Refractory Chylothorax Secondary to Sizeable Azygos Vein Hemangioma: Tailored Multimodal Treatment of a Challenging Case Report
Abstract
1. Introduction
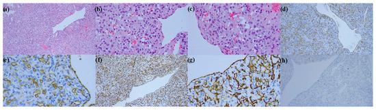
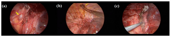
2. Case Presentation
3. Discussion
Supplementary Materials
Author Contributions
Funding
Institutional Review Board Statement
Informed Consent Statement
Data Availability Statement
Conflicts of Interest
References
- Cai, X.; Liu, C. A case of middle mediastinal cavernous hemangioma. Thorac. Cancer 2020, 11, 789–792. [Google Scholar] [CrossRef] [PubMed]
- Li, S.M.; Hsu, H.H. Mediastinal hemangioma presenting with a characteristic feature on dynamic computed tomography images. J. Thorac. Dis. 2017, 9, E412–E415. [Google Scholar] [CrossRef] [PubMed]
- Zhang, C.; Luo, W.; Ma, L.; Ni, Y. Venous hemangioma of the azygos arch. Eur. J. Cardio-Thoracic Surg. 2007, 32, 669–670. [Google Scholar] [CrossRef] [PubMed][Green Version]
- Das, K.M.; Ahmed, A.M.; Aljubab, A.; AlZoum, M.A. Multidetector computed tomography evaluation of cavernous haemangioma of the azygous vein. Interact Cardiovasc. Thorac. Surg. 2013, 17, 436–437. [Google Scholar] [CrossRef][Green Version]
- He, J.; Mao, H.; Li, H.; Zhu, B.; Chen, J.; Zhou, Z. A Case of Idiopathic Azygos Vein Aneurysm and Review of the Literature. J. Thorac. Imaging 2012, 27, W91–W93. [Google Scholar] [CrossRef]
- Ling, X.; Yu, R.; Fang, L.; Zhang, X.; Yao, C.; Tu, K.; Chen, Z. Thoracoscopic approach to the resection of idiopathic azygos vein aneurysm: A case report. J. Cardiothorac. Surg. 2022, 17, 163. [Google Scholar] [CrossRef]
- Ferrari, P.A.; Santoru, M.; Pinna-Susnik, M.; Grimaldi, G.; Murenu, A.; Riva, L.; Sarais, S.; Sotgiu, G.; Tamburrini, A.; Cherchi, R. Additional pleural painting with iodopovidone during video-assisted thoracoscopic bullectomy for primary spontaneous pneumothorax: An observational, single-center retrospective analysis. Shanghai Chest 2022, 6, 20. [Google Scholar] [CrossRef]
- Yamanaka, S.; Sakurada, A.; Matsumura, Y.; Endo, C.; Sato, M.; Kondo, T. A rare case of hemangioma arising from the azygos vein: Informative procedure with endobronchial ultrasonography. J. Thorac. Cardiovasc. Surg. 2004, 127, 294–295. [Google Scholar] [CrossRef]
- Deng, H.Y.; Tang, X. Missed diagnosis of azygos vein aneurysm mimicking mediastinal lymph node. ANZ J. Surg. 2020, 91, E130–E131. [Google Scholar] [CrossRef]
- Savu, C.; Melinte, A.; Balescu, I.; Bacalbasa, N. Azygos Vein Aneurysm Mimicking a Mediastinal Mass. Vivo 2020, 34, 2135–2140. [Google Scholar] [CrossRef]
- Obeso, A.; Souilamas, R. Unexpected Intraoperative Finding of Azygos Vein Aneurysm Mimicking a Metastatic Lymph Node. Arch. Bronconeumol. 2018, 54, 217. [Google Scholar] [CrossRef] [PubMed]
- Sato, Y.; Murata, K.; Wada, A.; Takamori, M. Azygos Vein Aneurysm Mimicking a Calcified Lymph Node. Intern. Med. 2016, 55, 3405–3406. [Google Scholar] [CrossRef] [PubMed][Green Version]
- Ueda, Y.; Tokuno, J.; Shoji, T.; Huang, C.-L. An azygos vein aneurysm resected by video-assisted thoracic surgery after preoperative evaluation of multidetector computed tomography. Interact. Cardiovasc. Thorac. Surg. 2013, 18, 135–136. [Google Scholar] [CrossRef] [PubMed]
- Choo, J.Y.; Lee, K.Y.; Oh, S.J.; Je, B.K.; Lee, S.H.; Kim, B.H. Azygos Vein Aneurysm Mimicking Paratracheal Mass: Dynamic Magnetic Resonance Imaging Findings. Balk. Med. J. 2013, 30, 111–115. [Google Scholar] [CrossRef] [PubMed]
- Chiu, S.S.; Lau, S.; Kam, C.-K. Azygous Vein Aneurysm: CT scan follow-up. J. Thorac. Imaging 2006, 21, 66–68. [Google Scholar] [CrossRef] [PubMed]
- Nguyen, B.D. Imaging of Intravenous Lobular Capillary Hemangioma of Azygos Vein. Clin. Nucl. Med. 2014, 39, e114–e116. [Google Scholar] [CrossRef]
- Papavasiliou, K.; Stavridis, K.; Potoupnis, M.E.; Sarris, I.; Tsiridis, E. Aortic Endovascular Stent IIIb Endoleak Combined With Sealed Aneurysm Rupture Mimicking a Paravertebral Retroperitoneal Tumor. Cureus 2021, 13, e16463. [Google Scholar] [CrossRef]
- Person, T.D.; Komanapalli, C.B.; Chaugle, H.; Schipper, P.H.; Sukumar, M.S. Thoracoscopic approach to the resection of an azygos vein aneurysm. J. Thorac. Cardiovasc. Surg. 2005, 130, 230–231. [Google Scholar] [CrossRef][Green Version]
- Yang, Q.; Bai, X.; Bao, H.; Li, Y.; Men, W.; Lv, L.; Liu, Z.; Han, X.; Li, W. Invasive treatment of persistent postoperative chylothorax secondary to thoracic duct variation injury: Two case reports and literature review. Medicine 2022, 101, e31383. [Google Scholar] [CrossRef]
- Favelier, S.; Estivalet, L.; Pottecher, P.; Loffroy, R. Successful Endovascular Treatment of a Large Azygos Vein Aneurysm With Stent-Graft Implantation. Ann. Thorac. Surg. 2015, 99, 1455. [Google Scholar] [CrossRef]
- Irurzun, J.; de España, F.; Arenas, J.; García-Sevila, R.; Gil, S. Successful Endovascular Treatment of a Large Idiopathic Azygos Arch Aneurysm. J. Vasc. Interv. Radiol. 2008, 19, 1251–1254. [Google Scholar] [CrossRef]
- Weber, H.S. Transcatheter occlusion of an azygous vein aneurysm. Catheter. Cardiovasc. Interv. 2011, 77, 99–102. [Google Scholar] [CrossRef]
- Kreibich, M.; Siepe, M.; Grohmann, J.; Pache, G.; Beyersdorf, F. Aneurysms of the azygos vein. J. Vasc. Surg. Venous Lymphat. Disord. 2017, 5, 576–586. [Google Scholar] [CrossRef]
- Dang, L.; Liu, C.; Yang, S.M.; Jiang, L.; Liu, Z.J.; Liu, X.G.; Yuan, H.S.; Wei, F.; Yu, M. Aggressive vertebral hemangioma of the thoracic spine without typical radiological appearance. Eur. Spine J. 2012, 21, 1994–1999. [Google Scholar] [CrossRef]
- Goizueta, A.A.; Libbey, P.; Moulton, A.; El-Bizri, R. Incidental discovery of a large complicated arteriovenous haemangioma. BMJ Case Rep. 2017, 2017, bcr2016218759. [Google Scholar] [CrossRef] [PubMed]
- Mizutani, E.; Morita, R.; Kitamura, S. Arteriovenous hemangioma in the middle mediastinum: Report of a case. Surg. Today 2011, 41, 846–848. [Google Scholar] [CrossRef] [PubMed]
- Feng, Q.; He, X. Posterior mediastinal arteriovenous haemangioma. Eur. J. Cardio-Thorac. Surg. 2022, 61, 1199–1200. [Google Scholar] [CrossRef] [PubMed]
- Wang, Z.X.; Yang, L.L.; Xu, Z.N.; Lv, P.Y.; Wang, Y. Surgical therapy for hemangioma of the azygos vein arch under thoracoscopy: A case report. World J. Clin. Cases 2021, 9, 2655–2661. [Google Scholar] [CrossRef]
- Husai, M.; Yixin, C.; Ni, Z.; Wenxin, W.; Xiangning, F. Thoracoscopic Resection of a Rare Case of Hemangioma of the Azygos Venous Arch. Case Rep. Surg. 2017, 2017, 1693912. [Google Scholar] [CrossRef] [PubMed]
- Aelony, Y. Talc Pleurodesis vs Iodopovidone. Chest 2003, 123, 1318–1319. [Google Scholar] [CrossRef]
- Agarwal, R.; Khan, A.; Aggarwal, A.N.; Gupta, D. Efficacy & safety of iodopovidone pleurodesis: A systematic review & me-ta-analysis. Indian J. Med. Res. 2012, 135, 297–304. [Google Scholar] [PubMed]
- Agarwal, R.; Paul, A.S.; Aggarwal, A.N.; Gupta, D.; Jindal, S.K. A randomized controlled trial of the efficacy of cosmetic talc compared with iodopovidone for chemical pleurodesis. Respirology 2011, 16, 1064–1069. [Google Scholar] [CrossRef] [PubMed]
- Zheng, C.; Zhang, F.; Tu, S.; Zhang, X.; Zhao, C. Cavernous hemangioma of the thymus: A case report and review of the literature. Medicine 2018, 97, e11698. [Google Scholar] [CrossRef] [PubMed]




Disclaimer/Publisher’s Note: The statements, opinions and data contained in all publications are solely those of the individual author(s) and contributor(s) and not of MDPI and/or the editor(s). MDPI and/or the editor(s) disclaim responsibility for any injury to people or property resulting from any ideas, methods, instructions or products referred to in the content. |
© 2022 by the authors. Licensee MDPI, Basel, Switzerland. This article is an open access article distributed under the terms and conditions of the Creative Commons Attribution (CC BY) license (https://creativecommons.org/licenses/by/4.0/).
Share and Cite
Ferrari, P.A.; Fusaro, F.; Ferrari, A.; Tamburrini, A.; Grimaldi, G.; Santoru, M.; Zappadu, S.; Tanda, E.; Nemolato, S.; Comelli, S.; et al. Refractory Chylothorax Secondary to Sizeable Azygos Vein Hemangioma: Tailored Multimodal Treatment of a Challenging Case Report. Medicina 2023, 59, 91. https://doi.org/10.3390/medicina59010091
Ferrari PA, Fusaro F, Ferrari A, Tamburrini A, Grimaldi G, Santoru M, Zappadu S, Tanda E, Nemolato S, Comelli S, et al. Refractory Chylothorax Secondary to Sizeable Azygos Vein Hemangioma: Tailored Multimodal Treatment of a Challenging Case Report. Medicina. 2023; 59(1):91. https://doi.org/10.3390/medicina59010091
Chicago/Turabian StyleFerrari, Paolo Albino, Federico Fusaro, Antonio Ferrari, Alessandro Tamburrini, Giulia Grimaldi, Massimiliano Santoru, Sara Zappadu, Elisabetta Tanda, Sonia Nemolato, Simone Comelli, and et al. 2023. "Refractory Chylothorax Secondary to Sizeable Azygos Vein Hemangioma: Tailored Multimodal Treatment of a Challenging Case Report" Medicina 59, no. 1: 91. https://doi.org/10.3390/medicina59010091
APA StyleFerrari, P. A., Fusaro, F., Ferrari, A., Tamburrini, A., Grimaldi, G., Santoru, M., Zappadu, S., Tanda, E., Nemolato, S., Comelli, S., & Cherchi, R. (2023). Refractory Chylothorax Secondary to Sizeable Azygos Vein Hemangioma: Tailored Multimodal Treatment of a Challenging Case Report. Medicina, 59(1), 91. https://doi.org/10.3390/medicina59010091

