Left Atrial Fibroelastoma as a Cause of Stroke: A Case Report
Abstract
:1. Introduction
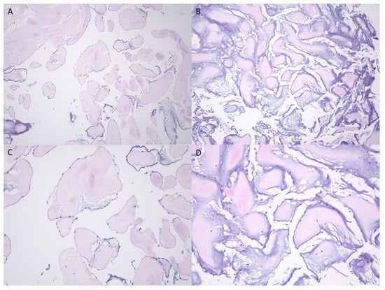
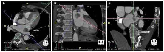
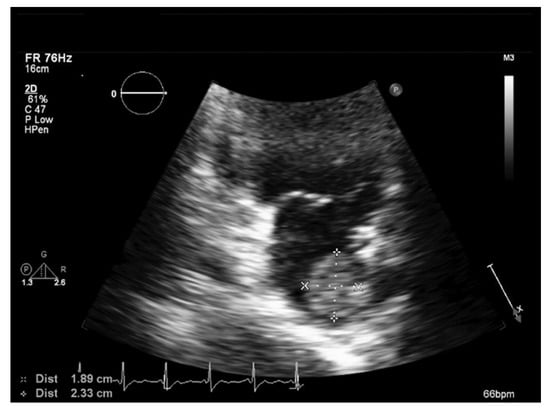
2. Case Presentation
3. Discussion
4. Conclusions
Author Contributions
Funding
Institutional Review Board Statement
Informed Consent Statement
Data Availability Statement
Acknowledgments
Conflicts of Interest
References
- Adams, H.P., Jr.; Bendixen, B.H.; Kappelle, L.J.; Biller, J.; Love, B.B.; Gordon, D.L.; Marsh, E.E., 3rd. Classification of subtype of acute ischemic stroke. Definitions for use in a multicenter clinical trial. TOAST. Trial of Org 10172 in Acute Stroke Treatment. Stroke 1993, 24, 35–41. [Google Scholar] [CrossRef] [PubMed] [Green Version]
- Bonavia, L.; Jackson, J.; Law, J.P.Y.; Yii, M.; Joshi, D. Brainstem stroke caused by left atrial cardiac papillary fibroelastoma: An increasingly recognized rare cause of stroke. Cardiovasc. Pathol. 2019, 40, 65–67. [Google Scholar] [CrossRef] [PubMed]
- Kamel, H.; Healey, J.S. Cardioembolic Stroke. Circ. Res. 2017, 120, 514–526. [Google Scholar] [CrossRef] [PubMed]
- Nakanishi, K.; Homma, S. Role of echocardiography in patients with stroke. J. Cardiol. 2016, 68, 91–99. [Google Scholar] [CrossRef] [PubMed] [Green Version]
- Tamin, S.S.; Maleszewski, J.J.; Scott, C.G.; Khan, S.K.; Edwards, W.D.; Bruce, C.J.; Oh, J.K.; Pellikka, P.A.; Klarich, K.W. Prognostic and Bioepidemiologic Implications of Papillary Fibroelastomas. J. Am. Coll. Cardiol. 2015, 65, 2420–2429. [Google Scholar] [CrossRef] [PubMed] [Green Version]
- Vieira, M.J.; Craveiro, N.; Alves, M.; Pitta, L. Unusual place… unusual number. Echocardiography 2020, 37, 467–468. [Google Scholar] [CrossRef] [PubMed]
- Santos, A.F.; Pinho, J.; Ramos, V.; Pardal, J.; Rocha, J.; Ferreira, C. Stroke and Cardiac Papillary Fibroelastoma: Mechanical Thrombectomy after Thrombolytic Therapy. J. Stroke Cerebrovasc. Dis. 2014, 23, 1262–1264. [Google Scholar] [CrossRef] [PubMed]
- Gowda, R.M.; Khan, I.A.; Nair, C.K.; Mehta, N.J.; Vasavada, B.C.; Sacchi, T.J. Cardiac papillary fibroelastoma: A comprehensive analysis of 725 cases. Am. Heart J. 2003, 146, 404–410. [Google Scholar] [CrossRef]
- Alozie, A.; Zimpfer, A.; Erbersdobler, A.; Neßelmann, C.; Oener, A.; Dohmen, P.M. Surgery for Valvular and Nonvalvular Papillary Fibroelastomas. In Seminars in Thoracic and Cardiovascular Surgery; WB Saunders: Philadelphia, PA, USA, 2021. [Google Scholar]
- Hakemi, E.U.; Bero, J.; Sekosan, M.; Ansari, A. Nonvalvular right atrial papillary fibroelastoma. J. Thorac. Cardiovasc. Surg. 2013, 145, e71–e73. [Google Scholar] [CrossRef] [PubMed] [Green Version]
- Pacini, D.; Careddu, L.; Pantaleo, A.; Berretta, P.; Leone, O.; Marinelli, G.; Gargiulo, G.; Di Bartolomeo, R. Primary benign cardiac tumours: Long-term results. Eur. J. Cardiothorac. Surg. 2012, 41, 812–819. [Google Scholar] [CrossRef] [PubMed] [Green Version]
- Kolek, M.; Dvorackova, J.; Motyka, O.; Brat, R. Cardiac papillary fibroelastomas: A 10-year single-center surgical experience and long-term echocardiographic follow-up study. Biomed. Pap. Med. Fac. Palacky Univ. Olomouc. 2020, 164, 84–91. [Google Scholar] [CrossRef] [PubMed]
- Mariscalco, G.; Bruno, V.D.; Borsani, P.; Dominici, C.; Sala, A. Papillary fibroelastoma: Insight to a primary cardiac valve tumor. J. Card. Surg. 2010, 25, 198–205. [Google Scholar] [CrossRef] [PubMed]




| Year | Authors | Age | Sex | Symptoms | Size | Origin | Year | Authors | Age | Sex | Symptoms | Size | Origin |
|---|---|---|---|---|---|---|---|---|---|---|---|---|---|
| 1994 | Nakao et al. | 60 | F | Incidental | 8 mm | Septum | 2009 | Bicer et al. | 72 | M | Stroke | 1.2 × 0.8 cm | MW |
| 1997 | Klarich et al. | NA | NA | NA | NA | NA | 2010 | Atalay et al. | 70 | M | NA | 3 × 2.6 × 2.9 cm | LAA |
| 1999 | Howard et al. | 61 | M | TIA | 20 mm | Ridge | 2011 | Bhat et al. | 53 | F | Pectoralis angina | 1 cm × 2 cm | LAA |
| 2000 | Tsukube et al. | 47 | M | Incidental | 15 × 70 mm | LAA | 2011 | Chen et al. | 59 | F | TIA | 1.5 × 1 cm | LAA |
| 2001 | Wolber et al. | 63 | F | TIA | 27 × 25 × 22 mm | Ridge | 2013 | Saitoh et al. | 78 | F | Incidental | 17 × 14 × 10 mm | Ridge |
| 2001 | Friedman et al. | 84 | F | Spinal stroke | 10 mm | Ridge | 2014 | Waziri et al. | 70 | F | MI | 0.9 × 1.5 cm | Ridge |
| 2001 | Sidhu et al. | 59 | F | Stroke | 15 mm | LAA | 2015 | Oda et al. | 49 | M | Stroke | 8 mm × 8 mm | Ridge |
| 2002 | Gowda et al. | 74 | M | Stroke | 10 × 15 mm | Ridge | 2017 | Cook et al. | 64 | M | TIA | 1 × 0.7 cm | Ridge |
| 2004 | Butany et al. | 63 | F | Incidental | 24 × 20 mm | Septum | 2019 | Bonavia et al. | 76 | M | Stroke | 22 × 18 × 12 mm | LAA |
| 2005 | Perzanowski et al. | 63 | F | Incidental | NA | LAA | 2019 | Mashicharan et al. | 72 | M | Stroke | 0.7 × 0.7 cm | Ridge |
| 2007 | Idahosa et al. | 79 | M | TIA | 15 × 15 mm | Ridge | 2019 | Roberts et al. | 71 | F | Stroke | 1.2 × 0.7 cm | LAA |
| 2007 | Mohammadi et al. | 59 | M | Stroke | 5 × 5 mm | LAA | 2019 | Smith et al. | 41 | F | NA | NA | NA |
| 2007 | Shimode et al. | 76 | M | Incidental | 10 × 7 mm | LAA | 2020 | Tsugu et al. | 70 | F | Incidental | 34 × 8 × 3 mm | Septum |
| 2008 | Barcena et al. | 76 | F | Stroke | 5 × 5 mm | LAA | 2020 | Vieira et al. | 71 | F | Progressive fatigue | 1.6 × 1.3 cm * | LW |
| 2008 | Jablonski- Cohen et al. | 51 | F | Incidental | 2 × 2 cm | LAA | 2021 | Alozie et al. | 58 | M | Stroke | 8 × 9 mm | LAA |
| 2009 | Hirose et al. | 67 | M | Stroke | 10 × 10 mm | Ridge | 75 | M | Stroke | 13.5 × 12.7 mm ** | Ridge | ||
| 2021 | Current | 66 | F | Stroke | 2.3 cm | LW | |||||||
Publisher’s Note: MDPI stays neutral with regard to jurisdictional claims in published maps and institutional affiliations. |
© 2022 by the authors. Licensee MDPI, Basel, Switzerland. This article is an open access article distributed under the terms and conditions of the Creative Commons Attribution (CC BY) license (https://creativecommons.org/licenses/by/4.0/).
Share and Cite
Lin, J.-C.; Tsai, S.-Y.; Kuan, T.-S.; Lin, W.-P. Left Atrial Fibroelastoma as a Cause of Stroke: A Case Report. Medicina 2022, 58, 182. https://doi.org/10.3390/medicina58020182
Lin J-C, Tsai S-Y, Kuan T-S, Lin W-P. Left Atrial Fibroelastoma as a Cause of Stroke: A Case Report. Medicina. 2022; 58(2):182. https://doi.org/10.3390/medicina58020182
Chicago/Turabian StyleLin, Jing-Chun, Szu-Yu Tsai, Ta-Shen Kuan, and Wei-Pin Lin. 2022. "Left Atrial Fibroelastoma as a Cause of Stroke: A Case Report" Medicina 58, no. 2: 182. https://doi.org/10.3390/medicina58020182
APA StyleLin, J.-C., Tsai, S.-Y., Kuan, T.-S., & Lin, W.-P. (2022). Left Atrial Fibroelastoma as a Cause of Stroke: A Case Report. Medicina, 58(2), 182. https://doi.org/10.3390/medicina58020182

