Effective Balloon Pulmonary Angioplasty in a Patient with Chronic Thromboembolic Complications after Ventriculoatrial Shunt for Hydrocephalus in von Hippel–Lindau Disease
Abstract
:1. Introduction
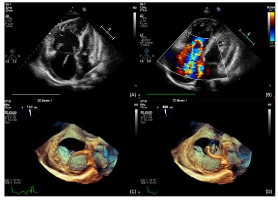
2. Case Presentation
3. Discussion
4. Conclusions
Author Contributions
Funding
Institutional Review Board Statement
Informed Consent Statement
Data Availability Statement
Conflicts of Interest
References
- Krzystolik, K.; Cybulski, C.; Lubiński, J. Choroba Hippel-Lindau. Neuri. Neurochir. Pol. 1998, 32, 5. [Google Scholar]
- Varshney, N.; Kebede, A.A.; Owusu-Dapaah, H.; Lather, J.; Kaushik, M.; Bhullar, J.S. A review of Von Hippel-Lindau syndrome. J. Kidney Cancer VHL 2017, 4, 20–29. [Google Scholar] [CrossRef] [PubMed] [Green Version]
- Key, C.B.; Rothrock, S.G.; Falk, J.L. Cerebrospinal fluid shunt complications: An emergency medicine perspective. Pediatr. Emerg. Care 1995, 11, 265–273. [Google Scholar] [CrossRef] [PubMed]
- Kluge, S.; Baumann, H.J.; Regelsberger, J.; Kehler, U.; Gliemroth, J.; Koziej, B.; Klose, H.; Meyer, A. Pulmonary hypertension after ventriculoatrial shunt implantation. J. Neurosurg. 2010, 113, 1279–1283. [Google Scholar] [CrossRef] [PubMed]
- Xu, S.; Yang, J.; Zhu, Y.; Xu, S.; Liu, J.; Deng, Y.; Wei, L.; Yang, M.; Huang, X.; Cao, B.; et al. CTPA, DECT, MRI, V/Q Scan, and SPECT/CT V/Q for the noninvasive diagnosis of chronic thromboembolic pulmonary hypertension: A protocol for systemic review and network meta-analysis of diagnostic test accuracy. Medicine 2019, 98, e16787. [Google Scholar] [CrossRef] [PubMed]
- Galiè, N.; Humbert, M.; Vachiery, J.; Gibbs, S.; Lang, I.; Torbicki, A.; Simonneau, G.; Peacock, A.; Noordegraaf, A.V.; Beghetti, M.; et al. 2015 ESC/ERS Guidelines for the diagnosis and treatment of pulmonary hypertension. The Joint Task Force for the Diagnosis and Treatment of Pulmonary Hypertension of the European Society of Cardiology (ESC) and the European Respiratory Society (ERS). Eur. Respir. J. 2015, 46, 903–975. [Google Scholar] [CrossRef] [PubMed]
- Yavuz, C.; Demırtas, S.; Calıskan, A.; Kamasak, K.; Karahan, O.; Guclu, O.; Yazıcı, S.; Mavıtas, B. Reasons, procedures, and outcomes in ventriculoatrial shunts: A single-center experience. Surg. Neurol. Int. 2013, 4, 10. [Google Scholar] [PubMed]
- Kluge, S.; Baumann, H.J.; Regelsberger, J.; Kehler, U.; Koziej, B.; Klose, H.; Greinert, U.; Kreymann, G.; Meyer, A. Development of pulmonary hypertension in adults after ventriculoatrial shunt implantation. Respiration 2009, 78, 30–35. [Google Scholar] [CrossRef] [PubMed]
- Al-Natour, M.S.; Entezami, P.; Nazzal, M.M. Superior vena cava syndrome with retropharyngeal edema as a complica-tion of ventriculoatrial shunt. Clin. Case Rep. 2015, 3, 777–780. [Google Scholar] [CrossRef] [PubMed] [Green Version]
- Amelot, A.; Bouazza, S.; George, B.; Bresson, D. Causative role of infection in chronic non-thromboembolic pulmonary hypertension following ventriculo-atrial shunt. Br. J. Neurosurg. 2014, 28, 559–561. [Google Scholar] [CrossRef] [PubMed]
- Magrassi, L.; Mezzini, G.; Moramarco, L.P.; Cionfoli, N.; Shepetowsky, D.; Seminari, E.; Di Matteo, A.; Quaretti, P. Minimally invasive procedure for removal of infected ventriculoatrial shunts. Acta Neurochir. 2021, 163, 455–462. [Google Scholar] [CrossRef] [PubMed]
- Kurzyna, M.; Araszkiewicz, A.; Błaszczak, P.; Grabka, M.; Hawranek, M.; Kopeć, G.; Mroczek, E.; Zembala, M.; Torbicki, A.; Ochała, A. Summary of recommendations for the haemodynamic and angiographic assessment of the pulmonary circulation. Kardiol. Pol. 2015, 73, 63–68. [Google Scholar] [CrossRef] [PubMed] [Green Version]
- Siennicka, A.; Darocha, S.; Banaszkiewicz, M.; Kędzierski, P.; Dobosiewicz, A.; Błaszczak, P.; Peregud-Pogorzelska, M.; Kasprzak, J.D.; Tomaszewski, M.; Mroczek, E.; et al. Treatment of chronic thromboembolic pulmonary hypertension in a multidisciplinary team. Ther. Adv. Respir. Dis. 2019, 13, 1753466619891529. [Google Scholar] [CrossRef] [PubMed] [Green Version]
- Kurzyna, M.; Darocha, S.; Pietura, R.; Pietrasik, A.; Norwa, J.; Mańczak, R.; Wieteska, M.; Biederman, A.; Matsubara, H.; Torbicki, A. Changing the strategy of balloon pulmonary angioplasty resulted in a reduced complication rate in patients with chronic thromboembolic pulmonary hypertension. A single-centre European experience. Kardiol. Pol. 2017, 75, 645–654. [Google Scholar] [CrossRef]



| Before Treatment | Follow-Up | |
|---|---|---|
| WHO functional class | IV | II |
| NT-pro-BNP level (pg/mL) | 1926 | 119 |
| 6MWT distance (m) | 109 | 408 |
| TRPG (mmHg) | 40 | 31 |
| RVSP (mmHg) | 55 | 35 |
| TAPSE (mm) | 12 | 20 |
| AcT (ms) | 72 | 109 |
| CI (l/min/m2) | 1.3 | 2.45 |
| PAP (mmHg) systolic/diastolic/mean | 49/30/37 | 33/10/19 |
| PVR (Wood Units) | 13.97 | 2.19 |
| RAP mean | 23 | 2 |
Publisher’s Note: MDPI stays neutral with regard to jurisdictional claims in published maps and institutional affiliations. |
© 2022 by the authors. Licensee MDPI, Basel, Switzerland. This article is an open access article distributed under the terms and conditions of the Creative Commons Attribution (CC BY) license (https://creativecommons.org/licenses/by/4.0/).
Share and Cite
Gościniak, P.; Larysz, M.; Sagan, L.; Larysz, B.; Syrenicz, A.; Kurzyna, M. Effective Balloon Pulmonary Angioplasty in a Patient with Chronic Thromboembolic Complications after Ventriculoatrial Shunt for Hydrocephalus in von Hippel–Lindau Disease. Medicina 2022, 58, 185. https://doi.org/10.3390/medicina58020185
Gościniak P, Larysz M, Sagan L, Larysz B, Syrenicz A, Kurzyna M. Effective Balloon Pulmonary Angioplasty in a Patient with Chronic Thromboembolic Complications after Ventriculoatrial Shunt for Hydrocephalus in von Hippel–Lindau Disease. Medicina. 2022; 58(2):185. https://doi.org/10.3390/medicina58020185
Chicago/Turabian StyleGościniak, Piotr, Michał Larysz, Leszek Sagan, Barbara Larysz, Anhelli Syrenicz, and Marcin Kurzyna. 2022. "Effective Balloon Pulmonary Angioplasty in a Patient with Chronic Thromboembolic Complications after Ventriculoatrial Shunt for Hydrocephalus in von Hippel–Lindau Disease" Medicina 58, no. 2: 185. https://doi.org/10.3390/medicina58020185
APA StyleGościniak, P., Larysz, M., Sagan, L., Larysz, B., Syrenicz, A., & Kurzyna, M. (2022). Effective Balloon Pulmonary Angioplasty in a Patient with Chronic Thromboembolic Complications after Ventriculoatrial Shunt for Hydrocephalus in von Hippel–Lindau Disease. Medicina, 58(2), 185. https://doi.org/10.3390/medicina58020185

