Patients with Diabetes Experienced More Serious and Protracted Sickness from the COVID-19 Infection: A Prospective Study
Abstract
1. Introduction
2. Materials and Methods
2.1. Study Design
2.2. Inclusion Criteria
2.3. Exclusion Criteria
2.4. Data Collection
2.5. Statistical Analysis
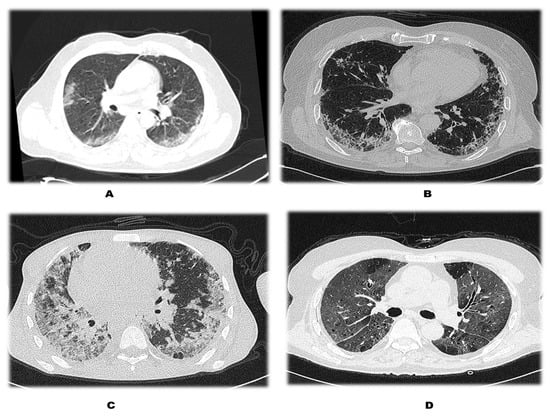
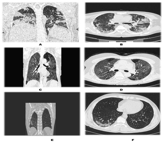
3. Results
4. Discussion
Limitations
5. Conclusions
Author Contributions
Funding
Institutional Review Board Statement
Informed Consent Statement
Acknowledgments
Conflicts of Interest
References
- Mohan, B.S.; Nambiar, V. COVID-19: An insight into SARS-CoV-2 pandemic originated at Wuhan City in Hubei Province of China. J Infect. Dis. Epidemiol. 2020, 6, 146. [Google Scholar] [CrossRef]
- Hu, B.; Guo, H.; Zhou, P.; Shi, Z.L. Characteristics of SARS-CoV-2 and COVID-19. Nat. Rev. Microbiol. 2021, 19, 141–154. [Google Scholar] [CrossRef] [PubMed]
- Fehr, A.R.; Perlman, S. Coronaviruses: An overview of their replication and pathogenesis. Coronaviruses Methods Mol. 2015, 1282, 1–23. [Google Scholar]
- Chidambaram, V.; Tun, N.L.; Haque, W.Z.; Majella, M.G.; Sivakumar, R.K.; Kumar, A.; Hsu, A.T.; Ishak, I.A.; Nur, A.A.; Ayeh, S.K.; et al. Factors associated with disease severity and mortality among patients with COVID-19: A systematic review and meta-analysis. PLoS ONE 2020, 15, e0241541. [Google Scholar] [CrossRef]
- Upadhya, S.; Rehman, J.; Malik, A.B.; Chen, S. Mechanisms of lung injury induced by SARS-CoV-2 infection. Physiology 2022, 37, 88–100. [Google Scholar] [CrossRef]
- Sanyaolu, A.; Okorie, C.; Marinkovic, A.; Patidar, R.; Younis, K.; Desai, P.; Hosein, Z.; Padda, I.; Mangat, J.; Altaf, M. Comorbidity and its impact on patients with COVID-19. SN Compr. Clin. Med. 2020, 2, 1069–1076. [Google Scholar] [CrossRef]
- Saeedi, P.; Petersohn, I.; Salpea, P.; Malanda, B.; Karuranga, S.; Unwin, N.; Colagiuri, S.; Guariguata, L.; Motala, A.A.; Ogurtsova, K.; et al. Global and regional diabetes prevalence estimates for 2019 and projections for 2030 and 2045: Results from the International Diabetes Federation Diabetes Atlas. Diabetes Res. Clin. Pract. 2019, 157, 107843. [Google Scholar] [CrossRef]
- Paulsamy, P.; Ashraf, R.; Alshahrani, S.H.; Periannan, K.; Qureshi, A.A.; Venkatesan, K.; Manoharan, V.; Govindasamy, N.; Prabahar, K.; Arumugam, T.; et al. Social support, self-care behaviour and self-efficacy in patients with Type 2 diabetes during the COVID-19 pandemic: A cross-sectional study. Healthcare 2021, 9, 1607. [Google Scholar] [CrossRef]
- Zakariaee, S.S.; Salmanipour, H.; Naderi, N.; Kazemi-Arpanahi, H.; Shanbehzadeh, M. Association of chest CT severity score with mortality of COVID-19 patients: A systematic review and meta-analysis. Clin. Transl. Imaging 2022, 10, 663–676. [Google Scholar] [CrossRef]
- Lee, J.H.; Hong, H.; Kim, H.; Lee, C.H.; Goo, J.M.; Yoon, S.H. CT Examinations for COVID-19: A Systematic Review of Protocols, Radiation Dose, and Numbers Needed to Diagnose and Predict. J. Korean Soc. Radiol. 2021, 82, 1505–1523. [Google Scholar] [CrossRef]
- Zhu, H.; Wei, L.; Niu, P. The novel coronavirus outbreak in Wuhan, China. Glob. Health Res. Policy 2020, 5, 6. [Google Scholar] [CrossRef]
- Caballero, A.E.; Ceriello, A.; Misra, A.; Aschner, P.; McDonnell, M.E.; Hassanein, M.; Ji, L.; Mbanya, J.C.; Fonseca, V.A. COVID-19 in people living with diabetes: An international consensus. J. Diabetes Its Complicat. 2020, 34, 107671. [Google Scholar] [CrossRef]
- Corona, G.; Pizzocaro, A.; Vena, W.; Rastrelli, G.; Semeraro, F.; Isidori, A.M.; Pivonello, R.; Salonia, A.; Sforza, A.; Maggi, M. Diabetes is most important cause for mortality in COVID-19 hospitalized patients: Systematic review and meta-analysis. Rev. Endocr. Metab. Disord. 2021, 22, 275–296. [Google Scholar] [CrossRef]
- Yoo, S.J.; Goo, J.M.; Yoon, S.H. Role of Chest Radiographs and CT Scans and the Application of Artificial Intelligence in Coronavirus Disease 2019. J. Korean Soc. Radiol. 2020, 81, 1334–1347. [Google Scholar] [CrossRef]
- Sayeed, S.; Faiz, B.Y.; Aslam, S.; Masood, L.; Saeed, R. CT Chest Severity Score for COVID 19 Pneumonia: A Quantitative Imaging Tool for Severity Assessment of Disease. J. Coll. Physicians Surg. Pak. 2021, 31, 388–392. [Google Scholar]
- Rangankar, V.; Koganti, D.V.; Lamghare, P.; Prabhu, A.; Dhulipala, S.; Patil, P.; Yadav, P. Correlation between ct severity scoring and diabetes mellitus in patients with COVID-19 infection. Cureus 2021, 13, e20199. [Google Scholar] [CrossRef]
- Dessie, Z.G.; Zewotir, T. Mortality-related risk factors of COVID-19: A systematic review and meta-analysis of 42 studies and 423,117 patients. BMC Infect. Dis. 2021, 21, 855. [Google Scholar] [CrossRef]
- Ssentongo, P.; Zhang, Y.; Witmer, L.; Chinchilli, V.M.; Ba, D.M. Association of COVID-19 with diabetes: A systematic review and meta-analysis. Sci. Rep. 2022, 12, 20191. [Google Scholar] [CrossRef]
- Yang, Y.; Zhong, W.; Tian, Y.; Xie, C.; Fu, X.; Zhou, H. The effect of diabetes on mortality of COVID-19: A protocol for systematic review and meta-analysis. Medicine 2020, 99, e20913. [Google Scholar] [CrossRef]
- Angelidi, A.M.; Belanger, M.J.; Mantzoros, C.S. Commentary: COVID-19 and diabetes mellitus: What we know, how our patients should be treated now, and what should happen next. Metab.-Clin. Exp. 2020, 107, 154245. [Google Scholar] [CrossRef]
- Fathi, N.; Rezaei, N. Lymphopenia in COVID-19: Therapeutic opportunities. Cell Biol. Int. 2020, 44, 1792–1797. [Google Scholar] [CrossRef] [PubMed]
- Obukhov, A.G.; Stevens, B.R.; Prasad, R.; Li Calzi, S.; Boulton, M.E.; Raizada, M.K.; Oudit, G.Y.; Grant, M.B. SARS-CoV-2 infections and ACE2: Clinical outcomes linked with increased morbidity and mortality in individuals with diabetes. Diabetes 2020, 69, 1875–1886. [Google Scholar] [CrossRef]
- Das, S.; Anu, K.R.; Birangal, S.R.; Nikam, A.N.; Pandey, A.; Mutalik, S.; Joseph, A. Role of comorbidities like diabetes on severe acute respiratory syndrome coronavirus-2: A review. Life Sci. 2020, 258, 118202. [Google Scholar] [CrossRef] [PubMed]
- Abdi, A.; Jalilian, M.; Sarbarzeh, P.A.; Vlaisavljevic, Z. Diabetes and COVID-19: A systematic review on the current evidences. Diabetes Res. Clin. Pract. 2020, 166, 108347. [Google Scholar] [CrossRef] [PubMed]
- Liu, Z.; Li, J.; Huang, J.; Guo, L.; Gao, R.; Luo, K.; Zeng, G.; Zhang, T.; Yi, M.; Huang, Y.; et al. Association between diabetes and COVID-19: A retrospective observational study with a large sample of 1,880 cases in Leishenshan Hospital, Wuhan. Front. Endocrinol. 2020, 11, 478. [Google Scholar] [CrossRef]
- Landstra, C.P.; de Koning, E.J. COVID-19 and diabetes: Understanding the interrelationship and risks for a severe course. Front. Endocrinol. 2021, 12, 649525. [Google Scholar] [CrossRef]
- Hussain, A.; Bhowmik, B.; do Vale Moreira, N.C. COVID-19 and diabetes: Knowledge in progress. Diabetes Res. Clin. Pract. 2020, 162, 108142. [Google Scholar] [CrossRef]
- Paust, S.; Senman, B.; Von Andrian, U.H. Adaptive immune responses mediated by natural killer cells. Immunol. Rev. 2010, 235, 286–296. [Google Scholar] [CrossRef]
- Chávez-Reyes, J.; Escárcega-González, C.E.; Chavira-Suárez, E.; León-Buitimea, A.; Vázquez-León, P.; Morones-Ramírez, J.R.; Villalón, C.M.; Quintanar-Stephano, A.; Marichal-Cancino, B.A. Susceptibility for some infectious diseases in patients with diabetes: The key role of glycemia. Front. Public Health 2021, 9, 559595. [Google Scholar] [CrossRef]
- Ye, Q.; Wang, B.; Mao, J. The pathogenesis and treatment of the ‘Cytokine Storm’ in COVID-19. J. Infect. 2020, 80, 607–613. [Google Scholar] [CrossRef]
- Jaganathan, R.; Ravindran, R.; Dhanasekaran, S. Emerging role of adipocytokines in type 2 diabetes as mediators of insulin resistance and cardiovascular disease. Can. J. Diabetes 2018, 42, 446–456.e1. [Google Scholar] [CrossRef]
- Daryabor, G.; Atashzar, M.R.; Kabelitz, D.; Meri, S.; Kalantar, K. The effects of type 2 diabetes mellitus on organ metabolism and the immune system. Front. Immunol. 2020, 11, 1582. [Google Scholar] [CrossRef]
- Gęca, T.; Wojtowicz, K.; Guzik, P.; Góra, T. Increased risk of COVID-19 in patients with diabetes mellitus—Current challenges in pathophysiology, treatment and prevention. Int. J. Environ. Res. Public Health 2022, 19, 6555. [Google Scholar] [CrossRef]
- Elibol, E.; Baran, H. The relation between serum D-dimer, ferritin and vitamin D levels, and dysgeusia symptoms, in patients with coronavirus disease 2019. J. Laryngol. Otol. 2021, 135, 45–49. [Google Scholar] [CrossRef]
- Xie, L.; Zhang, Z.; Wang, Q.; Chen, Y.; Lu, D.; Wu, W. COVID-19 and diabetes: A comprehensive review of angiotensin converting enzyme 2, mutual effects and pharmacotherapy. Front. Endocrinol. 2021, 12, 1541. [Google Scholar] [CrossRef]
- Shrivastava, S.R.; Shrivastava, P.S.; Ramasamy, J. Role of self-care in management of diabetes mellitus. J. Diabetes Metab. Disord. 2013, 12, 1–5. [Google Scholar] [CrossRef]
- Erener, S. Diabetes, infection risk and COVID-19. Mol. Metab. 2020, 39, 101044. [Google Scholar] [CrossRef]
- Marchetti, P.; Bugliani, M.; Boggi, U.; Masini, M.; Marselli, L. The pancreatic β cells in human type 2 diabetes. Diabetes Old Dis. New Insight 2013, 771, 288–309. [Google Scholar]
- Cerf, M.E. Beta cell dysfunction and insulin resistance. Front. Endocrinol. 2013, 4, 37. [Google Scholar] [CrossRef]
- Ni, W.; Yang, X.; Yang, D.; Bao, J.; Li, R.; Xiao, Y.; Hou, C.; Wang, H.; Liu, J.; Yang, D.; et al. Role of angiotensin-converting enzyme 2 (ACE2) in COVID-19. Crit. Care 2020, 24, 422. [Google Scholar] [CrossRef]
- Mine, K.; Nagafuchi, S.; Mori, H.; Takahashi, H.; Anzai, K. SARS-CoV-2 infection and pancreatic β cell failure. Biology 2022, 11, 22. [Google Scholar] [CrossRef] [PubMed]
- Rathore, P.; Kumar, S.; Choudhary, N.; Sarma, R.; Singh, N.; Haokip, N.; Bhopale, S.; Pandit, A.; Ratre, B.K.; Bhatnagar, S. Concerns of health-care professionals managing COVID patients under institutional isolation during COVID-19 pandemic in India: A descriptive cross-sectional study. Indian J. Palliat. Care 2020, 26 (Suppl. S1), S90. [Google Scholar] [PubMed]
- Comino, E.J.; Harris, M.F.; Islam, M.F.; Tran, D.T.; Jalaludin, B.; Jorm, L.; Flack, J.; Haas, M. Impact of diabetes on hospital admission and length of stay among a general population aged 45 year or more: A record linkage study. BMC Health Serv. Res. 2015, 15, 12. [Google Scholar] [CrossRef]
- Khalid, J.M.; Raluy-Callado, M.; Curtis, B.H.; Boye, K.S.; Maguire, A.; Reaney, M. Rates and risk of hospitalisation among patients with type 2 diabetes: Retrospective cohort study using the UK General Practice Research Database linked to English Hospital Episode Statistics. Int. J. Clin. Pract. 2014, 68, 40–48. [Google Scholar] [CrossRef] [PubMed]
- Berbudi, A.; Rahmadika, N.; Tjahjadi, A.I.; Ruslami, R. Type 2 diabetes and its impact on the immune system. Curr. Diabetes Rev. 2020, 16, 442–449. [Google Scholar]
- Tanaka, T.; Narazaki, M.; Kishimoto, T. IL-6 in inflammation, immunity, and disease. Cold Spring Harb. Perspect. Biol. 2014, 6, a016295. [Google Scholar] [CrossRef]



| CLASS | CTSS (out of 25) |
| MILD | 0–11 |
| MODERATE | 12–18 |
| SEVERE | >18 |
| Variable | Beta Coefficient | Standard Error | p Value | Odds Ratio | Odds Ratio Lower Bound (95%) | Odds Ratio Upper Bound (95%) |
|---|---|---|---|---|---|---|
| Gender | ||||||
| Female | 1.000 | |||||
| Male | −0.040 | 0.339 | 0.905 | 0.960 | 0.494 | 1.866 |
| Diabetics | 0.973 | 0.397 | 0.014 | 2.645 | 1.214 | 5.761 |
| Demographic and Baseline Characteristics | ||
|---|---|---|
| Age (Years) | Frequency | Percentage |
| ≤20 years | 01 | 0.66% |
| 21–40 years | 26 | 17.11% |
| 41–60 years | 86 | 56.58% |
| 61–80 years | 37 | 24.34% |
| >80 years | 02 | 01.32% |
| Mean ± SD | 52.9 ± 13.7 | |
| Median (25th–75th percentile) | 50 (45–61.25) | |
| Range | 18–88 | |
| Gender | ||
| Female | 54 | 35.53% |
| Male | 98 | 64.47% |
| Diabetics | 37 | 24.34% |
| Variable | Beta Coefficient | Standard Error | p Value | Odds Ratio | Odds Ratio Lower Bound (95%) | Odds Ratio Upper Bound (95%) |
|---|---|---|---|---|---|---|
| Diabetics | 0.886 | 0.425 | 0.037 | 2.426 | 1.054 | 5.584 |
| CT Severity Score | Patients without DM (n = 115) | Patients with DM (n = 37) | Total | p Value |
|---|---|---|---|---|
| 0–11 {Mild} | 65 (56.52%) | 12 (32.43%) | 77 (50.66%) | 0.024 |
| 12–18 {Moderate} | 46 (40%) | 22 (59.46%) | 68 (44.74%) | |
| >18 {Severe} | 4 (3.48%) | 3 (8.11%) | 7 (4.61%) | |
| Total | 115 (100%) | 37 (100%) | 152 (100%) |
Disclaimer/Publisher’s Note: The statements, opinions and data contained in all publications are solely those of the individual author(s) and contributor(s) and not of MDPI and/or the editor(s). MDPI and/or the editor(s) disclaim responsibility for any injury to people or property resulting from any ideas, methods, instructions or products referred to in the content. |
© 2023 by the authors. Licensee MDPI, Basel, Switzerland. This article is an open access article distributed under the terms and conditions of the Creative Commons Attribution (CC BY) license (https://creativecommons.org/licenses/by/4.0/).
Share and Cite
Bashir, M.; Inzamam, W.; Robbani, I.; Banday, T.R.; Al-Misned, F.A.; El-Serehy, H.A.; Vladulescu, C. Patients with Diabetes Experienced More Serious and Protracted Sickness from the COVID-19 Infection: A Prospective Study. Medicina 2023, 59, 472. https://doi.org/10.3390/medicina59030472
Bashir M, Inzamam W, Robbani I, Banday TR, Al-Misned FA, El-Serehy HA, Vladulescu C. Patients with Diabetes Experienced More Serious and Protracted Sickness from the COVID-19 Infection: A Prospective Study. Medicina. 2023; 59(3):472. https://doi.org/10.3390/medicina59030472
Chicago/Turabian StyleBashir, Muiez, Wani Inzamam, Irfan Robbani, Tanveer Rasool Banday, Fahad A. Al-Misned, Hamed A. El-Serehy, and Carmen Vladulescu. 2023. "Patients with Diabetes Experienced More Serious and Protracted Sickness from the COVID-19 Infection: A Prospective Study" Medicina 59, no. 3: 472. https://doi.org/10.3390/medicina59030472
APA StyleBashir, M., Inzamam, W., Robbani, I., Banday, T. R., Al-Misned, F. A., El-Serehy, H. A., & Vladulescu, C. (2023). Patients with Diabetes Experienced More Serious and Protracted Sickness from the COVID-19 Infection: A Prospective Study. Medicina, 59(3), 472. https://doi.org/10.3390/medicina59030472

