Foetal Intrapartum Compromise at Term: Could COVID-19 Infection Be Involved? A Case Report
Abstract
1. Introduction
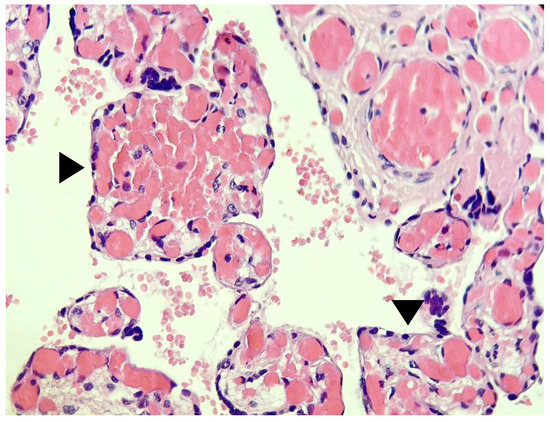
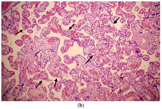
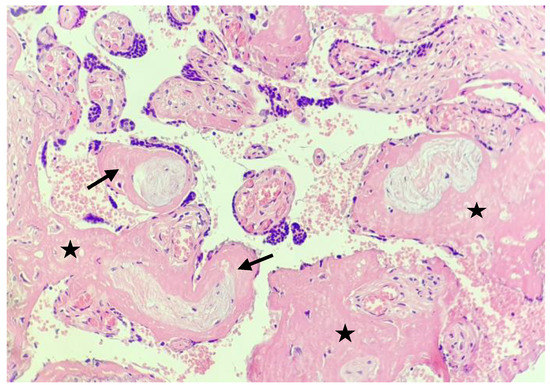
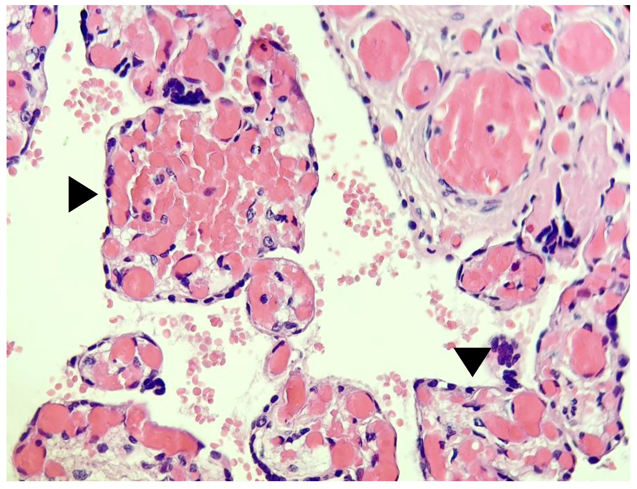
2. Case Report
2.1. Prenatal History
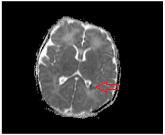
2.2. Neonatal Course
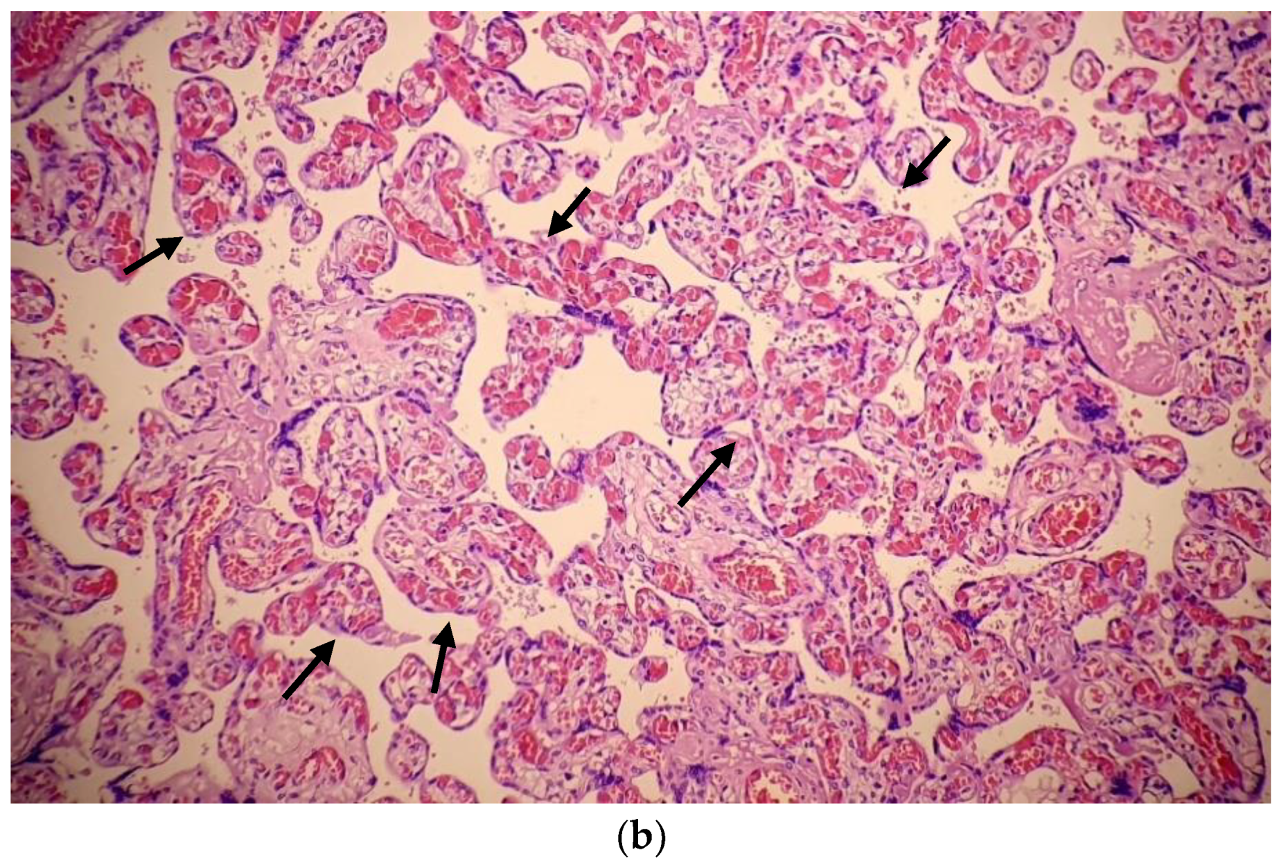
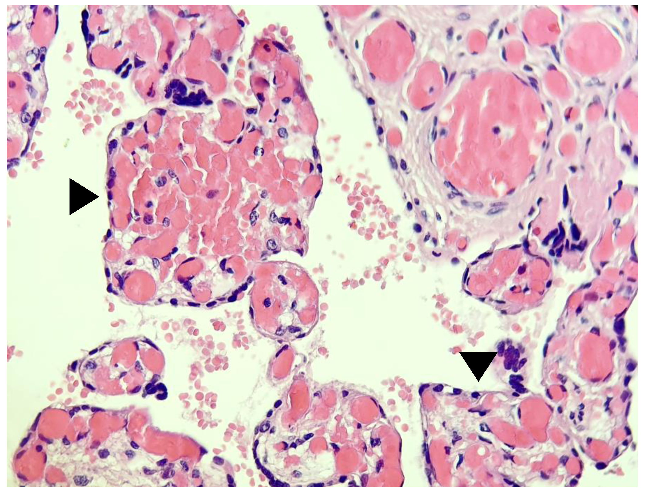
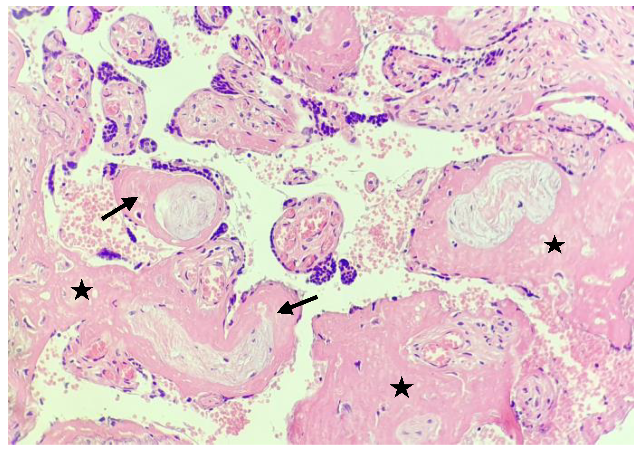
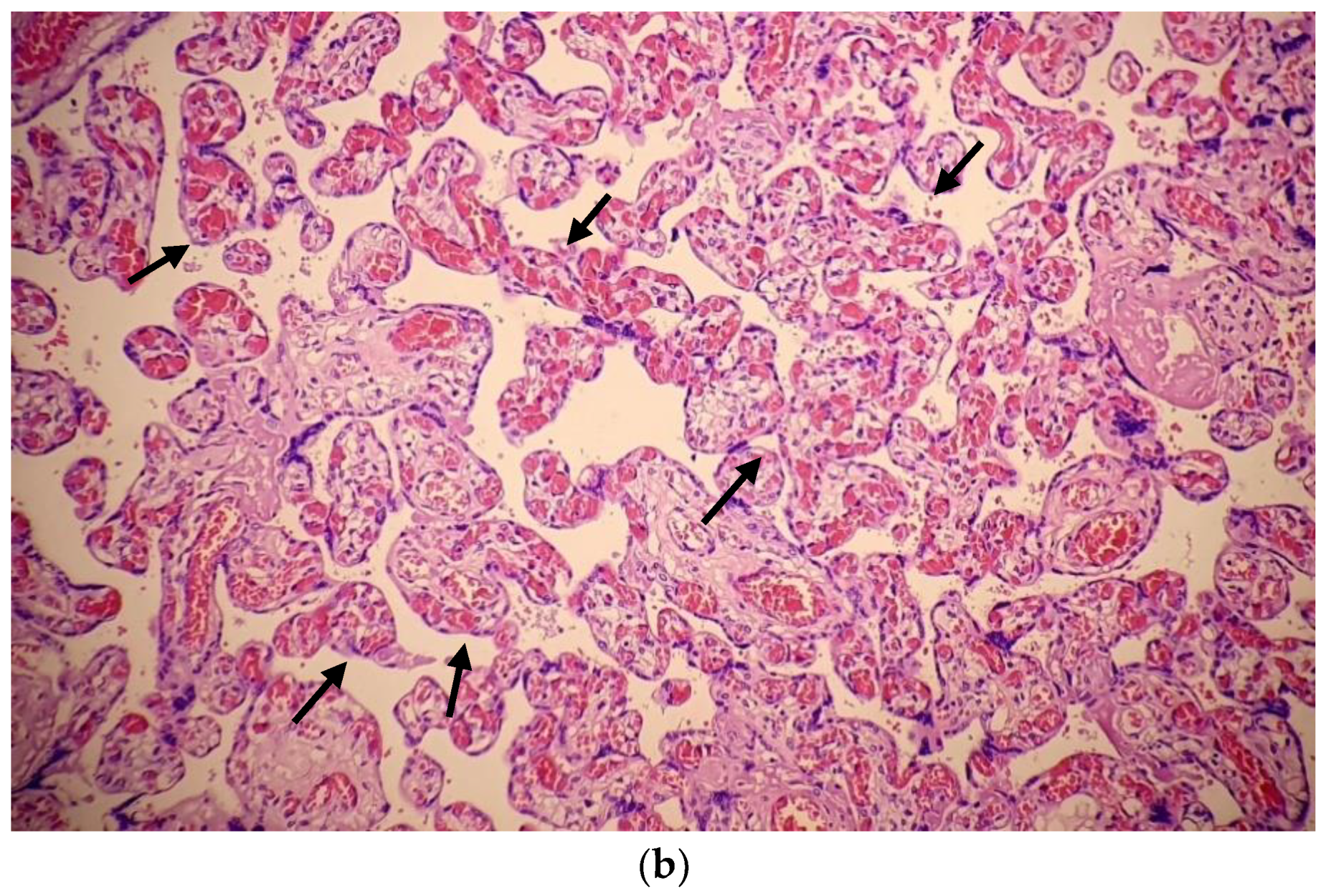
3. Discussion
4. Conclusions
Author Contributions
Funding
Institutional Review Board Statement
Informed Consent Statement
Data Availability Statement
Conflicts of Interest
References
- D’Antonio, F.; Sen, C.; Di Mascio, D.; Galindo, A.; Villalain, C.; Herraiz, I.; Arisoy, R.; Ovayolu, A.; Eroğlu, H.; Canales, M.G.; et al. Maternal and perinatal outcomes in high compared to low risk pregnancies complicated by severe acute respiratory syndrome coronavirus 2 infection (phase 2): The World Association of Perinatal Medicine working group on coronavirus disease 2019. Am. J. Obstet. Gynecol. MFM 2021, 3, 100329. [Google Scholar] [CrossRef] [PubMed]
- Di Mascio, D.; Sen, C.; Saccone, G.; Galindo, A.; Grünebaum, A.; Yoshimatsu, J.; Stanojevic, M.; Kurjak, A.; Chervenak, F.; Suárez, M.J.R.; et al. Risk factors associated with adverse fetal outcomes in pregnancies affected by Coronavirus disease 2019 (COVID-19): A secondary analysis of the WAPM study on COVID-19. J. Périnat. Med. 2020, 48, 950–958. [Google Scholar] [CrossRef] [PubMed]
- Wei, S.Q.; Bilodeau-Bertrand, M.; Liu, S.; Auger, N. The impact of COVID-19 on pregnancy outcomes: A systematic review and meta-analysis. Can. Med. Assoc. J. 2021, 193, E540–E548. [Google Scholar] [CrossRef]
- Auriti, C.; De Rose, D.U.; Santisi, A.; Martini, L.; Piersigilli, F.; Bersani, I.; Ronchetti, M.P.; Caforio, L. Pregnancy and viral infections: Mechanisms of fetal damage, diagnosis and prevention of neonatal adverse outcomes from cytomegalovirus to SARS-CoV-2 and Zika virus. Biochim. Biophys. Acta Mol. Basis Dis. 2021, 1867, 166198. [Google Scholar] [CrossRef]
- Pavageau, L.; Sanchez, P.J.; Brown, L.S.; Chalak, L. Inter-rater reliability of the modified Sarnat examination in preterm infants at 32–36 weeks’ gestation. Pediatr. Res. 2020, 87, 697–702. [Google Scholar] [CrossRef]
- Shankaran, S.; Laptook, A.R.; Ehrenkranz, R.A.; Tyson, J.E.; McDonald, S.A.; Donovan, E.F.; Fanaroff, A.A.; Poole, W.K.; Wright, L.L.; Higgins, R.D.; et al. Whole-body hypothermia for neonates with hypoxic-ischemic encephalopathy. N. Engl. J. Med. 2005, 353, 1574–1584. [Google Scholar] [CrossRef]
- Azzopardi, D.V.; Strohm, B.; Edwards, A.D.; Dyet, L.; Halliday, H.L.; Juszczak, E.; Kapellou, O.; Levene, M.; Marlow, N.; Porter, E.; et al. Moderate hypothermia to treat perinatal asphyxia encephalopathy. N. Engl. J. Med. 2009, 361, 1349–1358. [Google Scholar] [CrossRef]
- Wisnowski, J.L.; Wintermark, P.; Bonifacio, S.L.; Smyser, C.D.; Barkovich, A.J.; Edwards, A.D.; de Vries, L.S.; Inder, T.E.; Chau, V.; Guidelines, N.B. Publications Committee Neuroimaging in term newborns with neonatal encephalopathy. Semnin. Fetal Neonatal. Med. 2021, 26, 101304. [Google Scholar] [CrossRef]
- El-Dib, M.; Szakmar, E.; Chakkarapani, E.; Aly, H. Challenges in respiratory management during therapeutic hypothermia for neonatal encephalopathy. Semin. Fetal Neonatal Med. 2021, 26, 101263. [Google Scholar] [CrossRef]
- Groenendal, F.; De Vooght, K.M.K.; van Bel, F. Blood Gas Values during Hypothermia in Asphyxiated Term Neonates. Pediatrics 2009, 123, 170–172. [Google Scholar] [CrossRef]
- Chalak, L.; Hellstrom-Westas, L.; Bonifacio, S.; Tsuchida, T.; Chock, V.; El-Dib, M.; Massaro, A.; Garcia-Alix, A. Bedside and laboratory neuromonitoring in neonatal encephalopathy. Semin. Fetal Neonatal Med. 2021, 26, 101273. [Google Scholar] [CrossRef]
- Thoresen, M.; Liu, X.; Jary, S.; Brown, E.; Sabir, H.; Stone, J.; Cowan, F.; Karlsson, M. Lactate dehydrogenase in hypothermia-treated newborn infants with hypoxic-ischaemic encephalopathy. Acta Paediatr. 2012, 101, 1038–1044. [Google Scholar] [CrossRef]
- Kanodia, P.; Shrestha, S.; Gautam, S.; Chawla, S. Serum Creatine Kinase Muscle-Brain Fraction (CK-MB) and Lactate Dehydrogenase (LDH) as Markers of Perinatal Asphyxia in Term Neonates. JNGMC 2019, 17, 2–6. [Google Scholar] [CrossRef]
- Rodd, C.; Schwieger-Briel, A.; Hagmann, C. Subcutaneous fat necrosis associated with hypercalcemia in neonates with neonatal encephalopathy treated with therapeutic hypothermia. Semin. Fetal Neonatal Med. 2021, 26. [Google Scholar] [CrossRef] [PubMed]
- Ryan, L.; Plötz, F.B.; van den Hoogen, A.; Latour, J.M.; Degtyareva, M.; Keuning, M.; Klingenberg, C.; Reiss, I.K.M.; Giannoni, E.; Roehr, C. Neonates and COVID-19: State of the art. Pediatr. Res. 2022, 91, 432–439. [Google Scholar] [CrossRef] [PubMed]
- Hellstrom-Westas, L.; de Vries, L.S.; Rosen, I. Atlas of Amplitude Integrated EEGs in the Newborn, 2nd ed.; Informa Healthcare: London, UK, 2008. [Google Scholar]
- Hayman M, VAN Wezel-Meijler G, van Straaten H: Punctate white-matter lesions in the full-term newborn: Underlying aetiology and outcome. Eur. J. Pediatr. Neurol. 2019, 23, 280–287. [CrossRef] [PubMed]
- Gosselin, J.; Amiel-Tison, C.L. Evaluation Neurologique de la Naissance a 6 Ans; Elsevier Masson: Paris, France, 2007; ISBN ISBN 9782294091094. [Google Scholar]
- Sarnat, H.B.; Sarnat, M.S. Neonatal encephalopathy following fetal distress: A clinical and electroencephalographic study. Arch Neurol 1976, 33, 696–705. [Google Scholar] [CrossRef] [PubMed]
- McIntyre, S.; Nelson, K.; Mulkey, S.; Lechpammer, M.; Molloy, E.; Badawi, N. Neonatal encephalopathy: Focus on epidemiology and underexplored aspects of etiology. Semin. Fetal Neonatal Med. 2021, 26, 101265. [Google Scholar] [CrossRef] [PubMed]
- Rosenbaum, P.; Paneth, N.; Leviton, A.; Goldstein, M.; Bax, M.; Damiano, D.; Dan, B.; Jacobsson, B. A report: The definition and classification of cerebral palsy April 2006. Dev. Med. Child. Neurol. 2007, 109 (Suppl. S109), 8–14. [Google Scholar]
- Amiel Tison Cl. Neurologie Perinatale, 2nd ed.; Elsevier Masson: Paris, France, 2002. [Google Scholar]
- Shang, J.; Ye, G.; Shi, K.; Wan, Y.; Luo, C.; Aihara, H.; Geng, Q.; Auerbach, A.; Li, F. Structural basis of receptor recognition by SARS-CoV-2. Nature 2020, 581, 221–224. [Google Scholar] [CrossRef]
- Hoffmann, M.; Kleine-Weber, H.; Schroeder, S.; Krüger, N.; Herrler, T.; Erichsen, S.; Schiergens, T.S.; Herrler, G.; Wu, N.H.; Nitsche, A.; et al. SARS-CoV-2 cell entry depends on ACE2 and TMPRSS2 and is blocked by a clinically proven protease inhibitor. Cell 2020, 181, 271–280. [Google Scholar] [CrossRef] [PubMed]
- Pique-Regi, R.; Romero, R.; Tarca, A.L.; Luca, F.; Xu, Y.; Alazizi, A.; Leng, Y.; Hsu, C.-D.; Gomez-Lopez, N. Does the human placenta express the canonical cell entry mediators for SARS-CoV-2? eLife 2020, 9, e58716. [Google Scholar] [CrossRef] [PubMed]
- Yougbaré, I.; Tai, W.-S.; Zdravic, D.; Oswald, B.E.; Lang, S.; Zhu, G.; Leong-Poi, H.; Qu, D.; Yu, L.; Dunk, C.; et al. Activated NK cells cause placental dysfunction and miscarriages in fetal alloimmune thrombocytopenia. Nat. Commun. 2017, 8, 224. [Google Scholar] [CrossRef] [PubMed]
- Van der Zwan, A.; Van der Meer-Prins, E.M.; Van Miert, P.P.; Van den Heuvel, H.; Anholts, J.D.; Roelen, D.L.; Claas, F.H.; Heidt, S. Cross-reactivity of virus-specific CD8+ T cells against allogeneic HLA-C: Possible implications for pregnancy outcome. Front. Immunol. 2018, 9, 2880. [Google Scholar] [CrossRef] [PubMed]
- Song, W.C.; Fitzgerald, G.A. COVID-19, microangiopathy, hemostatic activation, and complement. J. Clin. Investig. 2020, 130, 3950–3953. [Google Scholar] [CrossRef] [PubMed]
- Komine-Aizawa, S.; Takada, K.; Hayakawa, S. Placental barrier against COVID-19. Placenta 2020, 99, 45–49. [Google Scholar] [CrossRef]
- Ananth, C.V. Ischemic placental disease: A unifying concept for preeclampsia, intrauterine growth restriction, and placental abruption. Semin. Perinatol. 2014, 38, 131–132. [Google Scholar] [CrossRef] [PubMed]
- Maltepe, E.; Fisher, S.J. Placenta: The forgotten organ. Annu. Rev. Cell Dev. Biol. 2015, 31, 523–552. [Google Scholar] [CrossRef]
- Turner, J.M.; Mitchell, M.D.; Kumar, S.S. The physiology of intrapartum fetal compromise at term. Am. J. Obstet. Gynecol. 2020, 222, 17–26. [Google Scholar] [CrossRef]
- Lear, C.A.; Wassink, G.; Westgate, J.A.; Nijhuis, J.G.; Ugwumadu, A.; Galinsky, R.; Bennet, L.; Gunn, A.J. The peripheral chemoreflex: Indefatigable guardian of fetal physiological adaptation to labour. J. Physiol. 2018, 596, 5611–5623. [Google Scholar] [CrossRef]
- Galinsky, R.; Lear, C.A.; Yamaguchi, K.; Wassink, G.; Westgate, J.A.; Bennet, L.; Gunn, A.J. Cholinergic and beta-adrenergic control of cardiovascular reflex responses to brief repeated asphyxia in term-equivalent fetal sheep. Am. J. Physiol. Regul. Integr. Comp. Physiol. 2016, 311, R949–R956. [Google Scholar] [CrossRef] [PubMed]
- Lesnic, A.; Hamoud, B.H.; Poenaru, M.-O.; Moldovan, V.-T.; Chicea, R.; Sima, R.-M.; Popescu, M.; Ples, L. Can SARS-CoV-2 Induce Uterine Vascular Anomalies and Poor Contractile Response?—A Case Report. Medicina 2021, 57, 670. [Google Scholar] [CrossRef] [PubMed]
- Engert, V.; Siauw, C.; Stock, A.; Rehn, M.; Wöckel, A.; Härtel, C.; Wirbelauer, J. Severe Brain Damage in a Moderate Preterm Infant as Complication of Post-COVID-19 Response during Pregnancy. Neonatology 2021, 118, 505–508. [Google Scholar] [CrossRef] [PubMed]
- Schoenmakers, S.; Snijder, P.; Verdijk, R.M.; Kuiken, T.; Kamphuis, S.S.M.; Koopman, L.P.; Krasemann, T.B.; Rousian, M.; Broekhuizen, M.; Steegers, E.A.P.; et al. Severe Acute Respiratory Syndrome Coronavirus 2 Placental Infection and Inflammation Leading to Fetal Distress and Neonatal Multi-Organ Failure in an Asymptomatic Woman. J. Pediatr. Infect. Dis. Soc. 2020, 10, 556–561. [Google Scholar] [CrossRef] [PubMed]
- Shanes, E.D.; Mithal, L.B.; Otero, S.; Azad, H.A.; Miller, E.S.; Goldstein, J.A. Placental Pathology in COVID-19. Am. J. Clin. Pathol. 2020, 154, 23–32. [Google Scholar] [CrossRef] [PubMed]
- Husen, M.F.; van der Meeren, L.E.; Verdijk, R.M.; Fraaij, P.L.A.; van der Eijk, A.A.; Koopmans, M.P.G.; Freeman, L.; Bogers, H.; Trietsch, M.D.; Reiss, I.K.M.; et al. Unique Severe COVID-19 Placental Signature Independent of Severity of Clinical Maternal Symptoms. Viruses 2021, 13, 1670. [Google Scholar] [CrossRef] [PubMed]
- Jaiswal, N.; Puri, M.; Agarwal, K.; Singh, S.; Yadav, R.; Tiwary, N.; Tayal, P.; Vats, B. COVID-19 as an independent risk factor for subclinical placental dysfunction. Eur. J. Obstet. Gynecol. Reprod. Biol. 2021, 259, 7–11. [Google Scholar] [CrossRef]
- Thayyl S, Pant S, Shukla D et al: Hypothermia for moderate or severe neonatal encephalopathy in low-income and middle-income countries (HELIX): A randomised controlled trial in India, Sri Lanka, and Bangladesh. Lancet 2021, 9, e1274–e1285.
- Shumer, D.E.; Thaker, V.; Taylor, G.A.; Wassner, A.J. Severe hypercalcaemia due to subcutaneous fat necrosis: Presentation, management and complications. Arch. Dis. Child. Fetal Neonatal Ed. 2014, 99, F419–F421. [Google Scholar] [CrossRef]
- Li, A.M.; Chau, V.; Poskitt, K.J.; A Sargent, M.; A Lupton, B.; Hill, A.; Roland, E.; Miller, S.P. White Matter Injury in Term Newborns with Neonatal Encephalopathy. Pediatr. Res. 2009, 65, 85–89. [Google Scholar] [CrossRef]
- Myers, R.E. Four patterns of perinatal brain damage and their conditions of occurrence in primates. Adv. Neurol. 1975, 10, 223–234. [Google Scholar] [PubMed]
- Halberg, B.; Grossmann, K.; Bartocci, M.; Blenow, M. The prognostic value of early aEEG in asphyxiated infants undergoing systemic hypothermia treatment. Acta Paediatr. 2010, 99, 531–536. [Google Scholar] [CrossRef]
- Massaro, A.N.; Tsuchida, T.; Kadom, N.; El-Dib, M.; Glass, P.; Baumgart, S.; Chang, T. aEEG Evolution during Therapeutic Hypothermia and Prediction of NICU Outcome in Encephalopathic Neonates. Neonatology 2012, 102, 197–202. [Google Scholar] [CrossRef]
- Osredkar, D.; Toet, M.C.; van Rooij, L.G.M.; van Huffelen, A.C.; Groenendaal, F.; de Vries, L. Sleep–wake cycling on amplitude-integrated EEG infull-term newborns with hypoxic–ischemi encephalopathy. Pediatrics 2005, 115, 327–332. [Google Scholar] [CrossRef]
- De Rose, D.U.; Pugnaloni, F.; Calì, M.; Ronci, S.; Caoci, S.; Maddaloni, C.; Martini, L.; Santisi, A.; Dotta, A.; Auriti, C. Multisystem Inflammatory Syndrome in Neonates Born to Mothers with SARS-CoV-2 Infection (MIS-N) and in Neonates and Infants Younger Than 6 Months with Acquired COVID-19 (MIS-C): A Systematic Review. Viruses 2022, 14, 750. [Google Scholar] [CrossRef] [PubMed]
- Auriti, C.; De Rose, D.U.; Mondì, V.; Stolfi, I.; Tzialla, C. On Behalf of The Study Group of Neonatal Infectious Diseases. Neonatal SARS-CoV-2 Infect. Pract. Tips. Pathog. 2021, 10, 611. [Google Scholar]
- De Rose, D.U.; Salvatori, G.; Dotta, A.; Auriti, C. SARS-CoV-2 Vaccines during Pregnancy and Breastfeeding: A Systematic Review of Maternal and Neonatal Outcomes. Viruses 2022, 14, 539. [Google Scholar] [CrossRef] [PubMed]








Disclaimer/Publisher’s Note: The statements, opinions and data contained in all publications are solely those of the individual author(s) and contributor(s) and not of MDPI and/or the editor(s). MDPI and/or the editor(s) disclaim responsibility for any injury to people or property resulting from any ideas, methods, instructions or products referred to in the content. |
© 2023 by the authors. Licensee MDPI, Basel, Switzerland. This article is an open access article distributed under the terms and conditions of the Creative Commons Attribution (CC BY) license (https://creativecommons.org/licenses/by/4.0/).
Share and Cite
Toma, A.-I.; Hamoud, B.H.; Gavril-Parfene, C.; Farcaş, M.; Sima, R.-M.; Ples, L. Foetal Intrapartum Compromise at Term: Could COVID-19 Infection Be Involved? A Case Report. Medicina 2023, 59, 552. https://doi.org/10.3390/medicina59030552
Toma A-I, Hamoud BH, Gavril-Parfene C, Farcaş M, Sima R-M, Ples L. Foetal Intrapartum Compromise at Term: Could COVID-19 Infection Be Involved? A Case Report. Medicina. 2023; 59(3):552. https://doi.org/10.3390/medicina59030552
Chicago/Turabian StyleToma, Adrian-Ioan, Bashar Haj Hamoud, Caliopia Gavril-Parfene, Mihaela Farcaş, Romina-Marina Sima, and Liana Ples. 2023. "Foetal Intrapartum Compromise at Term: Could COVID-19 Infection Be Involved? A Case Report" Medicina 59, no. 3: 552. https://doi.org/10.3390/medicina59030552
APA StyleToma, A.-I., Hamoud, B. H., Gavril-Parfene, C., Farcaş, M., Sima, R.-M., & Ples, L. (2023). Foetal Intrapartum Compromise at Term: Could COVID-19 Infection Be Involved? A Case Report. Medicina, 59(3), 552. https://doi.org/10.3390/medicina59030552
