Soft Tissue Grafting Procedures before Restorations in the Esthetic Zone: A Minimally Invasive Interdisciplinary Case Report
Abstract
1. Introduction
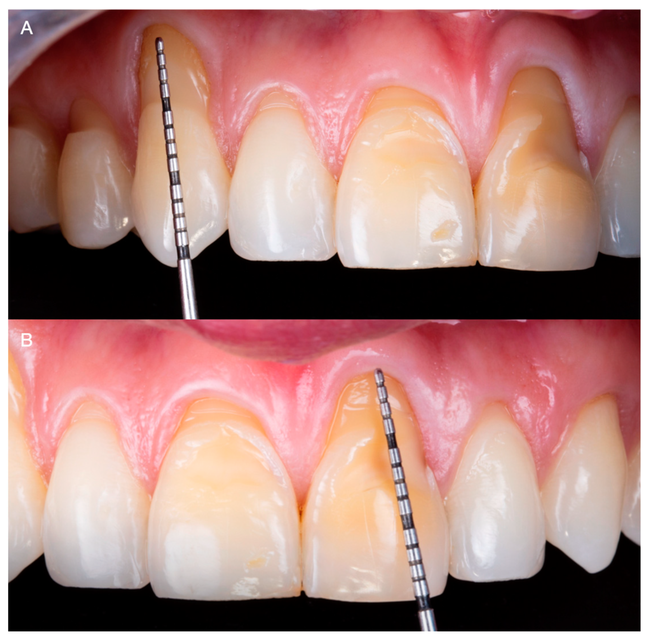
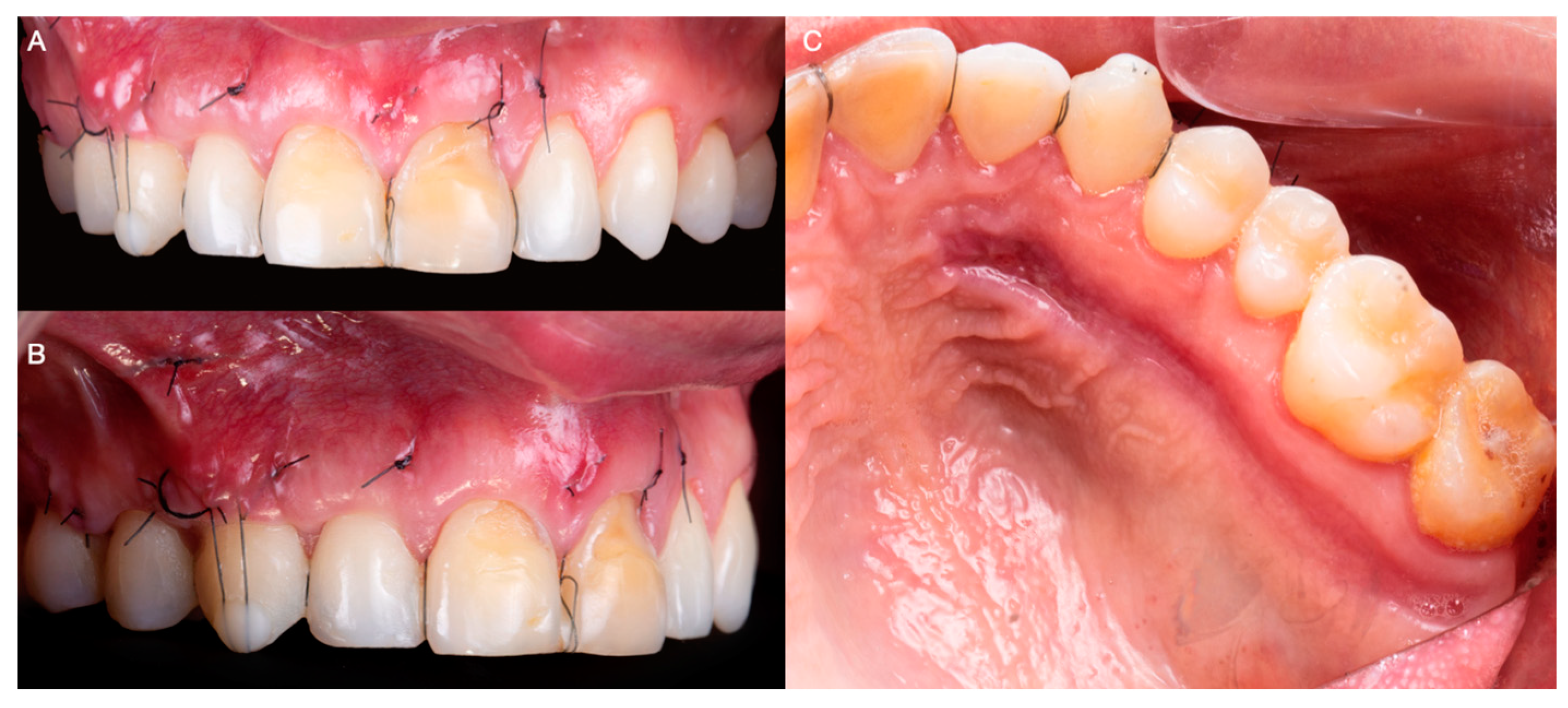
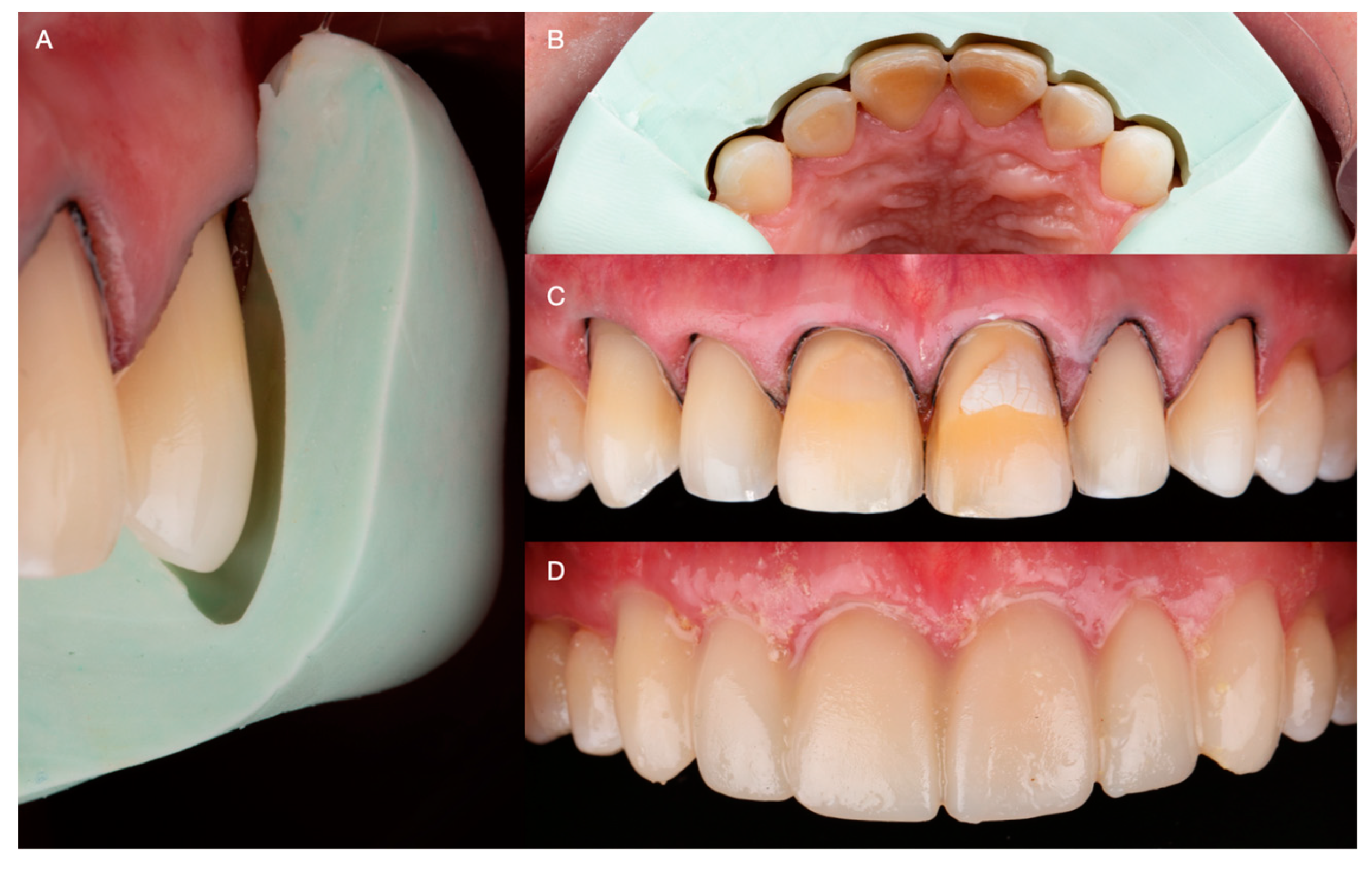
2. Materials and Methods
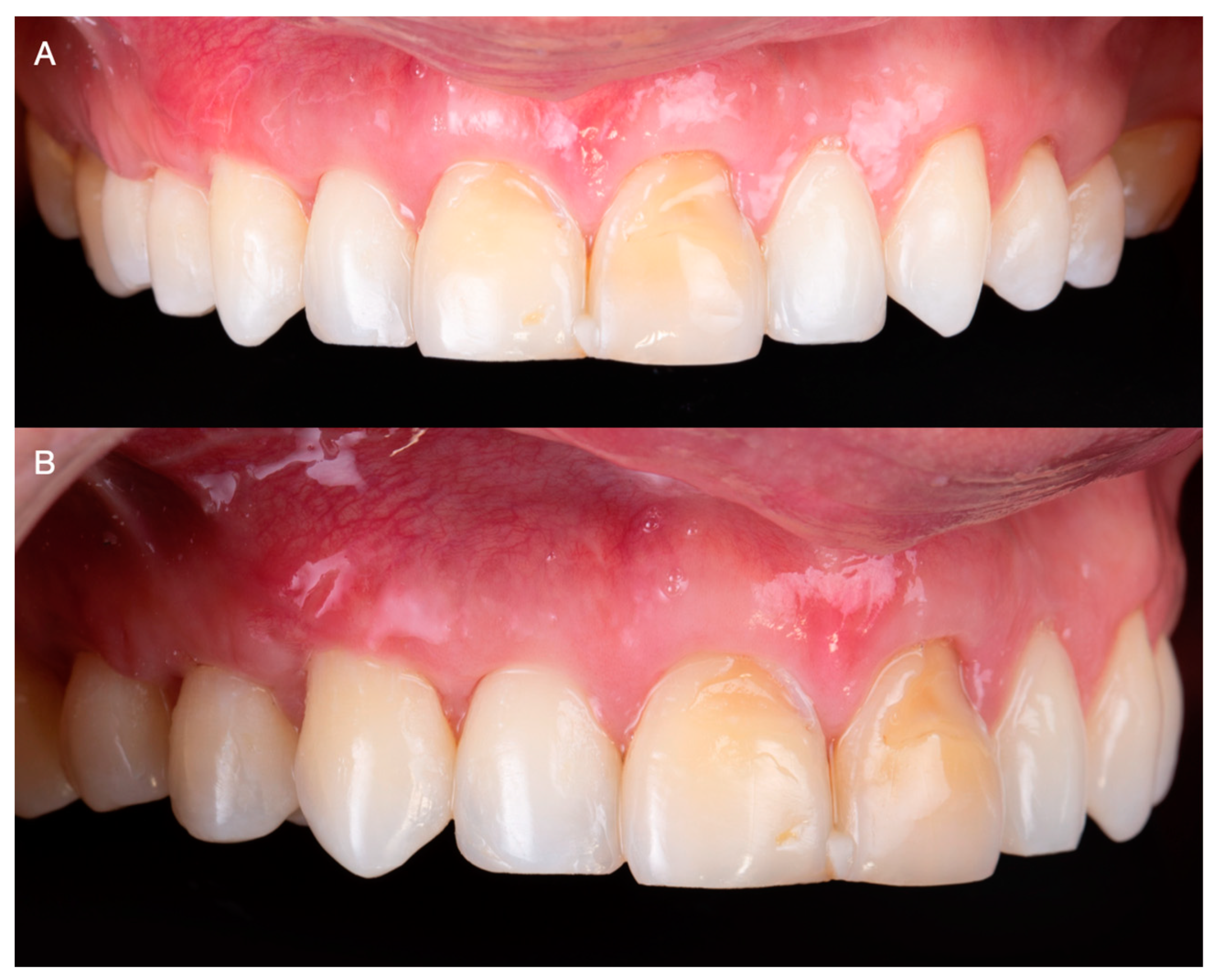
3. Results
4. Discussion
5. Conclusions
Author Contributions
Funding
Institutional Review Board Statement
Informed Consent Statement
Data Availability Statement
Acknowledgments
Conflicts of Interest
References
- Afrashtehfar, K.I.; Bryant, S.R. Understanding the Lived Experience of North American Dental Patients with a Single-Tooth Implant in the Upper Front Region of the Mouth: Protocol for a Qualitative Study. JMIR Res. Protoc. 2021, 10, e25767. [Google Scholar] [CrossRef]
- Jurado, C.A.; Parachuru, V.; Tinoco, J.V.; Guzman-Perez, G.; Tsujimoto, A.; Javvadi, R.; Afrashtehfar, K.I. Diagnostic Mock-Up as a Surgical Reduction Guide for Crown Lengthening: Technique Description and Case Report. Medicina 2022, 58, 1360. [Google Scholar] [CrossRef]
- Roe, P.; Rungcharassaeng, K.; Kan, J.Y.; Patel, R.D.; Campagni, W.V.; Brudvik, J.S. The influence of upper lip length and lip mobility on maxillary incisal exposure. Am. J. Esthet. Dent. 2012, 2, 115–125. [Google Scholar]
- Del Monte, S.; Afrashtehfar, K.I.; Emami, E.; Nader, S.A.; Tamimi, F. Lay preferences for dentogingival esthetic parameters: A systematic review. J. Prosthet. Dent. 2017, 118, 717–724. [Google Scholar] [CrossRef] [PubMed]
- Alikhasi, M.; Yousefi, P.; Afrashtehfar, K.I. Smile Design. Dent. Clin. N. Am. 2022, 66, 477–487. [Google Scholar] [CrossRef] [PubMed]
- Tinoco, J.V.; Jurado, C.A.; Sayed, M.E.; Cortes, J.O.G.; Kaleinikova, Z.; Hernandez, A.; Alshabib, A.; Tsujimoto, A. Conservative approach for management of fractured maxillary central incisors in young adults. Clin. Case Rep. 2020, 8, 2692–2700. [Google Scholar] [CrossRef] [PubMed]
- Langer, B.; Langer, L. Subepithelial Connective Tissue Graft Technique for Root Coverage. J. Periodontol. 1985, 56, 715–720. [Google Scholar] [CrossRef]
- Salama, H.; Salama, M.; Garber, D. The Tunnel Technique in the Periodontal Plastic Treatment of Multiple Adjacent Gingival Recession Defects: A Review. Inside Dent. 2008, 4, 79–81. [Google Scholar]
- Afrashtehfar, K.I.; Jurado, C.A.; Wang, H.-L. For peri–implant soft tissue augmentation, soft tissue substitutes may improve patients’ surgical and postoperative experience compared to autogenous grafts. J. Évid. Based Dent. Pract. 2023, 23, 101835. [Google Scholar] [CrossRef]
- Hürzeler, M.B.; Weng, D. A single-incision technique to harvest subepithelial connective tissue grafts from the palate. Int. J. Periodontics Restor. Dent. 1999, 19, 279–287. [Google Scholar]
- Monnet-Corti, V.; Santini, A.; Glise, J.-M.; Fouque-Deruelle, C.; Dillier, F.-L.; Liébart, M.-F.; Borghetti, A. Connective Tissue Graft for Gingival Recession Treatment: Assessment of the Maximum Graft Dimensions at the Palatal Vault as a Donor Site. J. Periodontol. 2006, 77, 899–902. [Google Scholar] [CrossRef] [PubMed]
- Moore, R.L.; Hill, M. Suturing techniques for periodontal plastic surgery. Periodontology 2000, 11, 103–111. [Google Scholar] [CrossRef] [PubMed]
- Park, J.-B. Clinical showcase. Treatment of gingival recession with subepithelial connective tissue harvested from the maxillary tuberosity by distal wedge procedure. J. Can. Dent. Assoc. 2009, 75, 643–646. [Google Scholar]
- Chambrone, L.; Ortega, M.A.S.; Sukekava, F.; Rotundo, R.; Kalemaj, Z.; Buti, J.; Prato, G.P.P. Root coverage procedures for treating single and multiple recession-type defects: An updated Cochrane systematic review. J. Periodontol. 2019, 90, 1399–1422. [Google Scholar] [CrossRef] [PubMed]
- Veneziani, M. Ceramic laminate veneers: Clinical procedures with a multidisciplinary approach. Int. J. Esthet. Dent. 2017, 12, 426–448. [Google Scholar]
- Jurado, C.A.; AlResayes, S.; Sayed, M.E.; Villalobos-Tinoco, J.; Llanes-Urias, N.; Tsujimoto, A. A customized metal guide for controllable modification of anterior teeth contour prior to minimally invasive preparation. Saudi Dent. J. 2020, 33, 518–523. [Google Scholar] [CrossRef]
- Anterior Veneer Restorations–An Evidence-based Minimal-Intervention Perspective. J. Adhes. Dent. 2021, 23, 91–110. [CrossRef]
- Villalobos-Tinoco, J.; Fischer, N.G.; Jurado, C.A.; Sayed, M.E.; Feregrino-Mendez, M.; Garcia, O.D.L.M.; Tsujimoto, A. Combining a single implant and a veneer restoration in the esthetic zone. Int. J. Esthet. Dent. 2020, 15, 428–439. [Google Scholar]
- Anusavice, K.J.; Shen, C.; Rawls, H.R. Philips Science of Dental Materials, 12th ed.; Elsevier: Amsterdam, The Netherlands, 2012. [Google Scholar]
- Czigola, A.; Abram, E.; Kovacs, Z.I.; Márton, K.; Hermann, P.; Borbely, J. Effects of substrate, ceramic thickness, translucency, and cement shade on the color of CAD/CAM lithium-disilicate crowns. J. Esthet. Restor. Dent. 2019, 31, 457–464. [Google Scholar] [CrossRef]
- Jurado, C.A.; Afrashtehfar, K.I.; Hyer, J.; Alhotan, A. Effect of sintering on the translucency of CAD–CAM lithium disilicate restorations: A comparative in vitro study. J. Prosthodont. 2023, 7, 1–6. [Google Scholar] [CrossRef]
- Peumans, M.; van Meerbeek, B.; Yoshida, Y.; Lambrechts, P.; Vanherle, G. Porcelain veneers bonded to tooth structure: An ul-tra-morphological FE-SEM examination of the adhesive interface. Dent. Mater. 1999, 15, 105–119. [Google Scholar] [CrossRef] [PubMed]
- Morita, R.K.; Hayashida, M.F.; Pupo, Y.M.; Berger, G.; Reggiani, R.D.; Betiol, E.A.G. Minimally Invasive Laminate Veneers: Clinical Aspects in Treatment Planning and Cementation Procedures. Case Rep. Dent. 2016, 2016, 1839793. [Google Scholar] [CrossRef] [PubMed]
- Nanda, T.; Jain, S.; Kaur, H.; Kapoor, D.; Nanda, S.; Jain, R. Root conditioning in periodontology-Revisited. J. Nat. Sci. Biol. Med. 2014, 5, 356–358. [Google Scholar] [CrossRef]
- Jurado, C.A.; Amarillas-Gastelum, C.; Afrashtehfar, K.I.; Argueta-Figueroa, L.; Fischer, N.G.; Alshabib, A. Ceramic and Composite Polishing Systems for Milled Lithium Disilicate Restorative Materials: A 2D and 3D Comparative In Vitro Study. Materials 2022, 15, 5402. [Google Scholar] [CrossRef]
- Santos, G.C., Jr.; Boksman, L.L.; Santos, M.J. CAD/CAM technology and esthetic dentistry: A case report. Compend. Contin. Educ. Dent. 2013, 34, 764. [Google Scholar]
- Jurado, C.A.; Villalobos-Tinoco, J.; Watanabe, H.; Sanchez-Hernandez, R.; Tsujimoto, A. Novel translucent monolithic zirconia fixed restorations in the esthetic zone. Clin. Case Rep. 2022, 10, e05499. [Google Scholar] [CrossRef]
- Poticny, D.; Conrad, R. Predictable aesthetic replacement of a metal-ceramic crown using CAD/CAM technology: A case report. Pract. Proced. Aesthetic Dent. PPAD 2005, 17, 491–496. [Google Scholar] [PubMed]
- Zucchelli, G.; De Sanctis, M. Treatment of Multiple Recession-Type Defects in Patients With Esthetic Demands. J. Periodontol. 2000, 71, 1506–1514. [Google Scholar] [CrossRef]
- Zucchelli, G.; De Sanctis, M. Long-Term Outcome Following Treatment of Multiple Miller Class I and II Recession Defects in Esthetic Areas of the Mouth. J. Periodontol. 2005, 76, 2286–2292. [Google Scholar] [CrossRef]
- Chambrone, L.; Tatakis, D.N. Periodontal Soft Tissue Root Coverage Procedures: A Systematic Review From the AAP Regeneration Workshop. J. Periodontol. 2015, 86, S8–S51. [Google Scholar] [CrossRef]
- Gamal, A.Y.; Mailhot, J.M. The effects of EDTA gel conditioning exposure time on periodontitis-affected human root surfaces: Surface topography and PDL cell adhesion. J. Int. Acad. Periodontol. 2003, 5, 11–22. [Google Scholar] [PubMed]










Disclaimer/Publisher’s Note: The statements, opinions and data contained in all publications are solely those of the individual author(s) and contributor(s) and not of MDPI and/or the editor(s). MDPI and/or the editor(s) disclaim responsibility for any injury to people or property resulting from any ideas, methods, instructions or products referred to in the content. |
© 2023 by the authors. Licensee MDPI, Basel, Switzerland. This article is an open access article distributed under the terms and conditions of the Creative Commons Attribution (CC BY) license (https://creativecommons.org/licenses/by/4.0/).
Share and Cite
Guzman-Perez, G.; Jurado, C.A.; Azpiazu-Flores, F.X.; Munoz-Luna, H.; Afrashtehfar, K.I.; Nurrohman, H. Soft Tissue Grafting Procedures before Restorations in the Esthetic Zone: A Minimally Invasive Interdisciplinary Case Report. Medicina 2023, 59, 822. https://doi.org/10.3390/medicina59050822
Guzman-Perez G, Jurado CA, Azpiazu-Flores FX, Munoz-Luna H, Afrashtehfar KI, Nurrohman H. Soft Tissue Grafting Procedures before Restorations in the Esthetic Zone: A Minimally Invasive Interdisciplinary Case Report. Medicina. 2023; 59(5):822. https://doi.org/10.3390/medicina59050822
Chicago/Turabian StyleGuzman-Perez, Gerardo, Carlos Alberto Jurado, Francisco X. Azpiazu-Flores, Humberto Munoz-Luna, Kelvin I. Afrashtehfar, and Hamid Nurrohman. 2023. "Soft Tissue Grafting Procedures before Restorations in the Esthetic Zone: A Minimally Invasive Interdisciplinary Case Report" Medicina 59, no. 5: 822. https://doi.org/10.3390/medicina59050822
APA StyleGuzman-Perez, G., Jurado, C. A., Azpiazu-Flores, F. X., Munoz-Luna, H., Afrashtehfar, K. I., & Nurrohman, H. (2023). Soft Tissue Grafting Procedures before Restorations in the Esthetic Zone: A Minimally Invasive Interdisciplinary Case Report. Medicina, 59(5), 822. https://doi.org/10.3390/medicina59050822

