The Usefulness and Reliability of Coagrasper for Artery Bleeding during Endoscopic Necrosectomy
Abstract
:1. Introduction
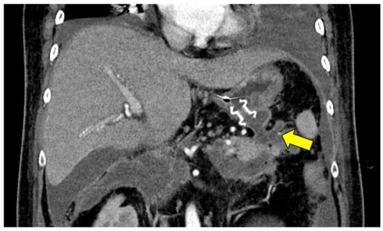
2. Case Presentation
3. Discussion
4. Conclusions
Supplementary Materials
Author Contributions
Funding
Institutional Review Board Statement
Informed Consent Statement
Data Availability Statement
Conflicts of Interest
References
- Siddiqui, A.A.; Kowalski, T.E.; Loren, D.E.; Khalid, A.; Soomro, A.; Mazhar, S.M.; Isby, L.; Kahaleh, M.; Karia, K.; Yoo, J.; et al. Fully covered self-expanding metal stents versus lumen-apposing fully covered self-expanding metal stent versus plastic stents for endoscopic drainage of pancreatic walled-off necrosis: Clinical outcomes and success. Gastrointest. Endosc. 2017, 85, 758–765. [Google Scholar] [CrossRef] [PubMed]
- van Brunschot, S.; Fockens, P.; Bakker, O.J.; Besselink, M.G.; Voermans, R.P.; Poley, J.W.; Gooszen, H.G.; Bruno, M.; van Santvoort, H.C. Endoscopic transluminal necrosectomy in necrotising pancreatitis: A systematic review. Surg. Endosc. 2014, 28, 1425–1438. [Google Scholar] [CrossRef] [PubMed]
- DeSimone, M.L.; Asombang, A.W.; Berzin, T.M. Lumen apposing metal stents for pancreatic fluid collections: Recognition and management of complications. World J. Gastrointest. Endosc. 2017, 9, 456–463. [Google Scholar] [CrossRef] [PubMed]
- Holmes, I.; Shinn, B.; Mitsuhashi, S.; Boortalary, T.; Bashir, M.; Kowalski, T.; Loren, D.; Kumar, A.; Schlachterman, A.; Chiang, A. Prediction and management of bleeding during endoscopic necrosectomy for pancreatic walled-off necrosis: Results of a large retrospective cohort at a tertiary referral center. Gastrointest. Endosc. 2022, 95, 482–488. [Google Scholar] [CrossRef] [PubMed]
- Luigiano, C.; Pellicano, R.; Fusaroli, P.; Iabichino, G.; Arena, M.; Lisotti, A.; Consolo, P.; Morace, C.; Opocher, E.; Caletti, G.; et al. Pancreatic necrosectomy: An evidence-based systematic review of the levels of evidence and a comparison of endoscopic versus non-endoscopic techniques. Minerva Chir. 2016, 71, 262–269. [Google Scholar] [PubMed]
- Tanaka, S.; Toyonaga, T.; Morita, Y.; Ishida, T.; Hoshi, N.; Grimes, K.L.; Ohara, Y.; Yoshizaki, T.; Kawara, F.; Umegaki, E.; et al. Efficacy of a new hemostatic forceps during gastric endoscopic submucosal dissection: A prospective randomized controlled trial. J. Gastroenterol. Hepatol. 2017, 32, 846–851. [Google Scholar] [CrossRef] [PubMed]
- Coumaros, D.; Tsesmeli, N. Active gastrointestinal bleeding: Use of hemostatic forceps beyond endoscopic submucosal dissection. World J. Gastroenterol. 2010, 16, 2061–2064. [Google Scholar] [CrossRef] [PubMed]
- Andueep, K.V.; Katukuri, G.R.; Lakhtakia, S.; Ramchandani, M.; Reddy, D.N. Hemostasis During Endoscopic Necrosectomy: Spray Coagulation Can be a Savior! Am. J. Gastroenterol. 2022, 117, 375–376. [Google Scholar]
- Matsumi, A.; Matsumoto, K.; Okada, H. Hemostasis with hemostatic forceps for bleeding during endoscopic necrosectomy. Dig. Endosc. 2018, 30, 810–811. [Google Scholar] [CrossRef] [PubMed]


Disclaimer/Publisher’s Note: The statements, opinions and data contained in all publications are solely those of the individual author(s) and contributor(s) and not of MDPI and/or the editor(s). MDPI and/or the editor(s) disclaim responsibility for any injury to people or property resulting from any ideas, methods, instructions or products referred to in the content. |
© 2023 by the authors. Licensee MDPI, Basel, Switzerland. This article is an open access article distributed under the terms and conditions of the Creative Commons Attribution (CC BY) license (https://creativecommons.org/licenses/by/4.0/).
Share and Cite
Ito, Y.; Okuno, M.; Iwata, K.; Kawade, M.; Iwasa, Y.; Sugiyama, A.; Nishigaki, Y.; Tomita, E. The Usefulness and Reliability of Coagrasper for Artery Bleeding during Endoscopic Necrosectomy. Medicina 2023, 59, 1861. https://doi.org/10.3390/medicina59101861
Ito Y, Okuno M, Iwata K, Kawade M, Iwasa Y, Sugiyama A, Nishigaki Y, Tomita E. The Usefulness and Reliability of Coagrasper for Artery Bleeding during Endoscopic Necrosectomy. Medicina. 2023; 59(10):1861. https://doi.org/10.3390/medicina59101861
Chicago/Turabian StyleIto, Yuki, Mitsuru Okuno, Keisuke Iwata, Masahiro Kawade, Yuhei Iwasa, Akihiko Sugiyama, Youichi Nishigaki, and Eiichi Tomita. 2023. "The Usefulness and Reliability of Coagrasper for Artery Bleeding during Endoscopic Necrosectomy" Medicina 59, no. 10: 1861. https://doi.org/10.3390/medicina59101861
APA StyleIto, Y., Okuno, M., Iwata, K., Kawade, M., Iwasa, Y., Sugiyama, A., Nishigaki, Y., & Tomita, E. (2023). The Usefulness and Reliability of Coagrasper for Artery Bleeding during Endoscopic Necrosectomy. Medicina, 59(10), 1861. https://doi.org/10.3390/medicina59101861

