A Rare Case of Didanosine-Induced Mid-Peripheral Chorioretinal Atrophy Identified Incidentally 11 Years after the Drug Cessation
Abstract
:1. Introduction
2. Case Report
2.1. Patient Information
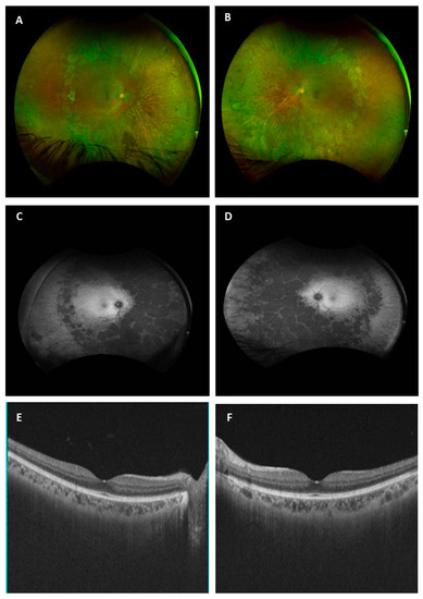
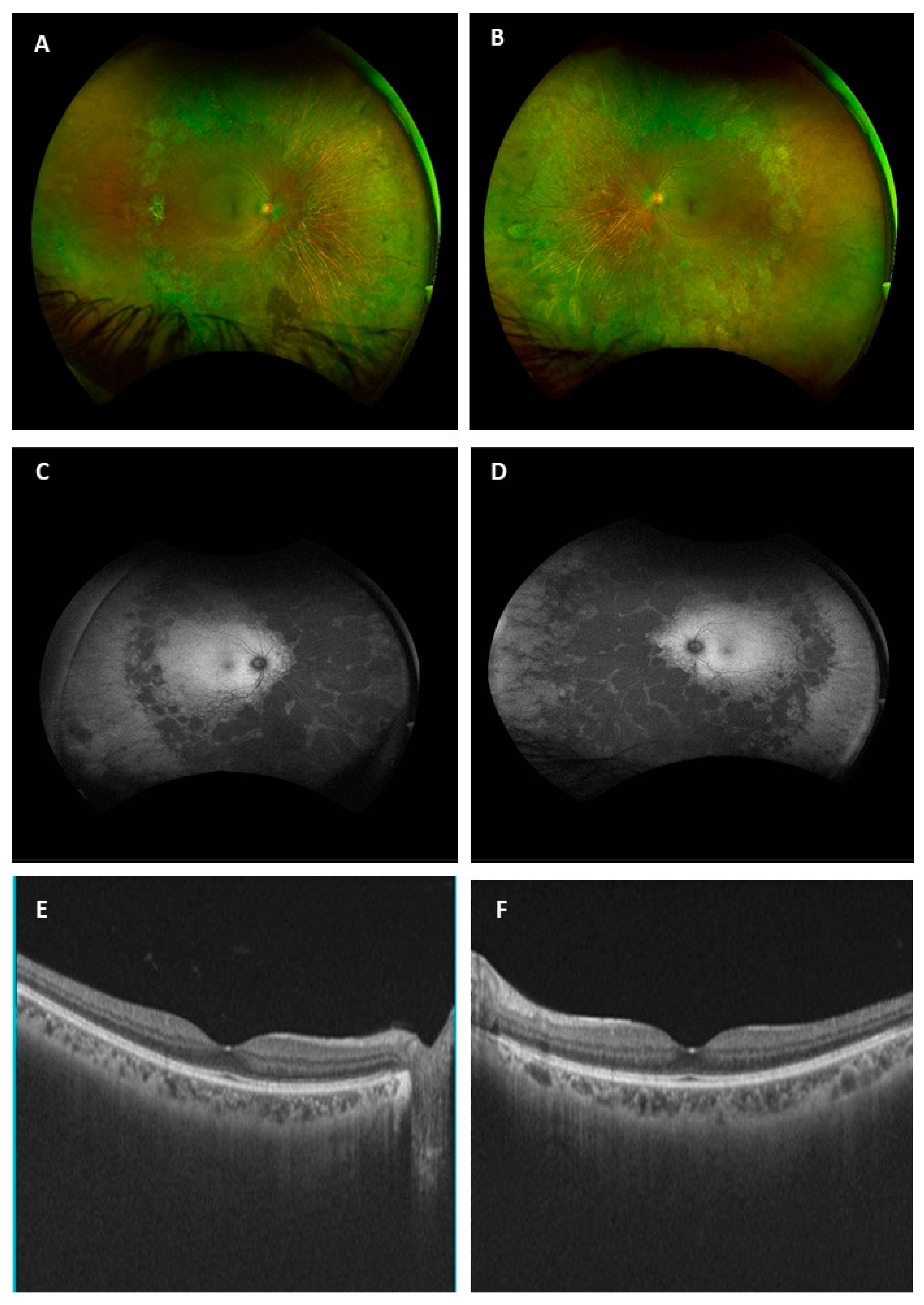
2.2. Visual Examination
3. Discussion
4. Conclusions
Author Contributions
Funding
Institutional Review Board Statement
Informed Consent Statement
Data Availability Statement
Conflicts of Interest
References
- Jing, L.; Deng, J.; Kozak, I.; Zhang, H.; Chen, S.; Yang, Y.; Qi, X.; Tang, L.; Adelman, R.; Forster, S. Prevalence of Ocular Manifestations of HIV/AIDS in the Highly Active Antiretroviral Therapy (HAART) Era: A Different Spectrum in Central South China. Ophthalmic Epidemiol. 2013, 20, 170–175. [Google Scholar] [CrossRef]
- WHO HIV/AIDS. Available online: https://www.who.int/data/gho/data/themes/hiv-aids (accessed on 22 March 2022).
- Feroze, K.; Wang, J. Ocular Manifestations of HIV; StatPearls Publishing: Treasure Island, FL, USA, January 2022. [Google Scholar]
- Lalonde, R.G.; Deschenes, J.G.; Seamone, C. Zidovudine-Induced Macular Edema. Ann. Intern. Med. 1991, 114, 297–298. [Google Scholar] [CrossRef]
- Haug, S.; Wong, R.; Day, S.; Choudhry, N.; Sneed, S.; Prasad, P.; Read, S.; McDonald, R.; Agarwal, A.; Davis, J.; et al. Didanosine Retinal Toxicity. Retina 2016, 36, S159–S167. [Google Scholar] [CrossRef]
- Hammer, A.; Borruat, F. Case Report: Multimodal Imaging of Toxic Retinopathies Related to Human Immunodeficiency Virus Antiretroviral Therapies: Maculopathy vs. Peripheral Retinopathy. Report of Two Cases and Review of the Literature. Front. Neurol. 2021, 12, 905. [Google Scholar] [CrossRef] [PubMed]
- Bunod, R.; Miere, A.; Zambrowski, O.; Girard, P.; Surgers, L.; Souied, E. Ritonavir Associated Maculopathy– Multimodal Imaging and Electrophysiology Findings. Am. J. Ophthalmol. Case Rep. 2020, 19, 100783. [Google Scholar] [CrossRef] [PubMed]
- Sudharshan, S.; Kumar, K.; Bhende, M.; Biswas, J.; Selvamuthu, P. Efavirenz-Associated Retinal Toxicity Presenting with Night Vision Defects in Patients with Human Immunodeficiency Virus. Ocul. Immunol. Inflamm. 2020, 28, 1076–1084. [Google Scholar] [CrossRef] [PubMed]
- Liang, N.; Zhong, Y.; Zhou, J.; Liu, B.; Lu, R.; Guan, Y.; Wang, Q.; Liang, C.; He, Y.; Zhou, Y.; et al. Immunosuppressive Effects of Hydroxychloroquine and Artemisinin Combination Therapy via the Nuclear Factor-ΚB Signaling Pathway in Lupus Nephritis Mice. Exp. Ther. Med. 2018, 15, 2436. [Google Scholar] [CrossRef] [PubMed] [Green Version]
- Costedoat-Chalumeau, N.; Dunogué, B.; Leroux, G.; Morel, N.; Jallouli, M.; Le Guern, V.; Piette, J.; Brézin, A.; Melles, R.; Marmor, M. A Critical Review of the Effects of Hydroxychloroquine and Chloroquine on the Eye. Clin. Rev. Allergy Immunol. 2015, 49, 317–326. [Google Scholar] [CrossRef] [PubMed]
- Çay, H.; Erol, M.; Çoban, D.; Bulut, M.; Sezer, I.; Çakir, T.; Toraman, N. Retinotoxicity of Hydroxychloroquine: Is It Possible to Demonstrate by Spectral Domain Optical Coherence Tomography Before Development? A Cross Sectional Investigation. Arch. Rheumatol. 2014, 29, 178–185. [Google Scholar] [CrossRef] [Green Version]
- Pham, B.; Marmor, M. Sequential Changes in Hydroxychloroquine Retinopathy up to 20 Years after Stopping the Drug: Implications for Mild versus Severe Toxicity. Retina 2019, 39, 492–501. [Google Scholar] [CrossRef] [PubMed]
- Thompson, M.; Aberg, J.; Hoy, J.; Telenti, A.; Benson, C.; Cahn, P.; Eron, J.; Günthard, H.; Hammer, S.; Reiss, P.; et al. Antiretroviral Treatment of Adult HIV Infection: 2012 Recommendations of the International Antiviral Society-USA Panel. JAMA 2012, 308, 387–402. [Google Scholar] [CrossRef] [PubMed]
- Sen, P.; Sudharshan, S.; Banerjee, A.; Dhami, A. Clinical and Electrophysiological Characteristics of Efavirenz-Induced Macular Toxicity. GMS Ophthalmol. Cases 2020, 10, Doc08. [Google Scholar] [CrossRef] [PubMed]
- Mehrotra, N.; Nagpal, M.; Talati, S. Presumed Tenofovir Toxicity. Retin. Today 2020, 2020, 12–14. [Google Scholar]
- Scholar, E. HIV Nucleoside Reverse Transcriptase Inhibitors. In xPharm: The Comprehensive Pharmacology Reference; Elsevier Inc.: Amsterdam, The Netherlands, 2007; pp. 1–3. ISBN 9780080552323. [Google Scholar]
- Whitcup, S.M.; Butler, K.M.; Caruso, R.; de Smet, M.D.; Rubin, B.; Husson, R.N.; Lopez, J.S.; Belfort, R.; Pizzo, P.A.; Nussenblatt, R.B. Retinal Toxicity in Human Immunodeficiency Virus-Infected Children Treated with 2′,3′-Dideoxyinosine. Am. J. Ophthalmol. 1992, 113, 1–7. [Google Scholar] [CrossRef]
- Nderitu, P.; Riga, P.; Mann, S.; Garnavou-Xirou, C.; Eleftheriadis, H. Didanosine-Associated Retinal Toxicity (DART) Amongst HIV-Positive Patients: A Case Series and Literature Review. SN Compr. Clin. Med. 2020, 2, 2939–2952. [Google Scholar] [CrossRef]
- Gabrielian, A.; MacCumber, M.; Kukuyev, A.; Mitsuyasu, R.; Holland, G.; Sarraf, D. Didanosine-Associated Retinal Toxicity in Adults Infected With Human Immunodeficiency Virus. JAMA Ophthalmol. 2013, 131, 255–259. [Google Scholar] [CrossRef] [PubMed] [Green Version]
- Corradetti, G.; Violanti, S.; Au, A.; Sarraf, D. Wide Field Retinal Imaging and the Detection of Drug Associated Retinal Toxicity. Int. J. Retin. Vitr. 2019, 5, 26. [Google Scholar] [CrossRef] [Green Version]
- Whitcup, S.; Dastgheib, K.; Nussenblatt, R.; Walton, R.; Pizzo, P.; Chan, C. A Clinicopathologic Report of the Retinal Lesions Associated With Didanosine. Arch. Ophthalmol. 1994, 112, 1594–1598. [Google Scholar] [CrossRef] [PubMed]
- Faure, C.; Chassery, M.; Ores, R.; Audo, I. Didanosine-induced Retinopathy: New Insights with Long-term Follow-up. Ocul. Immunol. Inflamm. 2021, 13, 1–8. [Google Scholar] [CrossRef] [PubMed]



| Patient Characteristic | |
|---|---|
| Age | 42 years |
| Sex | Female |
| Ethnicity | Non-Hispanic |
| Race | African |
| Weight (kg) | 51 kg |
| Height (cm) | 167 cm |
| BMI (kg/m2) | 18.3 |
| Marital status | Married |
| Tobacco use | 3–4 cigarettes per day since 2003 |
| Alcohol use | No |
| Past medical history |
|
| Past surgical history | Appendectomy |
| Allergy status | No known drug allergies |
| Family history of eye diseases | No known family history |
| Drug history |
|
| Treatment Start | Treatment End | Antiretroviral Therapy |
|---|---|---|
| 2004 | November 2011 | Combination of 250 mg didanosine, 600 mg efavirenz, and 300 mg lamivudine |
| December 2011 | October 2021 | Atripla (600 mg efavirenz/200 mg emtricitabine/300 mg tenofovir) |
| November 2021 | January 2022 | Eviplera (25 mg rilpivirin/200 mg emtricitabine/245 mg tenofovir) |
Publisher’s Note: MDPI stays neutral with regard to jurisdictional claims in published maps and institutional affiliations. |
© 2022 by the authors. Licensee MDPI, Basel, Switzerland. This article is an open access article distributed under the terms and conditions of the Creative Commons Attribution (CC BY) license (https://creativecommons.org/licenses/by/4.0/).
Share and Cite
Joharjy, H.; Pisella, P.-J.; Audo, I.; Le-Lez, M.L. A Rare Case of Didanosine-Induced Mid-Peripheral Chorioretinal Atrophy Identified Incidentally 11 Years after the Drug Cessation. Medicina 2022, 58, 735. https://doi.org/10.3390/medicina58060735
Joharjy H, Pisella P-J, Audo I, Le-Lez ML. A Rare Case of Didanosine-Induced Mid-Peripheral Chorioretinal Atrophy Identified Incidentally 11 Years after the Drug Cessation. Medicina. 2022; 58(6):735. https://doi.org/10.3390/medicina58060735
Chicago/Turabian StyleJoharjy, Heba, Pierre-Jean Pisella, Isabelle Audo, and Marie Laure Le-Lez. 2022. "A Rare Case of Didanosine-Induced Mid-Peripheral Chorioretinal Atrophy Identified Incidentally 11 Years after the Drug Cessation" Medicina 58, no. 6: 735. https://doi.org/10.3390/medicina58060735
APA StyleJoharjy, H., Pisella, P.-J., Audo, I., & Le-Lez, M. L. (2022). A Rare Case of Didanosine-Induced Mid-Peripheral Chorioretinal Atrophy Identified Incidentally 11 Years after the Drug Cessation. Medicina, 58(6), 735. https://doi.org/10.3390/medicina58060735

