Platelet-Rich Plasma for Pleurodesis: An Experimental Study in Rabbits
Abstract
1. Introduction
2. Materials and Methods
3. Results
- When comparing blood samples before and after intervention between PRP and talc:
- ○
- Regarding WBC, RBC, Hb, Ht, MCV, MCH, MCHC, platelets, RTW CV, MPV, neutrophils, lymphocytes, baseophils, and CRP, there was no statistically significant difference between the two groups.
- ○
- There was a statistically significant difference between the two groups for monocytes (p = 0.049) and eosinophils (p = 0.011).
- When comparing pleurodesis between 3 and 6 days for both groups (PRP and talc combined), the results using Fisher’s exact test demonstrated:
- Subdividing 3 and 6 days for PRP and talc (using Fisher’s exact test)
- ○
- ○
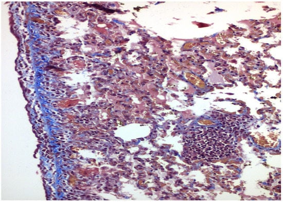
- With talc, there was a statistically significant difference in the inflammation provoked in 6 days compared to 3 days regarding parietal pleura (p = 0.002) (Figure 11); regarding visceral pleura, this could not be measured, as inflammation was high in both groups (grade II–III).
4. Discussion
5. Conclusions
Author Contributions
Funding
Institutional Review Board Statement
Informed Consent Statement
Data Availability Statement
Conflicts of Interest
References
- Koegelenberg, C.F.N.; Shaw, J.A.; Irusen, E.M.; Lee, Y.C.G. Contemporary best practice in the management of malignant pleural effusion. Ther. Adv. Respir. Dis. 2018, 12, 1753466618785098. [Google Scholar] [CrossRef] [PubMed]
- Kapp, C.M.; Lee, H.J. Malignant Pleural Effusions. Clin. Chest Med. 2021, 42, 687–696. [Google Scholar] [CrossRef] [PubMed]
- Bibby, A.C.; Dorn, P.; Psallidas, I.; Porcel, J.M.; Janssen, J.; Froudarakis, M.; Subotic, D.; Astoul, P.; Licht, P.; Schmid, R.; et al. ERS/EACTS statement on the management of malignant pleural effusions. Eur. Respir. J. 2018, 52, 1800349. [Google Scholar] [CrossRef] [PubMed]
- Porcel, J.M.; Lui, M.M.; Lerner, A.D.; Davies, H.E.; Feller-Kopman, D.; Lee, Y.C. Comparing approaches to the management of malignant pleural effusions. Expert Rev. Respir. Med. 2017, 11, 273–284. [Google Scholar] [CrossRef] [PubMed]
- Xie, C.; Teixeira, L.R.; Wang, N.; McGovern, J.P.; Light, R.W. Serial observations after high dose talc slurry in the rabbit model for pleurodesis. Lung 1998, 176, 299–307. [Google Scholar] [CrossRef]
- Hallifax, R.J.; Yousuf, A.; Jones, H.E.; Corcoran, J.P.; Psallidas, I.; Rahman, N.M. Effectiveness of chemical pleurodesis in spontaneous pneumothorax recurrence prevention: A systematic review. Thorax 2017, 72, 1121–1131. [Google Scholar] [CrossRef]
- Watanabe, T.; Fukai, I.; Okuda, K.; Moriyama, S.; Haneda, H.; Kawano, O.; Yokota, K.; Shitara, M.; Tatematsu, T.; Sakane, T.; et al. Talc pleurodesis for secondary pneumothorax in elderly patients with persistent air leak. J. Thorac. Dis. 2019, 11, 171–176. [Google Scholar] [CrossRef]
- Hassan, M.; Mercer, R.M.; Maskell, N.A.; Asciak, R.; McCracken, D.J.; Bedawi, E.O.; Shaarawy, H.; El-Ganady, A.; Psallidas, I.; Miller, R.F.; et al. Survival in patients with malignant pleural effusion undergoing talc pleurodesis. Lung Cancer 2019, 137, 14–18. [Google Scholar] [CrossRef]
- Terra, R.M.; da Costa, P.B.; Dela Vega, A.J.M.; Pěgo-Fernandes, P.M. Adverse events after pleurodesis in patients with malignant pleural effusion. J. Thorac. Dis. 2020, 12, 3507–3513. [Google Scholar] [CrossRef]
- Keeratichananont, W.; Kaewdech, A.; Keeratichananont, S. Efficacy and safety profile of autologous blood versus talc pleurodesis for malignant pleural effusion: A randomized controlled trial. Ther. Adv. Respir. Dis. 2018, 12, 1753466618816625. [Google Scholar] [CrossRef]
- Everts, P.; Onishi, K.; Jayaram, P.; Lana, J.F.; Mautner, K. Platelet-Rich Plasma: New Performance Understandings and Therapeutic Considerations in 2020. Int. J. Mol. Sci. 2020, 21, 7794. [Google Scholar] [CrossRef] [PubMed]
- Alves, R.; Grimalt, R. A Review of Platelet-Rich Plasma: History, Biology, Mechanism of Action, and Classification. Ski. Appendage Disord. 2018, 4, 18–24. [Google Scholar] [CrossRef] [PubMed]
- Kaushik, A.; Kumaran, M.S. Platelet-Rich Plasma: The Journey so Far! Indian Dermatol. Online J. 2020, 11, 685–692. [Google Scholar] [PubMed]
- Cao, Y.; Zhu, X.; Zhou, R.; He, Y.; Wu, Z.; Chen, Y. A narrative review of the research progress and clinical application of platelet-rich plasma. Ann. Palliat. Med. 2021, 10, 4823–4829. [Google Scholar] [CrossRef]
- Nikolovska, B.; Miladinova, D.; Pejkova, S.; Trajkova, A.; Georgieva, G.; Jovanoski, T.; Jovanovska, K. Platlet-Rich Plasma—Review of Literature. Pril (Makedon Akad Nauk. Umet Odd Med Nauki) 2021, 42, 127–139. [Google Scholar] [CrossRef]
- Kamaruzaman, N.A.; Kardia, E.; Kamaldin, N.A.; Latahir, A.Z.; Yahaya, B.H. The rabbit as a model for studying lung disease and stem cell therapy. Biomed Res. Int. 2013, 2013, 691830. [Google Scholar] [CrossRef]
- Zablockis, R.; Danila, E.; Gruslys, V.; Cincilevičiūtė, G. Systemic Inflammatory Response to Different Sclerosing Agents as a Predictor of Pleurodesis Outcome. In Vivo 2021, 35, 2391–2398. [Google Scholar] [CrossRef]
- Antony, V.B.; Loddenkemper, R.; Astoul, P.; Boutin, C.; Goldstraw, P.; Hott, J.; Rodriguez Panadero, F.; Sahn, S.A. Management of malignant pleural effusions. Am. J. Respir. Crit. Care Med. 2000, 162, 1987–2001. [Google Scholar] [CrossRef]
- Dipper, A.; Jones, H.E.; Bhatnagar, R.; Preston, N.J.; Maskell, N.; Clive, A.O. Interventions for the management of malignant pleural effusions: A network meta-analysis. Cochrane Database Syst. Rev. 2020, 4, CD010529. [Google Scholar] [CrossRef]
- Lamb, C.; Li, A.; Thakkar, D.; Lee, P. Pleurodesis. Semin. Respir. Crit. Care Med. 2019, 40, 375–385. [Google Scholar] [CrossRef]
- Beltsios, E.T.; Mavrovounis, G.; Adamou, A.; Panagiotopoulos, N. Talc pleurodesis in malignant pleural effusion: A systematic review and meta-analysis. Gen. Thorac. Cardiovasc. Surg. 2021, 69, 832–842. [Google Scholar] [CrossRef] [PubMed]
- Bethune, N. Pleural poudrage: New technique for deliberate production of pleural adhesions as a preliminary to lobectomy. J. Thorac. Surg. 1935, 4, 251–261. [Google Scholar] [CrossRef]
- Kennedy, L.; Sahn, S.A. Talc pleurodesis for the treatment of pneumothorax and pleural effusion. Chest 1994, 106, 1215–1222. [Google Scholar] [CrossRef] [PubMed]
- de Campos, J.R.; Vargas, F.S.; de Campos Werebe, E.; Cardoso, P.; Teixeira, L.R.; Jatene, F.B.; Light, R.W. Thoracoscopic talc poudrage: A 15-year experience. Chest 2001, 119, 801–806. [Google Scholar] [CrossRef] [PubMed]
- Vannucci, J.; Bellezza, G.; Matricardi, A.; Moretti, G.; Bufalari, A.; Cagini, L.; Puma, F.; Daddi, N. Observational analysis on inflammatory reaction to talc pleurodesis: Small and large animal model series review. Exp. Ther. Med. 2018, 15, 733–738. [Google Scholar] [CrossRef]
- Rehse, D.H.; Aye, R.W.; Florence, M.G. Respiratory failure following talc pleurodesis. Am. J. Surg. 1999, 177, 437–440. [Google Scholar] [CrossRef]
- Dresler, C.M.; Olak, J.; Herndon, J.E., II; Richards, W.G.; Scalzetti, E.; Fleishman, S.B.; Kernstine, K.H.; Demmy, T.; Jablons, D.M.; Kohman, L.; et al. Phase III Intergroup Study of Talc Poudrage vs Talc Slurry Sclerosis for Malignant Pleural Effusion. Chest 2005, 127, 909–915. [Google Scholar] [CrossRef]
- Ferrer, J.; Montes, J.F.; Villarino, M.A.; Light, R.W.; Garcia-Valero, J. Influence of particle size on extrapleural talc dissemination after talc slurry pleurodesis. Chest 2002, 122, 1018–102718. [Google Scholar] [CrossRef]
- Montes, J.F.; Ferrer, J.; Villarino, M.A.; Baeza, B.; Crespo, M.; Garcia-Valero, J. Influence of talc dose on extrapleural talc dissemination after talc pleurodesis. Am. J. Respir. Crit. Care Med. 2003, 168, 348–355. [Google Scholar] [CrossRef]
- Rossi, V.F.; Vargas, F.S.; Marchi, E.; Acencio, M.M.; Genofre, E.H.; Capelozzi, V.L.; Antonangelo, L. Acute inflammatory response secondary to intrapleural administration of two types of talc. Eur. Respir. J. 2010, 35, 396–401. [Google Scholar] [CrossRef]
- Shinno, Y.; Kage, H.; Chino, H.; Inaba, A.; Arakawa, S.; Noguchi, S.; Amano, Y.; Yamauchi, Y.; Tanaka, G.; Nagase, T. Old age and underlying interstitial abnormalities are risk factors for development of ARDS after pleurodesis using limited amount of large particle size talc. Respirology 2018, 23, 55–59. [Google Scholar] [CrossRef] [PubMed]
- Werebe, E.C.; Pazetti, R.; de Campos, J.R.M.; Fernandez, P.P.; Capelozzi, V.L.; Jatene, F.B.; Vargas, F.S. Systemic distribution of talc after intrapleural administration in rats. Chest 1999, 115, 190–193. [Google Scholar] [CrossRef] [PubMed]
- Campos, J.R.; Werebe, E.C.; Vargas, F.S.; Jatene, F.B.; Light, R.W. Respiratory failure due to insufflated talc. Lancet 1997, 349, 251–252. [Google Scholar] [CrossRef] [PubMed]
- Karsner, H.T.; Swanbeck, C.E. The removal of particulate matter from the pleura. J. Med. Res. 1920, 42, 91–98. [Google Scholar] [PubMed]
- Zhang, W.; Zhao, Y.L.; Li, S.J.; Zhao, Y.N.; Guo, N.N.; Liu, B. Complications of thoracoscopic talc insufflation for the treatment of malignant pleural effusions: A meta-analysis. J. Cardiothorac. Surg. 2021, 16, 125. [Google Scholar] [CrossRef] [PubMed]
- Morota, M.; Tsuchiya, T. Anaphylactic Shock Caused by Talc Pleurodesis Performed for Postoperative Air Leakage. Ann. Thorac. Surg. 2021, 111, e31–e33. [Google Scholar] [CrossRef]
- Celik, B.; Aydin, O.; Cilingir, A.; Basoglu, A. A comparison of the effectiveness of talc, polidocanol and ethanol as pleural sclerosing agents in rabbits. Thorac. Cardiovasc. Surg. 2009, 57, 102–106. [Google Scholar] [CrossRef]
- Miller, Q.; Meschter, C.; Neumaster, T.; Pratt, J.; Moulton, M.; Downey, D.; Harre, J. Comparison of pleurodesis by erythromycin, talc, doxycycline, and diazepam in a rabbit model. J. Surg. Educ. 2007, 64, 41–45. [Google Scholar] [CrossRef]
- Dikensoy, O.; Zhu, Z.; Donnelly, E.; Stathopoulos, G.T.; Lane, K.B.; Light, R.W. Combination therapy with intrapleural doxycycline and talc in reduced doses is effective in producing pleurodesis in rabbits. Chest 2005, 128, 3735–3742. [Google Scholar] [CrossRef][Green Version]
- Lima, T.A.; Coler, R.A.; Laub, G.W.; Sexton, S.; Curtin, L.; Laub, K.M.; Alvarez, N.J. A mechanism for improved talc pleurodesis via foam delivery. Drug Deliv. 2021, 28, 733–740. [Google Scholar] [CrossRef]
- Baxter, J.; Lima, T.A.; Huneke, R.; Kanach, C.J.; Johal, P.; Reimold, E.; Alvarez, N.J.; Laub, G.W. The efficacy of hydrogel foams in talc Pleurodesis. J. Cardiothorac. Surg. 2020, 15, 58. [Google Scholar] [CrossRef] [PubMed]
- How, C.H.; Lin, C.W.; Lin, Y.C.; Young, T.H.; Chen, K.C.; Chen, J.S. Evaluation of pleurodesis by poly-Œµ-caprolactone (PCL) gel in an animal model using New Zealand white rabbits. Asian J. Surg. 2019, 42, 495–500. [Google Scholar] [CrossRef] [PubMed]
- Gómez-Caro, A.; Ausin, P.; Boada, M. Platelet rich plasma improves the healing process after airway anastomosis. Interact. Cardiovasc. Thorac. Surg. 2011, 13, 552–556. [Google Scholar] [CrossRef] [PubMed]
- Sahin Onder, S.; Sahin Yilmaz, A.; Erkmen, B.; Topal, C.S.; Gergin, O.; Canpolat, M.S. Platelet-rich plasma for laryngotracheal reconstruction: An experimental study. Eur. Arch. Otorhinolaryngol. 2020, 277, 3103–3109. [Google Scholar] [CrossRef]
- Wu, M.; Lin, H.; Shi, L.; Huang, L.; Zhuang, Y.; Zeng, Y. Bronchoscopic Treatment of Tracheobronchial Fistula with Autologous Platelet-Rich Plasma. Ann. Thorac. Surg. 2021, 111, e129–e131. [Google Scholar] [CrossRef]
- Sarmiento, A.G.C.; Danguilan, J.L.J.; Mariano, Z.M.; Barzaga, M.T.A. Use of autologous platelet rich plasma (PRP) in stopping massive hemoptysis at the Lung Center of the Philippines: A pilot study. J. Vis. Surg. 2017, 3, 111. [Google Scholar] [CrossRef][Green Version]
- Alamdari, D.H.; Asadi, M.; Rahim, A.N.; Maddah, G.; Azizi, S.; Shahidsales, S.; Mehrabibahar, M. Efficacy and Safety of Pleurodesis Using Platelet-Rich Plasma and Fibrin Glue in Management of Postoperative Chylothorax After Esophagectomy. World J. Surg. 2018, 42, 1046–1055. [Google Scholar] [CrossRef]
- Kimura, M.; Miyajima, K.; Kono, T.; Hayashi, A.; Iwaya, K.; Ikeda, N. Effectiveness of Polyglycolic Acid Sheet Covering and Platelet-Rich Plasma after Video-Assisted Thoracic Surgery for Spontaneous Pneumothorax. Thorac. Cardiovasc. Surg. 2017, 65, 61–64. [Google Scholar]
- Sengul, A.T.; Buyukkkarabacak, Y.B.; Altunkaynak, B.Z.; Yetim, T.D.; Altun, G.Y.; Sengul, B.; Basoglu, A. Effects of platelet-rich plasma on cartilage regeneration after costal cartilage resection: A stereological and histopathological study. Acta Chir. Belg. 2017, 117, 21–28. [Google Scholar] [CrossRef]
- Candan, H.; Yılmaz, R.; Eser, I.; Aydoğmus, U.; Gunay, S. The Efficacy of Platelet-Rich Plasma in the Treatment of Rib Fractures. Thorac. Cardiovasc. Surg. 2017, 65, 546–550. [Google Scholar] [CrossRef]
- Spartalis, E.; Tomos, P.; Konofaos, P.; Karagkiouzis, G.; Levidou, G.; Kavantzas, N.; Pantopoulou, A.; Michail, O.; Perrea, D.; Kouraklis, G. The effect of autologous platelet-rich plasma on bronchial stump tissue granulation after pneumonectomy: Experimental study. ISRN Surg. 2013, 2013, 864350. [Google Scholar] [CrossRef]
- Hao, D.; Feng, G.; Li, T.; Chu, W.; Chen, Z.; Li, S.; Zhang, X.; Zhao, J.; Zhao, F. Curative effects of platelet-rich plasma combined with negative-pressure wound therapy on sternal osteomyelitis and sinus tract after thoracotomy. Zhonghua Shao Shang Za Zhi 2016, 32, 331–335. (In Chinese) [Google Scholar]
- Xie, H.; Cao, L.; Ye, L.; Du, J.; Shan, G.; Hu, J.; Jiang, C.; Song, W. Autogenous bone particles combined with platelet-rich plasma can stimulate bone regeneration in rabbits. Exp. Ther. Med. 2020, 20, 279. [Google Scholar] [CrossRef]
- Dias, F.G.F.; de Almeida, S.H.M.; Fávaro, W.; Latuf PFilho Ricetto, C.L.Z. Can platelet-rich plasma coating improve polypropylene mesh integration? An immunohistochemical analysis in rabbits. Int. Braz. J. Urol. 2021, 47, 287–294. [Google Scholar] [CrossRef]
- Shibata, M.; Takagi, G.; Kudo, M.; Kurita, J.; Kawamoto, Y.; Miyagi, Y.; Kanazashi, M.; Sakatani, T.; Naito, Z.; Tabata, Y.; et al. Enhanced Sternal Healing Through Platelet-Rich Plasma and Biodegradable Gelatin Hydrogel. Tissue Eng. Part A 2018, 24, 1406–1412. [Google Scholar] [CrossRef]
- Slimi, F.; Zribi, W.; Trigui, M.; Amri, R.; Gouiaa, N.; Abid, C.; Rebai, M.A.; Boudawara, T.; Jebahi, S.; Keskes, H. The effectiveness of platelet-rich plasma gel on full-thickness cartilage defect repair in a rabbit model. Bone Jt. Res. 2021, 10, 192–202. [Google Scholar] [CrossRef]
- Mierzejewski, M.; Korczynski, P.; Krenke, R.; Janssen, J.P. Chemical pleurodesis—A review of mechanisms involved in pleural space obliteration. Respir. Res. 2019, 20, 247. [Google Scholar] [CrossRef]
- Rodriguez-Panadero, F.; Montes-Worboys, A. Mechanisms of pleurodesis. Respiration 2012, 83, 91–98. [Google Scholar] [CrossRef]
- Xie, C.; Teixeira, L.R.; McGOVERN, J.P.; Light, R.W. Systemic Corticosteroids Decrease the Effectiveness of Talc Pleurodesis. Am. J. Respir. Crit. Care Med. 1998, 157, 1441–1444. [Google Scholar] [CrossRef]
- Rogers, J.T.; Cheng, D.; Wheeler, A.; Parker, R.; Teixeira, L.; Light, R.W. The effects of tumor necrosis factor alpha (TNF) blocking antibody on pleurodesis in rabbits. Chest 1998, 114, 260S. [Google Scholar]
- Ishii, S.; Sakurashita, H.; Mashida, E.; Saeki, Y.; Matsuo, H. Impact of systemic steroid treatment on talc pleurodesis: A report of six cases. J. Pharm. Health Care Sci. 2020, 6, 15. [Google Scholar] [CrossRef]
- Acencio, M.M.P.; Silva, B.R.; Teixeira, L.R.; Alvarenga, V.A.; Silva, C.S.R.; da Silva, A.G.P.; Capelozzi, V.L.; Marchi, E. Evaluation of cellular alterations and inflammatory profile of mesothelial cells and/or neoplastic cells exposed to talc used for pleurodesis. Oncotarget 2020, 11, 3730–3736. [Google Scholar] [CrossRef]
- Mierzejewski, M.; Paplinska-Goryca, M.; Korczynski, P.; Krenke, R. Primary human mesothelial cell culture in the evaluation of the inflammatory response to different sclerosing agents used for pleurodesis. Physiol. Rep. 2021, 9, e14846. [Google Scholar] [CrossRef]
- van den Heuvel, M.M.; Smit, H.J.; Barbierato, S.B.; Havenith, C.E.; Beelen, R.H.; Postmus, P.E. Talc-induced inflammation in the pleural cavity. Eur. Respir. J. 1998, 12, 1419–1423. [Google Scholar] [CrossRef]
- Habal, P.; Omran, N.; Jankovicova, K.; Krejsek, J.; Mandak, J. Predictive value of systemic and local inflammation parameters in talc pleurodesis assessment. Biomed. Pap. Med. Fac. Univ. Palacky Olomouc Czech Repub. 2015, 159, 234–241. [Google Scholar] [CrossRef]
- Marshall, B.C.; Santana, A.; Xu, Q.P.; Petersen, M.J.; Campbell, E.J.; Hoidal, J.R.; Welgus, H.G. Metalloproteinases and tissue inhibitor of metalloproteinases in mesothelial cells. Cellular differentiation influences expression. J. Clin. Investig. 1993, 91, 1792–1799. [Google Scholar] [CrossRef]
- Vargas, F.S.; Teixeira, L.R.; Vaz, M.A.; Carmo, A.O.; Marchi, E.; Cury, P.M.; Light, R.W. Silver nitrate is superior to talc slurry in producing pleurodesis in rabbits. Chest 2000, 118, 808–813. [Google Scholar] [CrossRef][Green Version]
- Kennedy, L.; Harley, R.A.; Sahn, S.A.; Strange, C. Talc slurry pleurodesis. Pleural fluid and histologic analysis. Chest 1995, 107, 1707–1712. [Google Scholar] [CrossRef]
- Genofre, E.H.; Vargas, F.S.; Antonangelo, L.; Teixeira, L.R.; Vaz, M.A.; Marchi, E.; Capelozzi, V.L. Ultrastructural acute features of active remodeling after chemical pleurodesis induced by silver nitrate or talc. Lung 2005, 183, 197–207. [Google Scholar] [CrossRef]
- Antonangelo, L.; Vargas, F.S.; Teixeira, L.R.; Acencio, M.M.P.; Vaz, M.A.C.; Filho, M.T.; Marchi, E. Pleurodesis Induced by Talc or Silver Nitrate: Evaluation of Collagen and Elastic Fibers in Pleural Remodeling. Lung 2006, 184, 105–111. [Google Scholar] [CrossRef]











| Blood Test | PRP | Talc | p-Value |
|---|---|---|---|
| WBC | 6957 (±2246) | 6587 (±1824) | 0.701 |
| RBC | 5,623,000 (±295,787) | 5,602,222 (±564,942) | 0.874 |
| Hb | 10.91 (±0.45) | 11.02 (±0.43) | 0.58 |
| Platelets | 276,700 (±101,793) | 368,888 (±184,243) | 0.19 |
| Neutrophils | 40.12 (±14.3) | 42.44 (±14.26) | 0.73 |
| Lymphocytes | 52.81 (±15.75) | 41.9 (±14.75) | 0.14 |
| Monocytes | 6.18 (±3.46) | 11.86 (±7.69) | 0.049 |
| Eosinophils | 0.85 (±0.79) | 3.33 (±2.64) | 0.011 |
| Baseophils | 0.05 (±0.16) | 0.42 (±1.27) | 0.37 |
| CRP | <0.03 | <0.03 |
| Inflammation | PRP(%) | TALC(%) | p-Value |
|---|---|---|---|
| Pleura | 0.4 | ||
| 0–I | 9 (60%) | 6 (40%) | |
| II–III | 3 (33.3%) | 6 (66,7%) | |
| Lung | 0.217 | ||
| 0–I | 3 (100%) | 0 | |
| II–III | 9 (42.9%) | 12 (57.1%) |
Publisher’s Note: MDPI stays neutral with regard to jurisdictional claims in published maps and institutional affiliations. |
© 2022 by the authors. Licensee MDPI, Basel, Switzerland. This article is an open access article distributed under the terms and conditions of the Creative Commons Attribution (CC BY) license (https://creativecommons.org/licenses/by/4.0/).
Share and Cite
Kolokotroni, S.M.; Lamprinos, D.; Goutas, N.; Kapetanakis, E.I.; Kontzoglou, K.; Perrea, D.; Tomos, P. Platelet-Rich Plasma for Pleurodesis: An Experimental Study in Rabbits. Medicina 2022, 58, 1842. https://doi.org/10.3390/medicina58121842
Kolokotroni SM, Lamprinos D, Goutas N, Kapetanakis EI, Kontzoglou K, Perrea D, Tomos P. Platelet-Rich Plasma for Pleurodesis: An Experimental Study in Rabbits. Medicina. 2022; 58(12):1842. https://doi.org/10.3390/medicina58121842
Chicago/Turabian StyleKolokotroni, Styliani Maria, Dimitrios Lamprinos, Nikolaos Goutas, Emmanouil I. Kapetanakis, Konstantinos Kontzoglou, Despoina Perrea, and Periklis Tomos. 2022. "Platelet-Rich Plasma for Pleurodesis: An Experimental Study in Rabbits" Medicina 58, no. 12: 1842. https://doi.org/10.3390/medicina58121842
APA StyleKolokotroni, S. M., Lamprinos, D., Goutas, N., Kapetanakis, E. I., Kontzoglou, K., Perrea, D., & Tomos, P. (2022). Platelet-Rich Plasma for Pleurodesis: An Experimental Study in Rabbits. Medicina, 58(12), 1842. https://doi.org/10.3390/medicina58121842

