Ameliorative Potential of Donepezil with or without Prednisolone in Bleomycin-Induced Pulmonary Fibrosis in Rats: Involvement of the Anti-Inflammatory, Antioxidant, and the Antifibrotic Pathways
Abstract
1. Introduction
2. Materials and Methods
2.1. Drugs and Chemicals
2.2. Animals and Groups
2.3. Lung Dissection and Bronchoalveolar Lavage (BAL)
2.4. BALF Study for the Total and Differential Leucocytic Counts
2.5. Determination of Tissue Transforming Growth Factor β1 (TGF-β1), Interleukin 1 Alpha (IL-1α), Interleukin 6 (IL-6) and Nucleotide-Binding Domain-like Receptor Family, Pyrin Domain-Containing 3 (NLRP3) Inflammasome Levels
2.6. Determination of the Oxidant-Antioxidant Balance in the Pulmonary Tissues
2.7. Histopathological Examination of the Pulmonary Tissues
2.8. Immunohistochemical (IHC) Detection of Nuclear Factor Kappa B (NF-κB) p65 in the Pulmonary Tissues
2.9. Statistical Analysis
3. Results
3.1. Donepezil with or without Prednisolone Ameliorated the Effect of BLM Administration on the Total and Differential Leucocytic Counts of BALF (Cells/mL)
3.2. Donepezil with or without Prednisolone Reversed the Changes in the Tissue Levels of TGF-β1, IL-1α, IL-6, and NLRP3 Inflammasome Elicited by BLM Administration
3.3. Donepezil with or without Prednisolone Restored the Pro-Oxidant/Antioxidant Balance in the Pulmonary Tissues
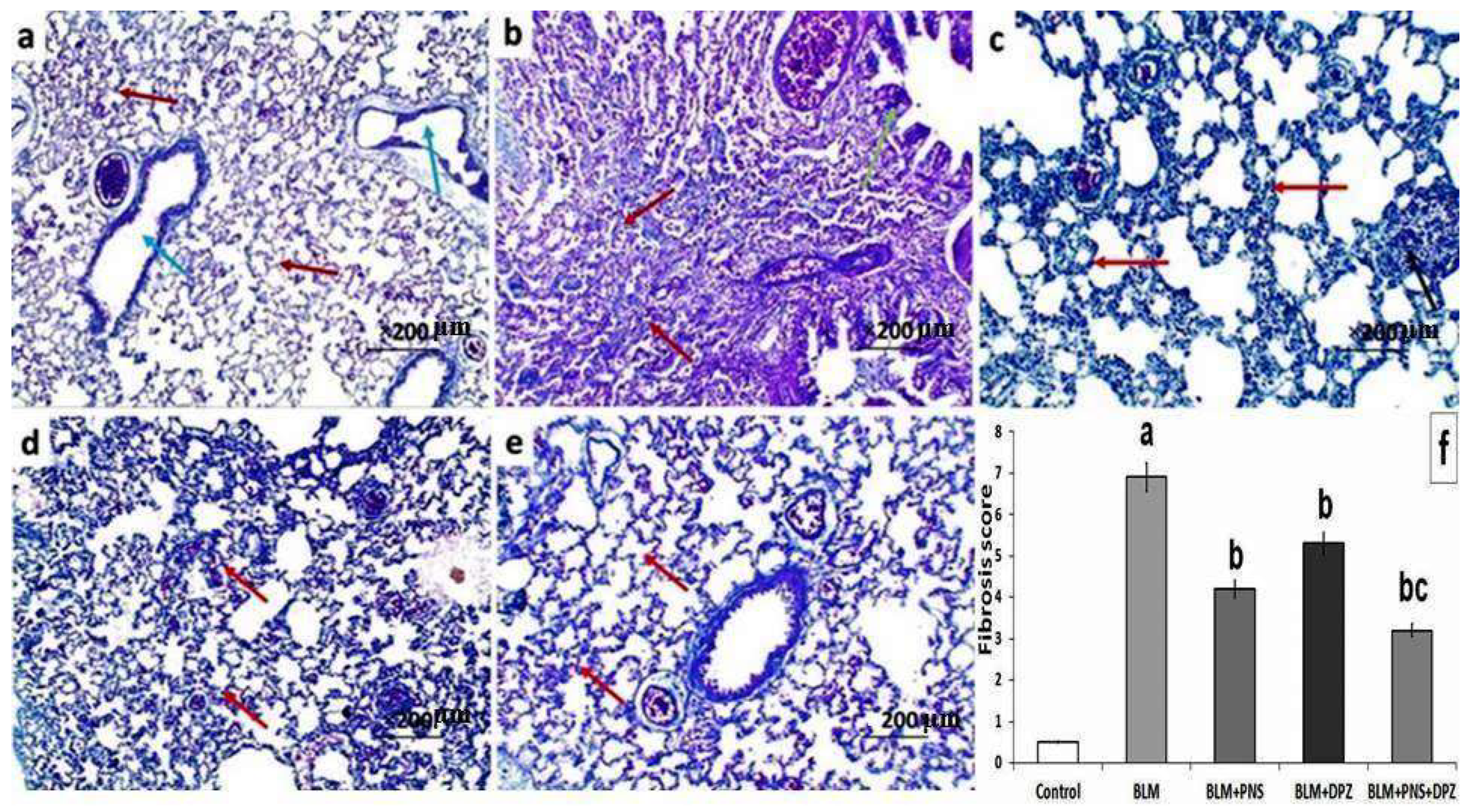
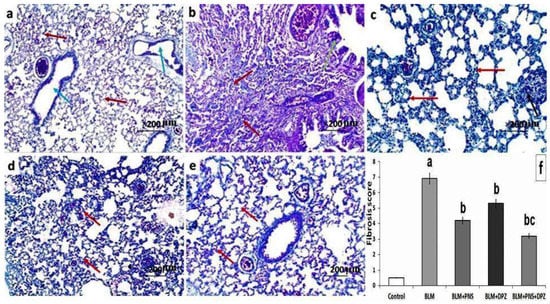
3.4. Donepezil with or without Prednisolone Combatted the Effect of BLM Administration on the Histopathological Picture of the Pulmonary Tissues
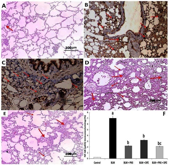
3.5. Donepezil with or without Prednisolone Mitigated the Effect of BLM Administration on the Immunohistochemical Expression of NF-κB (p65) in the Lung Tissue Sections
4. Discussion
5. Conclusions
Author Contributions
Funding
Institutional Review Board Statement
Informed Consent Statement
Data Availability Statement
Acknowledgments
Conflicts of Interest
References
- Shariatia, S.; Kalantarc, H.; Pashmforooshe, M.; Mansourif, E.; Khodayar, M.J. Epicatechin protective effects on bleomycin-induced pulmonary oxidative stress and fibrosis in mice. Biomed. Pharmacother. 2019, 114, 108776. [Google Scholar] [CrossRef]
- Raghu, G.; Collard, H.R.; Egan, J.J.; Martinez, F.J.; Behr, J.; Brown, K.K.; Colby, T.V.; Cordier, J.-F.; Flaherty, K.R.; Lasky, J.A. An official ATS/ERS/JRS/ALAT statement: Idiopathic pulmonary fibrosis: Evidence-based guidelines for diagnosis and management. Am. J. Respir. Crit. Care Med. 2011, 183, 788–824. [Google Scholar] [CrossRef] [PubMed]
- Aytemur, Z.A.; Hacievliyagil, S.S.; Iraz, M.; Samdanci, E.; Ozerol, E.; Kuku, I.; Nurkabulov, Z.; Yildiz, K. Effects of iloprost on bleomycin-induced pulmonary fibrosis in rats compared with methyl-prednisolone. Rev. Port. Pneumol. 2012, 18, 272–277. [Google Scholar] [CrossRef]
- Zaafan, M.A.; Haridy, A.R.; Abdelhamid, A.M. Amitriptyline attenuates bleomycin-induced pulmonary fibrosis: Modulation of the expression of NF-κβ, iNOS, and Nrf2. Naunyn Schmiedebergs Arch. Pharmacol. 2019, 392, 279–286. [Google Scholar] [CrossRef]
- Meng, L.; Zhang, X.; Wang, H.; Dong, H.; Gu, X.; Yu, X.; Liu, Y. Yangyin Yiqi Mixture Ameliorates Bleomycin-Induced Pulmonary Fibrosis in Rats through Inhibiting TGF-β1/Smad Pathway and Epithelial to Mesenchymal Transition. Evid.-Based Complement Altern. Med. 2019, 2019, 2710509. [Google Scholar] [CrossRef]
- Hosseini, S.; Imenshahidi, M.; Hosseinzadeh, H.; Karimi, G. Effects of plant extracts and bioactive compounds on attenuation of bleomycin-induced pulmonary fibrosis. Biomed. Pharmacother. 2018, 107, 1454–1465. [Google Scholar] [CrossRef] [PubMed]
- Walter, N.; Collard, H.R.; King, T.E., Jr. Current perspectives on the treatment of idiopathic pulmonary fibrosis. Proc. Am. Thorac. Soc. 2006, 3, 330–338. [Google Scholar] [CrossRef] [PubMed]
- Jang, H.J.; Yong, S.H.; Leem, A.Y.; Lee, S.H.; Kim, S.Y.; Lee, S.H.; Park, M.S. Corticosteroid responsiveness in patients with acute exacerbation of interstitial lung disease admitted to the emergency department. Sci. Rep. 2021, 11, 5762. [Google Scholar] [CrossRef]
- Reale, M.; Iarlori, C.; Gambi, F.; Lucci, I.; Salvatore, M.; Gambi, D. Acetylcholinesterase inhibitors effects on oncostatin-M, interleukin-1β and interleukin-6 release from lymphocytes of Alzheimer’s disease patients. Exp. Gerontol. 2005, 40, 165–171. [Google Scholar] [CrossRef]
- Benfante, R.; Di Lascio, S.; Cardani, S.; Fornasari, D. Acetylcholinesterase inhibitors targeting the cholinergic anti-inflammatory pathway: A new therapeutic perspective in aging-related disorders. Aging Clin. Exp. Res. 2021, 33, 823–834. [Google Scholar] [CrossRef]
- Cai, P.; Fang, S.Q.; Yang, H.L.; Yang, X.L.; Liu, Q.H.; Kong, L.Y.; Wang, X.B. Donepezil-butylated hydroxytoluene (BHT) hybrids as Anti-Alzheimer’s disease agents with cholinergic, antioxidant, and neuroprotective properties. Eur. J. Med. Chem. 2018, 157, 161–176. [Google Scholar] [CrossRef] [PubMed]
- Yoshiyama, Y.; Kojima, A.; Ishikawa, C.; Arai, K. Anti-inflammatory action of donepezil ameliorates tau pathology, synaptic loss, and neurodegeneration in a tauopathy mouse model. J. Alzheimer’s Dis. 2010, 22, 295–306. [Google Scholar] [CrossRef]
- Fernandez, H.R.; Varma, A.; Flowers, S.A.; Rebeck, G.W. Cancer Chemotherapy Related Cognitive Impairment and the Impact of the Alzheimer’s Disease Risk Factor APOE. Cancers 2020, 12, 3842. [Google Scholar] [CrossRef] [PubMed]
- Sinkus, M.L.; Graw, S.; Freedman, R.; Ross, R.G.; Lester, H.A.; Leonard, S. The human CHRNA7 and CHRFAM7A genes: A review of the genetics, regulation, and function. Neuropharmacology 2015, 96, 274–288. [Google Scholar] [CrossRef] [PubMed]
- Griana, T.P.; Raras, T.Y.M.; Mintaroem, K.; Chozin, I.N.; Wilujeng, C.S. Immunosuppressive activity of goat kefir in a rat model with bleomycin-induced pulmonary fibrosis. Pharmacogn. J. 2020, 12, 1594–1599. [Google Scholar] [CrossRef]
- Rasooli, R.; Pourgholamhosein, F.; Kamali, Y.; Nabipour, F.; Mandegary, A. Combination Therapy with Pirfenidone plus Prednisolone Ameliorates Paraquat-Induced Pulmonary Fibrosis. Inflammation 2018, 41, 134–142. [Google Scholar] [CrossRef]
- Li, M.; Zheng, C.; Kawada, T.; Inagaki, M.; Uemura, K.; Sugimachi, M. Adding the acetylcholinesterase inhibitor, donepezil, to losartan treatment markedly improves long-term survival in rats with chronic heart failure. Eur. J. Heart Fail. 2014, 16, 1056–1065. [Google Scholar] [CrossRef]
- Ashcroft, T.; Simpson, J.M.; Timbrell, V. Simple method of estimating severity of pulmonary fibrosis on a numerical scale. J. Clin. Pathol. 1988, 41, 467–470. [Google Scholar] [CrossRef]
- Andresen, L.; Jørgensen, V.L.; Perner, A.; Hansen, A.; Eugen-Olsen, J.; Rask-Madsen, J. Activation of nuclear factor KappaB in colonic mucosa from patients with collagenous and ulcerative colitis. Gut 2005, 54, 503–509. [Google Scholar] [CrossRef]
- Kinoshita, T.; Goto, T. Molecular mechanisms of pulmonary fibrogenesis and its progression to lung cancer: A review. Int. J. Mol. Sci. 2019, 20, 1461. [Google Scholar] [CrossRef]
- Kabel, A.M.; Estfanous, R.S.; Alrobaian, M.M. Targeting oxidative stress, proinflammatory cytokines, apoptosis and toll like receptor 4 by empagliflozin to ameliorate bleomycin-induced lung fibrosis. Respir. Physiol. Neurobiol. 2020, 273, 103316. [Google Scholar] [CrossRef]
- Yu, X.; Zhang, Y.; Yang, X.; Zhang, X.; Wang, X.; Liu, X.; Yan, Y. The influence of BuqiHuoxueTongluo formula on histopathology and pulmonary function test in bleomycin-induced idiopathic pulmonary fibrosis in rats. Evid.-Based Complement. Altern. Med. 2018, 2018, 8903021. [Google Scholar] [CrossRef]
- Cao, H.; Zhou, X.; Zhang, J.; Huang, X.; Zhai, Y.; Zhang, X.; Chu, L. Hydrogen sulfide protects against bleomycin-induced pulmonary fibrosis in rats by inhibiting NF-κB expression and regulating Th1/Th2 balance. Toxicol. Lett. 2014, 224, 387–394. [Google Scholar] [CrossRef]
- Yao, H.W.; Zhu, J.P.; Zhao, M.H.; Lu, Y. Losartan attenuates bleomycin-induced pulmonary fibrosis in rats. Respiration 2006, 73, 236–242. [Google Scholar] [CrossRef] [PubMed]
- Sleijfer, S. Bleomycin-induced pneumonitis. Chest 2001, 120, 617–624. [Google Scholar] [CrossRef]
- Bazdyrev, E.; Rusina, P.; Panova, M.; Novikov, F.; Grishagin, I.; Nebolsin, V. Lung Fibrosis after COVID-19: Treatment prospects. Pharmaceuticals 2021, 14, 14080807. [Google Scholar] [CrossRef] [PubMed]
- Gamad, N.; Malik, S.; Suchal, K.; Vasisht, S.; Tomar, A.; Arava, S.; Arya, D.S.; Bhatia, J. Metformin alleviates bleomycin-induced pulmonary fibrosis in rats: Pharmacological effects and molecular mechanisms. Biomed. Pharmacother. 2018, 97, 1544–1553. [Google Scholar] [CrossRef]
- Obafemi, T.O.; Owolabi, O.V.; Omiyale, B.O.; Afolabi, B.A.; Ojo, O.A.; Onasanya, A.; Adu, I.A.I.; Rotimi, D. Combination of donepezil and gallic acid improves antioxidant status and cholinesterases activity in aluminum chloride-induced neurotoxicity in Wistar rats. Metab. Brain Dis. 2021, 36, 2511–2519. [Google Scholar] [CrossRef] [PubMed]
- Van Westerloo, D.J.; Giebelen, I.A.; Florquin, S.; Bruno, M.J.; Larosa, G.J.; Ulloa, L.; Tracey, K.J.; van der Poll, T. The vagus nerve and nicotinic receptors modulate experimental pancreatitis severity in mice. Gastroenterology 2006, 130, 1822–1830. [Google Scholar] [CrossRef] [PubMed]
- Guo, Y.; He, Z.; Chen, Z.; Chen, F.; Wang, C.; Zhou, W.; Liu, J.; Liu, H.; Shi, R. Inhibition of Th17 cells by donepezil ameliorates experimental lung fibrosis and pulmonary hypertension. Theranostics 2023, 13, 1826–1842. [Google Scholar] [CrossRef]
- Kim, H.G.; Moon, M.; Choi, J.G.; Park, G.; Kim, A.-J.; Hur, J.; Lee, K.-T.; Oh, M.S. Donepezil inhibits the amyloid-beta oligomer-induced microglial activation in vitro and in vivo. Neurotoxicology 2014, 40, 23–32. [Google Scholar] [CrossRef]
- Villarino, A.V.; Kanno, Y.; Ferdinand, J.R.; O’Shea, J.J. Mechanisms of Jak/STAT signaling in immunity and disease. J. Immunol. 2015, 194, 21–27. [Google Scholar] [CrossRef]
- Prakash, M.; Waiker, P.V.; Chandraprabha, M.N.; Rangarajan, A.; Murthy, K.N.C. Myofibroblast progeny in wound biology and wound healing studies. Wound Repair Reg. 2021, 29, 531–547. [Google Scholar]
- Xiaodan, H.; Yuan, T.; Zhang, J.; Shi, Y.; Li, D.; Dong, Y.; Fan, S. FOXO4 peptide targets myofibroblast ameliorates bleomycin-induced pulmonary fibrosis in mice through ECM-receptor interaction pathway. J. Cell. Mol. Med. 2022, 26, 3269–3280. [Google Scholar]
- Peng, L.; Miao, K.; Zhang, L.; Mou, Y.; Xu, Y.; Xiong, W.; Yu, J.; Wang, Y. Curdione ameliorates bleomycin-induced pulmonary fibrosis by repressing TGF-β-induced fibroblast to myofibroblast differentiation. Resp. Res. 2020, 21, 58. [Google Scholar]
- Tracy, T.S.; Venkataramanan, R.; Glover, D.D.; Caritis, S.N. Temporal changes in drug metabolism (CYP1A2, CYP2D6 and CYP3A Activity) during pregnancy. Am. J. Obstet. Gynecol. 2005, 192, 633–639. [Google Scholar] [CrossRef] [PubMed]
- Villikka, K.; Varis, T.; Backman, J.; Neuvonen, P.; Kivistö, K. Effect of methylprednisolone on CYP3A4-mediated drug metabolism in vivo. Eur. J. Clin. Pharmacol. 2001, 57, 457–460. [Google Scholar] [PubMed]
- Matoulková, P.; Pávek, P.; Malý, J.; Vlček, J. Cytochrome P450 enzyme regulation by glucocorticoids and consequences in terms of drug interaction. Expert Opin. Drug Metab. Toxicol. 2014, 10, 425–435. [Google Scholar] [CrossRef]







Disclaimer/Publisher’s Note: The statements, opinions and data contained in all publications are solely those of the individual author(s) and contributor(s) and not of MDPI and/or the editor(s). MDPI and/or the editor(s) disclaim responsibility for any injury to people or property resulting from any ideas, methods, instructions or products referred to in the content. |
© 2023 by the authors. Licensee MDPI, Basel, Switzerland. This article is an open access article distributed under the terms and conditions of the Creative Commons Attribution (CC BY) license (https://creativecommons.org/licenses/by/4.0/).
Share and Cite
Mina, S.; Elfeky, D.M.; Kabel, A.M.; Hedya, S.E. Ameliorative Potential of Donepezil with or without Prednisolone in Bleomycin-Induced Pulmonary Fibrosis in Rats: Involvement of the Anti-Inflammatory, Antioxidant, and the Antifibrotic Pathways. Medicina 2023, 59, 980. https://doi.org/10.3390/medicina59050980
Mina S, Elfeky DM, Kabel AM, Hedya SE. Ameliorative Potential of Donepezil with or without Prednisolone in Bleomycin-Induced Pulmonary Fibrosis in Rats: Involvement of the Anti-Inflammatory, Antioxidant, and the Antifibrotic Pathways. Medicina. 2023; 59(5):980. https://doi.org/10.3390/medicina59050980
Chicago/Turabian StyleMina, Shery, Dina M. Elfeky, Ahmed M. Kabel, and Sabeha E. Hedya. 2023. "Ameliorative Potential of Donepezil with or without Prednisolone in Bleomycin-Induced Pulmonary Fibrosis in Rats: Involvement of the Anti-Inflammatory, Antioxidant, and the Antifibrotic Pathways" Medicina 59, no. 5: 980. https://doi.org/10.3390/medicina59050980
APA StyleMina, S., Elfeky, D. M., Kabel, A. M., & Hedya, S. E. (2023). Ameliorative Potential of Donepezil with or without Prednisolone in Bleomycin-Induced Pulmonary Fibrosis in Rats: Involvement of the Anti-Inflammatory, Antioxidant, and the Antifibrotic Pathways. Medicina, 59(5), 980. https://doi.org/10.3390/medicina59050980

