Correlation between CT Abdominal Anthropometric Measurements and Liver Density in Individuals with Non-Alcoholic Fatty Liver Disease
Abstract
1. Introduction
2. Materials and Methods
2.1. Study Cohort
2.2. CT Protocol and Image Analysis
2.3. Abdominal Adipose Tissue Measurement
2.4. Statistical Analysis
3. Results
4. Discussion
5. Conclusions
Author Contributions
Funding
Institutional Review Board Statement
Informed Consent Statement
Data Availability Statement
Acknowledgments
Conflicts of Interest
References
- Angulo, P. Nonalcoholic Fatty Liver Disease. N. E. J. Med. 2002, 346, 1221–1231. [Google Scholar] [CrossRef]
- Younossi, Z.M.; Koenig, A.B.; Abdelatif, D.; Fazel, Y.; Henry, L.; Wymer, M. Global epidemiology of nonalcoholic fatty liver disease-Meta-analytic assessment of prevalence, incidence, and outcomes. Hepatology 2016, 64, 73–84. [Google Scholar] [CrossRef] [PubMed]
- Estes, C.; Razavi, H.; Loomba, R.; Younossi, Z.; Sanyal, A.J. Modeling the epidemic of nonalcoholic fatty liver disease demonstrates an exponential increase in burden of disease. Hepatology 2018, 67, 123–133. [Google Scholar] [CrossRef] [PubMed]
- Younossi, Z.M.; Anstee, Q.M.; Marietti, M.; Hardy, T.; Henry, L.; Eslam, M.; George, J.; Bugianesi, E. Global burden of NAFLD and NASH: Trends, predictions, risk factors and prevention. Nat. Rev. Gastroenterol. Hepatol. 2017, 15, 11–20. [Google Scholar] [CrossRef] [PubMed]
- Lu, Q.; Tian, X.; Wu, H.; Huang, J.; Li, M.; Mei, Z.; Zhou, L.; Xie, H.; Zheng, S. Metabolic Changes of Hepatocytes in NAFLD. Front. Physiol. 2021, 12, 710420. [Google Scholar] [CrossRef] [PubMed]
- Stepanova, M.; Rafiq, N.; Makhlouf, H.; Agrawal, R.; Kaur, I.; Younoszai, Z.; McCullough, A.; Goodman, Z.; Younossi, Z.M. Predictors of All-Cause Mortality and Liver-Related Mortality in Patients with Non-Alcoholic Fatty Liver Disease (NAFLD). Dig. Dis. Sci. 2013, 58, 3017–3023. [Google Scholar] [CrossRef]
- Benedict, M.; Zhang, X. Non-alcoholic fatty liver disease: An expanded review. World J. Hepatol. 2017, 9, 715–732. [Google Scholar] [CrossRef]
- Nassir, F.; Rector, R.S.; Hammoud, G.M.; Ibdah, J.A. Pathogenesis and Prevention of Hepatic Steatosis. Gastroenterol. Hepatol. 2015, 11, 167–175. [Google Scholar]
- Sheka, A.C.; Adeyi, O.; Thompson, J.; Hameed, B.; Crawford, P.A.; Ikramuddin, S. Nonalcoholic Steatohepatitis. JAMA 2020, 323, 1175–1183. [Google Scholar] [CrossRef]
- Mirza, M.S. Obesity, Visceral Fat, and NAFLD: Querying the Role of Adipokines in the Progression of Nonalcoholic Fatty Liver Disease. ISRN Gastroenterol. 2011, 2011, 592404. [Google Scholar] [CrossRef]
- Lindenmeyer, C.C.; McCullough, A.J. The Natural History of Nonalcoholic Fatty Liver Disease—An Evolving View. Clin. Liver Dis. 2017, 22, 11–21. [Google Scholar] [CrossRef] [PubMed]
- Portillo-Sanchez, P.; Bril, F.; Maximos, M.; Lomonaco, R.; Biernacki, D.; Orsak, B.; Subbarayan, S.; Webb, A.; Hecht, J.; Cusi, K. High Prevalence of Nonalcoholic Fatty Liver Disease in Patients With Type 2 Diabetes Mellitus and Normal Plasma Aminotransferase Levels. J. Clin. Endocrinol. Metab. 2015, 100, 2231–2238. [Google Scholar] [CrossRef] [PubMed]
- Adams, L.A.; Lymp, J.F.; Sauver, J.S.; Sanderson, S.O.; Lindor, K.D.; Feldstein, A.; Angulo, P. The Natural History of Nonalcoholic Fatty Liver Disease: A Population-Based Cohort Study. Gastroenterology 2005, 129, 113–121. [Google Scholar] [CrossRef] [PubMed]
- Chalasani, N.; Younossi, Z.; LaVine, J.E.; Charlton, M.; Cusi, K.; Rinella, M.; Harrison, S.A.; Brunt, E.M.; Sanyal, A.J. The diagnosis and management of nonalcoholic fatty liver disease: Practice guidance from the American Association for the Study of Liver Diseases. Hepatology 2018, 67, 328–357. [Google Scholar] [CrossRef]
- Lee, D.H. Imaging evaluation of non-alcoholic fatty liver disease: Focused on quantification. Clin. Mol. Hepatol. 2017, 23, 290–301. [Google Scholar] [CrossRef]
- Keihani, S.; Hosseinpanah, F.; Barzin, M.; Serahati, S.; Doustmohamadian, S.; Azizi, F. Abdominal obesity phenotypes and risk of cardiovascular disease in a decade of follow-up: The Tehran Lipid and Glucose Study. Atherosclerosis 2014, 238, 256–263. [Google Scholar] [CrossRef]
- Byrne, C.D.; Targher, G. NAFLD: A multisystem disease. J. Hepatol. 2015, 62, S47–S64. [Google Scholar] [CrossRef]
- Pop, R.-M.; Pop, M.; Dogaru, G.C.; Bacarea, V. A Web-based Nutritional Assessment Tool. Stud. Informatics Control 2013, 22, 307–314. [Google Scholar] [CrossRef]
- Zhou, J.-H.; Cai, J.-J.; She, Z.-G.; Li, H.-L. Noninvasive evaluation of nonalcoholic fatty liver disease: Current evidence and practice. World J. Gastroenterol. 2019, 25, 1307–1326. [Google Scholar] [CrossRef]
- Castera, L.; Friedrich-Rust, M.; Loomba, R. Noninvasive Assessment of Liver Disease in Patients with Nonalcoholic Fatty Liver Disease. Gastroenterology 2019, 156, 1264–1281.e4. [Google Scholar] [CrossRef]
- Sheng, G.; Lu, S.; Xie, Q.; Peng, N.; Kuang, M.; Zou, Y. The usefulness of obesity and lipid-related indices to predict the presence of Non-alcoholic fatty liver disease. Lipids Health Dis. 2021, 20, 134. [Google Scholar] [CrossRef]
- Jawahar, A.; Gonzalez, B.; Balasubramanian, N.; Adams, W.; Goldberg, A. Comparison of correlations between lipid profile and different computed tomography fatty liver criteria in the setting of incidentally noted fatty liver on computed tomography examinations. Eur. J. Gastroenterol. Hepatol. 2017, 29, 1389–1396. [Google Scholar] [CrossRef] [PubMed]
- Lee, S.S.; Park, S.H.; Kim, H.J.; Kim, S.Y.; Kim, M.-Y.; Kim, D.Y.; Suh, D.J.; Kim, K.M.; Bae, M.H.; Lee, J.Y.; et al. Non-invasive assessment of hepatic steatosis: Prospective comparison of the accuracy of imaging examinations. J. Hepatol. 2010, 52, 579–585. [Google Scholar] [CrossRef]
- Zeb, I.; Li, D.; Nasir, K.; Katz, R.; Larijani, V.N.; Budoff, M.J. Computed Tomography Scans in the Evaluation of Fatty Liver Disease in a Population Based Study. Acad. Radiol. 2012, 19, 811–818. [Google Scholar] [CrossRef]
- Cohen, J. Statistical Power Analysis for the Behavioral Sciences, 2nd ed.; Lawrence Erlbaum Associates Inc.: Hillsdale, NJ, USA, 1988. [Google Scholar]
- Wells, M.M.; Li, Z.; Addeman, B.; McKenzie, C.A.; Mujoomdar, A.; Beaton, M.; Bird, J. Computed Tomography Measurement of Hepatic Steatosis: Prevalence of Hepatic Steatosis in a Canadian Population. Can. J. Gastroenterol. Hepatol. 2016, 2016, 060803. [Google Scholar] [CrossRef] [PubMed]
- Association of abdominal subcutaneous fat thickness with hepatic steatosis, liver enzymes, and serum lipids in obese children. Arch. Argent. de Pediatr. 2021, 119, 114–122. [CrossRef]
- Reis, S.S.; Callejas, G.H.; Marques, R.A.; Gestic, M.A.; Utrini, M.P.; Chaim, F.D.M.; Ramos, A.C.; Chaim, E.A.; Cazzo, E. Correlation Between Anthropometric Measurements and Non-alcoholic Fatty Liver Disease in Individuals With Obesity Undergoing Bariatric Surgery: Cross-Sectional Study. Obes. Surg. 2021, 3, 3675–3685. [Google Scholar] [CrossRef] [PubMed]
- Baek, J.; Jung, S.J.; Shim, J.-S.; Jeon, Y.W.; Seo, E.; Kim, H.C. Comparison of Computed Tomography-based Abdominal Adiposity Indexes as Predictors of Non-alcoholic Fatty Liver Disease Among Middle-aged Korean Men and Women. J. Prev. Med. Public Health 2020, 53, 256–265. [Google Scholar] [CrossRef] [PubMed]
- Zhou, K.; Dodge, J.L.; Yuan, L.; Terrault, N.A. Metabolic Risk Profiles for Hepatic Steatosis Differ by Race/Ethnicity: An Elastography-Based Study of US Adults. Dig. Dis. Sci. 2021, 67, 3340–3355. [Google Scholar] [CrossRef]
- Dunn, W.; Xu, R.; Wingard, D.L.; Rogers, C.; Angulo, P.; Younossi, Z.M.; Schwimmer, J.B. Suspected Nonalcoholic Fatty Liver Disease and Mortality Risk in a Population-Based Cohort Study. Am. J. Gastroenterol. 2008, 103, 2263–2271. [Google Scholar] [CrossRef]
- Virarkar, M.; Szklaruk, J.; Jensen, C.T.; Taggart, M.W.; Bhosale, P. What’s New in Hepatic Steatosis. Semin. Ultrasound CT MRI 2021, 42, 405–415. [Google Scholar] [CrossRef] [PubMed]
- Trujillo, M.J.; Chen, J.; Rubin, J.M.; Gao, J. Non-invasive imaging biomarkers to assess nonalcoholic fatty liver disease: A review. Clin. Imaging 2021, 78, 22–34. [Google Scholar] [CrossRef] [PubMed]
- Strauss, S.; Gavish, E.; Gottlieb, P.; Katsnelson, L. Interobserver and Intraobserver Variability in the Sonographic Assessment of Fatty Liver. Am. J. Roentgenol. 2007, 189, W320–W323. [Google Scholar] [CrossRef] [PubMed]
- Lee, S.S. Radiologic evaluation of nonalcoholic fatty liver disease. World J. Gastroenterol. 2014, 20, 7392–7402. [Google Scholar] [CrossRef] [PubMed]
- Fischer, M.A.; Gnannt, R.; Raptis, D.; Reiner, C.S.; Clavien, P.-A.; Schmidt, B.; Leschka, S.; Alkadhi, H.; Goetti, R. Quantification of Liver Fat in the Presence of Iron and Iodine. Investig. Radiol. 2011, 46, 351–358. [Google Scholar] [CrossRef]
- Bydder, G.M.; Kreel, L.; Chapman, R.W.; Harry, D.; Sherlock, S.; Bassan, L. Accuracy of computed tomography in diagnosis of fatty liver. BMJ 1980, 281, 1042. [Google Scholar] [CrossRef]
- Idilman, I.S.; Ozdeniz, I.; Karcaaltincaba, M. Hepatic Steatosis: Etiology, Patterns, and Quantification. Semin. Ultrasound, CT MRI 2016, 37, 501–510. [Google Scholar] [CrossRef]
- Chung, J.; Park, H.-S.; Kim, Y.-J.; Yu, M.-H.; Park, S.; Jung, S.-I. Association of Hepatic Steatosis Index with Nonalcoholic Fatty Liver Disease Diagnosed by Non-Enhanced CT in a Screening Population. Diagnostics 2021, 11, 2168. [Google Scholar] [CrossRef]
- Kodama, Y.; Ng, C.S.; Wu, T.T.; Ayers, G.D.; Curley, S.A.; Abdalla, E.K.; Vauthey, J.N.; Charnsangavej, C. Comparison of CT Methods for Determining the Fat Content of the Liver. Am. J. Roentgenol. 2007, 188, 1307–1312. [Google Scholar] [CrossRef]
- Pickhardt, P.J.; Park, S.H.; Hahn, L.; Lee, S.-G.; Bae, K.T.; Yu, E.S. Specificity of unenhanced CT for non-invasive diagnosis of hepatic steatosis: Implications for the investigation of the natural history of incidental steatosis. Eur. Radiol. 2011, 22, 1075–1082. [Google Scholar] [CrossRef]
- Kramer, H.; Pickhardt, P.J.; Kliewer, M.A.; Hernando, D.; Chen, G.-H.; Zagzebski, J.A.; Reeder, S.B. Accuracy of Liver Fat Quantification With Advanced CT, MRI, and Ultrasound Techniques: Prospective Comparison With MR Spectroscopy. Am. J. Roentgenol. 2017, 208, 92–100. [Google Scholar] [CrossRef]
- Long, M.T.; Pedley, A.; Massaro, J.M.; Hoffmann, U.; Ma, J.; Loomba, R.; Chung, R.T.; Benjamin, E. A simple clinical model predicts incident hepatic steatosis in a community-based cohort: The Framingham Heart Study. Liver Int. 2018, 38, 1495–1503. [Google Scholar] [CrossRef] [PubMed]
- Bertolotti, M.; Lonardo, A.; Mussi, C.; Baldelli, E.; Pellegrini, E.; Ballestri, S.; Romagnoli, D.; Loria, P. Nonalcoholic fatty liver disease and aging: Epidemiology to management. World J. Gastroenterol. 2014, 20, 14185–14204. [Google Scholar] [CrossRef] [PubMed]
- Farrell, G.C.; Larter, C.Z. Nonalcoholic fatty liver disease: From steatosis to cirrhosis. Hepatology 2006, 43, S99–S112. [Google Scholar] [CrossRef] [PubMed]
- Mofrad, P.; Contos, M.J.; Haque, M.; Sargeant, C.; Fisher, R.A.; Luketic, V.A.; Sterling, R.K.; Shiffman, M.L.; Stravitz, R.T.; Sanyal, A.J. Clinical and histologic spectrum of nonalcoholic fatty liver disease associated with normal ALT values. Hepatology 2003, 37, 1286–1292. [Google Scholar] [CrossRef]
- Yamakado, M.; Tanaka, T.; Nagao, K.; Imaizumi, A.; Komatsu, M.; Daimon, T.; Miyano, H.; Tani, M.; Toda, A.; Yamamoto, H.; et al. Plasma amino acid profile associated with fatty liver disease and co-occurrence of metabolic risk factors. Sci. Rep. 2017, 7, 14485. [Google Scholar] [CrossRef]
- Sanyal, A.J. AGA technical review on nonalcoholic fatty liver disease. Gastroenterology 2002, 123, 1705–1725. [Google Scholar] [CrossRef] [PubMed]
- Cotler, S.J.; Kanji, K.; Keshavarzian, A.; Jensen, D.M.; Jakate, S. Prevalence and Significance of Autoantibodies in Patients With Non-Alcoholic Steatohepatitis. J. Clin. Gastroenterol. 2004, 38, 801–804. [Google Scholar] [CrossRef]
- Wang, T.; Chen, K.; Yao, W.; Zheng, R.; He, Q.; Xia, J.; Li, J.; Shao, Y.; Zhang, L.; Huang, L.; et al. Acetylation of lactate dehydrogenase B drives NAFLD progression by impairing lactate clearance. J. Hepatol. 2020, 74, 1038–1052. [Google Scholar] [CrossRef]
- Deprince, A.; Haas, J.T.; Staels, B. Dysregulated lipid metabolism links NAFLD to cardiovascular disease. Mol. Metab. 2020, 42, 101092. [Google Scholar] [CrossRef]
- Liu, H.; Li, X.; Han, X.; Zhang, Y.; Gu, Y.; Sun, L.; Han, J.; Tu, Y.; Bao, Y.; Bai, W.; et al. Simple surrogate equations to predict controlled attenuation parameter values for screening non-alcoholic fatty liver disease in a Chinese population. Front. Med. 2022, 9, 3. [Google Scholar] [CrossRef]
- Miyake, T.; Miyazaki, M.; Yoshida, O.; Kanzaki, S.; Nakaguchi, H.; Nakamura, Y.; Watanabe, T.; Yamamoto, Y.; Koizumi, Y.; Tokumoto, Y.; et al. Relationship between body composition and the histology of non-alcoholic fatty liver disease: A cross-sectional study. BMC Gastroenterol. 2021, 21, 170. [Google Scholar] [CrossRef] [PubMed]
- Rolo, A.P.; Teodoro, J.S.; Palmeira, C.M. Role of oxidative stress in the pathogenesis of nonalcoholic steatohepatitis. Free. Radic. Biol. Med. 2012, 52, 59–69. [Google Scholar] [CrossRef] [PubMed]
- Donnelly, K.L.; Smith, C.I.; Schwarzenberg, S.J.; Jessurun, J.; Boldt, M.D.; Parks, E.J. Sources of fatty acids stored in liver and secreted via lipoproteins in patients with nonalcoholic fatty liver disease. J. Clin. Investig. 2005, 115, 1343–1351. [Google Scholar] [CrossRef]
- Polyzos, S.A.; Kountouras, J.; Zavos, C.; Tsiaousi, E. The role of adiponectin in the pathogenesis and treatment of non-alcoholic fatty liver disease. Diabetes Obes. Metab. 2010, 12, 365–383. [Google Scholar] [CrossRef] [PubMed]
- Du Plessis, J.; Van Pelt, J.; Korf, H.; Mathieu, C.; Van Der Schueren, B.; Lannoo, M.; Oyen, T.; Topal, B.; Fetter, G.; Nayler, S.; et al. Association of Adipose Tissue Inflammation With Histologic Severity of Nonalcoholic Fatty Liver Disease. Gastroenterology 2015, 149, 635–648.e14. [Google Scholar] [CrossRef]
- Vega, G.L.; Adams-Huet, B.; Peshock, R.; Willett, D.; Shah, B.; Grundy, S.M. Influence of Body Fat Content and Distribution on Variation in Metabolic Risk. J. Clin. Endocrinol. Metab. 2006, 91, 4459–4466. [Google Scholar] [CrossRef]
- Ross, R.; Neeland, I.J.; Yamashita, S.; Shai, I.; Seidell, J.; Magni, P.; Santos, R.D.; Arsenault, B.; Cuevas, A.; Hu, F.B.; et al. Waist circumference as a vital sign in clinical practice: A Consensus Statement from the IAS and ICCR Working Group on Visceral Obesity. Nat. Rev. Endocrinol. 2020, 16, 177–189. [Google Scholar] [CrossRef] [PubMed]
- Jia, W.-P.; Lu, J.-X.; Xiang, K.-S.; Bao, Y.-Q.; Lu, H.-J.; Chen, L. Prediction of abdominal visceral obesity from body mass index, waist circumference and waist-hip ratio in Chinese adults: Receiver operating characteristic curves analysis. Biomed. Environ. Sci. 2003, 16, 206–211. [Google Scholar]
- Rössner, S.; Bo, W.J.; Hiltbrandt, E.; Hinson, W.; Karstaedt, N.; Santago, P.; Sobol, W.T.; Crouse, J.R. Adipose tissue determinations in cadavers--a com-parison between cross-sectional planimetry and computed tomography. Int. J. Obes. 1990, 14, 893–902. [Google Scholar]
- EASL–EASD–EASO Clinical Practice Guidelines for the management of non-alcoholic fatty liver disease. J. Hepatol. 2016, 64, 1388–1402. [CrossRef] [PubMed]
- American Diabetes Association 4. Comprehensive Medical Evaluation and Assessment of Comorbidities: Standards of Medical Care in Diabetes—2019. Diabetes Care 2018, 42, S34–S45. [Google Scholar] [CrossRef]
- Dowman, J.K.; Tomlinson, J.W.; Newsome, P.N. Systematic review: The diagnosis and staging of non-alcoholic fatty liver disease and non-alcoholic steatohepatitis. Aliment. Pharmacol. Ther. 2010, 33, 525–540. [Google Scholar] [CrossRef] [PubMed]
- Negi, C.K.; Babica, P.; Bajard, L.; Bienertova-Vasku, J.; Tarantino, G. Insights into the molecular targets and emerging pharmacotherapeutic interventions for nonalcoholic fatty liver disease. Metabolism 2021, 126, 154925. [Google Scholar] [CrossRef]






| No Hepatic Steatosis | Hepatic Steatosis | p-Value | |
|---|---|---|---|
| N | 43 | 76 | |
| Age | 53.67 ± 14.58 | 58.16 ± 11.64 | 0.068 |
| Gender | 0.2 | ||
| Female | 22 (51.16%) | 31 (40.79%) | |
| Male | 21 (48.84%) | 45 (59.21%) | |
| Abdominal anthropometric measurements | |||
| WC (cm) | 95.09 ± 12.17 | 114 ± 14.25 | <0.0001 |
| Suprapubically | 20 [16–25] | 20 [16–25] | <0.0001 |
| Right paraumbilical | 20 [16–25] | 29 [25–37] | <0.0001 |
| Left paraumbilical | 19 [17–26] | 29 [25–37] | <0.0001 |
| Laboratory parameters | |||
| Total cholesterol (mg/dL) | 165 [130–196.1] | 183.6 [145.5–218.3] | 0.1275 |
| TG(mg/dL) | 101.1 [84–141.9] | 142.8 [99.50–180.1] | 0.0005 |
| AST (U/I) | 20.20 [16–30.1] | 26 [18.25–37.65] | 0.053 |
| ALT (U/I) | 21.60 [16.93–43.93] | 27.65 [13.40–33.40] | 0.08 |
| GGT (U/l) | 40 [19–69.25] | 108 [43–186.8] | <0.0001 |
| LDH (U/l) | 199 [163–241] | 218 [189–300] | 0.001 |
| Co-morbidities | |||
| T2D | 6 (14.29%) | 36 (85.71%) | 0.0003 |
| Hypertension | 24 (35.83%) | 43 (64.18%) | 0.9 |
| Variables | Cut-Off | AUC | Std. Error | 95% CI | Sensitivity | Specificity | p-Value |
|---|---|---|---|---|---|---|---|
| Abdominal anthropometric measurements | |||||||
| WC | 101.5 | 0.859 | 0.035 | 0.790–0.929 | 77.6% | 76.7% | <0.0001 |
| Right Paraumbilical | 22.5 | 0.819 | 0.041 | 0.740–0.899 | 86.8% | 60.5% | <0.0001 |
| Left Paraumbilical | 23.5 | 0.821 | 0.040 | 0.742–0.900 | 80.3% | 69.8% | <0.0001 |
| Infraumbilical | 24.5 | 0.816 | 0.041 | 0.736–0.895 | 76.3% | 74.4% | <0.0001 |
| Laboratory parameters | |||||||
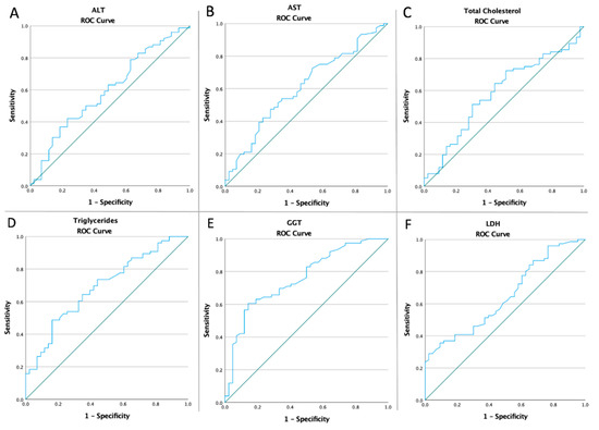
| ALT | - | 0.596 | 0.054 | 0.489–0.702 | - | - | 0.083 |
| AST | - | 0.607 | 0.054 | 0.502–0.712 | - | - | 0.054 |
| Total cholesterol | - | 0.584 | 0.054 | 0.478–0.691 | - | - | 0.127 |
| Triglycerides | 124.44 | 0.690 | 0.049 | 0.593–0.787 | 60.5% | 67.4% | 0.001 |
| GGT | 82.0 | 0.759 | 0.046 | 0.669–0.849 | 60.5% | 85.7% | <0.0001 |
| LDH | 245.5 | 0.646 | 0.051 | 0.546–0.746 | 40.8% | 81.4% | 0.008 |
| NAFLD | |||
|---|---|---|---|
| OR | 95% CI | p-Value | |
| AGE | 1.02 | 0.99–1.05 | 0.07 |
| T2D | 2.40 | 1.03–5.56 | 0.04 |
| ABDOMINAL ANTHROPOMETRIC MEASUREMENTS | |||
| WC | 11.45 | 4.70–27.88 | <0.001 |
| RIGHT PARAUMBILICAL | 10.09 | 4.09–24.91 | <0.001 |
| LEFT PARAUMBILICAL | 2.81 | 1.21–6.51 | 0.01 |
| INFRAUMBILICAL | 3.06 | 1.35–6.95 | 0.007 |
| LABORATORY PARAMETERS | |||
| TRIGLYCERIDES | 1.21 | 0.57–2.56 | 0.37 |
| GGT | 2.84 | 1.30–6.23 | 0.009 |
| LDH | 2.03 | 0.87–4.74 | 0.09 |
Disclaimer/Publisher’s Note: The statements, opinions and data contained in all publications are solely those of the individual author(s) and contributor(s) and not of MDPI and/or the editor(s). MDPI and/or the editor(s) disclaim responsibility for any injury to people or property resulting from any ideas, methods, instructions or products referred to in the content. |
© 2023 by the authors. Licensee MDPI, Basel, Switzerland. This article is an open access article distributed under the terms and conditions of the Creative Commons Attribution (CC BY) license (https://creativecommons.org/licenses/by/4.0/).
Share and Cite
Cucoranu, D.C.; Pop, M.; Niculescu, R.; Vunvulea, V.; Kosovski, I.-B.; Togănel, R.-O.; Russu, E.; Mureșan, A.V.; Licu, R.-A.; Bacârea, A. Correlation between CT Abdominal Anthropometric Measurements and Liver Density in Individuals with Non-Alcoholic Fatty Liver Disease. Medicina 2023, 59, 500. https://doi.org/10.3390/medicina59030500
Cucoranu DC, Pop M, Niculescu R, Vunvulea V, Kosovski I-B, Togănel R-O, Russu E, Mureșan AV, Licu R-A, Bacârea A. Correlation between CT Abdominal Anthropometric Measurements and Liver Density in Individuals with Non-Alcoholic Fatty Liver Disease. Medicina. 2023; 59(3):500. https://doi.org/10.3390/medicina59030500
Chicago/Turabian StyleCucoranu, Dragoș Constantin, Marian Pop, Raluca Niculescu, Vlad Vunvulea, Irina-Bianca Kosovski, Radu-Ovidiu Togănel, Eliza Russu, Adrian Vasile Mureșan, Răzvan-Andrei Licu, and Anca Bacârea. 2023. "Correlation between CT Abdominal Anthropometric Measurements and Liver Density in Individuals with Non-Alcoholic Fatty Liver Disease" Medicina 59, no. 3: 500. https://doi.org/10.3390/medicina59030500
APA StyleCucoranu, D. C., Pop, M., Niculescu, R., Vunvulea, V., Kosovski, I.-B., Togănel, R.-O., Russu, E., Mureșan, A. V., Licu, R.-A., & Bacârea, A. (2023). Correlation between CT Abdominal Anthropometric Measurements and Liver Density in Individuals with Non-Alcoholic Fatty Liver Disease. Medicina, 59(3), 500. https://doi.org/10.3390/medicina59030500

