 966–969. [Google Scholar] [CrossRef]
- Zhang, Z.-H.; Qiu, C.-H.; Li, Y. Different roles of capsule endoscopy and double-balloon enteroscopy in obscure small intestinal diseases. World J. Gastroenterol. WJG 2015, 21, 7297–7304. [Google Scholar] [CrossRef]
- Ethun, C.G.; Postlewait, L.M.; Baptiste, G.G.; McInnis, M.R.; Cardona, K.; Russell, M.C.; Kooby, D.A.; Staley, C.A.; Maithel, S.K. Small bowel neuroendocrine tumors: A critical analysis of diagnostic work-up and operative approach. J. Surg. Oncol. 2016, 114, 671–676. [Google Scholar] [CrossRef] [PubMed]
- Park, S.B. Application of double-balloon enteroscopy for small bowel tumors. Clin. Endosc. 2023, 56, 53–54. [Google Scholar] [CrossRef] [PubMed]
- Manguso, N.; Gangi, A.; Johnson, J.; Harit, A.; Nissen, N.; Jamil, L.; Lo, S.; Wachsman, A.; Hendifar, A.; Amersi, F. The role of pre-operative imaging and double balloon enteroscopy in the surgical management of small bowel neuroendocrine tumors: Is it necessary? J. Surg. Oncol. 2018, 117, 207–212. [Google Scholar] [CrossRef] [PubMed]
- Köseoğlu, H.; Duzenli, T.; Sezikli, M. Gastric neuroendocrine neoplasms: A review. World J. Clin. Cases 2021, 9, 7973–7985. [Google Scholar] [CrossRef] [PubMed]
- Ito, T.; Lee, L.; Jensen, R.T. Treatment of Symptomatic Neuroendocrine Tumor Syndromes: Recent Advances and Controversies. Expert Opin. Pharmacother. 2016, 17, 2191–2205. [Google Scholar] [CrossRef] [PubMed]
- Patient-Derived Xenograft (PDX) Models, Applications and Challenges in Cancer Research—PMC. Available online: https://www.ncbi.nlm.nih.gov/pmc/articles/PMC9088152/ (accessed on 8 August 2023).




Disclaimer/Publisher’s Note: The statements, opinions and data contained in all publications are solely those of the individual author(s) and contributor(s) and not of MDPI and/or the editor(s). MDPI and/or the editor(s) disclaim responsibility for any injury to people or property resulting from any ideas, methods, instructions or products referred to in the content. |
© 2023 by the authors. Licensee MDPI, Basel, Switzerland. This article is an open access article distributed under the terms and conditions of the Creative Commons Attribution (CC BY) license (https://creativecommons.org/licenses/by/4.0/).
Share and Cite
Ortega Larrode, A.; Farrais Villalba, S.; Guerrero Muñoz, C.; Blas Jhon, L.; Martin Relloso, M.J.; Sanchez-Fayos Calabuig, P.; Calero Baron, D.; Varela Silva, A.; Porres Cubero, J.C. Detection of Neuroendocrine Tumours by Enteroscopy: A Case Report. Medicina 2023, 59, 1469. https://doi.org/10.3390/medicina59081469
Ortega Larrode A, Farrais Villalba S, Guerrero Muñoz C, Blas Jhon L, Martin Relloso MJ, Sanchez-Fayos Calabuig P, Calero Baron D, Varela Silva A, Porres Cubero JC. Detection of Neuroendocrine Tumours by Enteroscopy: A Case Report. Medicina. 2023; 59(8):1469. https://doi.org/10.3390/medicina59081469
Chicago/Turabian StyleOrtega Larrode, Adriana, Sergio Farrais Villalba, Claudia Guerrero Muñoz, Leonardo Blas Jhon, Maria Jesus Martin Relloso, Paloma Sanchez-Fayos Calabuig, Daniel Calero Baron, Andres Varela Silva, and Juan Carlos Porres Cubero. 2023. "Detection of Neuroendocrine Tumours by Enteroscopy: A Case Report" Medicina 59, no. 8: 1469. https://doi.org/10.3390/medicina59081469
APA StyleOrtega Larrode, A., Farrais Villalba, S., Guerrero Muñoz, C., Blas Jhon, L., Martin Relloso, M. J., Sanchez-Fayos Calabuig, P., Calero Baron, D., Varela Silva, A., & Porres Cubero, J. C. (2023). Detection of Neuroendocrine Tumours by Enteroscopy: A Case Report. Medicina, 59(8), 1469. https://doi.org/10.3390/medicina59081469

