Does Rotation and Anterior Translation Persist as Residual Instability in the Knee after Anterior Cruciate Ligament Reconstruction? (Evaluation of Coronal Lateral Collateral Ligament Sign, Tibial Rotation, and Translation Measurements in Postoperative MRI)
Abstract
:1. Introduction
2. Materials and Methods
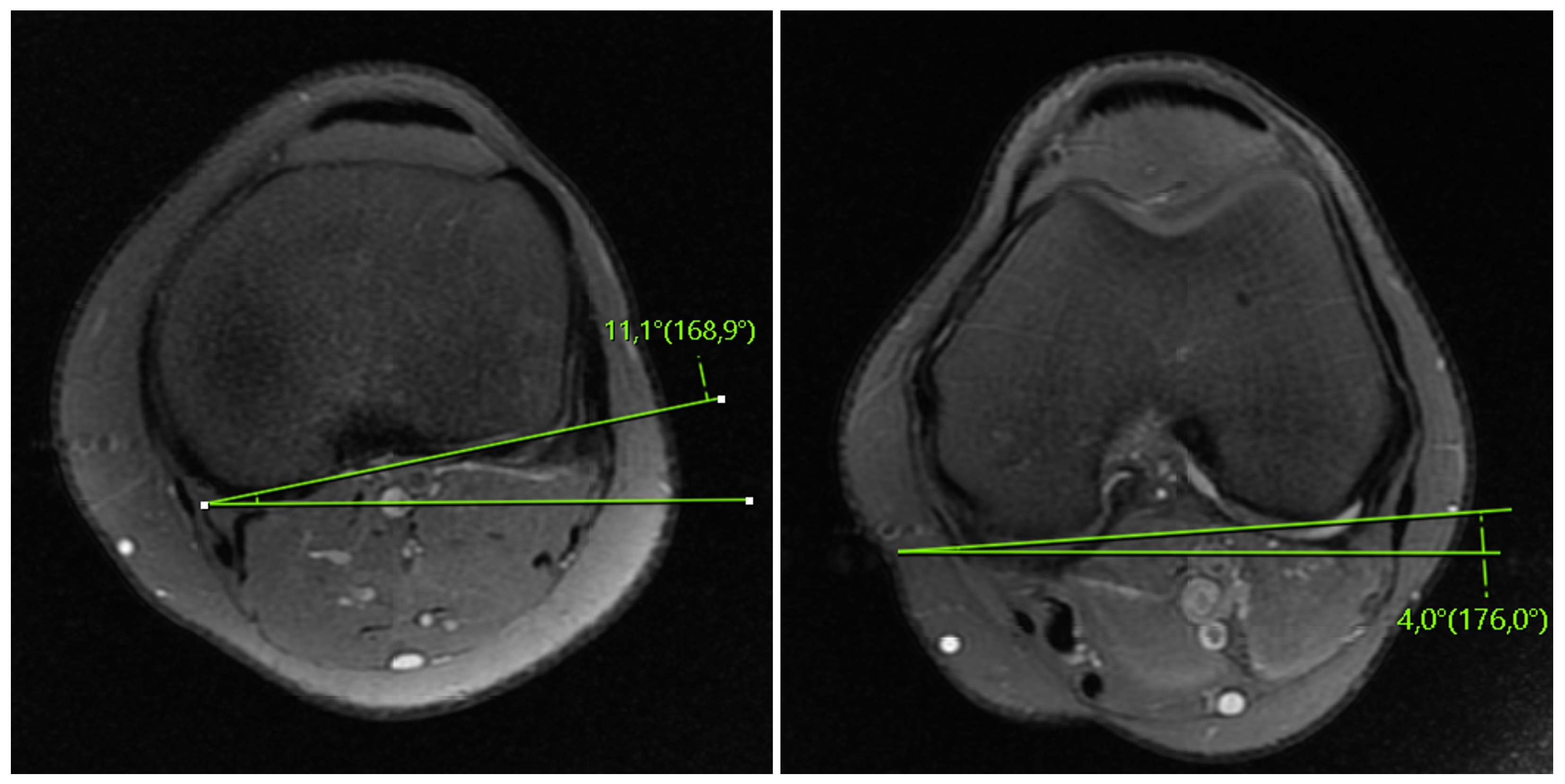
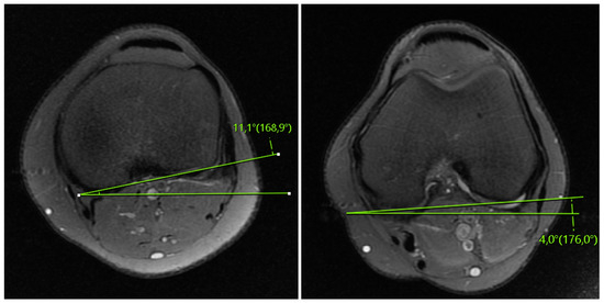
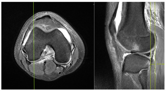
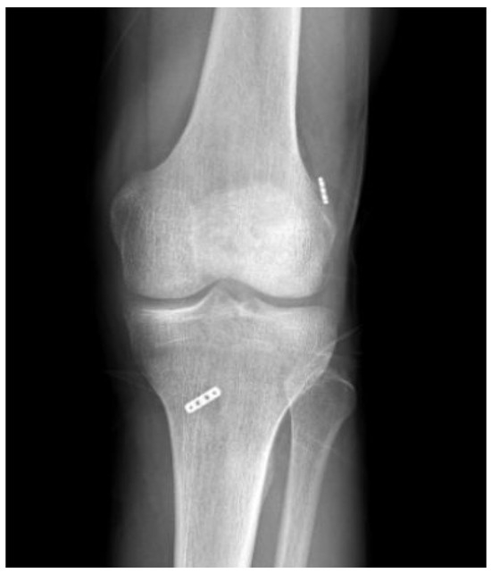
2.1. MRI Evaluation Methods
2.2. Clinical Evaluation
2.3. Isokinetic Strength Measurement
2.4. Surgical Technique
2.5. Statistical Analysis
3. Results
4. Discussion
5. Conclusions
Author Contributions
Funding
Institutional Review Board Statement
Informed Consent Statement
Data Availability Statement
Acknowledgments
Conflicts of Interest
References
- Gabriel, M.T.; Wong, E.K.; Woo, S.L.-Y.; Yagi, M.; Debski, R.E. Distribution of in Situ Forces in the Anterior Cruciate Ligament in Response to Rotatory Loads. J. Orthop. Res. 2004, 22, 85–89. [Google Scholar] [CrossRef] [PubMed]
- Guenoun, D.; Le Corroller, T.; Amous, Z.; Pauly, V.; Sbihi, A.; Champsaur, P. The Contribution of MRI to the Diagnosis of Traumatic Tears of the Anterior Cruciate Ligament. Diagn. Interv. Imaging 2012, 93, 331–341. [Google Scholar] [CrossRef] [PubMed]
- Harner, C.D.; Baek, G.H.; Vogrin, T.M.; Carlin, G.J.; Kashiwaguchi, S.; Woo, S.L.-Y. Quantitative Analysis of Human Cruciate Ligament Insertions. Arthrosc. J. Arthrosc. Relat. Surg. 1999, 15, 741–749. [Google Scholar] [CrossRef] [PubMed]
- Kennedy, J.C.; Weinberg, H.W.; Wilson, A.S. The Anatomy and Function of the Anterior Cruciate Ligament. As Determined by Clinical and Morphological Studies. J. Bone Jt. Surg. Am. 1974, 56, 223–235. [Google Scholar] [CrossRef]
- Klass, D.; Toms, A.P.; Greenwood, R.; Hopgood, P. MR Imaging of Acute Anterior Cruciate Ligament Injuries. Knee 2007, 14, 339–347. [Google Scholar] [CrossRef]
- Huang, T.-C.; Liu, Z.-W.; Hong, C.-K.; Wang, C.-H.; Hsu, K.-L.; Kuan, F.-C.; Su, W.-R. The Lateral Femoral Notch Sign and Coronal Lateral Collateral Ligament Sign in Magnetic Resonance Imaging Failed to Predict Dynamic Anterior Tibial Laxity. BMC Musculoskelet. Disord. 2022, 23, 402. [Google Scholar] [CrossRef]
- Kalegowda, A.; Ahmed, J.; Mehetri, G. Anterior Translation of the Tibia at MR Imaging as a Predictor of Degree of Anterior Cruciate Ligament Tear. Int. J. Anat. Radiol. Surg. 2018, 7, RO12–RO16. [Google Scholar]
- Mitchell, B.C.; Siow, M.Y.; Bastrom, T.; Bomar, J.D.; Pennock, A.T.; Parvaresh, K.; Edmonds, E.W. Coronal Lateral Collateral Ligament Sign: A Novel Magnetic Resonance Imaging Sign for Identifying Anterior Cruciate Ligament–Deficient Knees in Adolescents and Summarizing the Extent of Anterior Tibial Translation and Femorotibial Internal Rotation. Am. J. Sports Med. 2021, 49, 928–934. [Google Scholar] [CrossRef]
- Oldrini, G.; Teixeira, P.G.; Chanson, A.; Erpelding, M.L.; Osemont, B.; Louis, M.; Blum, A. MRI Appearance of the Distal Insertion of the Anterior Cruciate Ligament of the Knee: An Additional Criterion for Ligament Ruptures. Skelet. Radiol. 2012, 41, 1111–1120. [Google Scholar] [CrossRef]
- Palle, L.; Reddy, B.; Reddy, J. Sensitivity and Specificity of Vertically Oriented Lateral Collateral Ligament as an Indirect Sign of Anterior Cruciate Ligament Tear on Magnetic Resonance Imaging. Skelet. Radiol. 2010, 39, 1123–1127. [Google Scholar] [CrossRef]
- Tsai, K.-J.; Chiang, H.; Jiang, C.-C. Magnetic Resonance Imaging of Anterior Cruciate Ligament Rupture. BMC Musculoskelet. Disord. 2004, 5, 21. [Google Scholar] [CrossRef] [PubMed]
- Vassalou, E.E.; Klontzas, M.E.; Kouvidis, G.K.; Matalliotaki, P.I.; Karantanas, A.H. Rotational Knee Laxity in Anterior Cruciate Ligament Deficiency: An Additional Secondary Sign on MRI. Am. J. Roentgenol. 2016, 206, 151–154. [Google Scholar] [CrossRef] [PubMed]
- Chan, W.P.; Peterfy, C.; Fritz, R.C.; Genant, H.K. MR Diagnosis of Complete Tears of the Anterior Cruciate Ligament of the Knee: Importance of Anterior Subluxation of the Tibia. Am. J. Roentgenol. 1994, 162, 355–360. [Google Scholar] [CrossRef] [PubMed]
- Numkarunarunrote, N.; Chaitusaney, T. Anterior Tibial Translation Sign: Factors Affecting Interpretation of Anterior Cruciate Ligament Tear. J. Med. Assoc. Thai 2015, 98, S57–S62. [Google Scholar] [PubMed]
- Yu, J.S.; Bosch, E.; Pathria, M.N.; McAndless, M.; Mishra, D.; Daniel, D.; Clopton, P.; Resnick, D. Deep Lateral Femoral Sulcus: Study of 124 Patients with Anterior Cruciate Ligament Tear. Emerg. Radiol. 1995, 2, 129–134. [Google Scholar] [CrossRef]
- Herbst, E.; Hoser, C.; Tecklenburg, K.; Filipovic, M.; Dallapozza, C.; Herbort, M.; Fink, C. The Lateral Femoral Notch Sign Following ACL Injury: Frequency, Morphology and Relation to Meniscal Injury and Sports Activity. Knee Surg. Sport. Traumatol. Arthrosc. 2015, 23, 2250–2258. [Google Scholar] [CrossRef]
- Lee, J.K.; Yao, L.; Phelps, C.T.; Wirth, C.R.; Czajka, J.; Lozman, J. Anterior Cruciate Ligament Tears: MR Imaging Compared with Arthroscopy and Clinical Tests. Radiology 1988, 166, 861–864. [Google Scholar] [CrossRef]
- Benjaminse, A.; Gokeler, A.; van der Schans, C.P. Clinical Diagnosis of an Anterior Cruciate Ligament Rupture: A Meta-Analysis. J. Orthop. Sport. Phys. Ther. 2006, 36, 267–288. [Google Scholar] [CrossRef]
- Mitchell, B.C.; Siow, M.Y.; Bastrom, T.; Bomar, J.D.; Pennock, A.T.; Parvaresh, K.; Edmonds, E.W. Predictive Value of the Magnetic Resonance Imaging–Based Coronal Lateral Collateral Ligament Sign on Adolescent Anterior Cruciate Ligament Reconstruction Graft Failure. Am. J. Sport. Med. 2021, 49, 935–940. [Google Scholar] [CrossRef]
- Nyland, J.; Klein, S.; Caborn, D.N.M. Lower Extremity Compensatory Neuromuscular and Biomechanical Adaptations 2 to 11 Years After Anterior Cruciate Ligament Reconstruction. Arthrosc. J. Arthrosc. Relat. Surg. 2010, 26, 1212–1225. [Google Scholar] [CrossRef]
- Tagesson, S.; Öberg, B.; Kvist, J. Static and Dynamic Tibial Translation before, 5 Weeks after, and 5 Years after Anterior Cruciate Ligament Reconstruction. Knee Surg. Sport. Traumatol. Arthrosc. 2015, 23, 3691–3697. [Google Scholar] [CrossRef] [PubMed]
- Tagesson, S.; Öberg, B.; Kvist, J. Tibial Translation and Muscle Activation during Rehabilitation Exercises 5 Weeks after Anterior Cruciate Ligament Reconstruction. Scand. J. Med. Sci. Sport. 2010, 20, 154–164. [Google Scholar] [CrossRef] [PubMed]
- Tashiro, Y.; Okazaki, K.; Miura, H.; Matsuda, S.; Yasunaga, T.; Hashizume, M.; Nakanishi, Y.; Iwamoto, Y. Quantitative Assessment of Rotatory Instability after Anterior Cruciate Ligament Reconstruction. Am. J. Sport. Med. 2009, 37, 909–916. [Google Scholar] [CrossRef]
- Mahirogullari, M.; Kehribar, L.; Surucu, S.; Kayaalp, M.E.; Yilmaz, A.K.; Aydin, M. Comparative Results of Anterior Cruciate Ligament Reconstruction with Full Tibial Tunnel: Quadrupled Semitendinosus Suspensory Femoral and Tibial Fixation versus Quadrupled Semitendinosus and Gracilis Suspensory Femoral and Tibial Screw and Staple Fixatio. J. Knee Surg. 2023, 36, 1069–1076. [Google Scholar] [CrossRef] [PubMed]
- Genç, A.S.; Güzel, N.; Yılmaz, A.K.; Ermiş, E.; Pekesen Kurtça, M.; Agar, A.; Ceritoğlu, K.U.; Yasul, Y.; Eseoğlu, İ.; Kehribar, L. Post-Operative Modified All-Inside ACL Reconstruction Technique’s Clinical Outcomes and Isokinetic Strength Assessments. Diagnostics 2023, 13, 2787. [Google Scholar] [CrossRef]
- Hong, C.-K.; Hoshino, Y.; Watanabe, S.; Nagai, K.; Matsushita, T.; Su, W.-R.; Kuroda, R. The Coronal Lateral Collateral Ligament Sign in the Anterior Cruciate Ligament-Injured Knees Was Observed Regardless of the Knee Laxity Based on the Quantitative Measurements. Knee Surg. Sport. Traumatol. Arthrosc. 2022, 30, 3508–3514. [Google Scholar] [CrossRef]
- James, S.L.J.; Connell, D.A. The Vertically Orientated Fibular Collateral Ligament: A Secondary Sign of Anterior Cruciate Ligament Rupture on Magnetic Resonance Imaging. Eur. Radiol. 2006, 16, 1854–1856. [Google Scholar] [CrossRef]
- Vahey, T.N.; Hunt, J.E.; Shelbourne, K.D. Anterior Translocation of the Tibia at MR Imaging: A Secondary Sign of Anterior Cruciate Ligament Tear. Radiology 1993, 187, 817–819. [Google Scholar] [CrossRef]
- Arneja, S.; Leith, J. Review Article: Validity of the KT-1000 Knee Ligament Arthrometer. J. Orthop. Surg. 2009, 17, 77–79. [Google Scholar] [CrossRef]
- Bach, B.R.; Warren, R.F.; Flynn, W.M.; Kroll, M.; Wickiewiecz, T.L. Arthrometric Evaluation of Knees That Have a Torn Anterior Cruciate Ligament. J. Bone Jt. Surg. 1990, 72, 1299–1306. [Google Scholar] [CrossRef]
- Brandsson, S.; Karlsson, J.; Swärd, L.; Kartus, J.; Eriksson, B.I.; Kärrholm, J. Kinematics and Laxity of the Knee Joint after Anterior Cruciate Ligament Reconstruction. Am. J. Sport. Med. 2002, 30, 361–367. [Google Scholar] [CrossRef]
- Ganko, A.; Engebretsen, L.; Ozer, H. The Rolimeter: A New Arthrometer Compared with the KT-1000. Knee Surg. Sport. Traumatol. Arthrosc. 2000, 8, 36–39. [Google Scholar] [CrossRef]
- Giannotti, B.F.; Fanelli, G.C.; Barrett, T.A.; Edson, C. The Predictive Value of Intraoperative KT-1000 Arthrometer Measurements in Single Incision Anterior Cruciate Ligament Reconstruction. Arthrosc. J. Arthrosc. Relat. Surg. 1996, 12, 660–666. [Google Scholar] [CrossRef] [PubMed]
- Hyder, N.; Bollen, S.R.; Sefton, G.; Swann, A.C. Correlation between Arthrometric Evaluation of Knees Using KT 1000 and Telos Stress Radiography and Functional Outcome Following ACL Reconstruction. Knee 1997, 4, 121–124. [Google Scholar] [CrossRef]
- Keizer, M.N.J.; Otten, E. Passive Anterior Tibia Translation in Anterior Cruciate Ligament-Injured, Anterior Cruciate Ligament-Reconstructed and Healthy Knees: A Systematic Review. Musculoskelet. Surg. 2019, 103, 121–130. [Google Scholar] [CrossRef]
- Papannagari, R.; Gill, T.J.; DeFrate, L.E.; Moses, J.M.; Petruska, A.J.; Li, G. In Vivo Kinematics of the Knee after Anterior Cruciate Ligament Reconstruction. Am. J. Sport. Med. 2006, 34, 2006–2012. [Google Scholar] [CrossRef]
- Tashman, S.; Kolowich, P.; Collon, D.; Anderson, K.; Anderst, W. Dynamic Function of the ACL-Reconstructed Knee during Running. Clin. Orthop. Relat. Res. 2007, 454, 66–73. [Google Scholar] [CrossRef]
- Hofbauer, M.; Thorhauer, E.D.; Abebe, E.; Bey, M.; Tashman, S. Altered Tibiofemoral Kinematics in the Affected Knee and Compensatory Changes in the Contralateral Knee After Anterior Cruciate Ligament Reconstruction. Am. J. Sport. Med. 2014, 42, 2715–2721. [Google Scholar] [CrossRef]
- Yosmaoğlu, H.B.; Baltacı, G.; Kaya, D.; Ozer, H.; Atay, A. Comparison of Functional Outcomes of Two Anterior Cruciate Ligament Reconstruction Methods with Hamstring Tendon Graft. Acta Orthop. Traumatol. Turc. 2011, 45, 240–247. [Google Scholar] [CrossRef]
- Tashman, S.; Collon, D.; Anderson, K.; Kolowich, P.; Anderst, W. Abnormal Rotational Knee Motion during Running after Anterior Cruciate Ligament Reconstruction. Am. J. Sport. Med. 2004, 32, 975–983. [Google Scholar] [CrossRef]
- Hardy, A.; Klouche, S.; Szarzynski, P.; Charpentier, E.; Beranger, J.S.; Bauer, T.; Rousselin, B.; Judet, O.; Hardy, P. A Threshold Value of 3.5 Mm of Passive Anterior Tibial Subluxation on MRI Is Highly Specific for Complete ACL Tears. Knee Surg. Sport. Traumatol. Arthrosc. 2019, 27, 885–892. [Google Scholar] [CrossRef] [PubMed]
- Zee, M.J.M.; Robben, B.J.; Zuurmond, R.G.; Bulstra, S.K.; Diercks, R.L. Effect of ACL Reconstruction on Range of Tibial Rotation: A Systematic Review of Current Literature and a Recommendation for a Standard Measuring Protocol. Orthop. J. Sport. Med. 2020, 8, 232596712094596. [Google Scholar] [CrossRef] [PubMed]
- Lian, J.; Diermeier, T.; Meghpara, M.; Popchak, A.; Smith, C.N.; Kuroda, R.; Zaffagnini, S.; Samuelsson, K.; Karlsson, J.; Irrgang, J.J.; et al. Rotatory Knee Laxity Exists on a Continuum in Anterior Cruciate Ligament Injury. J. Bone Jt. Surg. 2020, 102, 213–220. [Google Scholar] [CrossRef] [PubMed]





| n | Mean | Std. Deviation | |
|---|---|---|---|
| Age (years) | 32 | 25.72 | 6.55 |
| Weight (kg) | 32 | 77.06 | 9.84 |
| Height (m) | 32 | 176.47 | 6.95 |
| Body Mass Index (kg/m2) | 32 | 24.71 | 2.32 |
| Preop Lysholm Knee Scoring Scale | 32 | 72.25 | 8.28 |
| Postop Lysholm Knee Scoring Score | 32 | 98.59 | 2.47 |
| Preop IKDC Score | 32 | 49.88 | 8.32 |
| Postop IKDC Score | 32 | 90.31 | 5.56 |
| Preop Tegner Activity Score | 32 | 6.38 | 1 |
| Postop Tegner Activity Score | 32 | 5.91 | 1.05 |
| ATT Distance Change | 32 | 0.82 | 3.21 |
| FTR Angle Change | 32 | 0.18 | 2.8 |
| n | Mean | Std. Deviation | p Value | ||
|---|---|---|---|---|---|
| ATT Distance | Preop | 32 | 6.55 | 3.9 | 0.325 |
| Postop | 32 | 5.73 | 3.2 | ||
| FTR Angle | Preop | 32 | 5.45 | 2.9 | 0.506 |
| Postop | 32 | 5.26 | 3.51 |
| Postop LCL Sign | Total | |||
|---|---|---|---|---|
| No | Yes | |||
| Preop LCL Sign | No | 13 | 2 | 15 |
| Yes | 2 | 15 | 17 | |
| Total | 15 | 17 | 32 | |
| Postop Coronal LCL Sign | n | Mean | Std. Deviation | p Value | |
|---|---|---|---|---|---|
| Postop LKSS | Yes | 17 | 99.29 | 1.64 | 0.134 |
| No | 15 | 97.80 | 3.02 | ||
| Postop TAS | Yes | 17 | 5.94 | 1.19 | 0.846 |
| No | 15 | 5.87 | 0.91 | ||
| Postop IKDC Score | Yes | 17 | 91.29 | 5.61 | 0.296 |
| No | 15 | 89.20 | 5.49 | ||
| 60°/s Ex | Yes | 17 | 0.82 | 0.21 | 0.336 |
| No | 15 | 0.93 | 0.26 | ||
| 60°/s Flx | Yes | 17 | 0.90 | 0.24 | 0.209 |
| No | 15 | 1.00 | 0.20 | ||
| H/Q Ratio 60°/s | Yes | 17 | 1.12 | 0.30 | 0.891 |
| No | 15 | 1.14 | 0.39 | ||
| 180°/s Ex | Yes | 17 | 0.84 | 0.22 | 0.985 |
| No | 15 | 0.88 | 0.20 | ||
| 180°/s Flx | Yes | 17 | 0.93 | 0.32 | 0.760 |
| No | 15 | 0.96 | 0.21 | ||
| H/Q Raito 180°/s | Yes | 17 | 1.11 | 0.27 | 0.865 |
| No | 15 | 1.15 | 0.44 | ||
| 240°/s Ex | Yes | 17 | 0.88 | 0.21 | 0.664 |
| No | 15 | 0.98 | 0.22 | ||
| 240°/s Flx | Yes | 17 | 0.95 | 0.27 | 0.927 |
| No | 15 | 0.94 | 0.18 | ||
| H/Q Ratio 240°/s | Yes | 17 | 1.11 | 0.19 | 0.199 |
| No | 15 | 1.00 | 0.26 |
| Operated Side Isokinetic Measurements | Operated Side H/Q | ||||||||||||
|---|---|---|---|---|---|---|---|---|---|---|---|---|---|
| Postop LKSS | Postop IKDC | Postop TAS | 60°/s Ex | 60°/s Flx | 180°/s Ex | 180°/s Flx | 240°/s Ex | 240°/s Flx | 60°/s | 180°/s | 240°/s | ||
| Postop FTR Angle | Correlation Co. | 0.133 | 0.253 | −0.121 | 0.031 | −0.158 | 0.072 | −0.123 | 0.020 | −0.079 | −0.389 * | −0.324 | −0.147 |
| p value | 0.235 | 0.081 | 0.255 | 0.868 | 0.388 | 0.697 | 0.502 | 0.913 | 0.666 | 0.028 | 0.071 | 0.421 | |
| Postop ATT Distance | Correlation Co. | 0.196 | 0.078 | −0.051 | −0.026 | −0.219 | −0.127 | −0.298 | −0.078 | −0.267 | −0.413 * | −0.132 | −0.260 |
| p value | 0.142 | 0.336 | 0.390 | 0.887 | 0.229 | 0.487 | 0.097 | 0.672 | 0.140 | 0.019 | 0.470 | 0.151 | |
| FTR Angle Change | Correlation Co. | −0.246 | 0.012 | 0.176 | −0.126 | −0.228 | −0.076 | −0.317 | −0.121 | −0.324 | −0.079 | −0.174 | −0.20 |
| p value | 0.087 | 0.473 | 0.168 | 0.493 | 0.208 | 0.681 | 0.077 | 0.508 | 0.070 | 0.667 | 0.340 | 0.074 | |
| ATT Distance Change | Correlation Co. | 0.038 | 0.010 | 0.163 | −0.197 | −0.254 | −0.058 | −0.278 | −0.079 | −0.269 | −0.026 | −0.171 | −0.416 * |
| p value | 0.419 | 0.479 | 0.186 | 0.281 | 0.161 | 0.751 | 0.123 | 0.668 | 0.136 | 0.887 | 0.348 | 0.018 | |
Disclaimer/Publisher’s Note: The statements, opinions and data contained in all publications are solely those of the individual author(s) and contributor(s) and not of MDPI and/or the editor(s). MDPI and/or the editor(s) disclaim responsibility for any injury to people or property resulting from any ideas, methods, instructions or products referred to in the content. |
© 2023 by the authors. Licensee MDPI, Basel, Switzerland. This article is an open access article distributed under the terms and conditions of the Creative Commons Attribution (CC BY) license (https://creativecommons.org/licenses/by/4.0/).
Share and Cite
Karatekin, Y.S.; Altınayak, H.; Kehribar, L.; Yılmaz, A.K.; Korkmaz, E.; Anıl, B. Does Rotation and Anterior Translation Persist as Residual Instability in the Knee after Anterior Cruciate Ligament Reconstruction? (Evaluation of Coronal Lateral Collateral Ligament Sign, Tibial Rotation, and Translation Measurements in Postoperative MRI). Medicina 2023, 59, 1930. https://doi.org/10.3390/medicina59111930
Karatekin YS, Altınayak H, Kehribar L, Yılmaz AK, Korkmaz E, Anıl B. Does Rotation and Anterior Translation Persist as Residual Instability in the Knee after Anterior Cruciate Ligament Reconstruction? (Evaluation of Coronal Lateral Collateral Ligament Sign, Tibial Rotation, and Translation Measurements in Postoperative MRI). Medicina. 2023; 59(11):1930. https://doi.org/10.3390/medicina59111930
Chicago/Turabian StyleKaratekin, Yavuz Selim, Harun Altınayak, Lokman Kehribar, Ali Kerim Yılmaz, Esra Korkmaz, and Berna Anıl. 2023. "Does Rotation and Anterior Translation Persist as Residual Instability in the Knee after Anterior Cruciate Ligament Reconstruction? (Evaluation of Coronal Lateral Collateral Ligament Sign, Tibial Rotation, and Translation Measurements in Postoperative MRI)" Medicina 59, no. 11: 1930. https://doi.org/10.3390/medicina59111930
APA StyleKaratekin, Y. S., Altınayak, H., Kehribar, L., Yılmaz, A. K., Korkmaz, E., & Anıl, B. (2023). Does Rotation and Anterior Translation Persist as Residual Instability in the Knee after Anterior Cruciate Ligament Reconstruction? (Evaluation of Coronal Lateral Collateral Ligament Sign, Tibial Rotation, and Translation Measurements in Postoperative MRI). Medicina, 59(11), 1930. https://doi.org/10.3390/medicina59111930

